Assessment of Agrimonia eupatoria L. and Lipophosphonoxin (DR-6180) Combination for Wound Repair: Bridging the Gap Between Phytomedicine and Organic Chemistry
Abstract
1. Introduction
2. Materials and Methods
2.1. Agrimonia eupatoria L. (AE)
2.2. Lipophosphonoxin (LPPO)
2.3. Phenolics Quantification and Identification by HPLC-DAD-MS
2.4. Transforming Growth Factor Beta 1 (TGF-β1)
2.5. Vascular Endothelial Growth Factor A (VEGF-A)
2.6. Human Keratinocyte Cell Line (HaCaT)
2.7. Human Dermal Fibroblasts (HDF)
2.8. Human Dermal Microvascular Vein Endothelial Cells (HMVEC-d)
2.9. MTS Assay Of Cultured Cells
2.10. Two-Dimensional-Migration (Wound Healing) Assay of HaCaT and HMVEC-d Cells
2.11. Western Blot Analysis of HaCaT, HDF, and HMVEC-d Cells
2.12. Immunofluorescence of HaCaT and HDF Cells
2.13. Determination of MIC and MBC Values of AE and LPPO
2.14. Determination of the Synergistic Effect of AE and LPPO
2.15. Animal Model
2.16. Wound Treatment
2.17. Basic Histology and Semi-Quantitative Scoring of Histological Sections
2.18. Statistical Analysis
3. Results
3.1. HPLC Analysis
3.2. In Vitro Experiments
3.2.1. Metabolic Assay of HaCaT, HDF, and HMVEC-d Cells Following Treatment with AE and/or LPPO
3.2.2. Migration Assay of HaCaT and HMVEC-d Cells Following Treatment with AE and/or LPPO
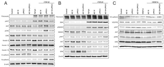
3.2.3. Western Blot of HaCaT, HDF, and HMVEC-d Following Treatment with AE and/or LPPO
3.2.4. Immunofluorescence (IF) Analysis of HaCaT and HDF Treated with AE and LPPO
3.2.5. Antimicrobial Activity of AE and LPPO
3.3. In Vivo Experiment
Histology of Open Wounds
4. Discussion
5. Conclusions
6. Patents
Supplementary Materials
Author Contributions
Funding
Institutional Review Board Statement
Informed Consent Statement
Data Availability Statement
Acknowledgments
Conflicts of Interest
References
- Sen, C.K.; Gordillo, G.M.; Roy, S.; Kirsner, R.; Lambert, L.; Hunt, T.K.; Gottrup, F.; Gurtner, G.C.; Longaker, M.T. Human skin wounds: A major and snowballing threat to public health and the economy. Wound Repair Regen. 2009, 17, 763–771. [Google Scholar] [CrossRef] [PubMed]
- Michalak, M. Plant extracts as skin care and therapeutic agents. Int. J. Mol. Sci. 2023, 24, 15444. [Google Scholar] [CrossRef] [PubMed]
- Moses, R.L.; Prescott, T.A.K.; Mas-Claret, E.; Steadman, R.; Moseley, R.; Sloan, A.J. Evidence for natural products as alternative wound-healing therapies. Biomolecules 2023, 13, 444. [Google Scholar] [CrossRef] [PubMed]
- Benvenuto, M.; Focaccetti, C.; Ciuffa, S.; Fazi, S.; Bei, A.; Miele, M.T.; Albonici, L.; Cifaldi, L.; Masuelli, L.; Bei, R. Polyphenols affect the humoral response in cancer, infectious and allergic diseases and autoimmunity by modulating the activity of th1 and th2 cells. Curr. Opin. Pharmacol. 2021, 60, 315–330. [Google Scholar] [CrossRef]
- Melguizo-Rodriguez, L.; De Luna-Bertos, E.; Ramos-Torrecillas, J.; Illescas-Montesa, R.; Costela-Ruiz, V.J.; Garcia-Martinez, O. Potential effects of phenolic compounds that can be found in olive oil on wound healing. Foods 2021, 10, 1642. [Google Scholar] [CrossRef]
