Comparison of Trehalose/Hyaluronic Acid (HA) vs. 0.001% Hydrocortisone/HA Eyedrops on Signs and Inflammatory Markers in a Desiccating Model of Dry Eye Disease (DED)
Abstract
:1. Introduction
2. Materials and Methods
2.1. Animals
2.2. DED Model
2.3. Experimental Design
2.4. Treatments
2.5. Corneal Fluorescein Staining
2.6. Histological Analysis
2.7. Immunohistochemistry MUC 4
2.8. RNA Extraction and cDNA Reverse Transcription
2.9. Statistical Analysis
3. Results
3.1. Animal Wellness
3.2. DED Model
3.3. Corneal Damage—Fluorescein Staining-Effect of Treatment
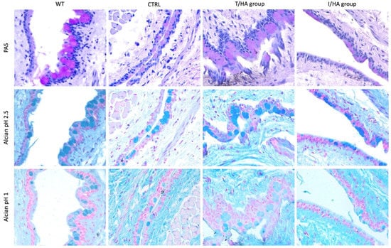
3.4. Histologic Analysis
3.5. Immunohistochemistry for MUC4
3.6. Molecular Biology for Inflammatory Marker (HLA-DR, IL-1β, TNF-α) Expression
4. Discussion
Author Contributions
Funding
Institutional Review Board Statement
Informed Consent Statement
Data Availability Statement
Conflicts of Interest
References
- Craig, J.P.; Nichols, K.K.; Akpek, E.K.; Caffery, B.; Dua, H.S.; Joo, C.-K.; Liu, Z.; Nelson, J.D.; Nichols, J.J.; Tsubota, K.; et al. TFOS DEWS II Definition and Classification Report. Ocul. Surf. 2017, 15, 276–283. [Google Scholar] [CrossRef] [PubMed]
- Bradley, J.L.; Stillman, I.; Pivneva, I.; Guerin, A.; Evans, A.M.; Dana, R. Dry eye disease ranking among common reasons for seeking eye care in a large US claims database. Clin. Ophthalmol. 2019, 13, 225–232. [Google Scholar] [CrossRef] [PubMed] [Green Version]
- Morthen, M.K.; Magno, M.S.; Utheim, T.P.; Snieder, H.; Jansonius, N.; Hammond, C.J.; Vehof, J. The vision-related burden of dry eye. Ocul. Surf. 2021, 23, 207–215. [Google Scholar] [CrossRef] [PubMed]
- Uchino, M.; Schaumberg, D.A. Dry Eye Disease: Impact on Quality of Life and Vision. Curr. Ophthalmol. Rep. 2013, 1, 51–57. [Google Scholar] [CrossRef] [PubMed] [Green Version]
- Belmonte, C.; Nichols, J.J.; Cox, S.M.; Brock, J.; Begley, C.G.; Bereiter, D.A.; Dartt, D.A.; Galor, A.; Hamrah, P.; Ivanusic, J.; et al. TFOS DEWS II pain and sensation report. Ocul. Surf. 2017, 15, 404–437. [Google Scholar] [CrossRef] [PubMed] [Green Version]
- McDonald, M.; Patel, D.A.; Keith, M.S.; Snedecor, S.J. Economic and Humanistic Burden of Dry Eye Disease in Europe, North America, and Asia: A Systematic Literature Review. Ocul. Surf. 2016, 14, 144–167. [Google Scholar] [CrossRef] [PubMed] [Green Version]
- Stapleton, F.; Alves, M.; Bunya, V.Y.; Jalbert, I.; Lekhanont, K.; Malet, F.; Na, K.-S.; Schaumberg, D.; Uchino, M.; Vehof, J.; et al. TFOS DEWS II epidemiology report. Ocul. Surf. 2017, 15, 334–365. [Google Scholar] [CrossRef]
- Bron, A.J.; de Paiva, C.S.; Chauhan, S.K.; Bonini, S.; Gabison, E.E.; Jain, S.; Knop, E.; Markoulli, M.; Ogawa, Y.; Perez, V.; et al. TFOS DEWS II pathophysiology report. Ocul. Surf. 2017, 15, 438–510, Erratum in Ocul. Surf. 2019, 17, 842. [Google Scholar] [CrossRef] [PubMed]
- Aggarwal, S.; Galor, A. What’s new in dry eye disease diagnosis? Current advances and challenges. F1000Research 2018, 7, 1952. [Google Scholar] [CrossRef] [Green Version]
