A Protein in the Yeast Saccharomyces cerevisiae Presents DNA Binding Homology to the p53 Checkpoint Protein and Tumor Suppressor
Abstract
1. Introduction
2. Materials and Methods
2.1. Strains and Culturing Conditions
2.2. Nuclear Preparations
2.3. Extraction of Proteins
2.4. Sodium Dodecyl Sulphate-polyacrylamide Gel Electrophoresis (SDS-PAGE)
2.5. Oligonucleotides and DNA Labeling
- Human p53 super consensus sequence (SCS):
- Top: 5′-TCG AGC CGG GCA TGT CCG GGC ATG TCC GGG CAT GTC-3′
- Bottom: 5′-TCG AGA CAT GCC CGG ACA TGC CCG GAC ATG CCC GGC-3′
- The p53 binding site sequence from the MDM2 oncogene:
- Top: 5′-GAT CCC TGG TCA AGT TGG GAC ACG TCC GGC GTC GGC TGT CGG AGG AGC TAA GTC CTG ACA TGT CTCCG-3′
- Bottom: 5′-GAT CCG GAG ACA TGT CAG GAC TTA CCT CCT CCG ACA GCC GAC GCC GGA CGT GTC CCA ACT TGA CCAGG-3′
- Mutant RGC:
- Top: 5′-TCG AGT TTA ATG GAC TTT AAT GGC CTT TAA TTTTC-3′
- Bottom: 5′-TCG AGA AAA TTA AAG GCC ATT AAA GTC CAT TAAAC-3′
2.6. Electrophoretic Mobility Shift Assays (EMSAs)
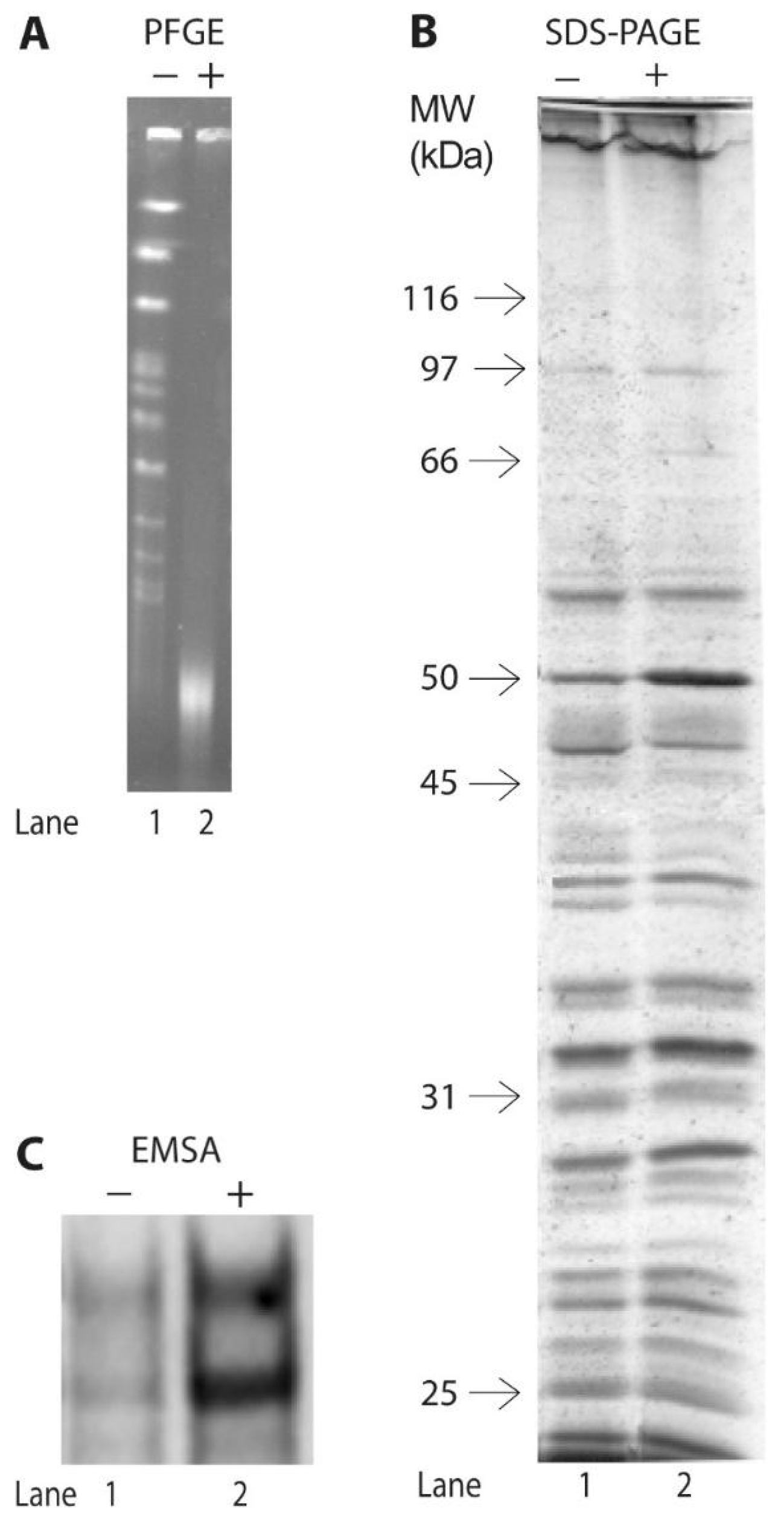
2.7. Pulsed-field Gel Electrophoresis
2.8. Gene Reporter Assays and Transactivation Experiments
3. Results
3.1. A Nuclear Yeast Protein Binds Specifically to the p53 Consensus Sequence
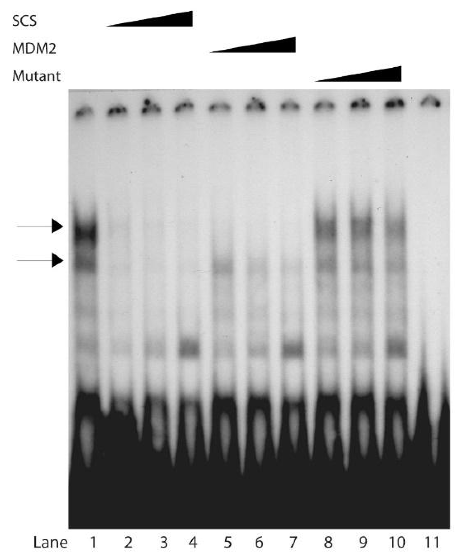
3.2. Relative Strengths of Competitive Inhibition of SCS Binding by SCS, the Naturally Occurring p53 Binding Site in the MDM2 Gene, and Mutant RGC
3.3. Similar Size of the Yeast Complex When Bound to the SCS and Natural Mammalian p53 Specific MDM2 Sequence
3.4. Enhanced Stability of the SCS Oligonucleotide-protein Complexes After Oxidative DNA Damage
3.5. DNA-damage Inducible Regulation of Transactivation from Reporter Constructs
4. Discussions
Author Contributions
Funding
Acknowledgments
Conflicts of Interest
References
- Freed-Pastor, W.A.; Prives, C. Mutant p53: One name, many proteins. Genes Dev. 2012, 26, 1268–1286. [Google Scholar] [CrossRef]
- Ciriello, G.; Miller, M.L.; Aksoy, B.A.; Senbabaoglu, Y.; Schultz, N.; Sander, C. Emerging landscape of oncogenic signatures across human cancers. Nat. Genet. 2013, 45, 1127–1133. [Google Scholar] [CrossRef]
- Muller, P.A.; Vousden, K.H. p53 mutations in cancer. Nat. Cell Biol. 2013, 15, 2–8. [Google Scholar] [CrossRef] [PubMed]
- Vogelstein, B.; Lane, D.; Levine, A.J. Surfing the p53 network. Nature 2000, 408, 307–310. [Google Scholar] [CrossRef] [PubMed]
- Petitjean, A.; Mathe, E.; Kato, S.; Ishioka, C.; Tavtigian, S.V.; Hainaut, P.; Olivier, M. Impact of mutant p53 functional properties on TP53 mutation patterns and tumor phenotype: Lessons from recent developments in the IARC TP53 database. Hum. Mutat. 2007, 28, 622–629. [Google Scholar] [CrossRef] [PubMed]
- Gualberto, A.; Aldape, K.; Kozakiewicz, K.; Tlsty, T.D. An oncogenic form of p53 confers a dominant, gain-of-function phenotype that disrupts spindle checkpoint control. Proc. Natl. Acad. Sci. USA 1998, 95, 5166–5171. [Google Scholar] [CrossRef]
