Groove Pancreatitis in Focus: Tumor-Mimicking Phenotype, Diagnosis, and Management Insights
Abstract
1. Introduction
2. Materials and Methods
2.1. Study Design
2.2. Participants
2.3. Definitions
2.4. Laboratory Parameters
2.5. Data Analysis
3. Results
3.1. Risk Factors
3.2. Clinical Features and Laboratory Workup
3.3. Upper Endoscopy Findings
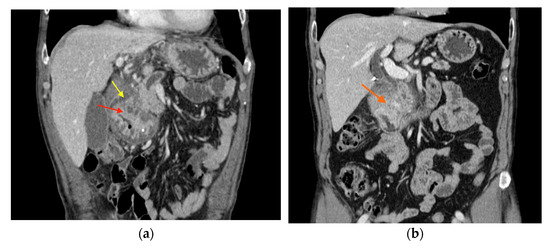
3.4. Imaging Findings
3.5. Pancreatic EUS
3.6. Management
4. Discussion
4.1. Pathogenesis
4.2. Clinical Features
4.3. Endocrine and Exocrine Insufficiency in GP
4.4. Imaging Characteristics
4.5. Therapeutical Approach
4.6. Study Limitations
5. Conclusions
Author Contributions
Funding
Institutional Review Board Statement
Informed Consent Statement
Data Availability Statement
Acknowledgments
Conflicts of Interest
References
- Stolte, M.; Weiss, W.; Volkholz, H.; Rösch, W. A special form of segmental pancreatitis: “groove pancreatitis”. Hepatogastroenterology 1982, 29, 198–208. [Google Scholar] [PubMed]
- Muraki, T.; Kim, G.E.; Reid, M.D.; Mittal, P.; Bedolla, G.; Memis, B.; Pehlivanoglu, B.; Freedman, A.; Erbarut Seven, I.; Choi, H.; et al. Paraduodenal Pancreatitis: Imaging and Pathologic Correlation of 47 Cases Elucidates Distinct Subtypes and the Factors Involved in its Etiopathogenesis. Am. J. Surg. Pathol. 2017, 41, 1347–1363. [Google Scholar] [CrossRef] [PubMed]
- Okasha, H.H.; Gouda, M.; Tag-Adeen, M.; Farouk, M.; Alzamzamy, A.; Elenin, S.A.; Pawlak, K.M.; Awad, A.; Mohamed, B. Clinical, Radiological, and Endoscopic Ultrasound Findings in Groove Pancreatitis: A Multicenter Retrospective Study. Turk. J. Gastroenterol. 2023, 34, 771–778. [Google Scholar] [CrossRef] [PubMed]
- Levenick, J.M.; Gordon, S.R.; Sutton, J.E.; Suriawinata, A.; Gardner, T.B. A Comprehensive, Case-Based Review of Groove Pancreatitis. Pancreas 2009, 38, e169–e175. [Google Scholar] [CrossRef] [PubMed]
- Ukegjini, K.; Steffen, T.; Tarantino, I.; Jonas, J.P.; Rössler, F.; Petrowsky, H.; Gubler, C.; Müller, P.C.; Oberkofler, C.E. Systematic review on groove pancreatitis: Management of a rare disease. BJS Open 2023, 7, zrad094. [Google Scholar] [CrossRef] [PubMed]
- Tarvainen, T.; Nykänen, T.; Parviainen, H.; Kuronen, J.; Kylänpää, L.; Sirén, J.; Kokkola, A.; Sallinen, V. Diagnosis, natural course and treatment outcomes of groove pancreatitis. HPB 2021, 23, 1244–1252. [Google Scholar] [CrossRef] [PubMed]
- Oza, V.; Skeans, J.; Muscarella, P.; Sklaw, B.; Cronley, K.; Walker, J.; El-Dika, S.; Swanson, B.; Hinton, A.; Conwell, D.; et al. Groove Pancreatitis, A Masquerading Yet Distinct Clinicopathological Entity: Analysis of Risk Factors and Differentiation: 254. Off. J. Am. Coll. Gastroenterol. 2014, 109, S79. [Google Scholar] [CrossRef]
- Dahiya, D.S.; Shah, Y.R.; Canakis, A.; Parikh, C.; Chandan, S.; Ali, H.; Gangwani, M.K.; Pinnam, B.S.M.; Singh, S.; Sohail, A.H.; et al. Groove pancreatitis: From enigma to future directions—A comprehensive review. J. Gastroenterol. Hepatol. 2024, 39, 2260–2271. [Google Scholar] [CrossRef]
- Arvanitakis, M.; Rigaux, J.; Toussaint, E.; Eisendrath, P.; Bali, M.A.; Matos, C.; Demetter, P.; Loi, P.; Closset, J.; Deviere, J.; et al. Endotherapy for paraduodenal pancreatitis: A large retrospective case series. Endoscopy 2014, 46, 580–587. [Google Scholar] [CrossRef]
