Clinical Characteristics and Outcomes of Surgically Resected Solitary Pulmonary Nodules Due to Nontuberculous Mycobacterial Infections
Abstract
1. Introduction
2. Materials and Methods
2.1. Study Population
2.2. Microbiological Evaluation
2.3. Radiological Evaluation
2.4. Statistical Analysis
3. Results
3.1. Patient Characteristics
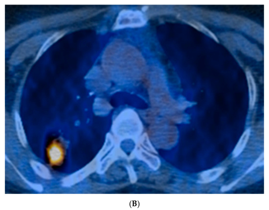
3.2. Radiological Characteristics of NTM Nodules
3.3. Microbiological Results
3.4. Treatment Outcomes
4. Discussion
5. Conclusions
Author Contributions
Funding
Conflicts of Interest
Abbreviations
| CT | computed tomography |
| FDG | fluorodeoxyglucose |
| IQR | interquartile range |
| NTM | non-tuberculous mycobacteria |
| PD | pulmonary disease |
| PET | positron emission tomography |
| SPN | solitary pulmonary nodules |
| SUVmax | maximum standardized uptake values |
References
- Lee, H.; Myung, W.; Koh, W.J.; Moon, S.M.; Jhun, B.W. Epidemiology of nontuberculous mycobacterial Infection, South Korea, 2007–2016. Emerg. Infect. Dis. 2019, 25, 569–572. [Google Scholar] [CrossRef]
- Prevots, D.R.; Marras, T.K. Epidemiology of human pulmonary infection with nontuberculous mycobacteria: A review. Clin. Chest. Med. 2015, 36, 13–34. [Google Scholar] [CrossRef]
- Hoefsloot, W.; van Ingen, J.; Andrejak, C.; Angeby, K.; Bauriaud, R.; Bemer, P.; Beylis, N.; Boeree, M.J.; Cacho, J.; Chihota, V.; et al. The geographic diversity of nontuberculous mycobacteria isolated from pulmonary samples: An NTM-NET collaborative study. Eur. Respir. J. 2013, 42, 1604–1613. [Google Scholar] [CrossRef]
- Griffith, D.E.; Aksamit, T.; Brown-Elliott, B.A.; Catanzaro, A.; Daley, C.; Gordin, F.; Holland, S.M.; Horsburgh, R.; Huitt, G.; Iademarco, M.F.; et al. An official ATS/IDSA statement: Diagnosis, treatment, and prevention of nontuberculous mycobacterial diseases. Am. J. Respir. Crit. Care Med. 2007, 175, 367–416. [Google Scholar] [CrossRef]
- Koh, W.J.; Moon, S.M.; Kim, S.Y.; Woo, M.A.; Kim, S.; Jhun, B.W.; Park, H.Y.; Jeon, K.; Huh, H.J.; Ki, C.S.; et al. Outcomes of Mycobacterium avium complex lung disease based on clinical phenotype. Eur. Respir. J. 2017, 50, 1602503. [Google Scholar] [CrossRef]
- Albelda, S.M.; Kern, J.A.; Marinelli, D.L.; Miller, W.T. Expanding spectrum of pulmonary disease caused by nontuberculous mycobacteria. Radiology 1985, 157, 289–296. [Google Scholar] [CrossRef]
- Hahm, C.R.; Park, H.Y.; Jeon, K.; Um, S.W.; Suh, G.Y.; Chung, M.P.; Kim, H.; Kwon, O.J.; Koh, W.J. Solitary pulmonary nodules caused by Mycobacterium tuberculosis and Mycobacterium avium complex. Lung 2010, 188, 25–31. [Google Scholar] [CrossRef]
- Jeong, Y.J.; Lee, K.S.; Koh, W.J.; Han, J.; Kim, T.S.; Kwon, O.J. Nontuberculous mycobacterial pulmonary infection in immunocompetent patients: Comparison of thin-section CT and histopathologic findings. Radiology 2004, 231, 880–886. [Google Scholar] [CrossRef]
- Haworth, C.S.; Banks, J.; Capstick, T.; Fisher, A.J.; Gorsuch, T.; Laurenson, I.F.; Leitch, A.; Loebinger, M.R.; Milburn, H.J.; Nightingale, M.; et al. British Thoracic Society guidelines for the management of non-tuberculous mycobacterial pulmonary disease (NTM-PD). Thorax 2017, 72, ii1–ii64. [Google Scholar] [CrossRef]
- Char, A.; Hopkinson, N.S.; Hansell, D.M.; Nicholson, A.G.; Shaw, E.C.; Clark, S.J.; Sedgwick, P.; Wilson, R.; Jordan, S.; Loebinger, M.R. Evidence of mycobacterial disease in COPD patients with lung volume reduction surgery; the importance of histological assessment of specimens: A cohort study. BMC Pulm. Med. 2014, 14, 124. [Google Scholar] [CrossRef]
