Multiple External Root Resorption of Teeth as a New Manifestation of Systemic Sclerosis—A Cross-Sectional Study in Japan
Abstract
1. Introduction
2. Patients and Methods
2.1. Patients
2.2. Variable Assessment
2.3. Ethical Considerations
2.4. Statistical Analysis
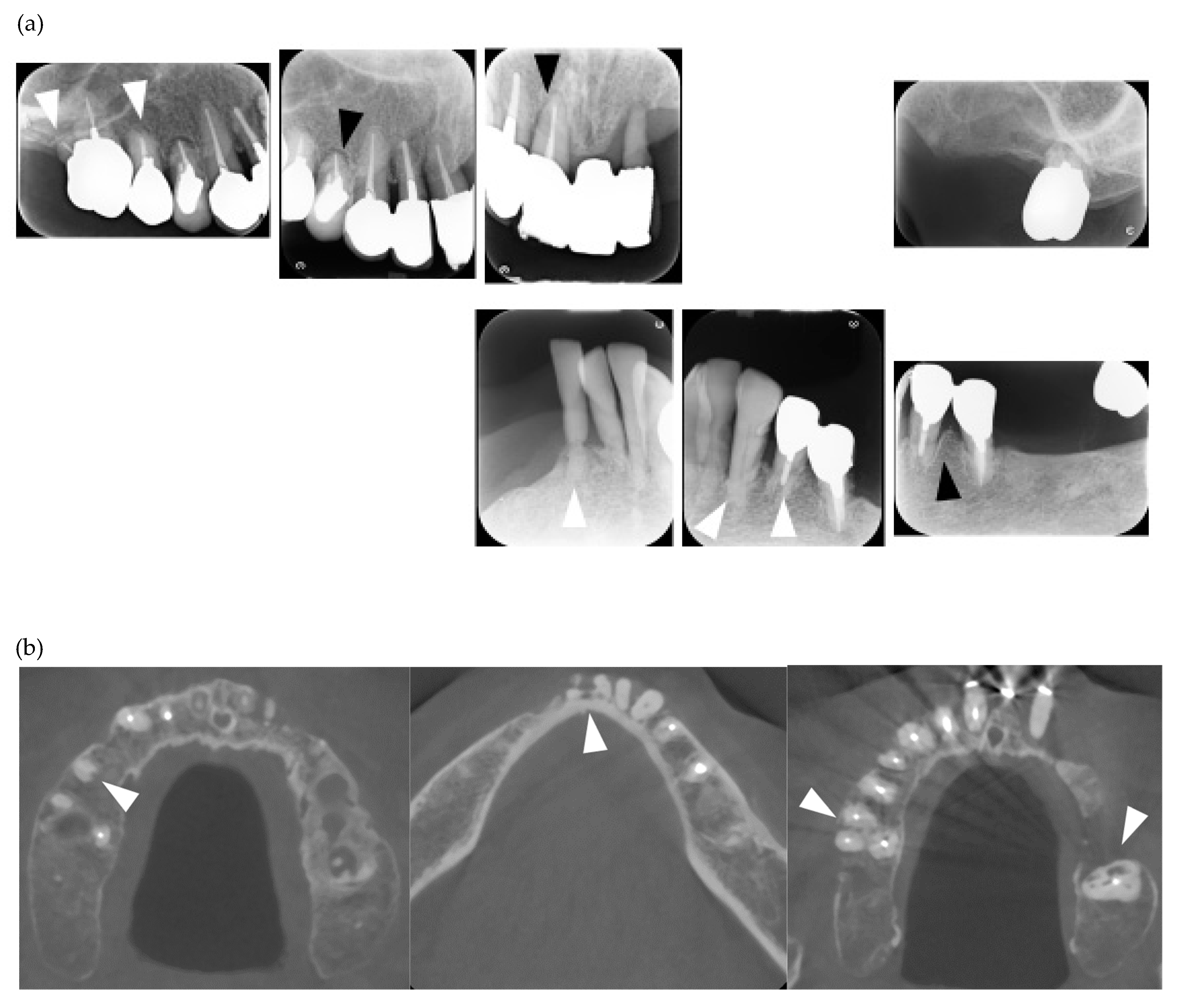
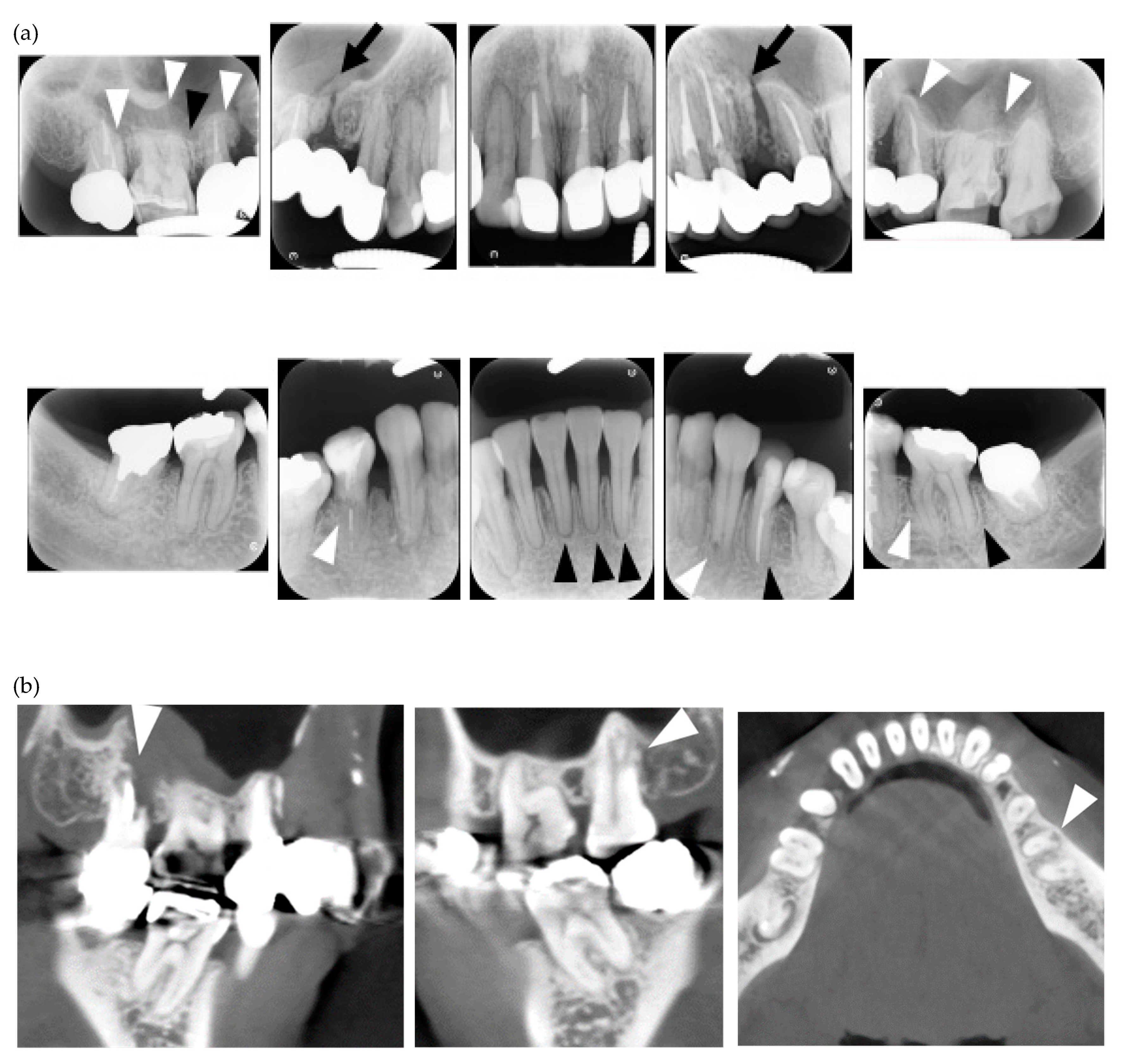
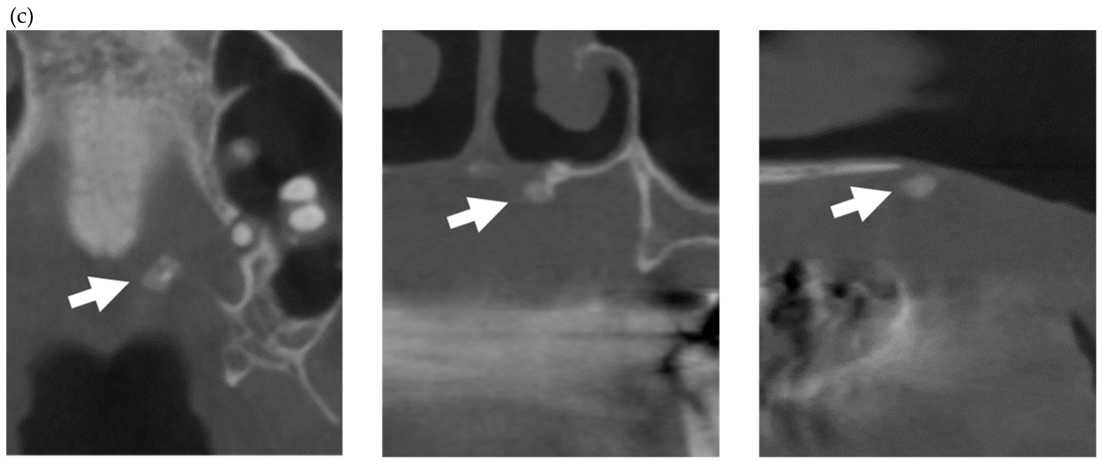
3. Results
4. Discussion
5. Conclusions
Author Contributions
Acknowledgments
Conflicts of Interest
References
- Leroy, E.C.; Black, C.; Fleischmajer, R.; Jablonska, S.; Krieg, T.; A Medsger, T.; Rowell, N.; Wollheim, F. Scleroderma (systemic sclerosis): Classification, subsets and pathogenesis. J. Rheumatol. 1988, 15, 202–205. [Google Scholar] [PubMed]
- Mayes, M.D.; Lacey, J.V.; Beebe-Dimmer, J.; Gillespie, B.W.; Cooper, B.; Laing, T.J.; Schottenfeld, D.; Beebe-Dimmer, J. Prevalence, incidence, survival, and disease characteristics of systemic sclerosis in a large US population. Arthritis Rheum. 2003, 48, 2246–2255. [Google Scholar] [CrossRef] [PubMed]
- Rout, P.G.; Hamburger, J.; Potts, A.J. Orofacial radiological manifestations of systemic sclerosis. Dentomaxillofac. Radiol. 1996, 25, 193–196. [Google Scholar] [CrossRef] [PubMed]
- De Figueiredo, M.A.Z.; De Figueiredo, J.A.P.; Porter, S. Root Resorption Associated with Mandibular Bone Erosion in a Patient with Scleroderma. J. Endod. 2008, 34, 102–103. [Google Scholar] [CrossRef] [PubMed]
- Dagenais, M.; Macdonald, D.; Baron, M.; Hudson, M.; Tatibouet, S.; Steele, R.; Gravel, S.; Mohit, S.; El Sayegh, T.; Pope, J.; et al. The Canadian Systemic Sclerosis Oral Health Study IV: Oral radiographic manifestations in systemic sclerosis compared with the general population. Oral Surg. Oral Med. Oral Pathol. Oral Radiol. 2015, 120, 104–111. [Google Scholar] [CrossRef]
- Jung, S.; Minoux, M.; Manière, M.-C.; Martin, T.; Schmittbuhl, M. Previously undescribed pulpal and periodontal ligament calcifications in systemic sclerosis: A case report. Oral Surg. Oral Med. Oral Pathol. Oral Radiol. 2013, 115, e47–e51. [Google Scholar] [CrossRef] [PubMed]
- Ahangari, Z.; Nasser, M.; Mahdian, M.; Fedorowicz, Z.; A Marchesan, M. Interventions for the management of external root resorption. Cochrane Database Syst. Rev. 2015, CD008003. [Google Scholar] [CrossRef]
- Barclay, C.W. Root resorption: Aetiology, classification and clinical management. Dent. Updat. 1993, 20, 248–250. [Google Scholar]
- Patel, S.; Kanagasingam, S.; Ford, T.P. External Cervical Resorption: A Review. J. Endod. 2009, 35, 616–625. [Google Scholar] [CrossRef]
