Epidemiology of Stroke in Sickle Cell Disease
Abstract
1. Introduction
2. Stroke
2.1. Definition and Overview
2.2. Mortality of Stroke in Sickle Cell Disease
2.3. Incidence of All Stroke Presenting Clinically in Sickle Cell Disease without Prophylaxis
2.4. Prevalence of All Stroke Presenting Clinically in Sickle Cell Disease without Prophylaxis
2.5. Ischaemic Stroke
2.5.1. Incidence of Ischaemic Stroke
2.5.2. Effect of Interventions for Ischaemic Stroke on Incidence of Stroke in SCD
Newborn Screening and Prevention of Infection
Transcranial Doppler Ultrasound
Prevalence of Abnormal and Conditional Transcranial Doppler
| Stroke Prevalence | Transcranial Doppler Prevalence Conditional/Abnormal | |||||
|---|---|---|---|---|---|---|
| Population | Number Stroke (%) | n Studied | Conditional | Abnormal | Conditional + Abnormal | |
| Algeria | 87 | 1 (1) [3] | ||||
| Egypt | 100 | 5 (5) [90] | 52 | 14 (30) [91] | ||
| 78 | 5 (6) [92] | 5 (6) [92] | ||||
| 60 | 4 (7) [91] | 60 | 10 | 0 | 10 [93] | |
| Sudan | 119 | 0 | 0 | 0 [94] | ||
| Mali | 572 | 68 (12) | 30 (5) | 98 (17) [95] | ||
| Nigeria | 5721 | 71 (1) [96] | ||||
| Enugu | 3195 | 23 (0.7) [97] | ||||
| Lagos | 322 | 17 (5) [46] | ||||
| Ibadan | 500 | 27 (5) [29] | 145 | 29 (20) | 6 (4) | 35 (24) [98] |
| Ibadan | 351 | 24 (7) [31] | 265 | 45 (17) | 19 (7) | 64 (18) [99] |
| Ibadan | 214 | 7 (3) [100] | 396 | 74 (19) | 28 (7) | 102 (26) [101] |
| Kano | 60 | 7 (12) [102] | ||||
| Port | ||||||
| Harcourt | 256 | 11 (4) [103] | ||||
| South West | 240 | 7 (3) [104] | ||||
| Senegal | 438 | 7 (2) [105] | ||||
| Angola | 200 | 6 (3) [106] | ||||
| Cameroon | 113 | 8 (7) [107] | ||||
| 120 | 8 (7) [30] | |||||
| 96 | 7 (7) [108] | 32 | 12 (38) [109] | |||
| Democratic Rep Congo | 500 | 14 (3) [110] | ||||
| Congo | 1422 | 14 (1) [111] | ||||
| Kenya | ||||||
| Nairobi | 360 | 12 (3) [112] | ||||
| Kilifi | 105 | 1 (1) [88] | 105 | 0 (0) | 3 (3) | 3 (3) [88] |
| Uganda | 2870 | 147 (7) [113] | ||||
| 256 | 15 (6) [33] | 256 | 38 (15) | 5 (2) | 43 (17) [33] | |
| Tanzania | ||||||
| NorthWest | 124 | 21 (17) [32] | ||||
| Dar es Salaam | 200 | 15 (8) [86] | 601 | 25 (4) | 42 (7) | 67 (11) [85] |
| 200 | 1 (0.5) | 11 (5.5) | 12 (6) [86] | |||
| 224 | 3 (1) | 1 (0.5) | 4 (2) [87] | |||
| Malawi | 117 | 10 (9%) [114] | ||||
Effect of TCD Screening and Chronic Blood Transfusion on Risk of Stroke in Children with SCD and Abnormal TCD
Effect of Hydroxyurea on Risk of Stroke in Children with SCD and Abnormal TCD
Effect of Stem Cell Transplantation on Risk of Stroke in Children with SCD and Abnormal TCD
2.6. Stroke Syndromes in Children with SCD and Normal TCD
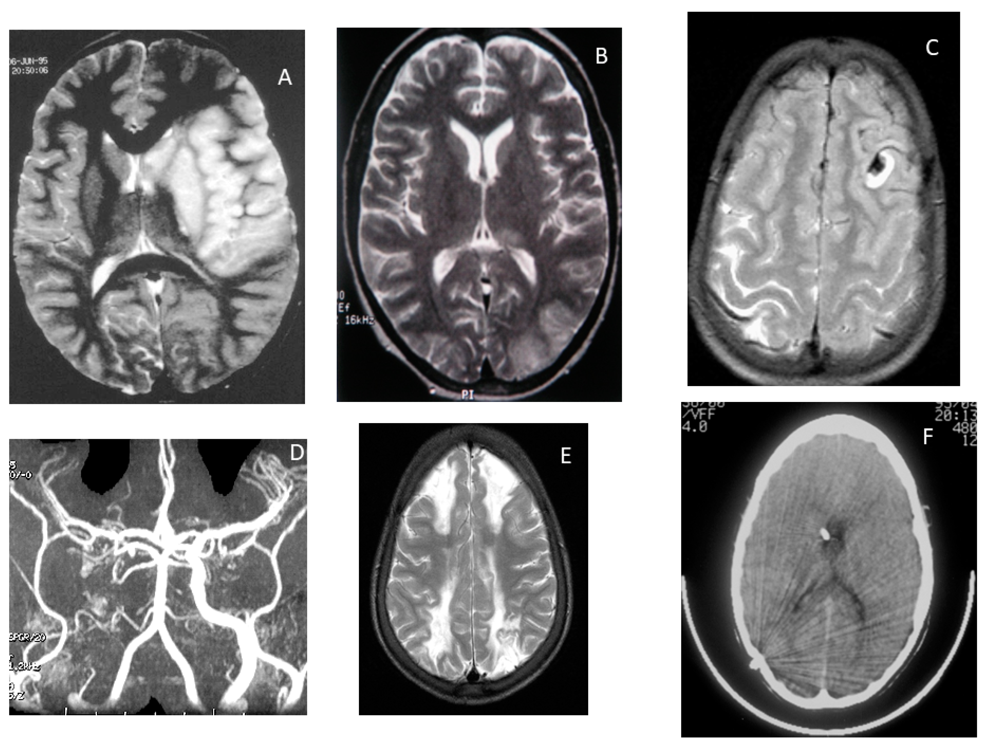
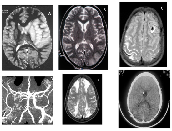
2.7. Intracranial Haemorrhage
2.8. Stroke Recurrence
3. Seizures
4. Headache
5. Central Nervous System Infections
6. Coma
7. Other Neurological Presentations
8. Cognitive Impairment
9. Abnormalities Detectable on Cross-Sectional Neuroimaging in Asymptomatic Patients
9.1. Covert (Silent) Cerebral Infarction
9.2. Cerebrovascular Disease on Magnetic Resonance Angiography
10. Risk Factors for Neurological, Cognitive and Neuroradiological Abnormalities
11. Conclusions
Author Contributions
Funding
Conflicts of Interest
References
- Piel, F.B.; Patil, A.P.; Howes, R.E.; Nyangiri, O.A.; Gething, P.W.; Williams, T.N.; Weatherall, D.J.; Hay, S.I. Global distribution of the sickle cell gene and geographical confirmation of the malaria hypothesis. Nat. Commun. 2010, 1, 1–7. [Google Scholar] [CrossRef] [PubMed]
- Ohene-Frempong, K.; Weiner, S.J.; Sleeper, L.A.; Miller, S.T.; Embury, S.; Moohr, J.W.; Wethers, D.L.; Pegelow, C.H.; Gill, F.M. Cerebrovascular accidents in sickle cell disease: Rates and risk factors. Blood J. Am. Soc. Hematol. 1998, 91, 288–294. [Google Scholar]
- de Montalembert, M.; Beauvais, P.; Bachir, D.; Galacteros, F.; Girot, R. Cerebrovascular accidents in sickle cell disease: Risk factors and blood transfusion influence. Eur. J. Pediatrics 1993, 152, 201–204. [Google Scholar] [CrossRef]
- Noubiap, J.J.; Mengnjo, M.K.; Nicastro, N.; Kamtchum-Tatuene, J. Neurologic complications of sickle cell disease in Africa: A systematic review and meta-analysis. Neurology 2017, 89, 1516–1524. [Google Scholar] [CrossRef] [PubMed]
- Dowling, M.M.; Quinn, C.T.; Rogers, Z.R.; Journeycake, J.M. Stroke in sickle cell anemia: Alternative etiologies. Pediatric Neurol. 2009, 41, 124–126. [Google Scholar] [CrossRef]
- Stotesbury, H.; Adams, R.J.; Kirkham, F.J. Stroke and cognitive dysfunction. In Sickle Cell Disease, 1st ed.; Gladwin, M.T., Kato, G.J., Novelli, E.M., Eds.; McGraw, Hill: New York, NY, USA, 2021; pp. 162–194. [Google Scholar]
- Stotesbury, H.; Kawadler, J.M.; Saunders, D.E.; Kirkham, F.J. MRI detection of brain abnormality in sickle cell disease. Expert Rev. Hematol. 2021, 14, 473–491. [Google Scholar] [CrossRef] [PubMed]
- Kirkham, F.J.; Datta, A.K. Adaptation to hypoxia during development and pattern of neurological presentation and cognitive disability. Dev. Sci. 2006, 9, 411–427. [Google Scholar] [CrossRef] [PubMed]
- Kirkham, F.J.; Calamante, F.; Bynevelt, M.; Gadian, D.G.; Evans, J.P.; Cox, T.C.; Connelly, A. Perfusion magnetic resonance abnormalities in patients with sickle cell disease. Ann. Neurol. 2001, 49, 477–485. [Google Scholar] [CrossRef] [PubMed]
- Niebanck, A.E.; Pollock, A.N.; Smith-Whitley, K.; Raffini, L.J.; Zimmerman, R.A.; Ohene-Frempong, K.; Kwiatkowski, J.L. Headache in children with sickle cell disease: Prevalence and associated factors. J. Pediatr. 2007, 151, 67–72. [Google Scholar] [CrossRef]
- Prengler, M.; Connelly, A.; Saunders, D.; Chong, W.K.; Cox, T.S.; Perthen, J.E.; Laverty, A.; Lane, R.; Davies, S.; Evans, J.; et al. Cerebral perfusion abnormality in sickle cell disease. Eur. J. Paediatr. Neurol. 2005, 9, 279. [Google Scholar]
- Ali, S.B.; Reid, M.; Fraser, R.; Moosang, M.; Ali, A. Seizures in the Jamaica cohort study of sickle cell disease. Br. J. Haematol. 2010, 151, 265–272. [Google Scholar] [CrossRef] [PubMed]
- Huttenlocher, P.R.; Moohr, J.W.; Johns, L.; Brown, F.D. Cerebral blood flow in sickle cell cerebrovascular disease. Pediatrics 1984, 73, 615–621. [Google Scholar]
- Mateos, M.E.; Lopez-Laso, E.; Simon, R.; Mateos, F. Acute cerebrovascular accident associated with drepanocytosis complicated by pneumococcal meningitis in two children. Rev. Neurol. 2000, 30, 1151–1154. [Google Scholar]
- Henderson, J.N.; Noetzel, M.J.; McKinstry, R.C.; White, D.A.; Armstrong, M.; DeBaun, M.R. Reversible posterior leukoencephalopathy syndrome and silent cerebral infarcts are associated with severe acute chest syndrome in children with sickle cell disease. Blood J. Am. Soc. Hematol. 2003, 101, 415–419. [Google Scholar] [CrossRef] [PubMed]
- Dowling, M.M.; Quinn, C.T.; Plumb, P.; Rogers, Z.R.; Rollins, N.K.; Koral, K.; Buchanan, G.R. Acute silent cerebral ischemia and infarction during acute anemia in children with and without sickle cell disease. Blood J. Am. Soc. Hematol. 2012, 120, 3891–3897. [Google Scholar] [CrossRef]
- Ahn, A.K.; Honeybrook, A.; Jordan, L.C.; Singer, R.J.; Tylor, D.A. Stroke after adenotonsillectomy in patients with undiagnosed moyamoya syndrome. JAMA Otolaryngol. Head Neck Surg. 2014, 140, 1061–1064. [Google Scholar] [CrossRef][Green Version]
- Hamdan, J.M.; Mallouh, A.A.; Ahmad, M.S. Hypertension and convulsions complicating sickle cell anaemia: Possible role of transfusion. Ann. Trop. Paediatr. 1984, 4, 41–43. [Google Scholar] [CrossRef]
- Coley, S.C.; Porter, D.A.; Calamante, F.; Chong, W.K.; Connelly, A. Quantitative, MR diffusion mapping and cyclosporine-induced neurotoxicity. AJNR Am. J. Neuroradiol. 1999, 20, 1507–1510. [Google Scholar] [PubMed]
- Vichinsky, E.P.; Neumayr, L.D.; Earles, A.N.; Williams, R.; Lennette, E.T.; Dean, D.; Nickerson, B.; Orringer, E.; McKie, V.; Bellevue, R.; et al. Causes and outcomes of the acute chest syndrome in sickle cell disease. N. Engl. J. Med. 2000, 342, 1855–1865. [Google Scholar] [CrossRef] [PubMed]
