Quantification of Histone H1 Subtypes Using Targeted Proteomics
Abstract
1. Introduction
2. Materials and Methods
2.1. Synthetic Peptides
2.2. Cell Culture, Transfection, and Treatments
2.3. Peripheral Blood Samples
2.4. In Silico Analysis of Peptide Candidates
2.5. Preparation of Protein Extracts
2.6. Western Blot
2.7. Sample Preparation for Proteomic Analyses
2.8. Internal and External Curve Calibration Preparation
2.9. nanoLC-MS/MS
2.9.1. Database Searches for MS Method Optimization
2.9.2. Database Searches and Data Processing for Absolute Protein Quantification
2.10. RT-qPCR
2.11. Data Analysis
3. Results
3.1. Peptide Selection and PRM Setup
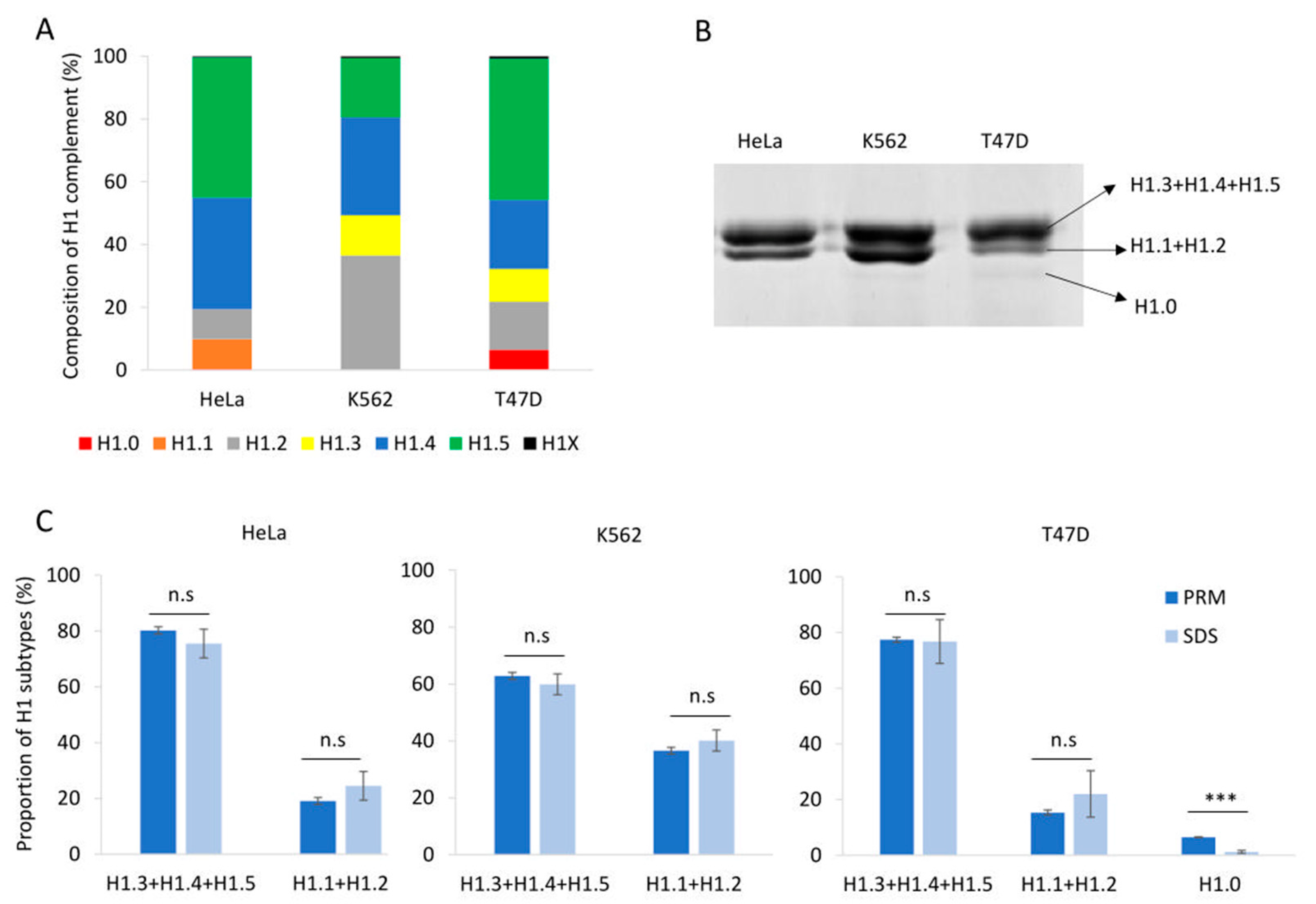
3.2. Quantification of H1 Subtypes in Human Cell Lines by PRM
3.3. Quantification of H1 Subtypes from Human Samples
4. Discussion
5. Conclusions
Supplementary Materials
Author Contributions
Funding
Institutional Review Board Statement
Informed Consent Statement
Data Availability Statement
Acknowledgments
Conflicts of Interest
References
- Millán-Ariño, L.; Izquierdo-Bouldstridge, A.; Jordan, A. Specificities and Genomic Distribution of Somatic Mammalian Histone H1 Subtypes. Biochim. Biophys. Acta (BBA)-Gene Regul. Mech. 2016, 1859, 510–519. [Google Scholar] [CrossRef]
- Roque, A.; Ponte, I.; Suau, P. Interplay between Histone H1 Structure and Function. Biochim. Biophys. Acta (BBA)-Gene Regul. Mech. 2016, 1859, 444–454. [Google Scholar] [CrossRef]
- Sarg, B.; Lopez, R.; Lindner, H.; Ponte, I.; Suau, P.; Roque, A. Identification of Novel Post-Translational Modifications in Linker Histones from Chicken Erythrocytes. J. Proteom. 2015, 113, 162–177. [Google Scholar] [CrossRef]
- Pan, C.; Fan, Y. Role of H1 Linker Histones in Mammalian Development and Stem Cell Differentiation. Biochim. Biophys. Acta (BBA)-Gene Regul. Mech. 2016, 1859, 496–509. [Google Scholar] [CrossRef]
- Kratzmeier, M.; Albig, W.; Meergans, T.; Doenecke, D. Changes in the Protein Pattern of H1 Histones Associated with Apoptotic DNA Fragmentation. Biochem. J. 1999, 337 Pt 2, 319–327. [Google Scholar] [CrossRef]
- Warneboldt, J.; Haller, F.; Horstmann, O.; Danner, B.C.; Füzesi, L.; Doenecke, D.; Happel, N. Histone H1x Is Highly Expressed in Human Neuroendocrine Cells and Tumours. BMC Cancer 2008, 8, 388. [Google Scholar] [CrossRef]
- Kostova, N.N.; Srebreva, L.N.; Milev, A.D.; Bogdanova, O.G.; Rundquist, I.; Lindner, H.H.; Markov, D.V. Immunohistochemical Demonstration of Histone H10 in Human Breast Carcinoma. Histochem. Cell Biol. 2005, 124, 435–443. [Google Scholar] [CrossRef]
