Echocardiographic and Point-of-Care Ultrasonography (POCUS) Guidance in the Management of the ECMO Patient
Abstract
1. Introduction
2. Pre-ECMO Assessment
3. Procedural/Cannulation Guidance
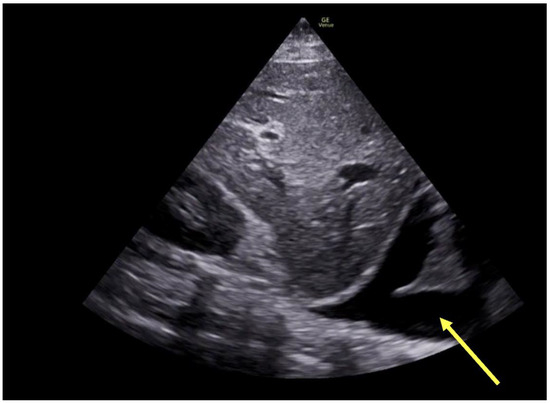
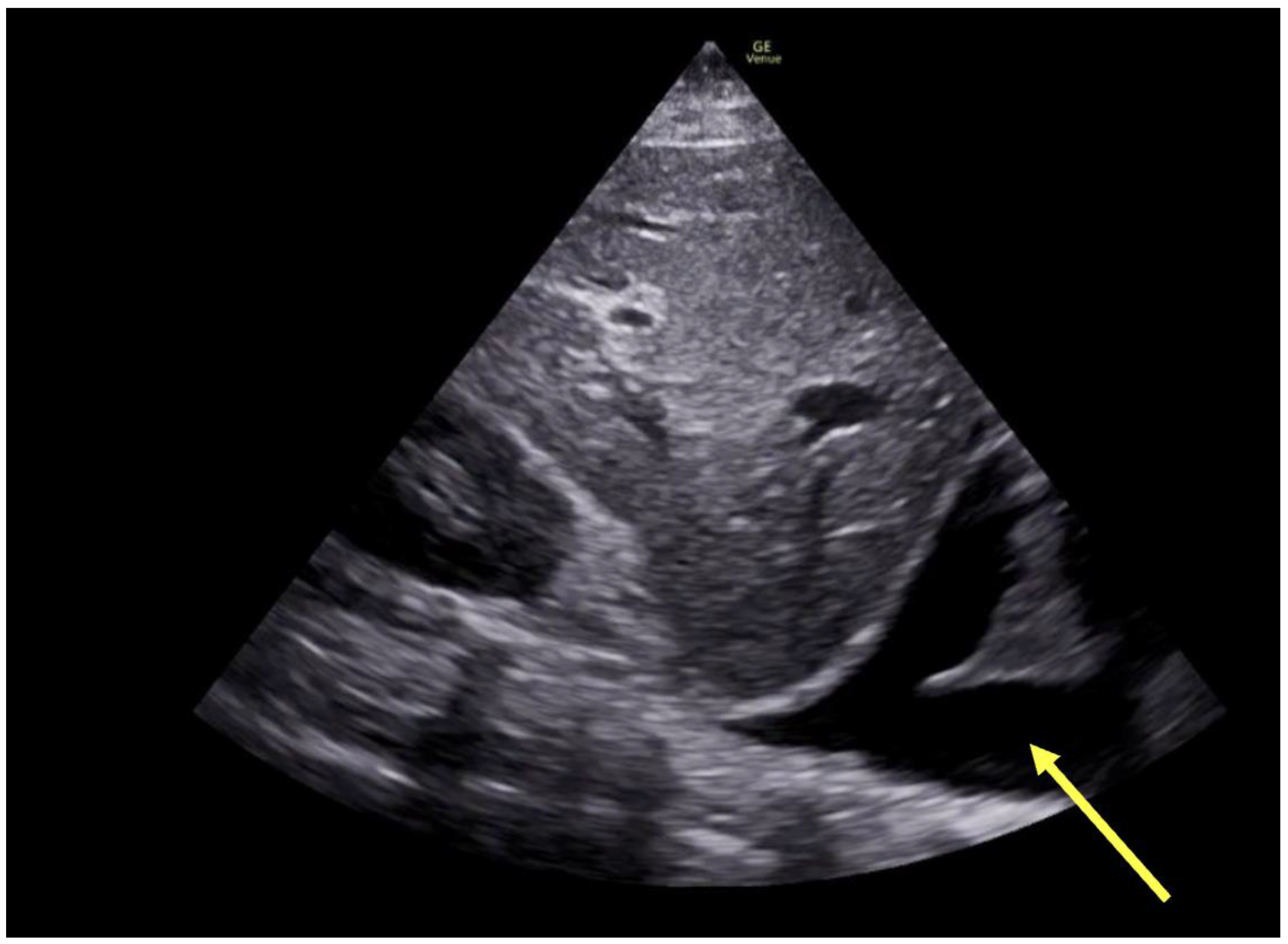