- DeBaun, M.R.; Armstrong, F.D.; McKinstry, R.C.; Ware, R.E.; Vichinsky, E.; Kirkham, F.J. Silent cerebral infarcts: A review on a prevalent and progressive cause of neurologic injury in sickle cell anemia. Blood J. Am. Soc. Hematol. 2012, 119, 4587–4596. [Google Scholar] [CrossRef] [PubMed]
- Obama, M.T.; Dongmo, L.; Nkemayim, C.; Mbede, J.; Hagbe, P. Stroke in children in Yaounde, Cameroon. Indian Pediatr. 1994, 31, 791–795. [Google Scholar] [PubMed]
- Macharia, A.W.; Mochamah, G.; Uyoga, S.; Ndila, C.M.; Nyutu, G.; Makale, J.; Tendwa, M.; Nyatichi, E.; Ojal, J.; Sheba, M.; et al. The clinical epidemiology of sickle cell anemia In Africa. Am. J. Hematol. 2018, 93, 363–370. [Google Scholar] [CrossRef]
- Earley, C.J.; Kittner, S.J.; Feeser, B.R.; Gardner, J.; Epstein, A.; Wozniak, M.A.; Wityk, R.; Stern, B.S.; Price, T.R.; Macko, R.F.; et al. Stroke in children and sickle-cell disease: Baltimore-Washington, Cooperative Young, Stroke Study. Neurology 1998, 51, 169–176. [Google Scholar] [CrossRef]
- Strouse, J.J.; Jordan, L.C.; Lanzkron, S.; Casella, J.F. The excess burden of stroke in hospitalized adults with sickle cell disease. Am. J. Hematol. 2009, 84, 548–552. [Google Scholar] [CrossRef]
- Strouse, J.J.; Lanzkron, S.; Urrutia, V. The epidemiology, evaluation and treatment of stroke in adults with sickle cell disease. Expert Rev. Hematol. 2011, 4, 597–606. [Google Scholar] [CrossRef] [PubMed]
- Powars, D.; Wilson, B.; Imbus, C.; Pegelow, C.; Allen, J. The natural history of stroke in sickle cell disease. Am. J. Med. 1978, 65, 461–471. [Google Scholar] [CrossRef]
- Balkaran, B.; Char, G.; Morris, J.S.; Thomas, P.W.; Serjeant, B.E.; Serjeant, G.R. Stroke in a cohort of patients with homozygous sickle cell disease. J. Pediatr. 1992, 120, 360–366. [Google Scholar] [CrossRef]
- Fatunde, O.J.; Adamson, F.G.; Ogunseyinde, O.; Sodeinde, O.; Familusi, J.B. Stroke in Nigerian children with sickle cell disease. Afr. J. Med. Med Sci. 2005, 34, 157–160. [Google Scholar]
- Njamnshi, A.K.; Mbong, E.N.; Wonkam, A.; Ongolo-Zogo, P.; Djientcheu, V.D.; Sunjoh, F.L.; Wiysonge, C.S.; Sztajzel, R.; Mbanya, D.; Blackett, K.N.; et al. The epidemiology of stroke in sickle cell patients in Yaounde, Cameroon. J. Neurol. Sci. 2006, 250, 79–84. [Google Scholar] [CrossRef]
- Lagunju, I.A.; Brown, B.J.; Famosaya, A.A. Childhood stroke in sickle cell disease in Nigeria. J. Pediatr. Neurol. 2011, 9, 49–53. [Google Scholar]
- Saidi, H.; Smart, L.R.; Kamugisha, E.; Ambrose, E.E.; Soka, D.; Peck, R.; Makani, J. Complications of sickle cell anaemia in children in Northwestern Tanzania. Hematology 2016, 21, 248–256. [Google Scholar] [CrossRef] [PubMed]
- Green, N.S.; Munube, D.; Bangirana, P.; Buluma, L.R.; Kebirungi, B.; Opoka, R.; Mupere, E.; Kasirye, P.; Kiguli, S.; Birabwa, A.; et al. Burden of neurological and neurocognitive impairment in pediatric sickle cell anemia in Uganda (BRAIN SAFE): A cross-sectional study. BMC Pediatr. 2019, 19, 1–11. [Google Scholar] [CrossRef] [PubMed]
- Manci, E.A.; Culberson, D.E.; Yang, Y.-M.; Gardner, T.M.; Powell, R.; Haynes, J., Jr.; Shah, A.K.; Mankad, V.N.; Investigators of the Cooperative Study of Sickle Cell Disease. Causes of death in sickle cell disease: An autopsy study. Br. J. Haematol. 2003, 123, 359–365. [Google Scholar] [CrossRef] [PubMed]
- Darbari, D.S.; Kple-Faget, P.; Kwagyan, J.; Rana, S.; Gordeuk, V.R.; Castro, O. Circumstances of death in adult sickle cell disease patients. Am. J. Hematol. 2006, 81, 858–863. [Google Scholar] [CrossRef]
- McCavit, T.L.; Xuan, L.; Zhang, S.; Flores, G.; Quinn, C. National trends in incidence rates of hospitalization for stroke in children with sickle cell disease. Pediatr. Blood Cancer 2013, 60, 823–827. [Google Scholar] [CrossRef]
- Kirkham, F.; Hewes, D.; Prengler, M.; Wade, A.; Lane, R.; Evans, J. Nocturnal hypoxaemia and central-nervous-system events in sickle-cell disease. Lancet 2001, 357, 1656–1659. [Google Scholar] [CrossRef]
- Kossorotoff, M.; Brousse, V.; Grevent, D.; Naggara, O.; Brunelle, F.; Blauwblomme, T.; Gaussem, P.; Desguerre, I.; De Montalembert, M. Cerebral haemorrhagic risk in children with sickle-cell disease. Dev. Med. Child Neurol. 2014, 57, 187–193. [Google Scholar] [CrossRef] [PubMed]
- Belisário, A.R.; Nogueira, F.L.; Rodrigues, R.S.; Toledo, N.E.; Cattabriga, A.L.; Velloso-Rodrigues, C.; Duarte, F.O.; Silva, C.M.; Viana, M.B. Association of alpha-thalassemia, TNF-alpha (-308G>A) and VCAM-1 (c.1238G>C) gene polymorphisms with cerebrovascular disease in a newborn cohort of 411 children with sickle cell anemia. Blood Cells Mol. Dis. 2015, 54, 44–50. [Google Scholar] [CrossRef]
- De Montalembert, M.; Guilloud-Bataille, M.; Feingold, J.; Girot, R. Epidemiological and clinical study of sickle cell disease in France, French Guiana and Algeria. Eur. J. Haematol. 2009, 51, 136–140. [Google Scholar] [CrossRef]
- Kunz, J.B.; Lobitz, S.; Grosse, R.; Oevermann, L.; Hakimeh, D.; Jarisch, A.; Cario, H.; Beier, R.; Schenk, D.; Schneider, D.; et al. Sickle cell disease in Germany: Results from a national registry. Pediatr. Blood Cancer 2019, 67, e28130. [Google Scholar] [CrossRef] [PubMed]
- Gomez-Chiari, M.; Tusell, P.J.; Ortega, A.J. Sickle cell anemia: Experience in a center. An. Pediatr. 2003, 58, 95–99. [Google Scholar]
- Cela, E.; Bellón, J.M.; De La Cruz, M.; Beléndez, C.; Berrueco, R.; Ruiz, A.; Elorza, I.; de Heredia, C.D.; Cervera, A.; Vallés, G.; et al. National registry of hemoglobinopathies in Spain (REPHem). Pediatr. Blood Cancer 2017, 64, e26322. [Google Scholar] [CrossRef] [PubMed]
- Piel, F.B.; Jobanputra, M.; Gallagher, M.; Weber, J.; Laird, S.G.; McGahan, M. Co-morbidities and mortality in patients with sickle cell disease in England: A 10-year cohort analysis using hospital episodes statistics (HES) data. Blood Cells Mol. Dis. 2021, 89, 102567. [Google Scholar] [CrossRef] [PubMed]
- Lagunju, I.A.; Brown, B.J. Adverse neurological outcomes in Nigerian children with sickle cell disease. Int. J. Hematol. 2012, 96, 710–718. [Google Scholar] [CrossRef]
- Kehinde, M.O.; Temiye, E.O.; Danesi, M.A. Neurological Complications of Sickle Cell Anemia in Nigerian Africans—A Case-Control Study. J. Natl. Med. Assoc. 2008, 100, 394–400. [Google Scholar] [CrossRef]
- Marks, L.J.; Munube, D.; Kasirye, P.; Mupere, E.; Jin, Z.; LaRussa, P.; Idro, R.; Green, N.S. Stroke, Prevalence in Children, with Sickle, Cell Disease in Sub-Saharan, Africa: A Systematic, Review and Meta-Analysis. Glob. Pediatric. Health 2018, 5, 2333794X18774970. [Google Scholar] [CrossRef]
- Wali, Y.; Kini, V.; Yassin, M. Distribution of sickle cell disease and assessment of risk factors based on transcranial Doppler values in the Gulf region. Hematology 2020, 25, 55–62. [Google Scholar] [CrossRef]
- Adekile, A.D.; Al-Sherida, S.; Marouf, R.; Mustafa, N.; Thomas, D. The Sub-Phenotypes of Sickle Cell Disease in Kuwait. Hemoglobin 2019, 43, 83–87. [Google Scholar] [CrossRef]
- Haghshenass, M.; Ismail-Beigi, F.; Clegg, J.B.; Weatherall, D.J. Mild sickle-cell anaemia in Iran associated with high levels of fetal haemoglobin. J. Med. Genet. 1977, 14, 168–171. [Google Scholar] [CrossRef]
- Annobil, S.H.; Omojola, M.F.; Adzaku, F.K.; Addae, S.K.; Mohammed, S. Cerebrovascular accidents (strokes) in children with sickle cell disease residing at high and low altitudes of Saudi Arabia. Ann. Trop. Paediatr. 1990, 10, 191–198. [Google Scholar] [PubMed]
- Al Hawsawi, Z.M.; Ismail, G.A. Stroke among sickle cell disease patients in Madina, Maternity and Children’s Hospital. Ann. Saudi Med. 1998, 18, 472–474. [Google Scholar] [CrossRef] [PubMed]
- Alsultan, A.; Al-Suliman, A.M.; Aleem, A.; AlGahtani, F.H.; Alfadhel, M. Utilizing Whole-Exome Sequencing to Characterize the Phenotypic Variability of Sickle Cell Disease. Genet. Test. Mol. Biomark. 2018, 22, 58. [Google Scholar] [CrossRef] [PubMed]
- Alsultan, A.; Alabdulaali, M.K.; Griffin, P.J.; Alsuliman, A.M.; Ghabbour, H.; Sebastiani, P.; AlBuali, W.H.; Al-Ali, A.K.; Chui, D.; Steinberg, M. Sickle cell disease in Saudi Arabia: The phenotype in adults with the Arab-Indian haplotype is not benign. Br. J. Haematol. 2014, 164, 597–604. [Google Scholar] [CrossRef]
