Cutaneous Vascular Neoplasms of Uncertain Biological Behavior
Abstract
Simple Summary
Abstract
1. Introduction
2. Materials and Methods
3. Results and Discussion
3.1. Kaposiform Hemangioendothelioma
3.1.1. Historical Aspects
3.1.2. Epidemiology and Demographics
3.1.3. Clinical Presentation
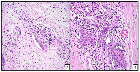
3.1.4. Histologic Features
3.1.5. Ancillary Testing and Immunohistochemical Stains
3.1.6. Genetics and Molecular
3.1.7. Challenges to Classification and Differential Diagnosis
3.1.8. Current Literature on Biological Behavior and Treatment
3.2. Endovascular Papillary Angioendothelioma (EPA, Dabska Tumor)
3.2.1. Historical Aspects
3.2.2. Epidemiology and Demographics
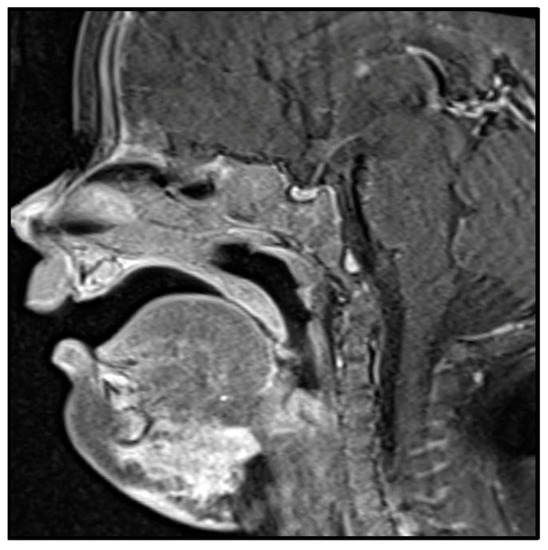
3.2.3. Clinical Presentation
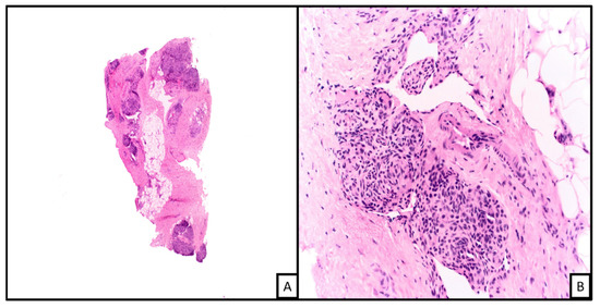
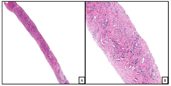
3.2.4. Histologic Features
3.2.5. Ancillary Testing and Immunohistochemical Stains
3.2.6. Genetics and Molecular
3.2.7. Challenges to Classification and Differential Diagnosis
3.2.8. Current Literature on Biological Behavior and Treatment
3.3. Pseudomyogenic Hemangioendothelimoa (PMH)
3.3.1. Historical Aspects
3.3.2. Epidemiology and Demographics
3.3.3. Clinical Presentation
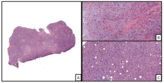
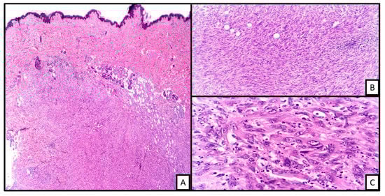
3.3.4. Histologic Features
3.3.5. Ancillary Testing and Immunohistochemical Stains
3.3.6. Genetics and Molecular
3.3.7. Challenges to Classification and Differential Diagnosis
3.3.8. Current Literature on Biological Behavior
3.4. Retiform Hemangioendothelimoa (RHE)
3.4.1. Historical Aspects
3.4.2. Epidemiology and Demographics
3.4.3. Clinical Presentation
3.4.4. Histologic Features
3.4.5. Ancillary Testing and Immunohistochemical Stains
3.4.6. Genetics and Molecular
3.4.7. Challenges to Classification and Differential Diagnosis
3.4.8. Current Literature on Biological Behavior
3.5. Epitheloid Hemangioendothelioma (EHE)
3.5.1. Historical Aspects
3.5.2. Epidemiology and Demographics
3.5.3. Clinical Presentation
3.5.4. Histologic Features
3.5.5. Ancillary Testing and Immunohistochemical Stains
3.5.6. Genetics and Molecular
3.5.7. Challenges to Classification and Differential Diagnosis
3.5.8. Current Literature on Biological Behavior
3.6. Composite Hemangioendothelioma (CHE)
3.6.1. Historical Aspects
3.6.2. Epidemiology and Demographics
3.6.3. Clinical Presentation
3.6.4. Histologic Features
3.6.5. Ancillary Testing and Immunohistochemical Stains
3.6.6. Genetics and Molecular
3.6.7. Challenges to Classification and Differential Diagnosis
3.6.8. Current Literature on Biological Behavior
4. Conclusions
Author Contributions
Funding
Institutional Review Board Statement
Informed Consent Statement
Data Availability Statement
Conflicts of Interest
References
- Arai, E.; Kuramochi, A.; Tsuchida, T.; Tsuneyoshi, M.; Kage, M.; Fukunaga, M.; Ito, T.; Tada, T.; Izumi, M.; Shimizu, K.; et al. Usefulness of D2-40 immunohistochemistry for differentiation between kaposiform hemangioendothelioma and tufted angioma. J. Cutan. Pathol. 2006, 33, 492–497. [Google Scholar] [CrossRef] [PubMed]