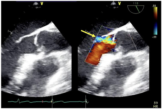
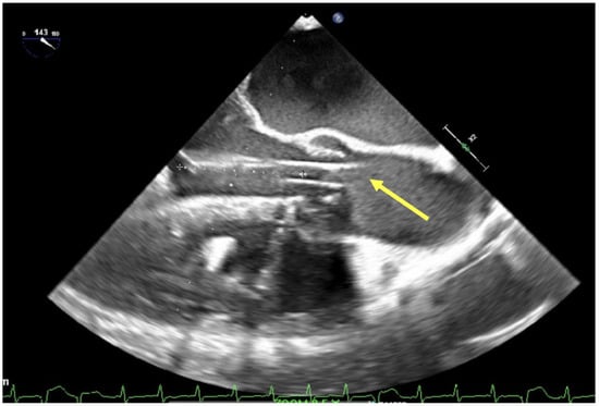
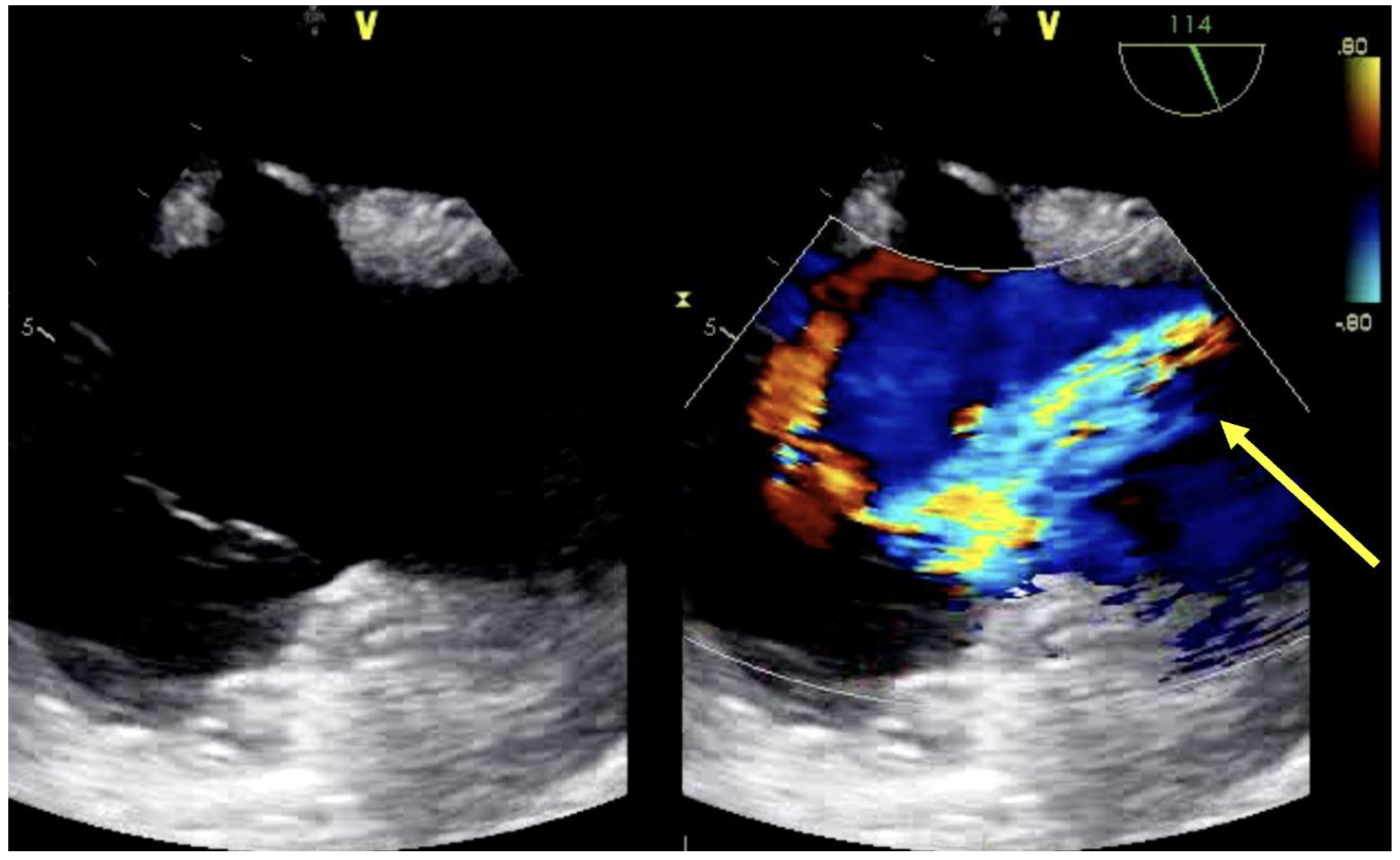
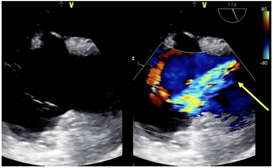
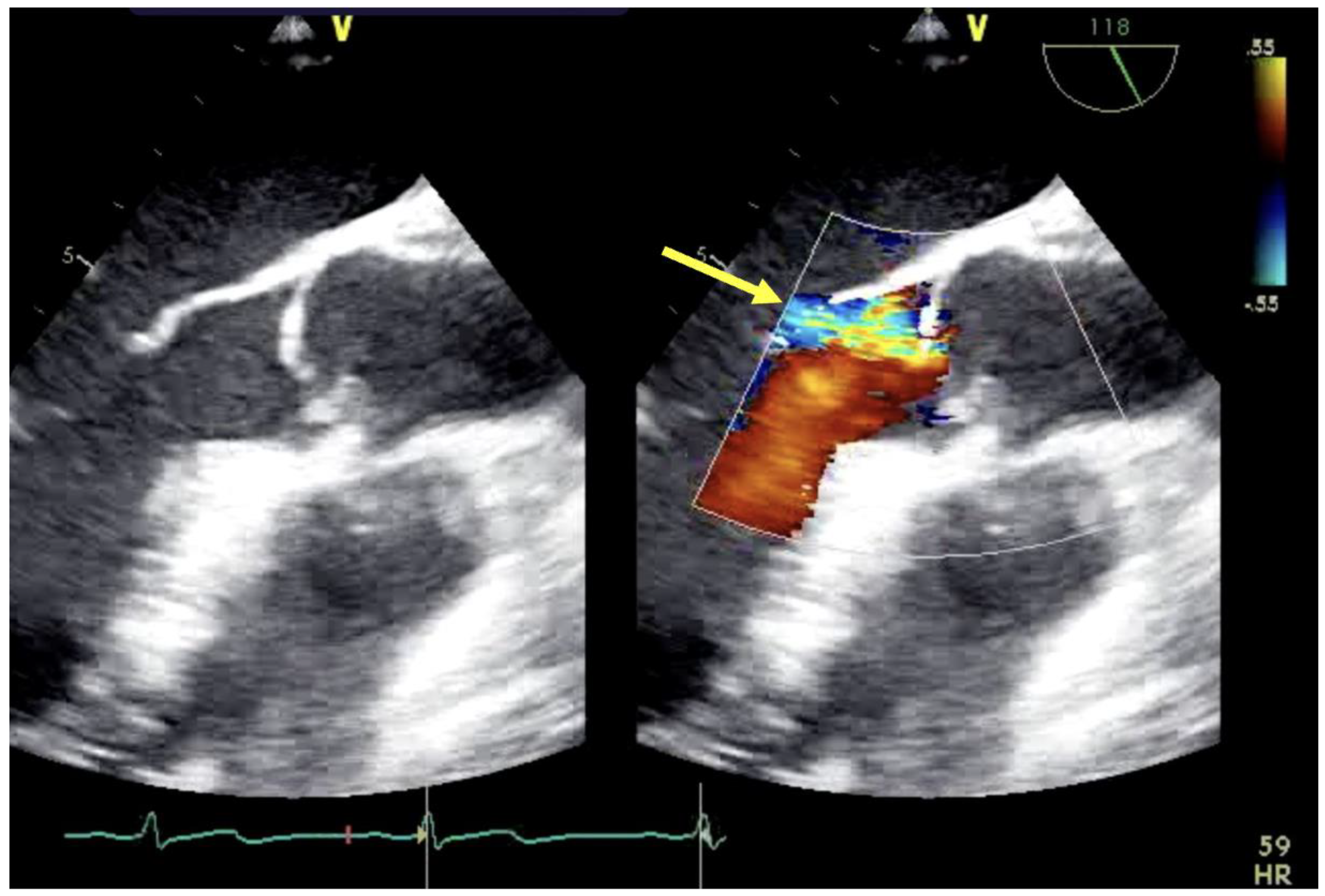
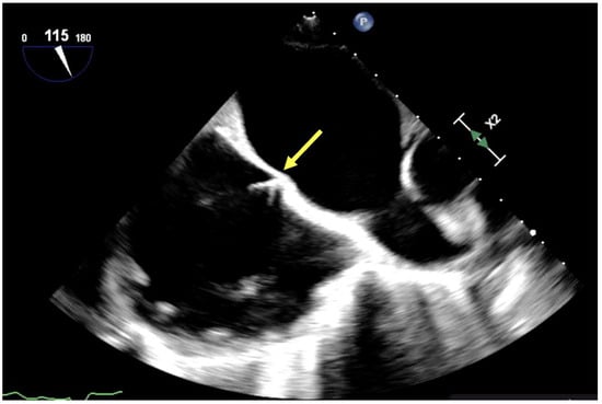
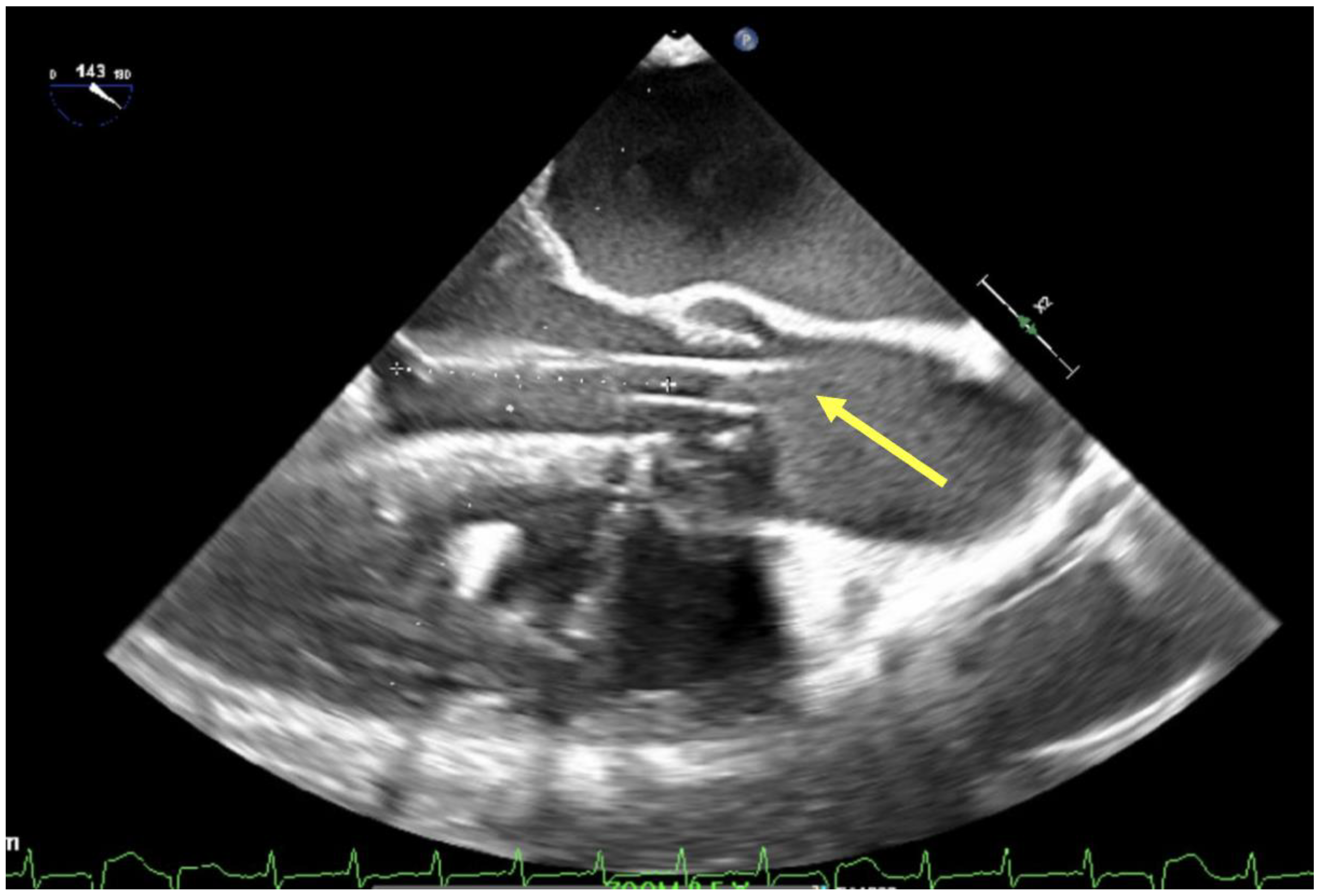
