Impact of Fermentation on the Recovery of Antioxidant Bioactive Compounds from Sea Bass Byproducts
Abstract
1. Introduction
2. Materials and Methods
2.1. Samples
2.2. Chemicals
2.3. Isolation of Bacteria
2.4. Identification of Bacteria
2.5. Elaboration of Fish Meat and Fish Byproducts Broths
2.6. Fermentation
2.7. SDS-PAGE Electrophoresis
2.8. Extraction and Identification of Phenolic Acids
2.9. Antioxidant Activity
2.10. Statistical Analysis
3. Results and Discussion
3.1. Isolation and Identification of Bacteria
3.2. Fermentation
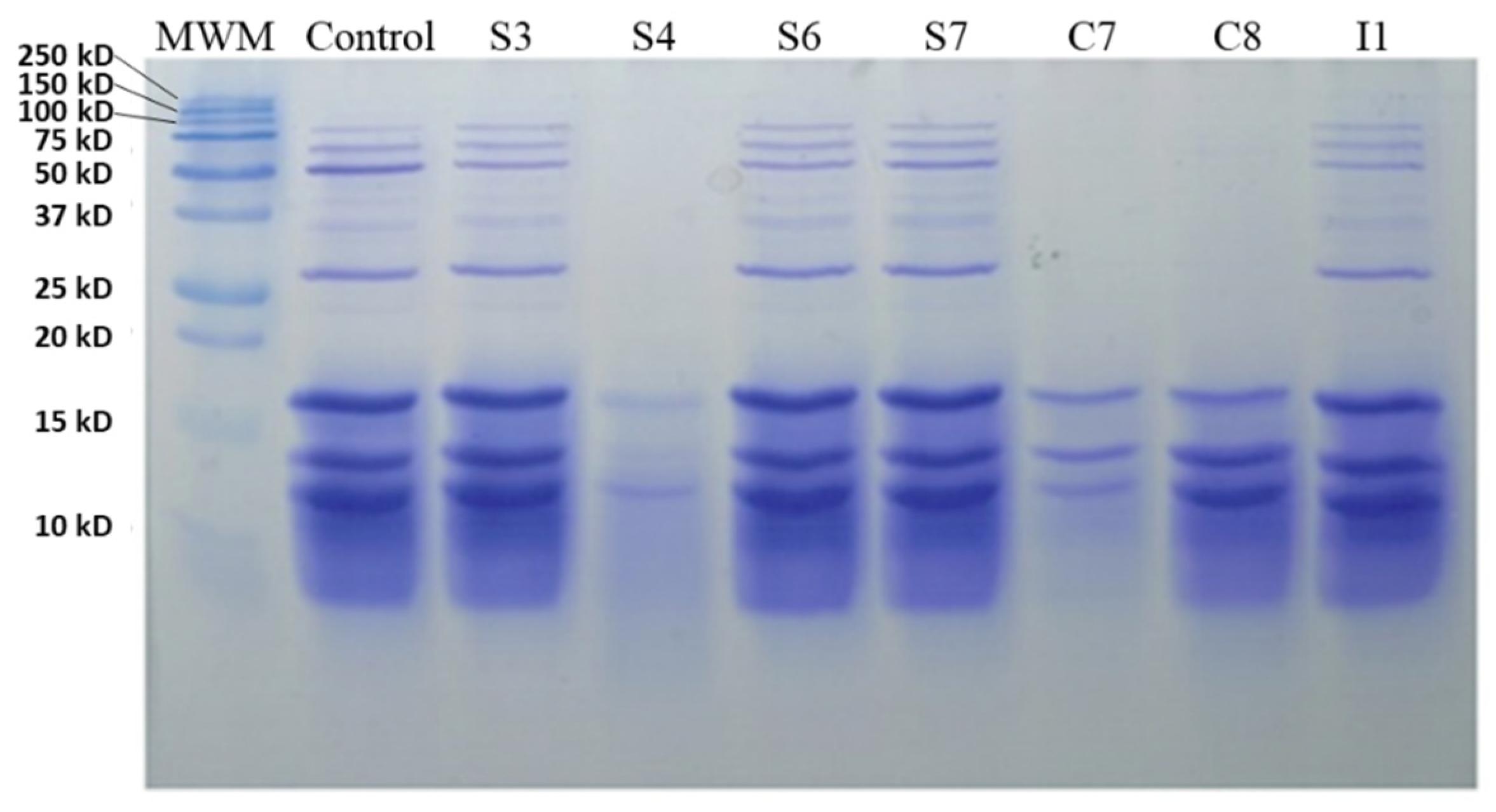
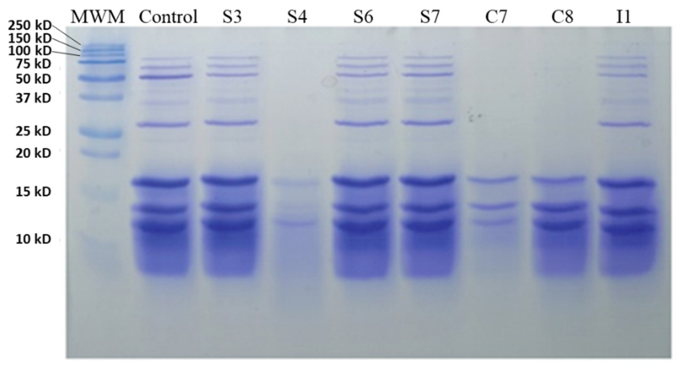
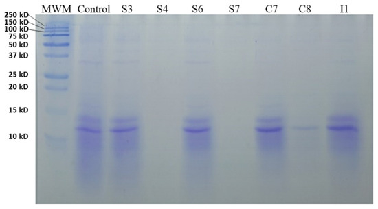
3.3. Electrophoresis
3.4. Phenolic Acids
3.5. Antioxidant Activity
3.6. Correlations between Phenolic Acids and Total Antioxidant Capacity
4. Conclusions
Author Contributions
Funding
Conflicts of Interest
References
- The State of World Fisheries and Aquaculture 2018: Meeting the Sustainable Development Goals. Available online: http://www.fao.org/3/i9540en/i9540en.pdf (accessed on 14 March 2020).
- Olsen, R.L.; Toppe, J.; Karunasagar, I. Challenges and realistic opportunities in the use of by-products from processing of fish and shellfish. Trends Food Sci. Technol. 2014, 36, 144–151. [Google Scholar] [CrossRef]
- Iñarra, B.; Bald, C.; Martín, D.S.; Orive, M.; Cebrián, M.; Zufía, J. Guía para la valorización de subproductos de la acuicultura. Available online: https://www.azti.es/wp-content/uploads/2018/12/AZTI_guia_VALACUI101218online.pdf (accessed on 14 March 2020).
