External Auditory Canal Cholesteatoma after Radiation Therapy for Nasopharyngeal Cancer: Case Series and Systematic Review
Abstract
1. Introduction
2. Materials and Methods
2.1. Search Strategy
2.2. Selection Criteria
2.3. Quality Assessment
2.4. Data Extraction
2.5. Biostatistics
3. Results
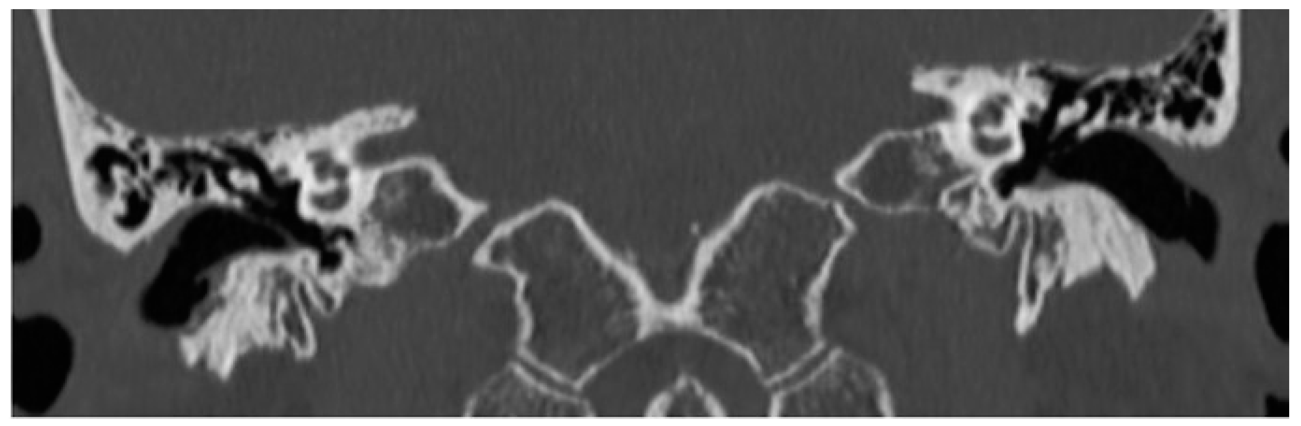
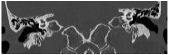
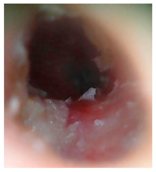
3.1. Patient 1
3.2. Patient 2
3.3. Patient 3
3.4. Systematic Review
3.5. Bias
3.6. Patient Characteristics
4. Discussion
5. Conclusions
Author Contributions
Funding
Institutional Review Board Statement
Informed Consent Statement
Conflicts of Interest
References
- Hn, U.; Prasad, S.C.; Russo, A.; Grinblat, G.; Sanna, M. Cholesteatoma of the External Auditory Canal: Review of Staging and Surgical Strategy. Otol. Neurotol. 2018, 39, 1026–1033. [Google Scholar] [CrossRef]
- Naim, R.; Linthicum, F., Jr.; Shen, T.; Bran, G.; Hormann, K. Classification of the external auditory canal cholesteatoma. Laryngoscope 2005, 115, 455–460. [Google Scholar] [CrossRef]
- Blanchard, P.; Biau, J.; Huguet, F.; Racadot, S.; Berthold, C.; Wong-Hee-Kam, S.; Biston, M.C.; Maingon, P. Radiotherapy for nasopharyngeal cancer. Cancer Radiother. 2022, 26, 168–173. [Google Scholar] [CrossRef]
- Yu, S.S.; Lee, K.J.; Lin, Y.S. External auditory canal cholesteatoma in patients given radiotherapy for nasopharyngeal carcinoma. Head Neck 2015, 37, 1794–1798. [Google Scholar] [CrossRef]
- Toynbee, J.A. Specimen of molluscum contagiosum developed in the external auditory meatus. Lond. Med. Gaz. 1850, 46, 811. [Google Scholar]
- Azeddine, L.; Aabach, A.; Chouai, M.; Elayoubi, F.; Ghailan, M.R. Cholestéatome du méat acoustique externe [External auditory canal cholesteatoma]. Pan Afr. Med. J. 2016, 24, 269. [Google Scholar] [CrossRef]
- Piepergerdes, M.C.; Kramer, B.M.; Behnke, E.E. Keratosis obturans and external auditory canal cholesteatoma. Laryngoscope 1980, 90, 383–391. [Google Scholar] [CrossRef]
- Brook, I. Late side effects of radiation treatment for head and neck cancer. Radiat. Oncol. J. 2020, 38, 84–92. [Google Scholar] [CrossRef]
- Zhang, T.; Dai, C.; Wang, Z. The misdiagnosis of external auditory canal carcinoma. Eur. Arch. Otorhinolaryngol. 2013, 270, 607–613. [Google Scholar] [CrossRef]
- Dongol, K.; Shadiyah, H.; Gyawali, B.R.; Rayamajhi, P.; Pradhananga, R.B. External Auditory Canal Cholesteatoma: Clinical and Radiological Features. Int. Arch. Otorhinolaryngol. 2021, 26, 213–218. [Google Scholar] [CrossRef]
- Page, M.J.; McKenzie, J.E.; Bossuyt, P.M.; Boutron, I.; Hoffmann, T.C.; Mulrow, C.D.; Shamseer, L.; Tetzlaff, J.M.; Akl, E.A.; Brennan, S.E.; et al. The PRISMA 2020 statement: An updated guideline for reporting systematic reviews. BMJ 2021, 372, 71. [Google Scholar] [CrossRef]
