Clinico-Pathological Profile and Outcomes of 45 Cases of Plasma Cell Gingivitis
Abstract
1. Introduction
2. Materials and Methods
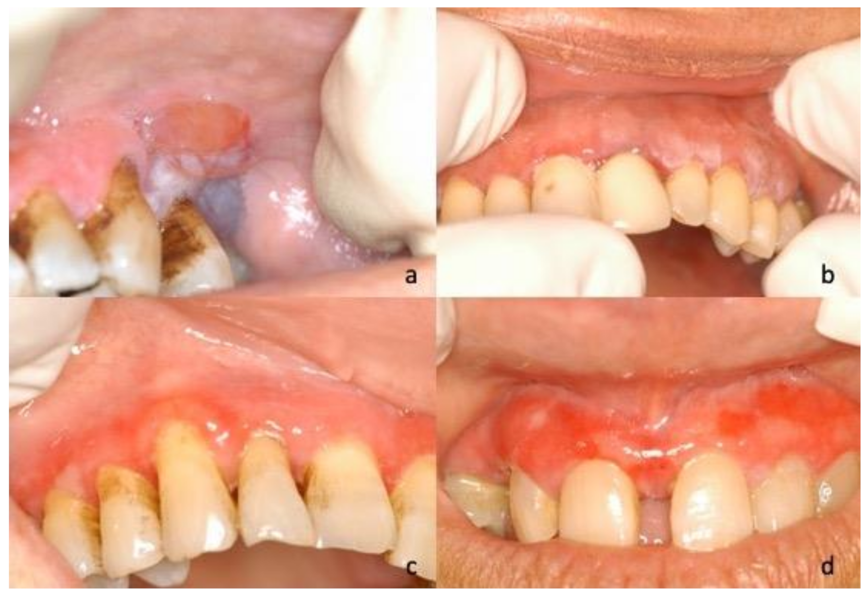
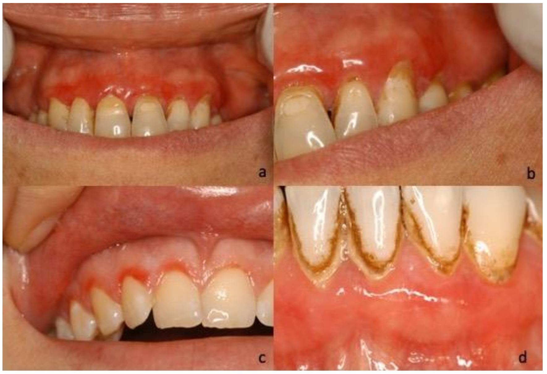
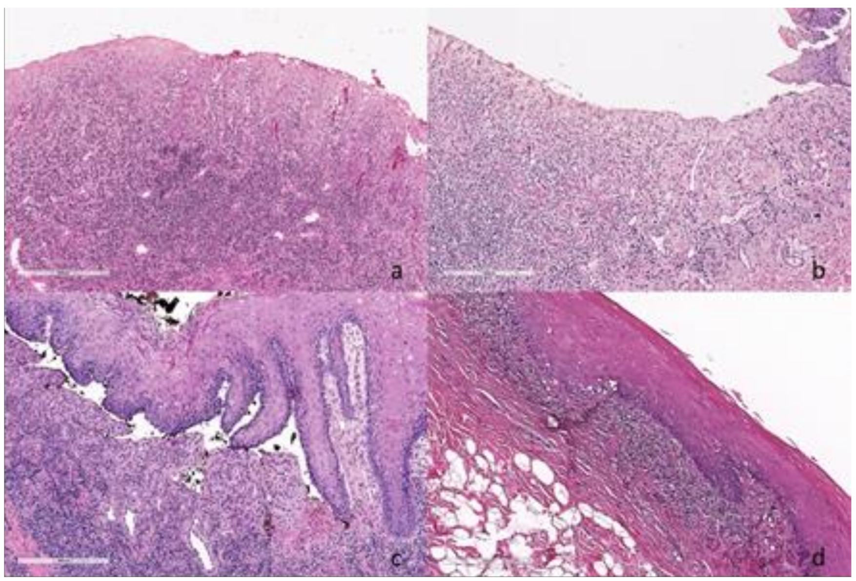
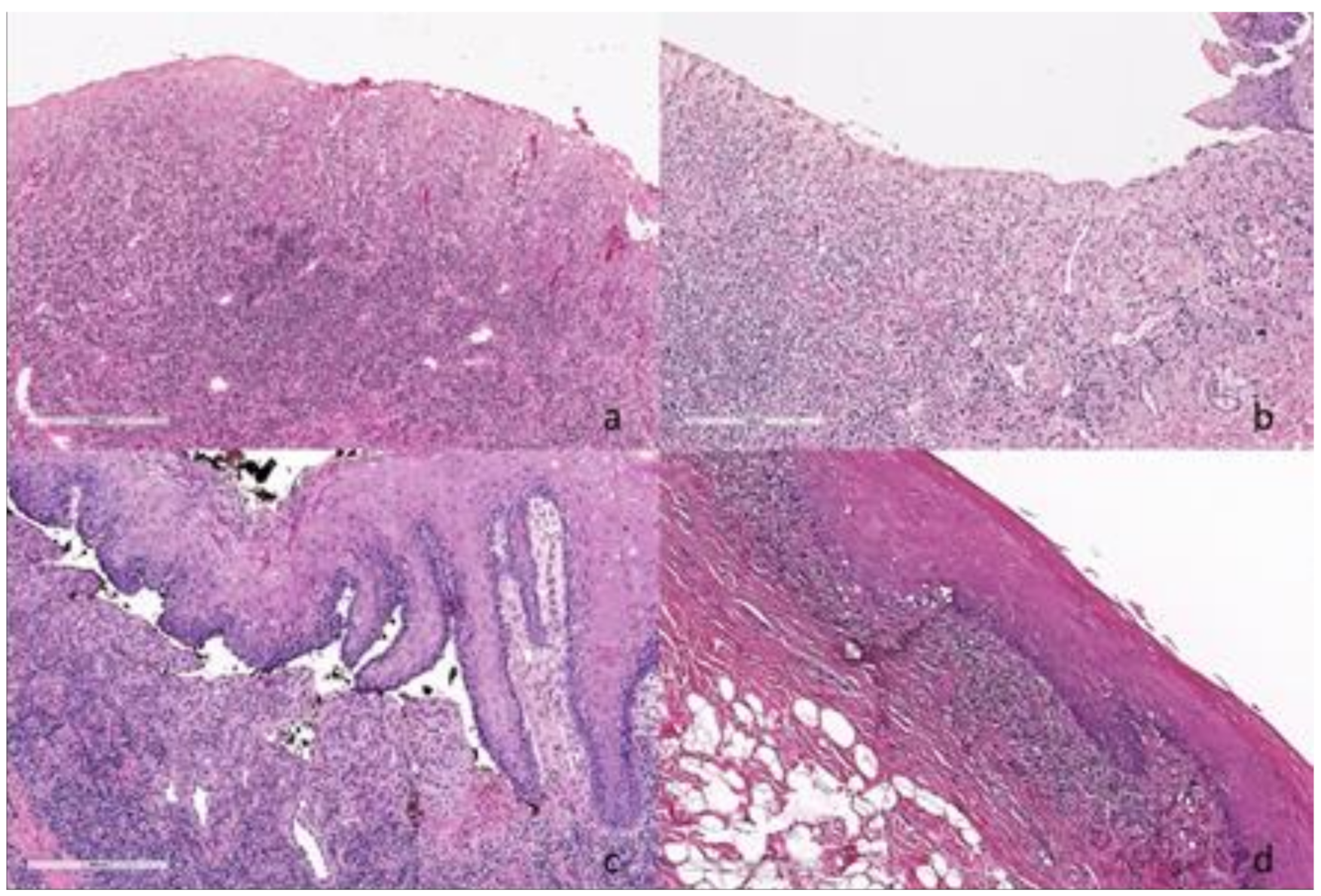
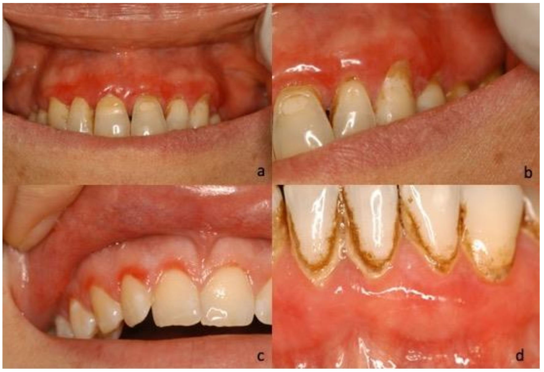
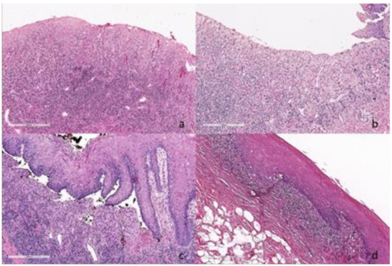
3. Results
4. Discussion
Author Contributions
Funding
Institutional Review Board Statement
Informed Consent Statement
Data Availability Statement
Acknowledgments
Conflicts of Interest
References
- Solomon, L.W.; Wein, R.O.; Rosenwald, I.; Laver, N. Plasma cell mucositis of the oral cavity: Report of a case and review of the literature. Oral Surg. Oral Med. Oral Pathol. Oral Radiol. Endodontology 2008, 106, 853–860. [Google Scholar] [CrossRef] [PubMed]
- Galvin, S.; Bowe, C.; Regan, E.M.O.; Conlon, R.; Flint, S.R.; Healy, C.M. Circumorificial plasmacytosis/plasma cell orificial mucositis: A case series and a review of the literature. Oral Surg. Oral Med. Oral Pathol. Oral Radiol. 2016, 122, e77–e81. [Google Scholar] [CrossRef]
- Brix, W.K.; Nassau, S.R.; Patterson, J.W.; Cousar, J.B.; Wick, M.R. Idiopathic Lymphoplasmacellular mucositis-dermatitis. J. Cutan. Pathol. 2010, 37, 426–443. [Google Scholar] [CrossRef] [PubMed]
- Tong, D.C.; Leaper, M.R.; Colquhoun, A.N.; Rich, A.M. An unusual presentation of oropharyngeal mucosal plasmacytosis related to toothpaste. J. Laryngol. Otol. 2008, 122, 1112–1114. [Google Scholar] [CrossRef]
- Mistry, S.G.; Watson, G.J.; Rothera, M.P. Balloon dilatation to treat plasmacytosis of the supraglottic larynx. J. Laryngol. Otol. 2012, 126, 1077–1080. [Google Scholar] [CrossRef]
- Kerr, D.A.; McClatchey, K.D.; Regezi, J.A. Allergic Gingivostomatitis (Due to Gum Chewing). J. Periodontol. 1971, 42, 709–712. [Google Scholar] [CrossRef]
- Jerome Miller, M.D. Cheilitis from sensitivity to oil of cinnamon present in bubble gum. J. Am. Med. Assoc. 1946, 132, 701–702. [Google Scholar]