- Baudouin, C.; Aragona, P.; Messmer, E.M.; Tomlinson, A.; Calonge, M.; Boboridis, K.G.; Akova, Y.A.; Geerling, G.; Labetoulle, M.; Rolando, M. Role of Hyperosmolarity in the Pathogenesis and Management of Dry Eye Disease: Proceedings of the OCEAN Group Meeting. Ocul. Surf. 2013, 11, 246–258. [Google Scholar] [CrossRef] [Green Version]
- Roda, M.; Corazza, I.; Reggiani, M.L.B.; Pellegrini, M.; Taroni, L.; Giannaccare, G.; Versura, P. Dry Eye Disease and Tear Cytokine Levels—A Meta-Analysis. Int. J. Mol. Sci. 2020, 21, 3111. [Google Scholar] [CrossRef] [PubMed]
- Lam, H.; Bleiden, L.; de Paiva, C.; Farley, W.; Stern, M.E.; Pflugfelder, S.C. Tear Cytokine Profiles in Dysfunctional Tear Syndrome. Am. J. Ophthalmol. 2009, 147, 198–205.e1. [Google Scholar] [CrossRef] [PubMed] [Green Version]
- Baudouin, C.; Irkeç, M.; Messmer, E.M.; Benítez-Del-Castillo, J.M.; Bonini, S.; Figueiredo, F.C.; Geerling, G.; Labetoulle, M.; Lemp, M.; Rolando, M.; et al. Clinical impact of inflammation in dry eye disease: Proceedings of the ODISSEY group meeting. Acta Ophthalmol. 2017, 96, 111–119. [Google Scholar] [CrossRef] [PubMed]
- Jones, L.; Downie, L.E.; Korb, D.; Benitez-Del-Castillo, J.M.; Dana, R.; Deng, S.X.; Dong, P.N.; Geerling, G.; Hida, R.Y.; Liu, Y.; et al. TFOS DEWS II Management and Therapy Report. Ocul. Surf. 2017, 15, 575–628. [Google Scholar] [CrossRef] [PubMed]
- Stolz, J.; Luyckx, J.; Baudouin, C. Trehalose: An intriguing disaccharide with potential for medical application in ophthalmology. Clin. Ophthalmol. 2011, 5, 577–581. [Google Scholar] [CrossRef] [PubMed] [Green Version]
- Koshland, D.; Tapia, H. Desiccation tolerance: An unusual window into stress biology. Mol. Biol. Cell 2019, 30, 737–741. [Google Scholar] [CrossRef] [PubMed]
- Cejka, C.; Kubinova, S.; Cejkova, J. Trehalose in Ophthalmology. Histol. Histopathol. 2019, 34, 611–618. [Google Scholar] [CrossRef] [PubMed]
- Hovakimyan, M.; Ramoth, T.; Löbler, M.; Schmitz, K.-P.; Witt, M.; Guthoff, R.; Stachs, O. Evaluation of Protective Effects of Trehalose on Desiccation of Epithelial Cells in Three Dimensional Reconstructed Human Corneal Epithelium. Curr. Eye Res. 2012, 37, 982–989. [Google Scholar] [CrossRef]
- Li, J.; Roubeix, C.; Wang, Y.; Shi, S.; Liu, G.; Baudouin, C.; Chen, W. Therapeutic efficacy of trehalose eye drops for treatment of murine dry eye induced by an intelligently controlled environmental system. Mol. Vis. 2012, 18, 317–329. [Google Scholar]
- Fariselli, C.; Giannaccare, G.; Fresina, M.; Versura, P. Trehalose/hyaluronate eyedrop effects on ocular surface inflammatory markers and mucin expression in dry eye patients. Clin. Ophthalmol. 2018, 12, 1293–1300. [Google Scholar] [CrossRef] [Green Version]
- Barabino, S.; Shen, L.; Chen, L.; Rashid, S.; Rolando, M.; Dana, M.R. The Controlled-Environment Chamber: A New Mouse Model of Dry Eye. Investig. Opthalmology Vis. Sci. 2005, 46, 2766–2771. [Google Scholar] [CrossRef] [PubMed] [Green Version]