- Mavridou, A.M.; Hauben, E.; Wevers, M.; Schepers, E.; Bergmans, L.; Lambrechts, P. Understanding External Cervical Resorption in Vital Teeth. J. Endod. 2016, 42, 1737–1751. [Google Scholar] [CrossRef]
- Smidt, A.; Nuni, E.; Keinan, D. Invasive Cervical Root Resorption: Treatment Rationale with an Interdisciplinary Approach. J. Endod. 2007, 33, 1383–1387. [Google Scholar] [CrossRef] [PubMed]
- Matsuda, S.; Memida, T.; Mizuno, N.; Ogawa, I.; Ouhara, K.; Kajiya, M.; Fujita, T.; Sugiyama, E.; Kurihara, H. Reparative bone-like tissue formation in the tooth of a systemic sclerosis patient. Int. Endod. J. 2018, 51, 1059–1066. [Google Scholar] [CrossRef] [PubMed]
- Arroyo-Bote, S.; Bucchi, C.; Manzanares, M.C.; Céspedes, M.C.M. External Cervical Resorption: A New Oral Manifestation of Systemic Sclerosis. J. Endod. 2017, 43, 1740–1743. [Google Scholar] [CrossRef] [PubMed]
- Preliminary criteria for the classification of systemic sclerosis (scleroderma). Subcommittee for scleroderma criteria of the American Rheumatism Association Diagnostic and Therapeutic Criteria Committee. Arthritis Rheum. 1980, 23, 581–590. [CrossRef]
- Hoogen, F.V.D.; Khanna, D.; Fransen, J.; Johnson, S.R.; Baron, M.; Tyndall, A.; Matucci-Cerinic, M.; Naden, R.P.; Medsger, T.A.; Carreira, P.E.; et al. 2013 classification criteria for systemic sclerosis: An American College of Rheumatology/European League against Rheumatism collaborative initiative. Arthritis Rheum. 2013, 65, 2737–2747. [Google Scholar] [CrossRef]
- Patel, S.; Foschi, F.; Mannocci, F.; Patel, K. External cervical resorption: A three-dimensional classification. Int. Endod. J. 2018, 51, 206–214. [Google Scholar] [CrossRef] [PubMed]
- Zhou, S.Y.; Mahmood, H.; Cao, C.F.; Jin, L.J. Teeth under High Occlusal Force may Reflect Occlusal Trauma-associated Periodontal Conditions in Subjects with Untreated Chronic Periodontitis. Chin. J. Dent. Res. 2017, 20, 19–26. [Google Scholar] [CrossRef] [PubMed]
- Jung, S.; Martin, T.; Schmittbuhl, M.; Huck, O. The spectrum of orofacial manifestations in systemic sclerosis: A challenging management. Oral Dis. 2017, 23, 424–439. [Google Scholar] [CrossRef] [PubMed]
- Albilia, J.B.; Lam, D.K.; Blanas, N.; Clokie, C.M.; Sandor, G.K. Small mouths…Big problems? A review of scleroderma and its oral health implications. J. Can. Dent. Assoc. 2007, 73, 831–836. [Google Scholar]
- Crincoli, V.; Fatone, L.; Fanelli, M.; Rotolo, R.P.; Chialà, A.; Favia, G.; Lapadula, G. Orofacial Manifestations and Temporomandibular Disorders of Systemic Scleroderma: An Observational Study. Int. J. Mol. Sci. 2016, 17, 1189. [Google Scholar] [CrossRef] [PubMed]
