Chemical Composition, In Vivo, and In Silico Molecular Docking Studies of the Effect of Syzygium aromaticum (Clove) Essential Oil on Ochratoxin A-Induced Acute Neurotoxicity
Abstract
1. Introduction
2. Results
2.1. Essential Oil (EOC) Yields and Main Compounds
2.2. Effects of Ochratoxin A on Body Weight and Brain Weight
2.3. Neurobehavioral Tests
2.3.1. Forced Swimming Test
Immobility Time (TIM)
2.3.2. Open Field Test
2.3.3. Dark/Light Test
2.3.4. Morris Water Maze Test
2.4. Biochemical Assays
2.4.1. Blood Glucose Levels
2.4.2. Cortisol Levels
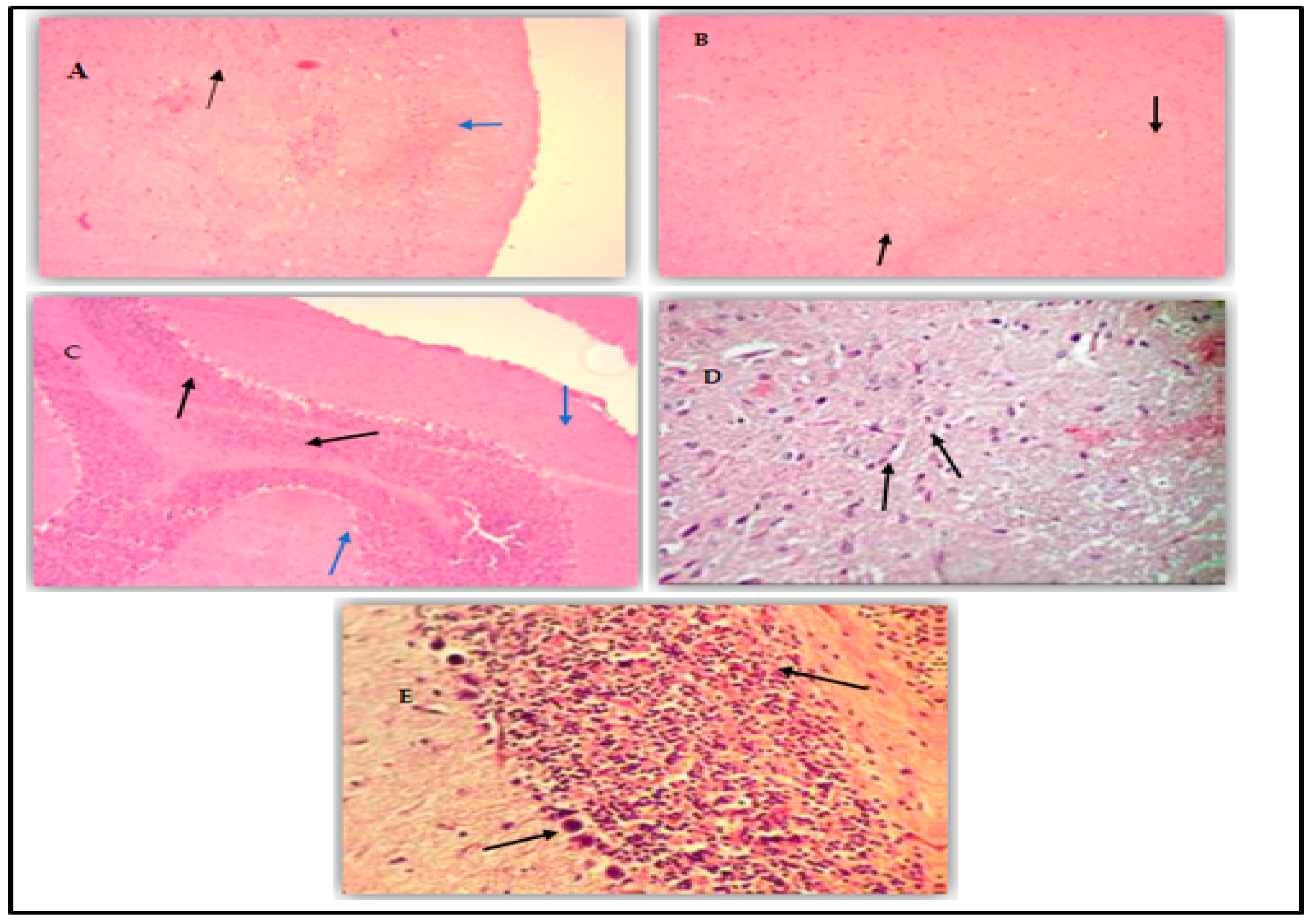
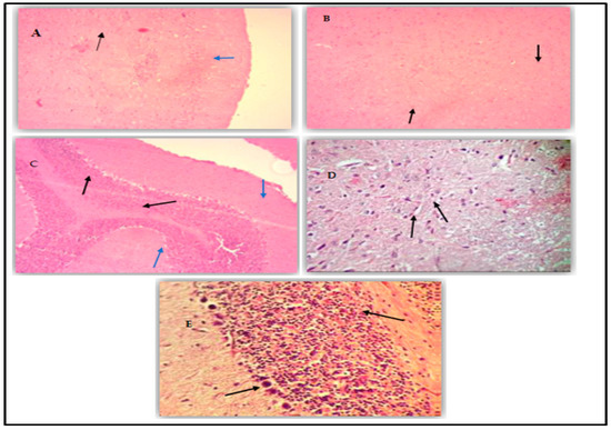
2.5. Histological Study
2.6. In Silico Study of Neuroprotective Molecular Targets
2.6.1. Interactions with PDB ID: 4EY5 “Human Acetylcholinesterase Receptor”
2.6.2. Interactions with PDB ID: 6I0C “Human Butyrylcholinesterase Receptor”
3. Discussion
4. Materials and Methods
4.1. Extraction and Characterization of EOC by GC/MS
4.2. Animal Origin and Housing Conditions
Dividing the Groups
4.3. Neurobehavioral Tests
4.3.1. Forced Swimming Test
4.3.2. Open Field Test
4.3.3. The Morris Water Maze
4.3.4. The Dark/Light Test
The Progress of the Tests
4.4. Biochemical Assays
4.4.1. Blood Glucose Levels
4.4.2. Cortisol Levels
4.5. The Brain Histology Study
4.6. In Silico Docking Study
4.7. Statistical Analysis
5. Conclusions
Author Contributions
Funding
Institutional Review Board Statement
Data Availability Statement
Acknowledgments
Conflicts of Interest
References
- Zinedine, A.; Soriano, J.M.; Moltó, J.C.; Mañes, J. Review on the toxicity, occurrence, metabolism, detoxification, regulations and intake of zearalenone: An oestrogenic mycotoxin. Food Chem. Toxicol. 2007, 45, 1–18. [Google Scholar] [CrossRef]
- Pfohl-Leszkowicz, A.; Manderville, R.A. Ochratoxin A: An overview on toxicity and carcinogenicity in animals and humans. Mol. Nutr. Food Res. 2007, 51, 61–99. [Google Scholar] [CrossRef] [PubMed]
- Chaieb, K.; Hajlaoui, H.; Zmantar, T.; Kahla-Nakbi, A.B.; Rouabhia, M.; Mahdouani, K.; Bakhrouf, A. The chemical composition and biological activity of clove essential oil, Eugenia caryophyllata (Syzigium aromaticum L. Myrtaceae): A short review. Phytother. Res. PTR 2007, 21, 501–506. [Google Scholar] [CrossRef] [PubMed]
- Pinto, E.; Vale-Silva, L.; Cavaleiro, C.; Salgueiro, L. Antifungal activity of the clove essential oil from Syzygium aromaticum on Candida, Aspergillus and dermatophyte species. J. Med. Microbiol. 2009, 58, 1454–1462. [Google Scholar] [CrossRef] [PubMed]
- Ferreira, L.G.; Dos Santos, R.N.; Oliva, G.; Andricopulo, A.D. Molecular docking and structure-based drug design strategies. Molecules 2015, 20, 13384–13421. [Google Scholar] [CrossRef] [PubMed]
- Morris, G.M.; Huey, R.; Lindstrom, W.; Sanner, M.F.; Belew, R.K.; Goodsell, D.S.; Olson, A.J. AutoDock4 and AutoDockTools4: Automated docking with selective receptor flexibility. J. Comput. Chem. 2009, 30, 2785–2791. [Google Scholar] [CrossRef]
- Mahnashi, M.H.; Alshahrani, M.A.; Nahari, M.H.; Hassan, S.S.U.; Jan, M.S.; Ayaz, M.; Ullah, F.; Alshehri, O.M.; Alshehri, M.A.; Rashid, U.; et al. In-Vitro, In-Vivo, Molecular Docking and ADMET Studies of 2-Substituted 3,7-Dihydroxy-4H-chromen-4-one for Oxidative Stress, Inflammation and Alzheimer’s Disease. Metabolites 2022, 12, 1055. [Google Scholar] [CrossRef]