- Hyun, S.-W.; Kim, J.; Park, B.; Jo, K.; Lee, T.G.; Kim, J.S.; Kim, C.-S. Apricot Kernel Extract and Amygdalin Inhibit Urban Particulate Matter-Induced Keratoconjunctivitis Sicca. Molecules 2019, 24, 650. [Google Scholar] [CrossRef] [PubMed] [Green Version]
- Moon, I.; Kang, H.G.; Yeo, A.; Noh, H.; Kim, H.C.; Song, J.S.; Ji, Y.W.; Lee, H.K. Comparison of Ocular Surface Mucin Expression After Topical Ophthalmic Drug Administration in Dry Eye-Induced Mouse Model. J. Ocul. Pharmacol. Ther. 2018, 34, 612–620. [Google Scholar] [CrossRef] [PubMed]
- Lio, C.T.; Dhanda, S.; Bose, T. Cluster Analysis of Dry Eye Disease Models Based on Immune Cell Parameters–New Insight Into Therapeutic Perspective. Front. Immunol. 2020, 11, 1930. [Google Scholar] [CrossRef] [PubMed]
- López-Miguel, A.; Tesón, M.; Martín-Montañez, V.; Enríquez-De-Salamanca, A.; Stern, M.E.; Calonge, M.; González-García, M.J. Dry Eye Exacerbation in Patients Exposed to Desiccating Stress under Controlled Environmental Conditions. Am. J. Ophthalmol. 2014, 157, 788–798.e2. [Google Scholar] [CrossRef] [PubMed]
- Rahman, M.; Kim, D.H.; Park, C.-K.; Kim, Y.H. Experimental Models, Induction Protocols, and Measured Parameters in Dry Eye Disease: Focusing on Practical Implications for Experimental Research. Int. J. Mol. Sci. 2021, 22, 12102. [Google Scholar] [CrossRef] [PubMed]
- Barabino, S.; Vilella, E.; Loreggian, L.; Marini, S.; Loretelli, C.; Spedicato, G.A.; Fiorina, P.; Rolando, M. Efficacy of a New Tear Substitute Containing Hyaluronic Acid and a Low Dose of Hydrocortisone in Dry Eye Disease. Investig. Ophthalmol. Vis. Sci. 2021, 62, 1253. [Google Scholar]
- Bucolo, C.; Lazzara, F.; Fidilio, A.; Platania, C.B.M.; Blanco, A.R.; Drago, F. Effect of a New Ophthalmic Hydrocortisone and Sodium Hyaluronate Formulation on Two Experimental Dry Eye Models. In Proceedings of the Acta Ophthalmologica; 111 River ST, Hoboken 07030-5774; Wiley: Hoboken, NJ, USA, 2018; Volume 96, pp. 16–17. [Google Scholar]
- Cagini, C.; Muzi, A.; Castellucci, G.; Ragna, G.; Lupidi, M.; Alabed, H.B.R.; Pellegrino, R.M. Kinetics of hydrocortisone sodium phosphate penetration into the human aqueous humor after topical application. Int. J. Clin. Pract. 2021, 75, e14987. [Google Scholar] [CrossRef] [PubMed]
- Chiambaretta, F.; Doan, S.; Labetoulle, M.; Rocher, N.; El Fekih, L.; Messaoud, R.; Khairallah, M.; Baudouin, C.; HA-trehalose Study Group. A Randomized, Controlled Study of the Efficacy and Safety of a New Eyedrop Formulation for Moderate to Severe Dry Eye Syndrome. Eur. J. Ophthalmol. 2017, 27, 1–9. [Google Scholar] [CrossRef] [Green Version]
- Laihia, J.; Kaarniranta, K. Trehalose for Ocular Surface Health. Biomolecules 2020, 10, 809. [Google Scholar] [CrossRef]