- Sim, Y.T.; Goh, Y.G.; Dempsey, M.F.; Han, S.; Poon, F.W. PET-CT evaluation of solitary pulmonary nodules: Correlation with maximum standardized uptake value and pathology. Lung 2013, 191, 625–632. [Google Scholar] [CrossRef]
- Ose, N.; Maeda, H.; Takeuchi, Y.; Susaki, Y.; Kobori, Y.; Taniguchi, S.; Maekura, R. Solitary pulmonary nodules due to non-tuberculous mycobacteriosis among 28 resected cases. Int. J. Tuberc. Lung Dis. 2016, 20, 1125–1129. [Google Scholar] [CrossRef]
- Yonemori, K.; Tateishi, U.; Tsuta, K.; Yonemori, Y.; Uno, H.; Asamura, H.; Kusumoto, M. Solitary pulmonary granuloma caused by Mycobacterium avium-intracellulare complex. Int. J. Tuberc. Lung Dis. 2007, 11, 215–221. [Google Scholar]
- Gribetz, A.R.; Damsker, B.; Bottone, E.J.; Kirschner, P.A.; Teirstein, A.S. Solitary pulmonary nodules due to nontuberculous mycobacterial infection. Am. J. Med. 1981, 70, 39–43. [Google Scholar] [CrossRef]
- Kobashi, Y.; Fukuda, M.; Yoshida, K.; Miyashita, N.; Niki, Y.; Oka, M. Four cases of pulmonary Mycobacterium avium intracellulare complex presenting as a solitary pulmonary nodule and a review of other cases in Japan. Respirology 2006, 11, 317–321. [Google Scholar] [CrossRef]
- Lim, J.; Lyu, J.; Choi, C.M.; Oh, Y.M.; Lee, S.D.; Kim, W.S.; Kim, D.S.; Lee, H.; Shim, T.S. Non-tuberculous mycobacterial diseases presenting as solitary pulmonary nodules. Int. J. Tuberc. Lung Dis. 2010, 14, 1635–1640. [Google Scholar]
- Hong, S.J.; Kim, T.J.; Lee, J.H.; Park, J.S. Nontuberculous mycobacterial pulmonary disease mimicking lung cancer: Clinicoradiologic features and diagnostic implications. Medicine 2016, 95, e3978. [Google Scholar] [CrossRef]
- Bandoh, S.; Fujita, J.; Ueda, Y.; Tojo, Y.; Ishii, T.; Kubo, A.; Yamamoto, Y.; Nishiyama, Y.; Ishida, T. Uptake of fluorine-18-fluorodeoxyglucose in pulmonary Mycobacterium avium complex infection. Intern. Med. 2003, 42, 726–729. [Google Scholar] [CrossRef][Green Version]
- Demura, Y.; Tsuchida, T.; Uesaka, D.; Umeda, Y.; Morikawa, M.; Ameshima, S.; Ishizaki, T.; Fujibayashi, Y.; Okazawa, H. Usefulness of 18F-fluorodeoxyglucose positron emission tomography for diagnosing disease activity and monitoring therapeutic response in patients with pulmonary mycobacteriosis. Eur. J. Nucl. Med. Mol. Imaging 2009, 36, 632–639. [Google Scholar] [CrossRef]
- Angenent, L.T.; Kelley, S.T.; St Amand, A.; Pace, N.R.; Hernandez, M.T. Molecular identification of potential pathogens in water and air of a hospital therapy pool. Proc. Natl. Acad. Sci. USA 2005, 102, 4860–4865. [Google Scholar] [CrossRef]
- Abe, M.; Kobashi, Y.; Mouri, K.; Obase, Y.; Miyashita, N.; Nakata, M.; Oka, M. Solitary pulmonary nodule due to Mycobacterium kansasii. Intern. Med. 2011, 50, 775–778. [Google Scholar] [CrossRef]
- Collop, N.A. A solitary pulmonary nodule due to Mycobacterium gordonae. Respiration 1990, 57, 351–352. [Google Scholar] [CrossRef] [PubMed]
- Pesce, R.R.; Fejka, S.; Colodny, S.M. Mycobacterium fortuitum presenting as an asymptomatic enlarging pulmonary nodule. Am. J. Med. 1991, 91, 310–312. [Google Scholar] [CrossRef]
- White, D.A.; Kiehn, T.E.; Bondoc, A.Y.; Massarella, S.A. Pulmonary nodule due to Mycobacterium haemophilum in an immunocompetent host. Am. J. Respir. Crit. Care Med. 1999, 160, 1366–1368. [Google Scholar] [CrossRef] [PubMed]



| Characteristics | Values |
|---|---|
| Patient number | 49 (100) |
| Sex, male | 25 (51) |
| Age | 59 (51–68) |
