Concomitant Unilateral/Bilateral Temporomandibular Joint Reconstruction and Maxillomandibular Advancement for Temporomandibular Joint Pathologies and Obstructive Sleep Apnea: Technical Note and Case Report
Abstract
1. Introduction
2. Technical Note
2.1. Clinical Protocol
2.2. Virtual Surgical Planning and Computer-Aided Manufacturing Workflow
2.3. Surgical Technique
2.3.1. Mandible
2.3.2. Maxilla
2.3.3. Outcome Evaluation
3. Case Report
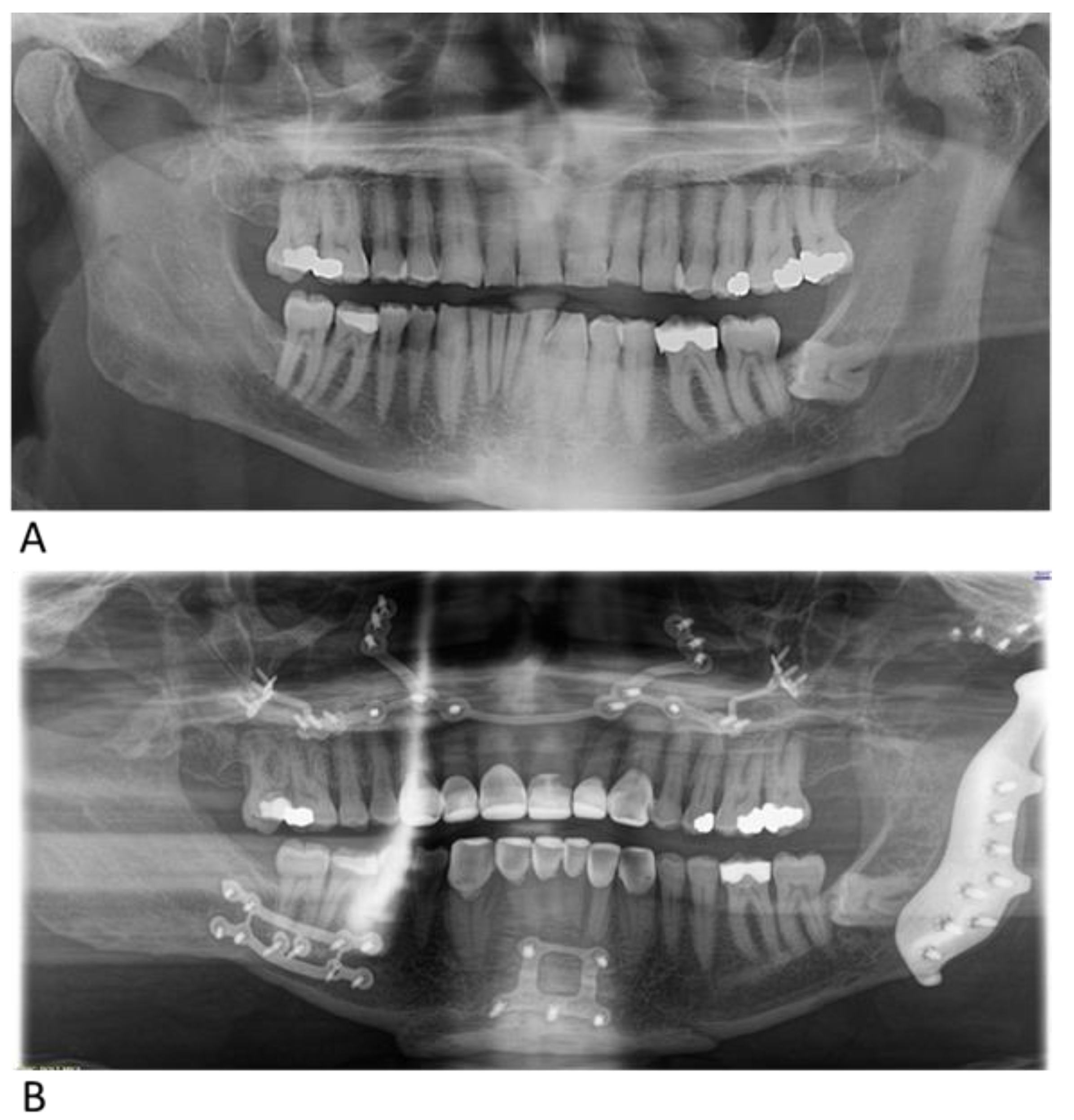
3.1. Case 1
3.2. Case 2
3.3. Case 3
4. Discussion
5. Conclusions
Author Contributions
Funding
Institutional Review Board Statement
Informed Consent Statement
Data Availability Statement
Conflicts of Interest
References
- Dimitroulis, G. The role of surgery in the management of disorders of the temporomandibular joint: A critical review of the literature. Part 2. Int. J. Oral Maxillofac Surg. 2005, 34, 231–237. [Google Scholar] [CrossRef] [PubMed]
- Franklin, C.D. Pathology of the temporomandibular joint. Curr. Diagn. Pathol. 2006, 12, 31–39. [Google Scholar] [CrossRef]
- Boyo, A.; McKay, J.; Lebovic, G.; Psutka, D.J. Temporomandibular joint total replacement using the Zimmer Biomet Microfixation patient-matched prosthesis results in reduced pain and improved function. Oral. Surg. Oral. Med. Oral. Pathol. Oral. Radiol. 2019, 128, 572–580. [Google Scholar] [CrossRef] [PubMed]
- Matthews, N.S.; Hechler, B.L.; Shah, R. The role of total joint replacement surgery in the orthognathic patient. Semin. Orthod. 2019, 25, 286–293. [Google Scholar] [CrossRef]
- Saeed, N.; Hensher, R.; McLeod, N.; Kent, J. Reconstruction of the temporomandibular joint autogenous compared with alloplastic. Br. J. Oral. Maxillofac. Surg. 2002, 40, 296–299. [Google Scholar] [CrossRef]
- Vasconcelos, B.C.; Porto, G.G.; Bessa-Nogueira, R.V.; Nascimento, M.M. Surgical treatment of temporomandibular joint ankylosis: Follow-up of 15 cases and literature review. Med. Oral. Patol. Oral. Cir. Bucal. 2009, 14, E34–E38. [Google Scholar] [CrossRef][Green Version]
- Wolford, L.M.; Mercuri, L.G.; Schneiderman, E.D.; Movahed, R.; Allen, W. Twenty-year follow-up study on a patient-fitted temporomandibular joint prosthesis: The Techmedica/TMJ Concepts device. J. Oral. Maxillofac. Surg. 2015, 73, 952–960. [Google Scholar] [CrossRef]
- Wolford, L.; Movahed, R.; Teschke, M.; Fimmers, R.; Havard, D.; Schneiderman, E. Temporomandibular Joint Ankylosis Can Be Successfully Treated With TMJ Concepts Patient-Fitted Total Joint Prosthesis and Autogenous Fat Grafts. J. Oral. Maxillofac. Surg. 2016, 74, 1215–1227. [Google Scholar] [CrossRef]
- Maini, K.; Dua, A. Temporomandibular Syndrome. In StatPearls [Internet]; StatPearls Publishing: Treasure Island, FL, USA, 2025. Available online: https://www.ncbi.nlm.nih.gov/books/NBK551612/ (accessed on 30 January 2023).
- Shaeran, T.A.T.; Samsudin, A.R. Temporomandibular Joint Ankylosis Leading to Obstructive Sleep Apnea. J. Craniofac Surg. 2019, 30, e714–e717. [Google Scholar] [CrossRef]
