Treatment of Scaphoid Non-Unions with Custom-Made 3D-Printed Titanium Partial and Total Scaphoid Prostheses and Scaphoid Interosseous Ligament Reconstruction
Abstract
:1. Introduction
2. Materials and Methods
2.1. Search Strategy
2.2. Inclusion and Exclusion Criteria
2.3. Institutional Database, Data Collection, and Patients Setting
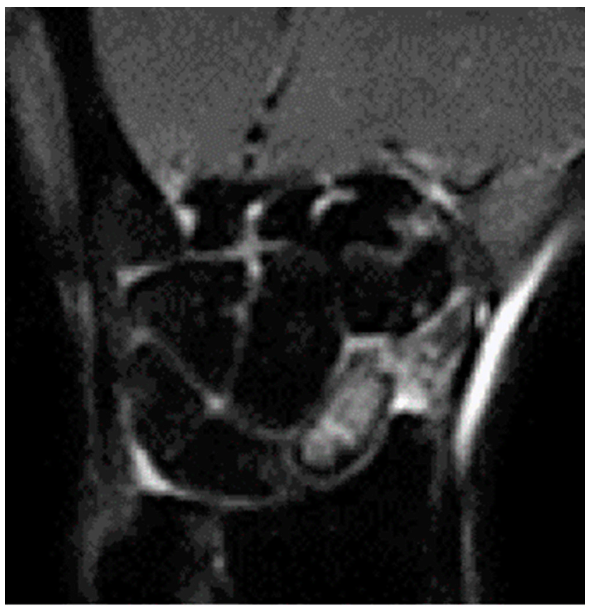
2.4. Surgical Technique
2.5. Data Extraction
2.6. Ethical Approval
2.7. Statistical Analysis
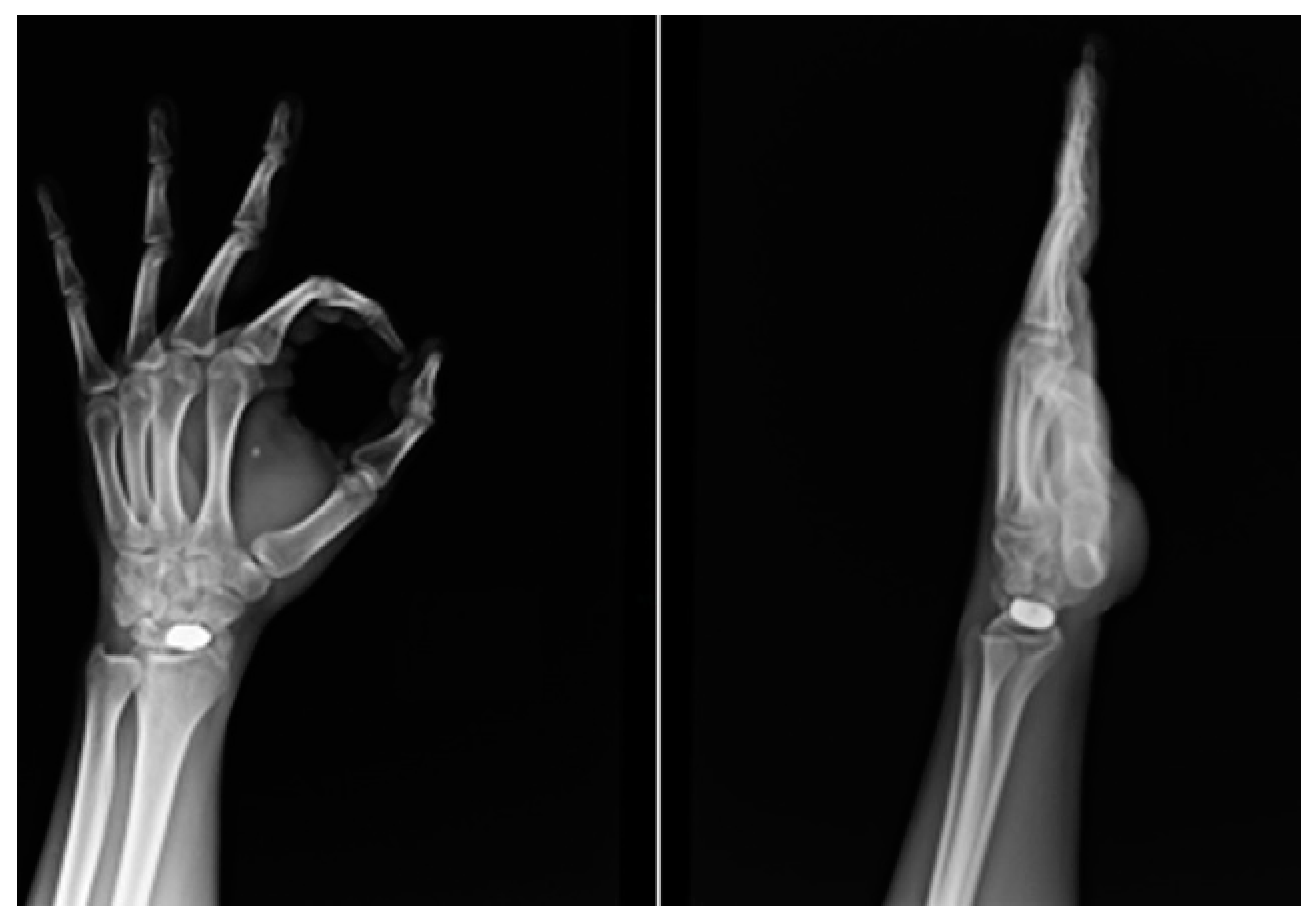
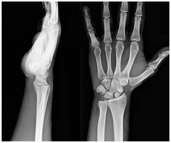
3. Results
4. Discussion
Future Direction
5. Conclusions
Author Contributions
Funding
Institutional Review Board Statement
Informed Consent Statement
Data Availability Statement
Conflicts of Interest
References
- Watson, H.K.; Ballet, F.L. The SLAC wrist: Scapholunate advanced collapse pattern of degenerative arthritis. J. Hand Surg. Am. 1984, 9, 358–365. [Google Scholar] [CrossRef]
- Smakaj, A.; De Mauro, D.; Rovere, G.; Pietramala, S.; Maccauro, G.; Parolini, O.; Lattanzi, W.; Liuzza, F. Clinical Application of Adipose Derived Stem Cells for the Treatment of Aseptic Non-Unions: Current Stage and Future Perspectives-Systematic Review. Int. J. Mol. Sci. 2022, 23, 3057. [Google Scholar] [CrossRef]
- Mathoulin, C.; Haerle, M. Vascularized bone graft from the carpal palmar artery for treatment of scaphoid non-union. J. Hand Surg. 1998, 23, 318–323. [Google Scholar] [CrossRef]
- Kälicke, T.; Bürger, H.; Müller, E.J. A new vascularized cartilague-bone-graft for scaphoid nonunion with avascular necrosis of the proximal pole: Description of a new type of surgical procedure. Unfallchirurg 2008, 111, 201–205. [Google Scholar] [CrossRef]
- Rancy, S.K.; Ek, E.T.; Paul, S.; Hotchkiss, R.N.; Wolfe, S.W. Nonspanning Total Wrist Arthrodesis with a Low-Profile Locking Plate. J. Wrist Surg. 2018, 7, 127–132. [Google Scholar] [CrossRef] [PubMed]
- Berber, O.; Garagnani, L.; Gidwani, S. Systematic Review of Total Wrist Arthroplasty and Arthrodesis in Wrist Arthritis. J. Wrist Surg. 2018, 7, 424–440. [Google Scholar]
- Ferrero, M.; Carità, E.; Giacalone, F.; Teodori, J.; Donadelli, A.; Laterza, M.; Corain, M.; Battiston, B. Prosthetic Replacement of the Scaphoid Proximal Pole: Should It Be the Future? Hand 2022, 17, 899–904. [Google Scholar] [CrossRef] [PubMed]
- Legge, R.F. Vitallium prosthesis in the treatment of the carpal navicular fracture. West J. Surg. Obstet. Gynecol. 1951, 59, 468–471. [Google Scholar]
