Performance and Safety of a Reflux-Control Microcatheter Used to Perform DEB-TACE with LUMITM Beads in HCC Patients: Preliminary Experience
Abstract
:1. Introduction
2. Materials and Methods
2.1. Patients
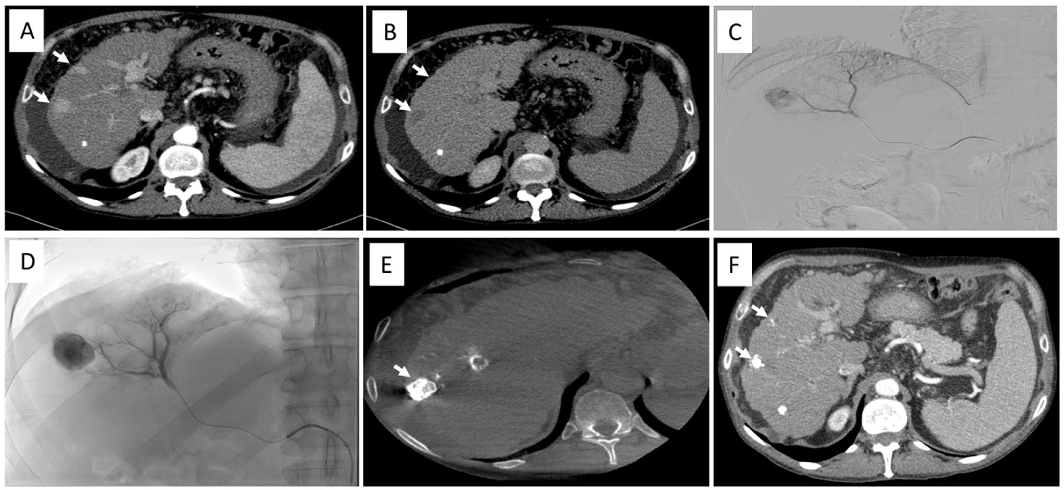
- -
- Child–Pugh score from A6 to B8, in this latter case, a selective approach is preferred in order to preserve the functioning hepatic parenchyma.
- -
- In cases in which the tumor feeding artery arose from the same branch of the right hepatic artery as the cystic artery or if the tumor was nourished by branches of extra-hepatic arteries (e.g., the gastroduodenal artery, left or right gastric artery, phrenic arteries, intercostal arteries, adrenal arteries, superior mesenteric artery, etc.), preventing the risk of backward spread along the abovementioned vessels.
2.2. Outcome Measures
2.3. Procedure Details
2.4. Follow-Up Imaging
2.5. Statistical Analysis
3. Results
3.1. Patient and Lesion Characteristics
3.2. Treatment Data
3.3. Lesion Response Rate and Clinical Success
3.4. Safety
4. Discussion
5. Conclusions
Author Contributions
Funding
Institutional Review Board Statement
Informed Consent Statement
Data Availability Statement
Conflicts of Interest
References
- Gbolahan, O.B.; Schacht, M.A.; Beckley, E.W.; LaRoche, T.P.; O’Neil, B.H.; Pyko, M. Locoregional and systemic therapy for hepatocellular carcinoma. J. Gastrointest. Oncol. 2017, 8, 215–228. [Google Scholar] [CrossRef] [PubMed]
- European Association for the Study of the Liver; the European Organization for Research and Treatment of Cancer. EASL-EORTC clinical practice guidelines: Management of hepatocellular carcinoma. J. Hepatol. 2012, 56, 908–943. [Google Scholar] [CrossRef] [PubMed]
- Brown, K.T.; Do, R.K.; Gonen, M.; Covey, A.M.; Getrajdman, G.I.; Sofocleous, C.T.; Jarnagin, W.R.; D’angelica, M.I.; Allen, P.J.; Erinjeri, J.P.; et al. Randomized trial of hepatic artery embolization for hepatocellular carcinoma using doxorubicin-eluting microspheres compared with embolization with microspheres alone. J. Clin. Oncol. 2016, 34, 2046–2053. [Google Scholar] [CrossRef]
- Urbano, J.; Echevarria-Uraga, J.J.; Ciampi-Dopazo, J.J.; Sánchez-Corral, J.A.; Alonso, J.C.; Anton-Ladislao, A.; Peña-Baranda, B.; Nacarino-Mejias, V.; González-Costero, R.; Ruiz-Canela, J.J.M.; et al. Multicentre prospective study of drug-eluting bead chemoembolisation safety using tightly calibrated small microspheres in non-resectable hepatocellular. Eur. J. Radiol. 2020, 126, 108966. [Google Scholar] [CrossRef]
- Aliberti, C.; Carandina, R.; Sarti, D.; Mulazzani, L.; Pizzirani, E.; Guadagni, S.; Fiorentini, G. Chemoembolization Adopting Polyethylene Glycol Drug-Eluting Embolics Loaded With Doxorubicin for the Treatment of Hepatocellular Carcinoma. AJR Am. J. Roentgenol. 2017, 209, 430–434. [Google Scholar] [CrossRef]