- Yeretsky, W. Contact Allergy Due to Chewing Gum; a Case Report. Mich. Dent. Assoc. J. 1940, 22, i6. [Google Scholar]
- Sugarman, M.M. Contact allergy due to mint chewing gum. Oral Surg. Oral Med. Oral Pathol. 1950, 3, 1145–1147. [Google Scholar] [CrossRef]
- Silverman, S., Jr.; Lozada, F. An epilogue to plasma-cell gingivostomatitis (allergic gingivostamtitis). Br. Dent. J. 2017, 223, 619. [Google Scholar]
- Lamdari, N.; Pradhan, S. Plasma cell gingivitis-a case report. Indian J. Public Heal. Res. Dev. 2019, 10, 1658–1661. [Google Scholar] [CrossRef]
- Marker, P.; Krogdahl, A. Plasma cell gingivitis apparently related to the use of khat: Report of a case. Br. Dent. J. 2002, 192, 311–313. [Google Scholar] [CrossRef]
- Vinay, K.; Abhijit, C.; Dogra, S. Unusual manifestation of mucosal plasmacytosis mimicking erythema multiforme. Dermatol. Online J. 2013, 22, 15. [Google Scholar]
- Al-ak’hali, M.S.; Al-haddad, K.A.; Al-hebshi, N.N. Oral plasma-cell mucositis exacerbated by qat chewing—A case series. Saudi J. Dent. Res. 2015, 6, 60–66. [Google Scholar] [CrossRef][Green Version]
- Rawal, S.Y.; Rawal, Y.B.; Anderson, K.M.; Bland, P.S.; Stein, S.H. Plasma cell gingivitis associated with khat chewing. Periodontal Practice Today 2008, 5, 21–28. [Google Scholar]
- Bali, D.; Gill, S.; Bali, A. Plasma cell gingivitis-A rare case related to Colocasia (arbi) leaves. Contemp. Clin. Dent. 2012, 3, 182. [Google Scholar] [CrossRef]
- Reed, B.E.; Barrett, A.P.; Katelaris, C.; Bilous, M. Orofacial sensitivity reactions and the role of dietary components. Case reports. Aust. Dent. J. 1993, 38, 287–291. [Google Scholar] [CrossRef] [PubMed]
- Panpradit, N.; Lapthanasupkul, P. Plasma cell gingivitis associated with dry flower buds of clove: A case report. Dent. J. 2017, 37, 155–162. [Google Scholar]
- Epstein, R.S.; Archard, H.O.; Griffin, J.W.; Baer, P.N. Psychiatric and Histologic Findings in an Unusual Type of Chronic Gingivitis: Report of Seven Cases. J. Periodontol. 1972, 43, 110–114. [Google Scholar] [CrossRef]
