Retinal Hemorrhage after SARS-CoV-2 Vaccination
Abstract
1. Introduction
2. Materials and Methods
3. Results
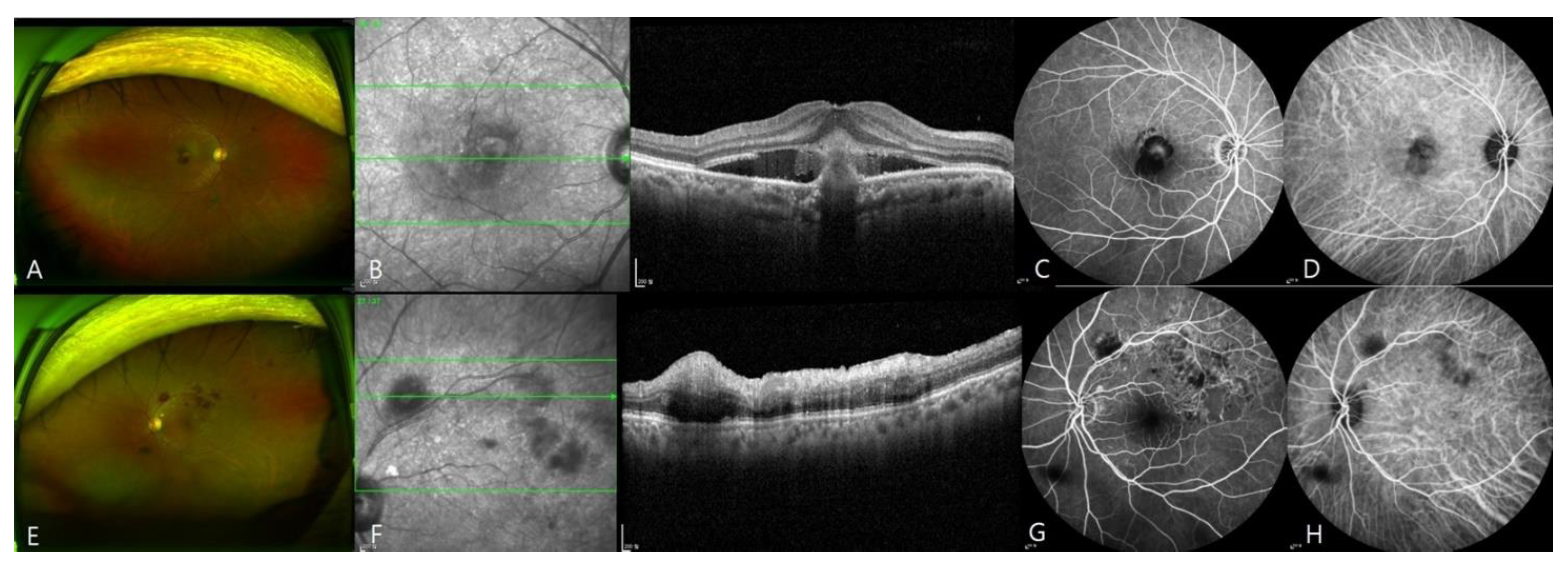
3.1. Submacular Hemorrhage after SARS-CoV-2 Vaccination
3.2. Retinal Vein Occlusion after SARS-CoV-2 Vaccination
4. Discussion
Author Contributions
Funding
Institutional Review Board Statement
Informed Consent Statement
Data Availability Statement
Conflicts of Interest
References
- World Health Organization. Covid-19 Weekly Epidemiological Update; World Health Organization: Geneva, Switzerland, 2021. [Google Scholar]
- Polack, F.P.; Thomas, S.J.; Kitchin, N.; Absalon, J.; Gurtman, A.; Lockhart, S.; Perez, J.L.; Pérez Marc, G.; Moreira, E.D.; Zerbini, C.; et al. Safety and efficacy of the bnt162b2 mRNA covid-19 vaccine. N. Engl. J. Med. 2020, 383, 2603–2615. [Google Scholar] [CrossRef]
- Baden, L.R.; El Sahly, H.M.; Essink, B.; Kotloff, K.; Frey, S.; Novak, R.; Diemert, D.; Spector, S.A.; Rouphael, N.; Creech, C.B.; et al. Efficacy and safety of the mRNA-1273 sars-cov-2 vaccine. N. Engl. J. Med. 2021, 384, 403–416. [Google Scholar] [CrossRef] [PubMed]
- Korea Disease Control and Prevention Agency. Updates on Covid-19 in Republic of Korea; Korea Disease Control and Prevention Agency: Cheongju, Korea, 2021.
