Fat Infiltration of Multifidus Muscle Is Correlated with Neck Disability in Patients with Non-Specific Chronic Neck Pain
Abstract
:1. Introduction
2. Materials and Methods
2.1. Participants
2.2. Experimental Procedure
2.3. Cranio-Cervical Flexion Test
2.4. Neck Flexor and Extensor Muscle Endurance
2.5. Cervical Range of Motion
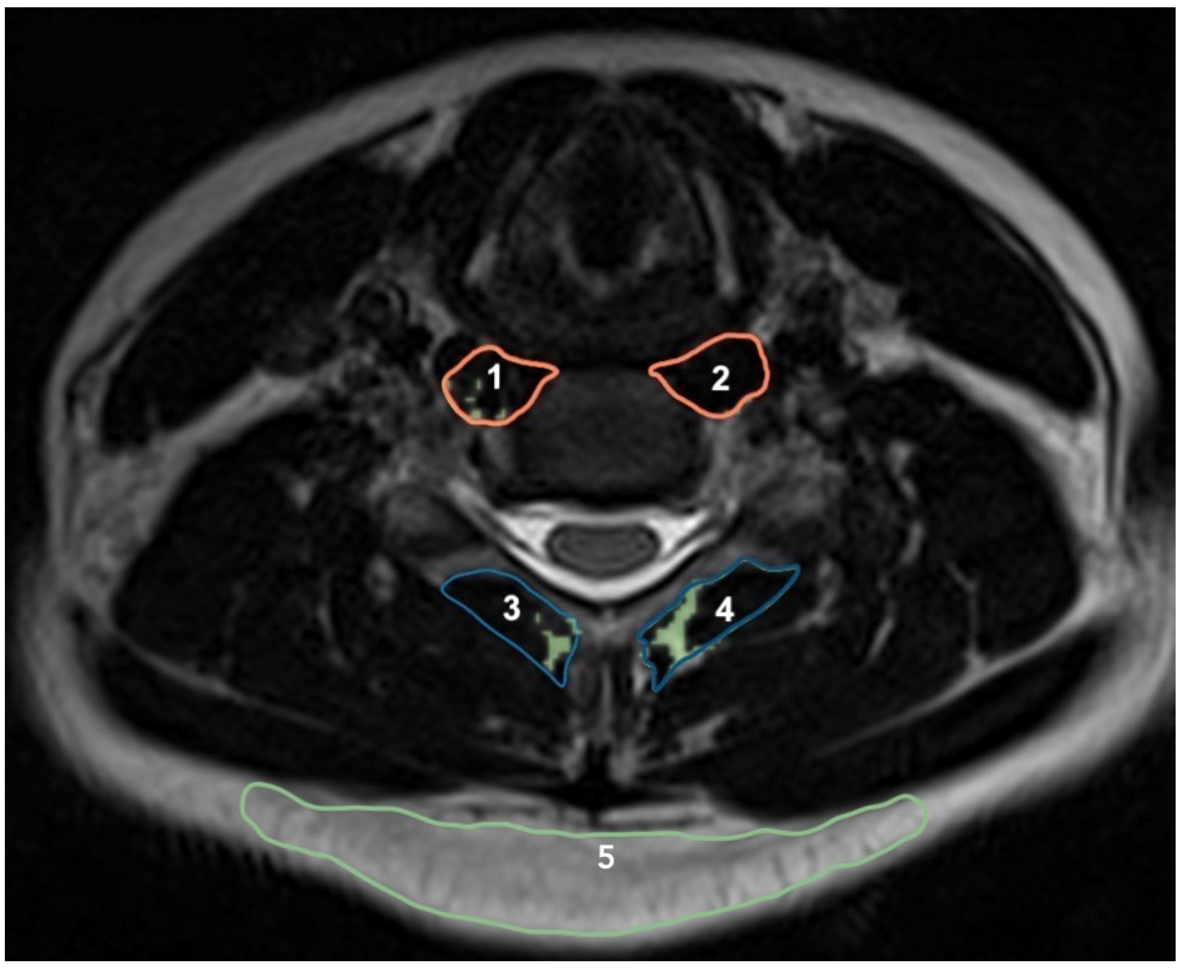
2.6. Muscle Cross-Sectional Area, Volume, and Fat Infiltration
2.7. Statistical Analysis
3. Results
4. Discussion
5. Strengths and Limitations
6. Conclusions
Author Contributions
Funding
Institutional Review Board Statement
Informed Consent Statement
Data Availability Statement
Conflicts of Interest
References
- Safiri, S.; Kolahi, A.-A.; Hoy, D.; Buchbinder, R.; Mansournia, M.A.; Bettampadi, D.; Ashrafi-Asgarabad, A.; Almasi-Hashiani, A.; Smith, E.; Sepidarkish, M.; et al. Global, Regional, and National Burden of Neck Pain in the General Population, 1990–2017: Systematic Analysis of the Global Burden of Disease Study 2017. BMJ 2020, 368, m791. [Google Scholar] [CrossRef]
- Vos, T.; Lim, S.S.; Abbafati, C.; Abbas, K.M.; Abbasi, M.; Abbasifard, M.; Abbasi-Kangevari, M.; Abbastabar, H.; Abd-Allah, F.; Abdelalim, A.; et al. Global Burden of 369 Diseases and Injuries in 204 Countries and Territories, 1990–2019: A Systematic Analysis for the Global Burden of Disease Study 2019. Lancet 2020, 396, 1204–1222. [Google Scholar] [CrossRef]
- Hoy, D.G.; Protani, M.; De, R.; Buchbinder, R. The Epidemiology of Neck Pain. Best Pract. Res. Clin. Rheumatol. 2010, 24, 783–792. [Google Scholar] [CrossRef] [PubMed]
- Hogg-Johnson, S.; van der Velde, G.; Carroll, L.J.; Holm, L.W.; Cassidy, J.D.; Guzman, J.; Côté, P.; Haldeman, S.; Ammendolia, C.; Carragee, E.; et al. The Burden and Determinants of Neck Pain in the General Population. Spine 2008, 33, S39–S51. [Google Scholar] [CrossRef]
- Gross, A.; Kay, T.M.; Paquin, J.P.; Blanchette, S.; Lalonde, P.; Christie, T.; Dupont, G.; Graham, N.; Burnie, S.J.; Gelley, G.; et al. Exercises for Mechanical Neck Disorders. Cochrane Database Syst. Rev. 2015, 2015, CD004250. [Google Scholar] [CrossRef]
- Blanpied, P.R.; Gross, A.R.; Elliott, J.M.; Devaney, L.L.; Clewley, D.; Walton, D.M.; Sparks, C.; Robertson, E.K. Neck Pain: Revision 2017. J. Orthop. Sports Phys. Ther. 2017, 47, A1–A83. [Google Scholar] [CrossRef]
- Falla, D.; Bilenkij, G.; Jull, G. Patients with Chronic Neck Pain Demonstrate Altered Patterns of Muscle Activation during Performance of A Functional Upper Limb Task. Spine 2004, 29, 1436–1440. [Google Scholar] [CrossRef]
- Jull, G.A.; O’Leary, S.P.; Falla, D.L. Clinical Assessment of the Deep Cervical Flexor Muscles: The Craniocervical Flexion Test. J. Manip. Physiol. Ther. 2008, 31, 525–533. [Google Scholar] [CrossRef] [PubMed]
