Long-Term Clinical Outcomes of Transalveolar Maxillary Sinus Floor Elevation with Rotatory Instruments: An 8-Year Follow-Up Prospective Clinical Study
Abstract
1. Introduction
2. Materials and Methods
2.1. Participants
2.1.1. Inclusion Criteria
2.1.2. Exclusion Criteria
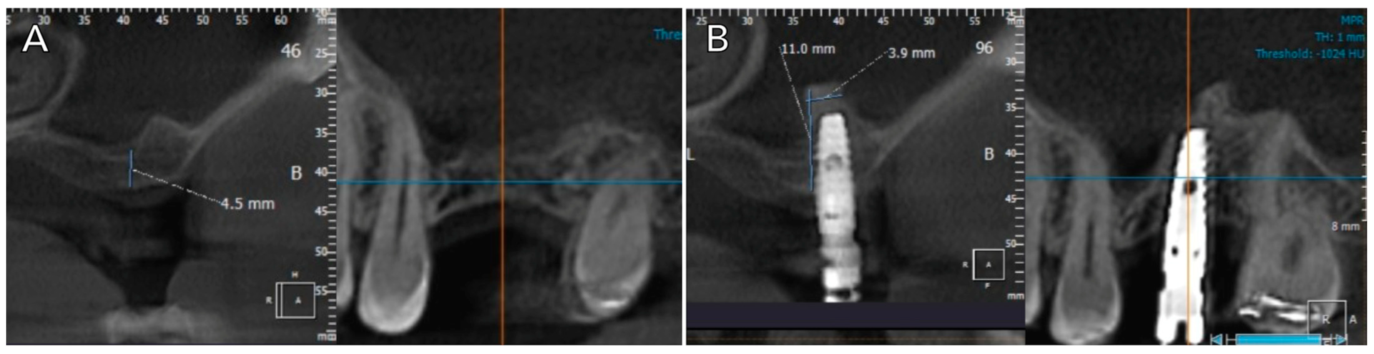
2.2. Clinical Protocol
2.3. Prosthetic Protocol
2.4. Follow-Up
2.5. Statistical Analyses
3. Results
3.1. Characteristics of the Patients and Dental Implants Placed
3.2. Biomaterials Used
3.3. Mean Bone Changes
3.4. Characteristics of the Implant-Supported Prosthesis
3.5. Biological and Mechanical Prosthodontic Complications
4. Discussion
4.1. Strengths and Limitations
4.2. Recommendations for Further Research
5. Conclusions
Author Contributions
Funding
Institutional Review Board Statement
Informed Consent Statement
Data Availability Statement
Conflicts of Interest
Abbreviations
References
- French, D.; Ofec, R.; Levin, L. Long Term Clinical Performance of 10871 Dental Implants with up to 22 Years of Follow-up: A Cohort Study in 4247 Patients. Clin. Implant. Dent. Relat. Res. 2021, 23, 289–297. [Google Scholar] [CrossRef]
- Chiapasco, M.; Casentini, P.; Zaniboni, M. Bone Augmentation Procedures in Implant Dentistry. Int. J. Oral. Maxillofac. Implants 2009, 24, 237–259. [Google Scholar]
- Raja, S.V. Management of the Posterior Maxilla with Sinus Lift: Review of Techniques. J. Oral. Maxillofac. Surg. 2009, 67, 1730–1734. [Google Scholar] [CrossRef]
- Corbella, S.; Taschieri, S.; Del Fabbro, M. Long-Term Outcomes for the Treatment of Atrophic Posterior Maxilla: A Systematic Review of Literature. Clin. Implant. Dent. Relat. Res. 2015, 17, 120–132. [Google Scholar] [CrossRef] [PubMed]
- Al-Nawas, B.; Schiegnitz, E. Augmentation Procedures Using Bone Substitute Materials or Autogenous Bone—A Systematic Review and Meta-Analysis. Eur. J. Oral. Implantol. 2014, 7 (Suppl. S2), S219–S234. [Google Scholar]
- Niu, L.; Wang, J.; Yu, H.; Qiu, L. New Classification of Maxillary Sinus Contours and Its Relation to Sinus Floor Elevation Surgery. Clin. Implant. Rent. Relat. Res. 2018, 20, 493–500. [Google Scholar] [CrossRef]
- Davarpanah, M.; Martinez, H.; Tecucianu, J.F.; Hage, G.; Lazzara, R. The Modified Osteotome Technique. Int. J. Periodontics Restorative Dent. 2001, 21, 599–607. [Google Scholar]
- Kahnberg, K.E.; Ekestubbe, A.; Gröndahl, K.; Nilsson, P.; Hirsch, J.M. Sinus Lifting Procedure. I. One-Stage Surgery with Bone Transplant and Implants. Clin. Oral. Implants Res. 2001, 12, 479–487. [Google Scholar] [CrossRef]
- Hämmerle, C.H.F.; Jung, R.E.; Feloutzis, A. A Systematic Review of the Survival of Implants in Bone Sites Augmented with Barrier Membranes (Guided Bone Regeneration) in Partially Edentulous Patients. J. Clin. Periodontol. 2002, 29 (Suppl. S3), 226–231, discussion 232–233. [Google Scholar] [CrossRef] [PubMed]