- Dumonceau, J.-M.; Deprez, P.H.; Jenssen, C.; Iglesias-Garcia, J.; Larghi, A.; Vanbiervliet, G.; Aithal, G.P.; Arcidiacono, P.G.; Bastos, P.; Carrara, S.; et al. Indications, results, and clinical impact of endoscopic ultrasound (EUS)-guided sampling in gastroenterology: European Society of Gastrointestinal Endoscopy (ESGE) Clinical Guideline—Updated January. Endoscopy 2017, 49, 695–714. [Google Scholar] [CrossRef] [PubMed]
- Wronski, M.; Karkocha, D.; Slodkowski, M.; Cebulski, W.; Krasnodebski, I.W. Sonographic Findings in Groove Pancreatitis. J. Ultrasound Med. 2011, 30, 111–115. [Google Scholar] [CrossRef] [PubMed]
- Triantopoulou, C.; Dervenis, C.; Giannakou, N.; Papailiou, J.; Prassopoulos, P. Groove pancreatitis: A diagnostic challenge. Eur. Radiol. 2009, 19, 1736–1743. [Google Scholar] [CrossRef] [PubMed]
- Kalb, B.; Martin, D.R.; Sarmiento, J.M.; Erickson, S.H.; Gober, D.; Tapper, E.B.; Chen, Z.; Adsay, N.V. Paraduodenal pancreatitis: Clinical performance of MR imaging in distinguishing from carcinoma. Radiology 2013, 269, 475–481. [Google Scholar] [CrossRef] [PubMed]
- Harindranath, S.; Sundaram, S. Approach to Pancreatic Head Mass in the Background of Chronic Pancreatitis. Diagnostics 2023, 13, 1797. [Google Scholar] [CrossRef] [PubMed]
- Kager, L.M.; Lekkerkerker, S.J.; Arvanitakis, M.; Delhaye, M.; Fockens, P.; Boermeester, M.A.; van Hooft, J.E.; Besselnik, M.G. Outcomes After Conservative, Endoscopic, and Surgical Treatment of Groove Pancreatitis: A Systematic Review. J. Clin. Gastroenterol. 2017, 51, 749–754. [Google Scholar] [CrossRef] [PubMed]
- Balaban, D.V.; Marin, F.S.; Manucu, G.; Zoican, A.; Ciochina, M.; Mina, V.; Patoni, C.; Vladut, C.; Bucurica, S.; Costache, R.S.; et al. Clinical characteristics and outcomes in carbohydrate antigen 19-9 negative pancreatic cancer. World J. Clin. Oncology. 2022, 13, 630–640. [Google Scholar] [CrossRef]
- Tezuka, K.; Makino, T.; Hirai, I.; Kimura, W. Groove Pancreatitis. Dig. Surg. 2010, 27, 149–152. [Google Scholar] [CrossRef] [PubMed]
- Weiss, F.U.; Laemmerhirt, F.; Lerch, M.M. Etiology and Risk Factors of Acute and Chronic Pancreatitis. Visc. Med. 2019, 35, 73–81. [Google Scholar] [CrossRef] [PubMed]
- Malde, D.J.; Oliveira-Cunha, M.; Smith, A.M. Pancreatic carcinoma masquerading as groove pancreatitis: Case report and review of literature. JOP 2011, 12, 598–602. [Google Scholar] [PubMed]
- Rebours, V.; Lévy, P.; Vullierme, M.-P.; Couvelard, A.; O’Toole, D.; Aubert, A.; Palazzo, L.; Sauvanet, A.; Hammel, P.; Maire, F.; et al. Clinical and Morphological Features of Duodenal Cystic Dystrophy in Heterotopic Pancreas. Am. J. Gastroenterol. 2007, 102, 871–879. [Google Scholar] [CrossRef] [PubMed]
- Potet, F.; Duclert, N. Cystic dystrophy on aberrant pancreas of the duodenal wall. Arch. Fr. Mal. App. Dig. 1970, 59, 223–238. [Google Scholar] [PubMed]
- Chowdhury, P.; Gupta, P. Pathophysiology of alcoholic pancreatitis: An overview. World J. Gastroenterol. 2006, 12, 7421–7427. [Google Scholar] [CrossRef]
- Hegyi, P.; Wilschanski, M.; Muallem, S.; Lukacs, G.L.; Sahin-Tóth, M.; Uc, A.; Gray, M.A.; Rakonczay, Z.; Maléth, J. CFTR: A New Horizon in éthe Pathomechanism and Treatment of Pancreatitis. In Reviews of Physiology, Biochemistry and Pharmacology; Nilius, B., De Tombe, P., Gudermann, T., Jahn, R., Lill, R., Petersen, O.H., Eds.; Springer International Publishing: Cham, Switzerland, 2016; Volume 170, pp. 37–66. Available online: http://link.springer.com/10.1007/112_2015_5002 (accessed on 12 December 2024).
