The Impact of Lung Proteases on Snake-Derived Antimicrobial Peptides
Abstract
:1. Introduction
2. Materials and Methods
2.1. Peptide Synthesis
2.2. Peptide Predicted Physiochemical Properties, Secondary Structures and Cleavage Sites
2.3. CF Sputum
2.4. Peptides-CF Sputum Incubations
2.5. Peptide-Neutrophil Elastase Incubations
2.6. Analysis by SDS-PAGE
2.7. Mass Spectrometry
2.8. Radial Diffusion Assay
2.9. LPS Stimulation with THP-1 Monocyte-Derived Macrophages
2.10. Enzyme Linked Immunosorbent Assay (ELISA)
3. Results
3.1. Predicted Physiochemical Properties of Peptides
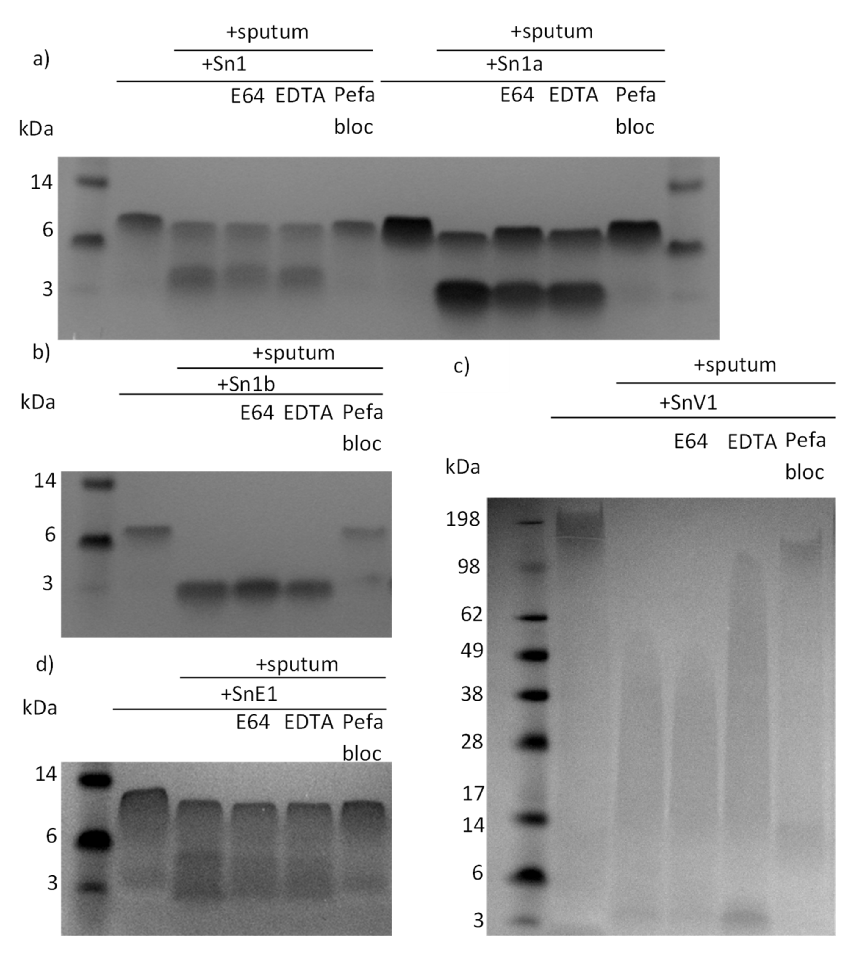
3.2. Peptides Are Susceptible to Degradation by Sputum Enzymes
3.3. Peptides Are Susceptible to Degradation by Neutrophil Elastase
3.4. The Effect of NE Incubation on Antimicrobial Activity of Peptides
3.5. The Effect of NE Incubation on Peptide Anti-Inflammatory Activity
3.6. Identification of Active Portions of Peptides Using Mass Spectrometry
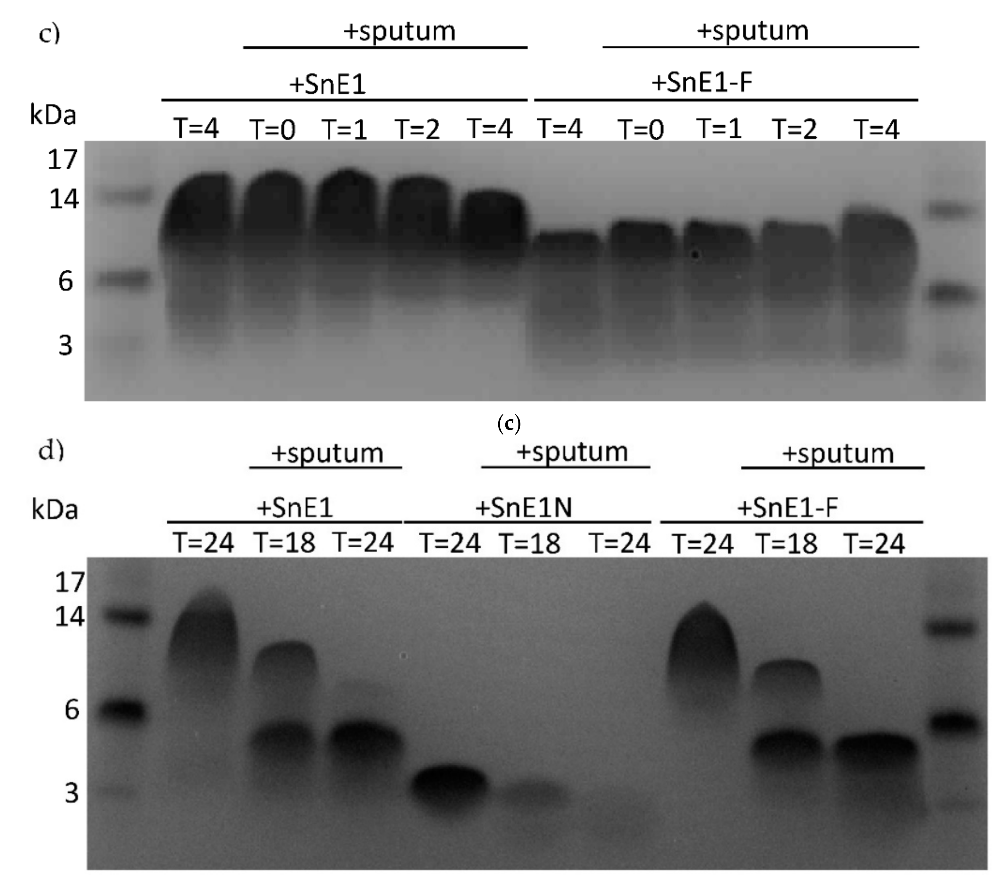
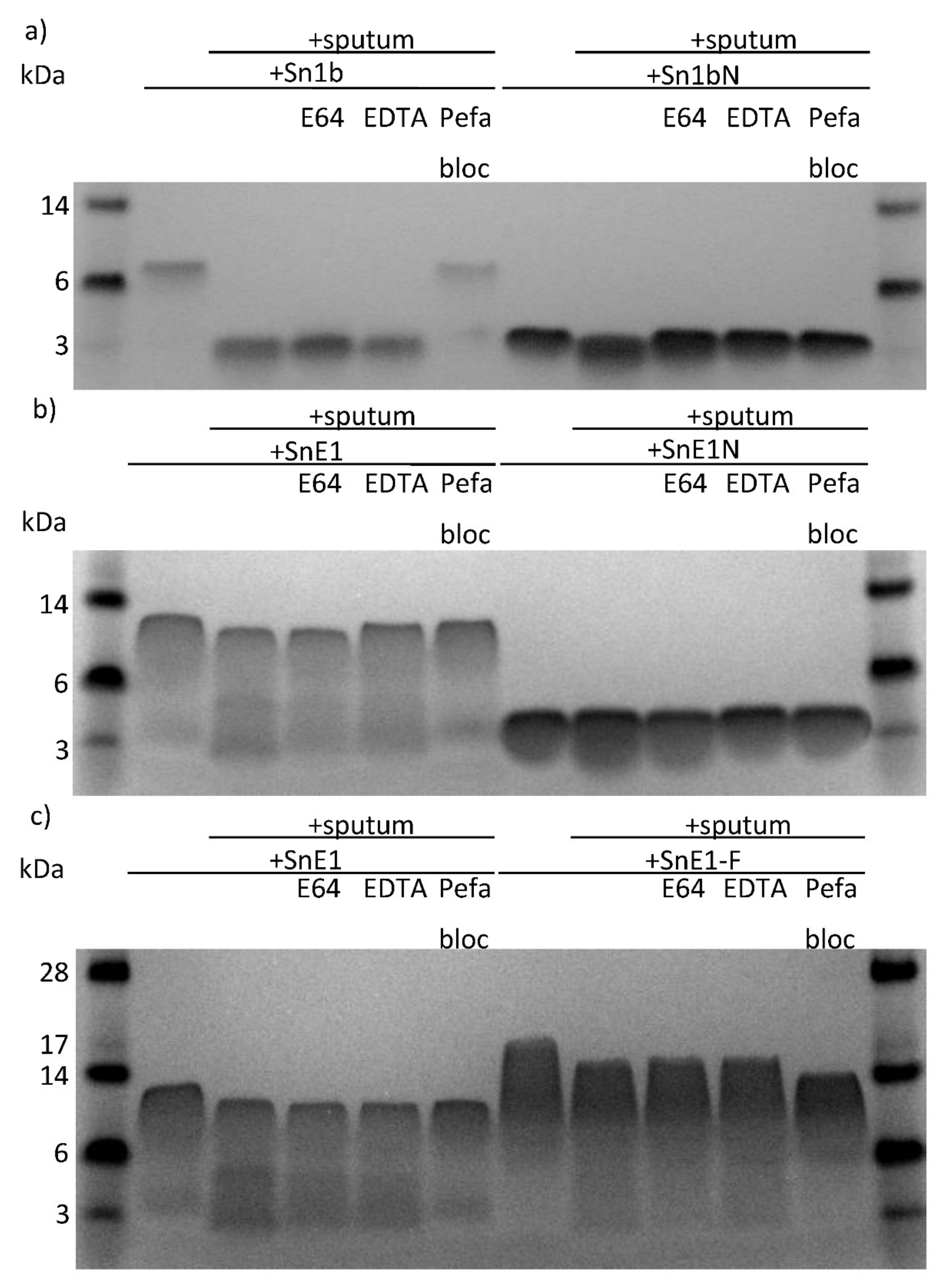
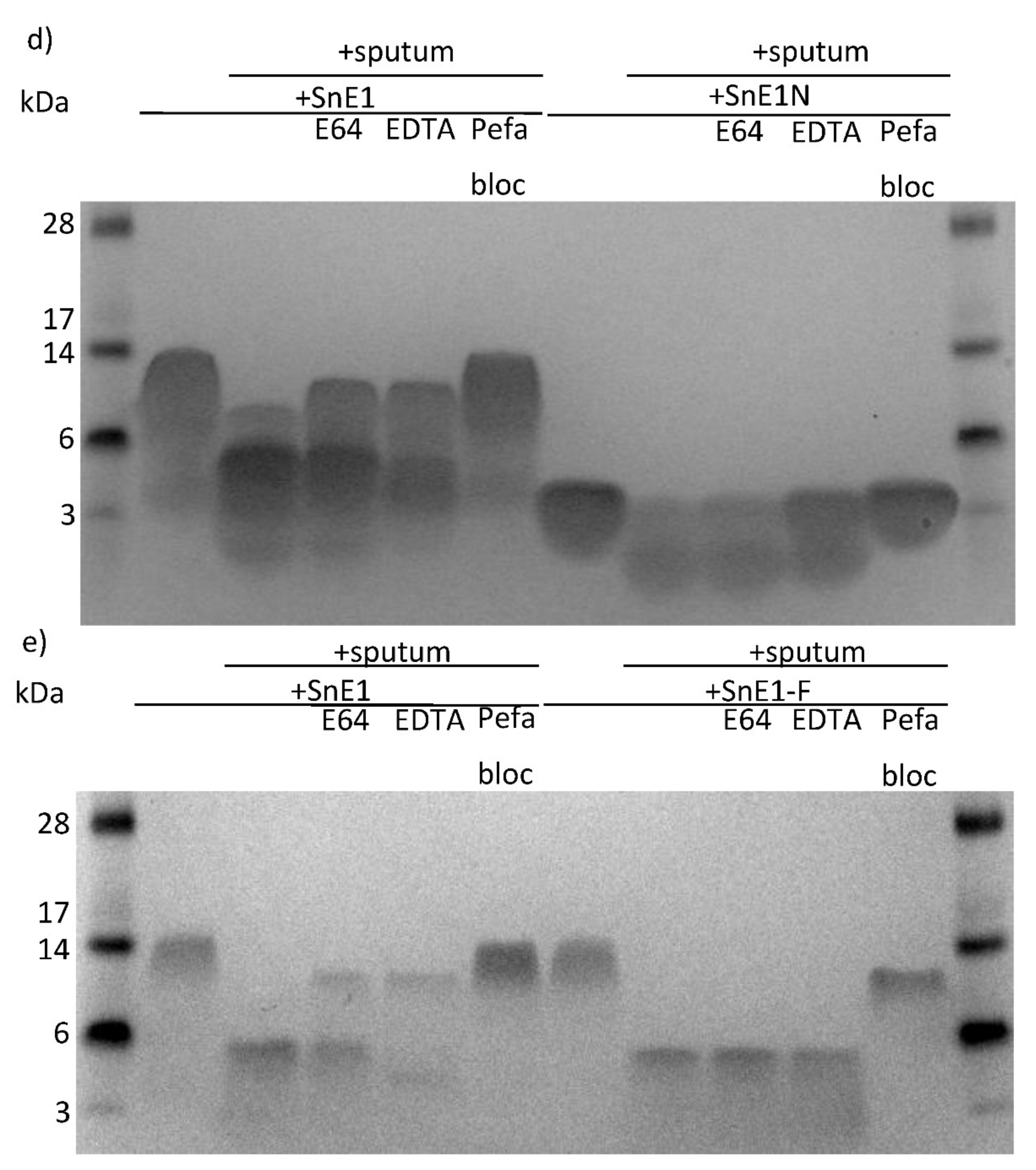
3.7. Peptides Derivatives and Stability in CF Sputum
3.8. Peptide Derivatives and NE
3.9. Effect of NE Incubation on Peptide Derivative Antimicrobial Activity
3.10. Effect of NE Incubation on Derivative Peptide Anti-Inflammatory Activity
4. Discussion
5. Conclusions
Author Contributions
Funding
Institutional Review Board Statement
Informed Consent Statement
Data Availability Statement
Conflicts of Interest
References
- James, S.L. GBD 2017 Disease and Injury Incidence and Prevalence Collaborators Global, regional, and national incidence, prevalence, and years lived with disability for 354 diseases and injuries for 195 countries and territories, 1990–2017: A systematic analysis for the Global Burden of Disease Study 2017. Lancet 2018, 392, 1789–1858. [Google Scholar]
- Lyczak, J.B.; Cannon, C.L.; Pier, G.B. Lung Infections Associated with Cystic Fibrosis Lung Infections Associated with Cystic Fibrosis. Clin. Microbiol. Rev. 2002, 15, 194–222. [Google Scholar] [CrossRef] [PubMed] [Green Version]
- Zasloff, M.M. Antimicrobial peptides of multicellular organisms. Nature 2002, 415, 389–395. [Google Scholar] [CrossRef]