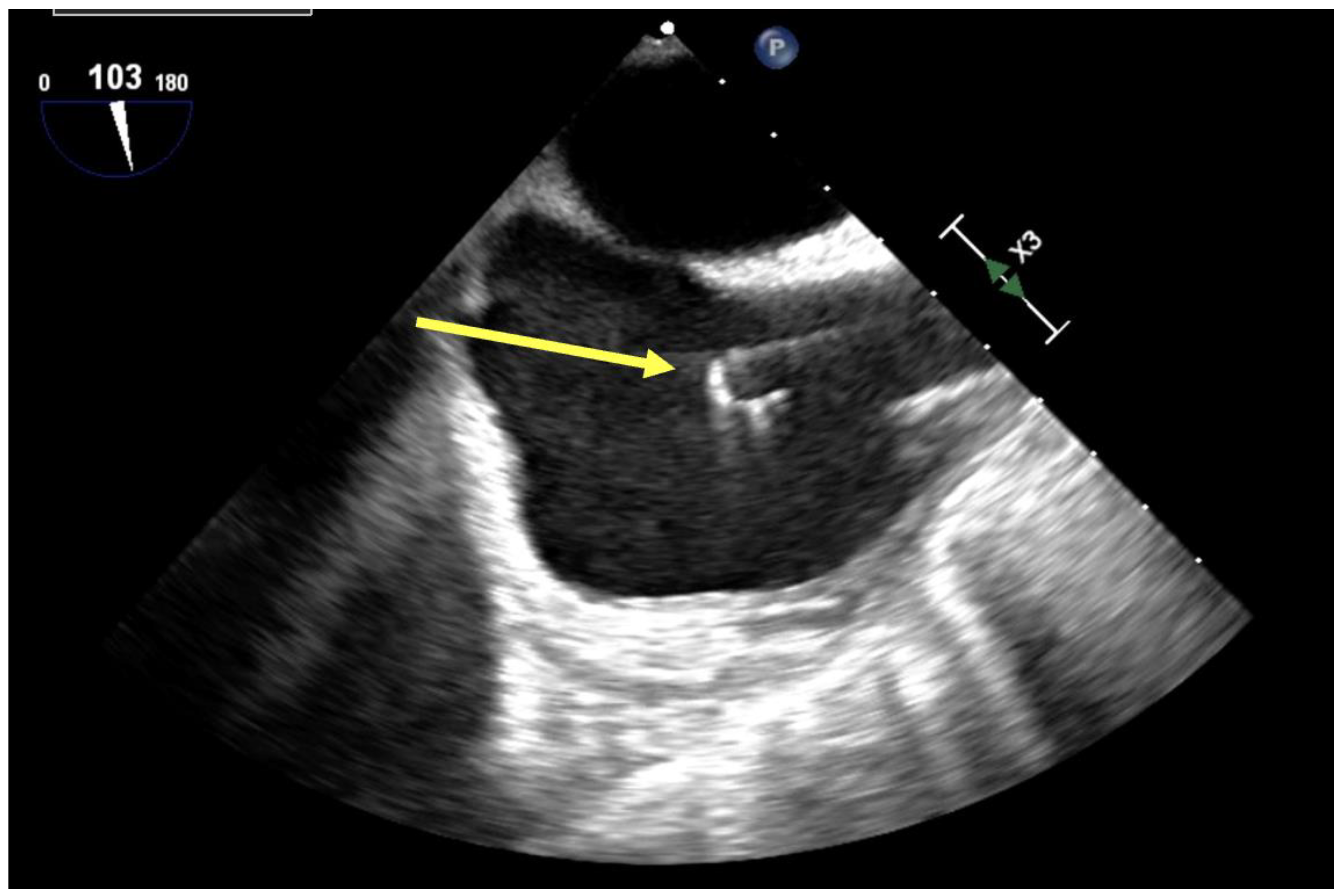
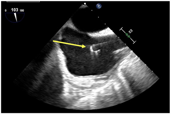
3.1. Echo Considerations
3.2. Dual-Lumen Considerations
3.3. Peri-Cannulation Support
4. Monitoring of ECMO
4.1. V-A
4.2. V-V
5. ECMO Weaning
5.1. V-A
5.2. V-V
6. Conclusions and Future Directions
Author Contributions
Funding
Conflicts of Interest
References
- ELSO. ECLS Registry Report: International Summary 2023. 2023. Available online: https://www.elso.org/registry/internationalsummaryandreports/internationalsummary.aspx (accessed on 12 January 2024).
