Expression of Pinopodes in the Endometrium from Recurrent Pregnancy Loss Women. Role of Thrombomodulin and Ezrin
Abstract
1. Introduction
2. Experimental Section
2.1. Methods
2.1.1. Patients
2.1.2. Endometrial Samples
2.1.3. Scanning Electron Microscopy
2.1.4. Western Immunoblotting
2.1.5. Immunofluorescence Staining
2.1.6. Statistical Analysis and Data Availability
3. Results
3.1. Patients
3.2. Scanning Electron Microscopy
3.3. Immunoblot Analysis
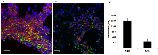
3.4. Co-Localization of Ezrin and Actin Filaments of Cytoskeleton
3.5. Immunofluorescence of Actin Filaments of Cytoskeleton
4. Discussion
5. Conclusions
Supplementary Materials
Author Contributions
Funding
Acknowledgments
Conflicts of Interest
References
- Practice Committee of the American Society for Reproductive Medicine. Definitions of infertility and recurrent pregnancy loss: A committee opinion. Fertil. Steril. 2020, 113, 533–535. [Google Scholar] [CrossRef] [PubMed]
- Hachem, E.H.; Crepaux, V.; May-Paunlop, P.; Descamps, P.; Legendre, G.; Bouet, P.E. Recurrent pregnancy loss: Current perspectives. Int. J. Womens Health 2017, 9, 331–345. [Google Scholar] [CrossRef] [PubMed]
- Karaer, A.; Cigremis, Y.; Celik, E.; Urhan Gonullu, R. Prokineticin 1 and leukemia inhibitory factor mRNA expression in the endometrium of women with idiopathic recurrent pregnancy loss. Fertil. Steril. 2014, 102, 1091–1095. [Google Scholar] [CrossRef] [PubMed]
- Zhang, S.; Kong, S.; Lu, J.; Wang, Q.; Chen, Y.; Wang, W.; Wang, B.; Wang, H. Deciphering the molecular basis of uterine receptivity. Mol. Reprod. Dev. 2013, 80, 8–21. [Google Scholar] [CrossRef]
- Rashid, N.A.; Lalitkumar, S.; Lalitkumar, P.G.; Gemzell-Danielsson, K. Endometrial receptivity and human embryo implantation. Am. J. Reprod. Immunol. 2011, 66 (Suppl. 1), 23–30. [Google Scholar] [CrossRef]
- Torry, D.S.; Leavenworth, J.; Chang, M.; Maheshwari, V.; Groesch, K.; Ball, E.R.; Torry, R.J. Angiogenesis in implantation. J. Assist. Reprod. Genet. 2007, 24, 303–315. [Google Scholar] [CrossRef]
- Quinn, K.E.; Matson, B.C.; Wetendorf, M.; Caron, K.M. Pinopodes: Recent advancements, current perspectives, and future directions. Mol. Cell Endocrinol. 2020, 501, 110644. [Google Scholar] [CrossRef]
- Tan, O.; Fadiel, A.; Carrick, K.S.; Arici, A.; Doody, K.; Carr, B.; Naftolin, F. Expression and activation of the membrane-cytoskeleton protein ezrin during the normal endometrial cycle. Fertil. Steril. 2012, 97, 192–199.e2. [Google Scholar] [CrossRef]
- Montazeri, M.; Sanchez-Lopez, J.A.; Caballero, I.; Maslehat, L.N.; Elliott, S.; López-Martín, S.; Yáñez-Mó, M.; Fazeli, A. Activation of Toll-like receptor 3 reduces actin polymerization and adhesion molecule expression in endometrial cells, a potential mechanism for viral-induced implantation failure. Hum. Reprod. 2015, 30, 893–905. [Google Scholar] [CrossRef]
- Rarani, F.Z.; Borhani, F.; Rashidi, B. Endometrial pinopode biomarkers: Molecules and microRNAs. J. Cell Physiol. 2018, 233, 9145–9158. [Google Scholar] [CrossRef]
- Chen, G.; Xin, A.; Liu, Y.; Shi, C.; Chen, J.; Tang, X.; Chen, Y.; Yu, M.; Peng, X.; Li, L.; et al. Integrins β1 and β3 are biomarkers of uterine condition for embryo transfer. J. Transl. Med. 2016, 14, 303. [Google Scholar] [CrossRef] [PubMed]
- Da Broi, M.G.; Rocha, C.V., Jr.; Carvalho, F.M.; Martins, W.P.; Ferriani, R.A.; Navarro, P.A. Ultrastructural Evaluation of Eutopic Endometrium of Infertile Women With and Without Endometriosis During the Window of Implantation: A Pilot Study. Reprod. Sci. 2017, 24, 1469–1475. [Google Scholar] [CrossRef] [PubMed]