- Hiemstra, P.S.; Amatngalim, G.D.; Van Der Does, A.M.; Taube, C. Antimicrobial peptides and innate lung defenses: Role in infectious and noninfectious lung diseases and therapeutic applications. Chest 2016, 149, 545–551. [Google Scholar] [CrossRef]
- Mansour, S.C.; Pena, O.M.; Hancock, R.E.W. Host defense peptides: Front-line immunomodulators. Trends Immunol. 2014, 35, 443–450. [Google Scholar] [CrossRef]
- Mahlapuu, M.; Håkansson, J.; Ringstad, L.; Björn, C. Antimicrobial Peptides: An Emerging Category of Therapeutic Agents. Front. Cell. Infect. Microbiol. 2016, 6, 1–12. [Google Scholar] [CrossRef] [Green Version]
- Widdicombe, J.H. Regulation of the depth and composition of airway surface liquid. J. Anat. 2002, 201, 313–318. [Google Scholar] [CrossRef]
- Widdicombe, J.H.; Wine, J.J. Airway Gland Structure and Function. Physiol. Rev. 2015, 95, 1241–1319. [Google Scholar] [CrossRef] [PubMed] [Green Version]
- Matsui, K.; Verghese, M.W.; Kesimer, M.; Schwab, U.E.; Randell, S.H.; Sheehan, J.K.; Grubb, B.R.; Boucher, R.C. Reduced Three-Dimensional Motility in Dehydrated Airway Mucus Prevents Neutrophil Capture and Killing Bacteria on Airway Epithelial Surfaces. J. Imunol. 2005, 175, 1090–1099. [Google Scholar] [CrossRef] [Green Version]
- Gaggar, A.; Li, Y.; Weathington, N.; Winkler, M.; Kong, M.; Jackson, P.; Blalock, J.E.; Clancy, J.P. Matrix metalloprotease-9 dysregulation in lower airway secretions of cystic fibrosis patients. Am. J. Physiol. Lung Cell. Mol. Physiol. 2007, 293, 96–104. [Google Scholar] [CrossRef] [Green Version]
- McKelvey, M.C.; Weldon, S.; McAuley, D.F.; Mall, M.A.; Taggart, C.C. Targeting proteases in cystic fibrosis lung disease paradigms, progress, and potential. Am. J. Respir. Crit. Care Med. 2020, 201, 141–147. [Google Scholar] [CrossRef] [Green Version]
- Andrault, P.; Samsonov, S.A.; Weber, G.; Coquet, L.; Nazmi, K.; Bolscher, J.G.M.; Lalmanach, A.; Jouenne, T.; Bro, D.; Pisabarro, M.T.; et al. Antimicrobial Peptide LL-37 Is Both a Substrate of Cathepsins S and K and a Selective Inhibitor of Cathepsin, L. Biochemistry 2015, 54, 2785–2798. [Google Scholar] [CrossRef]