- Ideia, P.; Pinto, J.; Ferreira, R.; Figueiredo, L.; Spínola, V.; Castilho, P.C. Fish processing industry residues: A review of valuable products extraction and characterization methods. Waste Biomass Valorization 2019. [Google Scholar] [CrossRef]
- Al Khawli, F.; Pateiro, M.; Domínguez, R.; Lorenzo, J.M.; Gullón, P.; Kousoulaki, K.; Ferrer, E.; Berrada, H.; Barba, F.J. Innovative green technologies of intensification for valorization of seafood and their by-products. Mar. Drugs 2019, 17, 689. [Google Scholar] [CrossRef] [PubMed]
- Gómez, B.; Munekata, P.E.S.; Gavahian, M.; Barba, F.J.; Martí-Quijal, F.J.; Bolumar, T.; Campagnol, P.C.B.; Tomasevic, I.; Lorenzo, J.M. Application of pulsed electric fields in meat and fish processing industries: An overview. Food Res. Int. 2019, 123, 95–105. [Google Scholar] [CrossRef] [PubMed]
- Hui, Y.H.; Özgül Evranuz, E. Handbook of Vegetable Preservation and Processing, 2nd ed.; M. Dekker: New York, NY, USA, 2004. [Google Scholar]
- Marti-Quijal, F.J.; Remize, F.; Meca, G.; Ferrer, E.; Ruiz, M.-J.; Barba, F.J. Fermentation in fish and by-products processing: An overview of current research and future prospects. Curr. Opin. Food Sci. 2020, 31, 9–16. [Google Scholar] [CrossRef]
- Carr, F.J.; Chill, D.; Maida, N. The lactic acid bacteria: A literature survey. Crit. Rev. Microbiol. 2002, 28, 281–370. [Google Scholar] [CrossRef] [PubMed]
- Vásquez M, S.M.; Suárez M, H.; Zapata B, S. Utilización de sustancias antimicrobianas producidas por bacterias acido lácticas en la conservación de la carne. Rev. Chil. Nutr. 2009, 36, 64–71. [Google Scholar]
- Ringø, E.; Gatesoupe, F.-J. Lactic acid bacteria in fish: A review. Aquaculture 1998, 160, 177–203. [Google Scholar] [CrossRef]
- Di Cagno, R.; Cardinali, G.; Minervini, G.; Antonielli, L.; Rizzello, C.G.; Ricciuti, P.; Gobbetti, M. Taxonomic structure of the yeasts and lactic acid bacteria microbiota of pineapple (Ananas comosus L. Merr.) and use of autochthonous starters for minimally processing. Food Microbiol. 2010, 27, 381–389. [Google Scholar] [CrossRef]
- Mulero Cánovas, J.; Zafrilla Rentero, P.; Martínez-Cachá Martínez, A.; Leal Hernández, M.; Abellán Alemán, J. Péptidos bioactivos. Clín. Investig. Arterioscler. 2011, 23, 219–227. [Google Scholar] [CrossRef]
- Chaves-López, C.; Serio, A.; Paparella, A.; Martuscelli, M.; Corsetti, A.; Tofalo, R.; Suzzi, G. Impact of microbial cultures on proteolysis and release of bioactive peptides in fermented milk. Food Microbiol. 2014, 42, 117–121. [Google Scholar] [CrossRef] [PubMed]
- González-olivares, L.; Jimenez-Guzman, J.; Cruz, A.; Rodríguez-Serrano, G.; Gómez-Ruiz, L.; García-Garibay, M. Bioactive peptides released by lactic acid bacteria in commercial fermented milks. Rev. Mex. Ing. Quim. 2011, 10, 179–188. [Google Scholar]