- Mencucci, R.; Favuzza, E.; Decandia, G.; Cennamo, M.; Giansanti, F. Hyaluronic Acid/Trehalose Ophthalmic Solution in Reducing Post-Cataract Surgery Dry Eye Signs and Symptoms: A Prospective, Interventional, Randomized, Open-Label Study. J. Clin. Med. 2021, 10, 4699. [Google Scholar] [CrossRef] [PubMed]
- Gipson, I.K. Goblet cells of the conjunctiva: A review of recent findings. Prog. Retin. Eye Res. 2016, 54, 49–63. [Google Scholar] [CrossRef] [PubMed] [Green Version]
- Murube, J.; Rivas, L. Impression Cytology on Conjunctiva and Cornea in Dry Eye Patients Establishes a Correlation between Squamous Metaplasia and Dry Eye Clinical Severity. Eur. J. Ophthalmol. 2003, 13, 115–127. [Google Scholar] [CrossRef] [PubMed]
- Willcox, M.D.; Argüeso, P.; Georgiev, G.; Holopainen, J.M.; Laurie, G.; Millar, T.J.; Papas, E.B.; Rolland, J.P.; Schmidt, T.A.; Stahl, U.; et al. TFOS DEWS II Tear Film Report. Ocul. Surf. 2017, 15, 366–403. [Google Scholar] [CrossRef] [PubMed] [Green Version]
- Mantelli, F.; Argüeso, P. Functions of ocular surface mucins in health and disease. Curr. Opin. Allergy Clin. Immunol. 2008, 8, 477–483. [Google Scholar] [CrossRef] [PubMed] [Green Version]
- Baudouin, C.; Rolando, M.; Del Castillo, J.M.B.; Messmer, E.M.; Figueiredo, F.C.; Irkec, M.; Van Setten, G.; Labetoulle, M. Reconsidering the central role of mucins in dry eye and ocular surface diseases. Prog. Retin. Eye Res. 2019, 71, 68–87. [Google Scholar] [CrossRef] [PubMed]
- Henriksson, J.T.; de Paiva, C.; Farley, W.; Pflugfelder, S.C.; Burns, A.R.; Bergmanson, J.P.G. Morphologic Alterations of the Palpebral Conjunctival Epithelium in a Dry Eye Model. Cornea 2013, 32, 483–490. [Google Scholar] [CrossRef] [PubMed] [Green Version]
- Corrales, R.M.; Narayanan, S.; Fernández, I.; Mayo, A.; Galarreta, D.J.; Fuentes-Páez, G.; Chaves, F.J.; Herreras, J.M.; Calonge, M.; Fernandez, I. Ocular Mucin Gene Expression Levels as Biomarkers for the Diagnosis of Dry Eye Syndrome. Investig. Opthalmology Vis. Sci. 2011, 52, 8363–8369. [Google Scholar] [CrossRef] [PubMed]
- Perez, V.L.; Stern, M.E.; Pflugfelder, S.C. Inflammatory basis for dry eye disease flares. Exp. Eye Res. 2020, 201, 108294. [Google Scholar] [CrossRef] [PubMed]
- Kessal, K.; Liang, H.; Rabut, G.; Daull, P.; Garrigue, J.-S.; Docquier, M.; Parsadaniantz, S.M.; Baudouin, C.; Brignole-Baudouin, F. Conjunctival Inflammatory Gene Expression Profiling in Dry Eye Disease: Correlations with HLA-DRA and HLA-DRB1. Front. Immunol. 2018, 9, 2271. [Google Scholar] [CrossRef]
- Versura, P.; Profazio, V.; Schiavi, C. Campos E Hyperosmolar Stress Upregulates HLA-DR Expression in Human Conjunctival Epithelium in Dry Eye Patients and in Vitro Models. Investig. Ophthalmol. Vis. Sci. 2011, 52, 5488–5496. [Google Scholar] [CrossRef] [PubMed] [Green Version]
- Brignole-Baudouin, F.; Riancho, L.; Ismail, D.; Deniaud, M.; Amrane, M.; Baudouin, C. Correlation Between the Inflammatory Marker HLA-DR and Signs and Symptoms in Moderate to Severe Dry Eye Disease. Investig. Opthalmol. Vis. Sci. 2017, 58, 2438–2448. [Google Scholar] [CrossRef]
