Noninvasive Liver Fibrosis Staging: Comparison of MR Elastography with Extracellular Volume Fraction Analysis Using Contrast-Enhanced CT
Abstract
1. Introduction
2. Materials and Methods
2.1. Study Population
2.2. MR Elastography
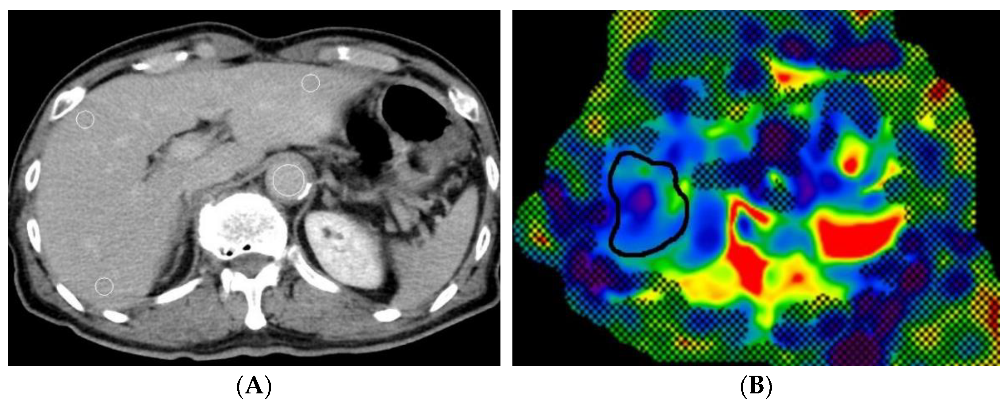
2.3. CT Examinations
2.4. Image Assessments
2.5. Histologic Analysis
2.6. Statistical Analysis
3. Results
4. Discussion
Author Contributions
Funding
Institutional Review Board Statement
Informed Consent Statement
Data Availability Statement
Conflicts of Interest
References
- Yoon, J.H.; Lee, J.M.; Klotz, E.; Jeon, J.H.; Lee, K.B.; Han, J.K.; Choi, B.I. Estimation of hepatic extracellular volume fraction using multiphasic liver computed tomography for hepatic fibrosis grading. Investig. Radiol. 2015, 50, 290–296. [Google Scholar] [CrossRef] [PubMed]
- Guo, S.L.; Su, L.N.; Zhai, Y.N.; Chirume, W.M.; Lei, J.Q.; Zhang, H.; Yang, L.; Shen, X.P.; Wen, X.X.; Guo, Y.M. The clinical value of hepatic extracellular volume fraction using routine multiphasic contrast-enhanced liver CT for staging liver fibrosis. Clin. Radiol. 2017, 72, 242–246. [Google Scholar] [CrossRef] [PubMed]
- Huwart, L.; Sempoux, C.; Salameh, N.; Jamart, J.; Annet, L.; Sinkus, R.; Peeters, F.; ter Beek, L.C.; Horsmans, Y.; Van Beers, B.E. Liver fibrosis: Noninvasive assessment with MR elastography versus aspartate aminotransferase-to-platelet ratio index. Radiology 2007, 245, 458–466. [Google Scholar] [CrossRef]
- Yin, M.; Talwalkar, J.A.; Glaser, K.J.; Manduca, A.; Grimm, R.C.; Rossman, P.J.; Fidler, J.L.; Ehman, R.L. Assessment of Hepatic Fibrosis with Magnetic Resonance Elastography. Clin. Gastroenterol. Hepatol. 2007, 5, 1207–1213. [Google Scholar] [CrossRef] [PubMed]
- Varenika, V.; Fu, Y.; Maher, J.J.; Gao, D.; Kakar, S.; Cabarrus, M.C.; Yeh, B.M. Hepatic fibrosis: Evaluation with semiquantitative contrast-enhanced CT. Radiology 2013, 266, 151–158. [Google Scholar] [CrossRef]
- Zissen, M.H.; Wang, Z.J.; Yee, J.; Aslam, R.; Monto, A.; Yeh, B.M. Contrast-enhanced CT quantification of the hepatic fractional extracellular space: Correlation with diffuse liver disease severity. Am. J. Roentgenol. 2013, 201, 1204–1210. [Google Scholar] [CrossRef]
- Park, H.; Yoon, E.L.; Kim, M.; Cho, S.; Kim, J.H.; Jun, D.W.; Nah, E.H. Selecting the Target Population for Screening of Hepatic Fibrosis in Primary Care Centers in Korea. J. Clin. Med. 2022, 11, 1474. [Google Scholar] [CrossRef]
- Park, H.; Yoon, E.L.; Kim, M.; Kim, J.H.; Cho, S.; Jun, D.W.; Nah, E.H. Fibrosis Burden of Missed and Added Populations According to the New Definition of Metabolic Dysfunction-Associated Fatty Liver. J. Clin. Med. 2021, 10, 4625. [Google Scholar] [CrossRef]