- Alsultan, A.; Aleem, A.; Ghabbour, H.; AlGahtani, F.H.; Al-Shehri, A.; Osman, M.E.; Kurban, K.; Alsultan, M.S.; Bahakim, H.; Al-Momen, A.M. Sickle Cell Disease Subphenotypes in Patients From Southwestern Province of Saudi Arabia. J. Pediatr. Hematol. 2012, 34, 79–84. [Google Scholar] [CrossRef]
- Alzahrani, F.; Fallatah, A.M.; Al-Haddad, F.M.; Khayyat, S.T.; AlMehmadi, W.M.; AlQahtani, B.G.; Alamri, R.S. Risk Factors and Complications among Pediatric Patients with Sickle Cell Anemia: A Single Tertiary Center Retrospective Study. Cureus 2021, 13, e12440. [Google Scholar] [CrossRef]
- Abdullahi, S.U.; DeBaun, M.R.; Jordan, L.C.; Rodeghier, M.; Galadanci, N.A. Stroke Recurrence in Nigerian Children With Sickle Cell Disease: Evidence for a Secondary Stroke Prevention Trial. Pediatr. Neurol. 2019, 95, 73–78. [Google Scholar] [CrossRef] [PubMed]
- Fullerton, H.; Adams, R.J.; Zhao, S.; Johnston, S.C. Declining stroke rates in Californian children with sickle cell disease. Blood 2004, 104, 336–339. [Google Scholar] [CrossRef]
- Quinn, C.T.; Rogers, Z.R.; Buchanan, G.R. Survival of children with sickle cell disease. Blood 2004, 103, 4023–4027. [Google Scholar] [CrossRef] [PubMed]
- Lagunju, I.; Sodeinde, O. Prospective measurement of stroke incidence in childhood sickle cell disease. Arch. Dis. Child. 2012, 97, A45. [Google Scholar] [CrossRef]
- Pryde, K.; Walker, W.T.; Hollingsworth, C.; Haywood, P.; Baird, J.; Hussey, M.; Freeman, A.; Gawne-Cain, M.; Harms, B.; Kirkham, F.; et al. Stroke in paediatric pneumococcal meningitis: A cross-sectional population-based study. Arch. Dis. Child. 2013, 98, 647–649. [Google Scholar] [CrossRef] [PubMed]
- Telfer, P.; Coen, P.; Chakravorty, S.; Wilkey, O.; Evans, J.; Newell, H.; Smalling, B.; Amos, R.; Stephens, A.; Rogers, D.; et al. Clinical outcomes in children with sickle cell disease living in England: A neonatal cohort in East London. Haematologica 2007, 92, 905–912. [Google Scholar] [CrossRef] [PubMed]
- Gaston, M.H.; Verter, J.I.; Woods, G.M.; Pegelow, C.H.; Kelleher, J.; Presbury, G.G.; Zarkowsky, H.S.; Vichinsky, E.P.; Iyer, R.V.; Lobel, J.S.; et al. Prophylaxis with Oral Penicillin in Children with Sickle Cell Anemia. N. Engl. J. Med. 1986, 314, 1593–1599. [Google Scholar] [CrossRef]
- McCarville, M.B.; Goodin, G.S.; Fortner, G.; Li, C.-S.; Ms, M.P.S.; Adams, R.; Wang, W. Evaluation of a comprehensive transcranial doppler screening program for children with sickle cell anemia. Pediatr. Blood Cancer 2008, 50, 818–821. [Google Scholar] [CrossRef] [PubMed]
- Enninful-Eghan, H.; Moore, R.H.; Ichord, R.; Smith-Whitley, K.; Kwiatkowski, J.L. Transcranial Doppler Ultrasonography and Prophylactic Transfusion Program Is Effective in Preventing Overt Stroke in Children with Sickle Cell Disease. J. Pediatr. 2010, 157, 479–484. [Google Scholar] [CrossRef] [PubMed]
- Jain, D.; Arjunan, A.; Sarathi, V.; Jain, H.; Bhandarwar, A.; Vuga, M.; Krishnamurti, L. Clinical events in a large prospective cohort of children with sickle cell disease in Nagpur, India: Evidence against a milder clinical phenotype in India. Pediatr. Blood Cancer 2016, 63, 1814–1821. [Google Scholar] [CrossRef]
- Nichols, F.T.; Jones, A.M.; Adams, R.J. Stroke Prevention in Sickle Cell Disease (STOP) Study Guidelines for Transcranial Doppler Testing. J. Neuroimaging 2001, 11, 354–362. [Google Scholar] [CrossRef]
- Adams, R.; McKie, V.; Nichols, F.; Carl, E.; Zhang, D.-L.; McKie, K.; Figueroa, R.; Litaker, M.; Thompson, W.; Hess, D. The Use of Transcranial Ultrasonography to Predict Stroke in Sickle Cell Disease. N. Engl. J. Med. 1992, 326, 605–610. [Google Scholar] [CrossRef] [PubMed]
- Prohovnik, I.; Hurlet-Jensen, A.; Adams, R.; De Vivo, D.; Pavlakis, S.G. Hemodynamic Etiology of Elevated Flow Velocity and Stroke in Sickle-Cell Disease. Br. J. Pharmacol. 2009, 29, 803–810. [Google Scholar] [CrossRef] [PubMed]
- Gorman, M.J.; Nyström, K.; Carbonella, J.; Pearson, H. Submandibular TCD approach detects post-bulb ICA stenosis in children with sickle cell anemia. Neurology 2009, 73, 362–365. [Google Scholar] [CrossRef] [PubMed]
- Deane, C.R.; Goss, D.; Bartram, J.; Pohl, K.R.E.; Height, S.E.; Sibtain, N.; Jarosz, J.; Thein, S.L.; Rees, D. Extracranial internal carotid arterial disease in children with sickle cell anemia. Haematologica 2010, 95, 1287–1292. [Google Scholar] [CrossRef] [PubMed]
- Adams, R.J.; Nichols, F.T.; Figueroa, R.; McKie, V.; Lott, T. Transcranial Doppler correlation with cerebral angiography in sickle cell disease. Stroke 1992, 23, 1073–1077. [Google Scholar] [CrossRef]
- Adams, R.J.; McKie, V.C.; Carl, E.M.; Nichols, F.T.; Perry, R.; Brock, K.; McKie, K.; Figueroa, R.; Litaker, M.; Weiner, S.; et al. Long-term stroke risk in children with sickle cell disease screened with transcranial doppler. Ann. Neurol. 1997, 42, 699–704. [Google Scholar] [CrossRef]
- Hogan, A.M.; Kirkham, F.J.; Prengler, M.; Telfer, P.; Lane, R.; Vargha-Khadem, F.; Haan, M. An exploratory study of physiological correlates of neurodevelopmental delay in infants with sickle cell anaemia. Br. J. Haematol. 2006, 132, 99–107. [Google Scholar] [CrossRef]
- Pavlakis, S.G.; Rees, R.C.; Huang, X.; Brown, R.C.; Casella, J.F.; Iyer, R.V.; Kalpatthi, R.; Luden, J.; Miller, S.T.; Rogers, Z.R.; et al. Transcranial doppler ultrasonography (TCD) in infants with sickle cell anemia: Baseline data from the BABY HUG trial. Pediatr. Blood Cancer 2010, 54, 256–259. [Google Scholar] [CrossRef]
- Dowling, M.M.; Quinn, C.; Ramaciotti, C.; Kanter, J.; Osunkwo, I.; Inusa, B.; Iyer, R.; Kwiatkowski, J.L.; Johnson, C.; Rhodes, M.; et al. Increased prevalence of potential right-to-left shunting in children with sickle cell anaemia and stroke. Br. J. Haematol. 2017, 176, 300–308. [Google Scholar] [CrossRef] [PubMed]
- Telfer, P.; Dwan, K.; Simmons, A.; Evanson, J.; Gadong, N.; Newell, K.; Tangayi, S.; Leigh, A.; Tsouana, E.; Hemmaway, C.; et al. Transcranial Doppler Screening in a Regional Care Network for Sickle Cell Disease in the United Kingdom. J. Pediatr. Hematol. 2016, 38, 517–524. [Google Scholar] [CrossRef] [PubMed]
- Bernaudin, F.; Verlhac, S.; Fréard, F.; Roudot-Thoraval, F.; Benkerrou, M.; Thuret, I.; Mardini, R.; Vannier, J.; Ploix, E.; Romero, M.; et al. Multicenter Prospective Study of Children With Sickle Cell Disease: Radiographic and Psychometric Correlation. J. Child Neurol. 2000, 15, 333–343. [Google Scholar] [CrossRef] [PubMed]
- Bernaudin, F.; Verlhac, S.; Arnaud, C.; Kamdem, A.; Hau, I.; Leveillé, E.; Vasile, M.; Kasbi, F.; Madhi, F.; Fourmaux, C.; et al. Long-term treatment follow-up of children with sickle cell disease monitored with abnormal transcranial Doppler velocities. Blood 2016, 127, 1814–1822. [Google Scholar] [CrossRef] [PubMed]
- Cela, E.; Vélez, A.G.; Aguado, A.; Medín, G.; Bellón, J.M.; Beléndez, C. Chronic brain damage in sickle cell disease and its relation with quality of life. Med. Clínica (English Edition) 2016, 147, 531–536. [Google Scholar] [CrossRef]
- Kanter, J.; Phillips, S.; Schlenz, A.M.; Mueller, M.; Dooley, M.; Sirline, L.; Nickel, R.; Brown, R.C.; Hilliard, L.; Melvin, C.L.; et al. Transcranial, Doppler Screening in a Current, Cohort of Children, With Sickle, Cell Anemia: Results, From the DISPLACE Study. J. Pediatr. Hematol. Oncol. 2021. Online ahead of print. [Google Scholar] [CrossRef]
- Rankine-Mullings, A.E.; Morrison-Levy, N.; Soares, D.; Aldred, K.; King, L.; Ali, S.; Knight-Madden, J.M.; Wisdom-Phipps, M.; Adams, R.J.; Ware, R.E.; et al. Transcranial Doppler velocity among Jamaican children with sickle cell anaemia: Determining the significance of haematological values and nutrition. Br. J. Haematol. 2018, 181, 242–251. [Google Scholar] [CrossRef]
- Jain, D.; Ganesan, K.; Sahota, S.; Darbari, D.S.; Krishnamurti, L.; Kirkham, F.J. TCD Screening in Children with Sickle Cell Anaemia is Feasible in India and Reveals High Risk of Stroke. American, Society for Hematology. Available online: https://ashpublications.org/blood/article/134/Supplement_1/2279/422892/ (accessed on 30 June 2021).
