Tumor-Associated Granulomas Preceding a Diagnosis of Thoracic Sarcoidosis: A Retrospective, Single-Center Cohort Study
Abstract
:1. Introduction
2. Materials and Methods
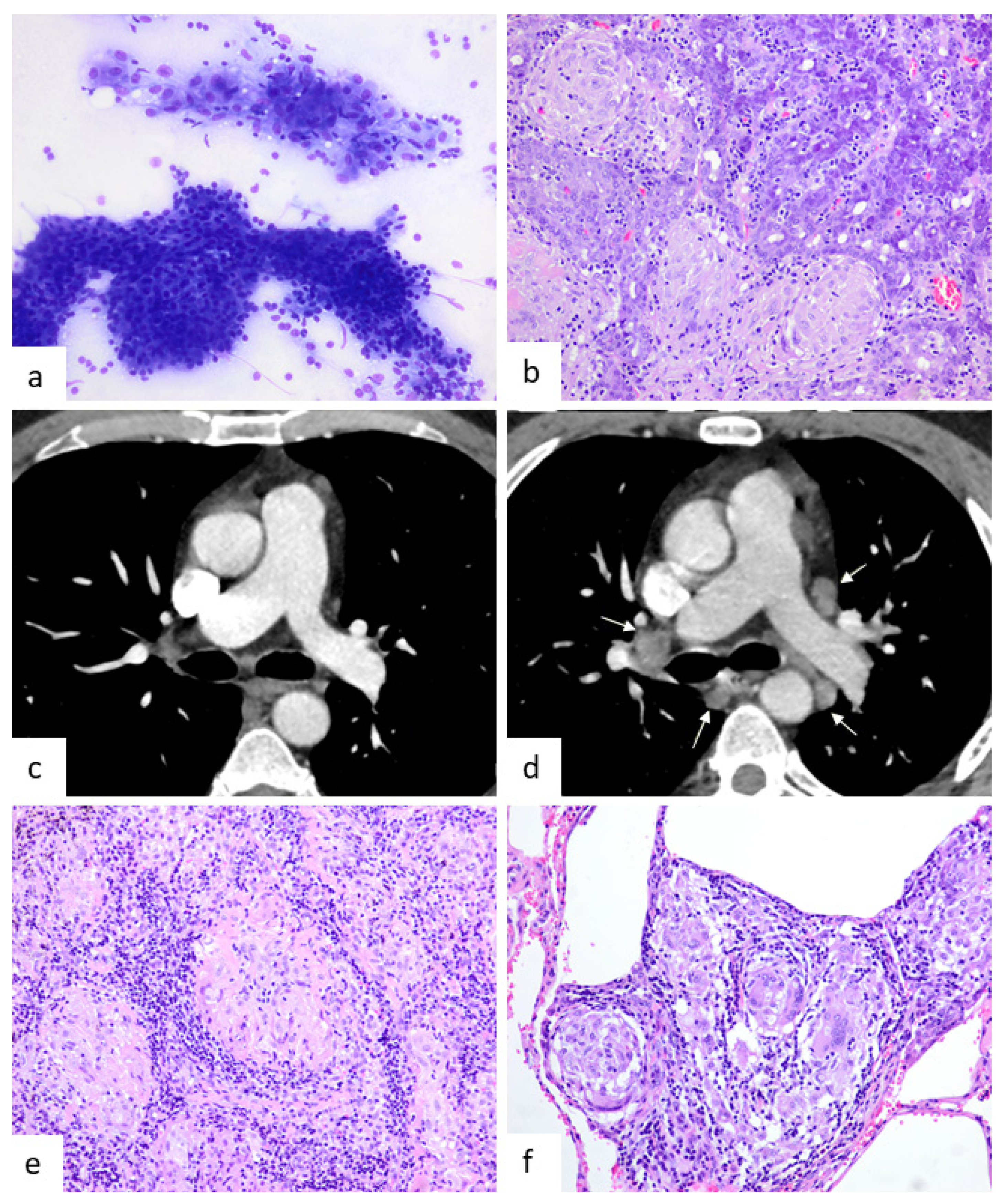
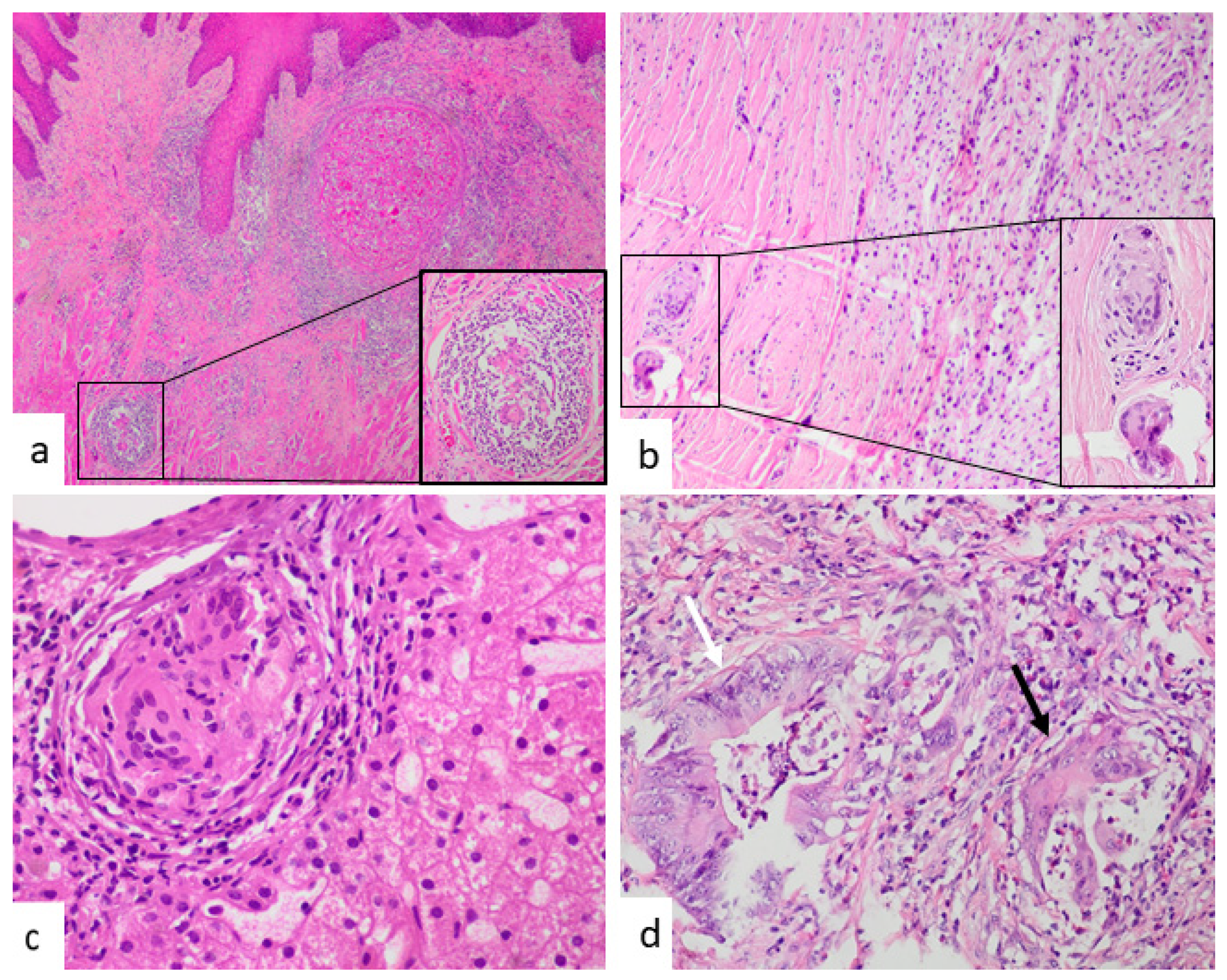
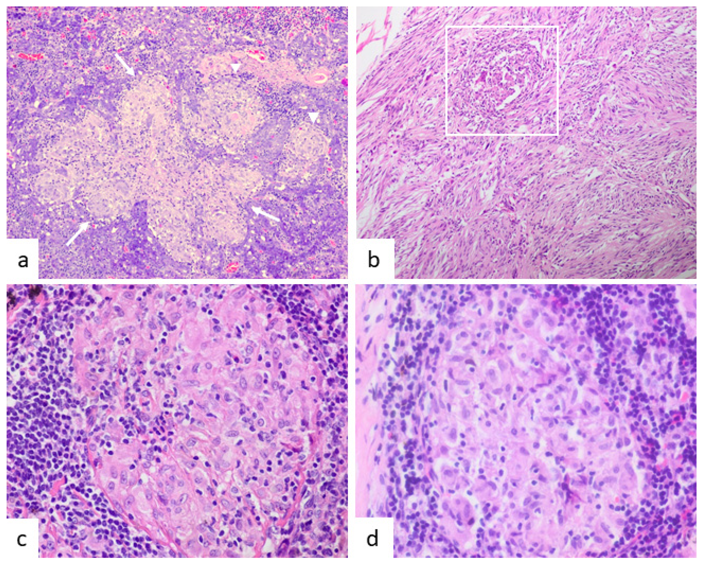
3. Results
4. Discussion
Author Contributions
Funding
Institutional Review Board Statement
Informed Consent Statement
Data Availability Statement
Conflicts of Interest
References
- Crouser, E.D.; Maier, L.A.; Wilson, K.C.; Bonham, C.A.; Morgenthau, A.S.; Patterson, K.C.; Abston, E.; Bernstein, R.C.; Blankstein, R.; Chen, E.S.; et al. Diagnosis and Detection of Sarcoidosis. An Official American Thoracic Society Clinical Practice Guideline. Am. J. Respir. Crit. Care Med. 2020, 201, e26–e51. [Google Scholar] [CrossRef]
- Chee, A.; Khalil, M.; Stather, D.R.; MacEachern, P.; Field, S.K.; Tremblay, A. Cytologic Assessment of Endobronchial Ultrasound-Guided Transbronchial Needle Aspirates in Sarcoidosis. J. Bronchol. Interv. Pulmonol. 2012, 19, 24–28. [Google Scholar] [CrossRef]
- Trisolini, R.; Baughman, R.P.; Spagnolo, P.; Culver, D.A. Endobronchial Ultrasound-guided Transbronchial Needle Aspiration in Sarcoidosis: Beyond the Diagnostic Yield. Respirology 2019, 24, 531–542. [Google Scholar] [CrossRef]
- El Jammal, T.; Pavic, M.; Gerfaud-Valentin, M.; Jamilloux, Y.; Sève, P. Sarcoidosis and Cancer: A Complex Relationship. Front. Med. 2020, 7, 594118. [Google Scholar] [CrossRef]
- Brincker, H.; Wilbek, E. The Incidence of Malignant Tumours in Patients with Respiratory Sarcoidosis. Br. J. Cancer 1974, 29, 247–251. [Google Scholar] [CrossRef]
- Cohen, P.R.; Kurzrock, R. Sarcoidosis and Malignancy. Clin. Dermatol. 2007, 25, 326–333. [Google Scholar] [CrossRef]
- Arish, N.; Kuint, R.; Sapir, E.; Levy, L.; Abutbul, A.; Fridlender, Z.; Laxer, U.; Berkman, N. Characteristics of Sarcoidosis in Patients with Previous Malignancy: Causality or Coincidence? Respiration 2017, 93, 247–252. [Google Scholar] [CrossRef]