- Broberg, A.; Jacobsson, K.; Strom, K.; Schnurer, J. Metabolite Profiles of lactic acid bacteria in grass silage. Appl. Environ. Microbiol. 2007, 73, 5547–5552. [Google Scholar] [CrossRef] [PubMed]
- Jiménez Escrig, A.; Jiménez Jiménez, I.; Pulido, R.; Saura Calixto, F. Antioxidant activity of fresh and processed edible seaweeds. J. Sci. Food Agric. 2001, 81, 530–534. [Google Scholar] [CrossRef]
- Vandeputte, M.; Gagnaire, P.-A.; Allal, F. The European sea bass: A key marine fish model in the wild and in aquaculture. Anim. Genet. 2019, 50, 195–206. [Google Scholar] [CrossRef]
- Arechavala-Lopez, P.; Toledo-Guedes, K.; Izquierdo-Gomez, D.; Šegvić-Bubić, T.; Sanchez-Jerez, P. Implications of sea bream and sea bass escapes for sustainable aquaculture management: A review of interactions, risks and consequences. Rev. Fish. Sci. Aquac. 2018, 26, 214–234. [Google Scholar] [CrossRef]
- Messina, C.M.; Renda, G.; La Barbera, L.; Santulli, A. By-products of farmed European sea bass (Dicentrarchus labrax L.) as a potential source of n-3 PUFA. Biologia 2013, 68, 288–293. [Google Scholar] [CrossRef][Green Version]
- Özyurt, G.; Özkütük, A.S.; Uçar, Y.; Durmuş, M.; Özoğul, Y. Fatty acid composition and oxidative stability of oils recovered from acid silage and bacterial fermentation of fish (Sea bass - Dicentrarchus labrax) by-products. Int. J. Food Sci. Technol. 2018, 53, 1255–1261. [Google Scholar] [CrossRef]
- Astuti, M.P. Isolation, characterization, and identification lactic acid bacteria from chicken waste faeces that potential as probiotics. Int. J. Sci. Res. Publ. 2016, 6, 180–191. [Google Scholar]
- Axelsson, L. Lactic acid bacteria: Classification and physiology. In Lactic Acid Bacteria Microbiological and Functional Aspects, Third Edition: Revised and Expanded; CRC Press: Boca Raton, FL, USA, 2004; pp. 1–66. [Google Scholar]
- Chenoll, E.; Moreno, I.; Sánchez, M.; Garcia-Grau, I.; Silva, Á.; González-Monfort, M.; Genovés, S.; Vilella, F.; Seco-Durban, C.; Simón, C.; et al. Selection of new probiotics for endometrial health. Front. Cell. Infect. Microbiol. 2019, 9, 114–126. [Google Scholar] [CrossRef]
- BLAST: Basic Local Alignment Search Tool. Available online: https://blast.ncbi.nlm.nih.gov/Blast.cgi (accessed on 14 March 2020).
- Altınelataman, C.; Koroleva, O.; Fedorova, T.; Torkova, A.; Lisitskaya, K.; Tsentalovich, M.; Kononikhin, A.; Popov, I.; Vasina, D.; Kovalyov, L.; et al. An in vitro and in silico study on the antioxidant and cell culture-based study on the chemoprotective activities of fish muscle protein hydrolysates obtained from European seabass and gilthead seabream. Food Chem. 2019, 271, 724–732. [Google Scholar] [CrossRef] [PubMed]