- Strano, S.; Dell’Orso, S.; Di Agostino, S.; Fontemaggi, G.; Sacchi, A.; Blandino, G. Mutant p53: An oncogenic transcription factor. Oncogene 2007, 26, 2212–2219. [Google Scholar] [CrossRef]
- Adorno, M.; Cordenonsi, M.; Montagner, M.; Dupont, S.; Wong, C.; Hann, B.; Solari, A.; Bobisse, S.; Rondina, M.B.; Guzzardo, V.; et al. A Mutant-p53/Smad complex opposes p63 to empower TGFbeta-induced metastasis. Cell 2009, 137, 87–98. [Google Scholar] [CrossRef]
- Song, H.; Hollstein, M.; Xu, Y. p53 gain-of-function cancer mutants induce genetic instability by inactivating ATM. Nat. Cell Biol. 2007, 9, 573–580. [Google Scholar] [CrossRef]
- Liu, D.P.; Song, H.; Xu, Y. A common gain of function of p53 cancer mutants in inducing genetic instability. Oncogene 2010, 29, 949–956. [Google Scholar] [CrossRef]
- Hanel, W.; Moll, U.M. Links between mutant p53 and genomic instability. J. Cell Biochem. 2012, 113, 433–439. [Google Scholar] [CrossRef] [PubMed]
- Jegga, A.G.; Inga, A.; Menendez, D.; Aronow, B.J.; Resnick, M.A. Functional evolution of the p53 regulatory network through its target response elements. Proc. Natl. Acad. Sci. USA 2008, 105, 944–949. [Google Scholar] [CrossRef] [PubMed]
- Jordan, J.J.; Menendez, D.; Inga, A.; Noureddine, M.; Bell, D.A.; Resnick, M.A. Noncanonical DNA motifs as transactivation targets by wild type and mutant p53. PLoS Genet. 2008, 4, e1000104. [Google Scholar] [CrossRef]
- Jordan, J.J.; Inga, A.; Conway, K.; Edmiston, S.; Carey, L.A.; Wu, L.; Resnick, M.A. Altered-function p53 missense mutations identified in breast cancers can have subtle effects on transactivation. Mol. Cancer Res. 2010, 8, 701–716. [Google Scholar] [CrossRef]
- Jordan, J.J.; Menendez, D.; Sharav, J.; Beno, I.; Rosenthal, K.; Resnick, M.A.; Haran, T.E. Low-level p53 expression changes transactivation rules and reveals superactivating sequences. Proc. Natl. Acad. Sci. USA 2012, 109, 14387–14392. [Google Scholar] [CrossRef]
- Ciribilli, Y.; Monti, P.; Bisio, A.; Nguyen, H.T.; Ethayathulla, A.S.; Ramos, A.; Foggetti, G.; Menichini, P.; Menendez, D.; Resnick, M.A.; et al. Transactivation specificity is conserved among p53 family proteins and depends on a response element sequence code. Nucleic Acids Res. 2013, 41, 8637–8653. [Google Scholar] [CrossRef]
- Nguyen, T.A.; Menendez, D.; Resnick, M.A.; Anderson, C.W. Mutant TP53 Posttranslational Modifications: Challenges and Opportunities. Hum. Mutat. 2014, 35, 738–755. [Google Scholar] [CrossRef]
- Leao, M.; Gomes, S.; Soares, J.; Bessa, C.; Maciel, C.; Ciribilli, Y.; Pereira, C.; Inga, A.; Saraiva, L. Novel simplified yeast-based assays of regulators of p53-MDMX interaction and p53 transcriptional activity. FEBS J. 2013, 280, 6498–6507. [Google Scholar] [CrossRef][Green Version]