- Artzi, Z.; Weinreb, M.; Givol, N.; Rohrer, M.D.; Nemcovsky, C.E.; Prasad, H.S.; Tal, H. Biomaterial Resorption Rate and Healing Site Morphology of Inorganic Bovine Bone and Beta-Tricalcium Phosphate in the Canine: A 24-Month Longitudinal Histologic Study and Morphometric Analysis. Int. J. Oral. Maxillofac. Implants 2004, 19, 357–368. [Google Scholar] [PubMed]
- Wallace, S.S. Maxillary Sinus Augmentation: Evidence-Based Decision Making with a Biological Surgical Approach. Compend. Contin. Educ. Dent. 2006, 27, 662–668, quiz 669, 680. [Google Scholar]
- Velasco-Ortega, E.; Sierra-Baztan, A.; Jiménez-Guerra, A.; España-López, A.; Ortiz-Garcia, I.; Núñez-Márquez, E.; Moreno-Muñoz, J.; Rondón-Romero, J.L.; López-López, J.; Monsalve-Guil, L. Long-Term Clinical Study of Implants Placed in Maxillary Sinus Floor Augmentation Using Beta-Tricalcium Phosphate. Int. J. Environ. Res. Public. Health 2021, 18, 9975. [Google Scholar] [CrossRef]
- Pjetursson, B.E.; Tan, W.C.; Zwahlen, M.; Lang, N.P. A Systematic Review of the Success of Sinus Floor Elevation and Survival of Implants Inserted in Combination with Sinus Floor Elevation. J. Clin. Periodontol. 2008, 35, 216–240. [Google Scholar] [CrossRef]
- Velasco-Ortega, E.; Valente, N.A.; Iezzi, G.; Petrini, M.; Derchi, G.; Barone, A. Maxillary Sinus Augmentation with Three Different Biomaterials: Histological, Histomorphometric, Clinical, and Patient-Reported Outcomes from a Randomized Controlled Trial. Clin. Implant. Dent. Relat. Res. 2021, 23, 86–95. [Google Scholar] [CrossRef] [PubMed]
- Tatum, H. Maxillary and Sinus Implant Reconstructions. Dent. Clin. North. Am. 1986, 30, 207–229. [Google Scholar] [CrossRef]
- Summers, R.B. A New Concept in Maxillary Implant Surgery: The Osteotome Technique. Compendium 1994, 15, 152, 154–156, 158 passim; quiz 162. [Google Scholar]
- Pjetursson, B.E.; Lang, N.P. Sinus Floor Elevation Utilizing the Transalveolar Approach. Periodontol. 2000 2014, 66, 59–71. [Google Scholar] [CrossRef]
- Abi Najm, S.; Nurdin, N.; El Hage, M.; Bischof, M.; Nedir, R. Osteotome Sinus Floor Elevation without Grafting: A 10-Year Clinical and Cone-Beam Sinus Assessment. Implant. Dent. 2018, 27, 439–444. [Google Scholar] [CrossRef] [PubMed]
- Tan, W.C.; Lang, N.P.; Zwahlen, M.; Pjetursson, B.E. A Systematic Review of the Success of Sinus Floor Elevation and Survival of Implants Inserted in Combination with Sinus Floor Elevation. Part II: Transalveolar Technique. J. Clin. Periodontol. 2008, 35, 241–254. [Google Scholar] [CrossRef] [PubMed]
- Lafzi, A.; Atarbashi-Moghadam, F.; Amid, R.; Sijanivandi, S. Different Techniques in Transalveolar Maxillary Sinus Elevation: A Literature Review. J. Adv. Periodontol. Implant. Dent. 2021, 13, 35–42. [Google Scholar] [CrossRef] [PubMed]