- El-Ghaish, S.; Dalgalarrondo, M.; Choiset, Y.; Sitohy, M.; Ivanova, I.; Haertlé, T.; Chobert, J.-M. Screening of strains of Lactococci isolated from Egyptian dairy products for their proteolytic activity. Food Chem. 2010, 120, 758–764. [Google Scholar] [CrossRef]
- Denardi-Souza, T.; Luz, C.; Mañes, J.; Badiale-Furlong, E.; Meca, G. Antifungal effect of phenolic extract of fermented rice bran with Rhizopus oryzae and its potential use in loaf bread shelf life extension. J. Sci. Food Agric. 2018, 98, 5011–5018. [Google Scholar] [CrossRef] [PubMed]
- Re, R.; Pellegrini, N.; Proteggente, A.; Pannala, A.; Yang, M.; Rice-Evans, C. Antioxidant activity applying an improved ABTS radical cation decolorization assay. Free Radic. Biol. Med. 1999, 26, 1231–1237. [Google Scholar] [CrossRef]
- Ringø, E.; Hoseinifar, S.H.; Ghosh, K.; Van Doan, H.; Beck, B.R.; Song, S.K. Lactic acid bacteria in finfish—An update. Front. Microbiol. 2018, 9, 1818–1854. [Google Scholar] [CrossRef] [PubMed]
- Egerton, S.; Culloty, S.; Whooley, J.; Stanton, C.; Ross, R.P. The gut microbiota of marine fish. Front. Microbiol. 2018, 9, 873–889. [Google Scholar] [CrossRef] [PubMed]
- Bajpai, V.K.; Han, J.-H.; Nam, G.-J.; Majumder, R.; Park, C.; Lim, J.; Paek, W.K.; Rather, I.A.; Park, Y.-H. Characterization and pharmacological potential of Lactobacillus sakei 1I1 isolated from fresh water fish Zacco koreanus. Daru 2016, 24, 8–19. [Google Scholar] [CrossRef]
- Lavermicocca, P.; Valerio, F.; Visconti, A. Antifungal activity of phenyllactic acid against molds isolated from bakery products. Appl. Environ. Microbiol. 2003, 69, 634–640. [Google Scholar] [CrossRef]
- Lau, A.-S.-Y.; Liong, M.-T. Lactic acid bacteria and bifidobacteria inhibited Staphylococcus epidermidis. Wounds Compend. Clin. Res. Pract. 2014, 26, 121–131. [Google Scholar]
- Urbiene, S.; Leskauskaite, D. Formation of some organic acids during fermentation of milk. Pol. J. Food Nutr. Sci. 2006, 15, 277–281. [Google Scholar]
- Quattrini, M.; Bernardi, C.; Stuknytė, M.; Masotti, F.; Passera, A.; Ricci, G.; Vallone, L.; De Noni, I.; Brasca, M.; Fortina, M.G. Functional characterization of Lactobacillus plantarum ITEM 17215: A potential biocontrol agent of fungi with plant growth promoting traits, able to enhance the nutritional value of cereal products. Food Res. Int. 2018, 106, 936–944. [Google Scholar] [CrossRef] [PubMed]
- Ramos, A.N.; Sesto Cabral, M.E.; Arena, M.E.; Arrighi, C.F.; Arroyo Aguilar, A.A.; Valdéz, J.C. Compounds from Lactobacillus plantarum culture supernatants with potential pro-healing and anti-pathogenic properties in skin chronic wounds. Pharm. Biol. 2015, 53, 350–358. [Google Scholar] [CrossRef] [PubMed]