- Folegatti, P.M.; Ewer, K.J.; Aley, P.K.; Angus, B.; Becker, S.; Belij-Rammerstorfer, S.; Bellamy, D.; Bibi, S.; Bittaye, M.; Clutterbuck, E.A.; et al. Safety and immunogenicity of the chadox1 ncov-19 vaccine against sars-cov-2: A preliminary report of a phase 1/2, single-blind, randomised controlled trial. Lancet 2020, 396, 467–478. [Google Scholar] [CrossRef]
- Sadoff, J.; Le Gars, M.; Shukarev, G.; Heerwegh, D.; Truyers, C.; de Groot, A.M.; Stoop, J.; Tete, S.; Van Damme, W.; Leroux-Roels, I.; et al. Interim results of a phase 1-2a trial of ad26.Cov2.S covid-19 vaccine. N. Engl. J. Med. 2021, 384, 1824–1835. [Google Scholar] [CrossRef]
- Voysey, M.; Clemens, S.A.C.; Madhi, S.A.; Weckx, L.Y.; Folegatti, P.M.; Aley, P.K.; Angus, B.; Baillie, V.L.; Barnabas, S.L.; Bhorat, Q.E.; et al. Safety and efficacy of the chadox1 ncov-19 vaccine (azd1222) against sars-cov-2: An interim analysis of four randomised controlled trials in Brazil, South Africa, and the UK. Lancet 2021, 397, 99–111. [Google Scholar] [CrossRef]
- Cines, D.B.; Bussel, J.B. Sars-cov-2 vaccine-induced immune thrombotic thrombocytopenia. N. Engl. J. Med. 2021, 384, 2254–2256. [Google Scholar] [CrossRef] [PubMed]
- Suresh, P.; Petchey, W. Chadox1 ncov-19 vaccine-induced immune thrombotic thrombocytopenia and cerebral venous sinus thrombosis (cvst). BMJ Case. Rep. 2021, 14, e243931. [Google Scholar] [CrossRef] [PubMed]
- Sheikh, A.B.; Shekhar, R.; Javed, N.; Upadhyay, S. Inferior wall myocardial infarction in severe covid-19 infection: A case report. Am. J. Case Rep. 2020, 21, e926101. [Google Scholar] [CrossRef]
- Abu Mouch, S.; Roguin, A.; Hellou, E.; Ishai, A.; Shoshan, U.; Mahamid, L.; Zoabi, M.; Aisman, M.; Goldschmid, N.; Berar Yanay, N. Myocarditis following covid-19 mrna vaccination. Vaccine 2021, 39, 3790–3793. [Google Scholar] [CrossRef]
- Bozkurt, B.; Kamat, I.; Hotez, P.J. Myocarditis with Covid-19 mRNA vaccines. Circulation 2021, 144, 471–484. [Google Scholar] [CrossRef]
- Huynh, A.; Kelton, J.G.; Arnold, D.M.; Daka, M.; Nazy, I. Antibody epitopes in vaccine-induced immune thrombotic thrombocytopaenia. Nature 2021, 596, 565–569. [Google Scholar] [CrossRef] [PubMed]
- Bøhler, A.D.; Strøm, M.E.; Sandvig, K.U.; Moe, M.C.; Jørstad, Ø.K. Acute macular neuroretinopathy following covid-19 vaccination. Eye 2021. [Google Scholar] [CrossRef] [PubMed]
- Fowler, N.; Mendez Martinez, N.R.; Pallares, B.V.; Maldonado, R.S. Acute-onset central serous retinopathy after immunization with covid-19 mRNA vaccine. Am. J. Ophthalmol. Case Rep. 2021, 23, 101136. [Google Scholar] [CrossRef]
- Mudie, L.I.; Zick, J.D.; Dacey, M.S.; Palestine, A.G. Panuveitis following vaccination for covid-19. Ocul. Immunol. Inflamm. 2021, 29, 741–742. [Google Scholar] [CrossRef]
- Papasavvas, I.; Herbort, C.P., Jr. Reactivation of vogt-koyanagi-harada disease under control for more than 6 years, following anti-sars-cov-2 vaccination. J. Ophthalmic. Inflamm. Infect. 2021, 11, 21. [Google Scholar] [CrossRef]
- Phylactou, M.; Li, J.O.; Larkin, D.F.P. Characteristics of endothelial corneal transplant rejection following immunisation with sars-cov-2 messenger RNA vaccine. Br. J. Ophthalmol. 2021, 105, 893–896. [Google Scholar] [CrossRef]