- Lagunju, I.; Sodeinde, O.; Brown, B.; Akinbami, F.; Adedokun, B. Transcranial doppler ultrasonography in children with sickle cell anemia: Clinical and laboratory correlates for elevated blood flow velocities. J. Clin. Ultrasound 2014, 42, 89–95. [Google Scholar] [CrossRef]
- Cox, S.E.; Makani, J.; Soka, D.; L’Esperence, V.S.; Kija, E.; Dominguez-Salas, P.; Newton, C.; Birch, A.; Prentice, A.M.; Kirkham, F. Haptoglobin, alpha-thalassaemia and glucose-6-phosphate dehydrogenase polymorphisms and risk of abnormal transcranial Doppler among patients with sickle cell anaemia in Tanzania. Br. J. Haematol. 2014, 165, 699–706. [Google Scholar] [CrossRef]
- Kija, E.; Saunders, D.E.; Munubhi, E.; Darekar, A.; Barker, S.; Cox, T.C.; Mango, M.; Soka, D.; Komba, J.; Nkya, D.A.; et al. Transcranial Doppler and Magnetic Resonance in Tanzanian Children With Sickle Cell Disease. Stroke 2019, 50, 1719–1726. [Google Scholar] [CrossRef] [PubMed]
- Jacob, M.; Saunders, D.E.; Sangeda, R.Z.; Ahmed, M.; Tutuba, H.; Kussaga, F.; Musa, B.; Mmbando, B.; Slee, A.E.; Kawadler, J.M.; et al. Cerebral Infarcts and Vasculopathy in Tanzanian Children With Sickle Cell Anemia. Pediatr. Neurol. 2020, 107, 64–70. [Google Scholar] [CrossRef]
- Makani, J.; Kirkham, F.J.; Komba, A.; Ajala-Agbo, T.; Otieno, G.; Fegan, G.; Williams, T.N.; Marsh, K.; Newton, C.R. Risk factors for high cerebral blood flow velocity and death in Kenyan children with Sickle Cell Anaemia: Role of haemoglobin oxygen saturation and febrile illness. Br. J. Haematol. 2009, 145, 529–532. [Google Scholar] [CrossRef]
- Adekile, A.; Hassan, M.; Asbeutah, A.; Al-Hinai, M.; Trad, O.; Farhan, N. Transcranial Doppler Ultrasound in Peninsular Arab Patients With Sickle Cell Disease. J. Ultrasound Med. 2019, 38, 165–172. [Google Scholar] [CrossRef]
- Bakr, S.; Khorshied, M.; Talha, N.; Jaffer, K.Y.; Soliman, N.; Eid, K.; El-Ghamrawy, M. Implication of HMOX1 and CCR5 genotypes on clinical phenotype of Egyptian patients with sickle cell anemia. Ann. Hematol. 2019, 98, 1805–1812. [Google Scholar] [CrossRef] [PubMed]
- Abou-Elew, H.H.; Youssry, I.; Hefny, S.; Hashem, R.H.; Fouad, N.; Zayed, R.A. Beta(S) globin gene haplotype and the stroke risk among Egyptian children with sickle cell disease. Hematology 2018, 23, 362–367. [Google Scholar] [CrossRef] [PubMed]
- Salama, K.; Rady, R.; Hashem, R.H.; El-Ghamrawy, M. Transcranial Doppler Velocities among Sickle Cell Disease Patients in Steady State. Hemoglobin 2020, 44, 418–422. [Google Scholar] [CrossRef]
- Tantawy, A.A.G.; Andrawes, N.G.; Adly, A.A.M.; El Kady, B.A.; Shalash, A. Retinal changes in children and adolescents with sickle cell disease attending a paediatric hospital in Cairo, Egypt: Risk factors and relation to ophthalmic and cerebral blood flow. Trans. R. Soc. Trop. Med. Hyg. 2013, 107, 205–211. [Google Scholar] [CrossRef]
- Mustafa, A.E.M.; Ismail, W.I.M.; Elnour, M. Evaluation of transcranial Doppler abnormalities in children with sickle cell disease in El-Obeid Specialized Children’s Hospital. J. Fam. Med. Prim. Care 2019, 8, 1176–1181. [Google Scholar] [CrossRef]
- Dorie, A.; Guindo, A.; Saro, Y.S.; Toure, B.A.; Fane, B.; Dembele, A.K.; Diallo, D.A. Screening of cerebral vasculopathy in sickle cell anemia children using transcranial Doppler. Arch. Pediatr. 2015, 22, 260–266. [Google Scholar] [CrossRef] [PubMed]
- Madu, A.; Galadanci, N.; Nalado, A.M.; Garba, K.U.; Fowodu, O.; Hassan, A.; Inyama, M.; Oluwaseun, A.; Nwagha, T.; Ibegbulam, O.; et al. Stroke prevalence amongst sickle cell disease patients in Nigeria: A multi-centre study. Afr. Heal Sci. 2014, 14, 446–452. [Google Scholar] [CrossRef]
- Izuora, G.I.; Kaine, W.N.; Emodi, I. Neurological disorders in Nigerian children with homozygous sickle cell anaemia. East Afr. Med. J. 1989, 66, 653–657. [Google Scholar] [PubMed]
- Lagunju, I.; Sodeinde, O.; Telfer, P. Prevalence of transcranial Doppler abnormalities in Nigerian children with sickle cell disease. Am. J. Hematol. 2012, 87, 544–547. [Google Scholar] [CrossRef]
- Lagunju, I.; Brown, B.; Sodeinde, O. Hydroxyurea lowers transcranial Doppler flow velocities in children with sickle cell anaemia in a Nigerian cohort. Pediatr. Blood Cancer 2015, 62, 1587–1591. [Google Scholar] [CrossRef] [PubMed]
- Akingbola, T.S.; Tayo, B.O.; Salako, B.; Layden, J.E.; Hsu, L.; Cooper, R.S.; Gordeuk, V.R.; Saraf, S.L. Comparison of Patients from Nigeria and the USA Highlights Modifiable Risk Factors for Sickle Cell Anemia Complications. Hemoglobin 2014, 38, 236–243. [Google Scholar] [CrossRef]
- Lagunju, I.A.; Labaeka, A.; Ibeh, J.N.; Orimadegun, A.E.; Brown, B.J.; Sodeinde, O.O. Transcranial Doppler screening in Nigerian children with sickle cell disease: A 10-year longitudinal study on the SPPIBA cohort. Pediatr. Blood Cancer 2021, 68, e28906. [Google Scholar] [CrossRef]
- Tabari, A.; Ismail, A. Doppler Ultrasound Velocimetry of Middle Cerebral Arteries of Patients With Sickle Cell Disease at Aminu Kano Teaching Hospital: A Preliminary Report. Ultrasound Med. Biol. 2013, 39, S63. [Google Scholar] [CrossRef]
- George, I.O.; Frank-Briggs, A.I. Stroke in Nigerian Children with Sickle Cell Anaemia. J. Public Health Epidemiol. 2011, 3, 407–409. [Google Scholar]
- Adegoke, S.A.; Adeodu, O.O.; Adekile, A.D. Sickle cell disease clinical phenotypes in children from South-Western, Nigeria. Niger. J. Clin. Pract. 2014, 18, 95–101. [Google Scholar] [CrossRef]
- Diagne, I.; Diagne-Guèye, N.R.; Fall, L.; Ndiaye, O.; Camara, B.; Diouf, S.; Signate-Sy, H.; Kuakuvi, N. Acute encephalic manifestations in Senegalese children with sickle cell disease. Dakar Med. 2001, 46, 116–120. [Google Scholar]
- Santos, B.; Delgadinho, M.; Ferreira, J.; Germano, I.; Miranda, A.; Arez, A.P.; Faustino, P.; Brito, M. Co-Inheritance of alpha-thalassemia and sickle cell disease in a cohort of Angolan pediatric patients. Mol. Biol. Rep. 2020, 47, 5397–5402. [Google Scholar] [CrossRef]