- Lorusso, R.; Shekar, K.; MacLaren, G.; Schmidt, M.; Pellegrino, V.; Meyns, B.; Haft, J.; Vercaemst, L.; Pappalardo, F.; Bermudez, C.; et al. ELSO interim guidelines for venoarterial extracorporeal membrane oxygenation in adult cardiac patients. ASAIO J. 2021, 67, 827–844. [Google Scholar] [CrossRef]
- Tonna, J.E.; Abrams, D.; Brodie, D.; Greenwood, J.C.; Mateo-Sidron, J.A.R.; Usman, A.; Fan, E. Management of adult patients supported with venovenous extracorporeal membrane oxygenation (VV ECMO): Guideline from the extracorporeal life support organization (ELSO). ASAIO J. 2021, 67, 601–610. [Google Scholar] [CrossRef] [PubMed]
- Thiagarajan, R.R.; Barbaro, R.P.; Rycus, P.T.; Mcmullan, D.M.; Conrad, S.A.; Fortenberry, J.D.; Paden, M.L. Extracorporeal life support organization registry international report 2016. ASAIO J. 2016, 63, 60–67. [Google Scholar] [CrossRef]
- Brogan, T.V.; Lequier, L.; Lorusso, R.; Maclaren, G.; Peek, G. Extracorporeal Life Support: The Elso Red Book. Extracorporeal Life Support Organization. 2017. Available online: https://explore.openaire.eu/search/result?id=narcis______::2ffe35a1296ee89ba31d437893feb84d (accessed on 10 January 2024).
- Jia, D.M.; Yang, I.X.M.; Ling, R.R.M.; Syn, N.M.; Poon, W.H.M.; Murughan, K.; Tan, C.S.; Choong, A.M.T.L.P.; MacLaren, G.M.; Ramanathan, K.F. Vascular complications of extracorporeal membrane oxygenation: A systematic review and meta-regression analysis. Crit. Care Med. 2020, 48, e1269–e1277. [Google Scholar] [CrossRef] [PubMed]
- Bonicolini, E.; Martucci, G.; Simons, J.; Raffa, G.M.; Spina, C.; Coco, V.L.; Arcadipane, A.; Pilato, M.; Lorusso, R. Limb ischemia in peripheral veno-arterial extracorporeal membrane oxygenation: A narrative review of incidence, prevention, monitoring, and treatment. Crit. Care 2019, 23, 266. [Google Scholar] [CrossRef] [PubMed]
- Zawadka, M.; La Via, L.; Wong, A.; Olusanya, O.; Muscarà, L.; Continella, C.; Andruszkiewicz, P.; Sanfilippo, F. Real-time ultrasound guidance as compared with landmark technique for subclavian central venous cannulation: A systematic review and meta-analysis with trial sequential analysis. Crit. Care Med. 2023, 51, 642–652. [Google Scholar] [CrossRef]
- Imai, E.; Kataoka, Y.; Watanabe, J.; Okano, H.; Namekawa, M.; Owada, G.; Matsui, Y.; Yokozuka, M. Ultrasound-guided central venous catheterization around the neck: Systematic review and network meta-analysis. Am. J. Emerg. Med. 2024, 78, 206–214. [Google Scholar] [CrossRef]
- Chen, Y.; Chen, J.; Liu, C.; Xu, Z.; Chen, Y. Impact factors of POCUS-guided cannulation for peripheral venoarterial extracorporeal membrane oxygenation: One single-center retrospective clinical analysis. Medicine 2022, 101, e29489. [Google Scholar] [CrossRef] [PubMed]
- Martin-Villen, L.; Martin-Bermudez, R.; Perez-Chomon, H.; Fuset Cabanes, M.P. Role of ultrasound in the critical ill patient with ECMO. Med. Intensiv. 2024, 48, 46–55. [Google Scholar] [CrossRef]
- Bouferrache, K.; Vieillard-Baron, A. Acute respiratory distress syndrome, mechanical ventilation, and right ventricular function. Curr. Opin. Crit. Care 2011, 17, 30–35. [Google Scholar] [CrossRef]
- Huang, S.; Vieillard-Baron, A.; Evrard, B.; Prat, G.; Chew, M.S.; Balik, M.; Clau-Terré, F.; De Backer, D.; Dessap, A.M.; Orde, S.; et al. Echocardiography phenotypes of right ventricular involvement in COVID-19 ARDS patients and ICU mortality: Post-hoc (exploratory) analysis of repeated data from the ECHO-COVID study. Intensiv. Care Med. 2023, 49, 946–956. [Google Scholar] [CrossRef] [PubMed]
- Bhagyalakshmi, V.; Murphy, D. Ultrasound Guidance for Extra-Corporeal Membrane Oxygenation General Guidelines. 2015. Available online: https://www.elso.org/portals/0/files/elso_ultrasoundguideance_ecmogeneral_guidelines_may2015.pdf (accessed on 12 January 2024).