- Girbardt, C.; Busch, C.; Al-Sheikh, M.; Gunzinger, J.M.; Invernizzi, A.; Xhepa, A.; Unterlauft, J.D.; Rehak, M. Retinal vascular events after mrna and adenoviral-vectored covid-19 vaccines-a case series. Vaccines 2021, 9, 1349. [Google Scholar] [CrossRef]
- Ikegami, Y.; Numaga, J.; Okano, N.; Fukuda, S.; Yamamoto, H.; Terada, Y. Combined central retinal artery and vein occlusion shortly after mrna-sars-cov-2 vaccination. QJM 2021. [Google Scholar] [CrossRef]
- Endo, B.; Bahamon, S.; Martínez-Pulgarín, D.F. Central retinal vein occlusion after mrna sars-cov-2 vaccination: A case report. Indian J. Ophthalmol. 2021, 69, 2865–2866. [Google Scholar] [CrossRef] [PubMed]
- Bialasiewicz, A.A.; Farah-Diab, M.S.; Mebarki, H.T. Central retinal vein occlusion occurring immediately after 2nd dose of mrna sars-cov-2 vaccine. Int. Ophthalmol. 2021, 41, 3889–3892. [Google Scholar] [CrossRef] [PubMed]
- Devin, F.; Roques, G.; Disdier, P.; Rodor, F.; Weiller, P.J. Occlusion of central retinal vein after hepatitis b vaccination. Lancet 1996, 347, 1626. [Google Scholar] [CrossRef]
- Granel, B.; Disdier, P.; Devin, F.; Swiader, L.; Riss, J.M.; Coupier, L.; Harlé, J.R.; Jouglard, J.; Weiller, P.J. Occlusion of the central retinal vein after vaccination against viral hepatitis b with recombinant vaccines. 4 cases. Presse Med. 1997, 26, 62–65. [Google Scholar] [PubMed]
- Binenbaum, G.; Christian, C.W.; Guttmann, K.; Huang, J.; Ying, G.S.; Forbes, B.J. Evaluation of temporal association between vaccinations and retinal hemorrhage in children. JAMA Ophthalmol. 2015, 133, 1261–1265. [Google Scholar] [CrossRef]
- Al-Hity, A.; Steel, D.H.; Yorston, D.; Gilmour, D.; Koshy, Z.; Young, D.; Hillenkamp, J.; McGowan, G. Incidence of submacular haemorrhage (smh) in scotland: A scottish ophthalmic surveillance unit (sosu) study. Eye 2019, 33, 486–491. [Google Scholar] [CrossRef]
- Kim, J.H.; Chang, Y.S.; Kim, J.W.; Kim, C.G. Characteristics of submacular hemorrhages in age-related macular degeneration. Optom Vis. Sci. 2017, 94, 556–563. [Google Scholar] [CrossRef]
- Schulman, J.A.; Liang, C.; Kooragayala, L.M.; King, J. Posterior segment complications in patients with hepatitis c treated with interferon and ribavirin. Ophthalmology 2003, 110, 437–442. [Google Scholar] [CrossRef]
- Kang, H.Y.; Lim, J.W.; Shin, M.C. Pegylated interferon associated retinopathy in chronic hepatitis patients. J. Korean Ophthalmol. Soc. 2009, 50, 383–389. [Google Scholar] [CrossRef][Green Version]
- Berkenstock, M.; Patel, S.; Ackert, J. A drop in hemoglobin as an association with pegylated interferon retinopathy: A novel pathophysiology. J. Curr. Ophthalmol. 2020, 32, 195–198. [Google Scholar] [CrossRef] [PubMed]
- Damico, F.M.; Gasparin, F.; Ioshimoto, G.L.; Igami, T.Z.; Cunha, A.D.S., Jr.; Fialho, S.L.; Liber, A.M.; Young, L.H.; Ventura, D.F. Intravitreal injection of polysorbate 80: A functional and morphological study. Rev. Col. Bras. Cir. 2017, 44, 603–611. [Google Scholar] [CrossRef]
- Fonollosa, A.; Hernández-Rodríguez, J.; Cuadros, C.; Giralt, L.; Sacristán, C.; Artaraz, J.; Pelegrín, L.; Olate-Perez, A.; Romero, R.; Pastor Idoate, S.; et al. Characterizing covid-19-related retinal vascular occlusions: A case series and review of the literature. Retina 2021. publish ahead of print. [Google Scholar] [CrossRef]



| Category | Value |