- Li, Z.; Woo, J.M.; Chung, S.W.; Kwon, M.-Y.; Choi, J.-S.; Oh, H.-J.; Yoon, K.-C. Therapeutic Effect of Topical Adiponectin in a Mouse Model of Desiccating Stress–Induced Dry Eye. Investig. Opthalmol. Vis. Sci. 2013, 54, 155–162. [Google Scholar] [CrossRef] [PubMed] [Green Version]
- Contreras-Ruiz, L.; Ghosh-Mitra, A.; Shatos, M.A.; Dartt, D.A.; Masli, S. Modulation of Conjunctival Goblet Cell Function by Inflammatory Cytokines. Mediat. Inflamm. 2013, 2013, 636812. [Google Scholar] [CrossRef] [PubMed] [Green Version]





| Gene | Forward | Reverse |
|---|---|---|
| β-actin | GCAAGCAGGAGTACGATGAGT | AGGGTGTAAAACGCAGCTCAG |
| TNF-α | ACTGAACTTCGGGGTGATCG | TGGTGGTTTGTGAGTGTGAGG |
| HLA-DR | TTTACGACTGCAGGGTGGAG | AGGGCTTGGAGCATCAAACT |
| IL-1β | TGCCACCTTTTGACAGTGATG | TTGGAAGCAGCCCTTCATCTT |
| Goblet cells | PAS | Alcian pH 1.0 | Alcian pH 2.5 |
|---|---|---|---|
| WT | 9.4 (7.1–12.0) | 8.4 (6.2–10.4) | 8.9 (6.4–12.7) |
| LE-CTRL | 4.0 (3.4–6.0) * | 3.6 (2.5–5.6) * | 5.5 (2.9–6.9) * |
| [3.4–6.5] | [2.6–5.6] | [3.2–6.8] | |
| RE-T/HA group | 6.8 (4.2–8.9) *,§ | 4.8 (2.5–8.4) * | 5.4 (2.1–6.9) * |
| [6.0–9.1] | [2.6–8.1] | [2.3–6.9] | |
| RE-I/HA group | 4.7 (3.5–6.9) *,§ | 4.5 (3.1–5.2) * | 6.0 (4.5–8.5) * |
| [3.5–6.7] | [3.2–5.2] | [4.5–8.4] |
Publisher’s Note: MDPI stays neutral with regard to jurisdictional claims in published maps and institutional affiliations. |
© 2022 by the authors. Licensee MDPI, Basel, Switzerland. This article is an open access article distributed under the terms and conditions of the Creative Commons Attribution (CC BY) license (https://creativecommons.org/licenses/by/4.0/).
Share and Cite
Astolfi, G.; Lorenzini, L.; Gobbo, F.; Sarli, G.; Versura, P. Comparison of Trehalose/Hyaluronic Acid (HA) vs. 0.001% Hydrocortisone/HA Eyedrops on Signs and Inflammatory Markers in a Desiccating Model of Dry Eye Disease (DED). J. Clin. Med. 2022, 11, 1518. https://doi.org/10.3390/jcm11061518
Astolfi G, Lorenzini L, Gobbo F, Sarli G, Versura P. Comparison of Trehalose/Hyaluronic Acid (HA) vs. 0.001% Hydrocortisone/HA Eyedrops on Signs and Inflammatory Markers in a Desiccating Model of Dry Eye Disease (DED). Journal of Clinical Medicine. 2022; 11(6):1518. https://doi.org/10.3390/jcm11061518
Chicago/Turabian StyleAstolfi, Gloria, Luca Lorenzini, Francesca Gobbo, Giuseppe Sarli, and Piera Versura. 2022. "Comparison of Trehalose/Hyaluronic Acid (HA) vs. 0.001% Hydrocortisone/HA Eyedrops on Signs and Inflammatory Markers in a Desiccating Model of Dry Eye Disease (DED)" Journal of Clinical Medicine 11, no. 6: 1518. https://doi.org/10.3390/jcm11061518
APA StyleAstolfi, G., Lorenzini, L., Gobbo, F., Sarli, G., & Versura, P. (2022). Comparison of Trehalose/Hyaluronic Acid (HA) vs. 0.001% Hydrocortisone/HA Eyedrops on Signs and Inflammatory Markers in a Desiccating Model of Dry Eye Disease (DED). Journal of Clinical Medicine, 11(6), 1518. https://doi.org/10.3390/jcm11061518