- Strömstedt, A.A.; Pasupuleti, M.; Schmidtchen, A.; Malmsten, M. Evaluation of strategies for improving proteolytic resistance of antimicrobial peptides by using variants of EFK17, an internal segment of LL-37. Antimicrob. Agents Chemother. 2009, 53, 593–602. [Google Scholar] [CrossRef] [PubMed] [Green Version]
- Wei, L.; Gao, J.; Zhang, S.; Wu, S.; Xie, Z.; Ling, G.; Kuang, Y.Q.; Yang, Y.; Yu, H.; Wang, Y. Identification and characterization of the first cathelicidin from sea snakes with potent antimicrobial and antiinflammatory activity and special mechanism. J. Biol. Chem. 2015, 290, 16633–16652. [Google Scholar] [CrossRef] [PubMed] [Green Version]
- Falcão, C.B.; De La Torre, B.G.; Pérez-Peinado, C.; Barron, A.E.; Andreu, D.; Rádis-Baptista, G. Vipericidins: A novel family of cathelicidin-related peptides from the venom gland of South American pit vipers. Amino Acids 2014, 46, 2561–2571. [Google Scholar] [CrossRef]
- Falcão, C.B.; Pérez-Peinado, C.; De La Torre, B.G.; Mayol, X.; Zamora-Carreras, H.; Jiménez, M.Á.; Rádis-Baptista, G.; Andreu, D. Structural Dissection of Crotalicidin, a Rattlesnake Venom Cathelicidin, Retrieves a Fragment with Antimicrobial and Antitumor Activity. J. Med. Chem. 2015, 58, 8553–8563. [Google Scholar] [CrossRef]
- Zhao, H.; Gan, T.X.; Liu, X.D.; Jin, Y.; Lee, W.H.; Shen, J.H.; Zhang, Y. Identification and characterization of novel reptile cathelicidins from elapid snakes. Peptides 2008, 29, 1685–1691. [Google Scholar] [CrossRef] [PubMed]
- Oliveira-júnior, N.G.; Freire, M.S.; Almeida, J.A.; Rezende, T.M.B.; Franco, O.L. Antimicrobial and proinflammatory effects of two vipericidins. Cytokine 2018, 111, 309–316. [Google Scholar] [CrossRef]
- Carlile, S.; Shiels, J.; Kerrigan, L.; Delaney, R.; Megaw, J.; Gilmore, B.F.; Weldon, S.; Dalton, J.P.; Taggart, C.C. Sea snake cathelicidin (Hc-cath) exerts a protective effect in mouse models of lung inflammation and infection. Sci. Rep. 2019, 9, 1–8. [Google Scholar] [CrossRef]
- Song, J.; Tan, H.; Perry, A.J.; Akutsu, T.; Webb, G.I.; Whisstock, J.C.; Pike, R.N. PROSPER: An Integrated Feature-Based Tool for Predicting Protease Substrate Cleavage Sites. PLoS ONE 2012, 7, e50300. [Google Scholar] [CrossRef] [Green Version]
