Is There a Correlation between Gingival Display and Incisal Inclination in a Gummy Smile? Study on Cephalometric Parameters
Abstract
1. Introduction
- Analysis of the proportions of the face in the three planes of space with the aim of identifying the facial type, the possible presence of asymmetries, excessive or insufficient facial height and mandibular or maxillary deficit or excess [4];
2. Material and Methods
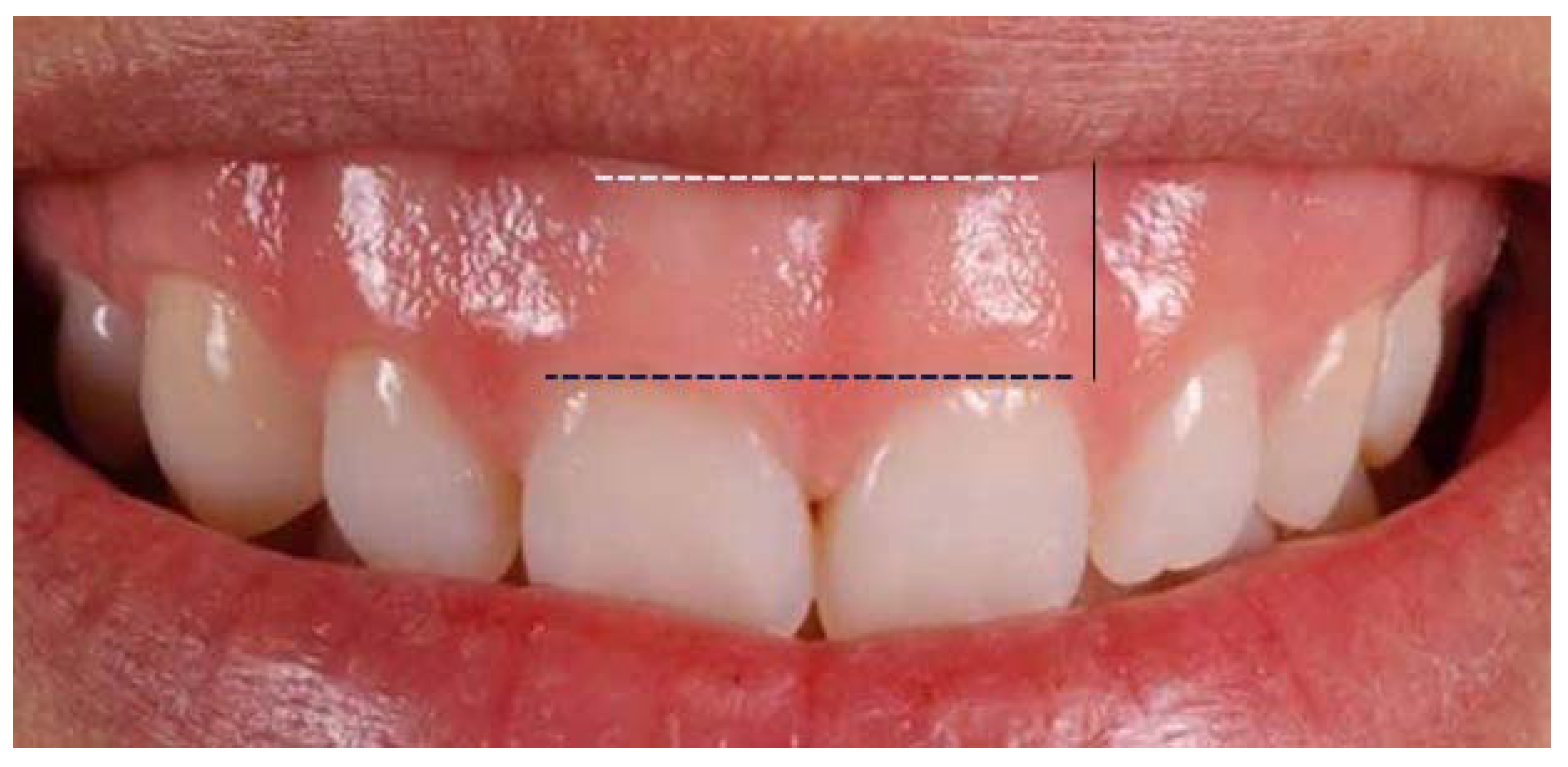
- Patients affected by gummy smile, with 2 mm of evident maxillary gum during full smile and no spontaneous in extra-oral profile photo;
- Patients aged between 7 and 35 years;
- Patients who would be reliable for follow-up;
- Patients with no previous orthodontic treatment;
- Patients who understood the protocol and could provide informed consent.
- I skeletal class, ANB = 2°/4°;
- Evidence in an extra-oral frontal photo of a media smile line, with a low line of the superior lip to third cervical gingival of superior central incisors with 1 mm of gingival exposed.