- Boudreau, S.A.; Falla, D. Chronic Neck Pain Alters Muscle Activation Patterns to Sudden Movements. Exp. Brain Res. 2014, 232, 2011–2020. [Google Scholar] [CrossRef] [PubMed]
- Ghamkhar, L.; Kahlaee, A.H.; Nourbakhsh, M.R.; Ahmadi, A.; Arab, A.M. Relationship Between Proprioception and Endurance Functionality of the Cervical Flexor Muscles in Chronic Neck Pain and Asymptomatic Participants. J. Manip. Physiol. Ther. 2018, 41, 129–136. [Google Scholar] [CrossRef] [PubMed]
- Martins, F.; Bento, A.; Silva, A.G. Within-Session and Between-Session Reliability, Construct Validity, and Comparison Between Individuals with and without Neck Pain of Four Neck Muscle Tests. PM&R 2018, 10, 183–193. [Google Scholar] [CrossRef]
- O’Leary, S.; Hoogma, C.; Solberg, Ø.M.; Sundberg, S.; Pedler, A.; Van Wyk, L. Comparative Strength and Endurance Parameters of the Craniocervical and Cervicothoracic Extensors and Flexors in Females with and without Idiopathic Neck Pain. J. Appl. Biomech. 2019, 35, 209–215. [Google Scholar] [CrossRef] [PubMed]
- Reddy, R.S.; Meziat-Filho, N.; Ferreira, A.S.; Tedla, J.S.; Kandakurti, P.K.; Kakaraparthi, V.N. Comparison of Neck Extensor Muscle Endurance and Cervical Proprioception between Asymptomatic Individuals and Patients with Chronic Neck Pain. J. Bodyw. Mov. Ther. 2021, 26, 180–186. [Google Scholar] [CrossRef] [PubMed]
- Kahlaee, A.H.; Rezasoltani, A.; Ghamkhar, L. Is the Clinical Cervical Extensor Endurance Test Capable of Differentiating the Local and Global Muscles? Spine J. 2017, 17, 913–921. [Google Scholar] [CrossRef] [PubMed]
- Ghamkhar, L.; Kahlaee, A.H. Is Forward Head Posture Relevant to Cervical Muscles Performance and Neck Pain? A Case-Control Study. Braz. J. Phys. Ther. 2019, 23, 346–354. [Google Scholar] [CrossRef]
- Amiri Arimi, S.; Ghamkhar, L.; Kahlaee, A.H. The Relevance of Proprioception to Chronic Neck Pain: A Correlational Analysis of Flexor Muscle Size and Endurance, Clinical Neck Pain Characteristics, and Proprioception. Pain Med. 2018, 19, 2077–2088. [Google Scholar] [CrossRef]
- Elliott, J.M.; Pedler, A.R.; Jull, G.A.; Van Wyk, L.; Galloway, G.G.; O’Leary, S.P. Differential Changes in Muscle Composition Exist in Traumatic and Nontraumatic Neck Pain. Spine 2014, 39, 39–47. [Google Scholar] [CrossRef] [PubMed]
- Van Looveren, E.; Cagnie, B.; Coppieters, I.; Meeus, M.; De Pauw, R. Changes in Muscle Morphology in Female Chronic Neck Pain Patients Using Magnetic Resonance Imaging. Spine 2021, 46, 638–648. [Google Scholar] [CrossRef]
- Snodgrass, S.J.; Croker, C.; Yerrapothu, M.; Shepherd, S.; Stanwell, P.; Holder, C.; Oldmeadow, C.; Elliott, J. Cervical Muscle Volume in Individuals with Idiopathic Neck Pain Compared to Asymptomatic Controls: A Cross-Sectional Mag-netic Resonance Imaging Study. Musculoskelet. Sci. Pract. 2019, 44, 102050. [Google Scholar] [CrossRef]