- Agerberg, G. Maximal mandibular movements in young men and women. Sven. Tandlak. Tidskr. Swed. Dent. J. 1974, 67, 81–100. [Google Scholar]
- Lóránd, V.; Czirják, L.; Minier, T. Musculoskeletal involvement in systemic sclerosis. La Presse Médicale 2014, 43, e315–e328. [Google Scholar] [CrossRef]
- Clements, P.J.; Becvar, R.; A Drosos, A.; Ghattas, L.; Gabrielli, A. Assessment of gastrointestinal involvement. Clin. Exp. Rheumatol. 2003, 21, 15–18. [Google Scholar]
- Lepri, G.; Guiducci, S.; Bellando-Randone, S.; Giani, I.; Bruni, C.; Blagojevic, J.; Carnesecchi, G.; Radicati, A.; Pucciani, F.; Marco, M.C. Evidence for oesophageal and anorectal involvement in very early systemic sclerosis (VEDOSS): report from a single VEDOSS/EUSTAR centre. Ann. Rheum. Dis. 2015, 74, 124–128. [Google Scholar] [CrossRef] [PubMed]
- Khanna, D.; Nagaraja, V.; Tseng, C.-H.; Abtin, F.; Suh, R.; Kim, G.; Wells, A.; Furst, D.E.; Clements, P.J.; Roth, M.D.; et al. Predictors of lung function decline in scleroderma-related interstitial lung disease based on high-resolution computed tomography: Implications for cohort enrichment in systemic sclerosis-associated interstitial lung disease trials. Arthritis Res. 2015, 17, 372. [Google Scholar] [CrossRef] [PubMed]
- Nihtyanova, S.I.; Tang, E.C.; Coghlan, J.G.; Wells, A.U.; Black, C.M.; Denton, C.P. Improved survival in systemic sclerosis is associated with better ascertainment of internal organ disease: A retrospective cohort study. QJM 2010, 103, 109–115. [Google Scholar] [CrossRef]
- Avouac, J.; Meune, C.; Borderie, D.; Lefèvre, G.; Kahan, A.; Allanore, Y.; Chenevier-Gobeaux, C.; Chenevier-Gobeaux, C. Cardiac Biomarkers in Systemic Sclerosis: Contribution of High-Sensitivity Cardiac Troponin in Addition to N-Terminal Pro-Brain Natriuretic Peptide. Arthritis Rheum. 2015, 67, 1022–1030. [Google Scholar] [CrossRef]
- Bose, N.; Chiesa-Vottero, A.; Chatterjee, S. Scleroderma renal crisis. Semin. Arthritis Rheum. 2015, 44, 687–694. [Google Scholar] [CrossRef]
- Wu, J.; Lin, L.Y.; Yang, J.; Chen, X.F.; Ge, J.Y.; Wu, J.R.; Sun, W.B. Multiple idiopathic cervical root resorption: A case report. Int. Endod. J. 2016, 49, 189–202. [Google Scholar] [CrossRef]
- Motegi, E.; Nomura, M.; Tachiki, C.; Miyazaki, H.; Takeuchi, F.; Takaku, S.; Abe, Y.; Miyatani, M.; Ogai, T.; Fuma, A.; et al. Occlusal force in people in their sixties attending college for elderly. Bull. Tokyo Dent. Coll. 2009, 50, 135–140. [Google Scholar] [CrossRef]
