Cell Suspension Culture and In Vitro Screening for Drought Tolerance in Soybean Using Poly-Ethylene Glycol
Abstract
1. Introduction
2. Results and Discussion
2.1. Raising of Callus Cultures
2.2. Establishment of Embryogenic Cell Suspension Cultures
2.3. Determination of the LD50 of PEG6000
2.4. In Vitro Selection
2.5. Regeneration of Plants
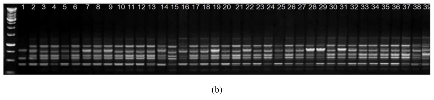
2.6. Molecular Confirmation of Putative Drought Tolerant Plants
3. Materials and Methods
3.1. Experimental Materials
3.2. Culture Media
3.3. Establishment of Cell Suspension Cultures
3.4. Preparation of Culture Media
3.5. Immature Embryonic Axis and Cotyledons Excision and Plating Technique
3.6. Mature Embryonic Axis and Cotyledons Excision and Plating Technique
3.7. Culture Conditions for Callus Cultures
3.8. Culture Conditions for Cell Suspension Cultures
3.9. Determination of the LD50 of PEG6000
3.10. In Vitro Selection and Regeneration Procedures
3.11. Regeneration of Plants from Tolerant Calli/Embryoids/Cell Clumps
3.12. Rooting of Regenerants
3.13. Hardening of Regenerated Plants
3.14. Molecular Confirmation of Putative Drought Tolerant Plants(s) Using RAPD Markers:
4. Conclusions
Author Contributions
Funding
Institutional Review Board Statement
Informed Consent Statement
Data Availability Statement
Conflicts of Interest
Abbreviations
| MS | Murashige and Skoog; |
| 2,4-D | 2,4 dichlorophenoxyacitic acid |
| NAA | α-napthaleneaceticacid |
| BA | 6-benzyladenine |
| IBA | indole-3-butyric acid |
References
- Hemon, A.F.; Sudarsono. Evaluation of somaclones peanut plants regenerated from repeat cycles of in vitro selection against drought stress. J. Agron. 2010, 38, 36–42. [Google Scholar]
- Sakthivelu, G.; Devi, M.K.A.; Giridhar, P.; Rajasekaran, T.; Ravishankar, G.A.; Nedev, T.; Kosturkova, G. Drought-induced alterations in growth, osmotic potential and in vitroregeneration of soybean cultivars. Gen. Appl. Plant Physiol. 2008, 34, 103–112. [Google Scholar]
- Carlson, P. Methionine sulphoximine resistant mutants of tobacco. Science 1973, 180, 1366. [Google Scholar] [CrossRef] [PubMed]
- D’Amato, F. Cytogenetics of plant cell and tissue cultures and their regenerants. CRC Crit. Rev. Plant Sci. 1985, 3, 73–112. [Google Scholar] [CrossRef]
- Jia-Ping, Z.; Roth, E.J.; Terzaphi, W.; Lark, K.G. Isolation of sodium dependent variants from haploid soybean cell culture. Plant Cell Rep. 1981, 1, 48–51. [Google Scholar] [CrossRef]
- Matheka, J.M.; Magiri, E.; Rasha, A.O.; Machuka, J. In vitro selection and characterization of drought tolerant somaclones of tropical maize (Zea mays L.). Biotechnology 2008, 7, 641–650. [Google Scholar] [CrossRef][Green Version]
- Mahmood, I.; Razzaq, A.; Ashraf, M.; Hafiz, I.A.; Kaleem, S.; Qayyum, A.; Ahmad, M. In vitro selection of tissue culture induced somaclonal variants of wheat for drought tolerance. J. Agric. Res. 2012, 50, 177–188. [Google Scholar]
- Raia, M.K.; Kalia, R.K.; Singh, R.; Gangola, M.P.; Dhawan, A.K. Developing stress tolerant plants through in vitro selection An overview of the recent progress. Environ. Exp. Bot. 2011, 71, 89–98. [Google Scholar] [CrossRef]