- McLean, D.T.F.; Lundy, F.T.; Timson, D.J. IQ-motif peptides as novel anti-microbial agents. Biochimie 2013, 95, 875–880. [Google Scholar] [CrossRef]
- Tsuchiya, S.; Yamaguchi, Y.; Kobayashi, Y. Establishment and characterization of a human acute monocytic leukemia cell line (THP-1). Int. J. Cancer 1980, 26, 171–176. [Google Scholar] [CrossRef]
- Walkenhorst, W.F.; Merzlyakov, M.; Hristova, K.; Wimley, W.C. Polar residues in transmembrane helices can decrease electrophoretic mobility in polyacrylamide gels without causing helix dimerization. Biochim. Biophys. Acta Biomembr. 2009, 1788, 1321–1331. [Google Scholar] [CrossRef] [PubMed] [Green Version]
- Nadel, J.A. Role of mast cell and neutrophil proteases in airway secretion. Am. Rev. Respir. Dis. 1991, 144, S48–S51. [Google Scholar] [CrossRef] [PubMed]
- Atanasova, K.R.; Reznikov, L.R. Strategies for measuring airway mucus and mucins. Respir. Res. 2019, 20, 1–14. [Google Scholar] [CrossRef]
- Sepper, R.; Konttinen, Y.T.; Ingman, T.; Sorsa, T. Presence, activities, and molecular forms of cathepsin G, elastase, α1-antitrypsin, and α1-antichymotrypsin in bronchiectasis. J. Clin. Immunol. 1995, 15, 27–34. [Google Scholar] [CrossRef] [PubMed]
- Witko-sarsat, V.; Halbwachs-mecarelli, L.; Schuster, A.; Nusbaum, P.; Ueki, I.; Canteloup, S.; Lenoir, G.; Descamps-latscha, B.; Nadel, J.A. Proteinase 3, a Potent Secretagogue in Airways, Is Present in Cystic Fibrosis Sputum. Am. J. Respir. Cell Mol. Biol. 1999, 20, 729–736. [Google Scholar] [CrossRef] [PubMed]
- Taggart, C.C.; Greene, C.M.; Smith, S.G.; Levine, R.L.; McCray, P.B.; Neill, S.O.; McElvaney, N.G. Inactivation of Human β -Defensins 2 and 3 by Elastolytic Cathepsins. J. Immunol. 2003, 171, 931–937. [Google Scholar] [CrossRef] [Green Version]
- Bergsson, G.; Reeves, E.P.; McNally, P.; Chotirmall, S.H.; Greene, C.M.; Greally, P.; Murphy, P.; O’Neill, S.J.; McElvaney, N.G. LL-37 complexation with glycosaminoglycans in cystic fibrosis lungs inhibits antimicrobial activity, which can be restored by hypertonic saline. J. Immunol. 2009, 183, 543–551. [Google Scholar] [CrossRef] [Green Version]