- Lion, M.; Raimondi, I.; Donati, S.; Jousson, O.; Ciribilli, Y.; Inga, A. Evolution of p53 transactivation specificity through the lens of a yeast-based functional assay. PLoS ONE 2015, 10, e0116177. [Google Scholar] [CrossRef][Green Version]
- Monti, P.; Campomenosi, P.; Ciribilli, Y.; Iannone, R.; Inga, A.; Abbondandolo, A.; Resnick, M.A.; Fronza, G. Tumour p53 mutations exhibit promoter selective dominance over wild type p53. Oncogene 2002, 21, 1641–1648. [Google Scholar] [CrossRef]
- Menendez, D.; Inga, A.; Resnick, M.A. Potentiating the p53 network. Discov. Med. 2010, 10, 94–100. [Google Scholar] [PubMed]
- Bischoff, J.R.; Casso, D.; Beach, D. Human p53 inhibits growth in Schizosaccharomyces pombe. Mol. Cell Biol. 1992, 12, 1405–1411. [Google Scholar] [CrossRef] [PubMed][Green Version]
- Bureik, M.; Jungbluth, A.; Drescher, R.; Wagner, P. Human p53 restores DNA synthesis control in fission yeast. Biol. Chem. 1997, 378, 1361–1371. [Google Scholar] [CrossRef] [PubMed]
- Sharer, E.; Iggo, R. Mammalian p53 can function as a transcription factor in yeast. Nucleic Acids Res. 1992, 20, 1539–1545. [Google Scholar] [CrossRef] [PubMed]
- Bitter, G.A.; Schaeffer, T.N.; Ellison, A.R. Reporter gene regulation in Saccharomyces cerevisiae by the human p53 tumor suppressor protein. J. Mol. Microbiol. Biotechnol. 2002, 4, 539–550. [Google Scholar]
- Inga, A.; Storici, F.; Darden, T.A.; Resnick, M.A. Differential transactivation by the p53 transcription factor is highly dependent on p53 level and promoter target sequence. Mol. Cell Biol. 2002, 22, 8612–8625. [Google Scholar] [CrossRef]
- Shiraishi, K.; Kato, S.; Han, S.Y.; Liu, W.; Otsuka, K.; Sakayori, M.; Ishida, T.; Takeda, M.; Kanamaru, R.; Ohuchi, N.; et al. Isolation of temperature-sensitive p53 mutations from a comprehensive missense mutation library. J. Biol. Chem. 2004, 279, 348–355. [Google Scholar] [CrossRef]
- Di Ventura, B.; Funaya, C.; Antony, C.; Knop, M.; Serrano, L. Reconstitution of Mdm2-dependent post-translational modifications of p53 in yeast. PLoS ONE 2008, 3, e1507. [Google Scholar] [CrossRef]
- Flaman, J.M.; Robert, V.; Lenglet, S.; Moreau, V.; Iggo, R.; Frebourg, T. Identification of human p53 mutations with differential effects on the bax and p21 promoters using functional assays in yeast. Oncogene 1998, 16, 1369–1372. [Google Scholar] [CrossRef]
- Di Como, C.J.; Prives, C. Human tumor-derived p53 proteins exhibit binding site selectivity and temperature sensitivity for transactivation in a yeast-based assay. Oncogene 1998, 16, 2527–2539. [Google Scholar] [CrossRef]
- Campomenosi, P.; Monti, P.; Aprile, A.; Abbondandolo, A.; Frebourg, T.; Gold, B.; Crook, T.; Inga, A.; Resnick, M.A.; Iggo, R.; et al. p53 mutants can often transactivate promoters containing a p21 but not Bax or PIG3 responsive elements. Oncogene 2001, 20, 3573–3579. [Google Scholar] [CrossRef] [PubMed]