- Ota, T.; Hori, M.; Le Bihan, D.; Fukui, H.; Onishi, H.; Nakamoto, A.; Tsuboyama, T.; Tatsumi, M.; Ogawa, K.; Tomiyama, N. Diffusion-Based Virtual MR Elastography of the Liver: Can It Be Extended beyond Liver Fibrosis? J. Clin. Med. 2021, 10, 4553. [Google Scholar] [CrossRef]
- Thiagarajan, P.; Bawden, S.J.; Aithal, G.P. Metabolic Imaging in Non-Alcoholic Fatty Liver Disease: Applications of Magnetic Resonance Spectroscopy. J. Clin. Med. 2021, 10, 632. [Google Scholar] [CrossRef]
- Marticorena Garcia, S.R.; Althoff, C.E.; Dürr, M.; Halleck, F.; Budde, K.; Grittner, U.; Burkhardt, C.; Jöhrens, K.; Braun, J.; Fischer, T.; et al. Tomoelastography for Longitudinal Monitoring of Viscoelasticity Changes in the Liver and in Renal Allografts after Direct-Acting Antiviral Treatment in 15 Kidney Transplant Recipients with Chronic HCV Infection. J. Clin. Med. 2021, 10, 510. [Google Scholar] [CrossRef] [PubMed]
- Kim, M.; Jun, D.W.; Park, H.; Kang, B.K.; Sumida, Y. Sequential Combination of FIB-4 Followed by M2BPGi Enhanced Diagnostic Performance for Advanced Hepatic Fibrosis in an Average Risk Population. J. Clin. Med. 2020, 9, 1119. [Google Scholar] [CrossRef] [PubMed]
- Venkatesh, S.K.; Hoodeshenas, S.; Venkatesh, S.H.; Dispenzieri, A.; Gertz, M.A.; Torbenson, M.S.; Ehman, R.L. Magnetic Resonance Elastography of Liver in Light Chain Amyloidosis. J. Clin. Med. 2019, 8, 739. [Google Scholar] [CrossRef] [PubMed]
- Sofue, K.; Tsurusaki, M.; Mileto, A.; Hyodo, T.; Sasaki, K.; Nishii, T.; Chikugo, T.; Yada, N.; Kudo, M.; Sugimura, K.; et al. Dual-energy computed tomography for non-invasive staging of liver fibrosis: Accuracy of iodine density measurements from contrast-enhanced data. Hepatol. Res. 2018, 48, 1008–1019. [Google Scholar] [CrossRef]
- Nagayama, Y.; Kato, Y.; Inoue, T.; Nakaura, T.; Oda, S.; Kidoh, M.; Ikeda, O.; Hirai, T. Liver fibrosis assessment with multiphasic dual-energy CT: Diagnostic performance of iodine uptake parameters. Eur. Radiol. 2021, 31, 5779–5790. [Google Scholar] [CrossRef]
- Yeh, W.C.; Li, P.C.; Jeng, Y.M.; Hsu, H.C.; Kuo, P.L.; Li, M.L.; Yang, P.M.; Lee, P.H. Elastic modulus measurements of human liver and correlation with pathology. Ultrasound Med. Biol. 2002, 28, 467–474. [Google Scholar] [CrossRef]
- Castéra, L.; Vergniol, J.; Foucher, J.; Le Bail, B.; Chanteloup, E.; Haaser, M.; Darriet, M.; Couzigou, P.; De Lédinghen, V. Prospective comparison of transient elastography, Fibrotest, APRI, and liver biopsy for the assessment of fibrosis in chronic hepatitis C. Gastroenterology 2005, 128, 343–350. [Google Scholar] [CrossRef]
- Ziol, M.; Handra-Luca, A.; Kettaneh, A.; Christidis, C.; Mal, F.; Kazemi, F.; de Lédinghen, V.; Marcellin, P.; Dhumeaux, D.; Trinchet, J.C.; et al. Noninvasive assessment of liver fibrosis by measurement of stiffness in patients with chronic hepatitis C. Hepatology 2005, 41, 48–54. [Google Scholar] [CrossRef]