- Salazar, P.A.; Blitzer, D.; Dolejs, S.C.; Parent, J.J.; Gray, B.W. Echocardiographic guidance during neonatal and pediatric jugular cannulation for ECMO. J. Surg. Res. 2018, 232, 517–523. [Google Scholar] [CrossRef] [PubMed]
- Moscatelli, A.; Pezzato, S.; Buratti, S.; Lampugnani, E.; Di Mascio, A.; Damasio, M.B.; Caorsi, R.; Gattorno, M.; Castagnola, E. COVID-19 Pneumomediastinum: Possible role of transesophageal echo in bedside percutaneous bicaval double-lumen ECMO cannulation in children. A Case Report. Front. Pediatr. 2021, 9, 740853. [Google Scholar] [CrossRef] [PubMed]
- Ahn, H.J.; Lee, J.W.; Joo, K.H.; You, Y.H.; Ryu, S.; Lee, J.W.; Kim, S.W. Point-of-care ultrasound–guided percutaneous cannulation of extracorporeal membrane oxygenation: Make it simple. J. Emerg. Med. 2018, 54, 507–513. [Google Scholar] [CrossRef] [PubMed]
- Voicu, S.; Henry, P.; Malissin, I.; Dillinger, J.-G.; Koumoulidis, A.; Magkoutis, N.; Yannopoulos, D.; Logeart, D.; Manzo-Silberman, S.; Péron, N.; et al. Improving cannulation time for extracorporeal life support in refractory cardiac arrest of presumed cardiac cause—Comparison of two percutaneous cannulation techniques in the catheterization laboratory in a center without on-site cardiovascular surgery. Resuscitation 2018, 122, 69–75. [Google Scholar] [CrossRef]
- Togo, K.; Takewa, Y.; Katagiri, N.; Fujii, Y.; Kishimoto, S.; Date, K.; Miyamoto, Y.; Tatsumi, E. Impact of bypass flow rate and catheter position in veno-venous extracorporeal membrane oxygenation on gas exchange in vivo. J. Artif. Organs 2014, 18, 128–135. [Google Scholar] [CrossRef] [PubMed]
- Cha, S.; Kim, B.S.; Ha, J.S.; Bush, E.L. How to do it: A safe bedside protocol for dual-lumen right internal jugular cannulation for venovenous extracorporeal membrane oxygenation in COVID-19 patients with severe acute respiratory distress syndrome. ASAIO J. 2022, 69, 31–35. [Google Scholar] [CrossRef] [PubMed]
- Lashin, H.; Shepherd, S.; Smith, A. Contrast-enhanced echocardiography application in patients supported by extracorporeal membrane oxygenation (ECMO): A narrative review. J. Cardiothorac. Vasc. Anesth. 2022, 36, 2080–2089. [Google Scholar] [CrossRef] [PubMed]
- Hemamalini, P.; Dutta, P.; Attawar, S. Transesophageal echocardiography compared to fluoroscopy for avalon bicaval dual-lumen cannula positioning for venovenous ECMO. Ann. Card. Anaesth. 2020, 23, 283–287. [Google Scholar] [CrossRef]
- Griffee, M.J.; Zimmerman, J.M.; McKellar, S.H.; Tonna, J.E. Echocardiography-guided dual-lumen venovenous extracorporeal membrane oxygenation cannula placement in the ICU—A retrospective review. J. Cardiothorac. Vasc. Anesth. 2020, 34, 698–705. [Google Scholar] [CrossRef]
- Castro, D.M.; Abdelnour-Berchtold, E.; Urner, M.; Dragoi, L.; Cypel, M.; Fan, E.; Douflé, G. Transesophageal echocardiography-guided extracorporeal membrane oxygenation cannulation in COVID-19 patients. J. Cardiothorac. Vasc. Anesth. 2022, 36, 4296–4304. [Google Scholar] [CrossRef] [PubMed]
- Levitov, A.; Frankel, H.L.; Blaivas, M.; Kirkpatrick, A.W.; Su, E.; Evans, D.; Summerfield, D.T.; Slonim, A.; Breitkreutz, R.; Price, S.; et al. Guidelines for the appropriate use of bedside general and cardiac ultrasonography in the evaluation of critically Ill patients—Part II: Cardiac ultrasonography. Crit. Care Med. 2016, 44, 1206–1227. [Google Scholar] [CrossRef] [PubMed]
- Lichtenstein, D.A. BLUE-protocol and FALLS-protocol. Chest 2015, 147, 1659–1670. [Google Scholar] [CrossRef] [PubMed]
- Russ, M.; Steiner, E.; Boemke, W.; Busch, T.; Melzer-Gartzke, C.; Taher, M.; Badulak, J.; Weber-Carstens, S.; Swenson, E.R.; Francis, R.C.; et al. Extracorporeal membrane oxygenation blood flow and blood recirculation compromise thermodilution-based measurements of cardiac output. ASAIO J. 2021, 68, 721–729. [Google Scholar] [CrossRef] [PubMed]
- Hussey, P.T.; von Mering, G.; Nanda, N.C.; Ahmed, M.I.; Addis, D.R. Echocardiography for extracorporeal membrane oxygenation. Echocardiography 2023, 39, 339–370. [Google Scholar] [CrossRef] [PubMed]
- Platts, D.G.; McDonald, C.; Shekar, K.; Burstow, D.J.; Mullany, D.; Ziegenfuss, M.; Diab, S.; Fraser, J.F. Quantification of perflutren microsphere contrast destruction during transit through an ex vivo extracorporeal membrane oxygenation circuit. Intensiv. Care Med. Exp. 2016, 4, 7. [Google Scholar] [CrossRef]