- Guyot, N.; Butler, M.W.; Mcnally, P.; Weldon, S.; Greene, C.M.; Levine, R.L.; Neill, S.J.O.; Taggart, C.C.; McElvaney, N.G. Elafin, an Elastase-specific Inhibitor, Is Cleaved by Its Cognate Enzyme Neutrophil Elastase in Sputum from Individuals with Cystic Fibrosis. J. Biol. Chem. 2008, 283, 32377–32385. [Google Scholar] [CrossRef] [Green Version]
- Taggart, C.C.; Lowe, G.J.; Greene, C.M.; Mulgrew, A.T.; Neill, J.O.; Levine, R.L.; McElvaney, N.G. Cathepsin B, L and S Cleave and Inactivate Secretory Leucoprotease Inhibitor. J. Biol. Chem. 2001, 276, 33345–33352. [Google Scholar] [CrossRef] [Green Version]
- Weldon, S.; Mcnally, P.; Mcelvaney, N.G.; Stuart, J.; Mcauley, D.F.; Wartelle, J.; Levine, R.L.; Taggart, C.C.; Mcnally, P.; Mcelvaney, N.G.; et al. Decreased Levels of Secretory Leucoprotease Inhibitor in the Pseudomonas -Infected Cystic Fibrosis Lung Are Due to Neutrophil Elastase Degradation. J. Immunol. 2009, 183, 8148–8156. [Google Scholar] [CrossRef] [PubMed] [Green Version]
- O’Donoghue, A.J.; Jin, Y.; Knudsen, G.M.; Perera, N.C.; Jenne, D.E.; Murphy, J.E.; Craik, C.S.; Hermiston, T.W. Global Substrate Profiling of Proteases in Human Neutrophil Extracellular Traps Reveals Consensus Motif Predominantly Contributed by Elastase. PLoS ONE 2013, 8, 1–12. [Google Scholar] [CrossRef] [PubMed] [Green Version]
- Jeannin, P.; Delneste, Y.; Buisine, E.; Lle, J.O.; Mao, L.E.; Didierlaurent, A.; Stewart, G.A.; Tartar, I.I.A. Immunogenicity and antigenicity of synthetic peptides derived from the mite allergen Der p I. Mol. Immunol. 1993, 30, 1511–1518. [Google Scholar] [CrossRef]
- Zhang, Y.; Zhao, H.; Yu, G.; Liu, X.; Shen, J. Peptides Structure—Function relationship of king cobra cathelicidin. Peptides 2010, 31, 1488–1493. [Google Scholar] [CrossRef] [PubMed]
- Blondelle, S.E. Design of Model Amphipathic Peptides Having Potent Antimicrobial Activities. Biochemistry 1992, 31, 12688–12694. [Google Scholar] [CrossRef]
- Javadpour, M.M.; Juban, M.M.; Lo, W.J.; Bishop, S.M.; Alberty, J.B.; Cowell, S.M.; Becker, C.L.; Mclaughlin, M.L. De Novo Antimicrobial Peptides with Low Mammalian Cell Toxicity. J. Med. Chem. 1996, 2623, 3107–3113. [Google Scholar] [CrossRef]
- Wang, G. Structures of Human Host Defense Cathelicidin LL-37 and Its Smallest Antimicrobial Peptide KR-12 in Lipid Micelles. J. Biol. Chem. 2008, 283, 32637–32643. [Google Scholar] [CrossRef] [Green Version]