- Kuczmannova, A.; Gal, P.; Varinska, L.; Treml, J.; Kovac, I.; Novotny, M.; Vasilenko, T.; Dall’Acqua, S.; Nagy, M.; Mucaji, P. Agrimonia eupatoria L. and Cynara cardunculus L. Water infusions: Phenolic profile and comparison of antioxidant activities. Molecules 2015, 20, 20538–20550. [Google Scholar] [CrossRef]
- Correia, H.; Gonzalez-Paramas, A.; Amaral, M.T.; Santos-Buelga, C.; Batista, M.T. Polyphenolic profile characterization of Agrimonia eupatoria L. By hplc with different detection devices. Biomed. Chromatogr. 2006, 20, 88–94. [Google Scholar] [CrossRef][Green Version]
- Cao, G.H.; Sofic, E.; Prior, R.L. Antioxidant and prooxidant behavior of flavonoids: Structure-activity relationships. Free Radic. Biol. Med. 1997, 22, 749–760. [Google Scholar] [CrossRef]
- Kuczmannova, A.; Balazova, A.; Racanska, E.; Kamenikova, M.; Fialova, S.; Majernik, J.; Nagy, M.; Gal, P.; Mucaji, P. Agrimonia eupatoria L. and Cynara cardunculus L. Water infusions: Comparison of anti-diabetic activities. Molecules 2016, 21, 564. [Google Scholar] [CrossRef]
- Gray, A.M.; Flatt, P.R. Actions of the traditional anti-diabetic plant, Agrimony eupatoria (agrimony): Effects on hyperglycaemia, cellular glucose metabolism and insulin secretion. Br. J. Nutr. 1998, 80, 109–114. [Google Scholar] [CrossRef]
- Yoon, S.J.; Koh, E.J.; Kim, C.S.; Zee, O.P.; Kwak, J.H.; Jeong, W.J.; Kim, J.H.; Lee, S.M. Agrimonia eupatoria protects against chronic ethanol-induced liver injury in rats. Food Chem. Toxicol. 2012, 50, 2335–2341. [Google Scholar] [CrossRef] [PubMed]
- Lee, K.Y.; Hwang, L.; Jeong, E.J.; Kim, S.H.; Kim, Y.C.; Sung, S.H. Effect of neuroprotective flavonoids of Agrimonia eupatoria on glutamate-induced oxidative injury to ht22 hippocampal cells. Biosci. Biotechnol. Biochem. 2010, 74, 1704–1706. [Google Scholar] [CrossRef] [PubMed]
- Vasilenko, T.; Kovac, I.; Slezak, M.; Durkac, J.; Perzel’ova, V.; Coma, M.; Kanuchova, M.; Urban, L.; Szabo, P.; Dvorankova, B.; et al. Agrimonia eupatoria L. Aqueous extract improves skin wound healing: An in vitro study in fibroblasts and keratinocytes and in vivo study in rats. In Vivo 2022, 36, 1236–1244. [Google Scholar] [CrossRef] [PubMed]
- Rejman, D.; Rabatinova, A.; Pombinho, A.R.; Kovackova, S.; Pohl, R.; Zbornikova, E.; Kolar, M.; Bogdanova, K.; Nyc, O.; Sanderova, H.; et al. Lipophosphonoxins: New modular molecular structures with significant antibacterial properties. J. Med. Chem. 2011, 54, 7884–7898. [Google Scholar] [CrossRef]
- Panova, N.; Zbornikova, E.; Simak, O.; Pohl, R.; Kolar, M.; Bogdanova, K.; Vecerova, R.; Seydlova, G.; Fiser, R.; Hadravova, R.; et al. Insights into the mechanism of action of bactericidal lipophosphonoxins. PLoS ONE 2015, 10, e0145918. [Google Scholar] [CrossRef] [PubMed]
- Seydlova, G.; Pohl, R.; Zbornikova, E.; Ehn, M.; Simak, O.; Panova, N.; Kolar, M.; Bogdanova, K.; Vecerova, R.; Fiser, R.; et al. Lipophosphonoxins II: Design, synthesis, and properties of novel broad spectrum antibacterial agents. J. Med. Chem. 2017, 60, 6098–6118. [Google Scholar] [CrossRef]