- Agner, O. Treatment of non-united navicular fractures by total excision of the bone and the insertion of acrylic prostheses. Acta Orthop. Scand. 1963, 33, 235–245. [Google Scholar] [CrossRef] [PubMed]
- Swanson, A.B.; de Groot Swanson, G.; DeHeer, D.H.; Pierce, T.D.; Randall, K.; Smith, J.M.; Van Gorp, C.C. Carpal bone titanium implant arthroplasty; 10 years’ experience. Clin. Orthop. Relat. Res. 1997, 342, 46–58. [Google Scholar] [CrossRef]
- Daruwalla, Z.; Davies, K.; Shafighian, A.; Gillham, N.R. An alternative treatment option for scaphoid non-union advanced collapse (SNAC) and radioscaphoid osteoarthritis: Early results of a prospective study on the pyrocarbon adaptive proximal scaphoid implant (APSI). Ann. Acad. Med. Singap. 2013, 42, 278–284. [Google Scholar] [CrossRef]
- Poumellec, M.A.; Camuzard, O.; Pequignot, J.P.; Dreant, N. Adaptive Proximal Scaphoid Implant: Indications and Long-Term Results. J. Wrist Surg. 2019, 8, 344–350. [Google Scholar] [CrossRef] [PubMed]
- Spingardi, O.; Rossello, M.I. The total scaphoid titanium arthroplasty: A 15-year experience. Hand 2011, 6, 179–184. [Google Scholar] [CrossRef] [PubMed]
- Bonetti, M.A.; Rovere, G.; Fulchignoni, C.; De Santis, V.; Ziranu, A.; Maccauro, G.; Pataia, E. Autologous fat transplantation for the treatment of trapeziometacarpal joint osteoarthritis. Orthop. Rev. 2020, 12, 8666. [Google Scholar]
- Fulchignoni, C.; Bonetti, M.A.; Rovere, G.; Ziranu, A.; Maccauro, G.; Pataia, E. Wide awake surgery for flexor tendon primary repair: A literature review. Orthop. Rev. 2020, 12, 8668. [Google Scholar] [CrossRef]
- Hagert, E.; Ferreres, A.; Garcia-Elias, M. Nerve-sparing dorsal and volar approaches to the radiocarpal joint. J. Hand Surg. Am. 2010, 35, 1070–1074. [Google Scholar] [CrossRef]
- Colasanti, G.B.; Pari, C.; Puzzo, A.; Paderni, S.; Goretti, C.; Belluati, A. A 2-free-end flexor carpi radialis tendon graft for treating a complex index finger extensor tendon injury. Acta Biomed. 2020, 91, 276–279. [Google Scholar] [CrossRef]
- Umarji, S.; Pickford, M. Re: A novel technique for harvesting a split flexor carpi radialis (FCR) tendon graft. J. Hand Surg. 2008, 33, 817–818. [Google Scholar] [CrossRef]
- Pinder, R.M.; Brkljac, M.; Rix, L.; Muir, L.; Brewster, M. Treatment of Scaphoid Nonunion: A Systematic Review of the Existing Evidence. J. Hand Surg. Am. 2015, 40, 1797–1805.e3. [Google Scholar] [CrossRef]