- Yoshimitsu, K.; Mitsufuji, T.; Shinagawa, Y.; Fujimitsu, R.; Morita, A.; Urakawa, H.; Hayashi, H.; Takano, K. MR elastography of the liver at 3.0 T in diagnosing liver fibrosis grades; preliminary clinical experience. Eur. Radiol. 2016, 26, 656–663. [Google Scholar] [CrossRef]
- Yoshimitsu, K.; Shinagawa, Y.; Mitsufuji, T.; Mutoh, E.; Urakawa, H.; Sakamoto, K.; Fujimitsu, R.; Takano, K. Preliminary comparison of multi-scale and multi-model direct inversion algorithms for 3T MR elastography. Magn. Reson. Med. Sci. 2017, 16, 73–77. [Google Scholar] [CrossRef]
- Bedossa, P.; Poynard, T. An algorithm for the grading of activity in chronic hepatitis C. Hepatology 1996, 24, 289–293. [Google Scholar] [CrossRef] [PubMed]
- Meng, X.L.; Rosenthal, R.; Rubin, D.B. Comparing Correlated Correlation Coefficients. Psychol. Bull. 1992, 111, 172–175. [Google Scholar] [CrossRef]
- Kanda, Y. Investigation of the freely available easy-to-use software “EZR” for medical statistics. Bone Marrow Transplant. 2013, 48, 452–458. [Google Scholar] [CrossRef]
- EASL. Clinical practice guidelines on non-invasive tests for evaluation of liver disease severity and prognosis—2021 update. J. Hepatol. 2021, 75, 659–689. [Google Scholar] [CrossRef] [PubMed]
- Joshi, M.; Dillman, J.R.; Towbin, A.J.; Serai, S.D.; Trout, A.T. MR elastography: High rate of technical success in pediatric and young adult patients. Pediatr. Radiol. 2017, 47, 838–843. [Google Scholar] [CrossRef] [PubMed]
- Mitsufuji, T.; Shinagawa, Y.; Fujimitsu, R.; Urakawa, H.; Inoue, K.; Takano, K.; Yoshimitsu, K. Measurement consistency of MR elastography at 3.0 T: Comparison among three different region-of-interest placement methods. Jpn. J. Radiol. 2013, 31, 336–341. [Google Scholar] [CrossRef]
- Dongaonkar, R.M.; Stewart, R.H.; Geissler, H.J.; Laine, G.A. Myocardial microvascular permeability, interstitial oedema, and compromised cardiac function. Cardiovasc. Res. 2010, 87, 331–339. [Google Scholar] [CrossRef] [PubMed]
- Mavrogeni, S.I.; Buch, M.; Markousis-Mavrogenis, G.; Dumitru, B.; Pugliese, N.R.; Gargani, L. The perpetual sword of Damocles: Cardiac involvement in systemic sclerosis and the role of non-invasive imaging modalities in medical decision making. Eur. J. Rheumatol. 2020, 7, 203–211. [Google Scholar] [CrossRef]







| Characteristic | Numbers |
|---|---|
| Age (years) * | 72 (67–77) |
| Gender | |
| Male | 41/60 (68.3%) |
| Female | 19/60 (31.7%) |
| Liver fibrosis stage | |
| F0 | 12/60 (20.0%) |
| F1 | 13/60 (21.7%) |
| F2 | 10/60 (16.7%) |
| F3 | 8/60 (13.3%) |
| F4 | 17/60 (28.3%) |
| Liver inflammation grade | |
| A0 | 17/60 (28.3%) |
| A1 | 28/60 (46.7%) |
| A2 | 15/60 (25.0%) |
| A3 | 0/60 (0.0%) |
| Liver disease and etiology | |
| None | 13/60 (21.7%) |
| Alcoholic liver disease | 7/60 (11.7%) |
| Nonalcoholic steatohepatitis | 5/60 (8.3%) |