- Adli, D.E.H.; Kahloula, K.; Slimani, M.; Brahmi, M.; Benreguieg, M. Prophylactic effects of Syzygium aromaticum essential oil on developing wistar rats co-exposed to lead and manganese. Phytotherapie 2017, 15, 1–7. [Google Scholar] [CrossRef]
- Selles, S.M.A.; Kouidri, M.; Belhamiti, B.T.; Ait Amrane, A. Chemical composition, in-vitro antibacterial and antioxidant activities of Syzygium aromaticum essential oil. J. Food Meas. Charact. 2020, 14, 2352–2358. [Google Scholar] [CrossRef]
- Alfikri, F.N.; Pujiarti, R.; Wibisono, M.G.; Hardiyanto, E.B. Yield, Quality, and Antioxidant Activity of Clove (Syzygium aromaticum L.) Bud Oil at the Different Phenological Stages in Young and Mature Trees. Scientifica 2020, 2020, 9701701. [Google Scholar] [CrossRef] [PubMed]
- Djermane, N.; Khellaf, R.; Brahmi, M.; Erenler, R.; Arhab, R.; Gherraf, N. Essential Oil and Crude Extracts of Pulicaria arabica (L.) Cass. Aerial Parts: Chemical Composition, Antioxidant Effect, α-Glucosidase, Acetylcholinesterase, and Butyrylcholinesterase Inhibitory Activities. Phytothérapie 2023, 21, 199–208. [Google Scholar] [CrossRef]
- Brahmi, M.; Adli, D.E.H.; Ziani, K.; Houari, H.; Slimani, M.; Kahloula, K. Beneficial effect of Mentha spicata essential oil on lead and manganese induced nephrotoxicity and oxidative damage in rat kidney. Not. Sci. Biol. 2020, 12, 578–591. [Google Scholar] [CrossRef]
- Singh, V.; Pahuja, C.; Ali, M.; Sultana, S. Analysis and bioactivities of essential oil of the flower buds of Syzygium aromaticum (L.) Merr. et LM Perry. J. Med. Plants Stud. 2018, 6, 79–83. [Google Scholar]
- Nogaim, Q.A.; Sai Pratyusha Bugata, L.; Pv, P.; Reddy, U.A.; Kumari, I.; Mahboob, M. Protective effect of Yemeni green coffee powder against the oxidative stress induced by Ochratoxin A. Toxicol. Rep. 2020, 7, 142–148. [Google Scholar] [CrossRef]
- Izco, M.; Vettorazzi, A.; Forcen, R.; Blesa, J.; de Toro, M.; Alvarez-Herrera, N.; Cooper, J.M.; Gonzalez-Peñas, E.; Lopez de Cerain, A.; Alvarez-Erviti, L. Oral subchronic exposure to the mycotoxin ochratoxin A induces key pathological features of Parkinson’s disease in mice six months after the end of the treatment. Food Chem. Toxicol. 2021, 152, 112164. [Google Scholar] [CrossRef] [PubMed]
- Abdel-Wahhab, M.A.; Aljawish, A.; El-Nekeety, A.A.; Abdel-Aziem, S.H.; Hassan, N.S. Chitosan nanoparticles plus quercetin suppress the oxidative stress, modulate DNA fragmentation and gene expression in the kidney of rats fed ochratoxin A-contaminated diet. Food Chem. Toxicol. 2017, 99, 209–221. [Google Scholar] [CrossRef] [PubMed]
- Niaz, K.; Shah, S.Z.A.; Khan, F.; Bule, M. Ochratoxin A–induced genotoxic and epigenetic mechanisms lead to Alzheimer disease: Its modulation with strategies. Environ. Sci. Pollut. Res. 2020, 27, 44673–44700. [Google Scholar] [CrossRef]
- Bakour, M.; Soulo, N.; Hammas, N.; Fatemi, H.E.; Aboulghazi, A.; Taroq, A.; Abdellaoui, A.; Al-Waili, N.; Lyoussi, B. The Antioxidant Content and Protective Effect of Argan Oil and Syzygium aromaticum Essential Oil in Hydrogen Peroxide-Induced Biochemical and Histological Changes. Int. J. Mol. Sci. 2018, 19, 610. [Google Scholar] [CrossRef]
- Taroq, A.; Bakour, M.; El Atki, Y.; el Kamari, F.; Aouam, I.; Talbi, F.; Hammas, N.; Badiaa, L.; Abdellaoui, A. Comparative Study of the Effects of Laurus nobilis and Syzygium aromaticum Aqueous Extracts on Urine Volume and Renal Function in Rats. Int. J. Pharm. Sci. Res. 2021, 12, 776. [Google Scholar] [CrossRef]