- Gipson, I.K.; Blalock, T.; Tisdale, A.; Spurr-Michaud, S.; Allcorn, S.; Stavreus-Evers, A.; Gemzell, K. MUC16 is lost from the uterodome (pinopode) surface of the receptivity human endometrium: In vitro evidence that MUC16 is a barrier to trophoblast adherence. Biol. Reprod. 2008, 78, 134–142. [Google Scholar] [CrossRef] [PubMed]
- Isermann, B.; Hendrickson, S.B.; Hutley, K.; Wing, M.; Weiler, H. Tissue-restricted expression of thrombomodulin in the placenta rescues thrombomodulin-deficient mice from early lethality and reveals a secondary developmental block. Development 2001, 128, 827–838. [Google Scholar]
- Isermann, B.; Sood, R.; Pawlinski, R.; Zogg, M.; Kalloway, S.; Degen, J.L.; Mackman, N.; Weiler, H. The thrombomodulin-protein C system is essential for the maintenance of pregnancy. Nat. Med. 2003, 9, 331–337. [Google Scholar] [CrossRef]
- Jackson, C.J.; Xue, M. Activated protein C—An anticoagulant that does more than stop clots. Int. J. Biochem. Cell Biol. 2008, 40, 2692–2697. [Google Scholar] [CrossRef]
- Yang, S.M.; Ka, S.M.; Wu, H.L.; Yeh, Y.C.; Kuo, C.H.; Hua, K.F.; Shi, G.Y.; Hung, Y.J.; Hsiao, F.C.; Yang, S.S.; et al. Thrombomodulin domain 1 ameliorates diabetic nephropathy in mice via anti-NF-κB/NLRP3 inflammasome-mediated inflammation, enhancement of NRF2 antioxidant activity and inhibition of apoptosis. Diabetologia 2014, 57, 424–434. [Google Scholar] [CrossRef]
- Morser, J. Thrombomodulin links coagulation to inflammation and immunity. Curr. Drug Targets 2012, 13, 421–431. [Google Scholar] [CrossRef]
- Conway, E.M. Thrombomodulin and its role in inflammation. Semin. Immunopathol. 2012, 34, 107–125. [Google Scholar] [CrossRef]
- Sood, R.; Sholl, L.; Isermann, B.; Zogg, M.; Coughlin, S.R.; Weiler, H. Maternal Par4 and platelets contribute to defective placenta formation in mouse embryos lacking thrombomodulin. Blood 2008, 112, 585–591. [Google Scholar] [CrossRef][Green Version]
- Stortoni, P.; Cecati, M.; Giannubilo, S.R.; Sartini, D.; Turi, A.; Emanuelli, M.; Tranquilli, A.L. Placental thrombomodulin expression in recurrent miscarriage. Reprod. Biol. Endocrinol. 2010, 8, 1. [Google Scholar] [CrossRef]
- Turner, R.J.; Bloemenkamp, K.W.; Bruijn, J.A.; Baelde, H.J. Loss of Thrombomodulin in Placental Dysfunction in Preeclampsia. Arter. Thromb. Vasc. Biol. 2016, 36, 728–735. [Google Scholar] [CrossRef] [PubMed][Green Version]
- Bos, M.; Baelde, H.J.; Bruijn, J.A.; Bloemenkamp, K.W.; van der Hoorn, M.P.; Turner, R.J. Loss of placental thrombomodulin in oocyte donation pregnancies. Fertil. Steril. 2017, 107, 119–129.e5. [Google Scholar] [CrossRef] [PubMed]
- Esmon, C.T.; Owen, W.G. The discovery of thrombomodulin. J. Thromb. Haemost. 2004, 2, 209–213. [Google Scholar] [CrossRef] [PubMed]
- Hsu, Y.Y.; Shi, G.-Y.; Kuo, C.-H.; Liu, S.-L.; Wu, C.-M.; Ma, C.-Y.; Lin, F.-Y.; Yang, H.-Y.; Wu, H.-L. Thrombomodulin is an ezrin-interacting protein that controls epithelial morphology and promotes collective cell migration. FASEB J. 2012, 26, 3440–3452. [Google Scholar] [CrossRef] [PubMed]
- Noyes, R.W.; Hertig, A.J.; Rock, J. Dating the endometrial biopsy. Fertil. Steril. 1950, 1, 3–25. [Google Scholar] [CrossRef]