- Howick, J.; Chalmers, I.; Glasziou, P.; Greenhalgh, T.; Heneghan, C.; Liberati, A.; Moschetti, I.; Phillips, B.; Thornton, H.; Goddard, O.; et al. OCEBM Levels of Evidence Working Group: The Oxford 2011 Levels of Evidence. Oxford Centre for Evidence-Based Medicine. Available online: http://www.cebm.net/index.aspx?o=5653 (accessed on 29 November 2022).
- Sapmaz, E.; Somuk, B.T.; Soyalıç, H.; Koçak, C.; Gökçe, E. Post-radiotherapy bilateral external auditory canal cholesteatoma. Kulak Burun Bogaz Ihtis. Derg. 2016, 26, 60–63. [Google Scholar] [CrossRef]
- Zahara, D.; Multazar, A. Osteoradionecrosis and cholesteatoma of external auditory canal in post-radiotherapy nasopharyngeal carcinoma patient. Indones. J. Otorhinolaryngol. Head Neck Surg. 2013, 43, 19–25. [Google Scholar]
- Bennett, M.; Kaylie, D.; Warren, F.; Jackson, C.G. Chronic ear surgery in irradiated temporal bones. Laryngoscope 2007, 117, 1240–1244. [Google Scholar] [CrossRef]
- Smouha, E.E.; Karmody, C.S. Non-osteitic complications of therapeutic radiation to the temporal bone. Am. J. Otol. 1995, 16, 83–87. [Google Scholar]
- Kim, C.W.; Baek, S.H.; Lee, S.H.; Kim, G.W.; Cho, B.K. Clinical characteristics of spontaneous cholesteatoma of the external auditory canal in children comparing with cholesteatoma in adults. Eur. Arch. Otorhinolaryngol. 2014, 271, 3179–3185. [Google Scholar] [CrossRef]
- Lin, Y.S. Surgical results of external canal cholesteatoma. Acta Otolaryngol. 2009, 129, 615–623. [Google Scholar] [CrossRef]
- Naim, R.; Riedel, F.; Gotte, K.; Bran, G.; Sadick, H.; Gossler, U.; Hormann, K. Co-expression of different angiogenic factors in external auditory canal cholesteatoma. Acta Otolaryngol. 2004, 124, 563–568. [Google Scholar] [CrossRef]
- Fitzgerald, T.J.; Jodoin, M.B.; Tillman, G.; Aronowitz, J.; Pieters, R.; Balducci, S.; Meyer, J.; Cicchetti, M.G.; Kadish, S.; McCauley, S.; et al. Radiation therapy toxicity to the skin. Dermatol. Clin. 2008, 26, 161–172. [Google Scholar] [CrossRef]
- Adler, M.; Hawke, M.; Berger, G.; Harwood, A. Radiation effects on the external auditory canal. J. Otolaryngol. 1985, 14, 226–232. [Google Scholar]
- Jereczek-Fossa, B.A.; Zarowski, A.; Milani, F.; Orecchia, R. Radiotherapy-induced ear toxicity. Cancer Treat. Rev. 2003, 29, 417–430. [Google Scholar] [CrossRef]
- Bhandare, N.; Antonelli, P.J.; Morris, C.G.; Malayapa, R.S.; Mendenhall, W.M. Ototoxicity after radiotherapy for head and neck tumors. Int. J. Radiat. Oncol. Biol. Phys. 2007, 67, 469–479. [Google Scholar] [CrossRef]
- Peuker, L.; Rolf, D.; Oertel, M.; Peuker, A.; Scobioala, S.; Hering, D.; Rudack, C.; Haverkamp, U.; Eich, H.T. Definition of a Normal Tissue Complication Probability Model for the Inner Ear in Definitive Radiochemotherapy of Nasopharynx Carcinoma. Cancers 2022, 14, 3422. [Google Scholar] [CrossRef]