- Dwivedi, V.; Shrivastava, R.; Hussain, S.; Ganguly, C.; Bharadwaj, M. Comparative anticancer potential of clove (Syzygium aromaticum)—An Indian spice—Against cancer cell lines of various anatomical origin. Asian Pac. J. Cancer Prev. APJCP 2011, 12, 1989–1993. [Google Scholar]
- Kraeuter, A.-K.; Guest, P.C.; Sarnyai, Z. The Elevated Plus Maze Test for Measuring Anxiety-Like Behavior in Rodents. In Pre-Clinical Models: Techniques and Protocols; Guest, P.C., Ed.; Springer: New York, NY, USA, 2019; pp. 69–74. [Google Scholar]
- Tanaka, T.; Hasegawa-Baba, Y.; Watanabe, Y.; Mizukami, S.; Kangawa, Y.; Yoshida, T.; Shibutani, M. Maternal exposure to ochratoxin A targets intermediate progenitor cells of hippocampal neurogenesis in rat offspring via cholinergic signal downregulation and oxidative stress responses. Reprod. Toxicol. 2016, 65, 113–122. [Google Scholar] [CrossRef] [PubMed]
- Masiulis, I.; Yun, S.; Eisch, A.J. The interesting interplay between interneurons and adult hippocampal neurogenesis. Mol. Neurobiol. 2011, 44, 287–302. [Google Scholar] [CrossRef] [PubMed]
- Rosell-Valle, C.; Pedraza, C.; Manuel, I.; Moreno-Rodríguez, M.; Rodríguez-Puertas, R.; Castilla-Ortega, E.; Caramés, J.M.; Gómez Conde, A.I.; Zambrana-Infantes, E.; Ortega-Pinazo, J.; et al. Chronic central modulation of LPA/LPA receptors-signaling pathway in the mouse brain regulates cognition, emotion, and hippocampal neurogenesis. Prog. Neuro-Psychopharmacol. Biol. Psychiatry 2021, 108, 110156. [Google Scholar] [CrossRef]
- Zhu, X.; Yao, Y.; Li, X.; Dong, J.; Zhang, A. Alteration of GABAergic signaling is associated with anxiety-like behavior in temporal lobe epilepsy mice. Prog. Neuro-Psychopharmacol. Biol. Psychiatry 2019, 93, 141–148. [Google Scholar] [CrossRef] [PubMed]
- Tafet, G.E.; Nemeroff, C.B. Pharmacological Treatment of Anxiety Disorders: The Role of the HPA Axis. Front. Psychiatry 2020, 11, 443. [Google Scholar] [CrossRef] [PubMed]
- Grace, A.A. Dysregulation of the dopamine system in the pathophysiology of schizophrenia and depression. Nat. Rev. Neurosci. 2016, 17, 524–532. [Google Scholar] [CrossRef] [PubMed]
- Ryczko, D.; Dubuc, R. Dopamine and the Brainstem Locomotor Networks: From Lamprey to Human. Front. Neurosci. 2017, 11, 295. [Google Scholar] [CrossRef] [PubMed]
- Arrant, A.E.; Schramm-Sapyta, N.L.; Kuhn, C.M. Use of the light/dark test for anxiety in adult and adolescent male rats. Behav. Brain Res. 2013, 256, 119–127. [Google Scholar] [CrossRef] [PubMed]
- Bhat, P.V.; Anand, T.; Mohan Manu, T.; Khanum, F. Restorative effect of l-Dopa treatment against Ochratoxin A induced neurotoxicity. Neurochem. Int. 2018, 118, 252–263. [Google Scholar] [CrossRef] [PubMed]
- Rommelfanger, K.S.; Weinshenker, D. Norepinephrine: The redheaded stepchild of Parkinson’s disease. Biochem. Pharmacol. 2007, 74, 177–190. [Google Scholar] [CrossRef] [PubMed]
- Gressler, L.T.; Xavier, M.L.G.; Junior, G.B.; Loebens, L.; Barboza, V.D.S.; da Costa, S.T.; Baldisserotto, B. Behavioral and histological features of zebrafish following sedation with eugenol or propofol. Appl. Anim. Behav. Sci. 2021, 244, 105482. [Google Scholar] [CrossRef]