- Alhayati, J.Z.; Al-Anee, A.M. Evaluation of Crestal Sinus Floor Elevations Using Versah Burs with Simultaneous Implant Placement, at Residual Bone Height ≥ 2.0 _ < 6.0 Mm. A Prospective Clinical Study. Oral. Maxillofac. Surg. 2023, 27, 325–332. [Google Scholar] [CrossRef] [PubMed]
- Hicklin, S.P.; Bindl, A.; Schmidlin, P.R. Radiographic Results of Osteotome-Driven Maxillary Sinus Floor Elevation without Grafting Materials after 17.5 Years Radiographic Evaluation of Minimally-Invasive Sinus Grafting. J. Dent. 2022, 126, 104318. [Google Scholar] [CrossRef] [PubMed]
- Lombardo, G.; Signoriello, A.; Marincola, M.; Liboni, P.; Faccioni, P.; Zangani, A.; D’Agostino, A.; Nocini, P.F. Short and Ultra-Short Implants, in Association with Simultaneous Internal Sinus Lift in the Atrophic Posterior Maxilla: A Five-Year Retrospective Study. Materials 2022, 15, 7995. [Google Scholar] [CrossRef] [PubMed]
- Trombelli, L.; Franceschetti, G.; Trisi, P.; Farina, R. Incremental, Transcrestal Sinus Floor Elevation with a Minimally Invasive Technique in the Rehabilitation of Severe Maxillary Atrophy. Clinical and Histological Findings from a Proof-of-Concept Case Series. J. Oral. Maxillofac. Surg. 2015, 73, 861–888. [Google Scholar] [CrossRef]
- Farina, R.; Franzini, C.; Trombelli, L.; Simonelli, A. Minimal Invasiveness in the Transcrestal Elevation of the Maxillary Sinus Floor: A Systematic Review. Periodontol. 2000 2023, 91, 145–166. [Google Scholar] [CrossRef]
- Bruschi, G.B.; Bruschi, E.; Papetti, L. Flapless Localised Management of Sinus Floor (LMSF) for Trans-Crestal Sinus Floor Augmentation and Simultaneous Implant Placement. A Retrospective Non-Randomized Study: 5-Year of Follow-Up. Heliyon 2021, 7, e07927. [Google Scholar] [CrossRef] [PubMed]
- Mamidi, A.R.; Gottumukkala, S.N.V.S.; Mantena, S.R.; Penmetsa, G.S.; Ramesh, K.S.V.; Pasupuleti, M.K. Comparison of Clinical and Radiological Outcomes Using Crestal Approach Sinus Kit and Piezoelectric Surgery for Sinus Membrane Elevation: A Prospective Clinical Trial. Dent. Res. J. 2022, 19, 88. [Google Scholar]
- Starch-Jensen, T.; Jensen, J.D. Maxillary Sinus Floor Augmentation: A Review of Selected Treatment Modalities. J. Oral. Maxillofac. Res. 2017, 8, e3. [Google Scholar] [CrossRef] [PubMed]
- Lundgren, S.; Cricchio, G.; Hallman, M.; Jungner, M.; Rasmusson, L.; Sennerby, L. Sinus Floor Elevation Procedures to Enable Implant Placement and Integration: Techniques, Biological Aspects and Clinical Outcomes. Periodontol. 2000 2017, 73, 103–120. [Google Scholar] [CrossRef] [PubMed]