- Zbornikova, E.; Gallo, J.; Vecerova, R.; Bogdanova, K.; Kolar, M.; Vitovska, D.; Pham, D.D.D.; Paces, O.; Mojr, V.; Sanderova, H.; et al. Evaluation of second-generation lipophosphonoxins as antimicrobial additives in bone cement. ACS Omega 2020, 5, 3165–3171. [Google Scholar] [CrossRef]
- Do Pham, D.D.; Jencova, V.; Kanuchova, M.; Bayram, J.; Grossova, I.; Suca, H.; Urban, L.; Havlickova, K.; Novotny, V.; Mikes, P.; et al. Novel lipophosphonoxin-loaded polycaprolactone electrospun nanofiber dressing reduces Staphylococcus aureus induced wound infection in mice. Sci. Rep. 2021, 11, 17688. [Google Scholar] [CrossRef]
- Brenmoehl, J.; Miller, S.N.; Hofmann, C.; Vogl, D.; Falk, W.; Schölmerich, J.; Rogler, G. Transforming growth factor-beta 1 induces intestinal myofibroblast differentiation and modulates their migration. World J. Gastroenterol. 2009, 15, 1431–1442. [Google Scholar] [CrossRef][Green Version]
- Leopold, B.; Strutz, J.; Weiss, E.; Gindlhuber, J.; Birner-Gruenberger, R.; Hackl, H.; Appel, H.M.; Cvitic, S.; Hiden, U. Outgrowth, proliferation, viability, angiogenesis and phenotype of primary human endothelial cells in different purchasable endothelial culture media: Feed wisely. Histochem. Cell Biol. 2019, 152, 377–390. [Google Scholar] [CrossRef]
- Boukamp, P.; Petrussevska, R.T.; Breitkreutz, D.; Hornung, J.; Markham, A.; Fusenig, N.E. Normal keratinization in a spontaneously immortalized aneuploid human keratinocyte cell line. J. Cell Biol. 1988, 106, 761–771. [Google Scholar] [CrossRef] [PubMed]
- Dvorankova, B.; Lacina, L.; Smetana, K., Jr. Isolation of normal fibroblasts and their cancer-associated counterparts (cafs) for biomedical research. Methods Mol. Biol. 2019, 1879, 393–406. [Google Scholar] [PubMed]
- Rotter, B.A.; Thompson, B.K.; Clarkin, S.; Owen, T.C. Rapid colorimetric bioassay for screening of fusarium mycotoxins. Nat. Toxins 1993, 1, 303–307. [Google Scholar] [CrossRef] [PubMed]
- Kováč, I.; Melegová, N.; Čoma, M.; Takáč, P.; Kováčová, K.; Hollý, M.; Ďurkáč, J.; Urban, L.; Gurbáľová, M.; Švajdlenka, E.; et al. Aesculus hippocastanum L. Extract does not induce fibroblast to myofibroblast conversion but increases extracellular matrix production in vitro leading to increased wound tensile strength in rats. Molecules 2020, 25, 1917. [Google Scholar] [CrossRef]
- Gál, P.; Vasilenko, T.; Kováč, I.; Čoma, M.; Jakubčo, J.; Jakubčová, M.; Peržeľová, V.; Urban, L.; Kolář, M.; Sabol, F.; et al. Human galectin-3: Molecular switch of gene expression in dermal fibroblasts in vitro and of skin collagen organization in open wounds and tensile strength in incisions in vivo. Mol. Med. Rep. 2021, 23, 99. [Google Scholar] [CrossRef]
- European Committee for Antimicrobial Susceptibility Testing (EUCAST) of the European Society of Clinical Microbiology and Infectious Dieases (ESCMID). Eucast definitive document e.Def 1.2, may 2000: Terminology relating to methods for the determination of susceptibility of bacteria to antimicrobial agents. Clin. Microbiol. Infect. 2000, 6, 503–508. [Google Scholar] [CrossRef]
