Minimally Invasive Surgery in Chronic Subdural Hematoma: Prognosis and Recurrence Factors of 516 Cases in a Single Center
Abstract
:1. Introduction
2. Patients and Methods
2.1. Patients Collection
2.2. Hospitalized Flow and Surgical Procedure
2.3. Statistical Analysis
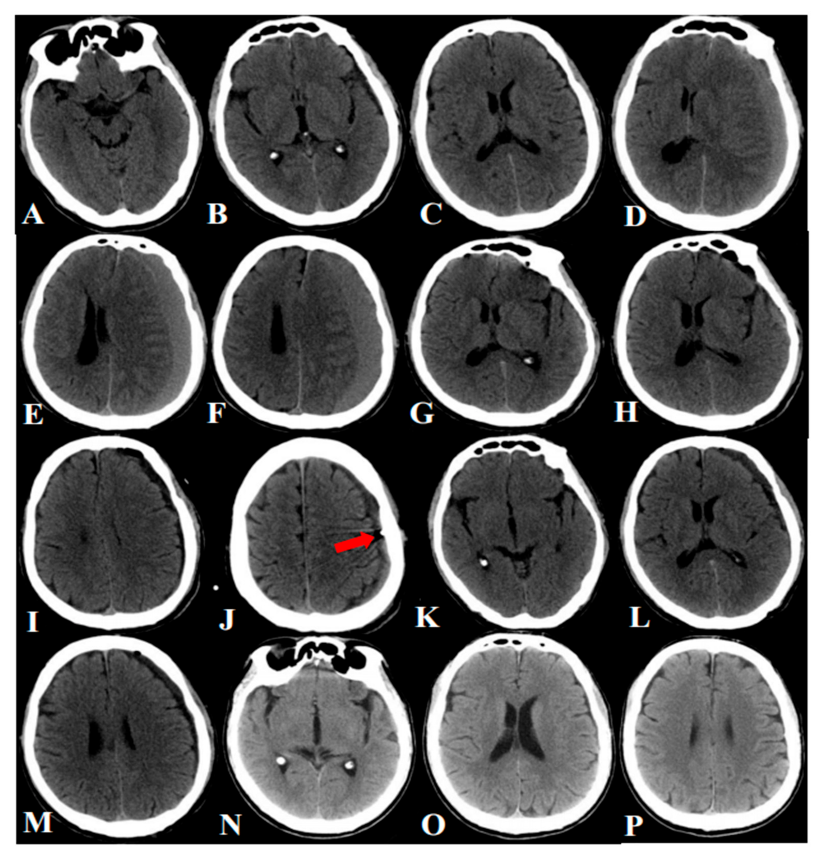
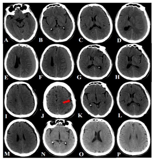
3. Results
3.1. Patients
3.2. Recurrence Factors of CSDH
3.3. Logistic Analysis of Recurrence Factors
4. Discussion
Author Contributions
Funding
Institutional Review Board Statement
Data Availability Statement
Conflicts of Interest
Abbreviations
| MIS | minimally invasive surgery |
| CSDH | chronic subdural hematoma |
References
- Soleman, J.; Lutz, K.; Schaedelin, S.; Kamenova, M.; Guzman, R.; Mariani, L.; Fandino, J. Subperiosteal vs subdural drain after burr-hole drainage of chronic subdural hematoma: A randomized clinical trial (cSDH-Drain-Trial). Neurosurgery 2019, 85, E825–E834. [Google Scholar] [CrossRef] [PubMed]
- Xu, M.; Wang, W.H.; Zhu, S.Q.; Tan, W.G.; Jin, X.G.; Lu, W.; Chen, L. Effects of minimally invasive approaches on chronic subdural hematoma by novel YL-1 puncture needle and burr-hole methods. Acta Neurol. Belg. 2020, 120, 37–42. [Google Scholar] [CrossRef] [PubMed]
- Abecassis, I.J.; Kim, L.J. Craniotomy for Treatment of Chronic Subdural Hematoma. Neurosurg. Clin. N. Am. 2017, 28, 229–237. [Google Scholar] [CrossRef] [PubMed]
- Akpinar, A.; Ucler, N.; Erdogan, U.; Yucetas, C.S. Epidural Hematoma Complication after Rapid Chronic Subdural Hematoma Evacuation: A Case Report. Am. J. Case Rep. 2015, 16, 430–433. [Google Scholar]
- Zanaty, M.; Park, B.J.; Seaman, S.C.; Cliffton, W.E.; Woodiwiss, T.; Piscopo, A.; Howard, M.A.; Abode-Iyamah, K. Predicting Chronic Subdural Hematoma Recurrence and Stroke Outcomes While Withholding Antiplatelet and Anticoagulant Agents. Front. Neurol. 2020, 10, 1401. [Google Scholar] [CrossRef] [Green Version]
- Wang, Q.P.; Yuan, Y.; Guan, J.W.; Jiang, X.B. A comparative study of irrigation versus no irrigation during burr hole craniostomy to treat chronic subdural hematoma. BMC Surg. 2017, 17, 99. [Google Scholar] [CrossRef] [Green Version]
- Escosa Baé, M.; Wessling, H.; Salca, H.C.; de Las Heras Echeverría, P. Use of twist-drill craniostomy with drain in evacuation of chronic subdural hematomas: Independent predictors of recurrence. Acta Neurochir. 2011, 153, 1097–1103. [Google Scholar] [CrossRef]
- Fei, X.; Wan, Y.; Wang, Z.; Chen, H.; Jiang, D. Application of YL-1 Needle in Chronic Subdural Hematoma Treatment for Super-Aged Patients. J. Craniofacial Surg. 2018, 29, e90–e94. [Google Scholar] [CrossRef]
