EUS Shear Wave Measurement for Early Chronic Pancreatitis: A Retrospective Diagnostic Accuracy Study Using the 2019 JPS Criteria
Abstract
1. Introduction
2. Materials and Methods
2.1. Study Design
2.2. Patients
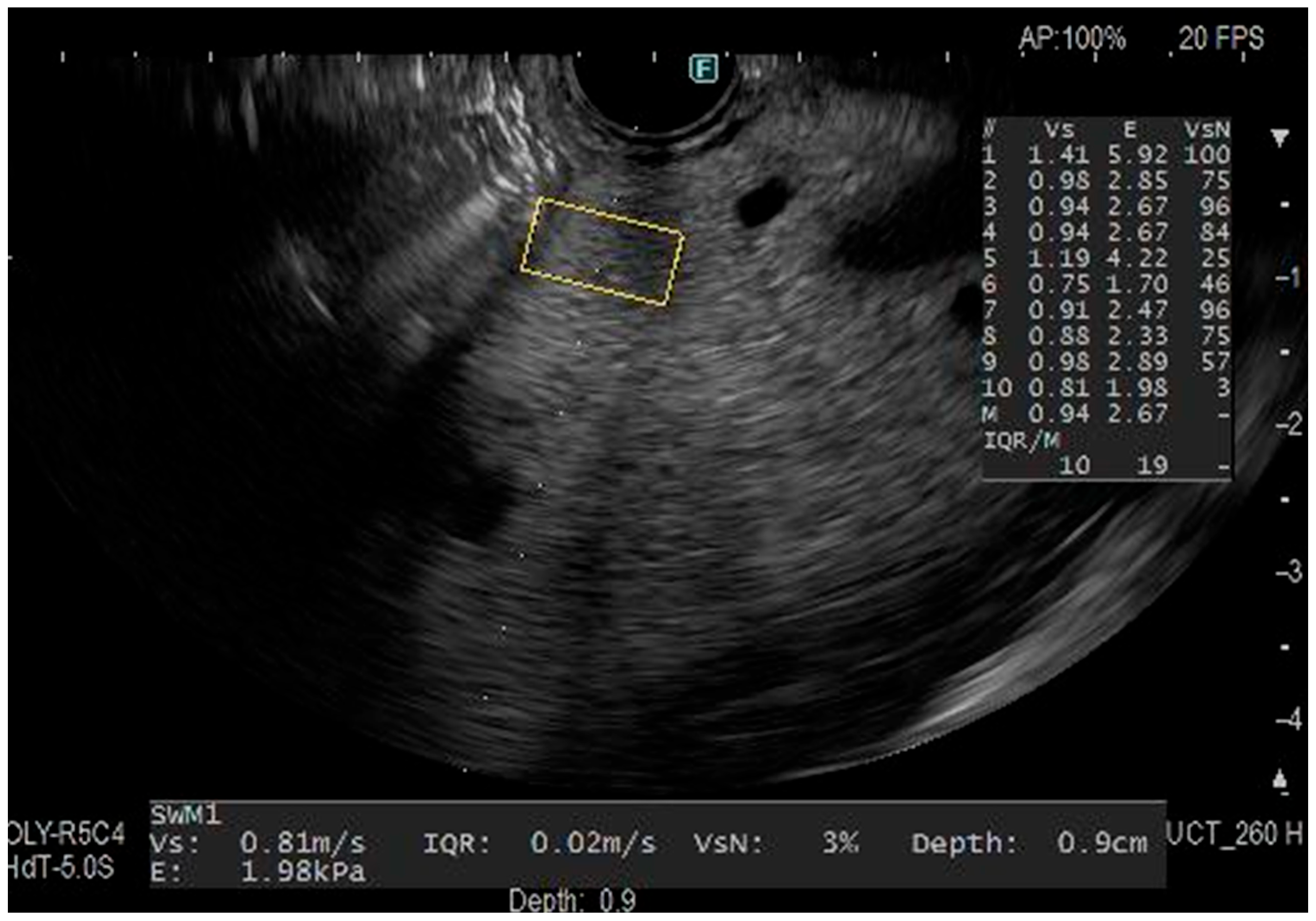
2.3. Endoscopic Ultrasonography Procedure and EUS-SWM
2.4. Statistical Analysis
3. Results
3.1. Patient Characteristics
3.2. EUS Findings and EUS-SWM
3.3. Comparison of Heavy Drinkers and EUS-SWM
3.4. Receiver Operating Characteristic (ROC) Curve Analysis
4. Discussion
5. Limitations
6. Conclusions
Author Contributions
Funding
Institutional Review Board Statement
Informed Consent Statement
Data Availability Statement
Conflicts of Interest
Abbreviations
| CP | Chronic pancreatitis |
| EUS | Endoscopic ultrasonography |
| EUS-SWM | EUS shear wave measurement |
| JPS | Japan Pancreas Society |
| MPD | Main pancreatic duct |
| ROI | Region of interest |
| ROC | Receiver operating characteristic |
| AUROCs | Area under the ROCs |
| CIs | Confidence intervals |
References
- Xiao, A.Y.; Tan, M.L.; Wu, L.M.; Asrani, V.M.; Windsor, J.A.; Yadav, D.; Petrov, M.S. Global incidence and mortality of pancreatic diseases: A systematic review, meta-analysis, and meta-regression of population-based cohort studies. Lancet Gastroenterol. Hepatol. 2016, 1, 45–55. [Google Scholar]
- Hirota, M.; Shimosegawa, T.; Masamune, A.; Kikuta, K.; Kume, K.; Hamada, S.; Kanno, A.; Kimura, K.; Tsuji, I.; Kuriyama, S. The seventh nationwide epidemiological survey for chronic pancreatitis in Japan: Clinical significance of smoking habit in Japanese patients. Pancreatology 2014, 14, 490–496. [Google Scholar] [CrossRef]
- Lin, Y.; Tamakoshi, A.; Matsuno, S.; Takeda, K.; Hayakawa, T.; Kitagawa, M.; Naruse, S.; Kawamura, T.; Wakai, K.; Aoki, R.; et al. Nationwide epidemiological survey of chronic pancreatitis in Japan. J. Gastroenterol. 2000, 35, 136–141. [Google Scholar]
- Whitcomb, D.C.; Frulloni, L.; Garg, P.; Greer, J.B.; Schneider, A.; Yadav, D.; Shimosegawa, T. Chronic pancreatitis: An international draft consensus proposal for a new mechanistic definition. Pancreatology 2016, 16, 218–224. [Google Scholar] [CrossRef]
