Comparison of Aneurysm Patency and Mural Inflammation in an Arterial Rabbit Sidewall and Bifurcation Aneurysm Model under Consideration of Different Wall Conditions
Abstract
1. Introduction
2. Materials and Methods
2.1. Creation of Sidewall Aneurysms
2.2. Creation of Bifurcation Aneurysm
2.3. A Protocol for Decellularization
2.4. Outcome Measurements
2.5. Statistics
3. Results
3.1. Study and Animal Characteristics
3.2. Aneurysm Patency
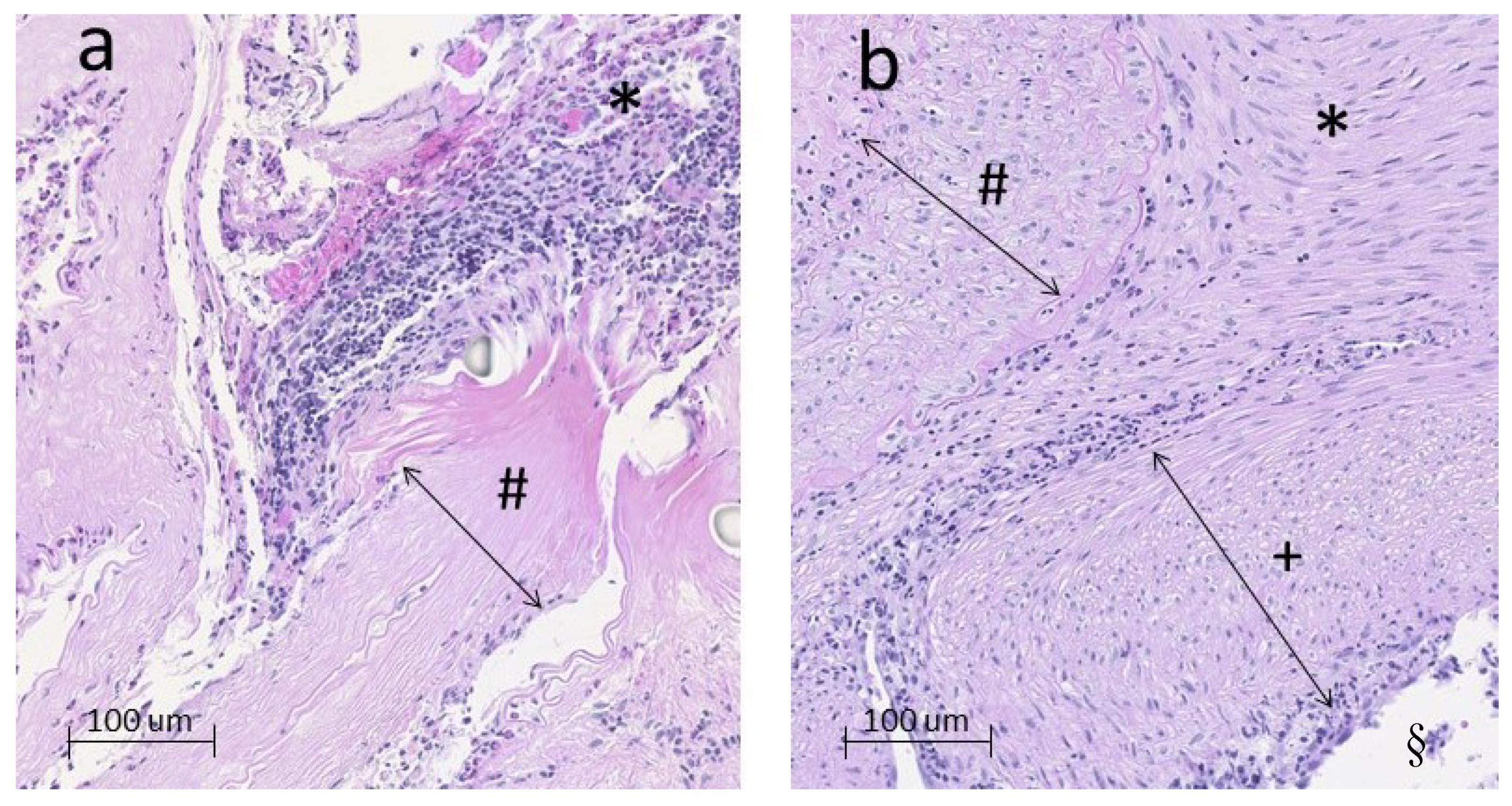
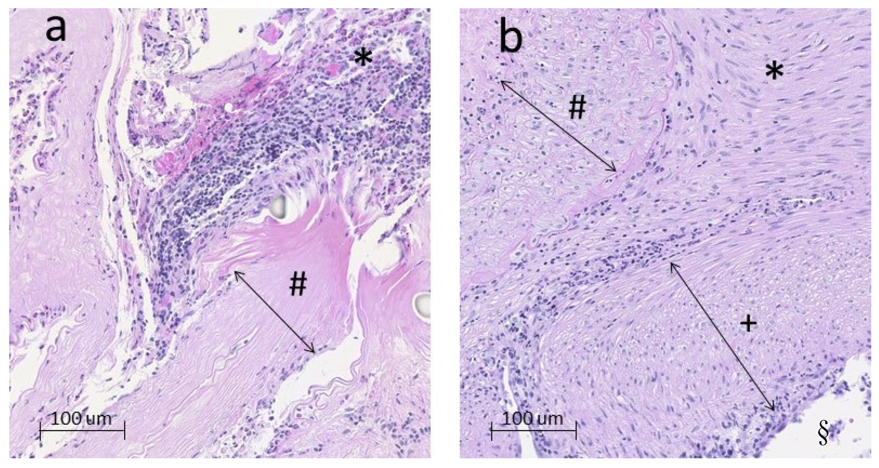
3.3. Histological Analyses
4. Discussion
5. Conclusions
Author Contributions
Funding
Acknowledgments
Conflicts of Interest
References
- Morita, A.; Kirino, T.; Hashi, K.; Aoki, N.; Fukuhara, S.; Hashimoto, N.; Nakayama, T.; Sakai, M.; Teramoto, A.; Tominari, S.; et al. The natural course of unruptured cerebral aneurysms in a Japanese cohort. N. Engl. J. Med. 2012, 366, 2474–2482. [Google Scholar] [PubMed]
- Wiebers, D.O.; Whisnant, J.P.; Huston, J., III. Unruptured intracranial aneurysms: Natural history, clinical outcome, and risks of surgical and endovascular treatment. Lancet 2003, 362, 103–110. [Google Scholar] [CrossRef]
- Duan, Z.; Li, Y.; Guan, S.; Ma, C.; Han, Y.; Ren, X.; Wei, L.; Li, W.; Lou, J.; Yang, Z. Morphological parameters and anatomical locations associated with rupture status of small intracranial aneurysms. Sci. Rep. 2018, 8, 6440. [Google Scholar] [CrossRef] [PubMed]
- Kataoka, K.; Taneda, M.; Asai, T.; Kinoshita, A.; Ito, M.; Kuroda, R. Structural fragility and inflammatory response of ruptured cerebral aneurysms. A comparative study between ruptured and unruptured cerebral aneurysms. Stroke J. Cereb. Circ. 1999, 30, 1396–1401. [Google Scholar] [CrossRef]
- Frosen, J. Smooth muscle cells and the formation, degeneration, and rupture of saccular intracranial aneurysm wall—A review of current pathophysiological knowledge. Transl. Stroke Res. 2014, 5, 347–356. [Google Scholar] [CrossRef] [PubMed]
- Marbacher, S.; Frosen, J.; Marjamaa, J.; Anisimov, A.; Honkanen, P.; von Gunten, M.; Abo-Ramadan, U.; Hernesniemi, J.; Niemelä, M. Intraluminal cell transplantation prevents growth and rupture in a model of rupture-prone saccular aneurysms. Stroke J. Cereb. Circ. 2014, 45, 3684–3690. [Google Scholar] [CrossRef]