- Yu, H.-S.; Lee, N.-K.; Jeon, H.-L.; Eom, S.J.; Yoo, M.-Y.; Lim, S.-D.; Paik, H.-D. Benzoic acid production with respect to starter culture and incubation temperature during yogurt fermentation using response surface methodology. Korean J. Food Sci. Anim. Resour. 2016, 36, 427–434. [Google Scholar] [CrossRef] [PubMed]
- Sampath Kumar, N.S.; Nazeer, R.A.; Jaiganesh, R. Purification and biochemical characterization of antioxidant peptide from horse mackerel (Magalaspis cordyla) viscera protein. Peptides 2011, 32, 1496–1501. [Google Scholar] [CrossRef]
- Sae-Leaw, T.; Karnjanapratum, S.; O’Callaghan, Y.C.; O’Keeffe, M.B.; FitzGerald, R.J.; O’Brien, N.M.; Benjakul, S. Purification and identification of antioxidant peptides from gelatin hydrolysate of seabass skin. J. Food Biochem. 2017, 41, e12350. [Google Scholar] [CrossRef]
- Vázquez, J.A.; Meduíña, A.; Durán, A.I.; Nogueira, M.; Fernández-Compás, A.; Pérez-Martín, R.I.; Rodríguez-Amado, I. Production of valuable compounds and bioactive metabolites from by-products of fish discards using bacterial fermentation production of valuable compounds and bioactive metabolites from by-products of fish discards using chemical processing, enzymatic hydrolysis, and bacterial fermentation. Mar. Drugs 2019, 17, 139–153. [Google Scholar]
- Raghavan, S.; Kristinsson, H.G.; Leeuwenburgh, C. Radical scavenging and reducing ability of tilapia (Oreochromis niloticus) protein hydrolysates. J. Agric. Food Chem. 2008, 56, 10359–10367. [Google Scholar] [CrossRef]
- Yang, X.-R.; Zhang, L.; Ding, D.-G.; Chi, C.-F.; Wang, B.; Huo, J.-C. Preparation, identification, and activity evaluation of eight antioxidant peptides from protein hydrolysate of hairtail (Trichiurus japonicas) muscle. Mar. Drugs 2019, 17, 23. [Google Scholar] [CrossRef]
- Suarez-Jimenez, G.-M.; Burgos-Hernandez, A.; Ezquerra-Brauer, J.-M. Bioactive peptides and depsipeptides with anticancer potential: Sources from marine animals. Mar. Drugs 2012, 10, 963–986. [Google Scholar] [CrossRef]
- Wu, R.; Chen, L.; Liu, D.; Huang, J.; Zhang, J.; Xiao, X.; Lei, M.; Chen, Y.; He, H. Preparation of antioxidant peptides from salmon byproducts with bacterial extracellular proteases. Mar. Drugs 2017, 15, 4. [Google Scholar] [CrossRef]
- Shen, S.; Wang, J.; Chen, X.; Liu, T.; Zhuo, Q.; Zhang, S.-Q. Evaluation of cellular antioxidant components of honeys using UPLC-MS/MS and HPLC-FLD based on the quantitative composition-activity relationship. Food Chem. 2019, 293, 169–177. [Google Scholar] [CrossRef] [PubMed]
- Yang, X.-J.; Dang, B.; Fan, M.-T. Free and bound phenolic compound content and antioxidant activity of different cultivated blue highland barley varieties from the Qinghai-Tibet Plateau. Molecules 2018, 23, 879–898. [Google Scholar] [CrossRef] [PubMed]