- Grados, A.; Ebbo, M.; Bernit, E.; Veit, V.; Mazodier, K.; Jean, R.; Coso, D.; Aurran-Schleinitz, T.; Broussais, F.; Bouabdallah, R.; et al. Sarcoidosis Occurring After Solid Cancer: A Non fortuitous Association Report of 12 Cases and Review of the Literature. Medicine 2015, 94, e928. [Google Scholar] [CrossRef]
- Baughman, R.P.; Culver, D.A.; Judson, M.A. A Concise Review of Pulmonary Sarcoidosis. Am. J. Respir. Crit. Care Med. 2011, 183, 573–581. [Google Scholar] [CrossRef] [Green Version]
- Brincker, H. Sarcoid Reactions in Malignant Tumours. Cancer Treat. Rev. 1986, 13, 147–156. [Google Scholar] [CrossRef]
- Pavic, M.; Debourdeau, P.; Vacelet, V.; Rousset, H. Place de la pathologie granulomateuse au cours des cancers. La Rev. De Médecine Interne 2008, 29, 39–45. [Google Scholar] [CrossRef]
- Kennedy, M.P.; Jimenez, C.A.; Mhatre, A.D.; Morice, R.C.; Eapen, G.A. Clinical Implications of Granulomatous Inflammation Detected by Endobronchial Ultrasound Transbronchial Needle Aspiration in Patients with Suspected Cancer Recurrence in the Mediastinum. J. Cardiothorac. Surg. 2008, 3, 8. [Google Scholar] [CrossRef] [Green Version]
- DePew, Z.S.; Gonsalves, W.I.; Roden, A.C.; Bungum, A.O.; Mullon, J.J.; Maldonado, F. Granulomatous Inflammation Detected by Endobronchial Ultrasound-Guided Transbronchial Needle Aspiration in Patients With a Concurrent Diagnosis of Cancer: A Clinical Conundrum. J. Bronchol. Interv. Pulmonol. 2012, 19, 176–181. [Google Scholar] [CrossRef] [PubMed]
- Chee, A.; Tremblay, A. EBUS, Granulomas, and Cancer: What Does This Represent? J. Bronchol. Interv. Pulmonol. 2012, 19, 171–173. [Google Scholar] [CrossRef]
- Grosu, H.B.; Ost, D.E.; Morice, R.C.; Eapen, G.A.; Li, L.; Song, J.; Lei, X.; Lazarus, D.R.; Casal, R.F.; Jimenez, C.A. Mediastinal Granulomatous Inflammation and Overall Survival in Patients with a History of Malignancy. Ann. ATS 2015, 12, 1534–1541. [Google Scholar] [CrossRef] [Green Version]