- Marbacher, S.; Niemela, M.; Hernesniemi, J.; Frosen, J. Recurrence of endovascularly and microsurgically treated intracranial aneurysms-review of the putative role of aneurysm wall biology. Neurosurg. Rev. 2017, 42, 49–58. [Google Scholar] [CrossRef]
- Gruter, B.E.; Taschler, D.; Strange, F.; Rey, J.; von Gunten, M.; Grandgirard, D.; Leib, S.L.; Remonda, L.; Widmer, H.R.; Nevzati, E.; et al. Testing bioresorbable stent feasibility in a rat aneurysm model. J. Neurointerv. Surg. 2019. [Google Scholar] [CrossRef]
- Nevzati, E.; Rey, J.; Coluccia, D.; Grüter, B.E.; Wanderer, S.; Vongunten, M.; Remonda, L.; Frosen, J.; Widmer, H.R.; Fandino, J.; et al. Aneurysm wall cellularity affects healing after coil embolization: Assessment in a rat saccular aneurysm model. J. Neurointerv. Surg. 2019. [Google Scholar] [CrossRef]
- Frosen, J.; Piippo, A.; Paetau, A.; Kangasniemi, M.; Niemelä, M.; Hernesniemi, J.; Jääskeläinen, J. Remodeling of saccular cerebral artery aneurysm wall is associated with rupture: Histological analysis of 24 unruptured and 42 ruptured cases. Stroke J. Cereb. Circ. 2004, 35, 2287–2293. [Google Scholar] [CrossRef]
- Marbacher, S.; Marjamaa, J.; Bradacova, K.; Von Gunten, M.; Honkanen, P.; Abo-Ramadan, U.; Hernesniemi, J.; Niemelä, M.; Frösen, J. Loss of mural cells leads to wall degeneration, aneurysm growth, and eventual rupture in a rat aneurysm model. Stroke J. Cereb. Circ. 2014, 45, 248–254. [Google Scholar] [CrossRef] [PubMed]
- Sherif, C.; Fandino, J.; Erhardt, S.; di Ieva, A.; Killer, M.; Kleinpeter, G.; Marbacher, S. Microsurgical venous pouch arterial-bifurcation aneurysms in the rabbit model: Technical aspects. JoVE 2011. [Google Scholar] [CrossRef] [PubMed]
- Marbacher, S.; Erhardt, S.; Schlappi, J.A.; Coluccia, D.; Remonda, L.; Fandino, J.; Sherif, C. Complex bilobular, bisaccular, and broad-neck microsurgical aneurysm formation in the rabbit bifurcation model for the study of upcoming endovascular techniques. AJNR Am. J. Neuroradiol. 2011, 32, 772–777. [Google Scholar] [CrossRef] [PubMed]