- Inga, A.; Monti, P.; Fronza, G.; Darden, T.; Resnick, M.A. p53 mutants exhibiting enhanced transcriptional activation and altered promoter selectivity are revealed using a sensitive, yeast-based functional assay. Oncogene 2001, 20, 501–513. [Google Scholar] [CrossRef] [PubMed]
- Resnick, M.A.; Inga, A. Functional mutants of the sequence-specific transcription factor p53 and implications for master genes of diversity. Proc. Natl. Acad. Sci. USA 2003, 100, 9934–9939. [Google Scholar] [CrossRef] [PubMed]
- Monti, P.; Ciribilli, Y.; Jordan, J.; Menichini, P.; Umbach, D.M.; Resnick, M.A.; Luzzatto, L.; Inga, A.; Fronza, G. Transcriptional functionality of germ line p53 mutants influences cancer phenotype. Clin. Cancer Res. 2007, 13, 3789–3795. [Google Scholar] [CrossRef] [PubMed]
- Yousef, A.F.; Xu, G.W.; Mendez, M.; Brandl, C.J.; Mymryk, J.S. Coactivator requirements for p53-dependent transcription in the yeast Saccharomyces cerevisiae. Int. J. Cancer 2008, 122, 942–946. [Google Scholar] [CrossRef] [PubMed]
- Andreotti, V.; Ciribilli, Y.; Monti, P.; Bisio, A.; Lion, M.; Jordan, J.; Fronza, G.; Menichini, P.; Resnick, M.A.; Inga, A. p53 transactivation and the impact of mutations, cofactors and small molecules using a simplified yeast-based screening system. PLoS ONE 2011, 6, e20643. [Google Scholar] [CrossRef]
- Raimondi, I.; Ciribilli, Y.; Monti, P.; Bisio, A.; Pollegioni, L.; Fronza, G.; Inga, A.; Campomenosi, P. P53 family members modulate the expression of PRODH, but not PRODH2, via intronic p53 response elements. PLoS ONE 2013, 8, e69152. [Google Scholar] [CrossRef]
- Sharma, V.; Monti, P.; Fronza, G.; Inga, A. Human transcription factors in yeast: The fruitful examples of P53 and NF-small ka, CyrillicB. FEMS Yeast Res. 2016, 16, fow083. [Google Scholar] [CrossRef][Green Version]
- Moore, C.W. Further characterizations of bleomycin-sensitive (blm) mutants of Saccharomyces cerevisiae with implications for a radiomimetic model. J. Bacteriol. 1991, 173, 3605–3608. [Google Scholar] [CrossRef]
- Moore, C.W. Control of in vivo (cellular) phleomycin sensitivity by nuclear genotype, growth phase, and metal ions. Cancer Res. 1982, 42, 929–933. [Google Scholar]
- Moore, C.W. Bleomycin. In Encyclopedia of Molecular Biology; Creighton, T., Ed.; John Wiley and Sons, Inc.: New York, NY, USA, 1999; pp. 292–297. [Google Scholar]
- Moore, C.W. Degradation of DNA and structure-activity relationship between bleomycins A2 and B2 in the absence of DNA repair. Biochemistry 1990, 29, 1342–1347. [Google Scholar] [CrossRef] [PubMed]
- Moore, C.W.; McKoy, J.; Dardalhon, M.; Davermann, D.; Martinez, M.; Averbeck, D. DNA damage-inducible and RAD52-independent repair of DNA double-strand breaks in Saccharomyces cerevisiae. Genetics 2000, 154, 1085–1099. [Google Scholar] [PubMed]