- Hegazy, G.; Massoud, A.H.; Seddik, M.; Abd-Elghany, T.; Abdelaal, M.; Saqr, Y.; Abdelaziz, M.; Zayed, E.; Hassan, M. Structural Versus Nonstructural Bone Grafting for the Treatment of Unstable Scaphoid Waist Nonunion without Avascular Necrosis: A Randomized Clinical Trial. J. Hand Surg. Am. 2021, 46, 462–470. [Google Scholar] [CrossRef]
- Dias, J.J.; Dhukaram, V.; Abhinav, A.; Bhowal, B.; Wildin, C.J. Clinical and radiological outcome of cast immobilisation versus surgical treatment of acute scaphoid fractures at a mean follow-up of 93 months. J. Bone Jt. Surg. Br. Vol. 2008, 90, 899–905. [Google Scholar] [CrossRef]
- Nuttall, D.; Trail, I.A.; Stanley, J.K. Movement of the Scaphoid in the Normal Wrist. J. Hand Surg. Br. Vol. 1998, 23, 762–764. [Google Scholar] [CrossRef] [PubMed]
- Bain, G.I.; Sood, A.; Ashwood, N.; Turner, P.C.; Fogg, Q.A. Effect of scaphoid and triquetrum excision after limited stabilisation on cadaver wrist movement. J. Hand Surg. Eur. Vol. 2009, 34, 614–617. [Google Scholar] [CrossRef] [PubMed]
- Honigmann, P.; Schumacher, R.; Marek, R.; Büttner, F.; Thieringer, F.; Haefeli, M. A three-dimensional printed patient-specific scaphoid replacement: A cadaveric study. J. Hand Surg. Eur. Vol. 2018, 43, 407–412. [Google Scholar] [CrossRef] [PubMed]







| Parameters | Pre-Operative, Mean (Min–Max) | 1 Month after Surgery, Mean (Min–Max) | 3 Months after Surgery, Mean (Min–Max) | 6 Months after Surgery, Mean (Min–Max) | 1 Year after Surgery, Mean (Min–Max) | |
|---|---|---|---|---|---|---|
| Carpal height ratio (CHR) | 0.84 (0.52–1.98) | 0.77 (0.45–1.96) | 0.77 (0.44–1.96) | 0.76 (0.44–1.95) | 0.76 (0.44–1.94) | |
| Radioscaphoid angle, ° | 45.75° (37°–66°) | 30.62° (20°–43°) | 32.5° (30°–42°) | 33.87° (30°–43°) | 32.37° (30°–43°) | |
| Wrist extension, ° | 33.57° (0°–70°) | 53.57° (30°–65°) | 57.14° (35°–70°) | 63.57° (50°–80°) | 64.28° (50°–80°) | |
| Wrist flexion, ° | 40° (20°–70°) | 41.42° (35°–50°) | 47.85° (40°–60°) | 59.28° (45°–70°) | 60.71° (45°–70°) | |
| Radial deviation of the wrist, ° | 12.85° (5°–35°) | 17° (5°–22°) | 21.42° (15°–30°) | 26.42° (15°–60°) | 26.45° (15°–60°) | |
| Ulnar deviation of the wrist, ° | 27.85° (10°–45°) | 36.14° (30°–50°) | 39.28° (35°–45°) | 37.14° (20°–50°) | 36.42° (20°–50°) | |
| Grip strength (Jamar’s test) | ||||||
| Operated wrist, Kgf | 17 (10–22) | 12 (10–15) | 15.6 (10–24) | 24.7 (20–31) | 29.1 (24–38) | |
| Contralateral wrist, Kgf | 39 (26–50) | 37 (25–46) | 37.1 (26–48) | 36.4 (26–48) | 30.8 (28–50) | |