| Autoimmune hepatitis | 1/60 (1.7%) |
| Viral hepatitis type B | 6/60 (10.0%) |
| Viral hepatitis type C | 21/60 (35.0%) |
| Viral hepatitis type B & C | 2/60 (3.3%) |
| Cryptogenic chronic hepatitis | 5/60(8.3%) |
| Pathology of liver masses | |
| Hepatocellular carcinoma | 48/60 (80.0%) |
| Intrahepatic cholangiocellular carcinoma | 4/60 (6.7%) |
| Combined hepatocellular carcinoma | 4/60 (6.7%) |
| Others | 4/60 (6.7%) |
| Type of Hepatectomy | |
| Lobectomy | 12/60 (20.0%) |
| Segmentectomy | 18/60 (30.0%) |
| Sub-segmentectomy | 5/60 (8.3%) |
| Partial hepatectomy | 25/60 (41.7%) |
| Liver Fibrosis Stage | AUROC | p Value | |
|---|---|---|---|
| MR Elastography | fECV Using CT | ||
| Radiologist 1 | |||
| F0 versus F1–4 | 0.85 | 0.64 | 0.06 |
| F0–1 versus F2–4 | 0.87 | 0.62 | <0.005 |
| F0–2 versus F3–4 | 0.87 | 0.62 | <0.005 |
| F0–3 versus F4 | 0.84 | 0.70 | 0.08 |
| Radiologist 2 | |||
| F0 versus F1–4 | 0.82 | 0.69 | 0.2 |
| F0–1 versus F2–4 | 0.89 | 0.63 | <0.005 |
| F0–2 versus F3–4 | 0.86 | 0.62 | <0.01 |
| F0–3 versus F4 | 0.83 | 0.71 | 0.2 |
| Liver Fibrosis Stage | Sensitivity | Specificity | ||||
|---|---|---|---|---|---|---|
| MRE | fECV | p Value | MRE | fECV | p Value | |
| Radiologist 1 | ||||||
| F0 versus F1–4 | 0.67 | 0.65 | 1.00 | 0.83 | 0.75 | 1.00 |
| F0–1 versus F2–4 | 0.74 | 0.66 | 0.61 | 0.88 | 0.64 | 0.11 |
| F0–2 versus F3–4 | 0.80 | 0.68 | 0.51 | 0.89 | 0.57 | <0.01 |
| F0–3 versus F4 | 0.82 | 0.82 | 1.00 | 0.81 | 0.58 | <0.05 |
| Radiologist 2 | ||||||
| F0 versus F1–4 | 0.71 | 0.65 | 0.66 | 0.92 | 0.75 | 0.62 |
| F0–1 versus F2–4 | 0.71 | 0.54 | 0.24 | 1.00 | 0.76 | <0.05 |
| F0–2 versus F3–4 | 0.80 | 0.60 | 0.23 | 0.91 | 0.71 | 0.07 |
| F0–3 versus F4 | 0.82 | 0.71 | 0.68 | 0.79 | 0.70 | 0.45 |
| Spearman Rank Correlation Coefficient | |||
|---|---|---|---|
| MR Elastography | fECV of CT | p Value | |
| Radiologist 1 | |||
| All (n = 60) | 0.70 | 0.28 | <0.01 |
| Inflammation grade A0 (n = 17) | 0.67 | 0.28 | <0.01 |
| Inflammation grade A1 (n = 28) | 0.64 | 0.27 | <0.05 |
| Inflammation grade A2 (n = 15) | 0.58 | 0.23 | <0.05 |
| Radiologist 2 | |||
| All (n = 60) | 0.68 | 0.31 | <0.01 |
| Inflammation grade A0 (n = 17) | 0.69 | 0.30 | <0.005 |
| Inflammation grade A1 (n = 28) | 0.66 | 0.31 | <0.05 |
| Inflammation grade A2 (n = 15) | 0.51 | 0.07 | <0.01 |
| Liver Fibrosis Stage | AUROC | p Value | |
|---|---|---|---|
| MR Elastography | fECV Using CT | ||
| Radiologist 1 | |||
| F0 versus F1–4 | 0.96 | 0.68 | 0.11 |
| F0–1 versus F2–4 | 0.85 | 0.46 | <0.005 |
| F0–2 versus F3–4 | 0.8 | 0.55 | <0.01 |
| F0–3 versus F4 | 0.78 | 0.57 | <0.01 |
| Radiologist 2 | |||
| F0 versus F1–4 | 0.92 | 0.59 | <0.01 |
| F0–1 versus F2–4 | 0.87 | 0.51 | <0.005 |
| F0–2 versus F3–4 | 0.79 | 0.59 | 0.13 |