- Isenberg, H.D. (Ed.) Clinical Microbiology Procedures Handbook, 2nd ed.; ASM Press: Washington, DC, USA, 2004; pp. 1–28. [Google Scholar]
- Gal, P.; Kilik, R.; Mokry, M.; Vidinsky, B.; Vasilenko, T.; Mozes, S.; Bobrov, N.; Tomori, Z.; Bober, J.; Lenhardt, L. Simple method of open skin wound healing model in corticosteroid-treated and diabetic rats: Standardization of semi-quantitative and quantitative histological assessments. Vet. Med. 2008, 53, 652–659. [Google Scholar] [CrossRef]
- Martinez-Ferrer, M.; Afshar-Sherif, A.R.; Uwamariya, C.; de Crombrugghe, B.; Davidson, J.M.; Bhowmick, N.A. Dermal transforming growth factor-beta responsiveness mediates wound contraction and epithelial closure. Am. J. Pathol. 2010, 176, 98–107. [Google Scholar] [CrossRef]
- Ghaima, K.K. Antibacterial and wound healing activity of some agrimonia eupatoria extracts. Baghdad Sci. J. 2013, 10, 152–160. [Google Scholar] [CrossRef]
- Nam, Y.R.; Kim, H.J.; Kim, Y.M.; Chin, Y.W.; Bae, H.S.; Kim, W.K.; Nam, J.H. Agrimonia pilosa leaf extract accelerates skin barrier restoration by activation of transient receptor potential vanilloid 3. J. Dermatol. Sci. 2017, 86, 255–258. [Google Scholar] [CrossRef][Green Version]
- Cheng, X.; Jin, J.; Hu, L.; Shen, D.; Dong, X.P.; Samie, M.A.; Knoff, J.; Eisinger, B.; Liu, M.L.; Huang, S.M.; et al. Trp channel regulates egfr signaling in hair morphogenesis and skin barrier formation. Cell 2010, 141, 331–343. [Google Scholar] [CrossRef] [PubMed]
- Imura, K.; Yoshioka, T.; Hikita, I.; Tsukahara, K.; Hirasawa, T.; Higashino, K.; Gahara, Y.; Arimura, A.; Sakata, T. Influence of trpv3 mutation on hair growth cycle in mice. Biochem. Biophys. Res. Commun. 2007, 363, 479–483. [Google Scholar] [CrossRef] [PubMed]
- Blaydon, D.C.; Kelsell, D.P. Defective channels lead to an impaired skin barrier. J. Cell Sci. 2014, 127, 4343–4350. [Google Scholar] [CrossRef] [PubMed]
- Balážová, Ľ.; Wolaschka, T.; Rohaľová, S.; Daneu, N.; Stahorský, M.; Salayová, A.; Tkáčiková, Ľ.; Eftimová, J. In situ gel with silver nanoparticles prepared using Agrimonia eupatoria L. Shows antibacterial activity. Life 2023, 13, 573. [Google Scholar] [CrossRef] [PubMed]
- Mouro, C.; Dunne, C.P.; Gouveia, I.C. Designing new antibacterial wound dressings: Development of a dual layer cotton material coated with poly(vinyl alcohol)_chitosan nanofibers incorporating Agrimonia eupatoria L. Extract. Molecules 2020, 26, 83. [Google Scholar] [CrossRef]
- Hou, Q.; He, W.J.; Hao, H.J.; Han, Q.W.; Chen, L.; Dong, L.; Liu, J.J.; Li, X.; Zhang, Y.J.; Ma, Y.Z.; et al. The four-herb chinese medicine anbp enhances wound healing and inhibits scar formation via bidirectional regulation of transformation growth factor pathway. PLoS ONE 2014, 9, e112274. [Google Scholar] [CrossRef]
- Urban, L.; Čoma, M.; Lacina, L.; Szabo, P.; Sabová, J.; Urban, T.; Šuca, H.; Lukačín, Š.; Zajíček, R.; Smetana, K., Jr.; et al. Heterogeneous response to tgf-β1/3 isoforms in fibroblasts of different origins: Implications for wound healing and tumorigenesis. Histochem. Cell Biol. 2023, 160, 541–554. [Google Scholar] [CrossRef]
