Application of Indocyanine Green in Combination with Da Vinci Xi Robot in Surgeries on the Upper Urinary Tract: A Case Series Study
Abstract
1. Introduction
2. Materials and Methods
2.1. Study Design and Patients
2.2. Selection of Surgical Procedures
2.2.1. Preoperative Preparation
2.2.2. ICG Preparation and Administration
2.2.3. Selection of the Surgical Mode on Upper Urinary Tract
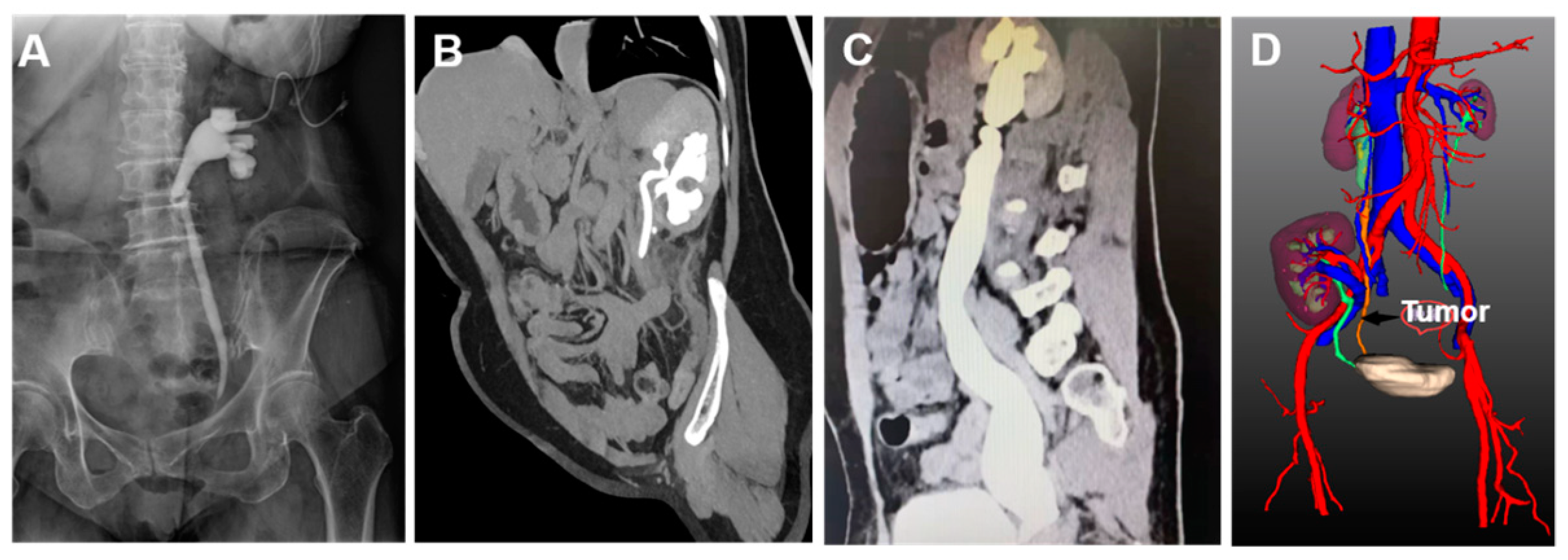
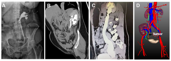
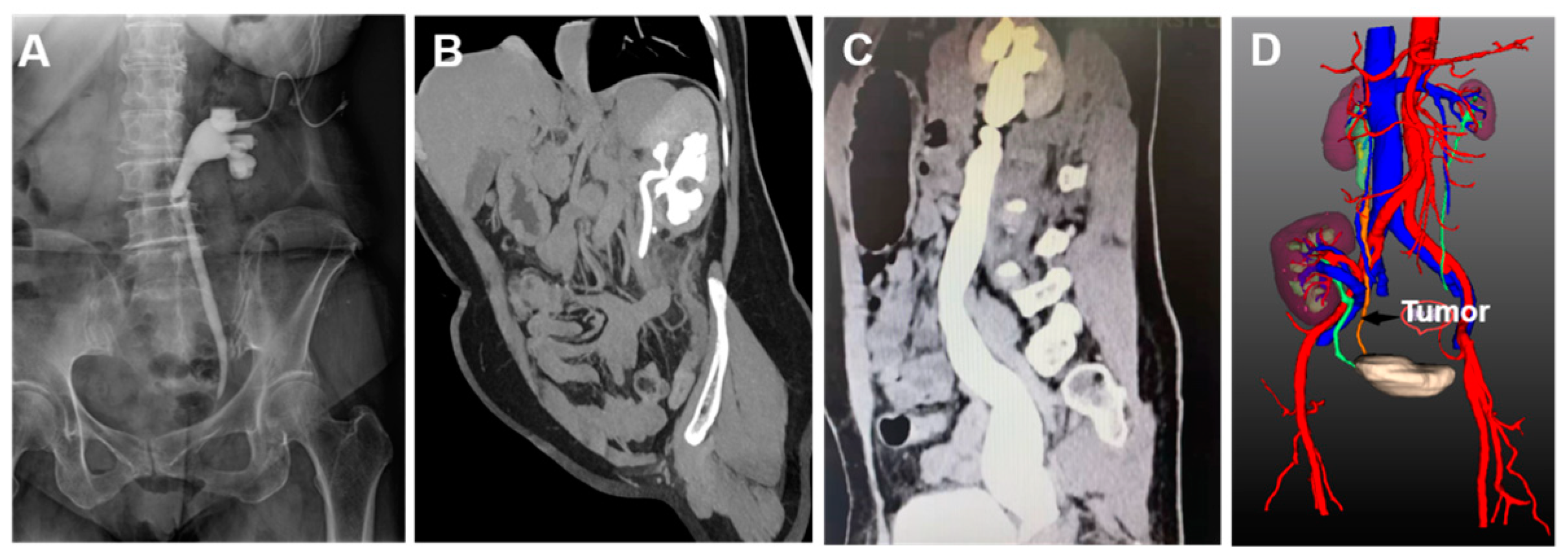
3. Results
4. Discussion
5. Conclusions
Author Contributions
Funding
Institutional Review Board Statement
Informed Consent Statement
Data Availability Statement
Conflicts of Interest
References
- Milonas, D.; Stirbys, S.; Jievaltas, M. Successful treatment of upper ureteral injury using renal autotransplantation. Medicina 2009, 45, 988–991. [Google Scholar] [CrossRef] [PubMed]
- Lucas, J.W.; Ghiraldi, E.; Ellis, J.; Friedlander, J.I. Endoscopic Management of Ureteral Strictures: An Update. Curr. Urol. Rep. 2018, 19, 24. [Google Scholar] [CrossRef] [PubMed]
- Asghar, A.M.; Lee, R.A.; Yang, K.K.; Metro, M.; Eun, D.D. Robot-assisted distal ureteral reconstruction for benign pathology: Current state. Investig. Clin. Urol. 2020, 61, S23–S32. [Google Scholar] [CrossRef] [PubMed]
- Shen, J.K.; Jamnagerwalla, J.; Yuh, B.E.; Bassett, M.R.; Chenam, A.; Warner, J.N.; Zhumkhawala, A.; Yamzon, J.L.; Whelan, C.; Ruel, N.H.; et al. Real-time indocyanine green angiography with the SPY fluorescence imaging platform decreases benign ureteroenteric strictures in urinary diversions performed during radical cystectomy. Ther. Adv. Urol. 2019, 11. [Google Scholar] [CrossRef]
- Wilczak, W.; Wittmer, C.; Clauditz, T.; Minner, S.; Steurer, S.; Büscheck, F.; Krech, T.; Lennartz, M.; Harms, L.; Leleu, D.; et al. Marked Prognostic Impact of Minimal Lymphatic Tumor Spread in Prostate Cancer. Eur. Urol. 2018, 74, 376–386. [Google Scholar] [CrossRef]
- Borofsky, M.S.; Gill, I.S.; Hemal, A.K.; Marien, T.P.; Jayaratna, I.; Krane, L.S.; Stifelman, M.D. Near-infrared fluorescence imaging to facilitate super-selective arterial clamping during zero-ischaemia robotic partial nephrectomy. BJU Int. 2013, 111, 604. [Google Scholar] [CrossRef]
- Abdollah, F.; Gandaglia, G.; Suardi, N.; Capitanio, U.; Salonia, A.; Nini, A.; Moschini, M.; Sun, M.; Karakiewicz, P.I.; Shariat, S.F.; et al. More Extensive Pelvic Lymph Node Dissection Improves Survival in Patients with Node-positive Prostate Cancer. Eur. Urol. 2015, 67, 212–219. [Google Scholar] [CrossRef]