- Brennan, P.M.; Kolias, A.G.; Joannides, A.J.; Shapey, J.; Marcus, H.J.; Gregson, B.A.; Grover, P.J.; Hutchinson, P.J.; Coulter, I.C.; British Neurosurgical Trainee Research Collaborative. The management and outcome for patients with chronic subdural hematoma: A prospective, multicenter, observational cohort study in the United Kingdom. J. Neurosurg. 2017, 127, 732–739. [Google Scholar] [CrossRef] [Green Version]
- Javadi, A.; Amirjamshidi, A.; Aran, S.; Hosseini, S.H. A randomized controlled trial comparing the outcome of burr-hole irrigation with and without drainage in the treatment of chronic subdural hematoma: A preliminary report. World Neurosurg. 2011, 75, 731–736. [Google Scholar] [CrossRef]
- Zhang, H.Z.; Wu, W.; She, L.; Shi, X.Q.; Wang, X.D.; Zhang, X. Risk prognosis factors of chronic subdural hematoma evacuated by the novel YL-1 hollow needle aspiration drainage system. J. Neurosurg. Sci. 2014, 58, 29–36. [Google Scholar] [PubMed]
- Min, X.; Bo, Y.; Cunzu, W.; Xun, Z.; Xiaofeng, L.; Pin, C.; Hengzhu, Z. Minimally Invasive Approach in Bilateral Chronic Subdural Hematomas: Surgical Selection and Outcome in 74 Cases. Turk. Neurosurg. 2017, 27, 380–385. [Google Scholar] [PubMed] [Green Version]
- Xu, M.; Chen, P.; Zhu, X.; Wang, C.; Shi, X.; Yu, B. Effects of Atorvastatin on Conservative and Surgical Treatments of Chronic Subdural Hematoma in Patients. World Neurosurg. 2016, 91, 23–28. [Google Scholar] [CrossRef] [PubMed]
- Chen, L.; Dong, L.; She, L.; Zhang, H.Z.; Wang, X.D.; Yan, Z.C.; Wu, W.; Yang, L. Treatment of chronic subdural hematoma by novel YL-1 hollow needle aspiration drainage system (697 cases report). Neurol. Sci. Off. J. Ital. Neurol. Soc. Ital. Soc. Clin. Neurophysiol. 2017, 38, 109–113. [Google Scholar] [CrossRef] [PubMed]
- Wang, D.; Li, T.; Tian, Y.; Wang, S.; Jin, C.; Wei, H.; Quan, W.; Wang, J.; Chen, J.; Dong, J.; et al. Effects of atorvastatin on chronic subdural hematoma: A preliminary report from three medical centers. J. Neurol. Sci. 2014, 336, 237–242. [Google Scholar] [CrossRef]
- Stanisic, M.; Lyngstadaas, S.P.; Pripp, A.H.; Aasen, A.O.; Lindegaard, K.F.; Ivanovic, J.; Ilstad, E.; Konglund, A.; Sandell, T.; Ellingsen, O.; et al. Chemokines as markers of local inflammation and angiogenesis in patients with chronic subdural hematoma: A prospective study. Acta Neurochir. 2012, 154, 113–120. [Google Scholar] [CrossRef]
- Weigel, R.; Hohenstein, A.; Schilling, L. Vascular endothelial growth factor concentration in chronic subdural hematoma fluid is related to computed tomography appearance and exudation rate. J. Neurotrauma 2014, 31, 670–673. [Google Scholar] [CrossRef] [Green Version]