- Meunier, P.; Dequidt, L.; Barnetche, T.; Lazaro, E.; Duffau, P.; Richez, C.; Couzi, L.; Truchetet, M.E.; Seneschal, J.; Fhu, A. Increased risk of mortality in systemic sclerosis-associated digital ulcers: A systematic review and meta-analysis. J. Eur. Acad. Dermatol. Venereol. 2019, 33, 405–409. [Google Scholar] [CrossRef]
- Friedrich, S.; Lüders, S.; Glimm, A.M.; Werner, S.G.; Schmittat, G.; Burmester, G.R.; Backhaus, M.; Riemekasten, G.; Ohrndorf, S. Association between baseline clinical and imaging findings and the development of digital ulcers in patients with systemic sclerosis. Arthritis Res. 2019, 21, 96. [Google Scholar] [CrossRef] [PubMed]
- Mihai, C.; Landewe, R.; van der Heijde, D.; Walker, U.A.; Constantin, P.I.; Gherghe, A.M.; Ionescu, R.; Rednic, S.; Allanore, Y.; Avouac, J.; et al. Digital ulcers predict a worse disease course in patients with systemic sclerosis. Ann. Rheum. Dis. 2016, 75, 681–686. [Google Scholar] [CrossRef] [PubMed]
- Baron, M.; Hudson, M.; Tatibouet, S.; Steele, R.; Lo, E.; Gravel, S.; Gyger, G.; El Sayegh, T.; Pope, J.; Fontaine, A.; et al. The Canadian systemic sclerosis oral health study: orofacial manifestations and oral health-related quality of life in systemic sclerosis compared with the general population. Rheumatology 2014, 53, 1386–1394. [Google Scholar] [CrossRef] [PubMed]
- Baron, M.; Hudson, M.; Tatibouet, S.; Steele, R.; Lo, E.; Gravel, S.; Gyger, G.; El Sayegh, T.; Pope, J.; Fontaine, A.; et al. Relationship between disease characteristics and orofacial manifestations in systemic sclerosis: Canadian Systemic Sclerosis Oral Health Study III. Arthritis Rheum. 2015, 67, 681–690. [Google Scholar] [CrossRef] [PubMed]
- Sampaio-Barros, M.M.; Branco, L.C.M.C.; Takayama, L.; Filho, M.A.G.P.; Sampaio-Barros, P.D.; Pereira, R.M.R. Acroosteolysis and bone metabolism parameters distinguish female patients with limited systemic sclerosis with and without calcinosis: A case control study. Clin. Rheumatol. 2019, 1–5. [Google Scholar] [CrossRef]
- Patel, S.; Mavridou, A.M.; Lambrechts, P.; Saberi, N. External cervical resorption-part 1: histopathology, distribution and presentation. Int. Endod. J. 2018, 51, 1205–1223. [Google Scholar] [CrossRef] [PubMed]
- Chora, I.; Guiducci, S.; Manetti, M.; Romano, E.; Mazzotta, C.; Bellando-Randone, S.; Ibba-Manneschi, L.; Matucci-Cerinic, M.; Soares, R. Vascular biomarkers and correlation with peripheral vasculopathy in systemic sclerosis. Autoimmun. Rev. 2015, 14, 314–322. [Google Scholar] [CrossRef]






| Demographic Data | Total (n = 41) |
|---|---|
| Age (mean ± SD, range, years) | 62.8 ± 11.2 (42–85) |