- Al-Nuumani, I.K.; Bakathir, A.; Al-Hashmi, A.; Al-Abri, M.; Al-Kindi, H.; Al-Macki, I.; Al-Balushi, Z. A Triad of Temporomandibular Joint Ankylosis, Mandibular Retrognathia and Severe Obstructive Sleep Apnoea: Case report. Sultan Qaboos Univ. Med. J. 2018, 18, e379–e382. [Google Scholar] [CrossRef]
- Malhotra, A.; White, D.P. Obstructive sleep apnoea. Lancet 2002, 360, 237–245. [Google Scholar] [CrossRef] [PubMed]
- Epstein, L.J.; Kristo, D.; Strollo, P.J., Jr.; Friedman, N.; Malhotra, A.; Patil, S.P.; Ramar, K.; Rogers, R.; Schwab, R.J.; Weaver, E.M.; et al. Clinical guideline for the evaluation, management and long-term care of obstructive sleep apnea in adults. J. Clin. Sleep. Med. 2009, 5, 263–276. [Google Scholar] [PubMed]
- Patil, S.P.; Ayappa, I.A.; Caples, S.M.; Kimoff, R.J.; Patel, S.R.; Harrod, C.G. Treatment of Adult Obstructive Sleep Apnea With Positive Airway Pressure: An American Academy of Sleep Medicine Systematic Review, Meta-Analysis, and GRADE Assessment. J. Clin. Sleep. Med. 2019, 15, 301–334. [Google Scholar] [CrossRef] [PubMed]
- Weaver, T.E.; Grunstein, R.R. Adherence to continuous positive airway pressure therapy: The challenge to effective treatment. Proc. Am. Thorac. Soc. 2008, 5, 173–178. [Google Scholar] [CrossRef]
- Rotenberg, B.W.; Murariu, D.; Pang, K.P. Trends in CPAP adherence over twenty years of data collection: A flattened curve. J. Otolaryngol. Head. Neck Surg. 2016, 45, 43. [Google Scholar] [CrossRef]
- Li, K.K.; Guilleminault, C.; Riley, R.W.; Powell, N.B. Obstructive sleep apnea and maxillomandibular advancement: An assessment of airway changes using radiographic and nasopharyngoscopic examinations. J. Oral. Maxillofac. Surg. 2002, 60, 526–531. [Google Scholar] [CrossRef]
- Van den Bempt, M.; Liebregts, J.; Maal, T.; Bergé, S.; Xi, T. Toward a higher accuracy in orthognathic surgery by using intraoperative computer navigation, 3D surgical guides, and/or customized osteosynthesis plates: A systematic review. J. Craniomaxillofac Surg. 2018, 46, 2108–2119. [Google Scholar] [CrossRef]
- Azarmehr, I.; Stokbro, K.; Bell, R.B.; Thygesen, T. Surgical Navigation: A Systematic Review of Indications, Treatments, and Outcomes in Oral and Maxillofacial Surgery. J. Oral. Maxillofac. Surg. 2017, 75, 1987–2005. [Google Scholar] [CrossRef]
- Sánchez-Jáuregui, E.; Baranda-Manterola, E.; Ranz-Colio, Á.; Bueno de Vicente, Á.; Acero-Sanz, J. Custom made cutting guides and osteosynthesis plates versus CAD/CAM occlusal splints in positioning and fixation of the maxilla in orthognathic surgery: A prospective randomized study. J. Craniomaxillofac Surg. 2022, 50, 609–614. [Google Scholar] [CrossRef]
- Wolford, L.M.; Pinto, L.P.; Cárdenas, L.E.; Molina, O.R. Outcomes of treatment with custom-made temporomandibular joint total joint prostheses and maxillomandibular counter-clockwise rotation. In Baylor University Medical Center Proceedings; Taylor & Francis: Abingdon, UK, 2008; Volume 21, pp. 18–24. [Google Scholar]
