Antibacterial and Cytotoxic Potential of Biosynthesized Silver Nanoparticles by Some Plant Extracts
Abstract
:1. Introduction
2. Materials and Methods
2.1. Collection and Storage of Plant Samples
2.2. Synthesis of Silver Nanoparticles (AgNPs)
2.3. Characterization of Biogenic AgNPs
2.3.1. UV Spectroscopy
2.3.2. Dynamic Light Scattering (DLS) and Zeta Potential
2.3.3. Field Emission Scanning Electron Microscopy (FE-SEM)
2.3.4. Transmission Electron Microscopy (TEM)
2.3.5. Fourier-Transform Infrared Spectroscopy (FT-IR)
2.4. Evaluation of the Antibacterial Activity of AgNPs
2.4.1. Minimum Inhibitory Concentration (MIC) and Minimum Bactericidal Concentration (MBC) Determination
2.4.2. Tolerance Level
2.4.3. Synergistic Antibacterial Potential Silver Nanoparticles
2.5. Cancer Cell Lines and Culture Conditions
3. Statistical Analysis
4. Results and Discussion
4.1. AgNPs Synthesis Using Plant Extracts and AgNPs Characterization
4.2. Fourier-Transform Infrared Spectroscopy
4.3. Antibacterial Activity of Biogenic AgNPs
4.3.1. Tolerance Determination
4.3.2. Synergistic Antimicrobial Potential of AgNPs
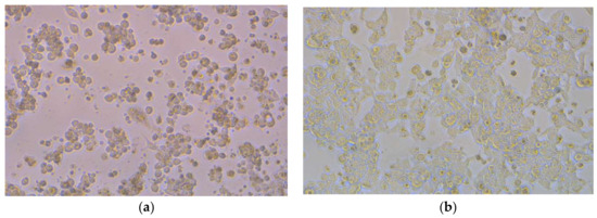
4.4. Cell Viability Study
5. Conclusions
Supplementary Materials
Author Contributions
Funding
Acknowledgments
Conflicts of Interest
References
- Thuesombat, P.; Hannongbua, S.; Akasit, S.; Chadchawan, S. Ecotoxicology and environmental safety effect of silver nanoparticles on rice (Oryza sativa L. cv. KDML 105) seed germination and seedling growth. Ecotoxicol. Environ. Saf. 2014, 104, e302–e309. [Google Scholar] [CrossRef] [PubMed]
- El-Chaghaby, G.A.; Ahmad, A.F. Biosynthesis of silver nanoparticles using pistacia lentiscus leaves extract and investigation of their antimicrobial effect. Orient. J. Chem. 2011, 27, e929–e936. [Google Scholar]
- Veerasamy, R.; Xin, T.Z.; Gunasagaran, S.; Xiang, T.F.W.; Yang, E.F.C.; Jeyakumar, N.; Dhanaraj, S.A. Biosynthesis of silver nanoparticles using mangosteen leaf extract and evaluation of their antimicrobial activities. J. Saudi Chem. Soc. 2011, 15, e113–e120. [Google Scholar] [CrossRef]
- Abalkhila, T.A.; Alharbia, S.A.; Salmena, S.H.; Wainwright, M. Bactericidal activity of biosynthesized silver nanoparticles against human pathogenic bacteria. Biotechnol. Biotechnol. Equip. 2017, 31, 411–417. [Google Scholar] [CrossRef]
- Nazem, A.; Mansoori, G.A. Nanotechnology solutions for Alzheimer’s disease: Advances in research tools, diagnostic methods and therapeutic agents. J. Alzheimers Dis. 2008, 13, 199–223. [Google Scholar] [CrossRef] [PubMed]
- Jacob, S.J.P.; Finub, J.S.; Narayanan, A. Synthesis of silver nanoparticles using Piper longum leaf extracts and its cytotoxic activity against Hep-2 cell line. Colloids Surf. Biointerfaces 2012, 91, 212–214. [Google Scholar] [CrossRef] [PubMed]
- Bindhu, M.R.; Umadevi, M. Antibacterial and catalytic activities of green synthesized silver nanoparticles. Spectrochim. Acta A Mol. Biomol. Spectrosc. 2015, 135, e373–e378. [Google Scholar] [CrossRef] [PubMed]