- Muhammad, H.; Khan, S.A.; Shinwari, Z.K.; Khan, A.L.; Ahmad, N.; In-Jung, L. Effect of polyethylene glycol induced drought stress on physio-hormonal attributes of soybean. Pak. J. Bot. 2010, 42, 977–986. [Google Scholar]
- Khodarahmpour, Z. Effect of drought stress induced by polyethylene glycol(PEG) on germination in dices in corn (Zea mays L.) hybrids. Afr. J. Biotechnol. 2011, 10, 18222–18227. [Google Scholar]
- Saepudin, A.; Khumaida, N.; Sopandie, D.; Sintho, W.A. In vitro selection of four soybean genotypes using PEG for drought tolerance. J. Agron. Indones. 2017, 45, 14–22. [Google Scholar] [CrossRef][Green Version]
- Gopal, J.; Iwama, K. In vitro screening of potato against water stress mediated through sorbitol and polyethylene glycol. Plant Cell Rep. 2007, 26, 693–700. [Google Scholar] [CrossRef]
- Wani, S.H.; Sofi, P.A.; Gosal, S.S.; Singh, N.B. In vitro screening of rice (Oryza sativa L.) calli for drought tolerance. Commun. Biometry Crop Sci. 2010, 5, 108–115. [Google Scholar]
- Hassanein, A.M. Establishment of efficient in vitro methods for drought tolerance evaluation in Pelargonium. J. Hortic. Sci. Ornam. Plants 2010, 2, 8–15. [Google Scholar]
- Bidabadi, S.S.; Meon, Z.; Wahab, S.; Subramaniam, M.M. In vitro selection and characterization of water stress tolerant lines among ethyl methane sulphonate (EMS) induced variants of banana (Musa spp., with AAA genome). Aust. J. Crop Sci. 2012, 6, 567–575. [Google Scholar]
- Tsago, Y.; Andargie, M.; Takele, A. PEG induced drought stress. Plant Sci. Today 2014, 1, 62–68. [Google Scholar] [CrossRef]
- Rahayu, E.S.; Sudarsono, S. In vitro selection of drought tolerant peanut embryogenic calli on medium containing polyethylene glycol and regeneration of drought tolerant plants. Emir. J. Food Agric. 2015, 27, 475–487. [Google Scholar] [CrossRef]
- Sunaryo, W.; Wahyu, W.; Nurhasanah, S. Drought tolerance selection of soybean lines generated from somatic embryogenesis using osmotic stress simulation of poly-ethylene glycol (PEG). Nusantara Biosci. 2017, 1, 45–54. [Google Scholar]
- Tripathi, M.K. Effect of Genotypes and Culture Media on In Vitro Response of Soybean (Glycine max L. Merr). Master’s Thesis, Jawaharlal Nehru Agricultural University, Jabalpur, India, 1998; p. 132. [Google Scholar]
- Tripathi, M.K. Optimization of Somatic Embryogenesis in Soybean (Glycine max L.Merr). Ph.D. Thesis, APS University, Rewa, India, 2004. [Google Scholar]
- Tripathi, M.K.; Tiwari, S. Plant regeneration from immature cotyledon derived cultures of soybean (Glycine max L. Merrill). Plant Cell Biotechnol. Mol. Biol. 2004, 5, 121–128. [Google Scholar]
- Tripathi, M.K.; Tiwari, S. Differentiation abilities of callus induced from diverse explants of soybean (Glycine max L. Merrill.). Soybean Res. 2004, 2, 1–9. [Google Scholar]
- Tripathi, M.; Tiwari, S. Effect of genotype and culture medium on callus proliferation and morphogenesis of immature embryonic axes of soybean (Glycine Max L. Merr.). Plant Cell Biotechnol. Mol. Biol. 2004, 5, 1–6. [Google Scholar]