| Body mass index (kg/m2) | 23.4 (21.2–25.1) |
| Smoking history | |
| Never | 27 (55) |
| Ex-smoker/current smoker | 22 (45) |
| Prior treatment for tuberculosis | 7 (14) |
| History of solid tumor | 13 (27) |
| Lung cancer | 1/13 (8) |
| Other solid tumors | 12/13 (92) |
| Respiratory symptoms | |
| Asymptomatic | 25 (51) |
| Cough | 18 (37) |
| Sputum | 14 (29) |
| Blood tinged sputum or hemoptysis | 4 (8) |
| Characteristics | Values |
|---|---|
| Chest computed tomography | |
| Size (mm) * | 18.0 (12.5–28.5) |
| Location | |
| Upper | 24 (49) |
| Middle/lingular | 7 (14) |
| Lower | 18 (37) |
| Subpleural nodule | 40 (82) |
| Calcification | 15 (31) |
| Satellite nodules | 3 (6) |
| Spiculation | 39 (80) |
| Pleural invagination | 36 (73) |
| 18FDG-PET/CT (n = 41) | |
| SUVmax | 4.9 (2.5–8.7) |
| SUVmax (>2.5) | 31/41 (76) |
| Characteristics | Values |
|---|---|
| Modalities for microbiological evaluation | Positive culture rate for NTM |
| Preoperative workup | 26 (53) |
| Sputum | 12/26 (46) |
| Bronchial washing fluid | 14/26 (54) |
| Needle biopsy specimens | 3/26 (12) |
| Sputum culture AND bronchial washing | 23/26 (88) |
| Sputum culture AND needle biopsy | 15/26 (58) |
| Bronchial washing AND needle biopsy | 17/26 (65) |
| Surgical resection | 29 (59) |
| Identified NTM species | 31 (63) |
| M. avium | 22/31 (71) |
| M. intracellulare | 5/31 (16) |
| M. avium + M. kansasii | 1/31 (3) |
| M. kansasii | 1/31 (3) |
| M. gordonae | 1/31 (3) |
| M. szulgai | 1/31 (3) |
| Unidentified, NTM | 18 (37) |
| Characteristics | Values |
|---|---|
| Type of surgical resection | |
| Wedge resection | 43 (88) |
| Segmentectomy | 1 (2) |
| Lobectomy | 5 (10) |
| Operative approach | |
| Thoracotomy | 2 (4) |
| Video-assisted thoracoscopic surgery | 47 (96) |
| Postoperative complication | 5 (10) |
| Pneumothorax | 4 (8) |
| Atelectasis | 1 (2) |
| Postoperative chemotherapy | 5 (10) |
| ARE | 2 (4) |
| CRE | 2 (4) |
| CRE + HRE | 1 (2) |
| Duration of postoperative chemotherapy (months) | 6.2 (4.6–17.6) |
| Follow up duration (months) | 18.0 (5.0–57.5) |
| Progression to NTM pulmonary disease | 1 (2) |
© 2019 by the authors. Licensee MDPI, Basel, Switzerland. This article is an open access article distributed under the terms and conditions of the Creative Commons Attribution (CC BY) license (http://creativecommons.org/licenses/by/4.0/).
Share and Cite
Choi, Y.; Jhun, B.W.; Kim, J.; Huh, H.J.; Lee, N.Y. Clinical Characteristics and Outcomes of Surgically Resected Solitary Pulmonary Nodules Due to Nontuberculous Mycobacterial Infections. J. Clin. Med. 2019, 8, 1898. https://doi.org/10.3390/jcm8111898
Choi Y, Jhun BW, Kim J, Huh HJ, Lee NY. Clinical Characteristics and Outcomes of Surgically Resected Solitary Pulmonary Nodules Due to Nontuberculous Mycobacterial Infections. Journal of Clinical Medicine. 2019; 8(11):1898. https://doi.org/10.3390/jcm8111898
Chicago/Turabian StyleChoi, Yeonseok, Byung Woo Jhun, Jhingook Kim, Hee Jae Huh, and Nam Yong Lee. 2019. "Clinical Characteristics and Outcomes of Surgically Resected Solitary Pulmonary Nodules Due to Nontuberculous Mycobacterial Infections" Journal of Clinical Medicine 8, no. 11: 1898. https://doi.org/10.3390/jcm8111898
APA StyleChoi, Y., Jhun, B. W., Kim, J., Huh, H. J., & Lee, N. Y. (2019). Clinical Characteristics and Outcomes of Surgically Resected Solitary Pulmonary Nodules Due to Nontuberculous Mycobacterial Infections. Journal of Clinical Medicine, 8(11), 1898. https://doi.org/10.3390/jcm8111898