|---|---|
| Sex | |
| Male | 11 (52%) |
| Female | 10 (48%) |
| Age (Median) | 77 (range: 51–85 years) |
| Laterality | |
| Unilateral | 19 (90%) |
| Bilateral | 2 (10%) |
| Diagnosis (Eyes) AMD | 12 (52%) |
| RVO | 11 (48%) |
| Medical History | |
| DM | 9 (43%) |
| HTN | 11 (48%) |
| Type of Vaccination | |
| Pfizer (BNT162b2) | 12 (61%) |
| AstraZeneca (ChAdOx1) | 8 (38%) |
| Number of Vaccination | |
| 1st | 17 (81%) |
| 2nd | 4 (19%) |
| Visual Acuity before Symptom Development (logMAR) | 0.76 (interquartile range: 0.27–1.23) |
| Visual Acuity at Symptom Presentation (logmar) | 1.40 (interquartile range 0.52–1.70) |
| Time between Vaccination and Symptom Aggravation | 2.0 days (interquartile range: 1.0–3.0 days). |
| Eye Number | Age, Years | Gender | Laterality | Underlying Disease | Underlying Ocular History | Type of Vaccination | Number of Vaccination | Interval of Vaccine Inoculation to Symptom Development (Days) | Treatment | Hematologic Abnormality | Anti-PF4 Antibody | Visual Acuity before Symptom Development * | Visual Acuity at Symptom Development * |
|---|---|---|---|---|---|---|---|---|---|---|---|---|---|
| 1 | 82 | F | OD | HTN DM Hypothyroidism Syphillis | AMD 53 Anti-VEGF injections (Last 7 days before) | Pfizer | 1 | 3 | Observation | Not tested | Not tested | 0.2 | 0.02 |
| 2 | 82 | F | OS | HTN DM Hypothyroidism Syphillis | AMD 53 Anti-VEGF injections (Last 25 months before) | Pfizer | 1 | 3 | Observation | Not tested | Not tested | 0.04 | 0.04 |
| 3 | 81 | M | OD | HTN Atrial fibrillationCAOD Spinal stenosis HCMP | Cataract surgery | Pfizer | 1 | 10 | C3F8 | Not tested | Not tested | 0.4 | FC10 |
| 4 | 81 | M | OS | None | Cataract surgery | Pfizer | 2 | 6 | C3F8 | Not tested | Not tested | 0.02 | FC10 |
| 5 | 82 | F | OD | DM HTN Angina | Cataract surgeryVitrectomy for vitreous hemorrhage | Pfizer | 1 | 3 | Anti-VEGF (Bevacizumab), C3F8 | Not tested | Not tested | 0.15 | 0.04 |
| 6 | 84 | F | OS | Polycystic kidney | AMD23 Anti-VEGF injections (Last 5 months before) | Pfizer | 2 | 15 | Anti-VEGF (Bevacizumab) | Not tested | Not tested | 0.1 | 0.1 |
| 7 | 77 | F | OD | HTN HBV carrier Sigmoid colon cancer on chemotherapy s/p low anterior resection | Cataract surgery | Pfizer | 1 | 16 | Anti-VEGF (Ranibizumab) | Not tested | Not tested | - | 0.2 |
| 8 | 70 | M | OD | DM | AMD 13 Anti-VEGF injections (Last 4 months before) | NA | 1 | Within 4 weeks † | Anti-VEGF (Bevacizumab) | Not tested | Not tested | 0.15 | 0.04 |
| 9 | 82 | M | OS | DMHTN | PCV Cataract surgery26 Anti-VEGF injections (Last 7 months before) Photodynamic therapy | Pfizer | 1 | 14 | Anti-VEGF (Bevacizumab) | Not tested | Not tested | 0.05 | 0.04 |
| 10 | 71 | F | OD | Dyslipidemia | AMD 2 Anti-VEGF injections (Last 6 months before) | AstraZeneca | 1 | 2 | Anti-VEGF (Bevacizumab) | Not tested | Not tested | 0.6 | 0.3 |
| 11 | 80 | F | OD | DM HTN | AMD 12 Anti-VEGF injections (Last 15 months before) | Pfizer | 1 | Within 4 weeks † | Anti-VEGF (Bevacizumab) | Not tested | Not tested | 0.04 | 0.04 |
| 12 | 62 | M | OD | DM | none | AstraZeneca | 1 | Within 4 weeks † | Observation | Not tested | Not tested | 0.3 | 0.3 |