- Tripathi, M.K.; Tiwari, S. Morphogenesis and plantlet regeneration from soybean (Glycine max L. Merrill) leaf discs influenced by genotypes and plant growth regulators. Legum. Res. 2004, 27, 88–93. [Google Scholar]
- Tripathi, M.K.; Tiwari, S. Epigenesis and high frequency plant regeneration from soybean (Glycine max L. Merrill) hypocotyls. Plant Tissue Cult. Biotechnol. 2003, 13, 61–73. [Google Scholar]
- Tripathi, M.K.; Tiwari, S. Plant regeneration from mature cotyledon derived cultures of soybean (Glycine max L. Merrill). Soybean Res. 2003, 1, 65–75. [Google Scholar]
- Tiwari, S.; Tripathi, M.K.; Khare, U.K.; Rana, R. Initiation of embryogenic suspension cultures and plant regeneration in onion (Allium cepa L.). Indian J. Biotechnol. 2007, 6, 100–106. [Google Scholar]
- Jhankare, A.; Tripathi, M.K.; Tiwari, G.; Pandey, G.N.; Tiwari, S.; Baghel, B.S. Plantlet regeneration from embryogenic cell suspension culture in ashwagandha (Withania somnifera (L.) Dunal.). Indian J. Plant Physiol. 2011, 16, 189–199. [Google Scholar]
- Bairwa, S.K.; Tripathi, M.K.; Kushwah, S.S.; Tiwari, S.; Baghel, B.S. Somatic embryogenesis and plantlet regeneration from embryogenic suspension culture in muskmelon (Cucumis melo L). Indian J. Hortic. 2012, 69, 338–347. [Google Scholar]
- Uikey, D.S.; Tripathi, M.K.; Tiwari, G.; Patel, R.P.; Ahuja, A. Embryogenic cell suspension culture induction and plantlet regeneration of Rauvolfia serpentina (L.) Benth.: Influence of different plant growth regulator concentrations and combinations. Med. Plants-Int. J. Phytomed. Relat. Indus. 2016, 8, 153–162. [Google Scholar] [CrossRef]
- Patidar, S.L.; Tripathi, M.K.; Tiwari, G.; Patel, R.P.; Ahuja, A. Standardization of an efficient and reproducible embryogenic cell suspension culture protocol for production of secondary metabolites in Plumbago zeylanica Linn. Ecol. Environ. Conserv. 2017, 23, 373–380. [Google Scholar]
- Sharma, D.K.; Tripathi, M.K.; Tiwari, R.; Baghel, B.S.; Ahuja, A. Somatic embryogenesis and plantlet regeneration via embryogenic suspensions of grape (Vitis vinifera L.). Asian J. Microbiol. Biotechnol. Environ. Sci. 2018, 20, S112–S125. [Google Scholar]
- Finer, J.J. Apical proliferation of embryogenic tissue of soybean (Glycine max (L.) Merrill). Plant Cell Rep. 1988, 7, 238–241. [Google Scholar] [CrossRef] [PubMed]
- Bartels, D.; Sunkar, R. Drought and salt tolerance in plants. Crit. Rev. Plant. Sci. 2005, 24, 23–58. [Google Scholar] [CrossRef]
- Lestari, E.G. Review: In vitroselection and somaclonal variation for biotic and abiotic stress tolerance. Biodiversitas 2006, 7, 297–301. [Google Scholar] [CrossRef]
- Chawla, H.S.; Wenzel, G. Regeneration potential of callus from wheat and barley. Arch Zuchtungsforsch 1987, 17, 337–343. [Google Scholar]
- Tripathi, M.K.; Tiwari, S.; Khare, U.K. In vitro selection for resistance against purple blotch disease of onion (Allium cepa L.) caused by Alternaria Porri. Biotechnology 2008, 7, 80–86. [Google Scholar]