- Shimosegawa, T.; Kataoka, K.; Kamisawa, T.; Miyakawa, H.; Ohara, H.; Ito, T.; Naruse, S.; Sata, N.; Suda, K.; Hirota, M.; et al. The revised Japanese clinical diagnostic criteria for chronic pancreatitis. J. Gastroenterol. 2010, 45, 584–591. [Google Scholar] [CrossRef] [PubMed]
- Sekine, M.; Tanaka, A.; Akimoto, M.; Miura, T.; Fujiwara, J.; Noda, H.; Rikiyama, T.; Ohnishi, H.; Mashima, H. A Comparative Study of Endoscopic Ultrasonography and Histopathology Images for the Diagnosis of Early Chronic Pancreatitis. Pancreas 2021, 50, 1173–1179. [Google Scholar] [CrossRef] [PubMed]
- Yamamiya, A.; Irisawa, A.; Abe, Y.; Arisaka, T.; Ohnishi, T.; Hoshi, K.; Suzuki, T.; Nagashima, K.; Kashima, K.; Kunogi, Y.; et al. Diagnosing chronic pancreatitis by endoscopic ultrasound assessing the association between ultrasound and pathological findings; A narrative review. DEN Open 2022, 3, e164. [Google Scholar] [CrossRef]
- Koh, C.J.; Lakhtakia, S.; Kida, M.; Lesmana, C.R.A.; Ang, T.L.; Vu, C.K.F.; Aye, T.T.; Park, S.H.; Almadi, M.A.; Chong, C.C.N.; et al. Defining the endoscopic ultrasound features of chronic pancreatitis in Asians: A multicenter validation study. Endoscopy 2021, 53, 595–602. [Google Scholar]
- Whitcomb, D.C.; Shimosegawa, T.; Chari, S.T.; Forsmark, C.E.; Frulloni, L.; Garg, P.; Hegyi, P.; Hirooka, Y.; Irisawa, A.; Ishikawa, T.; et al. International consensus statements on early chronic Pancreatitis. Recommendations from the working group for the international consensus guidelines for chronic pancreatitis in collaboration with The International Association of Pancreatology, American Pancreatic Association, Japan Pancreas Society, PancreasFest Working Group and European Pancreatic Club. Pancreatology 2018, 18, 516–527. [Google Scholar] [CrossRef]
- Takasaki, Y.; Ishi, S.; Fujisawa, T.; Ushiuo, M.; Takahasi, S.; Yamagata, W.; Ito, K.; Suzuki, A.; Ochiai, K.; Tomishima, K.; et al. Endoscopic Ultrasonography Findings of Early and Suspected Early Chronic Pancreatitis. Diagnostics 2020, 10, 1018. [Google Scholar] [CrossRef] [PubMed]
- Japan Pancreas Society Clinical diagnostic criteria for chronic pancreatitis 2019. J. Jpn. Pancreas Soc. 2019, 34, 279–281.