- Moore, C.W.; Schmick, A. Genetic effects of impure and pure saccharin in yeast. Science 1979, 205, 1007–1010. [Google Scholar] [CrossRef] [PubMed]
- Dunn, B.; Wobbe, R. Preparation of protein extracts from yeast. In Current Protocols in Molecular Biology; Ausubel, F.M., Brent, R., Kingston, R.E., Moore, D.D., Seidman, J.G., Smith, J.A., Struhl, K., Eds.; John Wiley and Sons, Inc.: New York, NY, USA, 1993; pp. 13.13.11–13.13.17. [Google Scholar]
- Bargonetti, J.; Chicas, A.; White, D.; Prives, C. p53 represses Sp1 DNA binding and HIV-LTR directed transcription. Cell Mol. Biol. (Noisy-le-grand) 1997, 43, 935–949. [Google Scholar]
- Xiao, G.; White, D.; Bargonetti, J. p53 binds to a constitutively nucleosome free region of the mdm2 gene. Oncogene 1998, 16, 1171–1181. [Google Scholar] [CrossRef]
- Bradford, M.M. A rapid and sensitive method for the quantitation of microgram quantities of protein utilizing the principle of protein-dye binding. Anal. Biochem. 1976, 72, 248–254. [Google Scholar] [CrossRef]
- Gallagher, S. One-Dimensional SDS Gel Electrophoresis of Proteins. In Current Protocols in Molecular Biology; Ausubel, F.M., Brent, R., Kingston, R.E., Moore, D.D., Seidman, J.G., Smith, J.A., Struhl, K., Eds.; John Wiley and Sons, Inc.: New York, NY, USA, 1999; pp. 10.12A.11–10.12A.29. [Google Scholar]
- Steinberg, T.H.; Jones, L.J.; Haugland, R.P.; Singer, V.L. SYPRO orange and SYPRO red protein gel stains: One-step fluorescent staining of denaturing gels for detection of nanogram levels of protein. Anal. Biochem. 1996, 239, 223–237. [Google Scholar] [CrossRef]
- Bargonetti, J.; Manfredi, J.J.; Chen, X.; Marshak, D.R.; Prives, C. A proteolytic fragment from the central region of p53 has marked sequence-specific DNA-binding activity when generated from wild-type but not from oncogenic mutant p53 protein. Genes Dev. 1993, 7, 2565–2574. [Google Scholar] [CrossRef]
- Molina, M.P.; Cain, C.; Bargonetti, J. In vivo footprinting and DNA affinity chromatography for analysis of p53 DNA binding ability. Methods Mol. Biol. 2003, 234, 151–170. [Google Scholar]
- Fronza, G.; Inga, A.; Monti, P.; Scott, G.; Campomenosi, P.; Menichini, P.; Ottaggio, L.; Viaggi, S.; Burns, P.A.; Gold, B.; et al. The yeast p53 functional assay: A new tool for molecular epidemiology. Hopes and facts. Mutat. Res. 2000, 462, 293–301. [Google Scholar] [CrossRef]
- Inga, A.; Resnick, M.A. Novel human p53 mutations that are toxic to yeast can enhance transactivation of specific promoters and reactivate tumor p53 mutants. Oncogene 2001, 20, 3409–3419. [Google Scholar] [CrossRef] [PubMed][Green Version]
- Inga, A.; Nahari, D.; Velasco-Miguel, S.; Friedberg, E.C.; Resnick, M.A. A novel p53 mutational hotspot in skin tumors from UV-irradiated Xpc mutant mice alters transactivation functions. Oncogene 2002, 21, 5704–5715. [Google Scholar] [CrossRef] [PubMed][Green Version]