- Jhankare, A.; Tripathi, M.K.; Tiwari, G.; Pandey, G.N.; Patel, R.; Tiwari, S.; Baghel, B.S. Development of resistant lines against leaf blight disease of [(Wthania somnifera (L.) Dunal.)] caused by Aternaria alternata through in vitro selection. Plant Cell Biotechnol. Mol. Biol. 2011, 12, 21–30. [Google Scholar]
- Lutts, S.; Almansouri, M.; Kinet, J. Salinity and water stress have contrasting effects on the relationship between growth and cell viability during and after stress exposure in durum wheat callus. Plant Sci. 2004, 167, 9–18. [Google Scholar] [CrossRef]
- Mahmood, I.; Razzaq, A.; Hafiz, I.A.; Kaleem, S.; Khan, A.A.; Qayyum, A.; Ahmad, M. Interaction of calli selection medium and stress duration for in vitroselection of drought tolerant calli of wheat. Afr. J. Biotechnol. 2012, 11, 4000–4006. [Google Scholar]
- Sayar, R.; Bchini, H.; Mosbahi, M.; Ezzine, M. Effects of salt and drought stresses on germination, emergence and seedling growth of durum wheat (Triticum durum Desf.). J. Agric. Res. 2010, 5, 2008–2016. [Google Scholar]
- Aazami, M.A.; Torabi, M.; Jalil, E. In vitroresponse of promising tomato genotypes for tolerance to osmotic stress. Afr. J. Biotechnol. 2010, 9, 4014–4017. [Google Scholar]
- Upadhyay, S. Biotechnological Enhancement of Soybean(Glycine max (L.)Merrill) against Macrophominaphaseolina & Rhizoctonia solani through Molecular and In Vitro Selection Approaches. Master’s Thesis, RVS Agricultural University, Gwalior, India, 2019. [Google Scholar]
- Upadhyay, S.; Singh, A.K.; Tripathi, M.K.; Tiwari, S.; Tripathi, N.; Patel, R.P. In vitro selection for resistance against charcoal rot disease of soybean [Glycine max (L.) Merrill] caused by Macrophomina phaseolina (Tassi) Goid. Legum. Res. Int. 2020, LR-4440. [Google Scholar] [CrossRef]
- Widoretno, W.; Arumningtyas, E.; Sudarsono, L. Metode induksi pembentukan embrio somatik dari kotiledon dan regenerasi planlet kedelai secara in vitro. Hayati 2003, 10, 19–24. [Google Scholar]
- Tereso, S.; Zoglauer, K.; Milhinhos, A.; Miguel, C.; Oliveira, M.M. Zigotic and somatic morphogenesis in Pinus pinaster. Comparative histological and histochemical study. Tree Physiol. 2007, 27, 661–669. [Google Scholar] [CrossRef]
- Abdel-Haleem, H.; Lee, G.J.; Boerma, R.H. Identification of QTL for increased fibrous roots in soybean. Theor. Appl. Genet. 2011, 122, 935–946. [Google Scholar] [CrossRef]
- Chartzoulakis, K.A.; Patakas, G.K.; Ofidis, A.; Bosabalidis, N. Water stress affects leaf anatomy, gas exchange, water relations and growth of two avocado cultivars. Sci. Hort. 2002, 95, 39–50. [Google Scholar] [CrossRef]
- Boscherini, G.; Muleo, R.; Montagni, G.; Cinelli, F.; Pellegrini, M.G.; Bernardini, M.; Buiatti, M. Characterization of salt tolerant plants derived from a Lycopersicon esculentum Mill. somaclone. J. Plant Physiol. 1999, 155, 613–619. [Google Scholar] [CrossRef]
- Paul, R.; Shylaja, M.; Nazeem, P. Molecular characterization of selected somaclones in ginger using RAPD markers. Indian J. Hortic. 2012, 69, 221–225. [Google Scholar]
- Murashige, T.; Skoog, F. A revised medium for rapid growth and bioassays with tobacco tissue cultures. Physiol. Plant. 1962, 15, 473–497. [Google Scholar] [CrossRef]