- Yamamiya, A.; Irisawa, A.; Tominaga, K.; Tsuchida, K.; Sugaya, T.; Tsunemi, M.; Hoshi, K.; Jinnai, H.; Yamabe, A.; Izawa, N.; et al. Interobserver Reliability of the Endoscopic Ultrasound Criteria for the Diagnosis of Early Chronic Pancreatitis: Comparison between the 2009 and 2019 Japanese Diagnostic Criteria. Diagnostics 2021, 11, 431. [Google Scholar] [CrossRef]
- Kuwahara, T.; Hirooka, Y.; Kawashima, H.; Ohno, E.; Ishikawa, T.; Kawai, M.; Suhara, H.; Takeyama, T.; Hashizume, K.; Koya, T.; et al. Quantitative diagnosis of chronic pancreatitis using EUS elastography. J. Gastroenterol. 2017, 52, 868–874. [Google Scholar] [CrossRef]
- Lewey, S.M. Top tips in EUS elastography (with Videos). Gastroinet. Endosc. 2023, 97, 574–584. [Google Scholar]
- Yamashita, Y.; Tanioka, K.; Kawaji, Y.; Tamura, T.; Nuta, J.; Hatamaru, K.; Itonaga, M.; Yoshida, T.; Ida, Y.; Maekita, T.; et al. Utility of Elastography with Endoscopic Ultrasonography Shear-Wave Measurement for Diagnosing Chronic Pancreatitis. Gut Liver 2020, 14, 659–664. [Google Scholar] [CrossRef] [PubMed]
- Yashima, Y.; Sasahira, N.; Isayama, H.; Kogure, H.; Ikeda, H.; Hirano, K.; Mizuno, S.; Yagioka, H.; Kawakubo, K.; Sasaki, T.; et al. Acoustic radiation force impulse elastography for noninvasive assessment of chronic pancreatitis. J. Gastroenterol. 2012, 47, 427–432. [Google Scholar] [CrossRef]
- Yamamiya, A.; Irisawa, A.; Hoshi, K.; Yamabe, A.; Izawa, N.; Nagashima, K.; Minaguchi, T.; Yamaura, M.; Yoshida, Y.; Kashima, K.; et al. Recent Advances in Endosonography-Elastography: Literature Review. J. Clin. Med. 2021, 10, 3739. [Google Scholar] [PubMed]
- Shintani, S.; Inatomi, O.; Okamoto, T.; Hiroe, K.; Eguchi, T.; Tomozawa, Y.; Inoue, A.; Kimura, H.; Nishida, A.; Tsuji, Y.; et al. Diagnostic accuracy of endoscopic ultrasonographic shear wave elastography for assessing early chronic pancreatitis using the Japanese diagnostic criteria 2019. DEN Open 2025, 5, e387. [Google Scholar] [CrossRef]
- Kashima, K.; Yamamiya, A.; Abe, Y.; Nahashima, K.; Minaguchi, T.; Kunogi, Y.; Sakuma, F.; Fukushi, K.; Inaba, Y.; Sugaya, T.; et al. Proposal and Validation of New Diagnostic Criteria for Diagnostic Weights of Endosonographic Findings for Early Chronic Pancreatitis. J. Clin. Med. 2023, 12, 5346. [Google Scholar]
- Yamashita, Y.; Tanioka, K.; Kawaji, Y.; Tamura, T.; Nuta, J.; Hatamaru, K.; Itonaga, M.; Ida, Y.; Maekita, T.; Iguchi, M.; et al. Endoscopic ultrasonography shear wave as a predictive factor of endocrine/exocrine dysfunction in chronic pancreatitis. J. Gastroenterol. Hepatol. 2021, 36, 391–396. [Google Scholar] [CrossRef]
- Ito, K.; Takasaki, Y.; Fujisawa, T.; Ishii, S.; Tomishima, K.; Takahashi, S.; Ikoma, I.; Jimbo, Y.; Ota, H.; Kabemura, D.; et al. Current Situation and Problems in Diagnosis of Early Chronic Pancreatitis. Pancreas 2023, 52, e275–e281. [Google Scholar] [CrossRef] [PubMed]



| Patients Underwent EUS-SWM (N = 38) | |
|---|---|
| Age, years old (range) | 68.5 (57.75–75.75) |
| Male, n (%) | 20 (52.6) |
| Alcohol (≧60 g/day), n (%) | 10 (26.3) |
| Diabetes mellitus, n (%) | 5 (13.1) |
| Chronic pancreatitis, n (%) | 10 (26.3) |
| Autoimmune pancreatitis, n (%) | 1 (2.6) |