- Noberini, R.; Morales Torres, C.; Savoia, E.O.; Brandini, S.; Jodice, M.G.; Bertalot, G.; Bonizzi, G.; Capra, M.; Diaferia, G.; Scaffidi, P.; et al. Label-Free Mass Spectrometry-Based Quantification of Linker Histone H1 Variants in Clinical Samples. Int. J. Mol. Sci. 2020, 21, 7330. [Google Scholar] [CrossRef]
- Jung, Y.; Joo, K.M.; Seong, D.H.; Choi, Y.-L.; Kong, D.-S.; Kim, Y.; Kim, M.H.; Jin, J.; Suh, Y.-L.; Seol, H.J.; et al. Identification of Prognostic Biomarkers for Glioblastomas Using Protein Expression Profiling. Int. J. Oncol. 2012, 40, 1122–1132. [Google Scholar] [CrossRef]
- Sepsa, A.; Levidou, G.; Gargalionis, A.; Adamopoulos, C.; Spyropoulou, A.; Dalagiorgou, G.; Thymara, I.; Boviatsis, E.; Themistocleous, M.S.; Petraki, K.; et al. Emerging Role of Linker Histone Variant H1x as a Biomarker with Prognostic Value in Astrocytic Gliomas. A Multivariate Analysis Including Trimethylation of H3K9 and H4K20. PLoS ONE 2015, 10, e0115101. [Google Scholar] [CrossRef]
- Sato, S.; Takahashi, S.; Asamoto, M.; Nakanishi, M.; Wakita, T.; Ogura, Y.; Yatabe, Y.; Shirai, T. Histone H1 Expression in Human Prostate Cancer Tissues and Cell Lines. Pathol. Int. 2012, 62, 84–92. [Google Scholar] [CrossRef]
- Khachaturov, V.; Xiao, G.-Q.; Kinoshita, Y.; Unger, P.D.; Burstein, D.E. Histone H1.5, a Novel Prostatic Cancer Marker: An Immunohistochemical Study. Hum. Pathol. 2014, 45, 2115–2119. [Google Scholar] [CrossRef]
- Williams, K.A.; Lee, M.; Winter, J.M.; Gildea, D.E.; Calagua, C.; Curry, N.L.; Lichtenberg, J.; Ye, H.; Crawford, N.P.S. Prostate Cancer Susceptibility Gene HIST1H1A Is a Modulator of Androgen Receptor Signaling and Epithelial to Mesenchymal Transition. Oncotarget 2018, 9, 28532–28546. [Google Scholar] [CrossRef][Green Version]
- Hechtman, J.F.; Beasley, M.B.; Kinoshita, Y.; Ko, H.M.; Hao, K.; Burstein, D.E. Promyelocytic Leukemia Zinc Finger and Histone H1.5 Differentially Stain Low- and High-Grade Pulmonary Neuroendocrine Tumors: A Pilot Immunohistochemical Study. Hum. Pathol. 2013, 44, 1400–1405. [Google Scholar] [CrossRef]
- Momeni, M.; Kalir, T.; Farag, S.; Kinoshita, Y.; Roman, T.Y.; Chuang, L.; Fishman, D.A.; Burstein, D.E. Immunohistochemical Detection of Promyelocytic Leukemia Zinc Finger and Histone 1.5 in Uterine Leiomyosarcoma and Leiomyoma. Reprod. Sci. 2014, 21, 1171–1176. [Google Scholar] [CrossRef]
- Garciaz, S.; N’guyen Dasi, L.; Finetti, P.; Chevalier, C.; Vernerey, J.; Poplineau, M.; Platet, N.; Audebert, S.; Pophillat, M.; Camoin, L.; et al. Epigenetic Down-Regulation of the HIST1 Locus Predicts Better Prognosis in Acute Myeloid Leukemia with NPM1 Mutation. Clin. Epigenet. 2019, 11, 141. [Google Scholar] [CrossRef]
- Telu, K.H.; Abbaoui, B.; Thomas-Ahner, J.M.; Zynger, D.L.; Clinton, S.K.; Freitas, M.A.; Mortazavi, A. Alterations of Histone H1 Phosphorylation During Bladder Carcinogenesis. J. Proteome Res. 2013, 12, 3317–3326. [Google Scholar] [CrossRef]
