Laser Ablation Facilitates Implantation of Dynamic Self-Regenerating Cartilage for Articular Cartilage Regeneration
Abstract
1. Introduction
2. Methods
2.1. Chondrocyte Harvest
2.2. Chondrocyte Culture
2.3. Formation and Maturation of dSRC
2.4. Cell Count
2.5. Fractional Treatment of Ex Vivo Swine Cartilage
2.6. Cartilage Generation Ex Vivo
2.7. Histological Analysis
2.8. Immunohistochemistry
2.9. Live/Dead Assay
2.10. Statistical Analysis
3. Results
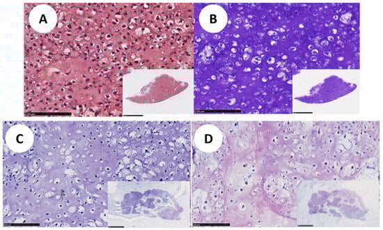
3.1. Formation and Maturation of dSRC
3.2. Fractional Treatment of Swine Articular Cartilage
4. Discussion
5. Conclusions
Author Contributions
Funding
Institutional Review Board Statement
Informed Consent Statement
Data Availability Statement
Acknowledgments
Conflicts of Interest
References
- Jacobs, C.A.; Vranceanu, A.M.; Thompson, K.L.; Lattermann, C. Rapid Progression of Knee Pain and Osteoarthritis Biomarkers Greatest for Patients with Combined Obesity and Depression: Data from the Osteoarthritis Initiative. Cartilage 2020, 11, 38–46. [Google Scholar] [CrossRef] [PubMed] [PubMed Central]
- Vincent, T.L.; Wann, A.K.T. Mechanoadaptation: Articular cartilage through thick and thin. J. Physiol. 2019, 597, 1271–1281. [Google Scholar] [CrossRef] [PubMed] [PubMed Central]
- Watt, F.E.; Corp, N.; Kingsbury, S.R.; Frobell, R.; Englund, M.; Felson, D.T.; Levesque, M.; Majumdar, S.; Wilson, C.; Beard, D.J.; et al. Arthritis Research UK Osteoarthritis and Crystal Disease Clinical Study Group Expert Working Group. Towards prevention of post-traumatic osteoarthritis: Report from an international expert working group on considerations for the design and conduct of interventional studies following acute knee injury. Osteoarthr. Cartil. 2019, 27, 23–33. [Google Scholar] [CrossRef] [PubMed] [PubMed Central]
- Van den Bosch, M.H.J. Inflammation in osteoarthritis: Is it time to dampen the alarm(in) in this debilitating disease? Clin. Exp. Immunol. 2019, 195, 153–166. [Google Scholar] [CrossRef] [PubMed] [PubMed Central]
- Zhao, Z.; Fan, C.; Chen, F.; Sun, Y.; Xia, Y.; Ji, A.; Wang, D.A. Progress in Articular Cartilage Tissue Engineering: A Review on Therapeutic Cells and Macromolecular Scaffolds. Macromol. Biosci. 2020, 20, e1900278. [Google Scholar] [CrossRef] [PubMed]
- Nakayama, N.; Pothiawala, A.; Lee, J.Y.; Matthias, N.; Umeda, K.; Ang, B.K.; Huard, J.; Huang, Y.; Sun, D. Human pluripotent stem cell-derived chondroprogenitors for cartilage tissue engineering. Cell Mol. Life Sci. 2020, 77, 2543–2563. [Google Scholar] [CrossRef] [PubMed]
- Chimutengwende-Gordon, M.; Donaldson, J.; Bentley, G. Current solutions for the treatment of chronic articular cartilage defects in the knee. EFORT Open Rev. 2020, 5, 156–163. [Google Scholar] [CrossRef] [PubMed] [PubMed Central]
- Liu, Y.W.; Tran, M.D.; Skalski, M.R.; Patel, D.B.; White, E.A.; Tomasian, A.; Gross, J.S.; Vangsness, C.T.; Matcuk, G.R., Jr. MR imaging of cartilage repair surgery of the knee. Clin. Imaging 2019, 58, 129–139. [Google Scholar] [CrossRef] [PubMed]