- Debelenko, L.V.; Perez-Atayde, A.R.; Mulliken, J.B.; Liang, M.G.; Archibald, T.H.; Kozakewich, H.P.W. D2-40 immunohistochemical analysis of pediatric vascular tumors reveals positivity in kaposiform hemangioendothelioma. Mod. Pathol. 2005, 18, 1454–1460. [Google Scholar] [CrossRef] [PubMed]
- Greene, A.K.; Goss, J.A. Vascular Anomalies. Plast. Reconstr. Surg. 2018, 141, 709e–717e. [Google Scholar] [CrossRef] [PubMed]
- Ozeki, M.; Fujino, A.; Matsuoka, K.; Nosaka, S.; Kuroda, T.; Fukao, T. Clinical Features and Prognosis of Generalized Lymphatic Anomaly, Kaposiform Lymphangiomatosis, and Gorham-Stout Disease. Pediatr. Blood Cancer 2016, 63, 832–838. [Google Scholar] [CrossRef] [PubMed]
- Liu, Q.J.L.; Wu, D.; Kan, Y.; Fu, F.; Zhang, D.; Gong, Y.; Wang, Y.; Dong, C.; Kong, L. Clinicopathological features of Kaposiform hemangioendothelioma. Int. J. Clin. Exp. Pathol. 2015, 8, 13711–13718. [Google Scholar] [PubMed]
- Schmid, I.; Klenk, A.K.; Sparber-Sauer, M.; Koscielniak, E.; Maxwell, R.; Häberle, B. Kaposiform hemangioendothelioma in children: A benign vascular tumor with multiple treatment options. World J. Pediatr. 2018, 14, 322–329. [Google Scholar] [CrossRef] [PubMed]
- Dore, M.; Cerezo, V.; Cervantes, M.; Sánchez, A.; Ferrero, M.; González, M.; Lopez-Gutierrez, J.; Triana, P. Sirolimus in the Treatment of Vascular Anomalies. Eur. J. Pediatr. Surg. 2017, 27, 086–090. [Google Scholar] [CrossRef] [PubMed]
- Vivas-Colmenares, G.V.; Ramírez-Villar, G.L.; Bernabeu-Wittel, J.; De Cardenas, J.A.M.; Fernandez-Pineda, I. The importance of early diagnosis and treatment of kaposiform hemangioendothelioma complicated by Kasabach-Merritt phenomenon. Dermatol. Pr. Concept. 2015, 5, 91–93. [Google Scholar] [CrossRef]
- Yuan, S.-M.; Hong, Z.-J.; Chen, H.-N.; Shen, W.-M.; Zhou, X.-J. Kaposiform Hemangioendothelioma Complicated by Kasabach-Merritt Phenomenon: Ultrastructural Observation and Immunohistochemistry Staining Reveal the Trapping of Blood Components. Ultrastruct. Pathol. 2013, 37, 452–455. [Google Scholar] [CrossRef]
- Zukerberg, L.R.; Nickoloff, B.J.; Weiss, S.W. Kaposiform Hemangioendothelioma of Infancy and Childhood. An aggressive neoplasm associated with Kasabach-Merritt syndrome and lymphangiomatosis. Am. J. Surg. Pathol. 1993, 17, 321–328. [Google Scholar] [CrossRef] [PubMed]
- Brill, R.; Uller, W.; Huf, V.; Müller-Wille, R.; Schmid, I.; Pohl, A.; Häberle, B.; Perkowski, S.; Funke, K.; Till, A.; et al. Additive value of transarterial embolization to systemic sirolimus treatment in kaposiform hemangioendothelioma. Int. J. Cancer 2021, 148, 2345–2351. [Google Scholar] [CrossRef] [PubMed]
- Kugler, A.; Koelblinger, P.; Zelger, B.; Ahlgrimm-Siess, V.; Laimer, M. Papillary intralymphatic angioendothelioma (PILA), also referred to as Dabska tumour, in an 83-year-old woman. J. Eur. Acad. Dermatol. Venereol. 2016, 30, e59–e61. [Google Scholar] [CrossRef] [PubMed]
- Dabska, M. Malignant endovascular papillary angioendothelioma of the skin in childhood.Clinicopathologic study of 6 cases. Cancer 1969, 24, 503–510. [Google Scholar] [CrossRef]