- Qiu, S.; Zhuo, W.; Sun, C.; Su, Z.; Yan, A.; Shen, L. Effects of atorvastatin on chronic subdural hematoma: A systematic review. Medicine 2017, 96, e7290. [Google Scholar] [CrossRef]
- Tang, R.; Shi, J.; Li, X.; Zou, Y.; Wang, L.; Chen, Y.; Yan, R.; Gao, B.; Feng, H. Effects of Atorvastatin on Surgical Treatments of Chronic Subdural Hematoma. World Neurosurg. 2018, 117, e425–e429. [Google Scholar] [CrossRef]
- Du, B.; Xu, J.; Hu, J.; Zhong, X.; Liang, J.; Lei, P.; Wang, H.; Li, W.; Peng, Y.; Shan, A.; et al. A Clinical Study of the Intra-Neuroendoscopic Technique for the Treatment of Subacute-Chronic and Chronic Septal Subdural Hematoma. Front. Neurol. 2020, 10, 1408. [Google Scholar] [CrossRef]
- Shrestha, D.B.; Budhathoki, P.; Sedhai, Y.R.; Jain, S.; Karki, P.; Jha, P.; Mainali, G.; Ghimire, P. Steroid in Chronic Subdural Hematoma: An Updated Systematic Review and Meta-Analysis Post DEX-CSDH Trial. World Neurosurg. 2021, 158, 84–99. [Google Scholar] [CrossRef] [PubMed]
- Toi, H.; Kinoshita, K.; Hirai, S.; Takai, H.; Hara, K.; Matsushita, N.; Matsubara, S.; Otani, M.; Muramatsu, K.; Matsuda, S.; et al. Present epidemiology of chronic subdural hematoma in Japan: Analysis of 63,358 cases recorded in a national administrative database. J. Neurosurg. 2018, 128, 222–228. [Google Scholar] [CrossRef] [PubMed]
- Matsumoto, H.; Hanayama, H.; Okada, T.; Sakurai, Y.; Minami, H.; Masuda, A.; Tominaga, S.; Miyaji, K.; Yamaura, I.; Yoshida, Y.; et al. Clinical Investigation of Refractory Chronic Subdural Hematoma: A Comparison of Clinical Factors Between Single and Repeated Recurrences. World Neurosurg. 2017, 107, 706–715. [Google Scholar] [CrossRef] [PubMed]
- Fornebo, I.; Sjåvik, K.; Alibeck, M.; Kristiansson, H.; Ståhl, F.; Förander, P.; Jakola, A.S.; Bartek, J., Jr. Role of antithrombotic therapy in the risk of hematoma recurrence and thromboembolism after chronic subdural hematoma evacuation: A population-based consecutive cohort study. Acta Neurochir. 2017, 159, 2045–2052. [Google Scholar] [CrossRef] [PubMed]
- Wang, Y.; Zhou, J.; Fan, C.; Wang, D.; Jiao, F.; Liu, B.; Zhang, Q. Influence of antithrombotic agents on the recurrence of chronic subdural hematomas and the quest about the recommencement of antithrombotic agents: A meta-analysis. J. Clin. Neurosci. Off. J. Neurosurg. Soc. Australas. 2017, 38, 79–83. [Google Scholar] [CrossRef]
- Leroy, H.A.; Aboukaïs, R.; Reyns, N.; Bourgeois, P.; Labreuche, J.; Duhamel, A.; Lejeune, J.P. Predictors of functional outcomes and recurrence of chronic subdural hematomas. J. Clin. Neurosci. Off. J. Neurosurg. Soc. Australas. 2015, 22, 1895–1900. [Google Scholar] [CrossRef]



| Recurrence (N = 33) | No Recurrence (N = 483) | p-Value | |
|---|---|---|---|
| Gender (male–female) | 30:3 | 399:84 | 0.218 |