- Wang, Q.; Chen, Y.; Xie, Y.; Yang, D.; Sun, Y.; Yuan, Y.; Chen, H.; Zhang, Y.; Huang, K.; Zheng, L. Histone H1.2 Promotes Hepatocarcinogenesis by Regulating Signal Transducer and Activator of Transcription 3 Signaling. Cancer Sci. 2022, 113, 1679–1692. [Google Scholar] [CrossRef]
- Medrzycki, M.; Zhang, Y.; McDonald, J.F.; Fan, Y. Profiling of Linker Histone Variants in Ovarian Cancer. Front. Biosci. 2012, 17, 396–406. [Google Scholar] [CrossRef]
- Kohli, A.; Huang, S.; Chang, T.; Chao, C.C.-K.; Sun, N. H1.0 Induces Paclitaxel-resistance Genes Expression in Ovarian Cancer Cells by Recruiting GCN5 and Androgen Receptor. Cancer Sci. 2022, 113, 2616–2626. [Google Scholar] [CrossRef]
- Ishihama, Y.; Oda, Y.; Tabata, T.; Sato, T.; Nagasu, T.; Rappsilber, J.; Mann, M. Exponentially Modified Protein Abundance Index (emPAI) for Estimation of Absolute Protein Amount in Proteomics by the Number of Sequenced Peptides per Protein. Mol. Cell. Proteom. 2005, 4, 1265–1272. [Google Scholar] [CrossRef]
- Schwanhäusser, B.; Busse, D.; Li, N.; Dittmar, G.; Schuchhardt, J.; Wolf, J.; Chen, W.; Selbach, M. Correction: Corrigendum: Global Quantification of Mammalian Gene Expression Control. Nature 2013, 495, 126–127. [Google Scholar] [CrossRef]
- Peterson, A.C.; Russell, J.D.; Bailey, D.J.; Westphall, M.S.; Coon, J.J. Parallel Reaction Monitoring for High Resolution and High Mass Accuracy Quantitative, Targeted Proteomics. Mol. Cell. Proteom. 2012, 11, 1475–1488. [Google Scholar] [CrossRef]
- Bourmaud, A.; Gallien, S.; Domon, B. Parallel Reaction Monitoring Using quadrupole-Orbitrap Mass Spectrometer: Principle and Applications. Proteomics 2016, 16, 2146–2159. [Google Scholar] [CrossRef]
- Serna-Pujol, N.; Salinas-Pena, M.; Mugianesi, F.; Le Dily, F.; Marti-Renom, M.A.; Jordan, A. Coordinated Changes in Gene Expression, H1 Variant Distribution and Genome 3D Conformation in Response to H1 Depletion. Nucleic Acids Res. 2022, 50, 3892–3910. [Google Scholar] [CrossRef]
- Sherrod, S.D.; Myers, M.V.; Li, M.; Myers, J.S.; Carpenter, K.L.; MacLean, B.; MacCoss, M.J.; Liebler, D.C.; Ham, A.-J.L. Label-Free Quantitation of Protein Modifications by Pseudo Selected Reaction Monitoring with Internal Reference Peptides. J. Proteome Res. 2012, 11, 3467–3479. [Google Scholar] [CrossRef]
- Perez-Riverol, Y.; Bai, J.; Bandla, C.; García-Seisdedos, D.; Hewapathirana, S.; Kamatchinathan, S.; Kundu, D.J.; Prakash, A.; Frericks-Zipper, A.; Eisenacher, M.; et al. The PRIDE Database Resources in 2022: A Hub for Mass Spectrometry-Based Proteomics Evidences. Nucleic Acids Res. 2022, 50, D543–D552. [Google Scholar] [CrossRef]