- Gruter, B.E.; Taschler, D.; Rey, J.; Strange, F.; Nevzati, E.; Fandino, J.; Marbacher, S.; Coluccia, D. Fluorescence Video Angiography for Evaluation of Dynamic Perfusion Status in an Aneurysm Preclinical Experimental Setting. Oper. Neurosurg. (Hagerstown) 2019, 17, 432–438. [Google Scholar] [CrossRef]
- Strange, F.; Sivanrupan, S.; Gruter, B.E.; Rey, J.; Taeschler, D.; Fandino, J.; Marbacher, S. Fluorescence Angiography for Evaluation of Aneurysm Perfusion and Parent Artery Patency in Rat and Rabbit Aneurysm Models. JoVE 2019. [Google Scholar] [CrossRef]
- Wanderer, S.; Grüter, B.E.; Strange, F.; Bertalanffy, H. Microsurgical Creation of Complex Bifurcation Aneurysms with Different Wall Conditions in New Zealand White Rabbits—Introducing the Surgical Technique in a New Animal Model. In Proceedings of the 6th Annual Meeting of the EANS Section of Vascular Neurosurgery, Nice, France, 5–6 September 2019. [Google Scholar]
- Allaire, E.; Guettier, C.; Bruneval, P.; Plissonnier, D.; Michel, J.B. Cell-free arterial grafts: Morphologic characteristics of aortic isografts, allografts, and xenografts in rats. J. Vasc. Surg. 1994, 19, 446–456. [Google Scholar] [CrossRef]
- Marbacher, S.; Marjamaa, J.; Abdelhameed, E.; Hernesniemi, J.; Niemela, M.; Frosen, J. The Helsinki rat microsurgical sidewall aneurysm model. JoVE 2014, 92, e51071. [Google Scholar] [CrossRef]
- Ding, Y.H.; Tieu, T.; Kallmes, D.F. Creation of sidewall aneurysm in rabbits: Aneurysm patency and growth follow-up. J. Neurointerv. Surg. 2014, 6, 29–31. [Google Scholar] [CrossRef]
- Nishikawa, M.; Smith, R.D.; Yonekawa, Y. Experimental intracranial aneurysms. Surg. Neurol. 1977, 7, 241–244. [Google Scholar]
- Marbacher, S.; Tastan, I.; Neuschmelting, V.; Erhardt, S.; Coluccia, D.; Sherif, C.; Remonda, L.; Fandino, J. Long-term patency of complex bilobular, bisaccular, and broad-neck aneurysms in the rabbit microsurgical venous pouch bifurcation model. Neurol. Res. 2012, 34, 538–546. [Google Scholar] [CrossRef]
- Kirse, D.J.; Flock, S.; Teo, C.; Rahman, S.; Mrak, R. Construction of a vein-pouch aneurysm at a surgically created carotid bifurcation in the rat. Microsurgery 1996, 17, 681–689. [Google Scholar] [CrossRef]