- Mahdi, S.; Taghdiri, M.; Makari, V.; Rahimi-Nasrabadi, M. Procedure optimization for green synthesis of silver nanoparticles by aqueous extract of Eucalyptus oleosa. Spectrochim. Acta A Mol. Biomol. Spectrosc. 2015, 136, e1249–e1254. [Google Scholar]
- Padalia, H.; Moteriya, P.; Chanda, S. Green synthesis of silver nanoparticles from marigold flower and its synergistic antimicrobial potential. Arab. J. Chem. 2014. [Google Scholar] [CrossRef]
- Sre, P.R.R.; Reka, M.; Poovazhagi, R.; Kumar, M.A.; Murugesan, K. Antibacterial and cytotoxic effect of biologically synthesized silver nanoparticles using aqueous root extract of Erythrina indica. Spectrochim. Acta A Mol. Biomol. Spectrosc. 2015, 135, e1137–e1144. [Google Scholar]
- Mittal, J.; Batra, A.; Singh, A.; Sharma, M.M. Phytofabrication of nanoparticles through plant as nanofactories. Adv. Nat. Sci. Nanosci. Nanotechnol. 2014, 5, 04300. [Google Scholar] [CrossRef]
- Mohammed, A.E. Arta (Calligonum Comosum, L’Her.) Shoot Extracts: Bio-Mediator in Silver Nanoparticles Formation and Antimycotic Potential. Nano Biomed. Eng. 2016, 8, 128–135. [Google Scholar] [CrossRef]
- Mohammed, A.E.; Albrahim, J.S. Synthesis, Characterization and Evaluation of Antimicrobial Potency of Silver Nanoparticles Using ZiziphusSpina-christi L. Leaf Extract. J. Pure Appl. Microbiol. 2014, 8, 3903–3908. [Google Scholar]
- Mohammed, A.E. Green Synthesis and Antimicrobial Activity of Eucalyptus camaldulensis Mediated Silver Nanoparticles. Asian Pac. J. Trop. Biomed. 2015, 5, 930–934. [Google Scholar] [CrossRef]
- Sadeghi, B.; Gholamhoseinpoor, F. A study on the stability and green synthesis of silver nanoparticles using Ziziphora tenuior (Zt) extract at room temperature. Spectrochim. Acta A Mol. Biomol. Spectrosc. 2015, 134, e310–e315. [Google Scholar] [CrossRef] [PubMed]
- Ahmed, S.; Ahmad, M.; Swami, B.L.; Ikram, S. Green synthesis of silver nanoparticles using Azadirachta indica aqueous leaf extract. J. Radiat. Res. Appl. Sci. 2016, 9, 1–7. [Google Scholar] [CrossRef]
- Saklani, V.; Suman, J.V.K. Microbial Synthesis of Silver Nanoparticles: A Review. J. Biotechnol. Biomater. 2012, 13, 007. [Google Scholar] [CrossRef]
- Mahmoud, W. M.; Abdelmoneim, T.S.; Elazzazy, A.M. The Impact of Silver Nanoparticles Produced by Bacillus pumilus As Antimicrobial and Nematicide. Front. Microbiol. 2016, 7, 1746. [Google Scholar] [CrossRef] [PubMed]
- Vigneshwaran, N.; Ashtaputre, N.M.; Varadarajan, P.V.; Nachane, R.P.; Paralikar, K.M.; Balasubramanya, R.H. Biological synthesis of silver nanoparticles using the fungus Aspergillus flavus. Mater. Lett. 2007, 66, 1413–1418. [Google Scholar] [CrossRef]
- Sintubin, L.; De Windt, W.; Dick, J.; Mast, J.; Ha, D.V.; Verstraete, W.; Boon, N. Lactic acid bacteria as reducing and capping agent for the fast and efficient production of silver nanoparticles. Appl. Microbiol. Biotechnol. 2009, 84, 741–749. [Google Scholar] [CrossRef] [PubMed]