- Chicco, D.; Jurman, G. The Matthews Correlation Coefficient (MCC) Should Replace the ROC AUC as the Standard Metric for Assessing Binary Classification. BioData Min. 2023, 16, 4. [Google Scholar] [CrossRef]
- Wendt, H.W. Dealing with a Common Problem in Social Science: A Simplified Rank-biserial Coefficient of Correlation Based on the U Statistic. Eur. J. Soc. Psychol. 1972, 2, 463–465. [Google Scholar] [CrossRef]
- Pauletti, B.A.; Granato, D.C.; Carnielli, C.M.; Câmara, G.A.; Normando, A.G.C.; Telles, G.P.; Leme, A.F.P. Typic: A Practical and Robust Tool to Rank Proteotypic Peptides for Targeted Proteomics. J. Proteome Res. 2023, 22, 539–545. [Google Scholar] [CrossRef]
- Kusebauch, U.; Deutsch, E.W.; Campbell, D.S.; Sun, Z.; Farrah, T.; Moritz, R.L. Using PeptideAtlas, SRMAtlas, and PASSEL: Comprehensive Resources for Discovery and Targeted Proteomics. Curr. Protoc. Bioinform. 2014, 46, 13.25.1–13.25.28. [Google Scholar] [CrossRef]
- Faktor, J.; Sucha, R.; Paralova, V.; Liu, Y.; Bouchal, P. Comparison of Targeted Proteomics Approaches for Detecting and Quantifying Proteins Derived from Human Cancer Tissues. Proteomics 2017, 17, 1600323. [Google Scholar] [CrossRef]
- Movahedi, F.; Padman, R.; Antaki, J.F. Limitations of Receiver Operating Characteristic Curve on Imbalanced Data: Assist Device Mortality Risk Scores. J. Thorac. Cardiovasc. Surg. 2023, 165, 1433–1442.e2. [Google Scholar] [CrossRef]
- El Kennani, S.; Adrait, A.; Permiakova, O.; Hesse, A.-M.; Ialy-Radio, C.; Ferro, M.; Brun, V.; Cocquet, J.; Govin, J.; Pflieger, D. Systematic Quantitative Analysis of H2A and H2B Variants by Targeted Proteomics. Epigenet. Chromatin 2018, 11, 2. [Google Scholar] [CrossRef]
- Krey, J.F.; Wilmarth, P.A.; Shin, J.-B.; Klimek, J.; Sherman, N.E.; Jeffery, E.D.; Choi, D.; David, L.L.; Barr-Gillespie, P.G. Accurate Label-Free Protein Quantitation with High- and Low-Resolution Mass Spectrometers. J. Proteome Res. 2014, 13, 1034–1044. [Google Scholar] [CrossRef]
- Alves, R.; Gonçalves, A.C.; Rutella, S.; Almeida, A.M.; De Las Rivas, J.; Trougakos, I.P.; Sarmento Ribeiro, A.B. Resistance to Tyrosine Kinase Inhibitors in Chronic Myeloid Leukemia—From Molecular Mechanisms to Clinical Relevance. Cancers 2021, 13, 4820. [Google Scholar] [CrossRef]
- Jabbour, E.; Kantarjian, H. Chronic Myeloid Leukemia: 2022 Update on Diagnosis, Therapy, and Monitoring. Am. J. Hematol. 2022, 97, 1236–1256. [Google Scholar] [CrossRef]
- Torres, C.M.; Biran, A.; Burney, M.J.; Patel, H.; Henser-Brownhill, T.; Cohen, A.-H.S.; Li, Y.; Ben-Hamo, R.; Nye, E.; Spencer-Dene, B.; et al. The Linker Histone H1.0 Generates Epigenetic and Functional Intratumor Heterogeneity. Science 2016, 353, aaf1644. [Google Scholar] [CrossRef]