- Lashari, B.H.; Asai, M.; Randleman, G.; Sack, M.; Patel, R. Sarcoid-Like Mediastinal Lymphadenopathy in Gynecologic Malignancy. Pulm. Med. 2018, 2018, 5141575. [Google Scholar] [CrossRef] [PubMed] [Green Version]
- Arora, K.; Divatia, M.K.; Truong, L.; Shen, S.S.; Ayala, A.G.; Ro, J.Y. Sarcoid-like Granulomas in Renal Cell Carcinoma: The Houston Methodist Hospital Experience. Ann. Diagn. Pathol. 2017, 31, 62–65. [Google Scholar] [CrossRef]
- Garcia-Garijo, A.; Fajardo, C.A.; Gros, A. Determinants for Neoantigen Identification. Front. Immunol. 2019, 10, 1392. [Google Scholar] [CrossRef] [PubMed] [Green Version]
- Chen, F.; Zou, Z.; Du, J.; Su, S.; Shao, J.; Meng, F.; Yang, J.; Xu, Q.; Ding, N.; Yang, Y.; et al. Neoantigen Identification Strategies Enable Personalized Immunotherapy in Refractory Solid Tumors. J. Clin. Investig. 2019, 129, 2056–2070. [Google Scholar] [CrossRef]
- Moder, K.G.; Litin, S.C.; Gaffey, T.A. Renal Cell Carcinoma Associated With Sarcoidlike Tissue Reaction. Mayo Clin. Proc. 1990, 65, 1498–1501. [Google Scholar] [CrossRef] [Green Version]
- Bhatti, P.; Waight, M.; Bromage, D.; Sado, D. Cardiac Sarcoidosis in a Patient with Testicular Seminoma. BMJ Case Rep. 2019, 12, e229912. [Google Scholar] [CrossRef] [PubMed]
- Ouellet, S.; Albadine, R.; Sabbagh, R. Renal Cell Carcinoma Associated with Peritumoral Sarcoid-like Reaction without Intratumoral Granulomas. Diagn. Pathol. 2012, 7, 28. [Google Scholar] [CrossRef] [PubMed] [Green Version]
- Cohen Aubart, F.; Lhote, R.; Amoura, A.; Valeyre, D.; Haroche, J.; Amoura, Z.; Lebrun-Vignes, B. Drug-induced Sarcoidosis: An Overview of the WHO Pharmacovigilance Database. J. Intern. Med. 2020, 288, 356–362. [Google Scholar] [CrossRef] [PubMed]