- Yao, J.J.; Zhou, G.Q.; Lin, L.; Zhang, W.J.; Peng, Y.L.; Chen, L.; Tang, L.L.; Mao, Y.P.; Ma, J.; Sun, Y. Dose-volume factors associated with ear disorders following intensity modulated radiotherapy in nasopharyngeal carcinoma. Sci. Rep. 2015, 5, 13525. [Google Scholar] [CrossRef]
- Owen, H.H.; Rosborg, J.; Gaihede, M. Cholesteatoma of the external ear canal: Etiological factors, symptoms and clinical findings in a series of 48 cases. BMC Ear Nose Throat Disord. 2006, 6, 16. [Google Scholar] [CrossRef]
- Dubach, P.; Häusler, R. External auditory canal cholesteatoma: Reassessment of and amendments to its categorization, pathogenesis, and treatment in 34 patients. Otol. Neurotol. 2008, 29, 941–948. [Google Scholar] [CrossRef]
- Heilbrun, M.E.; Salzman, K.L.; Glastonbury, C.M.; Harnsberger, H.R.; Kennedy, R.J.; Shelton, C. External auditory canal cholesteatoma: Clinical and imaging spectrum. AJNR Am. J. Neuroradiol. 2003, 24, 751–756. [Google Scholar]
- Konishi, M.; Iwai, H.; Tomoda, K. Reexamination of Etiology and Surgical Outcome in Patient With Advanced External Auditory Canal Cholesteatoma. Otol. Neurotol. 2016, 37, 728–734. [Google Scholar] [CrossRef]
- Plantier, D.; Gusmão de Araújo, J.; Portmann, D.; Guindi, S. Cholesteatoma and osteoradionecrosis after radiotherapy of the temporal bone: Surgical aspects. Rev. Laryngol. Otol. Rhinol. (Bord) 2015, 136, 163–165. [Google Scholar]
- Shin, S.H.; Shim, J.H.; Lee, H.K. Classification of external auditory canal cholesteatoma by computed tomography. Clin. Exp. Otorhinolaryngol. 2010, 3, 24–26. [Google Scholar] [CrossRef]
- Li, Y.; Sheng, Y.; Xia, C.; Yan, J.; Guo, L.; Ren, X.; Wu, B. Transcanal Endoscopic Ear Surgery for Advanced External Auditory Canal Cholesteatoma in Naim Stage III and IV. Otol. Neurotol. 2021, 42, 1698–1705. [Google Scholar] [CrossRef] [PubMed]
- Ohki, M.; Kikuchi, S. Congenital External Auditory Canal Cholesteatoma Resected by a Transcanal Endoscopic Approach. Otol. Neurotol. 2020, 41, 715–717. [Google Scholar] [CrossRef] [PubMed]
- Dähn, J.; Anschuetz, L.; Konishi, M.; Sayles, M.; Caversaccio, M.; Dubach, P. Endoscopic Ear Surgery for External Auditory Canal Cholesteatoma. Otol. Neurotol. 2017, 38, 34–40. [Google Scholar] [CrossRef] [PubMed]
- Ayache, S.; Beltran, M.; Guevara, N. Endoscopic classification of the external auditory canal for transcanal endoscopic ear surgery. Eur. Ann. Otorhinolaryngol. Head Neck Dis. 2019, 136, 247–250. [Google Scholar] [CrossRef] [PubMed]
- Sayyid, Z.N.; Vaisbuch, Y.; Sajjadi, A.; Sajjadi, H. Canalplasty for Exostosis Removal Comparing Microscopic Versus Endoscopic Ear Surgery Techniques. Otol. Neurotol. 2021, 42, 1661–1668. [Google Scholar] [CrossRef] [PubMed]