- Faletra, F.F.; Pedrazzini, G.; Pasotti, E.; Muzzarelli, S.; Dequarti, M.C.; Murzilli, R.; Schlossbauer, S.A.; Slater, I.P.; Moccetti, T. 3D TEE during catheter-based interventions. JACC Cardiovasc. Imaging 2014, 7, 292–308. [Google Scholar] [CrossRef] [PubMed]
- Nishi, T.; Ishii, M.; Tsujita, K.; Okamoto, H.; Koto, S.; Nakai, M.; Sumita, Y.; Iwanaga, Y.; Matoba, S.; Kobayashi, Y.; et al. Outcomes of venoarterial extracorporeal membrane oxygenation plus intra-aortic balloon pumping for treatment of acute myocardial infarction complicated by cardiogenic shock. J. Am. Heart Assoc. 2022, 11, e023713. [Google Scholar] [CrossRef] [PubMed]
- Xu, B.; Li, C.; Cai, T.; Cui, Y.; Du, Z.; Fan, Q.; Guo, D.; Jiang, C.; Xing, Z.; Xin, M.; et al. Intra-aortic balloon pump impacts the regional haemodynamics of patients with cardiogenic shock treated with femoro-femoral veno-arterial extracorporeal membrane oxygenation. ESC Heart Fail. 2022, 9, 2610–2617. [Google Scholar] [CrossRef]
- Klopman, M.A.; Chen, E.P.; Sniecinski, R.M. Positioning an intraaortic balloon pump using intraoperative transesophageal echocardiogram guidance. Obstet. Anesth. Dig. 2011, 113, 40–43. [Google Scholar] [CrossRef]
- Kuckelman, J.; Coffey, P.; Sharkawi, M.; Bailey, C.; Hiner, E.; Patel, V. ECPELLA: Beyond a left ventricular venting strategy when to unload the left ventricle and how to decide. ASAIO J. 2024. Online-ahead of print. [Google Scholar] [CrossRef] [PubMed]
- Crowley, J.; Cronin, B.; Essandoh, M.; D’Alessandro, D.; Shelton, K.; Dalia, A.A. transesophageal echocardiography for impella placement and management. J. Cardiothorac. Vasc. Anesth. 2019, 33, 2663–2668. [Google Scholar] [CrossRef] [PubMed]
- Fields, J.M.; Davis, J.; Girson, L.; Au, A.; Potts, J.; Morgan, C.J.; Vetter, I.; Riesenberg, L.A. Transthoracic echocardiography for diagnosing pulmonary embolism: A systematic review and meta-analysis. J. Am. Soc. Echocardiogr. 2017, 30, 714–723.e4. [Google Scholar] [CrossRef] [PubMed]
- Barrosse-Antle, M.E.; Patel, K.H.; Kramer, J.A.; Baston, C.M. Point-of-Care ultrasound for bedside diagnosis of lower extremity DVT. Chest 2021, 160, 1853–1863. [Google Scholar] [CrossRef]
- Ghoreishi, M.; DiChiacchio, L.; Pasrija, C.; Ghazi, A.; Deatrick, K.B.; Jeudy, J.; Griffith, B.P.; Kon, Z.N. Predictors of recovery in patients supported with venoarterial extracorporeal membrane oxygenation for acute massive pulmonary embolism. Ann. Thorac. Surg. 2020, 110, 70–75. [Google Scholar] [CrossRef] [PubMed]
- Tran, D.; Hays, N.; Shah, A.; Pasrija, C.; Cires-Drouet, R.S.; Toursavadkohi, S.A.; Mazzeffi, M.A.; Herr, D.L.; Madathil, R.J.; Gammie, J.S.; et al. Ultrasound-assisted catheter directed thrombolysis for pulmonary embolus during extracorporeal membrane oxygenation. J. Card. Surg. 2021, 36, 2685–2691. [Google Scholar] [CrossRef]
- Lazzeri, C.; Cianchi, G.; Bonizzoli, M.; Batacchi, S.; Peris, A.; Gensini, G.F. The potential role and limitations of echocardiography in acute respiratory distress syndrome. Ther. Adv. Respir. Dis. 2016, 10, 136–148. [Google Scholar] [CrossRef] [PubMed]
- Muñoz-Rodríguez, R.; García-González, M.J.; Jorge-Pérez, P.; Martín-Cabeza, M.M.; Izquierdo-Gómez, M.M.; Marí-López, B.; Duque-González, M.A.; Barragán-Acea, A.; Lacalzada-Almeida, J. Ultrasound assessment in cardiogenic shock weaning: A review of the state of the art. J. Clin. Med. 2021, 10, 5108. [Google Scholar] [CrossRef] [PubMed]
- Douflé, G.; Roscoe, A.; Billia, F.; Fan, E. Echocardiography for adult patients supported with extracorporeal membrane oxygenation. Crit. Care 2015, 19, 326. [Google Scholar] [CrossRef]
- Kawaji, Q.; Rostami, S.; Whitman, G.J.; Broderick, S.R.; Aziz, H.; Cha, S.L. Bivalirudin and venoarterial extracorporeal membrane oxygenation for treatment of massive pulmonary embolism from heparin-induced thrombocytopenia with thrombosis. J. Cardiothorac. Vasc. Anesth. 2023, 37, 777–781. [Google Scholar] [CrossRef]
- Maw, A.M.; Hassanin, A.; Ho, P.M.; McInnes, M.D.F.; Moss, A.; Juarez-Colunga, E.; Soni, N.J.; Miglioranza, M.H.; Platz, E.; DeSanto, K.; et al. Diagnostic accuracy of point-of-care lung ultrasonography and chest radiography in adults with symptoms suggestive of acute decompensated heart failure. JAMA Netw. Open 2019, 2, e190703. [Google Scholar] [CrossRef] [PubMed]