- Antonoglou, G.N.; Stavropoulos, A.; Samara, M.D.; Ioannidis, A.; Benic, G.I.; Papageorgiou, S.N.; Sándor, G.K. Clinical Performance of Dental Implants Following Sinus Floor Augmentation: A Systematic Review and Meta-Analysis of Clinical Trials with at Least 3 Years of Follow-Up. Int. J. Oral. Maxillofac. Implant. 2018, 33, e45–e65. [Google Scholar] [CrossRef]
- Carusi, G.; Sisti, A.; Mottola, M.; Matera, G.; Veruggio, P.; Gelmi, L.; Bailo, A. Minimally Invasive Sinus Elevation Technique in Implant Treatment of the Edentulous Jawbone. Dent. Cadmos 2009, 77, 31–40. [Google Scholar]
- Sisti, A.; Canullo, L.; Mottola, M.P.; Iannello, G. A Case Series on Crestal Sinus Elevation with Rotary Instruments. Eur. J. Oral. Implantol. 2011, 4, 145–152. [Google Scholar] [PubMed]
- Elm, E.v.; Altman, D.G.; Egger, M.; Pocock, S.J.; Gøtzsche, P.C.; Vandenbroucke, J.P. Strengthening the Reporting of Observational Studies in Epidemiology (STROBE) Statement: Guidelines for Reporting Observational Studies. BMJ 2007, 335, 806–808. [Google Scholar] [CrossRef]
- Axelsson, P.; Nyström, B.; Lindhe, J. The Long-term Effect of a Plaque Control Program on Tooth Mortality, Caries and Periodontal Disease in Adults. J. Clin. Periodontol. 2004, 31, 749–757. [Google Scholar] [CrossRef] [PubMed]
- Salgado-Peralvo, A.-O.; Kewalramani, N.; Garcia-Sanchez, A.; Peña-Cardelles, J.-F. “Antibiotic Prophylaxis” and “Preventive Antibiotic Therapy”: Two Sides of the Same Coin. J. Stomatol. Oral. Maxillofac. Surg. 2022, 123, e159–e160. [Google Scholar] [CrossRef] [PubMed]
- Salgado-Peralvo, Á.-O.; Garcia-Sanchez, A.; Kewalramani, N.; Romandini, M.; Velasco-Ortega, E. Preventive Antibiotic Therapy in Sinus Elevation Procedures: A Systematic Review. Int. J. Oral. Maxillofac. Implant. 2023, 38, 19–28. [Google Scholar] [CrossRef]
- Salgado-Peralvo, A.-O.; Garcia-Sanchez, A.; Kewalramani, N.; Barone, A.; Martinez-Gonzalez, J.-M.; Velasco-Ortega, E.; Lopez-Lopez, J.; Kaiser-Cifuentes, R.; Guerra, F.; Matos-Garrido, N.; et al. Consensus Report on Preventive Antibiotic Therapy in Dental Implant Procedures: Summary of Recommendations from the Spanish Society of Implants. Antibiotics 2022, 11, 655. [Google Scholar] [CrossRef] [PubMed]
- Andrés-García, R.; Ríos-Santos, J.V.; Herrero-Climent, M.; Bullón, P.; Fernández-Farhall, J.; Gómez-Menchero, A.; Fernández-Palacín, A.; Ríos-Carrasco, B. Sinus Floor Elevation via an Osteotome Technique without Biomaterials. Int. J. Environ. Res. Public. Health 2021, 18, 1103. [Google Scholar] [CrossRef] [PubMed]
- Kang, N.; Liu, C. Modified Osteotome Sinus Floor Elevation Technique for Multiple Edentulous Spaces: A Non-Randomized Controlled Trial. Int. J. Environ. Res. Public. Health 2022, 19, 8019. [Google Scholar] [CrossRef] [PubMed]
- Carelli, S.; Passaretti, A.; Petroni, G.; Zanza, A.; Testarelli, L.; Cicconetti, A. Five Years Follow-up of Short Implants Placed in Atrophic Maxilla with Simultaneous Sinus Floor Transcrestal Elevation. Acta Stomatol. Croat. 2021, 55, 177–185. [Google Scholar] [CrossRef]