| Eye Number | Age, Years | Gender | Laterality | Underlying Disease | Underlying Ocular History | Type of Vaccination | Number of Vaccination | Interval of Vaccine Inoculation to Symptom Development (Days) | Treatment | Hematologic Abnormality | Anti-PF4 Antibody | Visual Acuity before Symptom development * | Visual Acuity at Symptom Development * |
|---|---|---|---|---|---|---|---|---|---|---|---|---|---|
| 13 | 68 | F | OS | Dyslipidemia | Vitrectomy for vitreous hemorrhage Cataract surgery | AstraZeneca | 1 | 1 | Observation | Not tested | Not tested | - | HM |
| 14 | 76 | M | OS | HTN | NTG Cataract surgery | Pfizer | 1 | 3 | Observation | Tested with negative result | Tested with negative result | 1 | 0.8 |
| 15 | 85 | F | OD | DM HTN ESRD Old tuberculosis Dementia | Vitrectomy with cataract surgery for vitreous hemorrhage | Pfizer | 2 | 1 | Anti-VEGF (Bevacizumab) | Not tested | Not tested | 0.1 | FC10 |
| 16 | 59 | M | OS | DM HTN | Vitrectomy with secondary IOL scleral fixation | AstraZeneca | 1 | 2 | Observation | Tested with negative result | Tested with negative result | 0.8 | 0.8 |
| 17 | 61 | M | OD | None | None | AstraZeneca | 1 | 2 | Anti-VEGF (Bevacizumab) | Tested with negative result | Tested with negative result | - | 0.04 |
| 18 | 79 | M | OS | DM Early gastric cancer | None | Pfizer | 2 | 2 | Anti-VEGF (Bevacizumab) | Tested with negative result | Tested with negative result | - | 0.04 |
| 19 | 77 | F | OS | HTN HBV carrier Sigmoid colon cancer on chemotherapy s/p low anterior resection | Cataract surgery | Pfizer | 1 | 16 | Anti-VEGF (Bevacizumab) | Not tested | Not tested | - | 0.8 |
| 20 | 63 | M | OD | DM | DME Intravitreous triamcinolone injection | Pfizer | 1 | 13 | Anti-VEGF (Bevacizumab) | Tested with low Hb, Hct | Tested with negative result | 0.4 | 0.01 |
| 21 | 51 | F | OS | HTN | None | AstraZeneca | 1 | 21 | Anti-VEGF (Bevacizumab) | Not tested | Not tested | - | 0.09 |
| 22 | 81 | F | OS | HTN | Cataract surgery | Pfizer | 1 | 4 | Observation | Not tested | Not tested | - | 0.3 |
| 23 | 61 | M | OS | HTN | Uveitis | AstraZeneca | 1 | 3 | Observation | Not tested | Not tested | 1 | 0.9 |
Publisher’s Note: MDPI stays neutral with regard to jurisdictional claims in published maps and institutional affiliations. |
© 2021 by the authors. Licensee MDPI, Basel, Switzerland. This article is an open access article distributed under the terms and conditions of the Creative Commons Attribution (CC BY) license (https://creativecommons.org/licenses/by/4.0/).
Share and Cite
Park, H.S.; Byun, Y.; Byeon, S.H.; Kim, S.S.; Kim, Y.J.; Lee, C.S. Retinal Hemorrhage after SARS-CoV-2 Vaccination. J. Clin. Med. 2021, 10, 5705. https://doi.org/10.3390/jcm10235705
Park HS, Byun Y, Byeon SH, Kim SS, Kim YJ, Lee CS. Retinal Hemorrhage after SARS-CoV-2 Vaccination. Journal of Clinical Medicine. 2021; 10(23):5705. https://doi.org/10.3390/jcm10235705
Chicago/Turabian StylePark, Hyo Song, Yeojue Byun, Suk Ho Byeon, Sung Soo Kim, Yong Joon Kim, and Christopher Seungkyu Lee. 2021. "Retinal Hemorrhage after SARS-CoV-2 Vaccination" Journal of Clinical Medicine 10, no. 23: 5705. https://doi.org/10.3390/jcm10235705
APA StylePark, H. S., Byun, Y., Byeon, S. H., Kim, S. S., Kim, Y. J., & Lee, C. S. (2021). Retinal Hemorrhage after SARS-CoV-2 Vaccination. Journal of Clinical Medicine, 10(23), 5705. https://doi.org/10.3390/jcm10235705