- Healton, S.E.; Pinto, H.D.; Mishra, L.N.; Hamilton, G.A.; Wheat, J.C.; Swist-Rosowska, K.; Shukeir, N.; Dou, Y.; Steidl, U.; Jenuwein, T.; et al. H1 Linker Histones Silence Repetitive Elements by Promoting Both Histone H3K9 Methylation and Chromatin Compaction. Proc. Natl. Acad. Sci. USA 2020, 117, 14251–14258. [Google Scholar] [CrossRef]
- Andrés, M.; García-Gomis, D.; Ponte, I.; Suau, P.; Roque, A. Histone H1 Post-Translational Modifications: Update and Future Perspectives. Int. J. Mol. Sci. 2020, 21, 5941. [Google Scholar] [CrossRef]
- Willcockson, M.A.; Healton, S.E.; Weiss, C.N.; Bartholdy, B.A.; Botbol, Y.; Mishra, L.N.; Sidhwani, D.S.; Wilson, T.J.; Pinto, H.B.; Maron, M.I.; et al. H1 Histones Control the Epigenetic Landscape by Local Chromatin Compaction. Nature 2021, 589, 293–298. [Google Scholar] [CrossRef]
- Sollberger, G.; Streeck, R.; Apel, F.; Caffrey, B.E.; Skoultchi, A.I.; Zychlinsky, A. Linker Histone H1.2 and H1.4 Affect the Neutrophil Lineage Determination. eLife 2020, 9, e52563. [Google Scholar] [CrossRef]
- Ponte, I.; Andrés, M.; Jordan, A.; Roque, A. Towards Understanding the Regulation of Histone H1 Somatic Subtypes with OMICs. J. Mol. Biol. 2021, 433, 166734. [Google Scholar] [CrossRef]
- Yusufova, N.; Kloetgen, A.; Teater, M.; Osunsade, A.; Camarillo, J.M.; Chin, C.R.; Doane, A.S.; Venters, B.J.; Portillo-Ledesma, S.; Conway, J.; et al. Histone H1 Loss Drives Lymphoma by Disrupting 3D Chromatin Architecture. Nature 2021, 589, 299–305. [Google Scholar] [CrossRef]





| Cancer Type | Description | Reference |
|---|---|---|
| Neuroendocrine tumors | Increase in H1X in tumors from lung, small intestine, pancreas, and liver | [6] Warneboldt et al., 2008 |
| Breast cancer | High levels of H1.0 correlated with tumors with low proliferative activity | [7] Kostova et al., 2005 |
| Low levels of H1.0 were associated with tumor recurrence | [8] Noberini et al., 2020 | |
| Glioblastoma | Low H1 levels were associated with low overall survival | [9] Jung Y et al., 2012 |
| Astrocytic glioma | High levels of H1X were a favorable prognosis biomarker | [10] Sepsa et al., 2015 |
| Prostate cancer | High levels of H1 were associated with malignancy | [11] Sato et al., 2012 |
| Increase in H1.5 correlated with Gleason score | [12] Khachaturov et al., 2014 | |
| Higher expression of H1.1 in normal tissue compared with prostate adenocarcinoma | [13] Williams et al., 2018 | |
| Lung neuroendocrine tumors | The levels of H1.5 correlated with tumor grading | [14] Hetchman et al., 2013 |
| Leiomyosarcoma | Levels of H1.5 distinguished leiomyosarcoma from leiomyomas | [15] Momeni et al., 2014 |