- Blase, D.V.; Dricot, R.G.; Lasserre, J.F.; Toma, S.; Brecx, M.C. Combination of a Hydraulic Device and Nanohydroxylapatite Paste for Minimally Invasive Transcrestal Sinus Floor Elevation: Procedure and 4-Year Results. Int. J. Oral. Maxillofac. Implants 2021, 36, 587–597. [Google Scholar] [CrossRef]
- Oba, Y.; Tachikawa, N.; Munakata, M.; Okada, T.; Kasugai, S. Evaluation of Maxillary Sinus Floor Augmentation with the Crestal Approach and Beta-Tricalcium Phosphate: A Cone-Beam Computed Tomography 3- to 9-Year Follow-Up. Int. J. Implant. Dent. 2020, 6, 27. [Google Scholar] [CrossRef] [PubMed]
- Shah, D.; Chauhan, C.; Shah, R. Survival Rate of Dental Implant Placed Using Various Maxillary Sinus Floor Elevation Techniques: A Systematic Review and Meta-Analysis. J. Indian. Prosthodont. Soc. 2022, 22, 215–224. [Google Scholar] [CrossRef]
- Park, J.-H.; Kim, Y.-G.; Suh, J.-Y.; Lee, D.-H.; Kim, J.-W.; Lee, J.-M. Longitudinal Study of Bone Height Change between Two Approaches for Sinus Floor Elevation. Medicina 2023, 59, 1132. [Google Scholar] [CrossRef]
- Saglanmak, A.; Cinar, I.C.; Zboun, M.; Arisan, V.; Mijiritsky, E. Maxillary Sinus Floor Elevation and Simultaneous Implant Installation via Osseodensification Drills: A Retrospective Analysis of Bone Gain in 72 Patients Followed for 6 Months. J. Clin. Med. 2024, 13, 2225. [Google Scholar] [CrossRef] [PubMed]
- Soardi, C.M.; Cavani, F.; Soardi, B.; Zaffe, D.; Wang, H.-L. Maxillary Sinus Floor Augmentation with Porcine-Apatite Xenograft: A Prospective Case Series Study. Int. J. Periodontics Restorative Dent. 2023, 43, 687–697. [Google Scholar] [CrossRef] [PubMed]
- Kadkhodazadeh, M.; Kermani, M.E.; Amid, R. Conservative Maxillary Sinus Floor Elevation via a Crestal Approach Using Vertical Expander Screw Technique (Technical Note). J. Long. Term. Eff. Med. Implants 2019, 29, 255–260. [Google Scholar] [CrossRef] [PubMed]
- Sisti, A.; Canullo, L.; Mottola, M.P.; Iannello, G. Crestal Minimally-Invasive Sinus Lift on Severely Resorbed Maxillary Crest: Prospective Study. Biomed. Tech. 2012, 57, 45–51. [Google Scholar] [CrossRef]
- Del Fabbro, M.; Rosano, G.; Taschieri, S. Implant Survival Rates after Maxillary Sinus Augmentation. Eur. J. Oral. Sci. 2008, 116, 497–506. [Google Scholar] [CrossRef]
- Zhao, X.; Gao, W.; Liu, F. Clinical Evaluation of Modified Transalveolar Sinus Floor Elevation and Osteotome Sinus Floor Elevation in Posterior Maxillae: Study Protocol for a Randomized Controlled Trial. Trials 2018, 19, 489. [Google Scholar] [CrossRef] [PubMed]