- The exclusions criteria for the study and control groups were as follows:
- Non-cooperative patients;
- Patients with previous orthodontic treatments;
- Inoperable patients;
- Patient with inadequate photo documentation;
- Patients with systemic pathologies;
- Patients in drug therapies.
- U1 to FH (upper incisors–Frankfort plane);
- U1 to PP (upper incisors–Palatine plane);
- U1 to NA (upper incisors–Nasion/A point);
- FMA (Frankfort plane–Gonion/Menton line);
- SN to PP (Sella-Nasion plane–Palatine plane);
- ANB (maxilla–mandibular relation, performed for only study group).
- Overjet (millimeter sagittal distance between Incisor Superius and Incisor Inferius);
- Overbite (millimeter vertical distance between Incisor Superius and Incisor Inferius);
- U1-PP (the perpendicular length of a line dropped from U1 to the palatal plane);
- Is–Sts (millimeter distance between Incisor Superius and Stomion Superius);
- Sn–Sts (millimeter distance between Subnasale and Stomion Superius).
- (S-Go): (N-Me) = Posterior facial height/Anterior facial height.
Statistical Analysis
3. Results
4. Discussion
5. Conclusions
Author Contributions
Funding
Institutional Review Board Statement
Informed Consent Statement
Data Availability Statement
Conflicts of Interest
Abbreviations
| GS | Gummy smile |
| APE | Altered passive eruption |
| PGE | Photographic Gingival Exposure |
| FP | Frankfurt plane |
| PP | Palatine plane |
| NA | Nasion/A point |
| SN | Sella/Nasion |
References
- Mahardawi, B.; Chaiasamut, T.; Natthamet, W. Gummy Smile: A Review of Etiology, Manifestations, and treatment. Siriraj Med. J. 2019, 71, 168–174. [Google Scholar]
- Dym, H.; Pierre, R., II. Diagnosis and Treatment Approaches to a “Gummy Smile”. Dent. Clin. N. Am. 2020, 64, 341–349. [Google Scholar] [CrossRef] [PubMed]
- Farista, S.; Chaudhary, A.; Manohar, B.; Farista, S.; Bhayani, R. Modified laser-assisted lip repositioning surgery to treat gummy smile. J. Indian Soc. Periodontol. 2021, 25, 355–359. [Google Scholar] [PubMed]
- Ser Yun, J.B.; Luo, M.; Yin, Y.; Zhi Hui, V.L.; Fang, B.; Han, X.L. Etiology-Based Treatment Strategy for Excessive Gingival Display: Literature Review. World J. Surg. Surg. Res. 2019, 2, 1103. [Google Scholar]
- Monaco, A.; Streni, O.; Marci, M.C.; Marzo, G.; Gatto, R.; Giannoni, M. Gummy smile: Clinical parameters useful for diagnosis and therapeutical approach. J. Clin. Pediatr. Dent. 2004, 29, 19–25. [Google Scholar] [CrossRef]
- Pavone, A.F.; Ghassemian, M.; Verardi, S. Gummy Smile and Short Tooth Syndrome—Part 1: Etiopathogenesis, Classification, and Diagnostic Guidelines. Compend. Contin. Educ. Dent. 2016, 37, 102–107, quiz 108–110. [Google Scholar]
- Mickeviciùté, E.; Bitinienè, D.; Zekonis, G.; Sakalauskienè, J.; Zilinskas, J. The prevalence of facial and dentolabial parameters among students of the Faculty of Dentistry of Lithuanian University of Health Sciences. Stomatologija 2018, 20, 139–144. [Google Scholar]
- Impellizzeri, A.; Horodinsky, M.; Barbato, E.; Polimeni, A.; Salah, P.; Galluccio, G. Dental Monitoring Application: It is a valid innovation in the Orthodontics Practice? Clin Ter. 2020, 171, e260–e267. [Google Scholar]
- Alligri, A.; Putrino, A.; Cassetta, M.C.; Silvestri, A.; Barbato, E.; Galluccio, G. The mandibular permanent second molars and their risk of impaction: A retrospective study. Eur. J. Paediatr. Dent. 2015, 16, 246–250. [Google Scholar]
- Impellizzeri, A.; Horodynski, M.; Serritella, E.; Romeo, E.; Barbato, E.; Galluccio, G. Three-dimensional evaluation of dental movement in orthodontics [Valutazione tridimensionale del movimento dentale in ortodonzia]. Dent. Cadmos 2020, 88, 182–190. [Google Scholar] [CrossRef]