- Fujimura, T.; Furudate, S.; Ishibashi, M.; Kambayashi, Y.; Tojo, G.I.; Wakusawa, C.; Mayama, H.; Aiba, S. Successful treatment of plasmacytosis circumorificialis with topical tacrolimus: Two case reports and an immunohistochemical study. Case Rep. Dermatol. 2013, 5, 79–83. [Google Scholar] [CrossRef]
- Lubow, R.M.; Cooley, R.L.; Hartman, K.S.; McDaniel, R.K. Plasma-cell gingivitis: Report of a case. Am. J. Orthod. Oral Surg. 1984, 55, 235–241. [Google Scholar] [CrossRef]
- Senol, M.; Ozcan, A.; Aydin, N.E.; Hazneci, E.; Turan, N. Intertriginous plasmacytosis with plasmoacanthoma: Report of a typical case and review of the literature. Int. J. Dermatol. 2008, 47, 265–268. [Google Scholar] [CrossRef]
- Palmer, R.M.; Eveson, J.W. Plasma-cell gingivitis. Oral Surg. Oral Med. Oral Pathol. 1981, 51, 187–189. [Google Scholar] [CrossRef]
- Smith, M.E.; Crighton, A.J.; Chisholm, D.M.; Mountain, R.E. Plasma cell mucositis: A review and case report. J. Oral Pathol. Med. 2007, 28, 183–186. [Google Scholar] [CrossRef]
- Dos Santos, H.T.; Cunha, J.L.S.; Santana, L.A.M.; Trento, C.L.; Marquetti, A.C.; de Albuquerque-Júnior, R.L.C.; de Sousa, S.F. Plasma cell cheilitis: The diagnosis of a disorder mimicking lip cancer. Autops. Case Rep. 2019, 9, e2018075. [Google Scholar] [PubMed]
- Madhavarajan, S.; Tighe, J. Orofacial plasmacytosis: A management conundrum. Br. J. Oral Maxillofac. Surg. 2015, 53, 399–402. [Google Scholar] [CrossRef]
- Tse, J.Y.; Chan, M.P.; Ferry, J.A.; Deshpande, V.; Sohani, A.R.; Nardi, V.; Schaffer, A.; Nazarian, R.M.; Zukerberg, L.R. Syphilis of the Aerodigestive Tract. Am. J. Surg. Pathol. 2018, 42, 472–478. [Google Scholar] [CrossRef] [PubMed]
- Schulte, K.M.; Talat, N. Castleman’s disease—A two compartment model of HHV8 infection. Nat. Rev. Clin. Oncol. 2010, 7, 533–543. [Google Scholar] [CrossRef] [PubMed]
- Voiriot, G.; Fajac, A.; Gibelin, A.; Parrot, A.; Fartoukh, M. Alveolar lymphocytosis with plasmacytosis in severe COVID-19. Respir. Med. Res. 2020, 78, 100784. [Google Scholar] [CrossRef]
- Farrier, J.N.; Perkins, C.S. Plasma cell cheilitis. Br. J. Oral Maxillofac. Surg. 2008, 46, 679–680. [Google Scholar] [CrossRef] [PubMed]