- Frehner, F.; Benthien, J.P. Microfracture: State of the Art in Cartilage Surgery? Cartilage 2018, 9, 339–345. [Google Scholar] [CrossRef] [PubMed] [PubMed Central]
- Hinckel, B.B.; Thomas, D.; Vellios, E.E.; Hancock, K.J.; Calcei, J.G.; Sherman, S.L.; Eliasberg, C.D.; Fernandes, T.L.; Farr, J.; Lattermann, C.; et al. Algorithm for Treatment of Focal Cartilage Defects of the Knee: Classic and New Procedures. Cartilage 2021, 13 (Suppl. S1), 473S–495S. [Google Scholar] [CrossRef] [PubMed] [PubMed Central]
- Fuggle, N.R.; Cooper, C.; Oreffo, R.O.C.; Price, A.J.; Kaux, J.F.; Maheu, E.; Cutolo, M.; Honvo, G.; Conaghan, P.G.; Berenbaum, F.; et al. Alternative and complementary therapies in osteoarthritis and cartilage repair. Aging Clin. Exp. Res. 2020, 32, 547–560. [Google Scholar] [CrossRef] [PubMed] [PubMed Central]
- Huang, G.P.; Molina, A.; Tran, N.; Collins, G.; Arinzeh, T.L. Investigating cellulose derived glycosaminoglycan mimetic scaffolds for cartilage tissue engineering applications. J. Tissue Eng. Regen. Med. 2018, 12, e592–e603. [Google Scholar] [CrossRef] [PubMed]
- Wang, L.; Huang, J.; Huang, C.; Li, Q.; Liu, L.; Luo, S.; Xiao, J. Adult Stem Cells and Hydrogels for Cartilage Regeneration. Curr. Stem Cell Res. Ther. 2018, 13, 533–546. [Google Scholar] [CrossRef] [PubMed]
- De Moor, L.; Beyls, E.; Declercq, H. Scaffold Free Microtissue Formation for Enhanced Cartilage Repair. Ann. Biomed. Eng. 2020, 48, 298–311. [Google Scholar] [CrossRef] [PubMed]
- Teo, A.Q.A.; Wong, K.L.; Shen, L.; Lim, J.Y.; Toh, W.S.; Lee, E.H.; Hui, J.H.P. Equivalent 10-Year Outcomes After Implantation of Autologous Bone Marrow-Derived Mesenchymal Stem Cells Versus Autologous Chondrocyte Implantation for Chondral Defects of the Knee. Am. J. Sports Med. 2019, 47, 2881–2887. [Google Scholar] [CrossRef] [PubMed]
- Brady, M.A.; Waldman, S.D.; Ethier, C.R. The application of multiple biophysical cues to engineer functional neocartilage for treatment of osteoarthritis. Part I: Cellular response. Tissue Eng. Part B Rev. 2015, 21, 1–19. [Google Scholar] [CrossRef] [PubMed]
- Prittinen, J.; Ylärinne, J.; Piltti, J.; Karhula, S.S.; Rieppo, L.; Ojanen, S.P.; Korhonen, R.K.; Saarakkala, S.; Lammi, M.J.; Qu, C. Effect of centrifugal force on the development of articular neocartilage with bovine primary chondrocytes. Cell Tissue Res. 2019, 375, 629–639. [Google Scholar] [CrossRef] [PubMed]
- Cheng, B.; Tu, T.; Shi, X.; Liu, Y.; Zhao, Y.; Zhao, Y.; Li, Y.; Chen, H.; Chen, Y.; Zhang, M. A novel construct with biomechanical flexibility for articular cartilage regeneration. Stem Cell Res. Ther. 2019, 10, 298. [Google Scholar] [CrossRef] [PubMed] [PubMed Central]
- Bielajew, B.J.; Donahue, R.P.; Lamkin, E.K.; Hu, J.C.; Hascall, V.C.; Athanasiou, K.A. Proteomic, mechanical, and biochemical development of tissue-engineered neocartilage. Biomater. Res. 2022, 26, 34. [Google Scholar] [CrossRef] [PubMed] [PubMed Central]