- Hayani, A.; Dabbas, J.; Zeltoun, M. Evaluation of skeletal and dentoalveolar components in Syrian females with a gummy smile. APOS Trends Orthod. 2014, 4, 30–35. [Google Scholar] [CrossRef]
- Diaspro, A.; Cavallini, M.; Piersini, P.; Sito, G. Gummy Smile Treatment: Proposal for a Novel Corrective Technique and a Review of the Literature. Aesthet. Surg. J. 2018, 38, 1330–1338; Erratum in Aesthet. Surg. J. 2021, 41, 638. [Google Scholar] [CrossRef] [PubMed]
- Zawawi, K.H.; Malki, G.A.; Al-Zahrani, M.S.; Alkhiary, Y.M. Effect of lip position and gingival display on smile and esthetics as perceived by college students with different educational backgrounds. Clin. Cosmet. Investig. Dent. 2013, 5, 77–80. [Google Scholar] [CrossRef] [PubMed]
- Singer, R.E. A study of the morphologic, treatment and esthetic aspects of gingival display. Am. J. Orthod. 1974, 65, 435–436. [Google Scholar] [CrossRef]
- Wu, H.; Lin, J.; Zhou, L.; Bai, D. Classification and craniofacial features of gummy smile in adolescents. J. Craniofac. Surg. 2010, 21, 1474–1479. [Google Scholar] [CrossRef]
- Sabri, R. The eight components of a balanced smile. J. Clin. Orthod. 2005, 39, 155–167. [Google Scholar]
- Jeelani, W.; Fida, M.; Shaikh, A. The maxillary incisor display at rest: Analysis of the underlying components. Dent. Press J. Orthod. 2018, 23, 48–55. [Google Scholar] [CrossRef]
- Bernal, L.V.; Zapata, O.A.; Agudelo-Suàrez, A.A.; Angel, L.; Estrada, F.; Suarez, J. Influence of Facial and Occlusal Charateristics on Gummy Smile in Children: A Case-Control Study. Braz. Res. Pediatr. Dent. Integr. Clin. 2016, 16, 25–34. [Google Scholar]
- Peck, S.; Peck, L.; Kataja, M. The gingival smile line. Angle Orthod. 1992, 62, 91–100. [Google Scholar]
- Al-Jabrah, O.; Al-Shammout, R.; El-Naji, W.; Al-Ajameh, M.; Al-Quran, A.H. Gender differences in the amount of gingival display during smiling using two intraoral dental biometric measurements. J. Prosthodont. 2010, 19, 286–293. [Google Scholar] [CrossRef]
- Owens, E.G.; Goodacre, C.J.; Loh, P.L.; Hanke, G.; Okamura, M.; Jo, K.H.; Muñoz, C.A.; Naylor, W.P. A multicenter inter-racial study of facial appearance. Part 2: A comparison of intraoral parameters. Int. J. Prosthodont. 2002, 15, 283–288. [Google Scholar] [PubMed]
- Khan, F.; Abbas, M. Frequency of gingival display during smiling and comparison of biometric measurements in subjects with and without gingival display. J. Coll. Physicians Surg. Pak. 2014, 24, 503–507. [Google Scholar]
- Mackley, R.J. An evaluation of smiles before and after orthodontic treatment. Angle Orthod. 1993, 63, 183–190. [Google Scholar]
- Ezquerra, F.; Berrazueta, M.J.; Ruiz-Capillas, A.; Arregui, S.J.; Carrera, F.E. New approach to the gummy smile. Plast. Reconstr. Surg. 1999, 104, 1143–1150. [Google Scholar] [CrossRef]
- Putrino, A.; Impellizzeri, A.; Pavese, L.; Barbato, E.; Galluccio, G. Orthodontic treatment and third molars development: Longitudinal study on radiographs. Dental Cadm 2019, 87, 558–570. [Google Scholar] [CrossRef]
- Coelho, N.; Alfaro, P.; Lopez, H. Condicionantes clinicos de la sonrisa gingival. Rev. Cienc. Clìn. 2002, 3, 19–25. [Google Scholar]
- Redlich, M.; Mazor, Z. Severe high angle class II divison 1 malocclusion with vertical maxillary excess and gummy smile. A case report. Am. J. Orthod. Dentofac. Orthop. 1999, 116, 317–320. [Google Scholar] [CrossRef]
- Miron, H.; Calderon, S.; Allon, D. Upper lip changes and gingival exposure on smiling: Vertical dimension analysis. Am. J. Orthod. Dentofac. Orthop. 2012, 141, 87–93. [Google Scholar] [CrossRef]
- Impellizzeri, A.; Putrino, A.; Zangrillo, C.; Barbato, E.; Galluccio, G. Efficiency of self-ligating vs conventional braces: Systematic review and meta-analysis. Dent. Cadmos 2019, 87, 347–356. [Google Scholar] [CrossRef]