- Lichtman, M.K.; Otero-Vinas, M.; Falanga, V. Transforming growth factor beta (tgf-β) isoforms in wound healing and fibrosis. Wound Repair Regen. 2016, 24, 215–222. [Google Scholar] [CrossRef]
- Hatta, M.; Miyake, Y.; Uchida, K.; Yamazaki, J. Keratin 13 gene is epigenetically suppressed during transforming growth factor-β1-induced epithelial-mesenchymal transition in a human keratinocyte cell line. Biochem. Biophys. Res. Commun. 2018, 496, 381–386. [Google Scholar] [CrossRef]
- Garlick, J.A.; Taichman, L.B. Effect of tgf-beta 1 on re-epithelialization of human keratinocytes in vitro: An organotypic model. J. Investig. Dermatol. 1994, 103, 554–559. [Google Scholar] [CrossRef]
- Rodrigues, M.; Kosaric, N.; Bonham, C.A.; Gurtner, G.C. Wound healing: A cellular perspective. Physiol. Rev. 2019, 99, 665–706. [Google Scholar] [CrossRef] [PubMed]
- Vaou, N.; Stavropoulou, E.; Voidarou, C.; Tsigalou, C.; Bezirtzoglou, E. Towards advances in medicinal plant antimicrobial activity: A review study on challenges and future perspectives. Microorganisms 2021, 9, 2041. [Google Scholar] [CrossRef] [PubMed]
- Vaou, N.; Stavropoulou, E.; Voidarou, C.C.; Tsakris, Z.; Rozos, G.; Tsigalou, C.; Bezirtzoglou, E. Interactions between medical plant-derived bioactive compounds: Focus on antimicrobial combination effects. Antibiotics 2022, 11, 1014. [Google Scholar] [CrossRef] [PubMed]
- Figueredo, F.G.; Ferreira, E.O.; Lucena, B.F.; Torres, C.M.; Lucetti, D.L.; Lucetti, E.C.; Silva, J.M.; Santos, F.A.; Medeiros, C.R.; Oliveira, G.M.; et al. Modulation of the antibiotic activity by extracts from Amburana cearensis A. C. Smith and Anadenanthera macrocarpa (Benth.) brenan. BioMed Res. Int. 2013, 2013, 640682. [Google Scholar] [CrossRef] [PubMed]
- Hu, Z.Q.; Zhao, W.H.; Yoda, Y.; Asano, N.; Hara, Y.; Shimamura, T. Additive, indifferent and antagonistic effects in combinations of epigallocatechin gallate with 12 non-beta-lactam antibiotics against methicillin-resistant Staphylococcus aureus. J. Antimicrob. Chemother. 2002, 50, 1051–1054. [Google Scholar] [CrossRef]
- Abd Latip, N.; Abd Mutalib, N. Synergistic interactions between Christia vespertilionis leaves extract and chemotherapy drug cyclophosphamide on wrl-68 cell line. Asian J. Pharm. Res. Dev. 2019, 7, 109–113. [Google Scholar] [CrossRef]
- Zeitlinger, M.A.; Derendorf, H.; Mouton, J.W.; Cars, O.; Craig, W.A.; Andes, D.; Theuretzbacher, U. Protein binding: Do we ever learn? Antimicrob. Agents Chemother. 2011, 55, 3067–3074. [Google Scholar] [CrossRef]
- Do Pham, D.D.; Mojr, V.; Helusova, M.; Mikusova, G.; Pohl, R.; Davidova, E.; Sanderova, H.; Vitovska, D.; Bogdanova, K.; Vecerova, R.; et al. Lego-lipophosphonoxins: A novel approach in designing membrane targeting antimicrobials. J. Med. Chem. 2022, 65, 10045–10078. [Google Scholar] [CrossRef]








| Primary Antibody | Abbreviation | Host | Isotype | Clonality | Produced by |