- Rumaney, M.B.; Bitoungui, V.J.N.; Vorster, A.A.; Ramesar, R.; Kengne, A.P.; Ngogang, J.; Wonkam, A. The Co-Inheritance of Alpha-Thalassemia and Sickle Cell Anemia Is Associated with Better Hematological Indices and Lower Consultations Rate in Cameroonian Patients and Could Improve Their Survival. PLoS ONE 2014, 9, e100516. [Google Scholar] [CrossRef]
- Ruffieux, N.; Njamnshi, A.K.; Wonkam, A.; Hauert, C.-A.; Chanal, J.; Verdon, V.; Fonsah, J.Y.; Eta, S.C.; Doh, R.F.; Ngamaleu, R.N.; et al. Association between biological markers of sickle cell disease and cognitive functioning amongst Cameroonian children. Child Neuropsychol. 2013, 19, 143–160. [Google Scholar] [CrossRef]
- Ruffieux, N.; Njamnshi, A.K.; Mayer, E.; Sztajzel, R.; Eta, S.C.; Doh, R.F.; Kengne, A.-M.; Ngamaleu, R.N.; Chanal, J.; Verdon, V.; et al. Neuropsychology in Cameroon: First Normative Data for Cognitive Tests among School-Aged Children. Child Neuropsychol. 2009, 16, 1–19. [Google Scholar] [CrossRef]
- Djunga, S.; Clarysse, J. Neurological complications in sickle cell disease (author’s transl). Acta. Neurol. Belg. 1977, 77, 105–114. [Google Scholar] [PubMed]
- Babela, J.R.; Nzingoula, S.; Senga, P. Sickle-cell crisis in the child and teenager in Brazzaville, Congo. A retrospective study of 587 cases. Bull. Soc. Pathol. Exot. 2005, 98, 365–370. [Google Scholar] [PubMed]
- Amayo, E.O.; Owade, J.N.; Aluoch, J.R.; Njeru, E.K. Neurological complications of sickle cell anaemia at KNH: A five year retrospective study. East Afr. Med. J. 1992, 69, 660–662. [Google Scholar]
- Munube, D.; Katabira, E.; Ndeezi, G.; Joloba, M.; Lhatoo, S.; Sajatovic, M.; Tumwine, J.K. Prevalence of stroke in children admitted with sickle cell anaemia to Mulago Hospital. BMC Neurol. 2016, 16, 175. [Google Scholar] [CrossRef] [PubMed]
- Heimlich, J.B.; Chipoka, G.; Kamthunzi, P.; Krysiak, R.; Majawa, Y.; Mafunga, P.; Fedoriw, Y.; Phiri, A.; Key, N.S.; Ataga, K.I.; et al. Establishing sickle cell diagnostics and characterizing a paediatric sickle cell disease cohort in Malawi. Br. J. Haematol. 2015, 174, 325–329. [Google Scholar] [CrossRef] [PubMed]
- Adams, R.J.; McKie, V.C.; Hsu, L.; Files, B.; Vichinsky, E.; Pegelow, C.; Abboud, M.; Gallagher, D.; Kutlar, A.; Nichols, F.T.; et al. Prevention of a First Stroke by Transfusions in Children with Sickle Cell Anemia and Abnormal Results on Transcranial Doppler Ultrasonography. N. Engl. J. Med. 1998, 339, 5–11. [Google Scholar] [CrossRef]
- Adams, R.J.; Brambilla, D. Optimizing Primary Stroke Prevention in Sickle Cell Anemia (STOP 2) Trial Investigators Discontinuing Prophylactic Transfusions Used to Prevent Stroke in Sickle Cell Disease. N. Engl. J. Med. 2005, 353, 2769–2778. [Google Scholar] [CrossRef] [PubMed]
- Galadanci, N.A.; Abdullahi, S.U.; Abubakar, S.A.; Jibir, B.W.; Aminu, H.; Tijjani, A.; Abba, M.S.; Tabari, M.A.; Galadanci, A.; Borodo, A.M.; et al. Moderate fixed-dose hydroxyurea for primary prevention of strokes in Nigerian children with sickle cell disease: Final results of the SPIN trial. Am. J. Hematol. 2020, 95. [Google Scholar] [CrossRef]
- Adams, R.J.; Brambilla, D.; Granger, S.; Gallagher, D.; Vichinsky, E.; Abboud, M.R.; Pegelow, C.H.; Woods, G.; Rohde, E.M.; Nichols, F.T.; et al. Stroke and conversion to high risk in children screened with transcranial Doppler ultrasound during the STOP study. Blood 2004, 103, 3689–3694. [Google Scholar] [CrossRef]
- DeBaun, M.R.; Jordan, L.C.; King, A.A.; Schatz, J.; Vichinsky, E.; Fox, C.K.; McKinstry, R.C.; Telfer, P.; Kraut, M.A.; Daraz, L.; et al. American Society of Hematology 2020 guidelines for sickle cell disease: Prevention, diagnosis, and treatment of cerebrovascular disease in children and adults. Blood Adv. 2020, 4, 1554–1588. [Google Scholar] [CrossRef] [PubMed]
- Kwiatkowski, J.L.; Voeks, J.H.; Kanter, J.; Fullerton, H.J.; Debenham, E.; Brown, L.; Adams, R.J.; Post-STOP Study Group. Ischemic stroke in children and young adults with sickle cell disease in the post-STOP era. Am. J. Hematol. 2019, 94, 1335–1343. [Google Scholar] [CrossRef]
- Mazumdar, M.; Heeney, M.; Sox, C.M.; Lieu, T.A. Preventing Stroke Among Children With Sickle Cell Anemia: An Analysis of Strategies That Involve Transcranial Doppler Testing and Chronic Transfusion. Pediatrics 2007, 120, e1107–e1116. [Google Scholar] [CrossRef]
- Ware, R.E.; Davis, B.R.; Schultz, W.H.; Brown, R.C.; Aygun, B.; Sarnaik, S.; Odame, I.; Fuh, B.; George, A.; Owen, W.; et al. Hydroxycarbamide versus chronic transfusion for maintenance of transcranial doppler flow velocities in children with sickle cell anaemia—TCD With Transfusions Changing to Hydroxyurea (TWiTCH): A multicentre, open-label, phase 3, non-inferiority trial. Lancet 2016, 387, 661–670. [Google Scholar] [CrossRef]
- Opoka, R.O.; Hume, H.A.; Latham, T.S.; Lane, A.; Williams, O.; Tymon, J.; Nakafeero, M.; Kasirye, P.; Ndugwa, C.M.; John, C.C.; et al. Hydroxyurea to lower transcranial Doppler velocities and prevent primary stroke: The Uganda NOHARM sickle cell anemia cohort. Haematologica 2019, 105, e272–e275. [Google Scholar] [CrossRef]
- Gulbis, B.; Haberman, D.; Dufour, D.; Christophe, C.; Vermylen, C.; Kagambega, F.; Corazza, F.; Devalck, C.; Dresse, M.F.; Hunninck, K.; et al. Hydroxyurea for sickle cell disease in children and for prevention of cerebrovascular events: The Belgian experience. Blood 2005, 105, 2685–2690. [Google Scholar] [CrossRef]
- Abdullahi, S.U.; Wudil, B.J.; Bello-Manga, H.; Musa, A.B.; Gambo, S.; Galadanci, N.A.; Aminu, H.; Gaya, A.T.; Sanusi, S.; Tabari, M.A.; et al. Primary prevention of stroke in children with sickle cell anemia in sub-Saharan Africa: Rationale and design of phase III randomized clinical trial. Pediatr. Hematol. Oncol. 2021, 38, 49–64. [Google Scholar] [CrossRef]
- Abdullahi, S.U.; Jibir, B.W.; Bello-Manga, H.; Gambo, S.; Inuwa, H.; Tijani, A.G.; Galadanci, A.A.; Borodo, A.M.; Galadanci, N.A.; Idris, N.; et al. Randomized, Controlled Trial of Fixed, Low- vs. Moderate-Dose, Hydroxyurea for Primary, Stroke Prevention in Sub-Saharan, Africa: Final, Results of the SPRING trial. American, Society for Hematology. Available online: https://ash.confex.com/ash/2020/webprogram/Session19519 (accessed on 30 June 2021).