- Jeon, D.; Jacob, B.; Kwak, C.; Kim, Y. Short Antimicrobial Peptides Exhibiting Antibacterial and Anti-Inflammatory Activities Derived from the N-Terminal Helix of Papiliocin. Bull. Korean Chem. Soc. 2017, 38, 1260–1268. [Google Scholar] [CrossRef]
- Yu, H.; Wang, C.; Feng, L.; Cai, S.; Liu, X.; Qiao, X.; Shi, N.; Wang, H.; Wang, Y. Cathelicidin-Trypsin inhibitor loop conjugate represents a promising antibiotic candidate with protease stability. Sci. Rep. 2017, 7, 1–18. [Google Scholar] [CrossRef]
- Luo, Y.; McLean, D.T.F.; Linden, G.J.; McAuley, D.F.; McMullan, R.; Lundy, F.T. The Naturally Occurring Host Defense Peptide, LL-37, and Its Truncated Mimetics KE-18 and KR-12 Have Selected Biocidal and Antibiofilm Activities Against Candida albicans, Staphylococcus aureus, and Escherichia coli In vitro. Front. Microbiol. 2017, 8, 1–11. [Google Scholar] [CrossRef] [Green Version]
- Jacob, B.; Park, I.; Bang, J.; Yub, S. Short KR-12 analogs designed from human cathelicidin LL-37 possessing both antimicrobial and antiendotoxic activities without mammalian cell toxicity. Pept. Sci. 2013, 700–707. [Google Scholar] [CrossRef] [PubMed]
- Rosenfeld, Y.; Papo, N.; Shai, Y. Endotoxin (lipopolysaccharide) neutralization by innate immunity host-defense peptides: Peptide properties and plausible modes of action. J. Biol. Chem. 2006, 281, 1636–1643. [Google Scholar] [CrossRef] [Green Version]
- Nagaoka, I.; Hirota, S.; Niyonsaba, F.; Hirata, M.; Adachi, Y.; Tamura, H.; Tanaka, S.; Heumann, D. Augmentation of the lipopolysaccharide-neutralizing activities of human cathelicidin CAP18/LL-37-derived antimicrobial peptides by replacement with hydrophobic and cationic amino acid residues. Clin. Diagn. Lab. Immunol. 2002, 9, 972–982. [Google Scholar] [CrossRef] [Green Version]
- Nan, Y.H.; Bang, J.K.; Jacob, B.; Park, I.S.; Shin, S.Y. Prokaryotic selectivity and LPS-neutralizing activity of short antimicrobial peptides designed from the human antimicrobial peptide LL-37. Peptides 2012, 35, 239–247. [Google Scholar] [CrossRef] [PubMed]
- Giangaspero, A.; Sandri, L.; Tossi, A. Amphipathic a helical antimicrobial peptides activity. Eur. J. Biochem. 2001, 268, 5589–5600. [Google Scholar] [CrossRef]