- Crespi, R.; Toti, P.; Covani, U.; Crespi, G.; Menchini-Fabris, G.-B. Clinical and Radiographic Evaluation of Modified Transalveolar Two-Step Osteotome-Mediated Localized Maxillary Sinus Elevation: A Retrospective Computed Tomography Study with a 3-Year Follow-Up. Int. J. Oral. Maxillofac. Implant. 2021, 36, 553–560. [Google Scholar] [CrossRef]
- Maximiano Millán, A.; Bravo Álvarez, R.; Plana Montori, M.; Guerrero González, M.; Saura García-Martín, D.; Ríos-Carrasco, B.; Monticelli, F.; Ríos-Santos, J.V.; Fernández-Palacín, A. Assessment of the Simultaneous Use of Biomaterials in Transalveolar Sinus Floor Elevation: Prospective Randomized Clinical Trial in Humans. Int. J. Environ. Res. Public. Health 2020, 17, 1888. [Google Scholar] [CrossRef] [PubMed]
- Wang, X.; Sun, L.; Wang, L.; Shi, S.; Zhang, S.; Song, Y. Predictors of Peri-Implant Bone Remodeling Outcomes after the Osteotome Sinus Floor Elevation: A Retrospective Study. BMC Oral. Health 2022, 22, 622. [Google Scholar] [CrossRef]
- Chen, H.; Zhou, L.; Wu, D.; Zhang, J.; Zheng, Y.; Chen, Y. Osteotome Sinus Floor Elevation with Concentrated Growth Factor and Simultaneous Implant Placement with or without Bone Grafting: A Retrospective Study. Int. J. Oral. Maxillofac. Surg. 2022, 51, 1078–1084. [Google Scholar] [CrossRef] [PubMed]
- Soardi, E.; Cosci, F.; Checchi, V.; Pellegrino, G.; Bozzoli, P.; Felice, P. Radiographic Analysis of a Transalveolar Sinus-lift Technique: A Multipractice Retrospective Study with a Mean Follow-up of 5 Years. J. Periodontol. 2013, 84, 1039–1047. [Google Scholar] [CrossRef] [PubMed]
- Better, H.; Slavescu, D.; Barbu, H.; Cochran, D.L.; Chaushu, G. Minimally Invasive Sinus Lift Implant Device: A Multicenter Safety and Efficacy Trial Preliminary Results. Clin. Implant. Dent. Relat. Res. 2014, 16, 520–526. [Google Scholar] [CrossRef] [PubMed]
- Ye, M.; Liu, W.; Cheng, S.; Yan, L. Outcomes of Implants Placed after Osteotome Sinus Floor Elevation without Bone Grafts: A Systematic Review and Meta-Analysis of Single-Arm Studies. Int. J. Implant. Dent. 2021, 7, 72. [Google Scholar] [CrossRef] [PubMed]
- Stacchi, C.; Bernardello, F.; Spinato, S.; Mura, R.; Perelli, M.; Lombardi, T.; Troiano, G.; Canullo, L. Intraoperative Complications and Early Implant Failure after Transcrestal Sinus Floor Elevation with Residual Bone Height ≤5 Mm: A Retrospective Multicenter Study. Clin. Oral. Implants Res. 2022, 33, 783–791. [Google Scholar] [CrossRef]
- Schiavo-Di Flaviano, V.; Egido-Moreno, S.; González-Navarro, B.; Velasco-Ortega, E.; López-López, J.; Monsalve-Guil, L. Influence of Schneiderian Membrane Perforation on Implant Survival Rate: Systematic Review and Meta-Analysis. J. Clin. Med. 2024, 13, 3751. [Google Scholar] [CrossRef] [PubMed]
- Ke, Y.; Xuan, G. Does Sinus Membrane Thickness Influence the Risk of Perforation during Lateral Sinus Lift Surgery for Dental Implants? A Systematic Review and Meta-Analysis. Med. Oral. Patol. Oral. Cir. Bucal 2024, 29, e568–e574. [Google Scholar] [CrossRef]