- Abboud, M.R.; Cure, J.; Granger, S.; Gallagher, D.; Hsu, L.; Wang, W.; Woods, G.; Berman, B.; Brambilla, D.; Pegelow, C.; et al. Magnetic resonance angiography in children with sickle cell disease and abnormal transcranial Doppler ultrasonography findings enrolled in the STOP study. Blood 2004, 103, 2822–2826. [Google Scholar] [CrossRef] [PubMed]
- Minniti, C.P.; Gidvani, V.K.; Bulas, D.; Brown, W.A.; Vezina, G.; Driscoll, M.C. Transcranial Doppler Changes in Children With Sickle Cell Disease on Transfusion Therapy. J. Pediatr. Hematol. 2004, 26, 626–630. [Google Scholar] [CrossRef]
- Siegel, M.J.; Luker, G.D.; Glauser, T.A.; DeBaun, M.R. Cerebral infarction in sickle cell disease: Transcranial Doppler US versus neurologic examination. Radiology 1995, 197, 191–194. [Google Scholar] [CrossRef] [PubMed]
- Verlhac, S.; Bernaudin, F.; Tortrat, D.; Brugieres, P.; Mage, K.; Gaston, A.; Reinert, P. Detection of cerebrovascular disease in patients with sickle cell disease using transcranial Doppler sonography: Correlation with MRI, MRA and conventional angiography. Pediatr. Radiol. 1995, 25, S14–S19. [Google Scholar] [CrossRef]
- Seibert, J.J.; Glasier, C.M.; Kirby, R.S.; Allison, J.W.; James, C.A.; Becton, D.L.; Kinder, D.L.; Cox, K.S.; Flick, E.L.; Lairry, F.; et al. Transcranial Doppler, MRA, and MRI as a screening examination for cerebrovascular disease in patients with sickle cell anemia: An 8-year study. Pediatr. Radiol. 1998, 28, 138–142. [Google Scholar] [CrossRef]
- Kotecha, K.; Prengler, M.; Saunders, D.E.; Hewes, D.K.; Kirkham, F.J.; Telfer, P. Change over time of transcranial Doppler cerebral blood flow velocity and the relationship with turbulence on magnetic resonance angiography in patients with sickle cell disease. Blood 2005, 106, 3799. [Google Scholar] [CrossRef]
- Bernaudin, F.; Verlhac, S.; De Latour, R.P.; Dalle, J.-H.; Brousse, V.; Petras, E.; Thuret, I.; Paillard, C.; Neven, B.; Galambrun, C.; et al. Association of Matched Sibling Donor Hematopoietic Stem Cell Transplantation With Transcranial Doppler Velocities in Children With Sickle Cell Anemia. JAMA 2019, 321, 266–276. [Google Scholar] [CrossRef]
- Verlhac, S.; Gabor, F.; Paillard, C.; Chateil, J.; Jubert, C.; Petras, M.; Grevent, D.; Brousse, V.; Petit, P.; Thuret, I.; et al. Improved stenosis outcome in stroke-free sickle cell anemia children after transplantation compared to chronic transfusion. Br. J. Haematol. 2021, 193, 188–193. [Google Scholar] [CrossRef]
- Strouse, J.J.; Hulbert, M.L.; DeBaun, M.R.; Jordan, L.C.; Casella, J.F. Primary Hemorrhagic Stroke in Children With Sickle Cell Disease Is Associated With Recent Transfusion and Use of Corticosteroids. Pediatrics 2006, 118, 1916–1924. [Google Scholar] [CrossRef]
- Dobson, S.R.; Holden, K.R.; Nietert, P.J.; Cure, J.K.; Laver, J.H.; Disco, D.; Aboud, M.R. Moyamoya syndrome in childhood sickle cell disease: A predictive factor for recurrent cerebrovascular events. Blood 2002, 99, 3144–3150. [Google Scholar] [CrossRef]
- Sebire, G.; Tabarki, B.; Saunders, D.E.; Leroy, I.; Liesner, R.; Saint-Martin, C.; Husson, B.; Williams, A.N.; Wade, A.; Kirkham, F.J. Cerebral venous sinus thrombosis in children: Risk factors, presentation, diagnosis and outcome. Brain 2005, 128, 477–489. [Google Scholar] [CrossRef]
- Naran, A.D.; Fontana, L. Sickle cell disease with orbital infarction and epidural hematoma. Pediatr. Radiol. 2001, 31, 257–259. [Google Scholar] [CrossRef] [PubMed]
- Portnoy, B.A.; Herion, J.C. Neurological manifestations in sickle-cell disease, with a review of the literature and emphasis on the prevalence of hemiplegia. Ann. Intern. Med. 1972, 76, 643–652. [Google Scholar] [CrossRef]
- Wood, D.H. Cerebrovascular complications of sickle cell anemia. Stroke 1978, 9, 73–75. [Google Scholar] [CrossRef] [PubMed]
- Wilimas, J.; Goff, J.R.; Anderson, H.R., Jr.; Langston, J.W.; Thompson, E. Efficacy of transfusion therapy for one to two years in patients with sickle cell disease and cerebrovascular accidents. J. Pediatr. 1980, 96, 205–208. [Google Scholar] [CrossRef]
- Moohr, J.W.; Wilson, H.; Pang, E.J. Strokes and their management in sickle cell disease. In Comparative Clinical Aspects of Sickle Cell Disease; Fried, W., Ed.; Elsevier: Amsterdam, The Netherlands, 1982; pp. 101–111. [Google Scholar]
- Russell, M.O.; Goldberg, H.I.; Hodson, A.; Kim, H.C.; Halus, J.; Reivich, M.; Schwartz, E. Effect of transfusion therapy on arteriographic abnormalities and on recurrence of stroke in sickle cell disease. Blood 1984, 63, 162–169. [Google Scholar] [CrossRef] [PubMed]
- Pegelow, C.H.; Adams, R.J.; McKie, V.; Abboud, M.; Berman, B.; Miller, S.T.; Olivieri, N.; Vichinsky, E.; Wang, W.; Brambilla, D. Risk of recurrent stroke in patients with sickle cell disease treated with erythrocyte transfusions. J. Pediatr. 1995, 126, 896–899. [Google Scholar] [CrossRef]
- Mirre, E.; Brousse, V.; Berteloot, L.; Lambot-Juhan, K.; Verlhac, S.; Boulat, C.; Dumont, M.-D.; Lenoir, G.; De Montalembert, M. Feasibility and efficacy of chronic transfusion for stroke prevention in children with sickle cell disease. Eur. J. Haematol. 2010, 84, 259–265. [Google Scholar] [CrossRef]
- Majumdar, S.; Miller, M.; Khan, M.; Gordon, C.; Forsythe, A.; Smith, M.G.; Megason, G.; Iyer, R. Outcome of overt stroke in sickle cell anaemia, a single institution’s experience. Br. J. Haematol. 2014, 165, 707–713. [Google Scholar] [CrossRef]
- Scothorn, D.J.; Price, C.; Schwartz, D.; Terrill, C.; Buchanan, G.R.; Shurney, W.; Sarniak, I.; Fallon, R.; Chu, J.-Y.; Pegelow, C.H.; et al. Risk of recurrent stroke in children with sickle cell disease receiving blood transfusion therapy for at least five years after initial stroke. J. Pediatr. 2002, 140, 348–354. [Google Scholar] [CrossRef]
- Inusa, B.; Prengler, M.; Pohl, K.R.; Saunders, D.; Bynevelt, M.; Cox, T.; Chong, K.; Wilkey, O.; Yardumian, A.; Robins, A.; et al. Risk factors for stroke recurrence in sickle cell disease. Br. J. Haematol. 2007, 137, 73–74. [Google Scholar]
- Pegelow, C.H.; Macklin, E.; Moser, F.G.; Wang, W.C.; Bello, J.A.; Miller, S.T.; Vichinsky, E.P.; DeBaun, M.R.; Guarini, L.; Zimmerman, R.A.; et al. Longitudinal changes in brain magnetic resonance imaging findings in children with sickle cell disease. Blood 2002, 99, 3014–3018. [Google Scholar] [CrossRef]
- DeBaun, M.R.; Gordon, M.; McKinstry, R.C.; Noetzel, M.J.; White, D.; Sarnaik, S.A.; Meier, E.R.; Howard, T.H.; Majumdar, S.; Inusa, B.; et al. Controlled Trial of Transfusions for Silent Cerebral Infarcts in Sickle Cell Anemia. N. Engl. J. Med. 2014, 371, 699–710. [Google Scholar] [CrossRef]
- Ali, S.B.; MooSang, M.; King, L.; Knight-Madden, J.; Reid, M. Stroke recurrence in children with sickle cell disease treated with following first clinical stroke. Am. J. Hematol. 2011, 86, 846–850. [Google Scholar] [CrossRef] [PubMed]
- Lagunju, I.; Brown, B.J.; Sodeinde, O. Stroke recurrence in Nigerian children with sickle cell disease treated with hydroxyurea. Niger. Postgrad. Med. J. 2013, 20, 181–187. [Google Scholar]
- Cunningham-Myrie, C.; Abdulkadri, A.; Waugh, A.; Ali, S.B.; King, L.-G.; Knight-Madden, J.; Reid, M. Hydroxyurea use in prevention of stroke recurrence in children with sickle cell disease in a developing country: A cost effectiveness analysis. Pediatr. Blood Cancer 2015, 62, 1862–1864. [Google Scholar] [CrossRef] [PubMed]
- Ware, R.E.; Helms, R.W. Stroke With Transfusions Changing to Hydroxyurea (SWiTCH). Blood 2012, 119, 3925–3932. [Google Scholar] [CrossRef]
- Nawaiseh, M.; Shaban, A.; Abualia, M.; Haddadin, R.; Nawaiseh, Y.; AlRyalat, S.A.; Yassin, A.; Sultan, I. Seizures risk factors in sickle cell disease. The cooperative study of sickle cell disease. Seizure 2021, 89, 107–113, Erratum in 2021, 91, 521–523. [Google Scholar] [CrossRef]
- Kirkham, F.J.; Murugan, V. Epidemiology and semiology of seizures in sickle cell anemia and association with cerebrovascular disease and stroke. Epilepsia 2008, 49, 186. [Google Scholar]
- Dowling, M.M.; Noetzel, M.J.; Rodeghier, M.J.; Quinn, C.; Hirtz, D.G.; Ichord, R.N.; Kwiatkowski, J.L.; Roach, E.S.; Kirkham, F.; Casella, J.F.; et al. Headache and Migraine in Children with Sickle Cell Disease Are Associated with Lower Hemoglobin and Higher Pain Event Rates But Not Silent Cerebral Infarction. J. Pediatr. 2014, 164, 1175–1180e1. [Google Scholar] [CrossRef]
- DeBaun, M.R.; Kirkham, F.J. Central nervous system complications and management in sickle cell disease. Blood 2016, 127, 829–838. [Google Scholar] [CrossRef]
- Vgontzas, A.; Charleston, L.; Robbins, M.S. Headache and Facial, Pain in Sickle, Cell Disease. Curr. Pain Headache Rep. 2016, 20, 20. [Google Scholar] [CrossRef]
- Adams, R.J. Neurological complications. In Sickle, Cell Disease: Basic, Principles and Clinical, Practice, 1st ed.; Embury, S., Hebbel, R.P., Mohandas, N., Steinberg, M.H., Eds.; Raven press Ltd.: New York, NY, USA, 1994; pp. 599–621. [Google Scholar]
- Van Mierlo, T.D.; Berg, H.M.V.D.; Nievelstein, R.A.J.; Braun, K.P.J. An unconscious girl with sickle-cell disease. Lancet 2003, 361, 136. [Google Scholar] [CrossRef]