- Tomso, D.J.; Inga, A.; Menendez, D.; Pittman, G.S.; Campbell, M.R.; Storici, F.; Bell, D.A.; Resnick, M.A. Functionally distinct polymorphic sequences in the human genome that are targets for p53 transactivation. Proc. Natl. Acad. Sci. USA 2005, 102, 6431–6436. [Google Scholar] [CrossRef] [PubMed]
- Espinosa, J.M.; Emerson, B.M. Transcriptional regulation by p53 through intrinsic DNA/chromatin binding and site-directed cofactor recruitment. Mol. Cell. 2001, 8, 57–69. [Google Scholar] [CrossRef]
- Mundt, M.; Hupp, T.; Fritsche, M.; Merkle, C.; Hansen, S.; Lane, D.; Groner, B. Protein interactions at the carboxyl terminus of p53 result in the induction of its in vitro transactivation potential. Oncogene 1997, 15, 237–244. [Google Scholar] [CrossRef][Green Version]
- Doherty, K.M.; Pride, L.D.; Lukose, J.; Snydsman, B.E.; Charles, R.; Pramanik, A.; Muller, E.G.; Botstein, D.; Moore, C.W. Loss of a 20S proteasome activator in Saccharomyces cerevisiae downregulates genes important for genomic integrity, increases DNA damage, and selectively sensitizes cells to agents with diverse mechanisms of action. G3 (Bethesda) 2012, 2, 943–959. [Google Scholar] [CrossRef]
- Thomas, B.J.; Rothstein, R. Elevated recombination rates in transcriptionally active DNA. Cell 1989, 56, 619–630. [Google Scholar] [CrossRef]
- Brocard, C.; Lametschwandtner, G.; Koudelka, R.; Hartig, A. Pex14p is a member of the protein linkage map of Pex5p. Embo J. 1997, 16, 5491–5500. [Google Scholar] [CrossRef]
- Halazonetis, T.D.; Davis, L.J.; Kandil, A.N. Wild-type p53 adopts a ‘mutant’-like conformation when bound to DNA. Embo J. 1993, 12, 1021–1028. [Google Scholar] [CrossRef]
- Zauberman, A.; Flusberg, D.; Haupt, Y.; Barak, Y.; Oren, M. A functional p53-responsive intronic promoter is contained within the human mdm2 gene. Nucleic Acids Res. 1995, 23, 2584–2592. [Google Scholar] [CrossRef]
- Friedman, P.N.; Chen, X.; Bargonetti, J.; Prives, C. The p53 protein is an unusually shaped tetramer that binds directly to DNA. Proc. Natl. Acad. Sci. USA 1993, 90, 3319–3323. [Google Scholar] [CrossRef] [PubMed]
- Flaman, J.M.; Frebourg, T.; Moreau, V.; Charbonnier, F.; Martin, C.; Chappuis, P.; Sappino, A.P.; Limacher, I.M.; Bron, L.; Benhattar, J.; et al. A simple p53 functional assay for screening cell lines, blood, and tumors. Proc. Natl. Acad. Sci. USA 1995, 92, 3963–3967. [Google Scholar] [CrossRef] [PubMed]
- Moore, C.W. Internucleosomal cleavage and chromosomal degradation by bleomycin and phleomycin in yeast. Cancer Res. 1988, 48, 6837–6843. [Google Scholar] [PubMed]
- Moore, C.W. Cleavage of cellular and extracellular Saccharomyces cerevisiae DNA by bleomycin and phleomycin. Cancer Res. 1989, 49, 6935–6940. [Google Scholar]