- Díaz-Gómez, J.L.; Via, G.; Ramakrishna, H. Focused cardiac and lung ultrasonography: Implications and applicability in the perioperative period. Rom. J. Anaesth. Intensiv. Care 2016, 23, 41–54. [Google Scholar] [CrossRef] [PubMed]
- Curry, S.; Tan, A.; Gargani, L.; Ng, O.; Roscoe, A.; Salaunkey, K.; Agrawal, B.; Vuylsteke, A.; Fowles, J.-A.; Rubino, A. Lung ultrasound and the role of lung aeration score in patients with acute respiratory distress syndrome on extracorporeal membrane oxygenation. Int. J. Artif. Organs 2021, 44, 854–860. [Google Scholar] [CrossRef] [PubMed]
- Ntoumenopoulos, G.; Buscher, H.; Scott, S. Lung ultrasound score as an indicator of dynamic lung compliance during veno-venous extra-corporeal membrane oxygenation. Int. J. Artif. Organs 2021, 44, 194–198. [Google Scholar] [CrossRef] [PubMed]
- Møller-Sørensen, H.; Gjedsted, J.; Jørgensen, V.L.; Hansen, K.L. COVID-19 assessment with bedside lung ultrasound in a population of intensive care patients treated with mechanical ventilation and ECMO. Diagnostics 2020, 10, 447. [Google Scholar] [CrossRef] [PubMed]
- Wu, H.-L.; Zhou, S.-J.; Chen, X.-H.; Cao, H.; Zheng, Y.-R.; Chen, Q. Lung ultrasound score for monitoring the withdrawal of extracorporeal membrane oxygenation on neonatal acute respiratory distress syndrome. Heart Lung 2024, 63, 9–12. [Google Scholar] [CrossRef]
- Lu, X.; Arbelot, C.; Schreiber, A.; Langeron, O.; Monsel, A.; Lu, Q. Ultrasound assessment of lung aeration in subjects supported by venovenous extracorporeal membrane oxygenation. Respir. Care 2019, 64, 1478–1487. [Google Scholar] [CrossRef]








| Pre-Cannulation | Cannulation | Post-Cannulation (Monitoring) |
|---|---|---|
| Assessment of biventricular function | Guidance of guidewire and cannula(s) placement | Assessment of biventricular function |
| Assessment for severe aortic insufficiency | Guidance of LV vent placement | Assessment of LV unloading |
| Assessment of peripheral vasculature for size, disease, thrombus | Assessment for vascular or intracardiac injury (dissection, tamponade) | Assessment of aortic mixing point |
| Evaluation for pericardial fluid | Assessment for resolution of cardiogenic shock (i.e., RV failure, resolution of pulmonary artery thrombus) | |
| Assessment for aortic dissection, thrombus |
| Pre-Cannulation | Cannulation | Post-Cannulation (Monitoring) |
|---|---|---|
| Assessment of biventricular function | Guidance of guidewire and cannula(s) placement | Assessment of RV function |
| Assessment of tricuspid valve disease | Assessment for vascular or intracardiac injury (RV puncture, tamponade), tension pneumothorax, hemothorax | Assessment of lung aeration and/or new lung pathologies |
| Assessment of peripheral vasculature for size, disease, thrombus | Assessment of return (outflow) “jet” | Confirmation of cannula position |
| Evaluation for pericardial fluid | Guidance for cannula repositioning | |
| Assessment for aortic dissection, thrombus |
Disclaimer/Publisher’s Note: The statements, opinions and data contained in all publications are solely those of the individual author(s) and contributor(s) and not of MDPI and/or the editor(s). MDPI and/or the editor(s) disclaim responsibility for any injury to people or property resulting from any ideas, methods, instructions or products referred to in the content. |
© 2024 by the authors. Licensee MDPI, Basel, Switzerland. This article is an open access article distributed under the terms and conditions of the Creative Commons Attribution (CC BY) license (https://creativecommons.org/licenses/by/4.0/).
Share and Cite
Cha, S.; Kostibas, M.P. Echocardiographic and Point-of-Care Ultrasonography (POCUS) Guidance in the Management of the ECMO Patient. J. Clin. Med. 2024, 13, 2630. https://doi.org/10.3390/jcm13092630
Cha S, Kostibas MP. Echocardiographic and Point-of-Care Ultrasonography (POCUS) Guidance in the Management of the ECMO Patient. Journal of Clinical Medicine. 2024; 13(9):2630. https://doi.org/10.3390/jcm13092630
Chicago/Turabian StyleCha, Stephanie, and Megan P. Kostibas. 2024. "Echocardiographic and Point-of-Care Ultrasonography (POCUS) Guidance in the Management of the ECMO Patient" Journal of Clinical Medicine 13, no. 9: 2630. https://doi.org/10.3390/jcm13092630
APA StyleCha, S., & Kostibas, M. P. (2024). Echocardiographic and Point-of-Care Ultrasonography (POCUS) Guidance in the Management of the ECMO Patient. Journal of Clinical Medicine, 13(9), 2630. https://doi.org/10.3390/jcm13092630