- Ghamkhar, L.; Kahlaee, A.H. Are Ultrasonographic Measures of Cervical Flexor Muscles Correlated with Flexion Endurance in Chronic Neck Pain and Asymptomatic Participants? Am. J. Phys. Med. Rehabil. 2017, 96, 874–880. [Google Scholar] [CrossRef]
- Falla, D.; O’Leary, S.; Farina, D.; Jull, G. The Change in Deep Cervical Flexor Activity after Training Is Associated with the Degree of Pain Reduction in Patients with Chronic Neck Pain. Clin. J. Pain 2012, 28, 628–634. [Google Scholar] [CrossRef] [PubMed]
- Parazza, S.; Vanti, C.; O’Reilly, C.; Villafañe, J.H.; Tricás Moreno, J.M.; Estébanez De Miguel, E. The Relationship between Cervical Flexor Endurance, Cervical Extensor Endurance, VAS, and Disability in Subjects with Neck Pain. Chiropr Man Therap 2014, 22, 10. [Google Scholar] [CrossRef]
- Baghi, R.; Rahnama, L.; Karimi, N.; Goodarzi, F.; Rezasoltani, A.; Jaberzadeh, S. Differential Activation of the Dorsal Neck Muscles During a Light Arm-Elevation Task in Patients with Chronic Nonspecific Neck Pain and Asymptomatic Controls: An Ultrasonographic Study. PMR 2017, 9, 699–706. [Google Scholar] [CrossRef] [PubMed]
- Fortin, M.; Dobrescu, O.; Jarzem, P.; Ouellet, J.; Weber, M.H. Quantitative Magnetic Resonance Imaging Analysis of the Cervical Spine Extensor Muscles: Intrarater and Interrater Reliability of a Novice and an Experienced Rater. Asian Spine J. 2018, 12, 94–102. [Google Scholar] [CrossRef] [PubMed]
- Cloney, M.; Smith, A.C.; Coffey, T.; Paliwal, M.; Dhaher, Y.; Parrish, T.; Elliott, J.; Smith, Z.A. Fatty Infiltration of the Cervical Multifidus Musculature and Their Clinical Correlates in Spondylotic Myelopathy. J. Clin. Neurosci. 2018, 57, 208–213. [Google Scholar] [CrossRef] [PubMed]
- Smith, A.C.; Albin, S.R.; Abbott, R.; Crawford, R.J.; Hoggarth, M.A.; Wasielew-ski, M.; Elliott, J.M. Confirming the Geography of Fatty Infiltration in the Deep Cervical Extensor Muscles in Whiplash Recovery. Sci. Rep. 2020, 10, 11471. [Google Scholar] [CrossRef]
- Elliott, J.M.; Smith, A.C.; Hoggarth, M.A.; Albin, S.R.; Weber, K.A.; Haager, M.; Fundaun, J.; Wasielewski, M.; Courtney, D.M.; Parrish, T.B. Muscle Fat Infiltration Following Whiplash: A Computed Tomography and Magnetic Resonance Imaging Comparison. PLoS ONE 2020, 15, e0234061. [Google Scholar] [CrossRef]
- Elliott, J.M.; Courtney, D.M.; Rademaker, A.; Pinto, D.; Sterling, M.M.; Parrish, T.B. The Rapid and Progressive Degeneration of the Cervical Multifidus in Whiplash: An MRI Study of Fatty Infiltration. Spine 2015, 40, E694–E700. [Google Scholar] [CrossRef]
- Abbott, R.; Pedler, A.; Sterling, M.; Hides, J.; Murphey, T.; Hoggarth, M.; Elliott, J. The Geography of Fatty Infiltrates within the Cervical Multifidus and Semispinalis Cervicis in Individuals with Chronic Whiplash-Associated Disorders. J. Orthop. Sports Phys. Ther. 2015, 45, 281–288. [Google Scholar] [CrossRef]