- Han, S.Y.; Conwell, D.L.; Diaz, P.T.; Ferketich, A.; Jeon, C.Y.; Yadav, D.; Hart, P.A. The deleterious effects of smoking on the development and progression of chronic pancreatitis. Pancreatology 2022, 22, 683–687. [Google Scholar] [CrossRef] [PubMed]
- Śliwińska-Mossoń, M.; Milnerowicz, S.; Nabzdyk, S.; Kokot, I.; Nowak, M.; Milnerowicz, H. The Effect of Smoking on Endothelin-1 in Patients With Chronic Pancreatitis. Appl. Immunohistochem. Mol. Morphol. 2015, 23, 288–296. [Google Scholar] [CrossRef] [PubMed]
- Alexandre, M.; Pandol, S.J.; Gorelick, F.S.; Thrower, E.C. The Emerging Role of Smoking in the Development of Pancreatitis. Pancreatology 2011, 11, 469–474. [Google Scholar] [CrossRef] [PubMed]
- Jun, J.H.; Lee, S.K.; Kim, S.Y.; Cho, D.H.; Song, T.J.; Park, D.H.; Lee, S.S.; Seo, D.-W.; Kim, M.-H. Comparison between groove carcinoma and groove pancreatitis. Pancreatology 2018, 18, 805–811. [Google Scholar] [CrossRef] [PubMed]
- Matías-García, B.; Castellón-Pavón, C.J.; Díaz-García, G.; Manso-Abajo, B.; Hernández-Aceituno, D.; Hermosín-Peña, A.; Mejías-Sosa, L.; Durán-Poveda, M. Upper Gastrointestinal Bleeding as a Debut Form of Groove Pancreatitis: A Diagnostic Challenge. Case Rep. Surg. 2022, 2022, 5562778. [Google Scholar] [CrossRef] [PubMed]
- Ciochina, M.; Balaban, D.V.; Manucu, G.; Jinga, M.; Gheorghe, C. The Impact of Pancreatic Exocrine Diseases on the β-Cell and Glucose Metabolism—A Review with Currently Available Evidence. Biomolecules 2022, 12, 618. [Google Scholar] [CrossRef]
- Dugic, A.; Hagström, H.; Dahlman, I.; Rutkowski, W.; Daou, D.; Kulinski, P.; Löhr, J.; Vujasinovic, M. Post-pancreatitis diabetes mellitus is common in chronic pancreatitis and is associated with adverse outcomes. United Eur. Gastroenterol. J. 2023, 11, 79–91. [Google Scholar] [CrossRef]
- Woodmansey, C.; McGovern, A.P.; McCullough, K.A.; Whyte, M.B.; Munro, N.M.; Correa, A.C.; Gatenby, P.A.; Jones, S.A.; de Lusignan, S. Incidence, Demographics, and Clinical Characteristics of Diabetes of the Exocrine Pancreas (Type 3c): A Retrospective Cohort Study. Diabetes Care 2017, 40, 1486–1493. [Google Scholar] [CrossRef]
- Da Silva Xavier, G. The Cells of the Islets of Langerhans. J. Clin. Med. 2018, 7, 54. [Google Scholar] [CrossRef]
- Ionescu-Tirgoviste, C.; Gagniuc, P.A.; Gubceac, E.; Mardare, L.; Popescu, I.; Dima, S.; Militaru, M. A 3D map of the islet routes throughout the healthy human pancreas. Sci. Rep. 2015, 5, 14634. [Google Scholar] [CrossRef] [PubMed]
- Wang, X.; Misawa, R.; Zielinski, M.C.; Cowen, P.; Jo, J.; Periwal, V.; Ricordi, C.; Khan, A.; Szust, J.; Shen, J.; et al. Regional differences in islet distribution in the human pancreas preferential beta-cell loss in the head region in patients with type 2 diabetes. PLoS ONE 2013, 8, e67454. [Google Scholar] [CrossRef]
- McCowen, K.C.; Malhotra, A.; Bistrian, B.R. Stress-Induced Hyperglycemia. Crit. Care Clinics 2001, 17, 107–124. [Google Scholar] [CrossRef] [PubMed]
- Balaban, M.; Balaban, D.V.; Enache, I.; Nedelcu, I.C.; Jinga, M.; Gheorghe, C. Impact of Serum Glucose Levels on Outcomes in Acute Pancreatitis: A Retrospective Analysis. Medicina 2024, 60, 856. [Google Scholar] [CrossRef] [PubMed]
- Regulation of Pancreatic Secretion. Available online: https://pancreapedia.org/reviews/bioenergetics-of-exocrine-pancreas-physiology-to-pathophysiology (accessed on 20 January 2025).