| Pinch strength (Jamar’s test) | ||||||
| Operated wrist, Kgf | 5.1 (4–6.5) | 6.2 (3.5–8.5) | 6.6 (3.5–8.5) | 7.5 (6–8.9) | 8 (7–9) | |
| Contralateral wrist, Kgf | 8.6 (10.5–10) | 8 (6–9.5) | 8.6 (6.5–9.5) | 8.5 (6.5–9.5) | 8.6 (6.5–9.5) | |
| Visual Analogue Scale (VAS) | ||||||
| At rest | 3.6 (1–10) | 1.9 (0–5) | 0.4 (0–1) | 0 | 0 | |
| Under load | 7.4 (5–10) | 4.4 (2–8) | 3.1 (2–5) | 2.5 (2–4) | 1.7 (1–3) | |
| Disabilities of Arm, Shoulder, and Hand (DASH) score | Pre–operative, Mean (Min–Max) | 1 year after surgery, Mean (Min–Max) | ||||
| 22.4 (12.9–51) | 9.2 (0.8–30.8) | |||||
| Patient Rated Wrist Evaluation (PRWE) | Pre–operative, Mean (Min–Max) | 1 year after surgery, Mean (Min–Max) | ||||
| 33.7 (28–88) | 17.5 (2–62) | |||||
| Parameters | Pre-Operative, Mean (Min–Max) | 1 Month after Surgery, Mean (Min–Max) | 3 Months after Surgery, Mean (Min–Max) | 6 Months after Surgery, Mean (Min–Max) | 1 Year after Surgery, Mean (Min–Max) | |
|---|---|---|---|---|---|---|
| Carpal height ratio (CHR) | 0.61 (0.50–0.85) | 0.59 (0.45–0.80) | 0.58 (0.45–0.80) | 0.53 (0.45–0.80) | 0.53 (0.45–0.80) | |
| Radioscaphoid angle, ° | 40.9° (12°–60.2°) | 34.6° (44.5°–58°) | 35° (32°–58°) | 36.8° (30°–58°) | 34.2° (30°–58°) | |
| Wrist extension, ° | 31.4° (20°–55°) | 42° (25°–65°) | 47.8° (30°–70°) | 47.1° (35°–70°) | 52.1° (45°–75°) | |
| Wrist flexion, ° | 25.7° (10°–45°) | 36.7° (12°–50°) | 44.2° (20°–60°) | 44.2° (25°–60°) | 47.8° (35°–60°) | |
| Radial deviation of the wrist, ° | 10° (0°–25°) | 13.5° (3°–25°) | 16.8° (8°–25°) | 20° (10°–30°) | 28.5° (20°–45°) | |
| Ulnar deviation of the wrist, ° | 29.7° (10°–60°) | 29° (20°–35°) | 29.7° (25°–35°) | 32.1° (30°–45°) | 35.5° (30°–45°) | |
| Grip strength (Jamar’s test) | ||||||
| Operated wrist, Kgf | 13.6 (4–20) | 15 (5–22) | 18.8 (12–26) | 22.4 (13–30) | 25.7 (18–32) | |
| Contralateral wrist, Kgf | 29 (25–46) | 28.7 (24–46) | 34.7 (24–46) | 37.5 (24–52) | 36.5 (24–48) | |
| Pinch strength (Jamar’s test) | ||||||
| Operated wrist, Kgf | 5 (1.8–10) | 4.7 (2–12) | 10.5 (2.5–16) | 8 (5–16) | 8.6 (10–16) | |
| Contralateral wrist, Kgf | 11.2 (7–22) | 11.2 (6–22) | 10.5 (6–22) | 10.7 (6–22) | 10.7 (6–22) | |
| Visual Analogue Scale (VAS) | ||||||
| At rest | 5.5 (2–8) | 1.8 (1–3) | 1 (0–2) | 0.8 (0–2) | 0.1 (0–1) | |
| Under load | 8.2 (6–10) | 4.7 (2–8) | 3 (2–6) | 3 (0–5) | 1.4 (0–5) | |
| Disabilities of Arm, Shoulder, and Hand (DASH) score | Pre–operative, Mean (Min–Max) | 1 year after surgery, Mean (Min–Max) | ||||