- Kalishwaralal, K.; Deepak, V.; Ramkumarpandian, S.; Nellaiah, H.; Sangiliyandi, G. Extracellular biosynthesis of silver nanoparticles by the culture supernatant of Bacillus licheniformis. Mater. Lett. 2008, 62, 4411–4413. [Google Scholar] [CrossRef]
- Ganesh, B.M.M.; Gunasekaran, P. Production and structural characterization of crystalline silver nanoparticles from Bacillus cereus isolate. Colloids Surf. B 2009, 74, 191–195. [Google Scholar] [CrossRef] [PubMed]
- Ahmed, S.; Ahmad, M.; Swami, B.L.; Ikram, S. Plants extract mediated synthesis of silver nanoparticles for antimicrobial applications: A green expertise. J. Adv. Res. 2016, 7, 17–28. [Google Scholar] [CrossRef] [PubMed]
- Jha, A.; Prasad, K.; Prasad, K.; Kulkarni, A.R. “Plant system: Nature’s nanofactory”. Colloids Surf. B Biointerfaces 2009, 73, 219–223. [Google Scholar] [CrossRef] [PubMed]
- Alshaye, N.A.; Elobeid, M.M.; Alkhalifah, D.H.M.; Mohammed, A.E. Characterization of Biogenic Silver Nanoparticles by Salvadora persica leaves extract and Its Application Against Some MDR Pathogens E. coli and S. Aureus. Res. J. Microbiol. 2017, 12, 74–81. [Google Scholar] [CrossRef]
- Rai, M.K.; Deshmukh, S.D.; Ingle, A.P.; Gade, A.K. Silver nanoparticles: The powerful nanoweapon against multidrug-resistant bacteria. J. Appl. Microbiol. 2012, 112, 841–852. [Google Scholar] [CrossRef] [PubMed]
- Birla, S.; Tiwari, V.; Gade, A.; Ingle, A.; Yadav, A.; Rai, M. Fabrication of silver nanoparticles by Phoma glomerala and its combined effect against Escherichia coli, Pseudomonas aeruginosa and Staphylococcus aureus. Lett. Appl. Microbiol. 2009, 48, 173–179. [Google Scholar] [CrossRef] [PubMed]
- Das, P.; Xenopoulos, M.A.; Williams, C.J.; Hoque, M.E.; Metcalfe, C.D. Effects of silver nanoparticles on bacterial activity in natural waters. Environ. Toxicol. Chem. 2012, 31, 122–130. [Google Scholar] [CrossRef] [PubMed]
- Khatami, M.; Pourseyedi, S. Phoenix dactylifera (date palm) pit aqueous extract mediated novel route for synthesis high stable silver nanoparticles with high antifungal and antibacterial activity. IET Nanobiotechnol. 2015, 9, 184–190. [Google Scholar] [CrossRef] [PubMed]
- Aitenneite, H.; Abboud, Y.; Tanane, O.; Solhy, A.; Sebti, S.; El Bouari, A. Rapid and green microwave-assisted synthesis of silver nanoparticles using aqueous Phoenix Dactylifera L. (date palm) leaf extract and their catalytic activity for 4-Nitrophenol reduction. J. Mater. Environ. Sci. 2016, 7, 2335–2339. [Google Scholar]
- Tahir, K.; Nazir, S.; Ahmad, A.; Li, B.; Shah, S.A.A.; Khan, A.U.; Khan, G.M.; Khan, Q.U.; Khan, Z.U.H.; Khan, F.U. Biodirected synthesis of palladium nanoparticles using Phoenix dactylifera leaves extract and their size dependent biomedical and catalytic applications. RSC Adv. 2016, 6, 85903–85916. [Google Scholar] [CrossRef]
- Ragab, A.R.; Elkablawy, M.A.; Sheik, B.Y.; Baraka, H.N. Antioxidant and Tissue-Protective Studies on Ajwa Extract: Dates from Al Madinah Al-Monwarah, Saudia Arabia. J. Environ. Anal. Toxicol. 2013, 3, 163. [Google Scholar] [CrossRef]