- Erchinger, F.; Engjom, T.; Dimcevski, G.; Drewes, A.M.; Olesen, S.S.; Vujasinovic, M.; Löhr, J.-M.; Nøjgaard, C.; Novovic, S.; Laukkarinen, J.; et al. Exocrine pancreas insufficiency in chronic pancreatitis—Risk factors and associations with complications. A multicentre study of 1869 patients. Pancreatology 2022, 22, 374–380. [Google Scholar] [CrossRef] [PubMed]
- Javadi, S.; Menias, C.O.; Korivi, B.R.; Shaaban, A.M.; Patnana, M.; Alhalabi, K.; Elsayes, K.M. Pancreatic Calcifications and Calcified Pan-creatic Masses: Pattern Recognition Approach on CT. Am. J. Roentgenol. 2017, 209, 77–87. [Google Scholar] [CrossRef]
- Raman, S.P.; Salaria, S.N.; Hruban, R.H.; Fishman, E.K. Groove Pancreatitis: Spectrum of Imaging Findings and Radiology-Pathology Correlation. Am. J. Roentgenol. 2013, 201, W29–W39. [Google Scholar] [CrossRef] [PubMed]
- DeSouza, K.; Nodit, L. Groove Pancreatitis: A Brief Review of a Diagnostic Challenge. Arch. Pathol. Lab. Med. 2015, 139, 417–421. [Google Scholar] [CrossRef]
- Graziani, R.; Tapparelli, M.; Malagò, R.; Girardi, V.; Frulloni, L.; Cavallini, G.; Pozzi Mucelli, R. The various imaging aspects of chronic pancreatitis. JOP 2005, 6, 73–88. [Google Scholar] [PubMed]
- Ishigami, K.; Tajima, T.; Nishie, A.; Kakihara, D.; Fujita, N.; Asayama, Y.; Ushijima, Y.; Irie, H.; Nakamura, M.; Takahata, S.; et al. Differential diagnosis of groove pancreatic carcinomas vs. groove pancreatitis: Usefulness of the portal venous phase. Eur. J. Radiol. 2010, 74, e95–e100. [Google Scholar] [CrossRef] [PubMed]
- Lekkerkerker, S.J.; Besselink, M.G.; Busch, O.R.; Verheij, J.; Engelbrecht, M.R.; Rauws, E.A.; Fockens, P.; van Hooft, J.E. Comparing 3 guidelines on the man-agement of surgically removed pancreatic cysts with regard to pathological outcome. Gastrointest. Endosc. 2017, 85, 1025–1031. [Google Scholar] [CrossRef] [PubMed]
- Mittal, P.K.; Harri, P.; Nandwana, S.; Moreno, C.C.; Muraki, T.; Adsay, V.; Cox, K.; Pehlivanoglu, B.; Alexander, L.F.; Chatterjee, A.; et al. Paraduodenal pancreatitis: Benign and malignant mimics at MRI. Abdom. Radiol. 2017, 42, 2652–2674. [Google Scholar] [CrossRef]
- Johnston, A.; Serhal, A.; Lopes Vendrami, C.; McCarthy, R.J.; Komanduri, S.; Horowitz, J.M.; Nikolaidis, P.; Miller, F.H. The abrupt pancreatic duct cutoff sign on MDCT and MRI. Abdom. Radiol. 2020, 45, 2476–2484. [Google Scholar] [CrossRef] [PubMed]
- Bello, H.R.; Sekhar, A.; Filice, R.W.; Radmard, A.R.; Davarpanah, A.H. Pancreaticoduodenal Groove: Spectrum of Disease and Imaging Features. RadioGraphics 2022, 42, 1062–1080. [Google Scholar] [CrossRef] [PubMed]
- Takuma, K.; Kamisawa, T.; Gopalakrishna, R.; Hara, S.; Tabata, T.; Inaba, Y.; Egawa, N.; Igarashi, Y. Strategy to differentiate autoimmune pancreatitis from pancreas cancer. World J. Gastroenterol. 2012, 18, 1015–1020. [Google Scholar] [CrossRef] [PubMed]