- Salas-Pérez, L.; Gaucín-Delgado, J.M.; Preciado-Rangel, P.; Fortis-Hernández, M.; Valenzuela-García, J.R.; Ayala-Garay, A.V. Benzoic acid effect in the antioxidant capacity of wheat sprouts. Rev. Mex. De Cienc. Agric. 2016, 3397–3404. [Google Scholar]


| Sample | 0h | 24 h | 48 h | 72 h |
|---|---|---|---|---|
| MB CONTROL | 6.97 | 6.98 | 6.89 | 6.84 |
| WB CONTROL | 6.87 | 6.80 | 6.76 | 6.63 |
| S3 MB | 6.97 | 6.36 | 6.01 | 5.71 |
| S3 WB | 6.87 | 6.15 | 5.92 | 5.70 |
| S4 MB | 6.97 | 5.70 | 3.99 | 3.83 |
| S4 WB | 6.87 | 5.55 | 3.80 | 3.73 |
| S6 MB | 6.97 | 6.34 | 5.93 | 5.69 |
| S6 WB | 6.87 | 6.27 | 5.81 | 5.53 |
| S7 MB | 6.97 | 6.75 | 4.45 | 4.73 |
| S7 WB | 6.87 | 6.67 | 5.10 | 3.74 |
| I1 MB | 6.97 | 6.60 | 5.99 | 5.68 |
| I1 WB | 6.87 | 6.43 | 5.80 | 5.55 |
| C7 MB | 6.97 | 5.54 | 4.45 | 4.30 |
| C7 WB | 6.87 | 5.45 | 5.10 | 5.23 |
| C8 MB | 6.97 | 6.45 | 6.12 | 4.54 |
| C8 WB | 6.87 | 6.30 | 4.38 | 4.35 |
| Heading | MB | MBG | WB | WBG |
|---|---|---|---|---|
| Stomach bacteria | 9.96 ± 1.63 A | 10.23 ± 1.62 A | 9.97 ± 2.13 B | 9.93 ± 1.62 B |
| Intestine bacteria | 8.92 ± 3.84 A | 7.85 ± 1.69 A | 9.21 ± 1.80 B | 9.36 ± 2.01 B |
| Colon bacteria | 10.35 ± 1.30 A | 10.47 ± 2.53 A | 10.19 ± 2.69 B | 10.84 ± 1.32 B |
| Samples | DL-3-phenyllactic Acid | Benzoic Acid | |||||
|---|---|---|---|---|---|---|---|
| 24 h | 48 h | 72 h | 24 h | 48 h | 72 h | ||
| Meat broth (MBG) | CONTROL | nd | nd | nd | nd | nd | nd |
| S3 | 11.4 ± 2.5 b | 30.9 ± 1.2 d | 33.0 ± 1.1 b | 52.8 ± 4.3 c | 101.0 ± 2.5 f | 166.4 ± 2.2 e | |
| S4 | nd | 12.7 ± 0.4 b | 29.4 ± 0.7 b | 76.4 ± 3.6 d | 179.8 ± 3.4 g | 314.2 ± 5.7 f | |
| S6 | 64.1 ± 1.9 d | 109.5 ± 3.5 g | 289.9 ± 1.6 f | 29.0 ± 4.2 b | 19.4 ± 0.6 b | 12.9 ± 0.9 b | |
| S7 | 21.0 ± 1.5 c | 192.9 ± 2.3 h | 466.7 ± 3.5 g | 35.0 ± 0.7 b | 51.7 ± 2.3 d | 51.0 ± 2.4 c | |
| I1 | 10.5 ± 1.2 b | 20.7 ± 2.2 c | 163.0 ± 4.1 e | nd | 66.5 ± 2.3 e | 13.2 ± 0.8 b | |
| C7 | 9.6 ± 2.6 b | 38.4 ± 2.3 e | 76.7 ± 1.4 d | 0.7 ± 0.3 a | 4.5 ± 0.8 a | 4.6 ± 0.2 a | |
| C8 | 20.8 ± 1.2 c | 49.7 ± 2.1 f | 51.7 ± 1.1 c | 4.7 ± 0.9 a | 28.0 ± 2.2 c | 92.1 ± 2.3 d | |
| Waste broth (WBG) | CONTROL | nd | nd | nd | nd | nd | nd |
| S3 | 21.9 ± 1.5 b | 145.4 ± 4.2 d | 138.4 ± 4.2 e | 172.7 ± 2.6 f | 59.5 ± 4.3 c | 74.8 ± 6.7 e | |
| S4 | 23.1 ± 1.1 b,c | 186.4 ± 2.4 e | 71.8 ± 2.2 c | 117.9 ± 4.3 e | 101.8 ± 3.3 c | 48.7 ± 1.1 d | |
| S6 | 26.5 ± 2.7 c,d | 22.6 ± 3.6 b | 20.1 ± 1.2 b | 89.5 ± 4.7 c | 82.3 ± 5.2 c | 92.2 ± 6.6 f | |
| S7 | 21.0 ± 1.1 b | 19.7 ± 5.4 b | 146.7 ± 3.2 f | 101.9 ± 2.5 d | 7.6 ± 1.6 a,b | 17.5 ± 4.4 b | |
| I1 | 30.7 ± 2.1 d | 160.1 ± 1.5 d | 175.0 ± 3.3 g | 88.9 ± 5.2 c | 64.7 ± 3.3 c | 21.3 ± 3.1 b,c | |
| C7 | 53.8 ± 1.3 e | 65.8 ± 2.3 e,c | 81.5 ± 0.6 d | 44.8 ± 2.2 b | 22.8 ± 2.1 b | 25.4 ± 3.2 b,c | |