- Vernucci, R.A.; Mazzoli, V.; Galluccio, G.; Silvestri, A.; Barbato, E. Unilateral hemimandibular hyperactivity: Clinical features of a population of 128 patients. J. Cranio-Maxillofac. Surg. 2018, 46, 1105–1110. [Google Scholar] [CrossRef]
- Putrino, A.; Leonardi, R.M.; Barbato, E.; Galluccio, G. The association between ponticulus posticus and dental agenesis: A retrospective study. Open Dent. J. 2018, 12, 510–519. [Google Scholar] [CrossRef] [PubMed]








| Group | Mean Age (years) | SD | Sample Size (n) |
|---|---|---|---|
| Study Group | 13.2 | 4.12 | 60 |
| Control Group | 14.4 | 4.9 | 60 |
| Mean (mm) | SD | Sample Size (n) |
|---|---|---|
| 3.14 | 0.74 | 60 |
| Variable | Study Group | Control Group | Significance | |||||
|---|---|---|---|---|---|---|---|---|
| Mean | SD | n | Mean | SD | n | p Value | Sig. | |
| U1 to FH (degrees) | 115.09 | 8.76 | 60 | 110.52 | 5.19 | 60 | 0.0008 | *** |
| U1 to PP (degrees) | 112.58 | 8.52 | 60 | 108.09 | 6.59 | 60 | 0.0017 | ** |
| U1 to NA (degrees) | 24.58 | 11.9 | 60 | 21.54 | 4.72 | 60 | 0.0057 | ** |
| FMA (degrees) | 27.88 | 5.67 | 60 | 23.97 | 5.88 | 60 | 0.0003 | *** |
| SN to PP (degrees) | 8.29 | 1.77 | 60 | 8.23 | 2.25 | 60 | 0.8767 | NS |
| ANB (degrees) | 4.01 | 2.21 | 60 | Not calculated | Not calculated | |||
| Overjet (mm) | 3.98 | 2.40 | 60 | 2.68 | 1.29 | 60 | 0.0004 | *** |
| Overbite (mm) | 3.72 | 2.22 | 60 | 2.54 | 1.52 | 60 | 0.0010 | ** |
| U1-PP (mm) | 25.38 | 1.827 | 60 | 24.58 | 1.201 | 60 | 0.0057 | ** |
| Is–Sts (mm) | 4.63 | 2.39 | 60 | 2.30 | 1.45 | 60 | 0.0000 | *** |
| Sn–Sts (mm) | 19.64 | 1.53 | 60 | 21.10 | 1.67 | 60 | 0.0000 | *** |
| (S-Go): (N-Me) (%) | 60.07 | 3.82 | 60 | 61.66 | 3.94 | 60 | 0.0280 | * |
Disclaimer/Publisher’s Note: The statements, opinions and data contained in all publications are solely those of the individual author(s) and contributor(s) and not of MDPI and/or the editor(s). MDPI and/or the editor(s) disclaim responsibility for any injury to people or property resulting from any ideas, methods, instructions or products referred to in the content. |
© 2023 by the authors. Licensee MDPI, Basel, Switzerland. This article is an open access article distributed under the terms and conditions of the Creative Commons Attribution (CC BY) license (https://creativecommons.org/licenses/by/4.0/).
Share and Cite
Impellizzeri, A.; Palmigiani, R.; Horodynski, M.; D’alfonso, T.; Polimeni, A.; De Stefano, A.; Galluccio, G. Is There a Correlation between Gingival Display and Incisal Inclination in a Gummy Smile? Study on Cephalometric Parameters. Healthcare 2023, 11, 344. https://doi.org/10.3390/healthcare11030344
Impellizzeri A, Palmigiani R, Horodynski M, D’alfonso T, Polimeni A, De Stefano A, Galluccio G. Is There a Correlation between Gingival Display and Incisal Inclination in a Gummy Smile? Study on Cephalometric Parameters. Healthcare. 2023; 11(3):344. https://doi.org/10.3390/healthcare11030344
Chicago/Turabian StyleImpellizzeri, Alessandra, Raissa Palmigiani, Martina Horodynski, Tiziana D’alfonso, Antonella Polimeni, Adriana De Stefano, and Gabriella Galluccio. 2023. "Is There a Correlation between Gingival Display and Incisal Inclination in a Gummy Smile? Study on Cephalometric Parameters" Healthcare 11, no. 3: 344. https://doi.org/10.3390/healthcare11030344
APA StyleImpellizzeri, A., Palmigiani, R., Horodynski, M., D’alfonso, T., Polimeni, A., De Stefano, A., & Galluccio, G. (2023). Is There a Correlation between Gingival Display and Incisal Inclination in a Gummy Smile? Study on Cephalometric Parameters. Healthcare, 11(3), 344. https://doi.org/10.3390/healthcare11030344