| F0–3 versus F4 | 0.78 | 0.51 | 0.06 |
| Liver Fibrosis Stage | AUROC | p Value | |
|---|---|---|---|
| MR Elastography | fECV Using CT | ||
| Non-anatomical resection group | |||
| Radiologist 1 | |||
| F0 versus F1–4 | N/A | N/A | N/A |
| F0–1 versus F2–4 | 0.89 | 0.67 | 0.17 |
| F0–2 versus F3–4 | 0.83 | 0.78 | 0.73 |
| F0–3 versus F4 | 0.84 | 0.81 | 0.8 |
| Radiologist 2 | |||
| F0 versus F1–4 | N/A | N/A | N/A |
| F0–1 versus F2–4 | 0.91 | 0.77 | 0.27 |
| F0–2 versus F3–4 | 0.83 | 0.75 | 0.57 |
| F0–3 versus F4 | 0.84 | 0.79 | 0.68 |
| Anatomical resection group | |||
| Radiologist 1 | |||
| F0 versus F1–4 | 0.82 | 0.64 | 0.16 |
| F0–1 versus F2–4 | 0.88 | 0.61 | <0.05 |
| F0–2 versus F3–4 | 0.91 | 0.52 | <0.005 |
| F0–3 versus F4 | 0.89 | 0.71 | 0.3 |
| Radiologist 2 | |||
| F0 versus F1–4 | 0.8 | 0.68 | 0.46 |
| F0–1 versus F2–4 | 0.88 | 0.56 | <0.05 |
| F0–2 versus F3–4 | 0.91 | 0.5 | <0.005 |
| F0–3 versus F4 | 0.84 | 0.65 | 0.39 |
Publisher’s Note: MDPI stays neutral with regard to jurisdictional claims in published maps and institutional affiliations. |
© 2022 by the authors. Licensee MDPI, Basel, Switzerland. This article is an open access article distributed under the terms and conditions of the Creative Commons Attribution (CC BY) license (https://creativecommons.org/licenses/by/4.0/).
Share and Cite
Yano, K.; Onishi, H.; Tsuboyama, T.; Nakamoto, A.; Ota, T.; Fukui, H.; Tatsumi, M.; Tanigaki, T.; Gotoh, K.; Kobayashi, S.; et al. Noninvasive Liver Fibrosis Staging: Comparison of MR Elastography with Extracellular Volume Fraction Analysis Using Contrast-Enhanced CT. J. Clin. Med. 2022, 11, 5653. https://doi.org/10.3390/jcm11195653
Yano K, Onishi H, Tsuboyama T, Nakamoto A, Ota T, Fukui H, Tatsumi M, Tanigaki T, Gotoh K, Kobayashi S, et al. Noninvasive Liver Fibrosis Staging: Comparison of MR Elastography with Extracellular Volume Fraction Analysis Using Contrast-Enhanced CT. Journal of Clinical Medicine. 2022; 11(19):5653. https://doi.org/10.3390/jcm11195653
Chicago/Turabian StyleYano, Keigo, Hiromitsu Onishi, Takahiro Tsuboyama, Atsushi Nakamoto, Takashi Ota, Hideyuki Fukui, Mitsuaki Tatsumi, Takumi Tanigaki, Kunihito Gotoh, Shogo Kobayashi, and et al. 2022. "Noninvasive Liver Fibrosis Staging: Comparison of MR Elastography with Extracellular Volume Fraction Analysis Using Contrast-Enhanced CT" Journal of Clinical Medicine 11, no. 19: 5653. https://doi.org/10.3390/jcm11195653
APA StyleYano, K., Onishi, H., Tsuboyama, T., Nakamoto, A., Ota, T., Fukui, H., Tatsumi, M., Tanigaki, T., Gotoh, K., Kobayashi, S., Honma, K., Eguchi, H., & Tomiyama, N. (2022). Noninvasive Liver Fibrosis Staging: Comparison of MR Elastography with Extracellular Volume Fraction Analysis Using Contrast-Enhanced CT. Journal of Clinical Medicine, 11(19), 5653. https://doi.org/10.3390/jcm11195653