- Yamaguchi, Y.; Nishie, W.; Ito, T.; Shimizu, H. Plasma cell cheilitis successfully treated with topical calcineurin inhibitors. Eur. J. Dermatol. 2016, 26, 609–610. [Google Scholar] [CrossRef] [PubMed]
- Rocha, N.; Mota, F.; Horta, M.; Lima, O.; Massa, A.; Sanches, M. Plasma cell cheilitis. J. Eur. Acad. Dermatol. Venereol. 2004, 18, 96–98. [Google Scholar] [CrossRef]
- Makkar, A.; Tewari, S.; Kishor, K.; Kataria, S. An unusual clinical presentation of plasma cell gingivitis related to ‘acacia’ containing herbal toothpaste. J. Indian Soc. Periodontol. 2013, 17, 527–530. [Google Scholar] [CrossRef]
- Grattan, C.E.H.; Gentle, T.A.; Basu, M.K. Oral papillary plasmacytosis resembling candidosis without demonstrable fungus in lesional tissue. Clin. Exp. Dermatol. 1992, 17, 112–116. [Google Scholar] [CrossRef]
- Jayaraman, A.G.; Cesca, C.; Kohler, S. Cutaneous plasmacytosis: A report of five cases with immunohistochemical evaluation for HHV-8 expression. Am. J. Dermatopathol. 2006, 28, 93–98. [Google Scholar] [CrossRef] [PubMed]
- Lee, J.Y.; Kim, K.H.; Hahm, J.E.; Ha, J.W.; Kwon, W.J.; Kim, C.W.; Kim, S.S. Plasma cell cheilitis: A clinicopathological and immunohistochemical study of 13 cases. Ann. Dermatol. 2017, 29, 536–542. [Google Scholar] [CrossRef]
- White, J.W. Plasma Cell Orificial Mucositis. Arch. Dermatol. 1986, 122, 1321. [Google Scholar] [CrossRef] [PubMed]
- Agarwal, S.; Chaubey, K.K.; Arora, V.K.; Nirwal, A.; Thakur, R.; Madan, E. Plasma Cell Gingivitis-a Misnomer or Reality. J. Adv. Res. Bio. Sci. 2013, 6, 58–62. [Google Scholar]
- Arduino, P.G.; D’Aiuto, F.; Cavallito, C.; Carcieri, P.; Carbone, M.; Conrotto, D.; Defabianis, P.; Broccoletti, R. Professional Oral Hygiene as a Therapeutic Option for Pediatric Patients with Plasma Cell Gingivitis: Preliminary Results of a Prospective Case Series. J. Periodontol. 2011, 82, 1670–1675. [Google Scholar] [CrossRef] [PubMed]
- Jing, L.; Kim, S.; Sun, L.; Wang, L.; Mildner, E.; Divaris, K.; Jiao, Y.; Offenbacher, S. IL-37- and IL-35/IL-37-Producing Plasma Cells in Chronic Periodontitis. J. Dent. Res. 2019, 98, 813–821. [Google Scholar] [CrossRef]