- Choi, J.; Ceribelli, M.; Phelan, J.D.; Häupl, B.; Huang, D.W.; Wright, G.; Hsiao, T.; Morris, V.M.; Ciccarese, F.; Wang, B.; et al. Molecular Mechanism of Action of Glucocorticoids in Lymphoma Therapy. Blood 2023, 142, 2986. [Google Scholar] [CrossRef]
- Kirkegård, J.; Mortensen, F.V.; Cronin-Fenton, D. Chronic Pancreatitis and Pancreatic Cancer Risk: A Systematic Review and Meta-analysis. Am. J. Gastroenterol. 2017, 112, 1366–1372. [Google Scholar] [CrossRef] [PubMed]
- Shimosegawa, T.; Chari, S.T.; Frulloni, L.; Kamisawa, T.; Kawa, S.; Mino-Kenudson, M.; Kim, M.-H.; Klöppel, G.; Lerch, M.M.; Löhr, M.; et al. International Consensus Diagnostic Criteria for Autoimmune Pancreatitis: Guidelines of the International Association of Pancreatology. Pancreas 2011, 40, 352–358. [Google Scholar] [CrossRef]










| Tumor-Like | Non-Tumor-Like | |
|---|---|---|
| Number of patients | 11 | 12 |
| Demographics and medical history | ||
| Age (years) | 54.0 (45.5–57.5) | 56.5 (48.75–59.75) |
| Male gender | 10 (90.9) | 12 (100) |
| Alcohol use | 10 (90.9) | 8 (66.7) |
| Smokers | 8 (72.7) | 9 (75) |
| History of DM | 1 (9.1) | 2 (16.7) |
| Symptoms | ||
| Pain | 11 (100) | 10 (83.3) |
| Vomiting | 6 (54.5) | 4 (33.3) |
| Nausea | 6 (54.5) | 7 (58.3) |
| Jaundice | 0 (0.0) | 1 (8.3) |
| Weight loss | 2 (18.2) | 4 (33.3) |
| Upper GI bleeding | 1 (9.1) | 0 (0.0) |
| Laboratory workup | ||
| Glycemia (mg/dL) | 110.5 (99.5–127.5) | 99.5 (84.75–127.0) |
| CA19-9 (U/mL) | 7.05 (3.78–22.57) | 14.46 (2.85–67.62) |
| Albumin (g/dL) | 4.34 (3.72–4.8) | 4.0 (3.7–5.0) |
| Treatment | ||
| Conservative | 8 (72.7) | 9 (75) |
| Endoscopic | 1 (9.1) | 1 (8.3) |
| Surgical | 2 (18.2) | 2 (16.7) |
| Mortality, n (%) | 3 (27.3) | 1 (8.3) |
| Cardiovascular diseases | 2 (18.2%) | 0 (0.0) |
| Severe alcoholic hepatitis | 1 (9.1%) | 0 (0.0) |
| Pulmonary malignancy | 0 (0.0) | 1 (8.3) |
| Pathological Findings at CT/MRI n (%) | Total, n = 23 | Tumor-Like Pattern, n = 9 | Non-Tumor-Like Pattern, n = 14 |
|---|---|---|---|
| Pancreatic head enlargement | 12 (52.2) | 5 (55.6) | 7 (50) |
| Duodenal wall thickening | 14 (60.9) | 9 (100) | 5 (35.7) |
| Intramural and paraduodenal cysts | 12 (52.2) | 4 (44.4) | 8 (57.1) |
| CBD narrowing | 5 (21.7) | 3 (33.3) | 2 (14.3) |
| MPD dilatation | 11 (47.8) | 6 (66.7) | 5 (35.7) |
| Pancreatic calcifications | 7 (30.4) | 4 (44.4) | 3 (21.4) |
| Tumor-like aspect | 9 (39.1) | 9 (100) | 0 (0) |
| Pathological Findings at EUS n (%) | Patients, n = 19 | Tumor-Like Pattern, n = 7 | Non-Tumor-Like Pattern, n = 12 |
|---|---|---|---|
| CBD thickening | 2 (10.5) | 1 (14.3) | 1 (8.3) |