- Gamborg, O.L.; Miller, R.A.; Ojima, K. A nutrients requirement of suspension cultures of soybean root cells. Exp. Cell Res. 1968, 50, 151–158. [Google Scholar] [CrossRef]
- Tiwari, S.; Tripathi, M.K. Comparison of morphogenic ability of callus types induced from different explants of soybean (Glycine max L. Merrill). Legum. Res. 2005, 28, 115–118. [Google Scholar]






| S. No | Culture Media | Plant Growth Regulator mgL−1 | Direct Shoot Formation | Root Formation | Callus Formation | Non Morphogenic Friable Calli | Callus Colour | Callus Texture and Morphology | ||
|---|---|---|---|---|---|---|---|---|---|---|
| NAA | 2,4-D | BAP | ||||||||
| 1. | MSN | 1.0 | - | - | - | + | + | - | Yellow greenish | Soft friable |
| 2. | MS2N | 2.0 | - | - | - | ++ | ++ | - | Yellow greenish | Soft friable |
| 3. | MS3N | 3.0 | - | - | - | ++ | ++ | - | Yellow greenish | Soft friable |
| 4. | MS4N | 4.0 | - | - | - | + | +++ | - | A mixture of yellow, green and whitish calli | Compact |
| 5. | MS5N | 5.0 | - | - | - | + | +++ | - | A mixture of yellow, green and whitish calli | Compact |
| 6. | MS6N | 6.0 | - | - | - | + | ++++ | - | Yellow/green | Compact. Large in size |
| 7. | MS8N | 8.0 | - | - | - | + | ++++ | + | Yellow/green | Compact. Larger in size |
| 8. | MS10N | 10.0 | - | - | - | + | ++++ | ++ | Dark yellow | Compact. Largest in size |
| 9. | MSD | - | 1.0 | - | - | + | ++ | + | Yellowish | Soft friable. Callus covered with white boundaries |
| 10. | MS 2D | - | 2.0 | - | - | + | +++ | + | Yellowish | Soft friable. Callus covered with white boundaries |
| 11. | MS 5 D | - | 5.0 | - | - | + | ++++ | + | Yellowish | Soft friable. Callus covered with white boundaries |
| 12. | MS10D | - | 10.0 | - | - | Rare | ++++ | ++ | Yellowish | Soft friable. Callus covered with white boundaries |
| 13. | MS20D | - | 20.0 | - | - | Rare | ++++ | +++ | Yellowish/white | Covered with dense layer of white loose calluses |
| 14. | MS30D | - | 30.0 | -- | - | Very rare | ++++ | +++ | Yellowish/white | Covered with dense white loose calluses. Comparatively large in size |
| 15. | MS40D | - | 40.0 | - | - | Very rare | ++++ | +++ | Yellowish/dark brown | Covered with dense layer of brown loose calluses. Largest in size |
| 16. | MSB | - | - | 1.0 | + | + | + | - | Green | Compact. Covered with white layers of loose calluses |
| 17. | MS2B | - | - | 2.0 | + | Rare | ++ | - | Green | Compact. Covered with white layers of loose calluses |
| 18. | MS3B | - | - | 3.0 | ++ | Rare | +++ | - | Green | Compact. Covered with white layers of calluses |
| 19. | MS4B | - | - | 4.0 | ++ | Very rare | +++ | - | Green whitish | Compact. Covered with white layers of calli |
| 20. | MS5B | - | - | 5.0 | - | Very rare | +++ | - | Green. After 2–3 weeks of initial culture colour of calli changed in black | Compact. Covered with white layers of calluses |
Genotype ![]() Medium ![]() | Plant Growth Regulators mgL−1 | Cell Suspension Cultures | |||||||||
|---|---|---|---|---|---|---|---|---|---|---|---|
| Embryonic Axis Derived Calli | Cotyledon Derived Calli | ||||||||||
| 2,4-D | NAA | BA | JS335 | JS93-05 | JS335 | JS93-05 | |||||