| Author | Year | Country | n. of Pts | Age | M/F | RT Dose | RT Techinque | Time from RT | Side | Location |
|---|---|---|---|---|---|---|---|---|---|---|
| Mammarella et al. | 2023 | Italy | 3 | 62 (range 57 to 64) | 3/0 | 66 to 70.2 Gy | 2D | 14 years (range 9 to 20 years) | 2 left 1 right | a and i |
| Sapmaz et al. [13] | 2016 | Turkey | 1 | 55 | 0/1 | 74 Gy | n.a. | 4 years | Bilateral | a and i |
| Yu et al. [4] | 2015 | Taiwan | 15 | 55 (range 32 to 75) | 11/4 | 42 to 73.8 Gy | I.M.R.T. 2D | 6.5 years (range 0.5 to 15.4 years) | 7 left 5 right 3 bilateral | a and i |
| Zahara et al. [14] | 2013 | Indonesia | 1 | 39 | 0/1 | n.a. | n.a. | 2 years | Bilateral | n.a. |
| Bennet et al. [15] | 2007 | U.S.A. | 1 | 53 | 0/1 | n.a. | n.a. | 9 years | left | n.a. |
| Smouha et al. [16] | 1995 | U.S.A. | 2 | 29 (range 28 to 30) | 1/1 | 70 Gy | n.a. | n.a. | 1 bilateral 1 left | n.a. |
Disclaimer/Publisher’s Note: The statements, opinions and data contained in all publications are solely those of the individual author(s) and contributor(s) and not of MDPI and/or the editor(s). MDPI and/or the editor(s) disclaim responsibility for any injury to people or property resulting from any ideas, methods, instructions or products referred to in the content. |
© 2023 by the authors. Licensee MDPI, Basel, Switzerland. This article is an open access article distributed under the terms and conditions of the Creative Commons Attribution (CC BY) license (https://creativecommons.org/licenses/by/4.0/).
Share and Cite
Mammarella, F.; Loperfido, A.; Cianciulli, M.; Fionda, B.; Stasolla, A.; Bellocchi, G. External Auditory Canal Cholesteatoma after Radiation Therapy for Nasopharyngeal Cancer: Case Series and Systematic Review. J. Clin. Med. 2023, 12, 1977. https://doi.org/10.3390/jcm12051977
Mammarella F, Loperfido A, Cianciulli M, Fionda B, Stasolla A, Bellocchi G. External Auditory Canal Cholesteatoma after Radiation Therapy for Nasopharyngeal Cancer: Case Series and Systematic Review. Journal of Clinical Medicine. 2023; 12(5):1977. https://doi.org/10.3390/jcm12051977
Chicago/Turabian StyleMammarella, Fulvio, Antonella Loperfido, Michele Cianciulli, Bruno Fionda, Alessandro Stasolla, and Gianluca Bellocchi. 2023. "External Auditory Canal Cholesteatoma after Radiation Therapy for Nasopharyngeal Cancer: Case Series and Systematic Review" Journal of Clinical Medicine 12, no. 5: 1977. https://doi.org/10.3390/jcm12051977
APA StyleMammarella, F., Loperfido, A., Cianciulli, M., Fionda, B., Stasolla, A., & Bellocchi, G. (2023). External Auditory Canal Cholesteatoma after Radiation Therapy for Nasopharyngeal Cancer: Case Series and Systematic Review. Journal of Clinical Medicine, 12(5), 1977. https://doi.org/10.3390/jcm12051977