- Llamas-Velasco, M.; Angulo, J.; Durán, R.; Fraitag, S.; Kutzner, H.; Requena, L. Hemangioma with dabskoid features: A rare histopathologic variant of acquired hemangioma. J. Cutan. Pathol. 2016, 43, 258–262. [Google Scholar] [CrossRef]
- Neves, R.I.; Stevenson, J.; Hancey, M.J.; Vangelisti, G.; Miraliakbari, R.; Mackay, D.; Clarke, L. Endovascular papillary angioendothelioma (Dabska tumor): Underrecognized malignant tumor in childhood. J. Pediatr. Surg. 2011, 46, e25–e28. [Google Scholar] [CrossRef] [PubMed]
- Fukunaga, M. Expression of D2-40 in lymphatic endothelium of normal tissues and in vascular tumours. Histopathology 2005, 46, 396–402. [Google Scholar] [CrossRef]
- Bhatia, J.; Tadi, P. Endovascular Papillary Angioendothelioma; StatPearls Publishing: Treasure Island, FL, USA, 2020. [Google Scholar]
- Pradhan, D.; Schoedel, K.; McGough, R.L.; Ranganathan, S.; Rao, U.N. Pseudomyogenic hemangioendothelioma of skin, bone and soft tissue—A clinicopathological, immunohistochemical, and fluorescence in situ hybridization study. Hum. Pathol. 2018, 71, 126–134. [Google Scholar] [CrossRef] [PubMed]
- Mirra, J.M.; Kessler, S.; Bhuta, S.; Eckardt, J. The fibroma-like variant of epithelioid sarcoma. Cancer 1992, 69, 1382–1395. [Google Scholar] [CrossRef]
- Billings, S.D.; Folpe, A.L.; Weiss, S.W. Epithelioid Sarcoma-Like Hemangioendothelioma. Am. J. Surg. Pathol. 2003, 27, 48–57. [Google Scholar] [CrossRef] [PubMed]
- Hornick, J.L.; Fletcher, C.D. Pseudomyogenic hemangioendothelioma: A distinctive, often multicentric tumor with indolent behavior. Am. J. Surg. Pathol. 2011, 35, 190–201. [Google Scholar] [CrossRef]
- Jo, V.Y.; Fletcher, C.D. WHO classification of soft tissue tumours: An update based on the 2013 (4th) edition. Pathology 2014, 46, 95–104. [Google Scholar] [CrossRef] [PubMed]
- Walther, C.; Tayebwa, J.; Lilljebjörn, H.; Magnusson, L.; Nilsson, J.; Von Steyern, F.V.; Øra, I.; Domanski, H.; Fioretos, T.; Nord, K.H.; et al. A novelSERPINE1-FOSBfusion gene results in transcriptional up-regulation ofFOSBin pseudomyogenic haemangioendothelioma. J. Pathol. 2014, 232, 534–540. [Google Scholar] [CrossRef] [PubMed]
- Cheo, F.F.; Sittampalam, K. Pseudomyogenic (epithelioid sarcoma-like) hemangioendothelioma—A rare vascular neoplasm with deceptive morphology and distinctive immunophenotype. Malays. J. Pathol. 2017, 39, 305–309. [Google Scholar] [PubMed]
- Van Ijzendoorn, D.; Sleijfer, S.; Gelderblom, H.; Eskens, F.A.; Van Leenders, G.J.; Szuhai, K.; Bovée, J.V. Telatinib Is an Effective Targeted Therapy for Pseudomyogenic Hemangioendothelioma. Clin. Cancer Res. 2018, 24, 2678–2687. [Google Scholar] [CrossRef] [PubMed]
- Sheng, W.; Pan, Y.; Wang, J. Pseudomyogenic Hemangioendothelioma: Report of an additional case with aggressive clinical course. Am. J. Dermatopathol. 2013, 35, 597–600. [Google Scholar] [CrossRef]
- Pai, P.; Tamhankar, A.S.; Vaidya, A. Retiform hemangioendothelioma over forehead: A rare tumor treated with chemoradiation and a review of literature. J. Cancer Res. Ther. 2015, 11, 657. [Google Scholar] [CrossRef]