- Kumar, V.; Tripathi, A.K.; Saimbi, C.S.; Sinha, J. Plasma cell gingivitis with severe alveolar bone loss. Case Rep. 2015. [Google Scholar] [CrossRef]
- Mignogna, M.D.; Fortuna, G.; Leuci, S.; Ruoppo, E.; Marasca, F.; Matarasso, S. Nikolsky’s sign on the gingival mucosa: A clinical tool for oral health practitioners. J. Periodontol. 2008, 79, 2241–2246. [Google Scholar] [CrossRef]
- Rashid, H.; Lamberts, A.; Diercks, G.F.H.; Pas, H.H.; Meijer, J.M.; Bolling, M.C.; Horváth, B. Oral Lesions in Autoimmune Bullous Diseases: An Overview of Clinical Characteristics and Diagnostic Algorithm. Am. J. Clin. Dermatol. 2019, 20, 847–861. [Google Scholar] [CrossRef] [PubMed]
- Kamaguchi, M.; Iwata, H.; Ujiie, I.; Ujiie, H.; Sato, J.; Kitagawa, Y.; Shimizu, H. Direct Immunofluorescence Using Non-Lesional Buccal Mucosa in Mucous Membrane Pemphigoid. Front. Med. 2018, 5, 20. [Google Scholar] [CrossRef] [PubMed]
- Pepper, T.; Shekar, K.; Singh, M.; Brennan, P.A. Squamous cell carcinoma arising in mucosal plasmacytosis. Br. J. Oral Maxillofac. Surg. 2010, 48, 208–210. [Google Scholar] [CrossRef] [PubMed]
- Cohen, H.J. Plasmocytic Mucosal Infiltrates in Multiple Myeloma. Arch. Dermatol. 1960, 82, 921–923. [Google Scholar]
- Parulekar, W.; Mackenzie, R.; Bjarnason, G.; Jordan, R.C.K. Scoring oral mucositis. Oral Oncol. 1998, 34, 63–71. [Google Scholar] [CrossRef]
- Fogarty, G.; Turner, H.; Corry, J. Plasma cell infiltration of the upper aerodigestive tract treated with radiation therapy. J. Laryngol. Otol. 2001, 115, 928. [Google Scholar] [CrossRef]
- Castillo, J.J. Plasma Cell Disorders. Primary Care 2016, 43, 677–691. [Google Scholar] [CrossRef]
- Dores, G.M.; Landgren, O.; McGlynn, K.A.; Curtis, R.E.; Linet, M.S.; Devesa, S.S. Plasmacytoma of bone, extramedullary plasmacytoma, and multiple myeloma: Incidence and survival in the United States, 1992–2004. Br. J. Haematol. 2009, 144, 86–94. [Google Scholar] [CrossRef]