- Palmieri, V.; Barba, M.; Di Pietro, L.; Gentilini, S.; Braidotti, M.C.; Ciancico, C.; Bugli, F.; Ciasca, G.; Larciprete, R.; Lattanzi, W. Reduction and shaping of graphene-oxide by laser-printing for controlled bone tissue regeneration and bacterial killing. 2D Mater. 2017, 5, 015027. [Google Scholar] [CrossRef]
- Schindelin, J.; Arganda-Carreras, I.; Frise, E.; Kaunig, V.; Longai, M.; Pietzsch, T.; Preibisch, S.; Rueden, C.; Saalfeld, S.; Schmid, B.; et al. Fiji: An open-source platform for biologica-image analysis. Nat. Methods 2012, 9, 676–682. [Google Scholar] [CrossRef]
- Ticconi, C.; Pietropolli, A.; Di Simone, N.; Piccione, E.; Fazleabas, A. Endometrial Immune Dysfunction in Recurrent Pregnancy Loss. Int. J. Mol. Sci. 2019, 20, 5332. [Google Scholar] [CrossRef]
- Pollheimer, J.; Vondra, S.; Baltayeva, J.; Beristain, A.G.; Knöfler, M. Regulation of Placental Extravillous Trophoblasts by the Maternal Uterine Environment. Front. Immunol. 2018, 9, 2597. [Google Scholar] [CrossRef]
- Lessey, B.A.; Young, S.L. What exactly is endometrial receptivity? Fertil. Steril. 2019, 111, 611–617. [Google Scholar] [CrossRef] [PubMed]
- Jin, X.Y.; Zhao, L.J.; Luo, D.H.; Liu, L.; Dai, Y.D.; Hu, X.X.; Wang, Y.Y.; Lin, X.; Hong, F.; Li, T.C.; et al. Pinopode score around the time of implantation is predictive of successful implantation following frozen embryo transfer in hormone replacement cycles. Hum. Reprod. 2017, 32, 2394–2403. [Google Scholar] [CrossRef] [PubMed]
- Develioglu, O.H.; Nikas, G.; Hsiu, J.G.; Toner, J.P.; Jones, H.W., Jr. Detection of endometrial pinopodes by light microscopy. Fertil. Steril. 2000, 74, 767–770. [Google Scholar] [CrossRef]
- Thie, M.; Denker, H.W. In vitro studies on endometrial adhesiveness for trophoblast: Cellular dynamics in uterine epithelial cells. Cells Tissues Organs 2002, 172, 237–252. [Google Scholar] [CrossRef]
- Quinn, C.E.; Casper, R.F. Pinopodes: A questionable role in endometrial receptivity. Hum. Reprod. Update 2009, 15, 229–236. [Google Scholar] [CrossRef]
- Nikas, G. Endometrial receptivity: Changes in cell-surface morphology. Semin. Reprod. Med. 2000, 18, 229–235. [Google Scholar] [CrossRef]
- Acosta, A.A.; Elberger, L.; Borghi, M.; Calamera, J.C.; Chemes, H.; Doncel, G.F.; Kliman, H.; Lema, B.; Lustig, L.; Papier, S. Endometrial dating and determination of the window of implantation in healthy fertile women. Fertil. Steril. 2000, 73, 788–798. [Google Scholar] [CrossRef]
- Nikas, G.; Makrigiannakis, A.; Hovatta, O.; Jones, H.W., Jr. Surface morphology of the human endometrium. Basic and clinical aspects. Ann. N. Y. Acad. Sci. 2000, 900, 316–324. [Google Scholar] [CrossRef]
- Li, R.; Gundersen, G.G. Beyond polymer polarity: How the cytoskeleton builds a polarized cell. Nat. Rev. Mol. Cell Biol. 2008, 9, 860–873. [Google Scholar] [CrossRef]
- Bentin-Ley, U.; Lopata, A. In vitro models of human blastocyst implantation. Baillieres Best Pr. Res. Clin. Obs. Gynaecol. 2000, 14, 765–774. [Google Scholar] [CrossRef]
- Aghajanova, L.; Stavreus-Evers, A.; Nikas, Y.; Hovatta, O.; Landgren, B.M. Coexpression of pinopodes and leukemia inhibitory factor, as well as its receptor, in human endometrium. Fertil. Steril. 2003, 79 (Suppl. 1), 808–814. [Google Scholar] [CrossRef]
- Qiong, Z.; Jie, H.; Yonggang, W.; Bin, X.; Jing, Z.; Yanping, L. Clinical validation of pinopode as a marker of endometrial receptivity: A randomized controlled trial. Fertil. Steril. 2017, 108, 513–517.e2. [Google Scholar] [CrossRef] [PubMed]
- Nikas, G.; Makrigiannakis, A. Endometrial pinopodes and uterine receptivity. Ann. N. Y. Acad. Sci. 2003, 997, 120–123. [Google Scholar] [CrossRef]