- Barnes, T.G.; Penna, M.; Hompes, R.; Cunningham, C. Fluorescence to highlight the urethra: A human cadaveric study. Tech. Coloproctology 2017, 21, 439–444. [Google Scholar] [CrossRef]
- Sharma, S.; Das, C.J.; Baliyan, V. Image-guided urological interventions: What the urologists must know. Indian, J. Urol. 2015, 31, 202. [Google Scholar] [CrossRef]
- Tobis, S.; Knopf, J.; Silvers, C.; Yao, J.; Rashid, H.; Wu, G.; Golijanin, D. Near Infrared Fluorescence Imaging With Robotic Assisted Laparoscopic Partial Nephrectomy: Initial Clinical Experience for Renal Cortical Tumors. J. Urol. 2011, 186, 47–52. [Google Scholar] [CrossRef]
- Patel, M.N.; Hemal, A.K. Molecular Targeted Fluorescence-Guided Intraoperative Imaging of Bladder Cancer Nodal Drainage Using Indocyanine Green During Radical and Partial Cystectomy. Curr. Urol. Rep. 2016, 17, 74. [Google Scholar] [CrossRef]
- Petrut, B.; Bujoreanu, C.E.; Hodade, D.P.; Hardo, V.V.; Coste, B.O.; Maghiar, T.T.; Cadariu, P.A.; Vlad, C. Indocyanine green use in Urology. Urology 2021, 26, 266–274. [Google Scholar]
- Sound, S.; Okoh, A.K.; Bucak, E.; Yigitbas, H.; Dural, A.C.; Berber, E. Intraoperative tumor localization and tissue distinction during robotic adrenalectomy using indocyanine green fluorescence imaging: A feasibility study. Surg. Endosc. 2016, 30, 657–662. [Google Scholar] [CrossRef]
- KleinJan, G.H.; Berg, N.S.V.D.; Brouwer, O.R.; de Jong, J.; Acar, C.; Wit, E.M.; Vegt, E.; van der Noort, V.; Olmos, R.A.V.; van Leeuwen, F.W.; et al. Optimisation of Fluorescence Guidance During Robot-assisted Laparoscopic Sentinel Node Biopsy for Prostate Cancer. Eur. Urol. 2014, 66, 991–998. [Google Scholar] [CrossRef]
- Han, C.-M.; Tan, H.-H.; Kay, N.; Wang, C.-J.; Su, H.; Yen, C.-F.; Lee, C.-L. Outcome of Laparoscopic Repair of Ureteral Injury: Follow-up of Twelve Cases. J. Minim. Invasive Gynecol. 2012, 19, 68–75. [Google Scholar] [CrossRef]
- De Cicco, C.; Ret Dávalos, M.L.; Van Cleynenbreugel, B.; Verguts, J.; Koninckx, P.R. Iatrogenic ureteral lesions and repair: A review for gynecologists. J. Minim. Invasive Gynecol. 2007, 14, 428–435. [Google Scholar] [CrossRef]
- Hemal, A.K.; Nayyar, R.; Gupta, N.P.; Dorairajan, L.N. Experience with Robot Assisted Laparoscopic Surgery for Upper and Lower Benign and Malignant Ureteral Pathologies. Urology 2010, 76, 1387–1393. [Google Scholar] [CrossRef]