- Vágó, J.; Takács, R.; Kovács, P.; Hajdú, T.; van der Veen, D.R.; Matta, C. Combining biomechanical stimulation and chronobiology: A novel approach for augmented chondrogenesis? Front. Bioeng. Biotechnol. 2023, 11, 1232465. [Google Scholar] [CrossRef] [PubMed] [PubMed Central]
- Horbert, V.; Xin, L.; Foehr, P.; Brinkmann, O.; Bungartz, M.; Burgkart, R.H.; Graeve, T.; Kinne, R.W. In Vitro Analysis of Cartilage Regeneration Using a Collagen Type I Hydrogel (CaReS) in the Bovine Cartilage Punch Model. Cartilage 2019, 10, 346–363. [Google Scholar] [CrossRef] [PubMed] [PubMed Central]
- Dufour, A.; Buffier, M.; Vertu-Ciolino, D.; Disant, F.; Mallein-Gerin, F.; Perrier-Groult, E. Combination of bioactive factors and IEIK13 self-assembling peptide hydrogel promotes cartilage matrix production by human nasal chondrocytes. J. Biomed. Mater. Res. Part A 2019, 107, 893–903. [Google Scholar] [CrossRef] [PubMed]
- Heywood, H.K.; Lee, D.A. Bioenergetic reprogramming of articular chondrocytes by exposure to exogenous and endogenous reactive oxygen species and its role in the anabolic response to low oxygen. J. Tissue Eng. Regen. Med. 2017, 11, 2286–2294. [Google Scholar] [CrossRef] [PubMed] [PubMed Central]
- Bianchi, V.J.; Weber, J.F.; Waldman, S.D.; Backstein, D.; Kandel, R.A. Formation of Hyaline Cartilage Tissue by Passaged Human Osteoarthritic Chondrocytes. Tissue Eng. Part A 2017, 23, 156–165. [Google Scholar] [CrossRef] [PubMed]
- Meppelink, A.M.; Zhao, X.; Griffin, D.J.; Erali, R.; Gill, T.J.; Bonassar, L.J.; Redmond, R.W.; Randolph, M.A. Hyaline Articular Matrix Formed by Dynamic Self-Regenerating Cartilage and Hydrogels. Tissue Eng. Part A 2016, 22, 962–970. [Google Scholar] [CrossRef] [PubMed]
- Briggs, T.W.; Mahroof, S.; David, L.A.; Flannelly, J.; Pringle, J.; Bayliss, M. Histological evaluation of chondral defects after autologous chondrocyte implantation of the knee. J. Bone Joint Surg. Br. 2003, 85, 1077–1083. [Google Scholar] [CrossRef] [PubMed]
- Manstein, D.; Herron, G.S.; Sink, R.K.; Tanner, H.; Anderson, R.R. Fractional photothermolysis: A new concept for cutaneous remodeling using microscopic patterns of thermal injury. Lasers Surg. Med. 2004, 34, 426–438. [Google Scholar] [CrossRef] [PubMed]
- Russe, E.; Purschke, M.; Limpiangkanan, W.; Farinelli, W.A.; Wang, Y.; Doukas, A.G.; Sakamoto, F.H.; Wechselberger, G.; Anderson, R.R. Significant skin-tightening by closure of fractional ablative laser holes. Lasers Surg. Med. 2018, 50, 64–69. [Google Scholar] [CrossRef] [PubMed]
- Dorotka, R.; Windberger, U.; Macfelda, K.; Bindreiter, U.; Toma, C.; Nehrer, S. Repair of articular cartilage defects treated by microfracture and a three-dimensional collagen matrix. Biomaterials 2005, 26, 3617–3629. [Google Scholar] [CrossRef] [PubMed]