- Li, J.; Zhu, S.; Wang, T.; Luo, E.; Xiao, L.; Hu, J. Staged treatment of temporomandibular joint ankylosis with micrognathia using mandibular osteodistraction and advancement genioplasty. J. Oral. Maxillofac. Surg. 2012, 70, 2884–2892. [Google Scholar] [CrossRef]
- Kamath, A.T.; Kudva, A.; Singh, A. Bilateral temporomandibular joint reconstructions with stock alloplastic prostheses on a distracted mandible—A case report. Cranio 2022, 40, 365–372. [Google Scholar] [CrossRef] [PubMed]
- Gupta, R.J.; Silva, R.; Connelly, S.T. Bilateral Temporomandibular Joint Reconstruction and Maxillomandibular Advancement for Concomitant Temporomandibular Joint Degeneration and Obstructive Sleep Apnea. Atlas Oral. Maxillofac. Surg. Clin. N. Am. 2019, 27, 43–52. [Google Scholar] [CrossRef] [PubMed]
- Movahed, R.; Semensohn, R. Indications for alloplastic total joint replacement in obstructive sleep apnea patients requiring maxillomandibular advancement. Front. Oral. Maxillofac. Med. 2023, 5, 38. [Google Scholar] [CrossRef]
- Cassi, D.; De Biase, C.; Tonni, I.; Gandolfini, M.; Di Blasio, A.; Piancino, M.G. Natural position of the head: Review of two-dimensional and three-dimensional methods of recording. Br. J. Oral. Maxillofac. Surg. 2016, 54, 233–240. [Google Scholar] [CrossRef]
- Haq, J.; Patel, N.; Weimer, K.; Matthews, N.S. Single stage treatment of ankylosis of the temporomandibular joint using patient-specific total joint replacement and virtual surgical planning. Br. J. Oral. Maxillofac. Surg. 2014, 52, 350–355. [Google Scholar] [CrossRef]
- Ho, J.P.T.F.; Schreurs, R.; Baan, F.; de Lange, J.; Becking, A.G. Splintless orthognathic surgery in edentulous patients-a pilot study. Int. J. Oral. Maxillofac. Surg. 2020, 49, 587–594. [Google Scholar] [CrossRef]
- Kendrick, D.E.; Park, C.M.; Fa, J.M.; Barber, J.S.; Indresano, A.T. Stryker SMARTLock Hybrid Maxillomandibular Fixation System: Clinical Application, Complications, and Radiographic Findings. Plast. Reconstr. Surg. 2016, 137, 142e–150e. [Google Scholar] [CrossRef]
- Wolford, L.M.; Karras, S.C. Autologous fat transplantation around temporomandibular joint total joint prostheses: Preliminary treatment outcomes. J. Oral. Maxillofac. Surg. 1997, 55, 245–252. [Google Scholar] [CrossRef]
- De Meurechy, N.K.G.; Loos, P.J.; Mommaerts, M.Y. Postoperative Physiotherapy After Open Temporomandibular Joint Surgery: A 3-Step Program. J. Oral. Maxillofac. Surg. 2019, 77, 932–950. [Google Scholar] [CrossRef]
- Vibhute, P.J.; Bhola, N.; Borle, R.M. TMJ Ankylosis: Multidisciplinary Approach of Treatment for Dentofacial Enhancement-A Case Report. Case Rep. Dent. 2011, 2011, 187580. [Google Scholar] [CrossRef]
- De Roo, N.; Van Doorne, L.; Troch, A.; Vermeersch, H.; Brusselaers, N. Quantifying the outcome of surgical treatment of temporomandibular joint ankylosis: A systematic review and meta-analysis. J. Craniomaxillofac Surg. 2016, 44, 6–15. [Google Scholar] [CrossRef] [PubMed]
- Peres Lima, F.G.G.; Rios, L.G.C.; Bianchi, J.; Gonçalves, J.R.; Paranhos, L.R.; Vieira, W.A.; Zanetta-Barbosa, D. Complications of total temporomandibular joint replacement: A systematic review and meta-analysis. Int. J. Oral. Maxillofac. Surg. 2023, 52, 584–594. [Google Scholar] [CrossRef] [PubMed]