- He, X.; Wang, Q.; Wu, Y.; Hu, J.; Wang, D.; Qi, B.; Zhang, W.; Wang, Y.; Cheng, J. Comprehensive analysis of 225 Castleman’s diseases in the oral maxillofacial and neck region: A rare disease revisited. Clin. Oral Investig. 2018, 22, 1285–1295. [Google Scholar] [CrossRef] [PubMed]





| N° | Sex | Age | Clinical Phenotype | Dysplasia | Infiltrate | Treatment | |||
|---|---|---|---|---|---|---|---|---|---|
| First-Line * | SFZ/DOX | Systemic Steroids | Immunosuppressants *1 | ||||||
| 1 | F | 72 | Bullous | No | M-E | X | X | ||
| 2 | F | 76 | Bullous | No | PP | X | X | ||
| 3 | M | 56 | - | No | PP | X | |||
| 4 | F | 66 | Bullous | No | PP | X | |||
| 5 | F | 36 | Bullous | Yes | PP | X | X | X | |
| 6 | F | 56 | Bullous | No | PP | X | X | X | X |
| 7 | F | 59 | Bullous | No | PP | X | X | X | |
| 8 | F | 45 | Bullous | Yes | M-G | X | X | ||
| 9 | F | 58 | Bullous | No | PP | X | X | ||
| 10 | F | 62 | Bullous | No | PP | X | |||
| 11 | F | 53 | Bullous | No | M-L | X | X | X | X |
| 12 | M | 51 | Bullous | No | M-L | X | X | ||
| 13 | F | 62 | Bullous | No | PP | X | X | X | |
| 14 | F | 72 | Bullous | No | PP | X | |||
| 15 | F | 57 | Bullous | No | M-L | X | X | X | |
| 16 | M | 52 | - | No | M-L | X | |||
| 17 | M | 58 | Bullous | No | M-E | X | X | X | X |
| 18 | F | 68 | Bullous | No | M-L | X | |||
| 19 | M | 79 | Bullous | No | M-E | X | |||
| 20 | F | 61 | Bullous | Yes | PP | X | X | ||
| 21 | F | 48 | Bullous | No | M-E | X | X | X | X |
| 22 | F | 68 | Bullous | No | PP | X | |||
| 23 | F | 67 | Bullous | No | PP | X | X | X | X |
| 24 | M | 79 | - | No | M-L | X | |||
| 25 | M | 63 | Bullous | No | M-L | X | X | ||
| 26 | F | 56 | Bullous | Yes | PP | X | X | X | |
| 27 | F | 53 | Bullous | No | M-L | X | X | ||
| 28 | F | 64 | Bullous | No | M-L | X | X | ||
| 29 | F | 60 | Ulcerative | No | M-L | X | X | ||
| 30 | F | 58 | Keratotic | Yes | PP | X | |||
| 31 | F | 62 | Keratotic | No | PP | X | |||
| 32 | F | 74 | Ulcerative | No | PP | X | X | ||
| 33 | F | 58 | Keratotic | Yes | M-L | X | X | ||
| 34 | F | 72 | Keratotic | No | M-L | X | |||