- Chorti, E.; Kanaki, T.; Zimmer, L.; Hadaschik, E.; Ugurel, S.; Gratsias, E.; Roesch, A.; Bonella, F.; Wessendorf, T.E.; Wälscher, J.; et al. Drug-Induced Sarcoidosis-like Reaction in Adjuvant Immunotherapy: Increased Rate and Mimicker of Metastasis. Eur. J. Cancer 2020, 131, 18–26. [Google Scholar] [CrossRef] [PubMed]





| No | Age 1/Gender | Preexisting Neoplasm with Granulomas | Sarcoidosis Location and Clinical Stage | Time Elapse (months) | Granulomas Quantity | Granulomas Distribution | Follow up (months) | Extrathoracic Manifestations |
|---|---|---|---|---|---|---|---|---|
| 1 | 55/M | Parotid gland acinic cell carcinoma | Mediastinal and lung, II | 15 | Abundant | Intratumoral | Alive (26), asymptomatic | - |
| 2 | 59/F | Parotid gland oncocytoma | Mediastinal, I | 30 | Moderate | Peritumoral | Alive (51), asymptomatic | - |
| 3 | 60/M | Bone marrow with lymphoma | Mediastinal, I | 92 | Abundant | Peritumoral | Alive (126), asymptomatic | - |
| 4 | 72/M | Mediastinal lymphoma | Mediastinal and lung, II | 40 | Rare | Intratumoral | Died of neoplastic disease (54) | - |
| 5 | 81/M | Parotid gland sebaceous lymphadenoma | Mediastinal, I | 28 | Moderate | Intratumoral | Alive, followed at another center | Uveitis |
| 6 | 37/M | Squamous cell carcinoma of tongue | Mediastinal and lung, II | 12 | Rare | Peritumoral | Alive (122), asymptomatic | - |
| 7 | 77/F | Rectal adenocarcinoma and liver metastases | Mediastinal and lung, II | 7 | Moderate | Peritumoral | Alive (158), asymptomatic | - |
| 8 | 55/F | Cutaneous neurofibroma | Mediastinal and lung, II | 22 | Rare | Peritumoral | Alive (53), asymptomatic | Erythema nodosum |
| 9 | 53/F | Rectal adenocarcinoma | Mediastinal, I | 28 | Moderate | Intratumoral and peritumoral | Alive (53), asymptomatic | - |
| 10 | 81/M | Small bowel GIST | Mediastinal, I | 16 | Focal | Intratumoral | Alive (80), asymptomatic | - |
| 11 | 70/F | Cutaneous intraepidermal carcinoma | Mediastinal, I | 6 | Moderate | Peritumoral | Alive (33), asymptomatic | - |
| 12 | 87/F | Diffuse large B cell lymphoma | Mediastinal, I | 107 | Moderate | Intratumoral | Died of neoplastic disease (111) | - |