| CBD dilatation | 3 (15.8) | 0 (0) | 3 (25) |
| Pancreatic head enlargement | 5 (26.3) | 4 (57.1) | 1 (8.3) |
| Duodenal wall thickening | 13 (68.4) | 7 (100) | 6 (50) |
| Intramural and paraduodenal cysts | 10 (52.6) | 4 (57.1) | 6 (50) |
| Pancreatic calcifications | 7 (36.8) | 5 (71.4) | 2 (16.6) |
| Tumor-like aspect | 6 (31.6) | 6 (85.7) | 0 (0) |
| Treatment Type n (%) | Total, n = 23 | Tumor-Like Pattern, n = 11 | Non-Tumor-Like Pattern, n = 12 |
|---|---|---|---|
| Conservative only | 17 (73.9) | 8 (72.7) | 9 (75) |
| Endoscopic therapy | 2 (8.7) | 1 (9.1) | 1 (8.3) |
| Cyst aspiration/drainage | 1 | 1 | 0 |
| Duodenal dilation | 0 | 0 | 0 |
| CBD stenting | 1 | 0 | 1 |
| PD stenting | 0 | 0 | 0 |
| EUS-GE | 0 | 0 | 0 |
| Surgery | 4 (17.4) | 2 (18.2) | 2 (16.6) |
| Gastrojejunostomy | 3 | 2 | 1 |
| Pancreaticoduodenectomy | 0 | 0 | 0 |
| Pseudocystojejunostomy | 1 | 0 | 1 |
Disclaimer/Publisher’s Note: The statements, opinions and data contained in all publications are solely those of the individual author(s) and contributor(s) and not of MDPI and/or the editor(s). MDPI and/or the editor(s) disclaim responsibility for any injury to people or property resulting from any ideas, methods, instructions or products referred to in the content. |
© 2025 by the authors. Licensee MDPI, Basel, Switzerland. This article is an open access article distributed under the terms and conditions of the Creative Commons Attribution (CC BY) license (https://creativecommons.org/licenses/by/4.0/).
Share and Cite
Balaban, M.; Balaban, D.V.; Mănucu, G.; Bucurică, S.N.; Costache, R.S.; Ioniță-Radu, F.; Jinga, M.; Gheorghe, C. Groove Pancreatitis in Focus: Tumor-Mimicking Phenotype, Diagnosis, and Management Insights. J. Clin. Med. 2025, 14, 1627. https://doi.org/10.3390/jcm14051627
Balaban M, Balaban DV, Mănucu G, Bucurică SN, Costache RS, Ioniță-Radu F, Jinga M, Gheorghe C. Groove Pancreatitis in Focus: Tumor-Mimicking Phenotype, Diagnosis, and Management Insights. Journal of Clinical Medicine. 2025; 14(5):1627. https://doi.org/10.3390/jcm14051627
Chicago/Turabian StyleBalaban, Marina, Daniel Vasile Balaban, George Mănucu, Săndica Nicoleta Bucurică, Raluca Simona Costache, Florentina Ioniță-Radu, Mariana Jinga, and Cristian Gheorghe. 2025. "Groove Pancreatitis in Focus: Tumor-Mimicking Phenotype, Diagnosis, and Management Insights" Journal of Clinical Medicine 14, no. 5: 1627. https://doi.org/10.3390/jcm14051627
APA StyleBalaban, M., Balaban, D. V., Mănucu, G., Bucurică, S. N., Costache, R. S., Ioniță-Radu, F., Jinga, M., & Gheorghe, C. (2025). Groove Pancreatitis in Focus: Tumor-Mimicking Phenotype, Diagnosis, and Management Insights. Journal of Clinical Medicine, 14(5), 1627. https://doi.org/10.3390/jcm14051627