| Age (range) | 68.48 ± 11.07 | 67.00 ± 11.79 | 0.482 |
| History of head trauma (yes–no) | 24:9 | 357:42 | 0.881 |
| Past history: | |||
| Anticoagulants (yes–no) | 4:29 | 18:465 | 0.045 |
| Disturbed liver function (yes–no) | 1:32 | 10:573 | 0.520 |
| History of heart disease (yes–no) | 4:29 | 44:439 | 0.534 |
| History of malignant tumors (yes–no) | 2:31 | 20:463 | 0.644 |
| History of diabetes (yes–no) | 2:31 | 43:440 | 0.758 |
| History of hemodialysis (yes–no) | 0:33 | 6:477 | 0.614 |
| History of coagulopathy (yes–no) | 1:32 | 24:459 | 0.372 |
| History of alcoholism (yes–no) | 0:33 | 1:482 | 0.794 |
| CT or MRI: | |||
| Hematoma (unilateral–bilateral) | 25:8 | 356:127 | 0.795 |
| Mixed densities (yes–no) | 15:18 | 250:233 | 0.511 |
| Septum formation (yes–no) | 0:33 | 16:467 | 0.615 |
| Maximum thickness (mm) | 21.59 ± 6.26 | 21.64 ± 7.47 | 0.960 |
| Encephalatrophy (yes–no) | 5:28 | 50:433 | 0.380 |
| Postoperative treatments: | |||
| Atorvastatin (yes–no) | 25:8 | 335:148 | 0.504 |
| Urokinase (yes–no) | 29:4 | 433:50 | 0.836 |
| B | Standard Error | Wals | df | p-Value | Exp (B) | 95% CI | |
|---|---|---|---|---|---|---|---|
| Anticoagulants | 1.271 | 0.585 | 4.718 | 1 | 0.030 | 3.563 | 1.132–11.214 |
Publisher’s Note: MDPI stays neutral with regard to jurisdictional claims in published maps and institutional affiliations. |
© 2022 by the authors. Licensee MDPI, Basel, Switzerland. This article is an open access article distributed under the terms and conditions of the Creative Commons Attribution (CC BY) license (https://creativecommons.org/licenses/by/4.0/).
Share and Cite
Xu, M.; Tan, W.; Wang, W.; Wang, D.; Zeng, W.; Wang, C. Minimally Invasive Surgery in Chronic Subdural Hematoma: Prognosis and Recurrence Factors of 516 Cases in a Single Center. J. Clin. Med. 2022, 11, 1321. https://doi.org/10.3390/jcm11051321
Xu M, Tan W, Wang W, Wang D, Zeng W, Wang C. Minimally Invasive Surgery in Chronic Subdural Hematoma: Prognosis and Recurrence Factors of 516 Cases in a Single Center. Journal of Clinical Medicine. 2022; 11(5):1321. https://doi.org/10.3390/jcm11051321
Chicago/Turabian StyleXu, Min, Weiguo Tan, Wenhua Wang, Dongdong Wang, Wei Zeng, and Cunzu Wang. 2022. "Minimally Invasive Surgery in Chronic Subdural Hematoma: Prognosis and Recurrence Factors of 516 Cases in a Single Center" Journal of Clinical Medicine 11, no. 5: 1321. https://doi.org/10.3390/jcm11051321
APA StyleXu, M., Tan, W., Wang, W., Wang, D., Zeng, W., & Wang, C. (2022). Minimally Invasive Surgery in Chronic Subdural Hematoma: Prognosis and Recurrence Factors of 516 Cases in a Single Center. Journal of Clinical Medicine, 11(5), 1321. https://doi.org/10.3390/jcm11051321