| Acute myeloid leukemia | Decrease in H1.3 was associated with good prognosis in patients with NPM1 mutations | [16] Garciaz et al., 2019 |
| Bladder cancer | Increased H1.2-H1.4 phosphorylation correlated with tumor aggressiveness | [17] Telu et al., 2013 |
| Hepatocellular carcinoma | Increase in H1.2 in tumor samples | [18] Wang et al., 2022 |
| Ovarian cancer | Decrease in H1.0 in adenocarcinomas, when compared to adenomas | [19] Medrzycki et al., 2012 |
| Increase in H1.0 in paclitaxel-resistant cells | [20] Kohli et al., 2022 |
| Subtype | Number of Candidates | Number of Heavy Peptides | Peptide Sequence | Position | LOD (ng/µg Extract) | LOQ (ng/µg Extract) |
|---|---|---|---|---|---|---|
| H1.0 | 7 | 3 | YSDMIVAAIQAEK | 28–40 | 0.055 | 0.168 |
| H1.1 | 7 | 3 | KKPAGPSVSELIVQAASSSK | 37–55 | 0.037 | 0.111 |
| H1.2 | 6 | 2 | TAPAAPAAAPPAE | 4–16 | 0.026 | 0.08 |
| H1.3 | 6 | 3 | TAPLAPTIPAPAE | 4–16 | 0.02 | 0.06 |
| H1.4 | 4 | 3 | TAPAAPAAPAPAE | 4–16 | 0.032 | 0.098 |
| H1.5 | 8 | 3 | ATGPPVSELITK | 38–49 | 0.046 | 0.14 |
| H1X | 15 | 3 | ALVQNDTLLQVK | 95–106 | 0.027 | 0.066 |
Disclaimer/Publisher’s Note: The statements, opinions and data contained in all publications are solely those of the individual author(s) and contributor(s) and not of MDPI and/or the editor(s). MDPI and/or the editor(s) disclaim responsibility for any injury to people or property resulting from any ideas, methods, instructions or products referred to in the content. |
© 2024 by the authors. Licensee MDPI, Basel, Switzerland. This article is an open access article distributed under the terms and conditions of the Creative Commons Attribution (CC BY) license (https://creativecommons.org/licenses/by/4.0/).
Share and Cite
López-Gómez, J.; Villarreal, L.; Andrés, M.; Ponte, I.; Xicoy, B.; Zamora, L.; Vilaseca, M.; Roque, A. Quantification of Histone H1 Subtypes Using Targeted Proteomics. Biomolecules 2024, 14, 1221. https://doi.org/10.3390/biom14101221
López-Gómez J, Villarreal L, Andrés M, Ponte I, Xicoy B, Zamora L, Vilaseca M, Roque A. Quantification of Histone H1 Subtypes Using Targeted Proteomics. Biomolecules. 2024; 14(10):1221. https://doi.org/10.3390/biom14101221
Chicago/Turabian StyleLópez-Gómez, Jordi, Laura Villarreal, Marta Andrés, Inma Ponte, Blanca Xicoy, Lurdes Zamora, Marta Vilaseca, and Alicia Roque. 2024. "Quantification of Histone H1 Subtypes Using Targeted Proteomics" Biomolecules 14, no. 10: 1221. https://doi.org/10.3390/biom14101221
APA StyleLópez-Gómez, J., Villarreal, L., Andrés, M., Ponte, I., Xicoy, B., Zamora, L., Vilaseca, M., & Roque, A. (2024). Quantification of Histone H1 Subtypes Using Targeted Proteomics. Biomolecules, 14(10), 1221. https://doi.org/10.3390/biom14101221