- Saleh, E.A.; Tawfik, M.S.; Abu-Tarboush, H.M. Phenolic contents and antioxidant activity of various date palm (Phoenix dactylifera L.) fruits from Saudi Arabia. Food Nutr. Sci. 2011, 2, 1134–1141. [Google Scholar] [CrossRef]
- Abdel-Farid, I.B.; Sheded, M.G.; Mohamed, E.A. Metabolomic profiling and antioxidant activity of some Acacia species. Saudi J. Biol. Sci. 2014, 21, 400–440. [Google Scholar] [CrossRef] [PubMed]
- Gavade, S.J.M.; Nikam, G.H.; Sabale, S.R.; Tamhankar, B.V. Green synthesis of fluorescent silver nanoparticles using Acacia nilotica gum extract for kinetic studies of 4-nitrophenol reduction. Mater. Today Proc. 2016, 3, 4109–4114. [Google Scholar] [CrossRef]
- Iranshahy, M.; Iranshahi, M. Traditional uses, phytochemistry and pharmacology of asafoetida (Ferula assa-foetida oleo-gum-resin) A review. J. Ethnopharmacol. 2011, 134, 1–10. [Google Scholar] [CrossRef] [PubMed]
- May, J.; Shannon, K.; King, A.; French, G. Glycopeptide tolerance in Staphylococcus aureus. J. Antimicrob. Chemother. 1998, 42, 189–97. [Google Scholar] [CrossRef] [PubMed]
- Woods, G.L.; Washington, J.A. The clinician and the microbiology laboratory. In Principles and Practice of Infectious Diseases; Mandell, G., Bennett, J., Dolin, R., Eds.; Elsevier: New York, NY, USA, 1995. [Google Scholar]
- Lim, S.W.; Loh, H.S.; Ting, K.N.; Bradshaw, T.D.; Allaudin, Z.N. Reduction of MTT to Purple Formazan by Vitamin E Isomers in the Absence of Cells. Trop. Life Sci. Res. 2015, 26, 111–120. [Google Scholar] [PubMed]
- Sangeetha, J.; Sandhya, J.; Philip, J. Biosynthesis and Functionalization of Silver Nanoparticles Using Nigella sativa, Dioscorea alata and Ferula asafetida. Sci. Adv. Mater. 2014, 6. [Google Scholar] [CrossRef]
- Farhadi, S.; Ajerloo, B.; Mohammadi, A. Green Biosynthesis of Spherical Silver Nanoparticles by Using Date Palm (Phoenix Dactylifera) Fruit Extract and Study of Their Antibacterial and Catalytic Activities. Acta Chim. Slov. 2017, 64, 129–143. [Google Scholar] [CrossRef] [PubMed]
- Khatoon, N.; Mazumder, J.A.; Sardar, M. Biotechnological Applications of Green Synthesized Silver Nanoparticles. J. Nanosci. Curr. Res. 2017, 2, 107. [Google Scholar]
- Prabu, K.; Natarajan, E. Isolation and FTIR spectroscopy characterization of chitin from local sources. Adv. Appl. Sci. Res. 2012, 3, 1870–1875. [Google Scholar]
- Belskaya, O.B.; Danilova, I.G.; Kazakov, M.O.; Mironenko, R.M.; Lavrenov, A.V.; Likholobov, V.A. FTIR Spectroscopy of Adsorbed Probe Molecules for Analyzing the Surface Properties of Supported Pt (Pd) Catalysts; Infrared Spectroscopy—Materials Science, Engineering and Technology; Theophile, T., Ed.; InTech: Rijeka, Croatia, 2012; ISBN 978-953-51-0537-4. Available online: http://www.intechopen.com/books/infrared-spectroscopy-materials-science-engineering-and-technology/ftirspectroscopy-of-adsorbed-probe-molecules-for-analyzing-the-surface-properties-of-supported-pt-p (accessed on 10 January 2018).