- Lin, Y.-H.; Yang, Y.-C.; Wen, S.-C.; Wang, H.-L. The Influence of Sinus Membrane Thickness upon Membrane Perforation during Lateral Window Sinus Augmentation. Clin. Oral. Implants Res. 2016, 27, 612–617. [Google Scholar] [CrossRef] [PubMed]
- Reis, A.; Kossatz, S.; Martins, G.C.; Loguercio, A.D. Efficacy of and Effect on Tooth Sensitivity of In-Office Bleaching Gel Concentrations: A Randomized Clinical Trial. Oper. Dent. 2013, 38, 386–393. [Google Scholar] [CrossRef]


| Variable | Specifications | N 1 | % 2 |
|---|---|---|---|
| Participants | 91 | 100 | |
| Gender | Male | 42 | 46.1 |
| Female | 49 | 53.9 | |
| History of periodontitis | 14 | 15.4 | |
| Smokers | 21 | 23.1 | |
| Systemic diseases | 24 | 26.4 |
| Variable | Specifications | N 1 | % 2 |
|---|---|---|---|
| Implants placed | 107 | 100 | |
| Implant diameter | 4 mm | 102 | 95.3 |
| 5 mm | 5 | 4.7 | |
| Implant length | 5.8 mm | 2 | 1.9 |
| 10 mm | 55 | 51.4 | |
| 11.5 mm | 16 | 14.9 | |
| 12 mm | 34 | 31.8 | |
| Biomaterials | None | 2 | 2.2 |
| Porcine collagen | 38 | 41.8 | |
| Porcine collagen + β-TCP 3 | 28 | 30.8 | |
| Porcine collagen + mineralized bovine bone | 12 | 13.2 | |
| β-TCP | 11 | 12.1 |
| Variable | Specifications | MBL 1 (mm) | p-Value |
|---|---|---|---|
| Age | ≤54 years | 1.14 ± 0.71 | 0.6798 |
| 55–64 years | 1.26 ± 0.67 | ||
| ≥65 years | 1.08 ± 0.72 | ||
| Total | 1.16 ± 0.72 | ||
| Gender | Male | 1.17 ± 0.79 | 0.8386 |
| Female | 1.15 ± 0.71 | ||
| Total | 1.16 ± 0.72 | ||
| History of periodontitis | Yes | 1.16 ± 0.68 | 0.8154 |
| No | 1.15 ± 0.80 | ||
| Total | 1.16 ± 0.72 | ||
| Smokers | Yes | 1.18 ± 0.79 | 0.8570 |
| No | 1.15 ± 0.67 | ||
| Total | 1.16 ± 0.72 | ||
| Medical history | Yes | 1.04 ± 0.55 | 0.3626 |
| No | 1.12 ± 0.74 | ||
| Total | 1.16 ± 0.72 | ||
| Implant system | Osseotite® (Biomet 3iTM, Palm Beach Gardens, FL, USA) | 1.22 ± 0.64 | 0.4479 |
| IPX® (GalimplantTM, Sarria, Spain) | 1.15 ± 0.72 | ||
| Tapered Self Thread® (Hi-TecTM, Herzlia, Israel) | 1.15 ± 0.74 | ||
| Premium Kohno® (Sweden-MartinaTM, Padua, Italy) | 1.15 ± 0.73 | ||
| Implant diameter | 4 mm | 1.16 ± 0.69 | 0.6700 |
| 5 mm | 1.10 ± 0.93 | ||
| Total | 1.16 ± 0.72 | ||
| Implant length | 8.5 mm | 0.50 ± 0.43 | 0.7686 |
| 10 mm | 1.15 ± 0.73 | ||
| 11.5 m | 1.24 ± 0.66 | ||
| 12 mm | 1.18 ± 0.63 | ||
| Prostheses | Single crowns | 1.10 ± 0.67 | 0.5385 |
| Fixed bridges | 1.19 ± 0.70 | ||
| Ball overdentures | 1.26 ± 0.64 | ||
| Total | 1.16 ± 0.72 | ||
| Follow-up | ≤96 months | 1.13 ± 0.64 | 0.6421 |
| >96 months | 1.20 ± 0.77 | ||
| Total | 1.16 ± 0.72 |
| Variable | Specifications | N 1 | % 2 |
|---|---|---|---|
