Bim Expression Modulates Branching Morphogenesis of the Epithelium and Endothelium
Abstract
1. Introduction
2. Methods
2.1. Mice and Metanephric Organ Culture
2.2. Vascular Staining of Wholemount Kidneys
2.3. Processing of Kidneys for Histological Studies and Immunochemistry
2.4. Cryo Fluorescence Redox Studies
2.5. Fundus Imaging
2.6. Statistical Analysis
3. Results
3.1. Bim Expression Modulates Ureteric Bud Branching
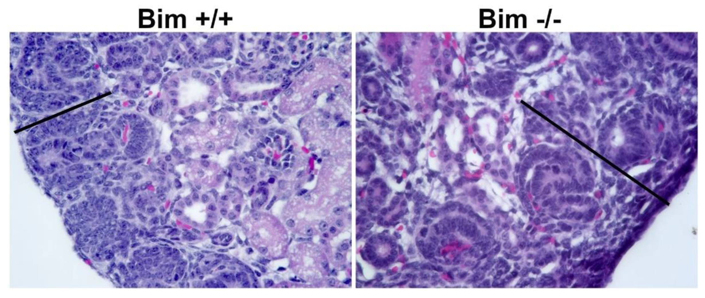
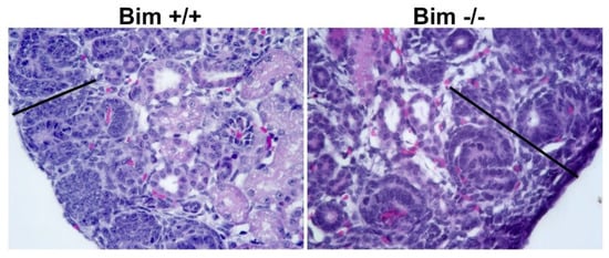
3.2. Increased Renal Mass and Nephrogenic Zone Depth in the Absence of Bim
3.3. Decreased Oxidative Stress in the Absence of Bim
3.4. Increased Retinal Capillary Length and Branching Interval in the Absence of Bim Expression
3.5. Increased Renal Capillary Loops Prior to Birth in Kidneys from Bim −/− Mice
4. Discussion
Author Contributions
Funding
Institutional Review Board Statement
Informed Consent Statement
Data Availability Statement
Conflicts of Interest
References
- Youle, R.J.; Strasser, A. The BCL-2 protein family: Opposing activities that mediate cell death. Nat. Rev. Mol. Cell Biol. 2008, 9, 47–59. [Google Scholar] [CrossRef] [PubMed]
- Adams, J.M.; Huang, D.C.S.; Pathalakath, H.; Bouillet, P.; Vairo, G.; Moriishi, K.; Hausmann, G.; O’Reilly, L.; Newton, K.; Ogilvy, S.; et al. Control of apoptosis in hematopoietic cells by the bcl-2 family of proteins. Cold Spring Harb. Symp. Quant. Biol. 1999, 64, 351–358. [Google Scholar] [CrossRef] [PubMed]
- Korsmeyer, S.J. Bcl-2: An antidote to programmed cell death. Cancer Surv. 1992, 15, 105–118. [Google Scholar] [PubMed]
- Zaitoun, I.S.; Johnson, R.P.; Jamali, N.; Almomani, R.; Wang, S.; Sheibani, N.; Sorenson, C.M. Endothelium Expression of Bcl-2 Is Essential for Normal and Pathological Ocular Vascularization. PLoS ONE 2015, 10, e0139994. [Google Scholar] [CrossRef]
- Wang, S.; Sorenson, C.M.; Sheibani, N. Attenuation of retinal vascular development and neovascularization during oxygen-induced ischemic retinopathy in Bcl-2−/− mice. Dev. Biol. 2005, 279, 205–219. [Google Scholar] [CrossRef]
- Zaitoun, I.S.; Wintheiser, C.M.; Jamali, N.; Wang, S.; Suscha, A.; Darjatmoko, S.R.; Schleck, K.; Hanna, B.A.; Lindner, V.; Sheibani, N.; et al. Bcl-2 Expression in Pericytes and Astrocytes Impacts Vascular Development and Homeostasis. Sci. Rep. 2019, 9, 9700. [Google Scholar] [CrossRef]
- Sheibani, N.; Scheef, E.A.; Dimaio, T.A.; Wang, Y.; Kondo, S.; Sorenson, C.M. Bcl-2 expression modulates cell adhesion and migration promoting branching of ureteric bud cells. J. Cell Physiol. 2007, 210, 616–625. [Google Scholar] [CrossRef]
- Bouillet, P.; Cory, S.; Zhang, L.C.; Strasser, A.; Adams, J.M. Degenerative disorders caused by Bcl-2 deficiency prevented by loss of its BH3-only antagonist Bim. Dev. Cell 2001, 1, 645–653. [Google Scholar] [CrossRef]
- Bouillet, P.; Robati, M.; Bath, M.; Strasser, A. Polycystic kidney disease prevented by transgenic RNA interference. Cell Death Differ. 2005, 12, 831–833. [Google Scholar] [CrossRef]
- Sheibani, N.; Morrison, M.E.; Gurel, Z.; Park, S.; Sorenson, C.M. BIM deficiency differentially impacts the function of kidney endothelial and epithelial cells through modulation of their local microenvironment. Am. J. Physiol. Ren. Physiol. 2012, 302, F809–F819. [Google Scholar] [CrossRef]