- Lee, D.I.; Schwab, C.W.; Harris, A. Robot-assisted Ureteroureterostomy in the Adult: Initial Clinical Series. Urology 2010, 75, 570–573. [Google Scholar] [CrossRef]
- Lee, Z.; Moore, B.; Giusto, L.; Eun, D.D. Use of Indocyanine Green During Robot-assisted Ureteral Reconstructions. Eur. Urol. 2015, 67, 291–298. [Google Scholar] [CrossRef]
- Bjurlin, M.A.; Gan, M.; McClintock, T.R.; Volpe, A.; Borofsky, M.S.; Mottrie, A.; Stifelman, M.D. Near-infrared Fluorescence Imaging: Emerging Applications in Robotic Upper Urinary Tract Surgery. Eur. Urol. 2014, 65, 793–801. [Google Scholar] [CrossRef]
- Lee, Z.; Sterling, M.E.; Keehn, A.Y.; Lee, M.; Metro, M.J.; Eun, D.D. The use of indocyanine green during robotic ureteroenteric reimplantation for the management of benign anastomotic strictures. World J. Urol. 2019, 37, 1211–1216. [Google Scholar] [CrossRef] [PubMed]
- Lee, Z.; Simhan, J.; Parker, D.C.; Reilly, C.; Llukani, E.; Lee, D.I.; Mydlo, J.H.; Eun, D.D. Novel Use of Indocyanine Green for Intraoperative, Real-time Localization of Ureteral Stenosis During Robot-assisted Ureteroureterostomy. Urology 2013, 82, 729–733. [Google Scholar] [CrossRef] [PubMed]
- Lopez, M.; Perez-Etchepare, E.; Bustangi, N.; Godik, O.; Juricic, M.; Varlet, F.; Gutierrez, R.; Culebras, M.G.; Gander, R.; Royo, G.; et al. Laparoscopic Extravesical Reimplantation in Children with Primary Obstructive Megaureter. J. Laparoendosc. Adv. Surg. Tech. A 2020. [Google Scholar] [CrossRef] [PubMed]
- Tsivian, A.; Tsivian, M.; Sidi, A.A. The Y-V Pyeloplasty Revisited. Urology 2010, 75, 200–202. [Google Scholar] [CrossRef] [PubMed]
- Qiu, M.; Wu, H.; Ma, L.; Lu, J.; Huang, Y.; Li, G.; Yan, Y.; Li, H. Diagnosis and treatment of ureteropelvic junction obstruction caused by renal crossing vessels:an analysis of 24 cases. Zhonghua Wai Ke Za Zhi 2014, 52, 702–705. [Google Scholar]
- Esposito, C.; Autorino, G.; Coppola, V.; Esposito, G.; Paternoster, M.; Castagnetti, M.; Cardone, R.; Cerulo, M.; Borgogni, R.; Cortese, G.; et al. Technical standardization of ICG near-infrared fluorescence (NIRF) laparoscopic partial nephrectomy for duplex kidney in pediatric patients. World J. Urol. 2021, 39, 4167–4173. [Google Scholar] [CrossRef]
- Zhu, W.; Xiong, S.; Wu, Y.; Zhang, D.; Huang, C.; Hao, H.; Zhang, L.; Yang, K.; Zhang, P.; Zhu, H.; et al. Indocyanine green fluorescence imaging for laparoscopic complex upper urinary tract reconstructions: A comparative study. Transl. Androl. Urol. 2021, 10, 1071–1079. [Google Scholar] [CrossRef]