- Paliwal, M.; Weber, K.A.; Smith, A.C.; Elliott, J.M.; Muhammad, F.; Dahdaleh, N.S.; Bodurka, J.; Dhaher, Y.; Parrish, T.B.; Mackey, S.; et al. Fatty Infiltration in Cervical Flexors and Extensors in Patients with Degenerative Cervical Myelopathy Using a Multi-Muscle Segmentation Model. PLoS ONE 2021, 16, e0253863. [Google Scholar] [CrossRef] [PubMed]
- Karlsson, A.; Leinhard, O.D.; Åslund, U.; West, J.; Romu, T.; Smedby, Ö.; Zsigmond, P.; Peolsson, A. An Investigation of Fat Infiltration of the Multifidus Muscle in Patients with Severe Neck Symptoms Associated with Chronic Whiplash-Associated Disorder. J. Orthop. Sports Phys. Ther. 2016, 46, 886–893. [Google Scholar] [CrossRef]
- Wlodyka-Demaille, S.; Poiraudeau, S.; Catanzariti, J.-F.; Rannou, F.; Fermanian, J.; Revel, M. French Translation and Validation of 3 Functional Disability Scales for Neck Pain. Arch. Phys. Med. Rehabil. 2002, 83, 376–382. [Google Scholar] [CrossRef] [PubMed]
- Jones, C.; Sterling, M. Clinimetrics: Neck Disability Index. J. Physiother. 2021, 67, 144. [Google Scholar] [CrossRef] [PubMed]
- Gandek, B.; Ware, J.E.; Aaronson, N.K.; Apolone, G.; Bjorner, J.B.; Brazier, J.E.; Bullinger, M.; Kaasa, S.; Leplege, A.; Prieto, L.; et al. Cross-Validation of Item Selection and Scoring for the SF-12 Health Survey in Nine Countries: Results from the IQOLA Project. International Quality of Life Assessment. J. Clin. Epidemiol. 1998, 51, 1171–1178. [Google Scholar] [CrossRef]
- Hawker, G.A.; Mian, S.; Kendzerska, T.; French, M. Measures of Adult Pain: Visual Analog Scale for Pain (VAS Pain), Numeric Rating Scale for Pain (NRS Pain), McGill Pain Questionnaire (MPQ), Short-Form McGill Pain Questionnaire (SF-MPQ), Chronic Pain Grade Scale (CPGS), Short Form-36 Bodily Pain Scale (SF-36 BPS), and Measure of Intermittent and Constant Osteoarthritis Pain (ICOAP). Arthritis Care Res. 2011, 630 (Suppl. S11), S240–S252. [Google Scholar] [CrossRef]
- James, G.; Doe, T. The Craniocervical Flexion Test: Intra-Tester Reliability in Asymptomatic Subjects. Physiother. Res. Int. 2010, 15, 144–149. [Google Scholar] [CrossRef] [PubMed]
- Araujo, F.X.D.; Ferreira, G.E.; Scholl Schell, M.; Castro, M.P.D.; Ribeiro, D.C.; Silva, M.F. Measurement Properties of the Craniocervical Flexion Test: A Sys-tematic Review. Phys. Ther. 2020, 100, 1094–1117. [Google Scholar] [CrossRef] [PubMed]
- Jørgensen, R.; Ris, I.; Falla, D.; Juul-Kristensen, B. Reliability, Construct and Discriminative Validity of Clinical Testing in Subjects with and without Chronic Neck Pain. BMC Musculoskelet. Disord. 2014, 15, 408. [Google Scholar] [CrossRef]
- Edmondston, S.J.; Wallumrød, M.E.; Macléid, F.; Kvamme, L.S.; Joebges, S.; Brabham, G.C. Reliability of Isometric Muscle Endurance Tests in Subjects with Postural Neck Pain. J. Manip. Physiol. Ther. 2008, 31, 348–354. [Google Scholar] [CrossRef] [PubMed]