- Wang, S.; Park, S.; Fei, P.; Sorenson, C.M. Bim is responsible for the inherent sensitivity of the developing retinal vasculature to hyperoxia. Dev. Biol. 2011, 349, 296–309. [Google Scholar] [CrossRef] [PubMed]
- Morrison, M.E.; Palenski, T.L.; Jamali, N.; Sheibani, N.; Sorenson, C.M. Modulation of vascular cell function by bim expression. Int. J. Cell Biol. 2013, 2013, 297537. [Google Scholar] [CrossRef] [PubMed]
- Chen, S.; Bellew, C.; Yao, X.; Stefkova, J.; Dipp, S.; Saifudeen, Z.; Bachvarov, D.; El-Dahr, S.S. Histone deacetylase (HDAC) activity is critical for embryonic kidney gene expression, growth, and differentiation. J. Biol. Chem. 2011, 286, 32775–32789. [Google Scholar] [CrossRef] [PubMed]
- Chance, B.; Baltscheffsky, H. Respiratory enzymes in oxidative phosphorylation. VII. Binding of intramitochondrial reduced pyridine nucleotide. J. Biol. Chem. 1958, 233, 736–739. [Google Scholar] [CrossRef]
- Saghiri, M.A.; Suscha, A.; Wang, S.; Saghiri, A.M.; Sorenson, C.M.; Sheibani, N. Noninvasive temporal detection of early retinal vascular changes during diabetes. Sci. Rep. 2020, 10, 17370. [Google Scholar] [CrossRef]
- Sorenson, C.M.; Rogers, S.A.; Korsmeyer, S.J.; Hammerman, M.R. Fulminant metanephric apoptosis and abnormal kidney development in bcl-2-deficient mice. Am. J. Physiol. 1995, 268, F73–F81. [Google Scholar] [CrossRef]
- Dressler, G.R.; Woolf, A.S. Pax2 in development and renal disease. Int. J. Dev. Biol. 1999, 43, 463–468. [Google Scholar]
- Ranji, M.; Matsubara, M.; Leshnower, B.G.; Hinmon, R.H.; Jaggard, D.L.; Chance, B.; Gorman, R.C.; Gorman Iii, J.H. Quantifying acute myocardial injury using ratiometric fluorometry. IEEE Trans. Biomed. Eng. 2009, 56, 1556–1563. [Google Scholar] [CrossRef]
- Ho, J.; Pandey, P.; Schatton, T.; Sims-Lucas, S.; Khalid, M.; Frank, M.H.; Hartwig, S.; Kreidberg, J.A. The pro-apoptotic protein Bim is a microRNA target in kidney progenitors. J. Am. Soc. Nephrol. 2011, 22, 1053–1063. [Google Scholar] [CrossRef]
- Kondo, S.; Oakes, M.G.; Sorenson, C.M. Rescue of renal hypoplasia and cystic dysplasia in Bcl-2 −/− mice expressing Bcl-2 in ureteric bud derived epithelia. Dev. Dyn. 2008, 237, 2450–2459. [Google Scholar] [CrossRef]
- Franck-Lissbrant, I.; Haggstrom, S.; Damber, J.-E.; Bergh, A. Testosterone stimulates angiogenesis and vascular regrowth in the ventral prostate in castrated adult rats. Endocrinology 1998, 139, 451–456. [Google Scholar] [CrossRef]
- Folkman, J. Editorial: Is tissue mass regulated by vascular endothelial cells? Prostate as the first evidence. Endocrinology 1998, 139, 441–442. [Google Scholar] [CrossRef] [PubMed]
- Lawler, J.; Sunday, M.; Thibert, V.; Duquette, M.; George, E.L.; Rayburn, H.; Hynes, R.O. Thrombospondin-1 is required for normal murine pulmonary homeostasis and its absence causes pneumonia. J. Clin. Invest. 1998, 101, 982–992. [Google Scholar] [CrossRef]
- Kyriakides, T.R.; Zhu, Y.H.; Smith, L.T.; Bain, S.D.; Yang, Z.; Lin, M.T.; Danielson, K.G.; Iozzo, R.V.; LaMarca, M.; McKinney, C.E.; et al. Mice that lack thrombospondin 2 display connective tissue abnormalities that are associated with disordered collagen fibrillogenesis, an increased vascular density, and a bleeding diathesis. J. Cell Biol. 1998, 140, 419–430. [Google Scholar] [CrossRef] [PubMed]
- Wang, S.; Wu, Z.; Sorenson, C.M.; Lawler, J.; Sheibani, N. Thrombospondin-1-deficient mice exhibit increased vascular density during retinal vascular development and are less sensitive to hyperoxia-mediated vessel obliteration. Dev. Dyn. 2003, 228, 630–642. [Google Scholar] [CrossRef] [PubMed]