- Sahin, S.; Eulenburg, V.; Heinlein, A.; Villmann, C.; Pischetsrieder, M. Identification of eugenol as the major determinant of GABAA-receptor activation by aqueous Syzygium aromaticum L. (clove buds) extract. J. Funct. Foods 2017, 37, 641–649. [Google Scholar] [CrossRef]
- Amanda, P. Acceptance and Commitment Therapy: A systematic review of psychological adjustment and reduction of psychological distress following a traumatic brain injury in adults. J. Addict. Psychiatry Ment. Health 2020, 1, 1–10. [Google Scholar]
- Saxena, B. Eugenol as Neuro-Phytomedicine: Recent Trends Pertaining to the Treatment of Neurological Disorders. In NeuroPhytomedicine; CRC Press: Boca Raton, FL, USA, 2024; pp. 187–204. [Google Scholar]
- Can, A.; Dao, D.T.; Arad, M.; Terrillion, C.E.; Piantadosi, S.C.; Gould, T.D. The mouse forced swim test. J. Vis. Exp. JoVE 2012, 59, e3638. [Google Scholar] [CrossRef]
- Nam, J.H.; Park, E.S.; Won, S.Y.; Lee, Y.A.; Kim, K.I.; Jeong, J.Y.; Baek, J.Y.; Cho, E.J.; Jin, M.; Chung, Y.C.; et al. TRPV1 on astrocytes rescues nigral dopamine neurons in Parkinson’s disease via CNTF. Brain A J. Neurol. 2015, 138, 3610–3622. [Google Scholar] [CrossRef] [PubMed]
- Sava, V.; Reunova, O.; Velasquez, A.; Harbison, R.; Sánchez-Ramos, J. Acute neurotoxic effects of the fungal metabolite ochratoxin-A. Neurotoxicology 2006, 27, 82–92. [Google Scholar] [CrossRef] [PubMed]
- Liu, B.B.; Luo, L.; Liu, X.L.; Geng, D.; Li, C.F.; Chen, S.M.; Chen, X.M.; Yi, L.T.; Liu, Q. Essential oil of Syzygium aromaticum reverses the deficits of stress-induced behaviors and hippocampal p-ERK/p-CREB/brain-derived neurotrophic factor expression. Planta Medica 2015, 81, 185–192. [Google Scholar] [CrossRef] [PubMed]
- Garabadu, D.; Shah, A.; Ahmad, A.; Joshi, V.B.; Saxena, B.; Palit, G.; Krishnamurthy, S. Eugenol as an anti-stress agent: Modulation of hypothalamic-pituitary-adrenal axis and brain monoaminergic systems in a rat model of stress. Stress 2011, 14, 145–155. [Google Scholar] [CrossRef] [PubMed]
- Sava, V.; Velasquez, A.; Song, S.; Sanchez-Ramos, J. Adult Hippocampal Neural Stem/Progenitor Cells In Vitro Are Vulnerable to the Mycotoxin Ochratoxin-A. Toxicol. Sci. 2007, 98, 187–197. [Google Scholar] [CrossRef] [PubMed]
- Delibas, N.; Altuntas, I.; Yonden, Z.; Ozcelik, N. Ochratoxin A reduces NMDA receptor subunits 2A and 2B concentrations in rat hippocampus: Partial protective effect of melatonin. Hum. Exp. Toxicol. 2003, 22, 335–339. [Google Scholar] [CrossRef] [PubMed]
- Tozuka, Y.; Fukuda, S.; Namba, T.; Seki, T.; Hisatsune, T. GABAergic excitation promotes neuronal differentiation in adult hippocampal progenitor cells. Neuron 2005, 47, 803–815. [Google Scholar] [CrossRef] [PubMed]
- Ernst, A.; Alkass, K.; Bernard, S.; Salehpour, M.; Perl, S.; Tisdale, J.; Possnert, G.; Druid, H.; Frisén, J. Neurogenesis in the striatum of the adult human brain. Cell 2014, 156, 1072–1083. [Google Scholar] [CrossRef] [PubMed]
- Tanokashira, D.; Mamada, N.; Yamamoto, F.; Taniguchi, K.; Tamaoka, A.; Lakshmana, M.K.; Araki, W. The neurotoxicity of amyloid β-protein oligomers is reversible in a primary neuron model. Mol. Brain. 2017, 10, 4. [Google Scholar] [CrossRef] [PubMed]
- Adli, D.E.H.; Kahloula, K.; Slimani, M.; Lahouel, Z.; Belmahi, A. The Efficacy of Syzygium aromaticum Essential Oil in Cognitive Disorders against Manganese Chronic Exposure in Rats during Development. Not. Sci. Biol. 2014, 6, 131–137. [Google Scholar] [CrossRef]