- Golfieri, R.; Giampalma, E.; Renzulli, M.; Cioni, R.; Bargellini, I.; Bartolozzi, C.; Breatta, A.D.; Gandini, G.; Nani, R.; Gasparini, D.; et al. Randomised controlled trial of doxorubicin-eluting beads vs. conventional chemoembolisation for hepatocellular carcinoma. Br. J. Cancer 2014, 111, 255–264. [Google Scholar] [CrossRef] [PubMed]
- Song, J.E.; Kim, D.Y. Conventional vs. drug-eluting beads transarterial chemoembolization for hepatocellular carcinoma. World J. Hepatol. 2017, 9, 808–814. [Google Scholar] [CrossRef] [PubMed]
- Duran, R.; Sharma, K.; Dreher, M.R.; Ashrafi, K.; Mirpour, S.; Lin, M.; Schernthaner, R.E.; Schlachter, T.R.; Tacher, V.; Lewis, A.L.; et al. A novel inherently radiopaque bead for transarterial embolization to treat liver cancer—A pre-clinical study. Theranostics 2016, 6, 28–39. [Google Scholar] [CrossRef] [PubMed]
- Stampfl, U.; Bermejo, J.L.; Sommer, C.M.; Hoffmann, K.; Weiss, K.H.; Schirmacher, P.; Schemmer, P.; Kauczor, H.U.; Richter, G.M.; Radeleff, B.A.; et al. Efficacy and nontarget effects of transarterial chemoembolization in bridging of hepatocellular carcinoma patients to liver transplantation: A histopathologic study. J. Vasc. Interv. Radiol. 2014, 25, 1018–1026.e4. [Google Scholar] [CrossRef]
- Basile, A.; Carrafiello, G.; Ierardi, A.M.; Tsetis, D.; Brountzos, E. Quality-Improvement Guidelines for Hepatic Transarterial Chemoembolization. Cardiovasc. Intervent. Radiol. 2012, 35, 765–774. [Google Scholar] [CrossRef] [PubMed]
- Van den Hoven, A.F.; Lam, M.G.; Jernigan, S.; van den Bosch, M.A.; Buckner, G.D. Innovation in catheter design for intra-arterial liver cancer treatments results in favorable particle-fluid dynamics. J. Exp. Clin. Cancer Res. 2015, 34, 74. [Google Scholar] [CrossRef] [PubMed]
- Angileri, S.A.; Rodà, G.M.; Arrichiello, A.; Signorelli, G.; Di Meglio, L.; Gurgitano, M.; Di Bartolomeo, F.; Ierardi, A.M.; Paolucci, A.; Carrafiello, G. Efficacy, safety and usability of bronchial artery embolization using a new anti-reflux microcatheter in the management of haemoptysis. Acta Bio. Medica Atenei Parm. 2020, 91, e2020009. [Google Scholar] [CrossRef]
- Chernyak, V.; Fowler, K.J.; Kamaya, A.; Kielar, A.Z.; Elsayes, K.M.; Bashir, M.R.; Kono, Y.; Do, R.K.; Mitchell, D.G.; Singal, A.G.; et al. Liver Imaging Reporting and Data System (LI-RADS) Version 2018: Imaging of Hepatocellular Carcinoma in At-Risk Patients. Sirlin Radiol. 2018, 289, 816–830. [Google Scholar] [CrossRef]
- European Association for the Study of the Liver. EASL Clinical Practice Guidelines: Management of hepatocellular carcinoma. J. Hepatol. 2018, 69, 182–236. [Google Scholar] [CrossRef] [PubMed]
- Bruix, J.; Sherman, M.; American Association for the Study of Liver Diseases. Management of hepatocellular carcinoma: An update. Hepatology 2011, 53, 1020–1022. [Google Scholar] [CrossRef]