- Shin, E.S.; Huang, Q.; Gurel, Z.; Palenski, T.L.; Zaitoun, I.; Sorenson, C.M.; Sheibani, N. STAT1-mediated Bim expression promotes the apoptosis of retinal pericytes under high glucose conditions. Cell Death Dis. 2014, 5, e986. [Google Scholar] [CrossRef]
- Hagenbuchner, J.; Kuznetsov, A.; Hermann, M.; Hausott, B.; Obexer, P.; Ausserlechner, M.J. FOXO3-induced reactive oxygen species are regulated by BCL2L11 (Bim) and SESN3. J. Cell Sci. 2012, 125, 1191–1203. [Google Scholar] [CrossRef]
- Kondo, S.; Tang, Y.; Scheef, E.A.; Sheibani, N.; Sorenson, C.M. Attenuation of retinal endothelial cell migration and capillary morphogenesis in the absence of bcl-2. Am. J. Physiol. Cell Physiol. 2008, 294, C1521–C1530. [Google Scholar] [CrossRef]
- Wang, S.; Zaitoun, I.S.; Johnson, R.P.; Jamali, N.; Gurel, Z.; Wintheiser, C.M.; Strasser, A.; Lindner, V.; Sheibani, N.; Sorenson, C.M. Bim expression in endothelial cells and pericytes is essential for regression of the fetal ocular vasculature. PLoS ONE 2017, 12, e0178198. [Google Scholar] [CrossRef]
- Doonan, F.; Donovan, M.; Gomez-Vicente, V.; Bouillet, P.; Cotter, T.G. Bim expression indicates the pathway to retinal cell death in development and degeneration. J. Neurosci. 2007, 27, 10887–10894. [Google Scholar] [CrossRef] [PubMed]
- Harder, J.M.; Fernandes, K.A.; Libby, R.T. The Bcl-2 family member BIM has multiple glaucoma-relevant functions in DBA/2J mice. Sci. Rep. 2012, 2, 530. [Google Scholar] [CrossRef] [PubMed]







| P0 | Kidney Weight (mg) | Nephrogenic Zone Depth (mm) | |
| Bim +/+ | 7.7 ± 1.3 | 0.14 ± 0.01 | |
| Bim −/− | 8.8 ± 1 * | 0.19 ± 0.01 * | |
| P21 | Kidney Weight (mg) | Glomeruli/midsagittal | Podocyte number/Glomerulus |
| Bim +/+ | 69 ± 6 | 125 ± 7 | 13.7 ± 2 |
| Bim −/− | 94 ± 9 **** | 245 ± 12 **** | 9.5 ± 2 ** |
Publisher’s Note: MDPI stays neutral with regard to jurisdictional claims in published maps and institutional affiliations. |
© 2022 by the authors. Licensee MDPI, Basel, Switzerland. This article is an open access article distributed under the terms and conditions of the Creative Commons Attribution (CC BY) license (https://creativecommons.org/licenses/by/4.0/).
Share and Cite
Sorenson, C.M.; Song, Y.-S.; Wang, S.; Darjatmoko, S.R.; Saghiri, M.A.; Ranji, M.; Sheibani, N. Bim Expression Modulates Branching Morphogenesis of the Epithelium and Endothelium. Biomolecules 2022, 12, 1295. https://doi.org/10.3390/biom12091295
Sorenson CM, Song Y-S, Wang S, Darjatmoko SR, Saghiri MA, Ranji M, Sheibani N. Bim Expression Modulates Branching Morphogenesis of the Epithelium and Endothelium. Biomolecules. 2022; 12(9):1295. https://doi.org/10.3390/biom12091295
Chicago/Turabian StyleSorenson, Christine M., Yong-Seok Song, Shoujian Wang, Soesiawati R. Darjatmoko, Mohammad Ali Saghiri, Mahsa Ranji, and Nader Sheibani. 2022. "Bim Expression Modulates Branching Morphogenesis of the Epithelium and Endothelium" Biomolecules 12, no. 9: 1295. https://doi.org/10.3390/biom12091295
APA StyleSorenson, C. M., Song, Y.-S., Wang, S., Darjatmoko, S. R., Saghiri, M. A., Ranji, M., & Sheibani, N. (2022). Bim Expression Modulates Branching Morphogenesis of the Epithelium and Endothelium. Biomolecules, 12(9), 1295. https://doi.org/10.3390/biom12091295