- Calonje, E.; Fletcher, C.D.; Wilson-Jones, E.; Rosai, J. Retiform hemangioendothelioma. A distinctive form of low-grade angiosarcoma delineated in a series of 15 cases. Am. J. Surg. Pathol. 1994, 18, 115–125. [Google Scholar] [CrossRef]
- Hirsh, A.Z.; Yan, W.; Wei, L.; Wernicke, A.G.; Parashar, B. Unresectable Retiform Hemangioendothelioma Treated with External Beam Radiation Therapy and Chemotherapy: A Case Report and Review of the Literature. Sarcoma 2010, 2010, 1–3. [Google Scholar] [CrossRef] [PubMed][Green Version]
- Choi, W.K.; Lee, S.H.; Oh, S.A.; Kang, D.H. Retiform Hemangioendothelioma on the Finger. Arch. Plast. Surg. 2012, 39, 80–82. [Google Scholar] [CrossRef] [PubMed]
- Zhang, G.; Lu, Q.; Yin, H.; Wen, H.; Su, Y.; Li, D.; Xiao, R. A case of retiform-hemangioendothelioma with unusual presentation and aggressive clinical features. Int. J. Clin. Exp. Pathol. 2010, 3, 528–533. [Google Scholar] [PubMed]
- Schommer, M.; Herbst, R.A.; Brodersen, J.P.; Kiehl, P.; Katenkamp, D.; Kapp, A.; Weiss, J. Retiform hemangioendothelioma: Another tumor associated with human herpesvirus type 8? J. Am. Acad. Dermatol. 2000, 42 Pt 1, 290–292. [Google Scholar] [CrossRef]
- Tan, D.; Kraybill, W.; Cheney, R.T.; Khoury, T. Retiform hemangioendothelioma: A case report and review of the literature. J. Cutan. Pathol. 2005, 32, 634–637. [Google Scholar] [CrossRef] [PubMed]
- Parsons, A.; Sheehan, D.J.; Sangueza, O.P. Retiform Hemangioendotheliomas Usually do not Express D2-40 and VEGFR-3. Am. J. Dermatopathol. 2008, 30, 31–33. [Google Scholar] [CrossRef] [PubMed]
- Mota, A.; Argenziano, G.; Zalaudek, I.; Piana, S.; Longo, C.; Moscarella, E.; Lallas, A. Clinical, dermoscopic and histopathologic findings of retiform hemangioendothelioma. Dermatol. Pr. Concept. 2013, 3, 11–14. [Google Scholar] [CrossRef] [PubMed]
- Bhutoria, B.; Konar, A.; Chakrabarti, S.; Das, S. Retiform hemangioendothelioma with lymph node metastasis: A rare entity. Indian J. Dermatol. Venereol. Leprol. 2009, 75, 60–62. [Google Scholar] [CrossRef]
- Ranga, S.M.; Kuchangi, N.C.; Shankar, V.S.; Amita, K.; Haleuoor, B.B.; Belagola, S.D. Retiform hemangioendothelioma: An uncommon pediatric vascular neoplasm. Indian J. Dermatol. 2014, 59, 633. [Google Scholar] [CrossRef]
- Liu, Q.; Ouyang, R.; Chen, P.; Zhou, R. A case report of retiform hemangioendothelioma as pleural nodules with literature review. Diagn. Pathol. 2015, 10, 194. [Google Scholar] [CrossRef] [PubMed]
- Rekha, S.; Kumar, V.; Kachhawa, D.; Jain, V. Cutaneous epithelioid hemangioendothelioma: A rare presentation. Indian J. Dermatol. Venereol. Leprol. 2018, 84, 739–742. [Google Scholar] [CrossRef]
- Weiss, S.W.; Enzinger, F.M. Epithelioid hemangioendothelioma: A vascular tumor often mistaken for a carcinoma. Cancer 1982, 50, 970–981. [Google Scholar] [CrossRef]
- Park, S.; Kim, H.; Ko, H.; Mun, J. Cutaneous epithelioid hemangioendothelioma treated with Mohs micrographic surgery. Int. J. Dermatol. 2017, 56, 97–99. [Google Scholar] [CrossRef] [PubMed]