- Chung, W.S.; Park, M.S.; Shin, S.J.; Baek, S.E.; Kim, Y.E.; Choi, J.Y.; Kim, M.J. Response evaluation in patients with colorectal liver metastases: RECIST version 1.1 versus modified CT criteria. Am. J. Roentgenol. 2012, 199, 809–815. [Google Scholar] [CrossRef]
- Llovet, J.M.; Brú, C.; Bruix, J. Prognosis of hepatocellular carcinoma: The BCLC staging classification. Semin. Liver Dis. 1999, 19, 329–338. [Google Scholar] [CrossRef] [PubMed]
- Lencioni, R.; Llovet, J.M. Modified RECIST (mRECIST) assessment for hepatocellular carcinoma. Semin. Liver Dis. 2010, 30, 52–60. [Google Scholar] [CrossRef]
- Filippiadis, D.K.; Binkert, C.; Pellerin, O.; Hoffmann, R.T.; Krajina, A.; Pereira, P.L. Cirse Quality Assurance Document and Standards for Classification of Complications: The Cirse Classification System. Cardiovasc. Intervent. Radiol. 2017, 40, 1141–1146. [Google Scholar] [CrossRef] [PubMed]
- Ingraham, C.R.; Johnson, G.E.; Nair, A.V.; Padia, S.A. Nontarget embolization complicating transarterial chemoembolization in a patient with hepatocellular carcinoma. Semin. Intervent. Radiol. 2011, 28, 202–206. [Google Scholar] [CrossRef] [PubMed]
- Pardo Moreno, P.; Ruiz Villaverde, G.; Ciampi Dopazo, J.J.; Navarro, V.P. Novel reflux-control microcatheter: An alternative to maximize the effect of superselective embolization. Intervencionismo 2020, 20, 126–133. [Google Scholar] [CrossRef]
- Ierardi, A.M.; Stellato, E.; Pellegrino, G.; Bonelli, C.; Cellina, M.; Renzulli, M.; Biondetti, P.; Carrafiello, G. Fluid-dynamic control microcatheter used with glue: Preliminary experience on its feasibility and safety. Radiol. Medica 2022, 127, 272–276. [Google Scholar] [CrossRef] [PubMed]

| Patients | Etiology | Child–Pugh Classification |
|---|---|---|
| 1 | ASH/NASH | B7 |
| 2 | NASH | B7 |
| 3 | PBC | A6 |
| 4 | HCV | A6 |
| 5 | HCV | A5 |
| 6 | HCV + NASH | A6 |
| 7 | HCV | B9 |
| 8 | ASH | A6 |
| 9 | NASH | B8 |
| 10 | ASH | A6 |
| 11 | ASH + HCV | A6 |
| 12 | ASH | A6 |
| 13 | ASH | B7 |
| 14 | HBV + HDV + ASH | A6 |
| 15 | HCV | A6 |
| 16 | HCV | B7 |
| 17 | ASH + HBV | B7 |
| 18 | HBV | B8 |
| 19 | ASH/NASH | A5 |
| 20 | HCV | A6 |
| Patients | Previous Treatment(s) |
|---|---|
| 1 | N/A |
| 2 | N/A |
| 3 | TACE |
| 4 | N/A |
| 5 | MWA + TACE |
| 6 | MWA |
| 7 | MWA |
| 8 | TARE |
| 9 | MWA + TACE |
| 10 | TACE |
| 11 | TACE |
| 12 | N/A |
| 13 | TACE + TARE |
| 14 | TACE |
| 15 | MWA |
| 16 | N/A |
| 17 | N/A |
| 18 | TACE |
| 19 | TACE |
| 20 | MWA |
| Patients | Hepatic Lobe | Peripheral/Central |
|---|---|---|
| 1 | S8 | Peripheral |
| 2 | S2, S4, S5 | Peripheral |
| 3 | S2 | Peripheral |
| 4 | S4a-8 | Peripheral |
| 5 | S6 | Peripheral |
| 6 | S8 | Central |
| 7 | S8 | Central |
| 8 | S5, S6, S8 | Peripheral |
| 9 | S7, S8 | Peripheral |
| 10 | S3 | Peripheral |
| 11 | S8, S4 | Peripheral |
| 12 | S7 | Peripheral |
| 13 | S8, S5 | Peripheral |
| 14 | S8 | Central |
| 15 | S4b | Peripheral |
| 16 | S7 | Peripheral |
| 17 | S5 | Central |