- Lourenço, A.S.; Lameiras, C.; Silva, A.G. Neck Flexor and Extensor Muscle Endurance in Subclinical Neck Pain: Intrarater Reliability, Standard Error of Measurement, Minimal Detectable Change, and Comparison with Asymptomatic Participants in a University Student Population. J. Manip. Physiol. Ther. 2016, 39, 427–433. [Google Scholar] [CrossRef]
- Harris, K.D.; Heer, D.M.; Roy, T.C.; Santos, D.M.; Whitman, J.M.; Wainner, R.S. Reliability of A Measurement of Neck Flexor Muscle Endurance. Phys. Ther. 2005, 85, 1349–1355. [Google Scholar] [CrossRef]
- Lee, H.; Nicholson, L.L.; Adams, R.D. Neck Muscle Endurance, Self-Report, and Range of Motion Data from Subjects with Treated and Untreated Neck Pain. J. Manip. Physiol. Ther. 2005, 28, 25–32. [Google Scholar] [CrossRef] [PubMed]
- Guidetti, L.; Placentino, U.; Baldari, C. Reliability and Criterion Validity of the Smartphone Inclinometer Application to Quantify Cervical Spine Mobility. Clin. Spine Surg. 2017, 30, E1359–E1366. [Google Scholar] [CrossRef]
- Belavý, D.L.; Miokovic, T.; Armbrecht, G.; Felsenberg, D. Evaluation of Neck Muscle Size: Long-Term Reliability and Comparison of Methods. Physiol. Meas. 2015, 36, 503–512. [Google Scholar] [CrossRef] [PubMed]
- Yao, F.; Wang, J.; Yao, J.; Hang, F.; Lei, X.; Cao, Y. Three-Dimensional Image Reconstruction with Free Open-Source OsiriX Software in Video-Assisted Thoracoscopic Lobectomy and Segmentectomy. Int. J. Surg. 2017, 39, 16–22. [Google Scholar] [CrossRef] [PubMed]
- Mukaka, M.M. Statistics Corner: A Guide to Appropriate Use of Correlation Coefficient in Medical Research. Malawi Med. J. 2012, 24, 69–71. [Google Scholar]
- Matsumoto, M.; Ichihara, D.; Okada, E.; Chiba, K.; Toyama, Y.; Fujiwara, H.; Momoshima, S.; Nishiwaki, Y.; Takahata, T. Cross-Sectional Area of the Posterior Extensor Muscles of the Cervical Spine in Whiplash Injury Patients versus Healthy Volunteers-10 Year Follow-up MR Study. Injury 2012, 43, 912–916. [Google Scholar] [CrossRef]
- Elliott, J.; Pedler, A.; Kenardy, J.; Galloway, G.; Jull, G.; Sterling, M. The Temporal Development of Fatty Infiltrates in the Neck Muscles Following Whiplash Injury: An Association with Pain and Posttraumatic Stress. PLoS ONE 2011, 6, e21194. [Google Scholar] [CrossRef]
- Winslow, J.; Getzin, A.; Greenberger, H.; Silbert, W. Fatty Infiltrate of the Lumbar Multifidus Muscles Predicts Return to Play in Young Athletes with Extension-Based Low Back Pain. Clin. J. Sport Med. 2019, 29, 37–42. [Google Scholar] [CrossRef]
- Elliott, J.; Jull, G.; Noteboom, J.T.; Darnell, R.; Galloway, G.; Gibbon, W.W. Fatty Infiltration in the Cervical Extensor Muscles in Persistent Whiplash-Associated Disorders: A Magnetic Resonance Imaging Analysis. Spine 2006, 31, E847–E855. [Google Scholar] [CrossRef]
- Pedler, A.; McMahon, K.; Galloway, G.; Durbridge, G.; Sterling, M. Intramuscular Fat Is Present in Cervical Multifidus but Not Soleus in Patients with Chronic Whiplash Associated Disorders. PLoS ONE 2018, 13, e0197438. [Google Scholar] [CrossRef] [PubMed]