| Schneiderian membrane perforation | 7 | 7.7 | |
| Postoperative complications | 8 | 8.8 | |
| Dental implant loss | 3 | 3.3 | |
| Biologic complications (peri-implantitis) | Patient level | 8 | 8.8 |
| Dental implant level | 10 | 9.3 | |
| Smokers | 5 | 62.5 | |
| Prosthetic complications | Loosening | 5 | 5.5 |
| Debonding of the fixed prosthesis | 1 | 1.1 | |
| Mean MBL 3 = 1.16 ± 0.72 mm (0.5 to 2.6 mm) | |||
Disclaimer/Publisher’s Note: The statements, opinions and data contained in all publications are solely those of the individual author(s) and contributor(s) and not of MDPI and/or the editor(s). MDPI and/or the editor(s) disclaim responsibility for any injury to people or property resulting from any ideas, methods, instructions or products referred to in the content. |
© 2025 by the authors. Licensee MDPI, Basel, Switzerland. This article is an open access article distributed under the terms and conditions of the Creative Commons Attribution (CC BY) license (https://creativecommons.org/licenses/by/4.0/).
Share and Cite
Jiménez-Guerra, Á.; Velasco-Ortega, E.; Matos-Garrido, N.; Ortiz-García, I.; Moreno-Muñoz, J.; Núñez-Márquez, E.; Rondón-Romero, J.-L.; Kewalramani, N.; Salgado-Peralvo, Á.-O.; Monsalve-Guil, L. Long-Term Clinical Outcomes of Transalveolar Maxillary Sinus Floor Elevation with Rotatory Instruments: An 8-Year Follow-Up Prospective Clinical Study. J. Clin. Med. 2025, 14, 365. https://doi.org/10.3390/jcm14020365
Jiménez-Guerra Á, Velasco-Ortega E, Matos-Garrido N, Ortiz-García I, Moreno-Muñoz J, Núñez-Márquez E, Rondón-Romero J-L, Kewalramani N, Salgado-Peralvo Á-O, Monsalve-Guil L. Long-Term Clinical Outcomes of Transalveolar Maxillary Sinus Floor Elevation with Rotatory Instruments: An 8-Year Follow-Up Prospective Clinical Study. Journal of Clinical Medicine. 2025; 14(2):365. https://doi.org/10.3390/jcm14020365
Chicago/Turabian StyleJiménez-Guerra, Álvaro, Eugenio Velasco-Ortega, Nuno Matos-Garrido, Iván Ortiz-García, Jesús Moreno-Muñoz, Enrique Núñez-Márquez, José-Luis Rondón-Romero, Naresh Kewalramani, Ángel-Orión Salgado-Peralvo, and Loreto Monsalve-Guil. 2025. "Long-Term Clinical Outcomes of Transalveolar Maxillary Sinus Floor Elevation with Rotatory Instruments: An 8-Year Follow-Up Prospective Clinical Study" Journal of Clinical Medicine 14, no. 2: 365. https://doi.org/10.3390/jcm14020365
APA StyleJiménez-Guerra, Á., Velasco-Ortega, E., Matos-Garrido, N., Ortiz-García, I., Moreno-Muñoz, J., Núñez-Márquez, E., Rondón-Romero, J.-L., Kewalramani, N., Salgado-Peralvo, Á.-O., & Monsalve-Guil, L. (2025). Long-Term Clinical Outcomes of Transalveolar Maxillary Sinus Floor Elevation with Rotatory Instruments: An 8-Year Follow-Up Prospective Clinical Study. Journal of Clinical Medicine, 14(2), 365. https://doi.org/10.3390/jcm14020365