- Pulido, D.; Nogús, M.V.; Boix, E.; Torrent, M. Lipopolysaccharide neutralization by antimicrobial peptides: A gambit in the innate host defense strategy. J. Innate Immun. 2012, 4, 327–336. [Google Scholar] [CrossRef] [PubMed]
- Scott, A.; Weldon, S.; Buchanan, P.J.; Schock, B.; Ernst, R.K.; McAuley, D.F.; Tunney, M.M.; Irwin, C.R.; Elborn, S.J.; Taggart, C.C. Evaluation of the Ability of LL-37 to Neutralise LPS In Vitro and Ex Vivo. PLoS ONE 2011, 6, e26525. [Google Scholar] [CrossRef] [PubMed] [Green Version]
- Datta, A.; Bhattacharyya, D.; Singh, S.; Ghosh, A.; Schmidtchen, A.; Malmsten, M.; Bhunia, A. Role of aromatic amino acids in lipopolysaccharide and membrane interactions of antimicrobial peptides for use in plant disease control. J. Biol. Chem. 2016, 291, 13301–13317. [Google Scholar] [CrossRef] [PubMed] [Green Version]
- Bhunia, A.; Mohanram, H.; Domadia, P.N.; Torres, J.; Bhattacharjya, S. Designed β-boomerang antiendotoxic and antimicrobial peptides. Structures and activities in lipopolysaccharide. J. Biol. Chem. 2009, 284, 21991–22004. [Google Scholar] [CrossRef] [PubMed] [Green Version]















| Peptide | Amino Acid Sequence | Molecular Weight (Da) | Net Charge at pH 7 | Hydrophobic Moment | GRAVY |
|---|---|---|---|---|---|
| Sn1 | KFFKRLLKSVRRAVKKFRKKPRLIGLSTLL | 3628.59 | +12 | 0.425 | −0.273 |
| Sn1a | KFFKRLLKSVRRAVKKFRKK | 2564.25 | +11 | 0.723 | −0.995 |
| Sn1b | KRFKKFFKRLLKSVRRAVKKFRKK | 3123.97 | +14 | 0.726 | −1.225 |
| Sn1bN | KRFKKFFKRLLKSV | 1825.32 | +7 | 0.831 | −0.650 |
| SnE1 | KRFKKFFKKLKNSVKKRAKKFFKKPRVIGVSIPF | 4155.23 | +15 | 0.457 | −0.735 |
| SnE1N | KRFKKFFKKLKNSV | 1798.25 | +7 | 0.768 | −1.129 |
| SnE1-F | KRFKKFFKKLKNSVKKRAKKFFKKPRVI | 3554.51 | +15 | 0.599 | −1.204 |
| SnV1 | KRFKKFFKKVKKSVKKRLKKIFKKPMVIGVTIPF | 4152.37 | +15 | 0.440 | −0.435 |
| Peptide | MIC (μM ± SEM) against P. aeruginosa 27853 | ||
|---|---|---|---|
| Peptide Alone | Peptide + NE | Fold Change in MIC | |
| Sn1 (n = 3) | 4.41 ± 2.16 | 20.0 ± 7.33 | 4.54 |
| Sn1a (n = 3) | 0.660 ± 0.423 | 45.6 ± 3.10 | 69.1 |
| Sn1b (n = 4) | 3.59 ± 2.13 | 7.31 ± 3.36 | 2.04 |
| SnE1 (n = 4) | 3.25 ± 1.96 | 5.07 ± 3.85 | 1.56 |