- Parvizi, F.; Mehrabi, S.; Naghizadeh, A.; Kamalinejad, M.; Goudarzi, S.; Farahmandfar, M. Comparison of intranasal and intraperitoneal administration of Eugenia caryophyllata (clove) essential oil on spatial memory, anxiety-like behavior and locomotor activity in a pilocarpine-induced status epilepticus rat model. BMC Complement. Med. Ther. 2022, 22, 231. [Google Scholar] [CrossRef]
- Kumar, A.; Aggrawal, A.; Pottabathini, R.; Singh, A. Possible neuroprotective mechanisms of clove oil against icv-colchicine induced cognitive dysfunction. Pharmacol. Rep. 2016, 68, 764–772. [Google Scholar] [CrossRef] [PubMed]
- Akbar, L.; Juliandi, B.; Boediono, A.; Batubara, I.; Subangkit, M. Effects of Eugenol on Memory Performance, Neurogenesis, and Dendritic Complexity of Neurons in Mice Analyzed by Behavioral Tests and Golgi Staining of Brain Tissue. J. Stem Cells Regen. Med. 2021, 17, 35–41. [Google Scholar] [CrossRef]
- Eeza, M.N.H.; Bashirova, N.; Zuberi, Z.; Matysik, J.; Berry, J.P.; Alia, A. An integrated systems-level model of ochratoxin A toxicity in the zebrafish (Danio rerio) embryo based on NMR metabolic profiling. Sci. Rep. 2022, 12, 6341. [Google Scholar] [CrossRef]
- Savignac, H.M.; Kiely, B.; Dinan, T.G.; Cryan, J.F. Bifidobacteria exert strain-specific effects on stress-related behavior and physiology in BALB/c mice. Neurogastroenterol. Motil. 2014, 26, 1615–1627. [Google Scholar] [CrossRef] [PubMed]
- de Oliveira, C.P.B.; Lemos, C.H.d.P.; Vidal, L.V.O.; Couto, R.D.; Pereira, D.S.P.; Copatti, C.E. Anaesthesia with eugenol in hybrid Amazon catfish (Pseudoplatystoma reticulatum × Leiarius marmoratus) handling: Biochemical and haematological responses. Aquaculture 2019, 501, 255–259. [Google Scholar] [CrossRef]
- Boaventura, T.P.; Pedras, P.P.C.; Júlio, G.S.C.; dos Santos, F.A.C.; Ferreira, A.L.; de Souza e Silva, W.; Luz, R.K. Use of eugenol, benzocaine or salt during the transport of panga, Pangasianodon hypophthalmus (Sauvage, 1878): Effects on water quality, haematology and blood biochemistry. Aquac. Res. 2022, 53, 1395–1403. [Google Scholar] [CrossRef]
- Solomon, S.D.; Goldberg, M.F. ETDRS Grading of Diabetic Retinopathy: Still the Gold Standard? Ophthalmic Res. 2019, 62, 190–195. [Google Scholar] [CrossRef]
- Kumar, R.; Alam, S.; Chaudhari, B.P.; Dwivedi, P.D.; Jain, S.K.; Ansari, K.M.; Das, M. Ochratoxin A-induced cell proliferation and tumor promotion in mouse skin by activating the expression of cyclin-D1 and cyclooxygenase-2 through nuclear factor-kappa B and activator protein-1. Carcinogenesis 2013, 34, 647–657. [Google Scholar] [CrossRef][Green Version]
- Gerber, Y.N.; Saint-Martin, G.P.; Bringuier, C.M.; Bartolami, S.; Goze-Bac, C.; Noristani, H.N.; Perrin, F.E. CSF1R Inhibition Reduces Microglia Proliferation, Promotes Tissue Preservation and Improves Motor Recovery After Spinal Cord Injury. Front. Cell Neurosci. 2018, 12, 368. [Google Scholar] [CrossRef]
- Fahimeh, N.; Tajbakhsh, E. Neurotoxicity mechanism of Ochratoxin A. Qual. Assur. Saf. Crops Foods 2021, 13, 34–45. [Google Scholar]
- Tao, Y.; Xie, S.; Xu, F.; Liu, A.; Wang, Y.; Chen, D.; Pan, Y.; Huang, L.; Peng, D.; Wang, X.; et al. Ochratoxin A: Toxicity, oxidative stress and metabolism. Food Chem. Toxicol. 2018, 112, 320–331. [Google Scholar] [CrossRef] [PubMed]