- Nardo, L.G.; Sabatini, L.; Rai, R.; Nardo, F. Pinopode expression during human implantation. Eur. J. Obstet. Gynecol. Reprod. Biol. 2002, 101, 104–108. [Google Scholar] [CrossRef]
- Espana, F.; Medina, P.; Navarro, S.; Zorio, E.; Estellés, A.; Aznar, J. The multifunctional protein C system. Curr. Med. Chem. Cardiovasc. Hematol. Agents 2005, 3, 119–131. [Google Scholar] [CrossRef]
- Kadono, K.; Uchida, Y.; Hirao, H.; Miyauchi, T.; Watanabe, T.; Lida, T.; Ueda, S.; Kanazawa, A.; Mori, A.; Okajiama, H.; et al. Thrombomodulin Attenuates Inflammatory Damage Due to Liver Ischemia and Reperfusion Injury in Mice in Toll-Like Receptor 4-Dependent Manner. Am. J. Transpl. 2017, 17, 69–80. [Google Scholar] [CrossRef]
- Jacobson, J.R.; Dudek, S.M.; Birukov, K.G.; Ye, S.Q.; Grigoryev, D.N.; Girgis, R.E.; Garcia, J.G. Cytoskeletal activation and altered gene expression in endothelial barrier regulation by simvastatin. Am. J. Respir. Cell Mol. Biol. 2004, 30, 662–670. [Google Scholar] [CrossRef]
- D’Ippolito, S.; Tersigni, C.; Marana, R.; Di Nicuolo, F.; Gaglione, R.; Rossi, E.D.; Castellani, R.; Scambia, G.; Di Simone, N. Inflammosome in the human endometrium: Further step in the evaluation of the “maternal side”. Fertil. Steril. 2016, 105, 111–118. [Google Scholar]





| Characteristics of Women | Control Group (n = 20) | Women with RPL (n = 30) | p Value |
|---|---|---|---|
| Age (years) ± SD | 34.7 ± 6.7 | 37.3 ± 4.3 | Ns |
| BMI (Kg/m2) | 22.1 (18–30.5) | 23.9 (17.6–35.9) | Ns |
| Smoking status, No (%) | 8 (40%) | 13 (43%) | Ns |
| Alcohol consumption (n, %) | 0 | 0 | Ns |
| Cycle length (day),mean ± SD | 29.1 ± 3.0 | 28.6 ± 3.9 | Ns |
| Progesterone levels (ng/mL) | 20.1 ± 7.5 | 19.9 ± 9.4 | Ns |
© 2020 by the authors. Licensee MDPI, Basel, Switzerland. This article is an open access article distributed under the terms and conditions of the Creative Commons Attribution (CC BY) license (http://creativecommons.org/licenses/by/4.0/).
Share and Cite
D’Ippolito, S.; Di Nicuolo, F.; Papi, M.; Castellani, R.; Palmieri, V.; Masciullo, V.; Arena, V.; Tersigni, C.; Bernabei, M.; Pontecorvi, A.; et al. Expression of Pinopodes in the Endometrium from Recurrent Pregnancy Loss Women. Role of Thrombomodulin and Ezrin. J. Clin. Med. 2020, 9, 2634. https://doi.org/10.3390/jcm9082634
D’Ippolito S, Di Nicuolo F, Papi M, Castellani R, Palmieri V, Masciullo V, Arena V, Tersigni C, Bernabei M, Pontecorvi A, et al. Expression of Pinopodes in the Endometrium from Recurrent Pregnancy Loss Women. Role of Thrombomodulin and Ezrin. Journal of Clinical Medicine. 2020; 9(8):2634. https://doi.org/10.3390/jcm9082634
Chicago/Turabian StyleD’Ippolito, Silvia, Fiorella Di Nicuolo, Massimiliano Papi, Roberta Castellani, Valentina Palmieri, Valeria Masciullo, Vincenzo Arena, Chiara Tersigni, Micaela Bernabei, Alfredo Pontecorvi, and et al. 2020. "Expression of Pinopodes in the Endometrium from Recurrent Pregnancy Loss Women. Role of Thrombomodulin and Ezrin" Journal of Clinical Medicine 9, no. 8: 2634. https://doi.org/10.3390/jcm9082634
APA StyleD’Ippolito, S., Di Nicuolo, F., Papi, M., Castellani, R., Palmieri, V., Masciullo, V., Arena, V., Tersigni, C., Bernabei, M., Pontecorvi, A., Scambia, G., & Di Simone, N. (2020). Expression of Pinopodes in the Endometrium from Recurrent Pregnancy Loss Women. Role of Thrombomodulin and Ezrin. Journal of Clinical Medicine, 9(8), 2634. https://doi.org/10.3390/jcm9082634