| Sex (Female, %) | 35 (85.4) |
| duration (mean ± SD, range, years) | 9.6 ± 8.7 (1–40) |
| classification SSc (lc, %) | 27 (65.9) |
| MERR (%) | 4 (9.8) |
| Microvascular disorder | |
| Raynaud’s phenomenon | 39 (95.1) |
| digital ulcers | 9 (22) |
| Cutaneous involvement | |
| skin sclerosis | 38 (92.7) |
| subcutaneous calcinosis | 7 (17.1) |
| Skeletal muscle involvement | |
| arthralgia | 13 (31.7) |
| myalgia | 1 (2.4) |
| Digestive involvement | |
| GERD | 23 (56.1) |
| dysphagia | 9 (22) |
| Respiratory involvement | |
| interstitial pneumonia | 25/35 (71.4) |
| Cardiovascular involvement | |
| cardiac insufficiency | 4/27 (14.8) |
| pulmonary hypertension | 5/36 (13.9) |
| SRC | 3/19 (15.8) |
| Maxillofacial manifestations | |
| facial skin sclerosis | 8 (19.5) |
| calcinosis at the facial region | 3 (7.3) |
| limited mouse opening | 10 (24.4) |
| Sjögren’s syndrome | 23 (56.1) |
| TMD symptoms | 3 (7.3) |
| PDL space widening | 35 (85.4) |
| tongue rigidity | 4 (9.8) |
| Antibodies | |
| anti-nuclear antibodies | 37 (90.2) |
| anti-Scl-70 antibodies | 12 (29.3) |
| anti-centromere antibodies | 18 (48.6) |
| anti-RNA polymerase III antibodies | 3 (7.3) |
| Systemic Involvement | Maxillofacial Manifestations | ||||||||||||||||||||||||
|---|---|---|---|---|---|---|---|---|---|---|---|---|---|---|---|---|---|---|---|---|---|---|---|---|---|
| Pt No. | Sex | Duration | lc/dc | MERR | RP | Dus | Skin Sc | Sub Calcin. | Arthralgia | Myalgia | GERD | Dysphagia | IP | CI | PH | SRC | Face Sc | Calcin. at Face | Limited MO | SS | TMDs | PDL SW | Tongue Rigidity | Antibody | Notes |
| 1 | F | 24 | lc | Y | Y | N | Y | Y | Y | Y | Y | Y | Y | / | / | / | Y | Y | N | Y | Y | Y | N | centro/RF | a case report [6]/occlusal force, 77.4N |
| 2 | F | 40 | dc | Y | Y | Y | Y | N | N | N | Y | N | Y | / | N | N | Y | Y | Y | Y | N | Y | Y | Scl-70/RF | |
| 3 | F | 23 | dc | Y | Y | Y | Y | N | Y | N | Y | Y | Y | / | / | / | Y | Y | Y | Y | Y | Y | Y | ANA/Scl-70/SS-A | Orthodontic treatment |
| 4 | F | 11 | dc | Y | Y | Y | Y | Y | N | N | N | N | Y | / | / | / | Y | Y | Y | N | N | Y | Y | ANA/Scl-70 | calcification in PDL space/Orthodontic treatment |
| 5 | F | 7 | lc | N | Y | N | Y | N | N | N | Y | N | Y | N | N | / | N | N | N | Y | N | Y | N | ANA/centro | |
| 6 | M | 4 | lc | N | Y | N | Y | N | N | N | N | N | Y | N | Y | / | N | N | N | N | N | Y | N | ANA/Scl-70/RF | |
| 7 | F | 16 | dc | N | Y | N | Y | N | N | N | Y | N | Y | Y | N | / | N | N | Y | Y | Y | Y | N | ANA/RF/CCP | Rheumatic arthritis |