- Kikuchi, K.; Watanabe, M.; Terui, T.; Ohtani, N.; Ohtani, H.; Tagami, H. Nail-destroying epithelioid haemangioendothelioma showing an erythematous scar-like appearance on the finger. Br. J. Dermatol. 2003, 148, 834–836. [Google Scholar] [CrossRef] [PubMed]
- Forschner, A.; Harms, D.; Metzler, G.; Snnichsen, K.; Ulmer, A.; Rassner, G.; Fierlbeck, G. Ulcerated epithelioid hemangioendothelioma of the foot in childhood. J. Am. Acad. Dermatol. 2003, 49, 113–116. [Google Scholar] [CrossRef] [PubMed]
- Dail, D.H.; Liebow, A.A.; Gmelich, J.T.; Friedman, P.J.; Miyai, K.; Myer, W.; Patterson, S.D.; Hammar, S.P. Intravascular, bronchiolar, and alveolar tumor of the lung (IVBAT): An analysis of twenty cases of a peculiar sclerosing endothelial tumor. Cancer 1983, 51, 452–464. [Google Scholar] [CrossRef]
- Quante, M.; Patel, N.K.; Hill, S.; Merchant, W.; Courtauld, E.; Newman, P.; McKee, P.H. Epithelioid Hemangioendothelioma Presenting in the Skin: A clinicopathologic study of eight cases. Am. J. Dermatopathol. 1998, 20, 541–546. [Google Scholar] [CrossRef] [PubMed]
- Ellis, G.L.; Kratochvil, F.J. Epithelioid hemangioendothelioma of the head and neck: A clinicopathologic report of twelve cases. Oral Surg. Oral Med. Oral Pathol. 1986, 61, 61–68. [Google Scholar] [CrossRef]
- Mobini, N. Cutaneous epithelioid angiosarcoma: A neoplasm with potential pitfalls in diagnosis. J. Cutan. Pathol. 2009, 36, 362–369. [Google Scholar] [CrossRef] [PubMed]
- Patel, N.R.; Salim, A.; Sayeed, H.; Sarabia, S.; Hollingsworth, F.; Warren, M.; Jakacky, J.; Tanas, M.; Oliveira, A.M.; Rubin, B.P.; et al. Molecular characterization of epithelioid haemangioendotheliomas identifies novel WWTR1-CAMTA1 fusion variants. Histopathology 2015, 67, 699–708. [Google Scholar] [CrossRef] [PubMed]
- Antonescu, C.R.; Le Loarer, F.; Mosquera, J.-M.; Sboner, A.; Zhang, L.; Chen, C.-L.; Chen, H.-W.; Pathan, N.; Krausz, T.; Dickson, B.; et al. Novel YAP1-TFE3 fusion defines a distinct subset of epithelioid hemangioendothelioma. Genes Chromosom. Cancer 2013, 52, 775–784. [Google Scholar] [CrossRef] [PubMed]
- Woelfel, C.; Liehr, T.; Weise, A.; Langrehr, J.; Kotb, W.A.; Pacyna-Gengelbach, M.; Katenkamp, D.; Petersen, I. Molecular cytogenetic characterization of epithelioid hemangioendothelioma. Cancer Genet. 2011, 204, 671–676. [Google Scholar] [CrossRef] [PubMed]
- Clarke, L.E.; Lee, R.; Militello, G.; Elenitsas, R.; Junkins-Hopkins, J. Cutaneous epithelioid hemangioendothelioma. J. Cutan. Pathol. 2008, 35, 236–240. [Google Scholar] [CrossRef]
- Nayler, S.J.; Rubin, B.P.; Calonje, E.; Chan, J.K.C.; Fletcher, C.D.M. Composite Hemangioendothelioma: A complex, low-grade vascular lesion mimicking angiosarcoma. Am. J. Surg. Pathol. 2000, 24, 352–361. [Google Scholar] [CrossRef] [PubMed]
- Leen, S.L.S.; Fisher, C.; Thway, K. Composite Hemangioendothelioma: Clinical and histologic features of an enigmatic entity. Adv. Anat. Pathol. 2015, 22, 254–259. [Google Scholar] [CrossRef] [PubMed]