| C8 | 28.0 ± 1.2 d | 80.5 ± 3.3 c | 198.2 ± 4.5 h | 460.5 ± 3.3 g | 120.0 ± 5.2 d | 32.5 ± 4.1 c | |
| Sample | 24 h | 48 h | 72 h |
|---|---|---|---|
| Control | 793.12 ± 63.54 a | 463.70 ± 22.12 a | 452.84 ± 21.68 a |
| S3 | 865.39 ± 44.62 a,b | 1106.30 ± 21.36 e | 1073.35 ± 37.11 d |
| S4 | 987.57 ± 14,66 a,b,c | 1030.92 ± 10.28 e | 882.42 ± 20.72 c |
| S6 | 831.32 ± 78.12 a,b | 815.63 ± 47.03 d | 683.97 ± 112.19 b |
| S7 | 845.94 ± 66.62 a,b | 664.60 ± 20.43 c | 601.92 ± 7.36 b |
| I1 | 1079.94 ± 45.08 c,d | 442.33 ± 23.39 a | 645.77 ± 26.70 b |
| C7 | 1021.60 ± 93.76 b,c | 570.56 ± 18 b | 436.43 ± 28.88 a |
| C8 | 1231.60 ± 118.03 d | 624.76 ± 44.78 b,c | 651.49 ± 46.72 b |
| Sample | 24 h | 48 h | 72 h |
|---|---|---|---|
| Control | 1160.11 ± 95.75 a | 1968.92 ± 104.04 b | 1629.99 ± 63.39 bc |
| S3 | 2559.33 ± 271.05 c | 4797.41 ± 407.22 e | 2370.39 ± 248.17 d |
| S4 | 1474.13 ± 5.29 a,b | 3726.24 ± 64.46 d | 1355.54 ± 44.41 b |
| S6 | 1218.92 ± 47.74 a | 1189.09 ± 13.98 a | 1085.19 ± 22.04 a,b |
| S7 | 1243.28 ± 74.25 a | 3058.00 ± 71.93 c | 1223.49 ± 75.49 a,b |
| I1 | 2228.97 ± 129.09 c | 2256.52 ± 54.28 b | 2130.25 ± 59.39 c,d |
| C7 | 1362.59 ± 18.57 a | 1140.01 ± 39.86 a | 603.14 ± 39.86 a |
| C8 | 1714.81 ± 60.56 b | 2016.59 ± 147.17 b | 6502.60 ± 638.78 e |
© 2020 by the authors. Licensee MDPI, Basel, Switzerland. This article is an open access article distributed under the terms and conditions of the Creative Commons Attribution (CC BY) license (http://creativecommons.org/licenses/by/4.0/).
Share and Cite
Martí-Quijal, F.J.; Tornos, A.; Príncep, A.; Luz, C.; Meca, G.; Tedeschi, P.; Ruiz, M.-J.; Barba, F.J. Impact of Fermentation on the Recovery of Antioxidant Bioactive Compounds from Sea Bass Byproducts. Antioxidants 2020, 9, 239. https://doi.org/10.3390/antiox9030239
Martí-Quijal FJ, Tornos A, Príncep A, Luz C, Meca G, Tedeschi P, Ruiz M-J, Barba FJ. Impact of Fermentation on the Recovery of Antioxidant Bioactive Compounds from Sea Bass Byproducts. Antioxidants. 2020; 9(3):239. https://doi.org/10.3390/antiox9030239
Chicago/Turabian StyleMartí-Quijal, Francisco J., Adrián Tornos, Andrea Príncep, Carlos Luz, Giuseppe Meca, Paola Tedeschi, María-José Ruiz, and Francisco J. Barba. 2020. "Impact of Fermentation on the Recovery of Antioxidant Bioactive Compounds from Sea Bass Byproducts" Antioxidants 9, no. 3: 239. https://doi.org/10.3390/antiox9030239
APA StyleMartí-Quijal, F. J., Tornos, A., Príncep, A., Luz, C., Meca, G., Tedeschi, P., Ruiz, M.-J., & Barba, F. J. (2020). Impact of Fermentation on the Recovery of Antioxidant Bioactive Compounds from Sea Bass Byproducts. Antioxidants, 9(3), 239. https://doi.org/10.3390/antiox9030239