| 35 | F | 81 | Erythematous | Yes | M-G | X | |||
| 36 | F | 11 | - | No | M-L | X | |||
| 37 | F | 37 | - | No | M-L | X | |||
| 38 | F | 75 | Verruciform | No | PP | X | |||
| 39 | F | 82 | Ulcerative | No | M-L | X | |||
| 40 | M | 81 | Erythematous | No | PP | X | |||
| 41 | F | 54 | Verruciform | No | PP | X | |||
| 42 | F | 23 | Erythematous | No | M-L | X | X | ||
| 43 | M | 76 | Verruciform | Yes | M-L | X | |||
| 44 | F | 67 | Erythematous | Yes | M-G | X | X | ||
| 45 | F | 44 | Verruciform | No | M-E | X | X | ||
Publisher’s Note: MDPI stays neutral with regard to jurisdictional claims in published maps and institutional affiliations. |
© 2021 by the authors. Licensee MDPI, Basel, Switzerland. This article is an open access article distributed under the terms and conditions of the Creative Commons Attribution (CC BY) license (http://creativecommons.org/licenses/by/4.0/).
Share and Cite
Leuci, S.; Coppola, N.; Adamo, N.; Bizzoca, M.E.; Russo, D.; Spagnuolo, G.; Lo Muzio, L.; Mignogna, M.D. Clinico-Pathological Profile and Outcomes of 45 Cases of Plasma Cell Gingivitis. J. Clin. Med. 2021, 10, 830. https://doi.org/10.3390/jcm10040830
Leuci S, Coppola N, Adamo N, Bizzoca ME, Russo D, Spagnuolo G, Lo Muzio L, Mignogna MD. Clinico-Pathological Profile and Outcomes of 45 Cases of Plasma Cell Gingivitis. Journal of Clinical Medicine. 2021; 10(4):830. https://doi.org/10.3390/jcm10040830
Chicago/Turabian StyleLeuci, Stefania, Noemi Coppola, Nicola Adamo, Maria Eleonora Bizzoca, Daniela Russo, Gianrico Spagnuolo, Lorenzo Lo Muzio, and Michele Davide Mignogna. 2021. "Clinico-Pathological Profile and Outcomes of 45 Cases of Plasma Cell Gingivitis" Journal of Clinical Medicine 10, no. 4: 830. https://doi.org/10.3390/jcm10040830
APA StyleLeuci, S., Coppola, N., Adamo, N., Bizzoca, M. E., Russo, D., Spagnuolo, G., Lo Muzio, L., & Mignogna, M. D. (2021). Clinico-Pathological Profile and Outcomes of 45 Cases of Plasma Cell Gingivitis. Journal of Clinical Medicine, 10(4), 830. https://doi.org/10.3390/jcm10040830