- Karlsson, A.; Peolsson, A.; Elliott, J.; Romu, T.; Ljunggren, H.; Borga, M.; Dahlqvist Leinhard, O. The Relation between Local and Distal Muscle Fat Infiltration in Chronic Whiplash Using Magnetic Resonance Imaging. PLoS ONE 2019, 14, e0226037. [Google Scholar] [CrossRef] [PubMed]
- James, G.; Millecamps, M.; Stone, L.S.; Hodges, P.W. Multifidus Muscle Fiber Type Distribution Is Changed in Mouse Models of Chronic Intervertebral Disc Degeneration, but Is Not Attenuated by Whole Body Physical Activity. Spine 2021, 46, 1612–1620. [Google Scholar] [CrossRef] [PubMed]
- Hodges, P.W.; James, G.; Blomster, L.; Hall, L.; Schmid, A.; Shu, C.; Little, C.; Melrose, J. Multifidus Muscle Changes After Back Injury Are Characterized by Structural Remodeling of Muscle, Adipose and Connective Tissue, but Not Muscle Atrophy: Molecular and Morphological Evidence. Spine 2015, 40, 1057–1071. [Google Scholar] [CrossRef] [PubMed]
- Sterling, M.; Elliott, J.M.; Cabot, P.J. The Course of Serum Inflammatory Biomarkers Following Whiplash Injury and Their Relationship to Sensory and Muscle Measures: A Longitudinal Cohort Study. PLoS ONE 2013, 8, e77903. [Google Scholar] [CrossRef] [PubMed]
- McRobbie, D.W.; Moore, E.A.; Graves, M.J.; Prince, M.R. MRI from Picture to Proton, 2nd ed.; Cambridge University Press: Cambridge, UK, 2006. [Google Scholar]
- Owers, D.S.; Perriman, D.M.; Smith, P.N.; Neeman, T.; Webb, A.L. Evidence for Cervical Muscle Morphometric Changes on Magnetic Resonance Images after Whiplash: A Systematic Review and Meta-Analysis. Injury 2018, 49, 165–176. [Google Scholar] [CrossRef] [PubMed]
- Yun, Y.; Lee, E.J.; Kim, Y.; Kim, J.C.; Lee, S.A.; Chon, J. Asymmetric Atrophy of Cervical Multifidus Muscles in Patients with Chronic Unilateral Cervical Radiculopathy. Medicine 2019, 98, e16041. [Google Scholar] [CrossRef]
- Elliott, J.M.; Rueckeis, C.A.; Pan, Y.; Parrish, T.B.; Walton, D.M.; Linnstaedt, S.D. MicroRNA Let-7i-5p Mediates the Relationship between Muscle Fat Infiltration and Neck Pain Disability Following Motor Vehicle Collision: A Preliminary Study. Sci. Rep. 2021, 11, 3140. [Google Scholar] [CrossRef]
- Yoon, S.Y.; Moon, H.I.; Lee, S.C.; Eun, N.L.; Kim, Y.W. Association between Cervical Lordotic Curvature and Cervical Muscle Cross-Sectional Area in Patients with Loss of Cervical Lordosis. Clin. Anat. 2018, 31, 710–715. [Google Scholar] [CrossRef]
- Lee, B.-J.; Park, J.H.; Jeon, S.-R.; Rhim, S.-C.; Roh, S.W. Importance of the Preoperative Cross-Sectional Area of the Semispinalis Cervicis as a Risk Factor for Loss of Lordosis after Laminoplasty in Patients with Cervical Spondylotic Myelopathy. Eur. Spine J. 2018, 27, 2720–2728. [Google Scholar] [CrossRef]