Publisher’s Note: MDPI stays neutral with regard to jurisdictional claims in published maps and institutional affiliations. |
© 2021 by the authors. Licensee MDPI, Basel, Switzerland. This article is an open access article distributed under the terms and conditions of the Creative Commons Attribution (CC BY) license (https://creativecommons.org/licenses/by/4.0/).
Share and Cite
Muñoz-Hernández, P.; Valdivia-Mazeyra, M.; Ancochea, J.; Alonso Pérez, T.; Rajas, O.; Valenzuela, C.; Hernández-Muñiz, S.; Esteban-Peris, A.; Jiménez-Heffernan, J.A. Tumor-Associated Granulomas Preceding a Diagnosis of Thoracic Sarcoidosis: A Retrospective, Single-Center Cohort Study. J. Clin. Med. 2021, 10, 4151. https://doi.org/10.3390/jcm10184151
Muñoz-Hernández P, Valdivia-Mazeyra M, Ancochea J, Alonso Pérez T, Rajas O, Valenzuela C, Hernández-Muñiz S, Esteban-Peris A, Jiménez-Heffernan JA. Tumor-Associated Granulomas Preceding a Diagnosis of Thoracic Sarcoidosis: A Retrospective, Single-Center Cohort Study. Journal of Clinical Medicine. 2021; 10(18):4151. https://doi.org/10.3390/jcm10184151
Chicago/Turabian StyleMuñoz-Hernández, Patricia, Mariel Valdivia-Mazeyra, Julio Ancochea, Tamara Alonso Pérez, Olga Rajas, Claudia Valenzuela, Susana Hernández-Muñiz, Amparo Esteban-Peris, and José A. Jiménez-Heffernan. 2021. "Tumor-Associated Granulomas Preceding a Diagnosis of Thoracic Sarcoidosis: A Retrospective, Single-Center Cohort Study" Journal of Clinical Medicine 10, no. 18: 4151. https://doi.org/10.3390/jcm10184151
APA StyleMuñoz-Hernández, P., Valdivia-Mazeyra, M., Ancochea, J., Alonso Pérez, T., Rajas, O., Valenzuela, C., Hernández-Muñiz, S., Esteban-Peris, A., & Jiménez-Heffernan, J. A. (2021). Tumor-Associated Granulomas Preceding a Diagnosis of Thoracic Sarcoidosis: A Retrospective, Single-Center Cohort Study. Journal of Clinical Medicine, 10(18), 4151. https://doi.org/10.3390/jcm10184151