| 18 | S4a | Central |
| 19 | S8 | Peripheral |
| 20 | S8-4 | Central |
| 1 | Complication during the procedure which could be solved within the same session; no additional therapy; no postprocedural sequelae; no deviation from the normal post-therapeutic course |
| 2 | Prolonged observation including overnight stay (as a deviation from the normal post-therapeutic course <48 h); no additional postprocedural therapy; no postprocedural sequelae |
| 3 | Additional postprocedural therapy or prolonged hospital stay (>48 h) required; no postprocedural sequelae |
| 4 | Complication causing a permanent mild sequelae (resuming work and independent living) |
| 5 | Complication causing a permanent severe sequelae (requiring ongoing assistance in daily life) |
| 6 | Death |
Disclaimer/Publisher’s Note: The statements, opinions and data contained in all publications are solely those of the individual author(s) and contributor(s) and not of MDPI and/or the editor(s). MDPI and/or the editor(s) disclaim responsibility for any injury to people or property resulting from any ideas, methods, instructions or products referred to in the content. |
© 2023 by the authors. Licensee MDPI, Basel, Switzerland. This article is an open access article distributed under the terms and conditions of the Creative Commons Attribution (CC BY) license (https://creativecommons.org/licenses/by/4.0/).
Share and Cite
Angileri, S.A.; Lanza, C.; Carriero, S.; Biondetti, P.; Ascenti, V.; Pellegrino, G.; Caruso, A.; Carrafiello, G.; Ierardi, A.M. Performance and Safety of a Reflux-Control Microcatheter Used to Perform DEB-TACE with LUMITM Beads in HCC Patients: Preliminary Experience. J. Clin. Med. 2023, 12, 6630. https://doi.org/10.3390/jcm12206630
Angileri SA, Lanza C, Carriero S, Biondetti P, Ascenti V, Pellegrino G, Caruso A, Carrafiello G, Ierardi AM. Performance and Safety of a Reflux-Control Microcatheter Used to Perform DEB-TACE with LUMITM Beads in HCC Patients: Preliminary Experience. Journal of Clinical Medicine. 2023; 12(20):6630. https://doi.org/10.3390/jcm12206630
Chicago/Turabian StyleAngileri, Salvatore Alessio, Carolina Lanza, Serena Carriero, Pierpaolo Biondetti, Velio Ascenti, Giuseppe Pellegrino, Alessandro Caruso, Gianpaolo Carrafiello, and Anna Maria Ierardi. 2023. "Performance and Safety of a Reflux-Control Microcatheter Used to Perform DEB-TACE with LUMITM Beads in HCC Patients: Preliminary Experience" Journal of Clinical Medicine 12, no. 20: 6630. https://doi.org/10.3390/jcm12206630
APA StyleAngileri, S. A., Lanza, C., Carriero, S., Biondetti, P., Ascenti, V., Pellegrino, G., Caruso, A., Carrafiello, G., & Ierardi, A. M. (2023). Performance and Safety of a Reflux-Control Microcatheter Used to Perform DEB-TACE with LUMITM Beads in HCC Patients: Preliminary Experience. Journal of Clinical Medicine, 12(20), 6630. https://doi.org/10.3390/jcm12206630