- Gerbino, G.; Zavattero, E.; Bosco, G.; Berrone, S.; Ramieri, G. Temporomandibular joint reconstruction with stock and custom-made devices: Indications and results of a 14-year experience. J. Craniomaxillofac Surg. 2017, 45, 1710–1715. [Google Scholar] [CrossRef] [PubMed]
















| Manufacturer | Siemens | ||
| Scanner model | SOMATOM Force | ||
| Contrast use | No | ||
| Reconstruction kernel | Hr64 (bone kernel) | ||
| Field-of-view | Full skull | ||
| Collimation width (mm) | 96 × 0.6 | ||
| Matrix size | 512 × 512 | ||
| Slice thickness (mm) | 1.0 | ||
| Slice increment (mm) | 1.0 | ||
| kVp | 120 | 120 | 150 |
| X-ray tube current (mA) | 82 | 61 | 211 |
| Exposure time (ms) | 1000 | 1000 | 1000 |
| Pitch factor | 0.55 | 0.55 | 0.8 |
| Pixel spacing (mm) | 0.46 × 0.46 | 0.48 × 0.48 | 0.48 × 0.48 |
Disclaimer/Publisher’s Note: The statements, opinions and data contained in all publications are solely those of the individual author(s) and contributor(s) and not of MDPI and/or the editor(s). MDPI and/or the editor(s) disclaim responsibility for any injury to people or property resulting from any ideas, methods, instructions or products referred to in the content. |
© 2025 by the authors. Licensee MDPI, Basel, Switzerland. This article is an open access article distributed under the terms and conditions of the Creative Commons Attribution (CC BY) license (https://creativecommons.org/licenses/by/4.0/).
Share and Cite
Ho, J.-P.T.F.; Zhou, N.; Klop, C.; Saeed, N.R.; de Lange, J. Concomitant Unilateral/Bilateral Temporomandibular Joint Reconstruction and Maxillomandibular Advancement for Temporomandibular Joint Pathologies and Obstructive Sleep Apnea: Technical Note and Case Report. J. Clin. Med. 2025, 14, 1719. https://doi.org/10.3390/jcm14051719
Ho J-PTF, Zhou N, Klop C, Saeed NR, de Lange J. Concomitant Unilateral/Bilateral Temporomandibular Joint Reconstruction and Maxillomandibular Advancement for Temporomandibular Joint Pathologies and Obstructive Sleep Apnea: Technical Note and Case Report. Journal of Clinical Medicine. 2025; 14(5):1719. https://doi.org/10.3390/jcm14051719
Chicago/Turabian StyleHo, Jean-Pierre T.F., Ning Zhou, Cornelis Klop, Nadeem R. Saeed, and Jan de Lange. 2025. "Concomitant Unilateral/Bilateral Temporomandibular Joint Reconstruction and Maxillomandibular Advancement for Temporomandibular Joint Pathologies and Obstructive Sleep Apnea: Technical Note and Case Report" Journal of Clinical Medicine 14, no. 5: 1719. https://doi.org/10.3390/jcm14051719
APA StyleHo, J.-P. T. F., Zhou, N., Klop, C., Saeed, N. R., & de Lange, J. (2025). Concomitant Unilateral/Bilateral Temporomandibular Joint Reconstruction and Maxillomandibular Advancement for Temporomandibular Joint Pathologies and Obstructive Sleep Apnea: Technical Note and Case Report. Journal of Clinical Medicine, 14(5), 1719. https://doi.org/10.3390/jcm14051719