- Sidani, C.A.; Ballourah, W.; El Dassouki, M.; Muwakkit, S.; Dabbous, I.; Dahoui, H.; Al-Kutoubi, A.; Abboud, M.R. Venous sinus thrombosis leading to stroke in a patient with sickle cell disease on hydroxyurea and high hemoglobin levels: Treatment with thrombolysis. Am. J. Hematol. 2008, 83, 818–820. [Google Scholar] [CrossRef]
- Wang, M.K.; Shergill, R.; Jefkins, M.; Cheung, J. A sickle cell disease patient with dural venous sinus thrombosis: A case report and literature review. Hemoglobin 2019, 43, 193–197. [Google Scholar] [CrossRef]
- Henry, M.; Driscoll, M.C.; Miller, M.; Chang, T.; Minniti, C.P. Pseudotumor cerebri in children with sickle cell disease: A case series. Pediatrics 2004, 113, e265–e269. [Google Scholar] [CrossRef]
- Segal, L.; Discepola, M. Idiopathic intracranial hypertension and sickle cell disease: Two case reports. Can. J. Ophthalmol. 2005, 40, 764–767. [Google Scholar] [CrossRef]
- Pavlakis, S.G.; Prohovnik, I.; Piomelli, S.; DeVivo, D.C. Neurologic complications of sickle cell disease. Adv. Pediatr. 1989, 36, 247–276. [Google Scholar]
- Smith, S.E.; Millman, G.; Ichord, R.; Telfeian, A.; Thompson, D.; Kirkham, F. Good outcome following decompressive craniectomy for malignant middle cderebral artery infarction in children. Stroke 2004, 35, 335. [Google Scholar]
- Dowling, M.M.; Quinn, C.; Rogers, Z.R.; Buchanan, G.R. Acute silent cerebral infarction in children with sickle cell anemia. Pediatr. Blood Cancer 2010, 54, 461–464. [Google Scholar] [CrossRef]
- Glauser, T.A.; Siegel, M.J.; Lee, B.; DeBaun, M.R. Accuracy of Neurologic Examination and History in Detecting Evidence of MRI-Diagnosed Cerebral Infarctions in Children With Sickle Cell Hemoglobinopathy. J. Child Neurol. 1995, 10, 88–92. [Google Scholar] [CrossRef] [PubMed]
- Mercuri, E.; Faundez, J.C.; Roberts, I.; Flora, S.; Bouza, H.; Cowan, F.; Meredith, C. Neurological ‘soft’ signs may identify children with sickle cell disease who are at risk for stroke. Eur. J. Pediatr. 1995, 154, 150–156. [Google Scholar] [PubMed]
- Melek, I.; Akgul, F.; Duman, T.; Yalcin, F.; Gali, E. Neurological Soft Signs as the Stroke Risk in Sickle Cell Disease. Tohoku J. Exp. Med. 2006, 209, 135–140. [Google Scholar] [CrossRef][Green Version]
- Landoure, G.; Cisse, L.; Toure, B.A.; Yalcouye, A.; Coulibaly, T.; Karambe, M.; Sissoko, A.S.; Coulibaly, T.; Wonkam, A.; Guinto, C.O.; et al. Neurological, Complications in Subjects, With Sickle, Cell Disease or Trait: Genetic, Results From, Mali. Glob. Heart 2017, 12, 77–80. [Google Scholar] [CrossRef]
- Shields, R.W.; Harris, J.W.; Clark, M. Mononeuropathy in sickle cell anemia: Anatomical and pathophysiological basis for its rarity. Muscle Nerve 1991, 14, 370–374. [Google Scholar] [CrossRef]
- Danesi, M.A. Acquired aetiological factors in Nigerian Epileptics (an investigation of 378 patients). Trop. Geogr. Med. 1983, 35, 293–297. [Google Scholar]
- Liu, J.E.; Gzesh, D.J.; Ballas, S.K. The spectrum of epilepsy in sickle cell anemia. J. Neurol. Sci. 1994, 123, 6–10. [Google Scholar] [CrossRef]
- Prengler, M.; Pavlakis, S.G.; Boyd, S.; Connelly, A.; Calamante, F.; Chong, W.K.; Saunders, D.; Cox, T.; Bynevelt, M.; Lane, R.; et al. Sickle cell disease: Ischemia and seizures. Ann. Neurol. 2005, 58, 290–302. [Google Scholar] [CrossRef]
- Gregory, G.; Olujohungbe, A. Mandibular nerve neuropathy in sickle cell disease. Oral Surg. Oral Med. Oral Pathol. 1994, 77, 66–69. [Google Scholar] [CrossRef]
- Glass, P.; Brennan, T.; Wang, J.; Luchtman-Jones, L.; Hsu, L.; Bass, C.M.; Rana, S.; Martin, B.; Reed, C.; Cheng, Y.I.; et al. Neurodevelopmental Deficits Among Infants and Toddlers with Sickle Cell Disease. J. Dev. Behav. Pediatr. 2013, 34, 399–405. [Google Scholar] [CrossRef]
- Drazen, C.H.; Abel, R.; Gabir, M.; Farmer, G.; King, A.A. Prevalence of Developmental Delay and Contributing Factors Among Children With Sickle Cell Disease. Pediatr. Blood Cancer 2015, 63, 504–510. [Google Scholar] [CrossRef]
- Montanaro, M.; Colombatti, R.; Pugliese, M.; Migliozzi, C.; Zani, F.; Guerzoni, M.E.; Manoli, S.; Manara, R.; Meneghetti, G.; Rampazzo, P.; et al. Intellectual function evaluation of first generation immigrant children with sickle cell disease: The role of language and sociodemographic factors. Ital. J. Pediatr. 2013, 39, 36. [Google Scholar] [CrossRef]
- Stotesbury, H.; Kirkham, F.J.; Kölbel, M.; Balfour, P.; Clayden, J.D.; Sahota, S.; Sakaria, S.; Saunders, D.E.; Howard, J.; Kesse-Adu, R.; et al. White matter integrity and processing speed in sickle cell anemia. Neurology 2018, 90, e2042–e2050. [Google Scholar] [CrossRef]
- Matondo, L.O.; Kija, E.; Manji, K.P. Neurocognitive Functioning among Children with Sickle Cell Anemia Attending SCA Clinic at MNH, Dar es Salaam, Tanzania. Neurol. Res. Int. 2020, 2020, 1–8. [Google Scholar] [CrossRef]
- Longoria, J.N.; Pugh, N.L.; Gordeuk, V.; Hsu, L.L.; Treadwell, M.; King, A.A.; Gibson, R.; Kayle, M.; Crego, N.; Glassberg, J.; et al. Patient-reported neurocognitive symptoms influence instrumental activities of daily living in sickle cell disease. Am J Hematol. 2021. Epub ahead of print. [Google Scholar] [CrossRef] [PubMed]
- Zafeiriou, D.I.; Prengler, M.; Gombakis, N.; Kouskouras, K.; Economou, M.; Kardoulas, A.; Tsantali, C.; Dimitriadis, A.; Athanasiou, M.; Kirkham, F.J. Central nervous system abnormalities in asymptomatic young patients with Sbeta-thalassemia. Ann. Neurol. 2004, 55, 835–839. [Google Scholar] [CrossRef] [PubMed]
- Kassim, A.A.; Pruthi, S.; Day, M.; Rodeghier, M.; Gindville, M.C.; Brodsky, M.A.; DeBaun, M.R.; Jordan, L.C. Silent cerebral infarcts and cerebral aneurysms are prevalent in adults with sickle cell anemia. Blood 2016, 127, 2038–2040. [Google Scholar] [CrossRef] [PubMed]
- Houwing, M.E.; Grohssteiner, R.L.; Dremmen, M.H.G.; Atiq, F.; Bramer, W.M.; De Pagter, A.P.J.; Zwaan, C.M.; White, T.J.H.; Vernooij, M.W.; Cnossen, M.H. Silent cerebral infarcts in patients with sickle cell disease: A systematic review and meta-analysis. BMC Med. 2020, 18, 1–17. [Google Scholar] [CrossRef] [PubMed]
- Hulbert, M.L.; McKinstry, R.C.; Lacey, J.L.; Moran, C.J.; Panepinto, J.A.; Thompson, A.A.; Sarnaik, S.A.; Woods, G.M.; Casella, J.F.; Inusa, B.; et al. Silent cerebral infarcts occur despite regular blood transfusion therapy after first strokes in children with sickle cell disease. Blood 2011, 117, 772–779. [Google Scholar] [CrossRef]
- Wang, W.C.; Langston, J.W.; Steen, R.G.; Wynn, L.W.; Mulhern, R.K.; Wilimas, J.A.; Kim, F.M.; Figueroa, R.E. Abnormalities of the central nervous system in very young children with sickle cell anemia. J. Pediatr. 1998, 132, 994–998. [Google Scholar] [CrossRef]
- Cancio, M.I.; Helton, K.J.; Schreiber, J.E.; Smeltzer, M.; Kang, G.; Wang, W.C. Silent cerebral infarcts in very young children with sickle cell anaemia are associated with a higher risk of stroke. Br. J. Haematol. 2015, 171, 120–129. [Google Scholar] [CrossRef]
- Kwiatkowski, J.L.; Zimmerman, R.A.; Pollock, A.N.; Seto, W.; Smith-Whitley, K.; Shults, J.; Blackwood-Chirchir, A.; Ohene-Frempong, K. Silent infarcts in young children with sickle cell disease. Br. J. Haematol. 2009, 146, 300–305. [Google Scholar] [CrossRef] [PubMed]
- Bernaudin, F.; Verlhac, S.; Arnaud, C.; Kamdem, A.; Vasile, M.; Kasbi, F.; Hau, I.; Madhi, F.; Fourmaux, C.; Biscardi, S.; et al. Chronic and acute anemia and extracranial internal carotid stenosis are risk factors for silent cerebral infarcts in sickle cell anemia. Blood 2015, 125, 1653–1661. [Google Scholar] [CrossRef] [PubMed]
- Ganesan, V.; Prengler, M.; Wade, A.; Kirkham, F.J. Clinical and Radiological Recurrence After Childhood Arterial Ischemic Stroke. Circulation 2006, 114, 2170–2177. [Google Scholar] [CrossRef]
- Thangarajh, M.; Yang, G.; Fuchs, D.; Ponisio, M.R.; McKinstry, R.C.; Jaju, A.; Noetzel, M.J.; Casella, J.F.; Barron-Casella, E.; Hooper, W.C.; et al. Magnetic resonance angiography-defined intracranial vasculopathy is associated with silent cerebral infarcts and glucose-6-phosphate dehydrogenase mutation in children with sickle cell anaemia. Br. J. Haematol. 2012, 159, 352–359. [Google Scholar] [CrossRef] [PubMed]
- Schlotman, A.A.; Donahue, M.J.; Kassim, A.A.; Lee, C.A.; Waddle, S.L.; Pruthi, S.; Davis, L.T.; Rodeghier, M.; DeBaun, M.R.; Jordan, L.C. Intracranial and Extracranial Vascular Stenosis as Risk Factors for Stroke in Sickle Cell Disease. Pediatr. Neurol. 2021, 114, 29–34. [Google Scholar] [CrossRef]
- Dowling, M.M.; Lee, N.; Quinn, C.; Rogers, Z.R.; Boger, D.; Ahmad, N.; Ramaciotti, C.; Buchanan, G.R. Prevalence of Intracardiac Shunting in Children with Sickle Cell Disease and Stroke. J. Pediatr. 2010, 156, 645–650. [Google Scholar] [CrossRef]
- Kawadler, J.M.; Clayden, J.; Clark, C.A.; Kirkham, F. Intelligence quotient in paediatric sickle cell disease: A systematic review and meta-analysis. Dev. Med. Child Neurol. 2016, 58, 672–679. [Google Scholar] [CrossRef]
- Prussien, K.V.; Jordan, L.C.; DeBaun, M.R.; Compas, B.E. Cognitive Function in Sickle Cell Disease Across Domains, Cerebral Infarct Status, and the Lifespan: A Meta-Analysis. J. Pediatr. Psychol. 2019, 44, 948–958. [Google Scholar] [CrossRef]