- Laskowski, R.A.; Swindells, M.B. LigPlot+: Multiple Ligand–Protein Interaction Diagrams for Drug Discovery. J. Chem. Inf. Model. 2011, 51, 2778–2786. [Google Scholar] [CrossRef] [PubMed]
- Okutan, H.; Aydin, G.; Ozcelik, N. Protective role of melatonin in ochratoxin a toxicity in rat heart and lung. J. Appl. Toxicol. 2004, 24, 505–512. [Google Scholar] [CrossRef] [PubMed]
- Yoon, S.; Cong, W.T.; Bang, Y.; Lee, S.N.; Yoon, C.S.; Kwack, S.J.; Kang, T.S.; Lee, K.Y.; Choi, J.K.; Choi, H.J. Proteome response to ochratoxin A-induced apoptotic cell death in mouse hippocampal HT22 cells. Neurotoxicology 2009, 30, 666–676. [Google Scholar] [CrossRef] [PubMed]
- Dal, B.W.; Luiz, A.P.; Martins, D.F.; Mazzardo-Martins, L.; Santos, A.R. Eugenol reduces acute pain in mice by modulating the glutamatergic and tumor necrosis factor alpha (TNF-α) pathways. Fundam. Clin. Pharmacol. 2013, 27, 517–525. [Google Scholar] [CrossRef]
- Adli, D.E.H.; Ziani, K.; Kourat, D.; Brahmi, M.; Souidi, S.A.; Naar, A.; Kahloula, K.; Slimani, M. Ameliorative Effect of The Essential Oil of Syzygium aromaticum in Wistars Rats Exposed to Aluminum Chloride. J. Egypt. Acad. J. Biol. Sciences. C Physiol. Mol. Biol. 2022, 14, 403–413. [Google Scholar] [CrossRef]
- Belmadani, A.; Tramu, G.; Betbeder, A.M.; Steyn, P.S.; Creppy, E.E. Regional selectivity to ochratoxin A, distribution and cytotoxicity in rat brain. Arch. Toxicol. 1998, 72, 656–662. [Google Scholar] [CrossRef]
- Porsolt, R.D.; Le Pichon, M.; Jalfre, M. Depression: A new animal model sensitive to antidepressant treatments. Nature 1977, 266, 730–732. [Google Scholar] [CrossRef]
- Lecorps, B.; Rödel, H.G.; Féron, C. Assessment of anxiety in open field and elevated plus maze using infrared thermography. Physiol. Behav. 2016, 157, 209–216. [Google Scholar] [CrossRef] [PubMed]
- Arabi, W.; Kahloula, K.; Adli, D.E.H.; Brahmi, M.; Taibi, N.; Slimani, M. Prophylactic effect of the aqueous extract of Pimpinella anisum on the behavior of Wistar rats exposed to mercury. Not. Sci. Biol. 2021, 13, 10878. [Google Scholar] [CrossRef]
- Tian, H.; Ding, N.; Guo, M.; Wang, S.; Wang, Z.; Liu, H.; Yang, J.; Li, Y.; Ren, J.; Jiang, J.; et al. Analysis of Learning and Memory Ability in an Alzheimer’s Disease Mouse Model using the Morris Water Maze. J. Vis. Exp. JoVE. 2019, 152, e60055. [Google Scholar] [CrossRef]
- Hascoet, M.; Bourin, M. The mouse light–dark box test. In Mood and Anxiety Related Phenotypes in Mice: Characterization Using Behavioral Tests; Humana Press: New York, NY, USA, 2009; pp. 197–223. [Google Scholar]
- Szymanowicz, A. Immunoanalytical characteristics of cortisol. Immuno-Anal. Biol. Spécialisée 2011, 26, 147–157. [Google Scholar] [CrossRef]
- Sweilam, S.H.; Abdel Bar, F.M.; Foudah, A.I.; Alqarni, M.H.; Elattal, N.A.; El-Gindi, O.D.; El-Sherei, M.M.; Abdel-Sattar, E. Phytochemical, Antimicrobial, Antioxidant, and In Vitro Cytotoxicity Evaluation of Echinops erinaceus Kit Tan. Separations 2022, 9, 447. [Google Scholar] [CrossRef]
- Sweilam, S.H.; Abdel Bar, F.M.; Foudah, A.I.; Alqarni, M.H.; El-Gindi, O.D.; El-Sherei, M.M.; Abdel-Sattar, E. Phytochemical Investigation, Antiulcer, Cyclooxygenase-2, and 15-Lipoxygenase Inhibitory Activities of Echinops erinaceus Kit Tan. Separations 2023, 10, 76. [Google Scholar] [CrossRef]