| 28.2 (11.8–67.5) | 11.8 (1.7–28.3) | |||||
| Patient Rated Wrist Evaluation (PRWE) | Pre–operative, Mean (Min–Max) | 1 year after surgery, Mean (Min–Max) | ||||
| 35.6 (15–82) | 22.5 (7–51) | |||||
Disclaimer/Publisher’s Note: The statements, opinions and data contained in all publications are solely those of the individual author(s) and contributor(s) and not of MDPI and/or the editor(s). MDPI and/or the editor(s) disclaim responsibility for any injury to people or property resulting from any ideas, methods, instructions or products referred to in the content. |
© 2023 by the authors. Licensee MDPI, Basel, Switzerland. This article is an open access article distributed under the terms and conditions of the Creative Commons Attribution (CC BY) license (https://creativecommons.org/licenses/by/4.0/).
Share and Cite
Cioffi, A.; Rovere, G.; Bosco, F.; Sinno, E.; Stramazzo, L.; Liuzza, F.; Ziranu, A.; Romeo, M.; Vigni, G.E.; Galvano, N.; et al. Treatment of Scaphoid Non-Unions with Custom-Made 3D-Printed Titanium Partial and Total Scaphoid Prostheses and Scaphoid Interosseous Ligament Reconstruction. Healthcare 2023, 11, 3123. https://doi.org/10.3390/healthcare11243123
Cioffi A, Rovere G, Bosco F, Sinno E, Stramazzo L, Liuzza F, Ziranu A, Romeo M, Vigni GE, Galvano N, et al. Treatment of Scaphoid Non-Unions with Custom-Made 3D-Printed Titanium Partial and Total Scaphoid Prostheses and Scaphoid Interosseous Ligament Reconstruction. Healthcare. 2023; 11(24):3123. https://doi.org/10.3390/healthcare11243123
Chicago/Turabian StyleCioffi, Alessio, Giuseppe Rovere, Francesco Bosco, Ennio Sinno, Leonardo Stramazzo, Francesco Liuzza, Antonio Ziranu, Michele Romeo, Giulio Edoardo Vigni, Nicolò Galvano, and et al. 2023. "Treatment of Scaphoid Non-Unions with Custom-Made 3D-Printed Titanium Partial and Total Scaphoid Prostheses and Scaphoid Interosseous Ligament Reconstruction" Healthcare 11, no. 24: 3123. https://doi.org/10.3390/healthcare11243123
APA StyleCioffi, A., Rovere, G., Bosco, F., Sinno, E., Stramazzo, L., Liuzza, F., Ziranu, A., Romeo, M., Vigni, G. E., Galvano, N., Maccauro, G., Farsetti, P., Rossello, M. I., & Camarda, L. (2023). Treatment of Scaphoid Non-Unions with Custom-Made 3D-Printed Titanium Partial and Total Scaphoid Prostheses and Scaphoid Interosseous Ligament Reconstruction. Healthcare, 11(24), 3123. https://doi.org/10.3390/healthcare11243123