| 8 | F | 12 | lc | N | Y | N | Y | Y | Y | N | N | Y | N | N | N | N | N | N | N | N | N | N | N | ANA/centro | |
| 9 | F | 4 | dc | N | Y | Y | Y | N | N | N | N | N | Y | Y | Y | Y | N | N | Y | Y | N | N | N | ANA/SS-DNA/SS-A/SS-B/RF | |
| 10 | F | 8 | lc | N | Y | N | Y | N | N | N | Y | Y | N | N | Y | / | N | N | Y | Y | N | Y | N | ANA/RNA poly/SS-A/SS-B | |
| 11 | M | 9 | dc | N | Y | Y | Y | N | Y | N | Y | Y | Y | N | Y | / | N | N | N | Y | N | Y | N | ANA/centro/RF | |
| 12 | F | 17 | dc | N | Y | N | Y | N | Y | N | Y | Y | Y | Y | Y | N | N | N | N | Y | N | Y | N | ANA | |
| 13 | F | 21 | lc | N | Y | N | Y | N | N | N | Y | N | N | N | N | N | N | N | N | Y | N | Y | N | ANA/centro | |
| 14 | F | 19 | lc | N | Y | N | N | N | N | N | N | N | N | / | N | / | N | N | N | Y | N | Y | N | ANA/centro/AMA | |
| 15 | F | 9 | lc | N | Y | N | Y | Y | N | N | Y | N | N | / | N | / | N | N | N | Y | N | Y | N | ANA/centro | |
| 16 | F | 1 | lc | N | N | N | Y | N | N | N | Y | Y | Y | N | N | / | N | N | Y | Y | N | Y | N | ANA/centro | |
| 17 | F | 1 | lc | N | Y | N | Y | N | N | N | Y | N | Y | N | N | / | N | N | N | Y | N | Y | N | ANA | Calcification in PDL space |
| 18 | M | 4 | lc | N | Y | N | Y | N | N | N | N | N | Y | / | N | / | N | N | N | Y | N | N | N | ANA/Scl-70/SS-A/RF | |
| 19 | F | 11 | lc | N | Y | N | Y | N | Y | N | Y | N | / | / | / | / | N | N | Y | N | N | Y | N | ANA/centro/RF | |
| 20 | F | 3 | lc | N | Y | N | Y | N | Y | N | N | N | N | N | N | / | N | N | N | Y | N | Y | N | ANA/centro/RF | |
| 21 | F | 4 | dc | N | Y | N | Y | N | Y | N | Y | Y | Y | N | N | / | N | N | N | N | N | Y | N | ANA/SS-A/RF/CCP | Rheumatic arthritis |
| 22 | F | 17 | lc | N | Y | N | Y | N | N | N | Y | N | / | / | / | / | N | N | N | Y | N | Y | N | ANA/centro/RNA poly | |
| 23 | F | 19 | lc | N | Y | Y | Y | N | N | N | Y | N | N | N | N | N | N | N | N | Y | N | Y | N | ANA/centro/RF | |
| 24 | F | 19 | lc | N | Y | N | Y | N | Y | N | Y | Y | N | N | N | N | N | N | N | Y | N | Y | N | ANA/centro/RF | |
| 25 | F | 6 | lc | N | Y | N | Y | N | N | N | Y | N | Y | N | N | N | N | N | N | N | N | Y | N | ANA/RF | |
| 26 | F | 1 | lc | N | Y | N | Y | N | N | N | Y | N | Y | N | N | N | N | N | N | Y | N | Y | N | ANA/SS-A | |
| 27 | M | 1 | dc | N | Y | N | Y | N | N | N | Y | N | Y | N | N | N | Y | N | N | N | N | Y | N | ANA/RNA poly/CCP | |
| 28 | F | 16 | lc | N | Y | N | Y | Y | Y | N | N | N | N | N | N | N | N | N | N | Y | N | Y | N | ANA/centro/RF | |
| 29 | F | 1 | lc | N | Y | N | Y | N | N | N | N | N | N | N | N | N | N | N | N | N | N | Y | N | centro | |