- Shah, S.H.; Movassaghi, K.; Skinner, D.; Dalag, L.; Miranda, G.; Cai, J.; Schuckman, A.; Daneshmand, S.; Djaladat, H. Ureteroenteric Strictures After Open Radical Cystectomy and Urinary Diversion: The University of Southern California Experience. Urology 2015, 86, 87–91. [Google Scholar] [CrossRef]
- Yuh, B.E.; Nazmy, M.; Ruel, N.H.; Jankowski, J.T.; Menchaca, A.R.; Torrey, R.R.; Linehan, J.A.; Lau, C.S.; Chan, K.G.; Wilson, T.G. Standardized Analysis of Frequency and Severity of Complications After Robot-assisted Radical Cystectomy. Eur. Urol. 2012, 62, 806–813. [Google Scholar] [CrossRef]
- Ahmed, K.; Khan, S.A.; Hayn, M.H.; Agarwal, P.K.; Badani, K.K.; Balbay, M.D.; Castle, E.P.; Dasgupta, P.; Ghavamian, R.; Guru, K.A.; et al. Analysis of Intracorporeal Compared with Extracorporeal Urinary Diversion After Robot-assisted Radical Cystectomy: Results from the International Robotic Cystectomy Consortium. Eur. Urol. 2014, 65, 340–347. [Google Scholar] [CrossRef]


| Case | Gender | Age (Years) | Disease Type | Lesion Side | Affected Side Renal Function (mL/min) |
|---|---|---|---|---|---|
| 1 | Female | 49 | Distal ureteral stricture | Left | 20.2 |
| 2 | Female | 37 | Distal ureteral stricture | Left | 25.2 |
| 3 | Female | 36 | Distal ureteral stricture | Right | 24.1 |
| 4 | Female | 34 | Ureteropelvic junction obstruction | Left | 31.2 |
| 5 | Female | 46 | Ureteropelvic junction obstruction | Right | 29.1 |
| 6 | Male | 56 | Ureteropelvic junction obstruction | Right | 25.1 |
| 7 | Male | 52 | Ureteropelvic junction obstruction | Left | 36.3 |
| 8 | Male | 41 | Ureteropelvic junction obstruction | Left | 20.9 |
| 9 | Female | 32 | Duplicate kidney and duplicate ureter | Left | 29.8 |
| 10 | Female | 49 | Duplicate kidney and duplicate ureter | Right | 34.1 |
| 11 | Male | 47 | Duplicate kidney and duplicate ureter | Right | 41.2 |
| 12 | Male | 54 | Duplicate kidney and duplicate ureter | Left | 40.1 |
| 13 | Male | 31 | Megaureter | Right | 17.5 |
| 14 | Female | 56 | Ipsilateral native ureteral tumor after renal transplantation | Right | - |
| Case | Operation | ORT (min) | EBL (mL) | ETUS (min) | AS/AL | LOST | Renal Function 3 Months after the Operation (mL/min) |
|---|---|---|---|---|---|---|---|
| 1 | Ureter bladder replantation | 98 | 50 | 21 | No | 7 | 37.4 |
| 2 | Ureter bladder replantation | 121 | 100 | 21 | No | 8 | 32.9 |
| 3 | Ureter bladder replantation | 171 | 100 | 18 | No | 7 | 41 |
| 4 | Ureter bladder replantation | 145 | 50 | 23 | No | 7 | 38 |