| Increment in FW (g) * | RG (%) | Increment in FW (g) * | RG (%) | Increment in FW (g) * | RG (%) | Increment in FW (g) * | RG (%) | ||||
| Control | - | - | - | 1.00 ± 0.08 | 100 | 1.08 ± 0.10 | 108 | 1.02 ± 0.08 | 102 | 1.10 ± 0.10 | 110 |
| MSDN.5B | 1.0 | 1.0 | 0.5 | 1.12 ± 0.14 | 112 | 1.18 ± 0.16 | 118 | 1.20 ± 0.20 | 120 | 1.28 ± 0.22 | 128 |
| MS2DN.5B | 2.0 | 1.0 | 0.5 | 1.24 ± 0.18 | 124 | 1.33 ± 0.20 | 133 | 1.30 ± 0.18 | 130 | 1.40 ± 0.22 | 140 |
| MS3DN.5B | 3.0 | 1.0 | 0.5 | 1.46 ± 0.24 | 146 | 1.52 ± 0.24 | 152 | 1.68 ± 0.28 | 168 | 1. 84 ± 0.28 | 184 |
| MS4DN.5B | 4.0 | 1.0 | 0.5 | 1.62 ± 0.26 | 162 | 1.74 ± 0.27 | 174 | 1.77 ± 0.29 | 177 | 1.92 ± 0.29 | 192 |
| MS5DN.5B | 5.0 | 1.0 | 0.5 | 1.94 ± 0.30 | 194 | 208 ± 0.32 | 208 | 2.12 ± 0.34 | 212 | 2.26 ± 0.26 | 226 |
| MS10DN.5B | 10.0 | 1.0 | 0.5 | CM | - | CM | - | CM | - | CM | - |
| MS2D2N.5B | 2.0 | 2.0 | 0.5 | 1.42 ± 0.20 | 142 | 1.53± 0.22 | 153 | 1.47 ± 0.22 | 147 | 1.58 ± 0.24 | 158 |
| MS3D2N.5B | 3.0 | 2.0 | 0.5 | 1.67 ± 0.26 | 167 | 1.74 ± 0.26 | 174 | 1.83 ± 0.30 | 183 | 1. 98 ± 0.31 | 198 |
| MS4D2N.5B | 4.0 | 2.0 | 0.5 | 1.85 ± 0.28 | 185 | 1.92 ± 0.29 | 192 | 1.96 ± 0.31 | 196 | 2.22 ± 0.32 | 222 |
| MS5D2N.5B | 5.0 | 2.0 | 0.5 | 2.07 ± 0.30 | 207 | 2.12 ± 0.31 | 212 | 2.16 ± 0.33 | 216 | 2.41 ± 0.34 | 241 |
| MS10D2N.5B | 10.0 | 2.0 | 0.5 | CM | - | CM | - | CM | - | CM | |
| MS2D3N.5B | 2.0 | 3.0 | 0.5 | 154 ± 0.24 | 154 | 1.72± 0.24 | 172 | 1.66 ± 0.24 | 166 | 1.79 ± 0.26 | 179 |
| MS4D3N.5B | 4.0 | 3.0 | 0.5 | 2.04 ± 0.30 | 204 | 2.15 ± 0.32 | 215 | 2.18± 0.33 | 218 | 2.42 ± 0.34 | 242 |
| MS5D3N.5B | 5.0 | 3.0 | 0.5 | 2.16 ± 0.34 | 216 | 2.30 ± 0.36 | 230 | 2.37 ± 0.35 | 237 | 2.52 ± 0.38 | 252 |
| MS10D3N.5B | 10.0 | 3.0 | 0.5 | CM | CM | CM | - | CM | - | ||
| MS2D5N.5B | 2.0 | 5.0 | 0.5 | 169 ± 0.26 | 169 | 1.83± 0.26 | 183 | 1.87 ± 0.26 | 187 | 2.01 ± 0.28 | 201 |
| MS3D5N.5B | 3.0 | 5.0 | 0.5 | 1.88 ± 0.28 | 188 | 1.96 ± 0.28 | 196 | 2.04 ± 0.32 | 204 | 2.21 ± 0.34 | 221 |
| MS5D5N.5B | 5.0 | 5.0 | 0.5 | 2.43 ± 0.36 | 243 | 2.54 ± 0.38 | 254 | 2.68 ± 0.39 | 268 | 2.81 ± 0.40 | 281 |
| MS10D5N.5B | 10.0 | 5.0 | 0.5 | CM | - | CM | - | CM | - | CM | - |
| MS5D10N.5B | 5.0 | 10.0 | 0.5 | 2.26 ± 0.32 | 226 | 2.41 ± 0.33 | 241 | 2.44 ± 0.37 | 244 | 2.62 ± 0.36 | 262 |
| Concentration of PEG6000 (% w/v) | Relative Growth Rate of Callus Cultures 1 | Relative Growth Rate of Suspension Cultures 2 | ||
|---|---|---|---|---|
| JS335 | JS93-05 | JS335 | JS93-05 | |
| 0.0 | 100.00 ± 0.38 | 100.00 ± 0.40 | 100.00 ± 0.36 | 100.00 ± 0.39 |
| 5.0 | 85.34 ± 0.32 | 87.91 ± 0.30 | 80.52 ± 0.34 | 88.78 ± 0.34 |
| 10.0 | 65.13 ± 0.26 | 68.48 ± 0.28 | 69.86 ± 0.30 | 75.86 ± 0.32 |
| 15.0 | 63.52 ± 0.24 | 65.68 ± 0.25 | 61.52 ± 0.26 | 66.34 ± 0.29 |
| 20.0 | 51.12 ± 0.22 | 52.19 ± 0.24 | 49.18 ± 0.24 | 52.40 ± 0.26 |
| 25.0 | 21.98 ± 0.20 | 23.78 ± 0.22 | 22.56 ± 0.22 | 25.84 ± 0.20 |
| 30.0 | 9.75 ± 0.16 | 11.54 ± 0.18 | 12.90 ± 0.16 | 14.62 ± 0.18 |
| Cultivar | Number of Calli Cultured | Number of Surviving Calli after 4 Selection Cycles | |||