| α-smooth muscle actin | SMA | rabbit | IgG | monoclonal | CST, Danvers, MA, USA |
| Fibronectin | Fibronectin | rabbit | IgG | monoclonal | Abcam, Cambridge, UK |
| Phospho-ERK1/2 | pERK | rabbit | polyclonal | CST, USA | |
| Phospho-AKT | pAKT | rabbit | IgG | monoclonal | CST, USA |
| Phospho-Smad3 | pSmad3 | rabbit | IgG | monoclonal | Abcam, UK |
| ERK1/2 | ERK | rabbit | IgG | monoclonal | CST, USA |
| Smad3 | Smad3 | rabbit | IgG | monoclonal | CST, USA |
| AKT | AKT | rabbit | polyclonal | CST, USA | |
| β-actin | β-actin | rabbit | IgG | monoclonal | CST, USA |
| N-cadherin | N-cadherin | rabbit | IgG | polyclonal | ThermoFisher Scientific, Walthame, MA, USA |
| CD324(E-cadherin) | E-cadherin | rabbit | IgG1 | monoclonal | ThermoFisher Scientific, USA |
| Cytokeratin 14 | Keratin 14 | rabbit | IgG | polyclonal | ThermoFisher Scientific, USA |
| Cytokeratin 19 | Keratin 19 | mouse | IgG2a | monoclonal | ThermoFisher Scientific, USA |
| Cytokeratin 8 | Keratin 18 | mouse | IgG1 | monoclonal | ThermoFisher Scientific, USA |
| VEGF Receptor 2 | VEGFR2 | rabbit | IgG | monoclonal | CST, USA |
| Phospho-ERK1/2 | pERK | rabbit | IgG | monoclonal | R&D Systems, Minneapolis, MN, USA |
| Phospho-AKT | pAKT | rabbit | IgG | polyclonal | R&D Systems, USA |
| ERK1/2 | ERK | rabbit | IgG | polyclonal | R&D Systems, USA |
| AKT | AKT | mouse | IgG2B | monoclonal | R&D Systems, USA |
| VE-Cadherin | VEC | mouse | IgG2B | monoclonal | R&D Systems, USA |
| Secondary Antibody | Host | Isotype | Produced by | ||
| Anti-rabbit, HRP-linked | goat | IgG | CST, USA | ||
| Anti-mouse, HRP-linked | horse | IgG | CST, USA | ||
| Anti-mouse, HRP-linked | goat | IgG | Invitrogen, Waltham, MN, USA | ||
| Anti-rabbit, HRP-linked | goat | IgG | Invitrogen, USA |
| Antibody | Abbreviation | Host | Produced by | Secondary Antibody | Produced by | Channel |
|---|---|---|---|---|---|---|
| α-smooth muscle actin | SMA | Mouse monoclonal | DakoCytomation, Glostrup, Denmark | Goat anti-mouse | Sigma-Aldrich, St. Louis, MO, USA | TRITC-red |
| Fibronectin | Fibronectin | rabbit polyclonal | DakoCytomation, Glostrup, Denmark | Goat anti-rabbit | Sigma-Aldrich, St. Louis, MO, USA | FITC-green |
| Cytokeratin 14 | Keratin 14 | Rabbit polyclonal | ThermoFisher Scientific, USA | Goat anti-rabbit | Sigma-Aldrich, St. Louis, MO, USA | FITC-green |
| Cytokeratin 19 | Keratin 19 | Mouse monoclonal | ThermoFisher Scientific, USA | Goat anti-mouse | Sigma-Aldrich, St. Louis, MO, USA | TRITC-red |
| Cytokeratin 19 | Keratin 19 | Mouse monoclonal | ThermoFisher Scientific, USA | Goat anti-mouse | ThermoFisher Scientific, USA | TRITC-red |
| Cytokeratin 8 | Keratin 8 | Mouse monoclonal | ThermoFisher Scientific, USA | Goat anti-mouse | Sigma-Aldrich, St. Louis, MO, USA | TRITC-red |
| Scale | Epithelization | PMNL | Fibroblasts | New Vessels | Collagen |
|---|---|---|---|---|---|
| 0 | thickness of cut edges | absent | absent | absent | absent |
| 1 | migration of cells (<50%) | mild ST | mild ST | mild SCT | minimal GT |