- Barton, J.K.; Rollins, A.; Yazdanfar, S.; Pfefer, T.J.; Westphal, V.; Izatt, J.A. Photothermal coagulation of blood vessels: A comparison of high-speed optical coherence tomography and numerical modelling. Phys. Med. Biol. 2001, 46, 1665–1678. [Google Scholar] [CrossRef] [PubMed]
- Gertzbein, S.D.; deDemeter, D.; Cruickshank, B.; Kapasouri, A. The effect of laser osteotomy on bone healing. Lasers Surg. Med. 1981, 1, 361–373. [Google Scholar] [CrossRef] [PubMed]
- Merrot, O.; Gleizal, A.; Poupart, M.; Pignat, J.C. Cartilaginous tumors of the larynx: Endoscopic laser management using YAG/KTP. Head Neck. 2009, 31, 145–152. [Google Scholar] [CrossRef] [PubMed]
- Chung, C.; Mesa, J.; Miller, G.J.; Randolph, M.A.; Gill, T.J.; Burdick, J.A. Effects of auricular chondrocyte expansion on neocartilage formation in photocrosslinked hyaluronic acid networks. Tissue Eng. 2006, 12, 2665–2673. [Google Scholar] [CrossRef]
- Roy, R.; Kohles, S.S.; Zaporojan, V.; Peretti, G.M.; Randolph, M.A.; Xu, J.; Bonassar, L.J. Analysis of bending behavior of native and engineered auricular and costal cartilage. J. Biomed. Mater. Res. A 2004, 68, 597–602. [Google Scholar] [CrossRef] [PubMed]









Disclaimer/Publisher’s Note: The statements, opinions and data contained in all publications are solely those of the individual author(s) and contributor(s) and not of MDPI and/or the editor(s). MDPI and/or the editor(s) disclaim responsibility for any injury to people or property resulting from any ideas, methods, instructions or products referred to in the content. |
© 2024 by the authors. Licensee MDPI, Basel, Switzerland. This article is an open access article distributed under the terms and conditions of the Creative Commons Attribution (CC BY) license (https://creativecommons.org/licenses/by/4.0/).
Share and Cite
Fan, Y.; Guastaldi, F.P.S.; Runyan, G.; Wang, Y.; Farinelli, W.A.; Randolph, M.A.; Redmond, R.W. Laser Ablation Facilitates Implantation of Dynamic Self-Regenerating Cartilage for Articular Cartilage Regeneration. J. Funct. Biomater. 2024, 15, 148. https://doi.org/10.3390/jfb15060148
Fan Y, Guastaldi FPS, Runyan G, Wang Y, Farinelli WA, Randolph MA, Redmond RW. Laser Ablation Facilitates Implantation of Dynamic Self-Regenerating Cartilage for Articular Cartilage Regeneration. Journal of Functional Biomaterials. 2024; 15(6):148. https://doi.org/10.3390/jfb15060148
Chicago/Turabian StyleFan, Yingfang, Fernando P. S. Guastaldi, Gem Runyan, Ying Wang, William A. Farinelli, Mark A. Randolph, and Robert W. Redmond. 2024. "Laser Ablation Facilitates Implantation of Dynamic Self-Regenerating Cartilage for Articular Cartilage Regeneration" Journal of Functional Biomaterials 15, no. 6: 148. https://doi.org/10.3390/jfb15060148
APA StyleFan, Y., Guastaldi, F. P. S., Runyan, G., Wang, Y., Farinelli, W. A., Randolph, M. A., & Redmond, R. W. (2024). Laser Ablation Facilitates Implantation of Dynamic Self-Regenerating Cartilage for Articular Cartilage Regeneration. Journal of Functional Biomaterials, 15(6), 148. https://doi.org/10.3390/jfb15060148