|---|---|---|---|---|---|
| I | II | III | IV | ||
| Continuous method | |||||
| JS335 | 500 | 184 (36.80%) | 163 (32.60%) | 148 (29.60%) | 136 (27.20%) |
| JS93-05 | 550 | 206 (37.45%) | 187 (34.00%) | 169 (30.72%) | 160 (29.09%) |
| Discontinuous method | |||||
| JS335 | 600 | 237 (39.50%) | - | - | 212 (35.33%) |
| JS93-05 | 650 | 267 (41.07%) | - | - | 247 (38.00%) |
| Cultivar | Number of Cell Clumps/Embryoids Cultured | Number of Surviving Cell Clumps/Embryoids after Selection Cycles | |||
|---|---|---|---|---|---|
| I | II | III | IV | ||
| Continuous method | |||||
| JS335 | 975 | 331 (33.94%) | 297 (30.46%) | 271 (27.79%) | 244 (25.02%) |
| JS93-05 | 1025 | 368 (35.90%) | 334 (32.58%) | 306 (29.85%) | 288 (28.09%) |
| Discontinuous method | |||||
| JS335 | 1000 | 345 (34.50%) | - | - | 324 (32.40%) |
| JS93-05 | 1050 | 397 (37.80%) | - | - | 362 (34.47%) |
| Genotypes | Calli/Cell Clumps/Embryoids | Plants Regenerated | Survival after Hardening in Poly House |
|---|---|---|---|
| JS335 | 524 | 64 (12.21%) | 26 (40.65%) |
| JS93-05 | 594 | 78 (13.13%) | 38 (48.71%) |
| Primer | Sequence 5’-3’ | JS335 | JS93-05 | ||
|---|---|---|---|---|---|
| Total Bands | Polymorphic Bands | Total Bands | Polymorphic Bands | ||
| OPA-5 | AGGGGTCTTG | 4 | 0 | 4 | 0 |
| OPA-8 | GTGACGTAGG | 5 | 0 | 4 | 0 |
| OPC-10 | TGTCTGGGTG | 4 | 0 | 5 | 0 |
| OPC-15 | GACGGATCAG | 6 | 0 | 5 | 0 |
| OPAP-07 | ACCACCCGCT | 6 | 0 | 5 | 0 |
| OPAP-13 | TGAAGCCCCT | 3 | 0 | 3 | 0 |
| OPR-15 | GGACAACGAG | 2 | 0 | 2 | 0 |
| OPM 05 | GGGAACGTGT | 4 | 0 | 3 | 0 |
| OPM-12 | CTGGGCAACT | 7 | 0 | 9 | 3 |
| OPN 13 | GGTGGTCAAG | 6 | 3 | 7 | 3 |
Publisher’s Note: MDPI stays neutral with regard to jurisdictional claims in published maps and institutional affiliations. |
© 2021 by the authors. Licensee MDPI, Basel, Switzerland. This article is an open access article distributed under the terms and conditions of the Creative Commons Attribution (CC BY) license (http://creativecommons.org/licenses/by/4.0/).
Share and Cite
Mishra, N.; Tripathi, M.K.; Tiwari, S.; Tripathi, N.; Sapre, S.; Ahuja, A.; Tiwari, S. Cell Suspension Culture and In Vitro Screening for Drought Tolerance in Soybean Using Poly-Ethylene Glycol. Plants 2021, 10, 517. https://doi.org/10.3390/plants10030517
Mishra N, Tripathi MK, Tiwari S, Tripathi N, Sapre S, Ahuja A, Tiwari S. Cell Suspension Culture and In Vitro Screening for Drought Tolerance in Soybean Using Poly-Ethylene Glycol. Plants. 2021; 10(3):517. https://doi.org/10.3390/plants10030517
Chicago/Turabian StyleMishra, Nishi, Manoj Kumar Tripathi, Sushma Tiwari, Niraj Tripathi, Swapnil Sapre, Ashok Ahuja, and Sharad Tiwari. 2021. "Cell Suspension Culture and In Vitro Screening for Drought Tolerance in Soybean Using Poly-Ethylene Glycol" Plants 10, no. 3: 517. https://doi.org/10.3390/plants10030517
APA StyleMishra, N., Tripathi, M. K., Tiwari, S., Tripathi, N., Sapre, S., Ahuja, A., & Tiwari, S. (2021). Cell Suspension Culture and In Vitro Screening for Drought Tolerance in Soybean Using Poly-Ethylene Glycol. Plants, 10(3), 517. https://doi.org/10.3390/plants10030517