- Mc.Koy, J.F.; Pleninger, P.; Wall, L.; Pramanik, A.; Martinez, M.; Moore, C.W. Genetic changes and bioassays in bleomycin- and phleomycin-treated cells, and their relationship to chromosomal breaks. Mutat. Res./DNA Repair 1995, 336, 19–27. [Google Scholar] [CrossRef]
- Davermann, D.; Martinez, M.; McKoy, J.; Patel, N.; Averbeck, D.; Moore, C.W. Impaired mitochondrial function protects against free radical-mediated cell death. Free Radic. Biol. Med. 2002, 33, 1209–1220. [Google Scholar] [CrossRef]
- Sengupta, S.; Maji, S.K.; Ghosh, S.K. Evidence of a prion-like transmission of p53 amyloid in Saccharomyces cerevisiae. Mol. Cell Biol. 2017, 37, e00118-17. [Google Scholar] [CrossRef]
- Sigler, K.; Chaloupka, J.; Brozmanova, J.; Stadler, N.; Hofer, M. Oxidative stress in microorganisms--I. Microbial vs. higher cells--damage and defenses in relation to cell aging and death. Folia Microbiol. (Praha) 1999, 44, 587–624. [Google Scholar] [CrossRef]
- Houser, S.; Koshlatyi, S.; Lu, T.; Gopen, T.; Bargonetti, J. Camptothecin and Zeocin can increase p53 levels during all cell cycle stages. Biochem. Biophys. Res. Commun. 2001, 289, 998–1009. [Google Scholar] [CrossRef]
- Rutkowski, R.; Hofmann, K.; Gartner, A. Phylogeny and function of the invertebrate p53 superfamily. Cold Spring Harbor Perspect. Biol. 2010, 2, a001131. [Google Scholar] [CrossRef]






© 2020 by the authors. Licensee MDPI, Basel, Switzerland. This article is an open access article distributed under the terms and conditions of the Creative Commons Attribution (CC BY) license (http://creativecommons.org/licenses/by/4.0/).
Share and Cite
Farooqi, K.; Ghazvini, M.; Pride, L.D.; Mazzella, L.; White, D.; Pramanik, A.; Bargonetti, J.; Moore, C.W. A Protein in the Yeast Saccharomyces cerevisiae Presents DNA Binding Homology to the p53 Checkpoint Protein and Tumor Suppressor. Biomolecules 2020, 10, 417. https://doi.org/10.3390/biom10030417
Farooqi K, Ghazvini M, Pride LD, Mazzella L, White D, Pramanik A, Bargonetti J, Moore CW. A Protein in the Yeast Saccharomyces cerevisiae Presents DNA Binding Homology to the p53 Checkpoint Protein and Tumor Suppressor. Biomolecules. 2020; 10(3):417. https://doi.org/10.3390/biom10030417
Chicago/Turabian StyleFarooqi, Kanwal, Marjan Ghazvini, Leah D. Pride, Louis Mazzella, David White, Ajay Pramanik, Jill Bargonetti, and Carol Wood Moore. 2020. "A Protein in the Yeast Saccharomyces cerevisiae Presents DNA Binding Homology to the p53 Checkpoint Protein and Tumor Suppressor" Biomolecules 10, no. 3: 417. https://doi.org/10.3390/biom10030417
APA StyleFarooqi, K., Ghazvini, M., Pride, L. D., Mazzella, L., White, D., Pramanik, A., Bargonetti, J., & Moore, C. W. (2020). A Protein in the Yeast Saccharomyces cerevisiae Presents DNA Binding Homology to the p53 Checkpoint Protein and Tumor Suppressor. Biomolecules, 10(3), 417. https://doi.org/10.3390/biom10030417