- Kong, J.; Yu, S. Acta. fourier transform infrared spectroscopic analysis of protein secondary structures. Biochim. Biophys. Sin. 2007, 39, 549–559. [Google Scholar] [CrossRef]
- Macdonald, I.D.G.; Smith, W.E. Orientation of cytochrome C adsorbed on a citrate-reduced silver colloid surface. Langmuir 1996, 12, 706–713. [Google Scholar] [CrossRef]
- Nazeem, T.H.; Sugannya, P.K. Synthesis and characterization of silver nanoparticles from two medicinal plants and its anticancer property. Int. J. Res. Eng. Technol. 2014, 2, 49–56. [Google Scholar]
- Kumar, V.; Panikar, Y.; Palafox, M.A.; Vats, J.K.; Kostova, I.; Lang, K.; Pastogi, U.K. Ab-initio calculation, FTIR and Ft-Raman spectra of 2-choloro-6-methyle benzonitrile. Indian J. Pure Appl. Phys. 2010, 48, 83–94. [Google Scholar]
- Elemike, E.E.; Fayemi, O.E.; Ekennia, A.C.; Onwudiwe, D.C.; Ebenso, E.E. Silver Nanoparticles Mediated by Costus afer Leaf Extract: Synthesis, Antibacterial, Antioxidant and Electrochemical Properties. Molecules 2017, 22, 701. [Google Scholar] [CrossRef] [PubMed]
- Alqahtani, M.A.M.; Mohammed, A.E.; Daoud, S.I.; Alkhalifah, D.H. Lichens (Parmotrema clavuliferum) extracts: Bio-mediator in silver nanoparticles formation and its antibacterial potential. J. Bionanosci. 2017, 11, 410–415. [Google Scholar] [CrossRef]
- Afrah, E. Mohammed; Ben Baz, F.F.; Albrahim, J.S. Calligonum comosum and Fusarium sp. extracts as bio-mediator in Silver Nanoparticles formation: Characterization and Antibacterial capability. 3 Biotech 2018, 8, 72. [Google Scholar] [CrossRef]
- Das, B.; Dash, S.K.; Mandal, D.; Adhikary, J.; Chattopadhyay, S.; Tripathy, S.; Dey, A.; Manna, S.; Dey, S.K.; Das, D.; et al. Green-synthesized silver nanoparticles kill virulent multidrug-resistant Pseudomonas aeruginosa strains: A mechanistic study, BLDE University. J. Health Sci. 2016, 1, 89–101. [Google Scholar]
- Panacek, A.; Smekalova, M.; Kilianova, M.; Prucek, R.; Bogdanova, K.; Vecerova, R.; Kolář, M.; Havrdová, M.; Płaza, G.A.; Chojniak, J.; et al. Strong and nonspecific synergistic antibacterial efficiency of antibiotics combined with silver nanoparticles at very low concentrations showing no cytotoxic effect. Molecules 2016, 21, 26. [Google Scholar] [CrossRef] [PubMed]
- McShan, D.; Zhang, Y.; Deng, H.; Ray, P.C.; Yu, H. Synergistic antibacterial effect of silver nanoparticles combined with ineffective antibiotics on drug resistant Salmonella typhimurium DT104. J. Environ. Sci. Health 2015, 33, 369–384. [Google Scholar] [CrossRef] [PubMed]
- Barapatre, A.; Aadil, K.R.; Jha, H. Synergistic antibacterial and antibiofilm activity of silver nanoparticles biosynthesized by lignin-degrading fungus. Bioresour. Bioprocess. 2016, 3, 8. [Google Scholar] [CrossRef]