| 5 | Ureter bladder replantation | 134 | 50 | 20 | No | 8 | 37.3 |
| 6 | Ureter bladder replantation | 160 | 80 | 24 | No | 8 | 32.5 |
| 7 | Ureter bladder replantation | 167 | 50 | 20 | No | 7 | 41 |
| 8 | Ureter bladder replantation | 133 | 120 | 17 | No | 7 | 34 |
| 9 | Repeated nephroureterectomy | 112 | 50 | 25 | No | 9 | 45.3 |
| 10 | Repeated nephroureterectomy | 156 | 90 | 21 | No | 9 | 41.3 |
| 11 | Repeated nephroureterectomy | 143 | 50 | 19 | No | 8 | 47.1 |
| 12 | Pyeloureteral anastomosis | 173 | 60 | 18 | No | 10 | 42.4 |
| 13 | Ureter bladder replantation | 123 | 50 | 32 | No | 7 | 22.2 |
| 14 | Native ureterectomy | 169 | 140 | 43 | - | 10 | - |
Disclaimer/Publisher’s Note: The statements, opinions and data contained in all publications are solely those of the individual author(s) and contributor(s) and not of MDPI and/or the editor(s). MDPI and/or the editor(s) disclaim responsibility for any injury to people or property resulting from any ideas, methods, instructions or products referred to in the content. |
© 2023 by the authors. Licensee MDPI, Basel, Switzerland. This article is an open access article distributed under the terms and conditions of the Creative Commons Attribution (CC BY) license (https://creativecommons.org/licenses/by/4.0/).
Share and Cite
Zeng, S.; Xing, S.; Xing, W.; Bai, Z.; Zhang, J.; Li, Y.; Wang, H.; Liu, Q. Application of Indocyanine Green in Combination with Da Vinci Xi Robot in Surgeries on the Upper Urinary Tract: A Case Series Study. J. Clin. Med. 2023, 12, 1980. https://doi.org/10.3390/jcm12051980
Zeng S, Xing S, Xing W, Bai Z, Zhang J, Li Y, Wang H, Liu Q. Application of Indocyanine Green in Combination with Da Vinci Xi Robot in Surgeries on the Upper Urinary Tract: A Case Series Study. Journal of Clinical Medicine. 2023; 12(5):1980. https://doi.org/10.3390/jcm12051980
Chicago/Turabian StyleZeng, Sheng, Shaoqiang Xing, Wenzhou Xing, Zhijie Bai, Jingyuan Zhang, Yanan Li, Haifeng Wang, and Qian Liu. 2023. "Application of Indocyanine Green in Combination with Da Vinci Xi Robot in Surgeries on the Upper Urinary Tract: A Case Series Study" Journal of Clinical Medicine 12, no. 5: 1980. https://doi.org/10.3390/jcm12051980
APA StyleZeng, S., Xing, S., Xing, W., Bai, Z., Zhang, J., Li, Y., Wang, H., & Liu, Q. (2023). Application of Indocyanine Green in Combination with Da Vinci Xi Robot in Surgeries on the Upper Urinary Tract: A Case Series Study. Journal of Clinical Medicine, 12(5), 1980. https://doi.org/10.3390/jcm12051980