- Kim, C.-Y.; Lee, S.-M.; Lim, S.-A.; Choi, Y.-S. Impact of Fat Infiltration in Cervical Extensor Muscles on Cervical Lordosis and Neck Pain: A Cross-Sectional Study. Clin. Orthop. Surg. 2018, 10, 197–203. [Google Scholar] [CrossRef] [PubMed]
- Kim, K.-R.; Lee, C.-K.; Park, J.-Y.; Kim, I.-S. Preoperative Parameters for Predicting the Loss of Lordosis After Cervical Laminoplasty. Spine 2020, 45, 1476–1484. [Google Scholar] [CrossRef] [PubMed]
- Wang, X.-J.; Huang, K.-K.; He, J.-B.; Wu, T.-K.; Rong, X.; Liu, H. Fatty Infiltration in Cervical Extensor Muscle: Is There a Relationship with Cervical Sagittal Alignment after Anterior Cervical Discectomy and Fusion? BMC Musculoskelet. Disord. 2022, 23, 641. [Google Scholar] [CrossRef] [PubMed]



| Clinical Characteristics | Mean (SD) | Min–Max |
|---|---|---|
| Duration (months) | 77.1 (76.3) | 4–240 |
| Numeric Pain Rating Scale | 5.1 (1.6) | 3–8 |
| Neck Disability Index (NDI) | 38.6 (12.3) | 20–66 |
| Pain Catastrophizing Scale | 21.9 (10.8) | 3–37 |
| PCS-12 | 35.3 (6.1) | 27.4–46.3 |
| MCS-12 | 34.2 (7.4) | 23.7–56.4 |
| Cervical flexion ROM (°) | 50.6 (16.4) | 20–80 |
| Cervical extension ROM (°) | 46.5 (17.6) | 5–100 |
| Right cervical lateral flexion ROM (°) | 29.7 (10.2) | 12–52 |
| Left cervical lateral flexion ROM (°) | 29.4 (9.4) | 13–56 |
| Right cervical rotation ROM (°) | 59.7 (9.2) | 39–86 |
| Left cervical rotation ROM (°) | 61.0 (10.0) | 43–90 |
| Neck Muscle Parameters | Mean (SD) | Min–Max |
|---|---|---|
| CCFT (mmHg) | 23.6 (1.7) | 20.0–28.0 |
| Endurance neck flexors (s) | 20.0 (10.1) | 6.3–57.7 |
| Endurance neck extensors (s) | 36.8 (22.4) | 8.4–114.5 |
| Mean (SD) | Min–Max | ||
| CSA C3/4 | rCSA-Multifidus (mm2) | 132.5 (37.1) | 51.9–197.1 |
| %MFI-CSA-Multifidus | 36.9 (17.4) | 2.8–69.7 | |
| rCSA-Colli (mm2) | 124.1 (23.2) | 96.7–187.3 | |
| %MFI-CSA-Colli | 0.1 (0.1) | 0.0–0.2 | |
| CSA C4/5 | rCSA-Multifidus (mm2) | 198.0 (39.5) | 135.9–288.4 |
| %MFI-CSA-Multifidus | 20.6 (9.4) | 7.0–41.8 | |
| rCSA-Colli (mm2) | 145.7 (38.3) | 82.5–214.1 | |
| %MFI-CSA-Colli | 6.0 (6.7) | 0–21.9 | |
| CSA C5/6 | rCSA-Multifidus (mm2) | 196.3 (43.3) | 124.4–300.8 |
| %MFI-CSA-Multifidus | 25.5 (11.6) | 9.1–47.2 | |
| rCSA-Colli (mm2) | 134.2 (36.3) | 66.4–205.4 | |
| %MFI-CSA-Colli | 4.9 (5.2) | 0–20.4 | |
| CSA C6/7 | rCSA-Multifidus (mm2) | 201.0 (78.5) | 51.3–406.6 |
| %MFI-CSA-Multifidus | 41.1 (18.3) | 15.2–85.2 | |
| rCSA-Colli (mm2) | 163.2 (31.8) | 103.4–214.2 | |
| %MFI-CSA-Colli | 4.4 (7.4) | 0–30.5 | |
| Volume Measurements | Mean (SD) | Min–Max |
|---|---|---|
| VOL-Multifidus (mm3) | 12,953.0 (3243.9) | 8795.5–23,892.7 |
| VOL-Colli (mm3) | 10,299.0 (2390.9) | 5950.9–15,418.5 |
| rVOL-Multifidus (mm3) | 9146.8 (2322.6) | 6760.8–17,506.0 |
| rVOL-Colli (mm3) | 9100.1 (2136.5) | 5434.5–13,988.4 |
| Norm-rVOL-Multifidus | 54.7 (11.1) | 41.0–90.6 |