| 30 | F | 1 | lc | N | N | N | N | N | N | N | N | N | N | N | N | N | N | N | N | Y | N | Y | N | centro | |
| 31 | M | 20 | lc | N | Y | N | Y | Y | N | N | N | N | Y | Y | N | N | N | N | Y | N | N | Y | N | ANA | |
| 32 | F | 2 | lc | N | Y | N | Y | N | N | N | Y | N | Y | N | N | N | N | N | N | N | N | Y | N | ANA/Scl-70/PR3 | |
| 33 | F | 1 | lc | N | Y | N | N | N | N | N | N | N | N | N | N | N | N | N | N | N | N | Y | N | ANA/Scl-70/PR3 | |
| 34 | F | 2 | dc | N | Y | N | Y | N | N | N | N | N | Y | N | N | Y | N | N | N | N | N | Y | N | ANA/Scl-70/centro | |
| 35 | M | 2 | dc | N | Y | N | Y | N | N | N | N | N | N | N | N | Y | Y | N | Y | N | N | Y | N | ANA/Scl-70 | |
| 36 | F | 6 | dc | N | Y | Y | Y | N | Y | N | Y | N | Y | N | N | / | Y | N | N | N | N | Y | N | ANA/Scl-70/RF/CCP | Rheumatic arthritis |
| 37 | F | 14 | dc | N | Y | Y | Y | Y | N | N | N | N | Y | / | N | / | Y | N | N | Y | N | Y | N | ANA | |
| 38 | F | 12 | lc | N | Y | N | Y | N | Y | N | Y | N | Y | / | N | / | N | N | N | N | N | Y | N | ANA/centro | |
| 39 | F | 1 | lc | N | Y | N | Y | N | N | N | N | N | Y | / | N | / | N | N | N | N | N | Y | N | ANA/Scl-70 | |
| 40 | F | 1 | dc | N | Y | Y | Y | N | N | N | N | N | Y | / | N | / | N | N | N | N | N | Y | N | ANA/Scl-70/SS-A | |
| 41 | F | 4 | lc | N | Y | N | Y | N | Y | N | N | N | N | / | N | / | N | N | N | N | N | N | N | ANA/centro | |
| p | OR (95CI) | |||
|---|---|---|---|---|
| MERR (n = 4) | Non-MERR (n = 37) | MERR vs. Non-MERR | MERR vs. Non-MERR | |
| Age (mean ± SD, range, years) | 50.3 ± 7.1 (43–60) | 64.7 ± 10.4 (42–85) | p < 0.05 | |
| Sex (Female, %) | 4 (100) | 31 (83.8) | N.S. | |
| duration (mean ± SD, range, years) | 24.5 ± 10.3 (11–40) | 8 ± 6.8 (1–21) | p < 0.01 | |
| classification SSc (lc, %) | 1 (25) | 26 (70) | N.S. | |
| Microvascular disorders | ||||
| Raynaud’s phenomenon | 4 (100) | 35 (94.6) | N.S. | |
| digital ulcers | 3 (75) | 6 (16.2) | p < 0.05 | 17.04 (1.1–1029.3) |
| Cutaneous involvement | ||||
| skin sclerosis | 4 (100) | 34 (91.9) | N.S. | |
| subcutaneous calcinosis | 2 (50) | 5 (13.5) | N.S. | |
| Skeletal muscle involvement | ||||
| arthralgia | 2 (50) | 11 (26.8) | N.S. | |
| myalgia | 1 (25) | 0 (0) | N.S. | |
| Digestive involvement | ||||
| GERD | 3 (75) | 20 (48.8) | N.S. | |
| dysphagia | 2 (50) | 7 (17.1) | N.S. | |
| Respiratory involvement | ||||
| interstitial pneumonia | 4 (100) | 21/35 (60) | N.S. | |
| Cardiovascular involvement | ||||
| cardiac insufficiency | 0 (0) | 4/27 (14.8) | N.S. | |