- Deng, H.; McShan, D.; Zhang, Y.; Sinha, S.S.; Arslan, Z.; Ray, P.C.; Yu, H. Mechanistic study of the synergistic antibacterial activity of combined silver nanoparticles and common antibiotics. Environ. Sci. Technol. 2016, 50, 8840–8848. [Google Scholar] [CrossRef] [PubMed]
- Mohanta, Y.K.; Panda, S.K.; Jayabalan, R.; Sharma, N.; Bastia, A.K.; Mohanta, T.K. Antimicrobial, Antioxidant and Cytotoxic Activity of Silver Nanoparticles Synthesized by Leaf Extract of Erythrina suberosa (Roxb.). Front. Mol. Biosci. 2017, 4, 14. [Google Scholar] [CrossRef] [PubMed]
- Kuppusamy, P.; Ichwan, S.J.; Al-Zikri, P.N.; Suriyah, W.H.; Soundharrajan, I.; Govindan, N.; Maniam, G.P.; Yusoff, M.M. In Vitro Anticancer Activity of Au, Ag Nanoparticles Synthesized Using Commelina nudiflora L. Aqueous Extract against HCT-116 Colon Cancer Cells. Biol. Trace Elem. Res. 2016, 173, 297–305. [Google Scholar] [CrossRef] [PubMed]
- Bagheri, S.M.; Abdian-As, L.A.; Moghadam, M.T.; Yadegari, M.; Mirjalili, A.; Zare-Mohazabieh, F.; Momeni, H. Antitumor effect of Ferula assa foetida oleo gum resin against breast cancer induced by 4T1 cells in BALB/c mice. J. Ayur. Integr. Med. 2017, 8, 152–158. [Google Scholar] [CrossRef] [PubMed]
- Aigner, T. Apoptosis, necrosis, or whatever: How to find out what really happens? J. Pathol. 2002, 198, 1–4. [Google Scholar] [CrossRef] [PubMed]
- Ciniglia, C.; Pinto, G.; Sansone, C.; Pollio, A. Acridine orange/Ethidium bromide double staining test: A simple invitro assay to detect apoptosis induced by phenolic compounds in plant cells. Allelopathy J. 2010, 26, 301–308. [Google Scholar]
- Buttacavoli, M.; Albanese, N.N.; Di Cara, G.; Alduina, R.; Faleri, C.; Gallo, M.; Pizzolanti, G.; Gallo, G.; Feo, S.; Baldiand, F.; et al. Anticancer activity of biogenerated silver nanoparticles: An integrated proteomic investigation. Oncotarget 2017, 9, 9685. [Google Scholar] [CrossRef] [PubMed]
- Ramkumar, V.S.; Pugazhendhi, A.; Gopalakrishnan, K.; Sivagurunathan, P.; Saratale, G.D.; Dung, T.N.B.; Kannapiran, E. Biofabrication and characterization of silver nanoparticles using aqueous extract of seaweed Enteromorpha compressa and its biomedical properties. Biotechnol. Rep. 2017, 14, 1–7. [Google Scholar] [CrossRef] [PubMed]





| Treatment | Average Particle Size (nm) | Average Zeta Potential (mV) | Inhibition Zone + Gram (mm) | Inhibition Zone − Gram (mm) | |
|---|---|---|---|---|---|
| S. aureus | E. coli | P. aeruginosa | |||
| AKN | 121.3 ± 1.1 | −14 ± 1 | 14.5 ± 1.5 | 15.8 ± 0.8 | 14.0 ± 0.6 |
| AWN | 67.8 ± 0.3 | −5.4 ± 0.3 | 17.8 ± 1.3 | 11.8 ± 1.0 | 15.1 ± 0.8 |
| GKN | 147 ± 2.5 | −13.2 ± 0.2 | 13.4 ± 2 | 19.6 ± 2.0 | 14.10.5 |
| GWN | 100.4 ± 0.9 | −0.2 ± 0.3 | 11.2 ± 0.1 | 12.0 ± 1.4 | 15.8 ± 0.1 |
| HKN | 155.7 ± 1.5 | −12 ± 0.7 | 11.8 ± 1.6 | 10.3 ± 1.1 | 14.6 ± 2.6 |