| SnV1 (n = 5) | 0.877 ± 0.434 | 5.42 ± 1.59 a | 6.18 |
| Peptide | Amino Acid Sequence |
|---|---|
| Sn1b | KRFKKFFKRLL│KSV│RRAVKKFRKK |
| SnE1 | KRFKKFFKKLKNSV│KKRAKKFFKKPRVI│GVSIPF |
| SnV1 | KRFKKFFKKV│KKSVKKRLKKI│FKKPMVIGVTIPF |
| Peptide | Mean MIC Value (μM) ± SEM against P. aeruginosa 27853 |
|---|---|
| Sn1b (n = 5) | 2.20 ± 0.673 |
| Sn1bN (n = 5) | 1.39 ± 0.725 |
| SnE1 (n = 9) | 1.92 ± 1.13 |
| SnE1N (n = 6) | 0.489 ± 0.160 |
| SnE1-F (n = 3) | 0.410 ± 0.310 |
| Peptide | MIC (μM ± SEM) against P. aeruginosa 27853 | ||
|---|---|---|---|
| Peptide Alone | Peptide + NE | Fold Change in MIC | |
| Sn1b (n = 4) | 3.59 ± 2.13 | 7.31 ± 3.36 | 2.04 |
| Sn1bN (n = 2) | 5.32 ± 4.16 | 5.09 ± 4.31 | 0.957 |
| SnE1 (n = 4) | 3.25 ± 1.96 | 5.07 ± 3.85 | 1.56 |
| SnE1N (n = 3) | 4.28 ± 2.03 | 6.54 ± 3.87 | 1.53 |
| SnE1-F (n = 2) | 2.04 ± 0.315 | 4.84 ± 1.31 | 2.37 |
Publisher’s Note: MDPI stays neutral with regard to jurisdictional claims in published maps and institutional affiliations. |
© 2021 by the authors. Licensee MDPI, Basel, Switzerland. This article is an open access article distributed under the terms and conditions of the Creative Commons Attribution (CC BY) license (https://creativecommons.org/licenses/by/4.0/).
Share and Cite
Creane, S.E.; Carlile, S.R.; Downey, D.; Weldon, S.; Dalton, J.P.; Taggart, C.C. The Impact of Lung Proteases on Snake-Derived Antimicrobial Peptides. Biomolecules 2021, 11, 1106. https://doi.org/10.3390/biom11081106
Creane SE, Carlile SR, Downey D, Weldon S, Dalton JP, Taggart CC. The Impact of Lung Proteases on Snake-Derived Antimicrobial Peptides. Biomolecules. 2021; 11(8):1106. https://doi.org/10.3390/biom11081106
Chicago/Turabian StyleCreane, Shannice E., Simon R. Carlile, Damian Downey, Sinéad Weldon, John P. Dalton, and Clifford C. Taggart. 2021. "The Impact of Lung Proteases on Snake-Derived Antimicrobial Peptides" Biomolecules 11, no. 8: 1106. https://doi.org/10.3390/biom11081106
APA StyleCreane, S. E., Carlile, S. R., Downey, D., Weldon, S., Dalton, J. P., & Taggart, C. C. (2021). The Impact of Lung Proteases on Snake-Derived Antimicrobial Peptides. Biomolecules, 11(8), 1106. https://doi.org/10.3390/biom11081106