- Mitra, S.; Muni, M.; Shawon, N.J.; Das, R.; Emran, T.B.; Sharma, R.; Chandran, D.; Islam, F.; Hossain, M.J.; Safi, S.Z.; et al. Tacrine Derivatives in Neurological Disorders: Focus on Molecular Mechanisms and Neurotherapeutic Potential. Oxidative Med. Cell. Longev. 2022, 2022, 7252882. [Google Scholar] [CrossRef] [PubMed]
- El Sharazly, B.M.; Ahmed, A.; Elsheikha, H.M.; Carter, W.G. An In Silico and In Vitro Assessment of the Neurotoxicity of Mefloquine. Biomedicines 2024, 12, 505. [Google Scholar] [CrossRef] [PubMed]
- Sweilam, S.H.; Abd El Hafeez, M.S.; Mansour, M.A.; Mekky, R.H. Unravelling the Phytochemical Composition and Antioxidant Potential of Different Parts of Rumex vesicarius L.: A RP-HPLC-MS-MS/MS, Chemometrics, and Molecular Docking-Based Comparative Study. Plants 2024, 13, 1815. [Google Scholar] [CrossRef]

















| Compounds | Retention Time (min) | Concentration (%) | Chemical Formula |
|---|---|---|---|
| Aromadendrene | 54.2 | 0.01 | C15H24 |
| Calamenene | 67.6 | 0.01 | C15H22 |
| β-Caryophyllene | 53.4 | 7.21 | C15H24 |
| Caryophyllene Oxide | 76.7 | 0.08 | C15H24O |
| Chavicol | 92.7 | 0.09 | C9H10O |
| α-Copaene | 46.0 | 0.03 | C15H24 |
| Cubenol | 80.6 | 0.01 | C15H26O |
| α-Cubebene | 43.4 | 0.02 | C15H24 |
| Epoxide isomeric | 73.9 | 0.01 | C28H30O2 |
| Epoxy-6,7-humulen | 79.7 | 0.01 | C15H24 |
| Eugenol | 85.3 | 80.83 | C10H12O2 |
| Eugenyl acetate | 89.6 | 10.48 | C12H14O3 |
| α-Farnesene | 61.9 | 0.02 | C15H24 |
| Geraniol | 67.5 | 0.03 | C10H18O |
| Germacren | 50.4 | 0.01 | C15H24 |
| α-Himachalene | 58.8 | 0.02 | C15H24 |
| β-Himachallene | 60.9 | 0.01 | C15H24 |
| γ-Himachallene | 58.8 | 0.01 | C15H24 |
| α-Humulene | 57.8 | 0.87 | C15H24 |
| Isocaryophyllene | 51.6 | 0.02 | C15H24 |
| Isomeric selinadiene | 61.2 | 0.01 | C15H24 |
| Methyleugenol | 76.9 | 0.01 | C11H14O2 |
| Sesquiterpenol | 79.9 | 0.01 | C15H24O2 |
| Sequiterponic epoxide | 72.8 | 0.01 | C28H30O2 |
| Zonarene | 57.0 | 0.02 | C15H24 |
| Groups in the constitution (%) | |||
| Phenols | 80.93 | ||
| Sesquiterpene hydrocarbons | 8.56 | ||
| Esters | 10.48 | ||
| Terpenic alcohols | 0.03 | ||
| Total identified (%) | 100 | ||
| The Group of Rats | C | OTA | OTA-EOC | EOC |
|---|---|---|---|---|
| Body weight | 385 g (±0.48) | 245 g (±0.048) | 315 g (±1.091) | 400 g (±0.48) |
| Weight of the brain | 2.19 g (±0.0018) | 1.47 g (±0.05) | 1.92 g *** | 2.19 g *** (±0.004) |
| Proteins | 4EY5 | 6I0C | ||||
|---|---|---|---|---|---|---|
| Ligands | BA | BN | AA residues | BA | BN | AA residues |
| Co-crystallized ligands | ||||||
| NAG | −4.4 | 2 | Arg296, Gln291, Glu292, Leu76, Leu289, Ser293, Trp286, Tyr72, Tyr341, Val294 | −5.5 | 2 * | Ala277, Asn68, Asn289, Asp70, Gln119, Glu276, Gly283, Ser287, Thr120, Thr284, Val280 |
| MES | -- | -- | −4.9 | 3 * | Ala277, Asn68, Asn289, Gln119, Glu276, Gly283, Ser287, Thr284, Val280 | |
| GZ5 | -- | -- | −2.8 | 6 | Ala277, Asn68, Asn83, Asn289, Asp70, Gln67, Gln71, Gln119, Gly115, Gly116, Gly121, Ile69, Leu125, Pro285, Thr120, Thr122, Thr284, Trp82, Tyr128, Tyr332 | |
| Essential oil compounds | ||||||
| Eugenol | −5.9 | 6 * | Gln291, Glu292, Leu289, Phe295, Ser293, Trp286, Tyr72, Tyr341, Val294 | −4.7 | 4 | Ala277, Asn68, Asn289, Asp70, Gln71, Gln119, Glu276, Ile69, Thr120 |