| HWN | 105.7 ± 0.6 | −0.2 ± 0.6 | 10.0 ± 0.5 | 10.7 ± 2.0 | 0 |
| AK | - | - | 32.2 ± 0.1 | 18 ± 0.3 | 18.8 ± 0.5 |
| AW | - | - | 23.4 ± 2.4 | 0 | 14.1 ± 0.4 |
| GK | - | - | 21.2 ± 2 | 19.6 ± 2 | 14.1 ± 0.5 |
| GW | - | - | 10.6 ± 1.2 | 0 | 0 |
| HK | - | - | 0 | 0 | 0 |
| HW | - | - | 0 | 0 | 0 |
| Ag ions | - | - | 1.3 | 1.5 | 1 |
| Amoxicillin (AMO) | - | - | 22.9 ± 0.5 | 17.9 ± 0.7 | 0 |
| Cefuroxime (CXM) | - | - | 29.4 ± 1.0 | 26.9 ± 0.5 | 0 |
| Ciprofloxacin (CIP) | - | - | 27 ± 1.9 | 35 ± 2.0 | 37 ± 0.6 |
| Treatment | Microbes | AMOX | CEF | CIP |
|---|---|---|---|---|
| ATB + 1 | E. coli | 0 | 25 ± 1 | 27.7 ± 0.5 |
| S. aureus | 16 ± 0.5 | 33.3 ± 1.5 | 24.7 ± 0.5 | |
| P. aeruginosa | 0 | 7.7 ± 1.5 | 36.3 ± 1.7 | |
| ATB + 2 | E. coli | 8.3 ± 0.5 | 21.8 ± 0.5 | 28 ± 1 |
| S. aureus | 18.3 ± 0.5 | 31.3 ± 2.5 | 24.7 ± 0.5 | |
| P. aeruginosa | 0 | 0 | 32.7 ± 1.2 | |
| ATB + 3 | E. coli | 0 | 24.3 ± 0.5 | 26.7 ± 0.5 |
| S. aureus | 15.3 ± 2.1 | 26 ± 1 | 23.7 ± 0.5 | |
| P. aeruginosa | 0 | 0 | 31.7 ± 1.5 | |
| ATB + 4 | E. coli | 7.3 ± 0.5 | 23 ± 0 | 24 ± 0 |
| S. aureus | 16.7 ± 0.5 | 28.3 ± 0.5 | 22.3 ± 0.5 | |
| P. aeruginosa | 0 | 0 | 30.3 ± 0.5 | |
| ATB + 5 | E. coli | 0 | 22 ± 1 | 34 ± 0 |
| S. aureus | 15.7 ± 0.5 | 28.7 ± 1.5 | 28 ± 1 | |
| P. aeruginosa | 0 | 8 ± 1.7 | 30.7 ± 2 | |
| ATB + 6 | E. coli | 9.3 ± 0.5 | 29.3 ± 0.5 | 26.3 ± 0.5 |
| S. aureus | 18 ± 1 | 30 ± 0 | 26.3 ± 1.5 | |
| P. aeruginosa | 0 | 0 | 25.7 ± 0.5 |
© 2018 by the authors. Licensee MDPI, Basel, Switzerland. This article is an open access article distributed under the terms and conditions of the Creative Commons Attribution (CC BY) license (http://creativecommons.org/licenses/by/4.0/).
Share and Cite
Mohammed, A.E.; Al-Qahtani, A.; Al-Mutairi, A.; Al-Shamri, B.; Aabed, K. Antibacterial and Cytotoxic Potential of Biosynthesized Silver Nanoparticles by Some Plant Extracts. Nanomaterials 2018, 8, 382. https://doi.org/10.3390/nano8060382
Mohammed AE, Al-Qahtani A, Al-Mutairi A, Al-Shamri B, Aabed K. Antibacterial and Cytotoxic Potential of Biosynthesized Silver Nanoparticles by Some Plant Extracts. Nanomaterials. 2018; 8(6):382. https://doi.org/10.3390/nano8060382
Chicago/Turabian StyleMohammed, Afrah E., Alaa Al-Qahtani, Amal Al-Mutairi, Bashayir Al-Shamri, and Kawther Aabed. 2018. "Antibacterial and Cytotoxic Potential of Biosynthesized Silver Nanoparticles by Some Plant Extracts" Nanomaterials 8, no. 6: 382. https://doi.org/10.3390/nano8060382
APA StyleMohammed, A. E., Al-Qahtani, A., Al-Mutairi, A., Al-Shamri, B., & Aabed, K. (2018). Antibacterial and Cytotoxic Potential of Biosynthesized Silver Nanoparticles by Some Plant Extracts. Nanomaterials, 8(6), 382. https://doi.org/10.3390/nano8060382