- Choi, S.; O’Neil, S.H.; Joshi, A.A.; Li, J.; Bush, A.M.; Coates, T.D.; Leahy, R.M.; Wood, J.C.; Choi, B.S. Anemia predicts lower white matter volume and cognitive performance in sickle and non-sickle cell anemia syndrome. Am. J. Hematol. 2019, 94, 1055–1065. [Google Scholar] [CrossRef] [PubMed]
- Kapustin, D.; Leung, J.; Odame, I.; Williams, S.; Shroff, M.; Kassner, A. Hydroxycarbamide treatment in children with Sickle Cell Anaemia is associated with more intact white matter integrity: A quantitative MRI study. Br. J. Haematol. 2019, 187, 238–245. [Google Scholar] [CrossRef] [PubMed]
- Wang, W.; Enos, L.; Gallagher, D.; Thompson, R.; Guarini, L.; Vichinsky, E.; Wright, E.; Zimmerman, R.; Armstrong, F. Neuropsychologic performance in school-aged children with sickle cell disease: A report from the Cooperative Study of Sickle Cell Disease. J. Pediatr. 2001, 139, 391–397. [Google Scholar] [CrossRef] [PubMed]
- Hogan, A.M.; Kirkham, F.J.; Isaacs, E.B.; Wade, A.M.; Vargha-Khadem, F. Intellectual decline in children with moyamoya and sickle cell anaemia. Dev. Med. Child. Neurol. 2005, 47, 824–829. [Google Scholar] [CrossRef]
- Hogan, A.; Telfer, P.; Prengler, M.; Saunders, D.; Wade, A.M.; Vargha-Khadem, F.; Kirkham, F.J. Intellectual function in children with sickle cell anemia: Longitudinal data from the East london cohort. Br. J. Haematol. 2008, 141, 111. [Google Scholar]
- Kandeel, A.Y.; Zimmerman, R.A.; Ohene-Frempong, K. Comparison of magnetic resonance angiography and conventional angiography in sickle cell disease: Clinical significance and reliability. Neuroradiology 1996, 38, 409–416. [Google Scholar] [CrossRef]
- Dlamini, N.; Saunders, D.E.; Bynevelt, M.; Trompeter, S.; Cox, T.C.; Bucks, R.S.; Kirkham, F.J. Nocturnal oxyhemoglobin desaturation and arteriopathy in a pediatric sickle cell disease cohort. Neurology 2017, 89, 2406–2412. [Google Scholar] [CrossRef] [PubMed]
- Wang, W.C.; Pavlakis, S.G.; Helton, K.J.; McKinstry, R.C.; Casella, J.F.; Adams, R.J.; Rees, R.C.; for the BABY HUG Investigators. MRI abnormalities of the brain in one-year-old children with sickle cell anemia. Pediatr. Blood Cancer 2008, 51, 643–646. [Google Scholar] [CrossRef]
- Steen, R.G.; Langston, J.W.; Ogg, R.J.; Manci, E.; Mulhern, R.K.; Wang, W. Ectasia of the basilar artery in children with sickle cell disease: Relationship to hematocrit and psychometric measures. J. Stroke Cerebrovasc. Dis. 1998, 7, 32–43. [Google Scholar] [CrossRef]
- Steen, R.G.; Reddick, W.E.; Glass, J.O.; Wang, W.C. Evidence of cranial artery ectasia in sickle cell disease patients with ectasia of the basilar artery. J. Stroke Cerebrovasc. Dis. 1998, 7, 330–338. [Google Scholar] [CrossRef]
- Telfer, P.T.; Evanson, J.; Butler, P.; Hemmaway, C.; Abdulla, C.; Gadong, N.; Whitmarsh, S.; Kaya, B.; Kirkham, F. Cervical carotid artery disease in sickle cell anemia: Clinical and radiological features. Blood 2011, 118, 6192–6199. [Google Scholar] [CrossRef]
- Hirtz, D.; Kirkham, F.J. Sickle, Cell Disease and Stroke. Pediatr. Neurol. 2019, 95, 34–41. [Google Scholar] [CrossRef] [PubMed]
- Serjeant, G.R. Sickle-cell disease. Lancet 1997, 350, 725–730. [Google Scholar] [CrossRef]
- Ballas, S.K. Sickle cell disease: Clinical management. Baillieres Clin. Haematol. 1998, 11, 185–214. [Google Scholar] [CrossRef]
- Domingos, I.F.; Falcao, D.A.; Hatzlhofer, B.L.; Cunha, A.F.; Santos, M.N.; Albuquerque, D.M.; Fertrin, K.Y.; Costa, F.F.; Azevedo, R.C.; Machado, C.G.; et al. Influence of the betas haplotype and alpha-thalassemia on stroke development in a Brazilian population with sickle cell anaemia. Ann. Hematol. 2014, 93, 1123–1129. [Google Scholar] [CrossRef]
- Rodrigues, D.O.; Ribeiro, L.C.; Sudario, L.C.; Teixeira, M.T.; Martins, M.L.; Pittella, A.M.; Fernandes, I.D.O. Genetic determinants and stroke in children with sickle cell disease. J. Pediatr. Rio. J. 2016, 92, 602–608. [Google Scholar]
- Belisario, A.R.; Martins, M.L.; Brito, A.M.; Rodrigues, C.V.; Silva, C.M.; Viana, M.B. Beta-globin gene cluster haplotypes in a cohort of 221 children with sickle cell anemia or Sbeta(0)-thalassemia and their association with clinical and hematological features. Acta Haematol. 2010, 124, 162–170. [Google Scholar] [CrossRef]
- Hatzlhofer, B.L.D.; Pereira-Martins, D.A.; de Farias Domingos, I.; Arcanjo, G.D.S.; Weinhauser, I.; Falcao, D.A.; Farias, I.C.C.; Batista, T.H.C.; Prado, L.P.L.; Oliveira, J.M.F.; et al. Alpha thalassemia, but not beta(S)-globin haplotypes, influence sickle cell anemia clinical outcome in a large, single-center Brazilian cohort. Ann. Hematol. 2021, 100, 921–931. [Google Scholar] [CrossRef] [PubMed]
- Neonato, M.G.; Guilloud-Bataille, M.; Beauvais, P.; Bégué, P.; Belloy, M.; Benkerrou, M.; Ducrocq, R.; Maier-Redelsperger, M.; De Montalembert, M.; Quinet, B.; et al. Acute clinical events in 299 homozygous sickle cell patients living in France. Eur. J. Haematol. 2000, 65, 155–164. [Google Scholar] [CrossRef] [PubMed]
- Belisario, A.R.; Rodrigues, S.R.; Evelin, T.N.; Velloso-Rodrigues, C.; Maria, S.C.; Borato, V.M. Glucose-6-Phosphate, Dehydrogenase Deficiency in Brazilian, Children With, Sickle Cell, Anemia is not Associated, With Clinical, Ischemic Stroke or High-Risk, Transcranial Doppler. Pediatr. Blood Cancer 2016, 63, 1046–1049. [Google Scholar] [CrossRef]
- Bernaudin, F.; Verlhac, S.; Chevret, S.; Torres, M.; Coic, L.; Arnaud, C.; Kamdem, A.; Hau, I.; Neonato, M.G.; Delacourt, C. G6PD deficiency, absence of α-thalassemia, and hemolytic rate at baseline are significant independent risk factors for abnormally high cerebral velocities in patients with sickle cell anemia. Blood 2008, 112, 4314–4317. [Google Scholar] [CrossRef] [PubMed]
- Joly, P.; Garnier, N.; Kebaïli, K.; Renoux, C.; Dony, A.; Cheikh, N.; Rénard, C.; Ceraulo, A.; Cuzzubbo, D.; Pondarre, C.; et al. G6PD deficiency and absence of α-thalassemia increase the risk for cerebral vasculopathy in children with sickle cell anemia. Eur. J. Haematol. 2015, 96, 404–408. [Google Scholar] [CrossRef] [PubMed]
- Miller, S.T.; Milton, J.; Steinberg, M. G6PD deficiency and stroke in the CSSCD. Am. J. Hematol. 2011, 86, 331. [Google Scholar] [CrossRef] [PubMed]
- Rees, D.; Lambert, C.; Cooper, E.; Bartram, J.; Goss, D.; Deane, C.; Thein, S.L. Glucose 6 phosphate dehydrogenase deficiency is not associated with cerebrovascular disease in children with sickle cell anemia. Blood 2009, 114, 742–743. [Google Scholar] [CrossRef]
- Martella, M.; Quaglia, N.; Frigo, A.C.; Basso, G.; Colombatti, R.; Sainati, L. Association between a combination of single nucleotide polymorphisms and large vessel cerebral vasculopathy in African children with sickle cell disease. Blood Cells Mol. Dis. 2016, 61, 1–3. [Google Scholar] [CrossRef]
- Pegelow, C.H.; Colangelo, M.L.; Steinberg, M.; Wright, E.C.; Smith, J.; Phillips, G.; Vichinsky, E. Natural History of Blood Pressure in Sickle Cell Disease: Risks for Stroke and Death Associated with Relative Hypertension in Sickle Cell Anemia. Am. J. Med. 1997, 102, 171–177. [Google Scholar] [CrossRef]
- Rees, D.C.; Dick, M.C.; Height, S.E.; O’Driscoll, S.; Pohl, K.R.; Goss, D.E.; Deane, C.R. A Simple Index Using Age, Hemoglobin, and Aspartate Transaminase Predicts Increased Intracerebral Blood Velocity as Measured by Transcranial Doppler Scanning in Children With Sickle Cell Anemia. Pediatrics 2008, 121, e1628–e1632. [Google Scholar] [CrossRef]
- Brass, L.M.; Pavlakis, S.G.; DeVivo, D.; Piomelli, S.; Mohr, J.P. Transcranial Doppler measurements of the middle cerebral artery. Effect of hematocrit. Stroke 1988, 19, 1466–1469. [Google Scholar] [CrossRef] [PubMed]
- Quinn, C.T.; Variste, J.; Dowling, M.M. Haemoglobin oxygen saturation is a determinant of cerebral artery blood flow velocity in children with sickle cell anaemia. Br. J. Haematol. 2009, 145, 500–505. [Google Scholar] [CrossRef]
- O’Driscoll, S.; Height, S.E.; Dick, M.C.; Rees, D.C. Serum lactate dehydrogenase activity as a biomarker in children with sickle cell disease. Br. J. Haematol. 2007, 140, 206–209. [Google Scholar] [CrossRef] [PubMed]



Publisher’s Note: MDPI stays neutral with regard to jurisdictional claims in published maps and institutional affiliations. |
© 2021 by the authors. Licensee MDPI, Basel, Switzerland. This article is an open access article distributed under the terms and conditions of the Creative Commons Attribution (CC BY) license (https://creativecommons.org/licenses/by/4.0/).
Share and Cite
Kirkham, F.J.; Lagunju, I.A. Epidemiology of Stroke in Sickle Cell Disease. J. Clin. Med. 2021, 10, 4232. https://doi.org/10.3390/jcm10184232
Kirkham FJ, Lagunju IA. Epidemiology of Stroke in Sickle Cell Disease. Journal of Clinical Medicine. 2021; 10(18):4232. https://doi.org/10.3390/jcm10184232
Chicago/Turabian StyleKirkham, Fenella Jane, and Ikeoluwa A. Lagunju. 2021. "Epidemiology of Stroke in Sickle Cell Disease" Journal of Clinical Medicine 10, no. 18: 4232. https://doi.org/10.3390/jcm10184232
APA StyleKirkham, F. J., & Lagunju, I. A. (2021). Epidemiology of Stroke in Sickle Cell Disease. Journal of Clinical Medicine, 10(18), 4232. https://doi.org/10.3390/jcm10184232