| 2 | migration of cells (≥50%) | mild DL/GT | mild GT | mild GT | mild GT |
| 3 | bridging the excision | moderate DL/GT | moderate GT | moderate GT | moderate GT |
| 4 | keratinization | marked DL/GT | marked GT | marked GT | marked GT |
| IC50 | HaCat | HDF | HMVEC | |||
|---|---|---|---|---|---|---|
| without TGF | with TGF | without TGF | with TGF | without VEGF | with VEGF | |
| AE | 336,082 | 286,576 | 103,269 | 112,368 | 289,528 | 372,921 |
| LPPO | 135,360 | 38,276 | 38,081 | 29,120 | 27,948 | 29,178 |
| Parameter: Day/Group: | Epithelization C/LS/AE | PMNL C/LS/AE | Fibroblasts C/LS/AE | Luminized Vessels C/LS/AE | New Collagen C/LS/AE |
|---|---|---|---|---|---|
| 14 | 3/3/4 | 1/0/0 | 1/1/1 | 2/2/1 | 2/2/1 |
Disclaimer/Publisher’s Note: The statements, opinions and data contained in all publications are solely those of the individual author(s) and contributor(s) and not of MDPI and/or the editor(s). MDPI and/or the editor(s) disclaim responsibility for any injury to people or property resulting from any ideas, methods, instructions or products referred to in the content. |
© 2024 by the authors. Licensee MDPI, Basel, Switzerland. This article is an open access article distributed under the terms and conditions of the Creative Commons Attribution (CC BY) license (https://creativecommons.org/licenses/by/4.0/).
Share and Cite
Kaňuchová, M.; Brindza Lachová, V.; Bogdanová, K.; Sabová, J.; Bonová, P.; Vasilenko, T.; Kováč, I.; Novotný, M.; Mitrengová, P.; Sahatsapan, N.; et al. Assessment of Agrimonia eupatoria L. and Lipophosphonoxin (DR-6180) Combination for Wound Repair: Bridging the Gap Between Phytomedicine and Organic Chemistry. Biomolecules 2024, 14, 1590. https://doi.org/10.3390/biom14121590
Kaňuchová M, Brindza Lachová V, Bogdanová K, Sabová J, Bonová P, Vasilenko T, Kováč I, Novotný M, Mitrengová P, Sahatsapan N, et al. Assessment of Agrimonia eupatoria L. and Lipophosphonoxin (DR-6180) Combination for Wound Repair: Bridging the Gap Between Phytomedicine and Organic Chemistry. Biomolecules. 2024; 14(12):1590. https://doi.org/10.3390/biom14121590
Chicago/Turabian StyleKaňuchová, Miriam, Veronika Brindza Lachová, Kateřina Bogdanová, Jana Sabová, Petra Bonová, Tomáš Vasilenko, Ivan Kováč, Martin Novotný, Petra Mitrengová, Nitjawan Sahatsapan, and et al. 2024. "Assessment of Agrimonia eupatoria L. and Lipophosphonoxin (DR-6180) Combination for Wound Repair: Bridging the Gap Between Phytomedicine and Organic Chemistry" Biomolecules 14, no. 12: 1590. https://doi.org/10.3390/biom14121590
APA StyleKaňuchová, M., Brindza Lachová, V., Bogdanová, K., Sabová, J., Bonová, P., Vasilenko, T., Kováč, I., Novotný, M., Mitrengová, P., Sahatsapan, N., Čoma, M., Švajdlenka, E., Kolář, M., Bohuš, P., Mučaji, P., Zajíček, R., Rejman, D., & Gál, P. (2024). Assessment of Agrimonia eupatoria L. and Lipophosphonoxin (DR-6180) Combination for Wound Repair: Bridging the Gap Between Phytomedicine and Organic Chemistry. Biomolecules, 14(12), 1590. https://doi.org/10.3390/biom14121590