| pulmonary hypertension | 0/1 (0) | 5/35 (14.3) | N.S. | |
| SRC | 0 (0) | 3/18 (16.7) | N.S. | |
| Maxillofacial symptoms | ||||
| facial skin sclerosis | 4 (100) | 4 (10.8) | p < 0.01 | 127.8 (5.3–3106.8) |
| calcinosis at the facial region | 4 (100) | 0 (0) | p < 0.01 | 245.0 (4.1–14,556.6) |
| limited mouse opening | 3 (75) | 7 (18.9) | p < 0.05 | 11.8 (0.8–693.0) |
| Sjögren’s syndrome | 3 (75) | 20 (54.1) | N.S. | |
| TMD symptoms | 2 (50) | 1 (2.7) | p < 0.05 | 28.3 (1.10–2130.3) |
| PDL space widening | 4 (100) | 31 (83.8) | N.S. | |
| tongue rigidity | 3 (75) | 1 (2.7) | p < 0.05 | 75.0 (2.8–2023.9) |
| Antibody | ||||
| anti-nuclear antibodies | 2/2 (100) | 35 (94.6) | N.S. | |
| anti Scl-70 antibodies | 3 (75) | 9 (24.3) | N.S. | |
| anti-centromere antibodies | 1 (25) | 17 (45.9) | N.S. | |
| anti-RNA polymerase III antibodies | 0 (0) | 3 (8.1) | N.S. |
© 2019 by the authors. Licensee MDPI, Basel, Switzerland. This article is an open access article distributed under the terms and conditions of the Creative Commons Attribution (CC BY) license (http://creativecommons.org/licenses/by/4.0/).
Share and Cite
Memida, T.; Matsuda, S.; Kajiya, M.; Mizuno, N.; Ouhara, K.; Fujita, T.; Hirata, S.; Yoshida, Y.; Sugimoto, T.; Nishi, H.; et al. Multiple External Root Resorption of Teeth as a New Manifestation of Systemic Sclerosis—A Cross-Sectional Study in Japan. J. Clin. Med. 2019, 8, 1628. https://doi.org/10.3390/jcm8101628
Memida T, Matsuda S, Kajiya M, Mizuno N, Ouhara K, Fujita T, Hirata S, Yoshida Y, Sugimoto T, Nishi H, et al. Multiple External Root Resorption of Teeth as a New Manifestation of Systemic Sclerosis—A Cross-Sectional Study in Japan. Journal of Clinical Medicine. 2019; 8(10):1628. https://doi.org/10.3390/jcm8101628
Chicago/Turabian StyleMemida, Takumi, Shinji Matsuda, Mikihito Kajiya, Noriyoshi Mizuno, Kazuhisa Ouhara, Tsuyoshi Fujita, Shintaro Hirata, Yusuke Yoshida, Tomohiro Sugimoto, Hiromi Nishi, and et al. 2019. "Multiple External Root Resorption of Teeth as a New Manifestation of Systemic Sclerosis—A Cross-Sectional Study in Japan" Journal of Clinical Medicine 8, no. 10: 1628. https://doi.org/10.3390/jcm8101628
APA StyleMemida, T., Matsuda, S., Kajiya, M., Mizuno, N., Ouhara, K., Fujita, T., Hirata, S., Yoshida, Y., Sugimoto, T., Nishi, H., Kawaguchi, H., Sugiyama, E., & Kurihara, H. (2019). Multiple External Root Resorption of Teeth as a New Manifestation of Systemic Sclerosis—A Cross-Sectional Study in Japan. Journal of Clinical Medicine, 8(10), 1628. https://doi.org/10.3390/jcm8101628