- Reis-Filho, J.S.; Paiva, M.E.; Lopes, J.M. Congenital composite hemangioendothelioma: Case report and reappraisal of the hemangioendothelioma spectrum. J. Cutan. Pathol. 2002, 29, 226–231. [Google Scholar] [CrossRef] [PubMed]
- McNab, P.M.; Quigley, B.C.; Glass, L.F.; Jukic, D.M. Composite Hemangioendothelioma and Its Classification as a Low-Grade Malignancy. Am. J. Dermatopathol. 2013, 35, 517–522. [Google Scholar] [CrossRef] [PubMed]
- Stojsic, Z.; Brasanac, D.; Stojanovic, M.; Boricic, M. Cutaneous composite hemangioendothelioma: Case report and review of published reports. Ann. Saudi Med. 2014, 34, 182–188. [Google Scholar] [CrossRef]
- Fukunaga, M.; Suzuki, K.; Saegusa, N.; Folpe, A.L. Composite Hemangioendothelioma: Report of 5 cases including one with associated Maffucci syndrome. Am. J. Surg. Pathol. 2007, 31, 1567–1572. [Google Scholar] [CrossRef] [PubMed]
- Dong, A.; Bai, Y.; Wang, Y.; Zuo, C. Bone Scan, MRI, and FDG PET/CT Findings in Composite Hemangioendothelioma of the Manubrium Sterni. Clin. Nucl. Med. 2014, 39, e180–e183. [Google Scholar] [CrossRef] [PubMed]
- Requena, L.; Díaz, J.L.; Manzarbeitia, F.; Carrillo, R.; Fernandez-Herrera, J.; Kutzner, H. Cutaneous composite hemangioendothelioma with satellitosis and lymph node metastases. J. Cutan. Pathol. 2008, 35, 225–230. [Google Scholar] [CrossRef] [PubMed]
- Biagioli, M.; Sbano, P.; Miracco, C.; Fimiani, M. Composite cutaneous haemangioendothelioma: Case report and review of the literature. Clin. Exp. Dermatol. 2005, 30, 385–387. [Google Scholar] [CrossRef]
- Perry, K.D.; Al-Lbraheemi, A.; Rubin, B.P.; Jen, J.; Ren, H.; Jang, J.S.; Nair, A.; Davila, J.; Pambuccian, S.; Horvai, A.; et al. Composite hemangioendothelioma with neuroendocrine marker expression: An aggressive variant. Mod. Pathol. 2017, 30, 1589–1602. [Google Scholar] [CrossRef] [PubMed]
- Sakamoto, A. Reconstruction With β-Tricalcium Phosphate After Navicular Tumor Resection. J. Foot Ankle Surg. 2017, 56, 98–102. [Google Scholar] [CrossRef] [PubMed]
- Marazzi, F.; Cellini, F.; Kovács, G.; Gambacorta, M.A.; Tagliaferri, L. Radiotherapy for benign disorders: Current use in clinical practice. Eur. Rev. Med. Pharmacol. Sci. 2021, 25, 3440–3443. [Google Scholar] [CrossRef]






| Neoplasm | Histological Appearance | IHC | Molecular | Treatment Strategies |
|---|---|---|---|---|
| KHE | -Spindled endothelial cells with slit-like spaces and ectatic vessels in a collagenous stroma -Deep dermal involvement with extension into the subcutaneous tissue -Dilated lymphatics -Rare mitoses -Minimal atypia -Rare necrosis | Positive for: CD31, CD34, FLI-1, EGR, D2-40 Negative: GLUT1, HHV8 | Prox1 GNA14 | -Superficial tumors are usually cured by wide excision -Deep tumors not amendable to excision are best treated with Sirolimus-containing therapies with excellent chances of regression -Transarterial embolization in patients with KMP |