| Eugenol acetate | −6.6 | 5 | Arg296, Asp74, Gln291, Glu292, Leu289, Phe295, Ser293, Trp286, Tyr72, Tyr124, Tyr341, Val294 | −5.2 | 3 | Ala277, Asn68, Asn289, Asp70, Gln119, Glu276, Gly283, Ile69, Ser287, Thr284, Val280 |
| Neurotoxic substance | ||||||
| Ochratoxin A | −4.2 | 9 * | Asp74, Glu292, Leu76, Leu289, Phe295, Ser125, Thr75, Trp286, Tyr124, Tyr341, Tyr337, Val294 | −3.2 | 4 * | Ala277, Asn68, Asn289, Asp70, Glu276, Gly283, Gly333, Ile69, Pro285, Ser287, Thr120, Thr284, Tyr332, Val280 |
| Controls | ||||||
| Dopamine | −5.5 | 3 * | Arg296, Gln291, Glu292, Leu289, Phe295, Ser293, Trp286, Tyr72, Tyr341, Val294 | −4.9 | 5 | Ala277, Asn68, Asn289, Asp70, Gln119, Glu276, Gly149, Ile69, Thr120 |
| Glutamic acid | −4.9 | 2 | Arg296, Gln291, Glu292, Gly342, Leu289, Phe295, Phe297, Ser293, Trp286, Tyr341, Val294 | −5.0 | 3 | Asn68, Asn83, Asp70, Gln67, Gly116, Gly121, Ile69, Pro84, Thr120, Thr122 |
| Norepinephrine | −5.5 | 5 * | Arg296, Leu76, Leu289, Phe295, Phe297, Ser293, Trp286, Tyr72, Tyr341, Val294 | −5.2 | 3 | Ala277, Asn68, Asn289, Asp70, Gln71, Gln119, Glu276, Ile69, Thr120 |
| Serotonin | −6.0 | 3 * | Arg296, Asp74, Ser293, Trp286, Tyr72, Tyr124, Val294 | −5.2 | 3 * | Ala277, Asn68, Asp70, Gln68, Gln119, Ile69, Phe290, Thr120, Thr284 |
Disclaimer/Publisher’s Note: The statements, opinions and data contained in all publications are solely those of the individual author(s) and contributor(s) and not of MDPI and/or the editor(s). MDPI and/or the editor(s) disclaim responsibility for any injury to people or property resulting from any ideas, methods, instructions or products referred to in the content. |
© 2025 by the authors. Licensee MDPI, Basel, Switzerland. This article is an open access article distributed under the terms and conditions of the Creative Commons Attribution (CC BY) license (https://creativecommons.org/licenses/by/4.0/).
Share and Cite
Brahmi, M.; Adli, D.E.H.; Kaoudj, I.; Alkholifi, F.K.; Arabi, W.; Sohbi, S.; Ziani, K.; Kahloula, K.; Slimani, M.; Sweilam, S.H. Chemical Composition, In Vivo, and In Silico Molecular Docking Studies of the Effect of Syzygium aromaticum (Clove) Essential Oil on Ochratoxin A-Induced Acute Neurotoxicity. Plants 2025, 14, 130. https://doi.org/10.3390/plants14010130
Brahmi M, Adli DEH, Kaoudj I, Alkholifi FK, Arabi W, Sohbi S, Ziani K, Kahloula K, Slimani M, Sweilam SH. Chemical Composition, In Vivo, and In Silico Molecular Docking Studies of the Effect of Syzygium aromaticum (Clove) Essential Oil on Ochratoxin A-Induced Acute Neurotoxicity. Plants. 2025; 14(1):130. https://doi.org/10.3390/plants14010130
Chicago/Turabian StyleBrahmi, Mostapha, Djallal Eddine H. Adli, Imane Kaoudj, Faisal K. Alkholifi, Wafaa Arabi, Soumia Sohbi, Kaddour Ziani, Khaled Kahloula, Miloud Slimani, and Sherouk Hussein Sweilam. 2025. "Chemical Composition, In Vivo, and In Silico Molecular Docking Studies of the Effect of Syzygium aromaticum (Clove) Essential Oil on Ochratoxin A-Induced Acute Neurotoxicity" Plants 14, no. 1: 130. https://doi.org/10.3390/plants14010130
APA StyleBrahmi, M., Adli, D. E. H., Kaoudj, I., Alkholifi, F. K., Arabi, W., Sohbi, S., Ziani, K., Kahloula, K., Slimani, M., & Sweilam, S. H. (2025). Chemical Composition, In Vivo, and In Silico Molecular Docking Studies of the Effect of Syzygium aromaticum (Clove) Essential Oil on Ochratoxin A-Induced Acute Neurotoxicity. Plants, 14(1), 130. https://doi.org/10.3390/plants14010130