| History of acute pancreatitis, n (%) | 2 (5.3) |
| Pancreatic cyst, n (%) | 13 (34.2) |
| Pancreatic screening, n (%) | 6 (15.8) |
| Biliary screening, n (%) | 6 (15.8) |
| EUS findings | Kappa value (95% CIs) |
| Hyperechoic foci; non-shadowing/stranding | 0.69 (0.46–0.91) |
| Lobularity | 0.48 (−0.12–1.08) |
| Hyperechoic MPD margins | 0.43 (0.09–0.78) |
| Dilated side branches | −0.04 (−0.09–0.01) |
| EUS Findings of e CP ≧ 2 (n = 11) | EUS Findings of e CP < 2 (n = 27) | p-Value | |
|---|---|---|---|
| Age, years old (range) | 60.0 (57.0–75.0) | 70.0 (58.0–79.0) | 0.49 |
| Male, n (%) | 10 (90.9) | 10 (37.0) | 0.003 |
| EUS-SWM (Vs: m/s) | 2.39 ± 0.54 | 1.84 ± 0.46 | 0.0065 |
| Chronic pancreatitis, n (%) | 6 (54.5) | 4 (14.8) | 0.02 |
| Heavy Alcohol Drinker (n = 10) | Non-Heavy Alcohol Drinker (n = 28) | p-Value | |
|---|---|---|---|
| Age, years old (range) | 71.5 (56.75–75.75) | 65.0 (57.25–75.25) | 0.55 |
| Male (%) | 6 (60) | 14 (50) | 0.43 |
| EUS-SWM (Vs: m/s) | 2.31 ± 0.50 | 1.84 ± 0.46 | 0.04 |
| Chronic pancreatitis (%) | 7 (70.0) | 3 (11.1) | 0.0009 |
| EUS findings of e CP ≧ 2 (%) | 5 (50) | 6 (21.4) | 0.10 |
| Cut off Value, (m/s) | AUROC (95% CIs) | Sensitivity (%) | Specificity (%) | PPV (%) | NPV (%) |
|---|---|---|---|---|---|
| 1.87 | 0.78 (0.62–0.95) | 90.9 | 63.0 | 50.0 | 94.4 |
Disclaimer/Publisher’s Note: The statements, opinions and data contained in all publications are solely those of the individual author(s) and contributor(s) and not of MDPI and/or the editor(s). MDPI and/or the editor(s) disclaim responsibility for any injury to people or property resulting from any ideas, methods, instructions or products referred to in the content. |
© 2025 by the authors. Licensee MDPI, Basel, Switzerland. This article is an open access article distributed under the terms and conditions of the Creative Commons Attribution (CC BY) license (https://creativecommons.org/licenses/by/4.0/).
Share and Cite
Ikemura, M.; Takasaki, Y.; Ito, K.; Suzuki, A.; Fukuo, Y.; Okubo, H.; Isayama, H. EUS Shear Wave Measurement for Early Chronic Pancreatitis: A Retrospective Diagnostic Accuracy Study Using the 2019 JPS Criteria. J. Clin. Med. 2025, 14, 7349. https://doi.org/10.3390/jcm14207349
Ikemura M, Takasaki Y, Ito K, Suzuki A, Fukuo Y, Okubo H, Isayama H. EUS Shear Wave Measurement for Early Chronic Pancreatitis: A Retrospective Diagnostic Accuracy Study Using the 2019 JPS Criteria. Journal of Clinical Medicine. 2025; 14(20):7349. https://doi.org/10.3390/jcm14207349
Chicago/Turabian StyleIkemura, Muneo, Yusuke Takasaki, Koichi Ito, Akinori Suzuki, Yuka Fukuo, Hironao Okubo, and Hiroyuki Isayama. 2025. "EUS Shear Wave Measurement for Early Chronic Pancreatitis: A Retrospective Diagnostic Accuracy Study Using the 2019 JPS Criteria" Journal of Clinical Medicine 14, no. 20: 7349. https://doi.org/10.3390/jcm14207349
APA StyleIkemura, M., Takasaki, Y., Ito, K., Suzuki, A., Fukuo, Y., Okubo, H., & Isayama, H. (2025). EUS Shear Wave Measurement for Early Chronic Pancreatitis: A Retrospective Diagnostic Accuracy Study Using the 2019 JPS Criteria. Journal of Clinical Medicine, 14(20), 7349. https://doi.org/10.3390/jcm14207349