| EPA | -Dermal based vascular proliferation that may involve subcutis -Large cuboidal endothelial cells with hobnailing -Cytoplasmic vacuolization -Rare mitosis -Surrounding lymphocytic infiltrate and sclerotic collagen | CD31+ Positive for: CD34, ERG, FLI-1, D2-40, VEGFR-3 | None currently documented | -Most tumors are treated with complete wide local excision -Local radiation therapy for large masses with deep invasion or positive resection margins |
| PHE | -Infiltrative borders, ill-defined Nodules/sheets/fascicles of plump spindle/epithelioid cells with abundant eosinophilic cytoplasm -Rhabdomyoblastic-like morphology -Fibrous/desmoplastic stroma -Prominent neutrophils in some cases -Absence of well-formed vessels -Rare necrosis | Positive for: AE1/AE3, ERG, FLI-1, CD31 (50%), FOSB Negative for: CD34, Desmin, Myogenin, CAMTA1 | SERPINE1- FOSB | -Superficial tumors treated with complete wide local excision -Telatinib for patients with multifocal tumors or tumors not amenable to resection |
| RHE | -Elongated, arborizing vessels resembling rete testis -Papillary intraluminal projections -Hobnail endothelial cells -Significant histological overlap with EPA | Positive for: CD31, CD34, ERG, FLI-1, Negative for: D2-40, VEGFR-3 | None currently documented | -Complete wide local excision is preferred -Chemoradiation with cisplatin and radiotherapy for tumors not amenable to resection |
| EHE | -Infiltrative Epithelioid endothelial cells showing intracytoplasmic vacuoles (blister cells) -Myxohyaline stroma -Rare mitosis -Absence of well-formed vascular channels -Metaplastic calcification or ossification -Rare necrosis | Positive for: CD31, CD34, ERG, FLI-1, TTFE3, CAMTA1 | WWRT1- CAMTA1 | -Complete wide local excision is preferred -Mohs surgery has demonstrated efficacy for sensitive anatomic locations |
| CHE | -Mixture of various vasiform patterns in one single tumor -RHE pattern is the most common -EHE second most common pattern | Positive for: CD31, CD34, ERG, FLI-1 | Consistent with histologic patterns present -PTBP1- MAML2 -EPC1- PHC2 | -Complete wide local excision is the preferred treatment -Multiple tumors require aggressive resection and radiation therapy |
Publisher’s Note: MDPI stays neutral with regard to jurisdictional claims in published maps and institutional affiliations. |
© 2021 by the authors. Licensee MDPI, Basel, Switzerland. This article is an open access article distributed under the terms and conditions of the Creative Commons Attribution (CC BY) license (https://creativecommons.org/licenses/by/4.0/).
Share and Cite
McCollum, K.J.; Al-Rohil, R.N. Cutaneous Vascular Neoplasms of Uncertain Biological Behavior. Biology 2021, 10, 1160. https://doi.org/10.3390/biology10111160
McCollum KJ, Al-Rohil RN. Cutaneous Vascular Neoplasms of Uncertain Biological Behavior. Biology. 2021; 10(11):1160. https://doi.org/10.3390/biology10111160
Chicago/Turabian StyleMcCollum, Kasey J., and Rami N. Al-Rohil. 2021. "Cutaneous Vascular Neoplasms of Uncertain Biological Behavior" Biology 10, no. 11: 1160. https://doi.org/10.3390/biology10111160
APA StyleMcCollum, K. J., & Al-Rohil, R. N. (2021). Cutaneous Vascular Neoplasms of Uncertain Biological Behavior. Biology, 10(11), 1160. https://doi.org/10.3390/biology10111160