| Norm-rVOL-Colli | 54.5 (10.6) | 33.7–78.6 |
| %MFI-VOL-Multifidus (%) | 28.6 (9.3) | 11.58–52.0 |
| %MFI-VOL-Colli (%) | 11.5 (5.1) | 4.3–22.4 |
| Neck Muscle Parameters | Coefficient of Correlation with NDI | |
|---|---|---|
| CCFT (mmHg) ° | 0.025 | p = 0.905 |
| Endurance neck flexors (s) ° | −0.093 | p = 0.657 |
| Endurance neck extensors (s) ° | 0.032 | p = 0.878 |
| Volume | ||
| Norm-rVOL-Multifidus ° | −0.380 | p = 0.061 |
| Norm-rVOL-Colli | 0.124 | p = 0.555 |
| %MFI-VOL-Multifidus | 0.572 | p = 0.003 * |
| %MFI-VOL-Colli | 0.195 | p = 0.349 |
| CSA C3/4 | ||
| rCSA-Multifidus (mm2) | −0.047 | p = 0.823 |
| %MFI-CSA-Multifidus | 0.313 | p = 0.128 |
| rCSA-Colli (mm2) ° | 0.130 | p = 0.534 |
| %MFI-CSA-Colli ° | 0.181 | p = 0.385 |
| CSA C4/5 | ||
| rCSA-Multifidus (mm2) | −0.117 | p = 0.578 |
| %MFI-CSA-Multifidus | 0.497 | p = 0.011 * |
| rCSA-Colli (mm2) | −0.061 | p = 0.771 |
| %MFI-CSA-Colli ° | −0.038 | p = 0.857 |
| CSA C5/6 | ||
| rCSA-Multifidus (mm2) | −0.365 | p = 0.073 |
| %MFI-CSA-Multifidus ° | 0.498 | p = 0.011 * |
| rCSA-Colli (mm2) | 0.057 | p = 0.787 |
| %MFI-CSA-Colli ° | −0.228 | p = 0.273 |
| CSA C6/7 | ||
| rCSA-Multifidus (mm2) | −0.548 | p = 0.005 * |
| %MFI-CSA-Multifidus ° | 0.552 | p = 0.004 * |
| rCSA-Colli (mm2) | 0.347 | p = 0.089 |
| %MFI-CSA-Colli ° | −0.038 | p = 0.123 |
Publisher’s Note: MDPI stays neutral with regard to jurisdictional claims in published maps and institutional affiliations. |
© 2022 by the authors. Licensee MDPI, Basel, Switzerland. This article is an open access article distributed under the terms and conditions of the Creative Commons Attribution (CC BY) license (https://creativecommons.org/licenses/by/4.0/).
Share and Cite
Grondin, F.; Freppel, S.; Jull, G.; Gérard, T.; Caderby, T.; Peyrot, N. Fat Infiltration of Multifidus Muscle Is Correlated with Neck Disability in Patients with Non-Specific Chronic Neck Pain. J. Clin. Med. 2022, 11, 5522. https://doi.org/10.3390/jcm11195522
Grondin F, Freppel S, Jull G, Gérard T, Caderby T, Peyrot N. Fat Infiltration of Multifidus Muscle Is Correlated with Neck Disability in Patients with Non-Specific Chronic Neck Pain. Journal of Clinical Medicine. 2022; 11(19):5522. https://doi.org/10.3390/jcm11195522
Chicago/Turabian StyleGrondin, Francis, Sébastien Freppel, Gwendolen Jull, Thomas Gérard, Teddy Caderby, and Nicolas Peyrot. 2022. "Fat Infiltration of Multifidus Muscle Is Correlated with Neck Disability in Patients with Non-Specific Chronic Neck Pain" Journal of Clinical Medicine 11, no. 19: 5522. https://doi.org/10.3390/jcm11195522
APA StyleGrondin, F., Freppel, S., Jull, G., Gérard, T., Caderby, T., & Peyrot, N. (2022). Fat Infiltration of Multifidus Muscle Is Correlated with Neck Disability in Patients with Non-Specific Chronic Neck Pain. Journal of Clinical Medicine, 11(19), 5522. https://doi.org/10.3390/jcm11195522