- Dai, D.; Ding, Y.H.; Kadirvel, R.; Lewis, D.A.; Kallmes, D.F. Experience with microaneurysm formation at the basilar terminus in the rabbit elastase aneurysm model. AJNR Am. J. Neuroradiol. 2010, 31, 300–303. [Google Scholar] [CrossRef] [PubMed]
- Wang, S.; Dai, D.; Kolumam Parameswaran, P.; Kadirvel, R.; Ding, Y.H.; Robertson, A.M.; Kallmes, D.F. Rabbit aneurysm models mimic histologic wall types identified in human intracranial aneurysms. J. Neurointerv. Surg. 2018, 10, 411–415. [Google Scholar] [CrossRef] [PubMed]
- Brinjikji, W.; Ding, Y.H.; Kallmes, D.F.; Kadirvel, R. From bench to bedside: Utility of the rabbit elastase aneurysm model in preclinical studies of intracranial aneurysm treatment. J. Neurointerv. Surg. 2016, 8, 521–525. [Google Scholar] [CrossRef]
- Marbacher, S.; Wanderer, S.; Strange, F.; Grüter, B.E.; Fandino, J. Saccular Aneurysm Models Featuring Growth and Rupture: A Systematic Review. Brain Sci. 2020, 10, 101. [Google Scholar] [CrossRef]
- Chalouhi, N.; Hoh, B.L.; Hasan, D. Review of cerebral aneurysm formation, growth, and rupture. Stroke J. Cereb. Circ. 2013, 44, 3613–3622. [Google Scholar] [CrossRef]
- Krings, T.; Mandell, D.M.; Kiehl, T.R.; Geibprasert, S.; Tymianski, M.; Alvarez, H.; TerBrugge, K.G.; Hans, F.J. Intracranial aneurysms: From vessel wall pathology to therapeutic approach. Nat. Rev. Neurol. 2011, 7, 547–559. [Google Scholar] [CrossRef]
- Chalouhi, N.; Ali, M.S.; Jabbour, P.M.; Tjoumakaris, S.I.; Gonzalez, L.F.; Rosenwasser, R.H.; Koch, W.J.; Dumont, A.S. Biology of intracranial aneurysms: Role of inflammation. J. Cereb. Blood Flow Metab. 2012, 32, 1659–1676. [Google Scholar] [CrossRef]
- Strange, F.; Gruter, B.E.; Fandino, J.; Marbacher, S. Preclinical Intracranial Aneurysm Models: A Systematic Review. Brain Sci. 2020, 10, 134. [Google Scholar] [CrossRef]
- Marbacher, S.; Strange, F.; Frosen, J.; Fandino, J. Preclinical extracranial aneurysm models for the study and treatment of brain aneurysms: A systematic review. J. Cereb. Blood Flow Metab. 2020. Epub ahead of print. [Google Scholar] [CrossRef]
- Halabi, C.M.; Kozel, B.A. Vascular elastic fiber heterogeneity in health and disease. Curr. Opin. Hematol. 2020. [Google Scholar] [CrossRef] [PubMed]





© 2020 by the authors. Licensee MDPI, Basel, Switzerland. This article is an open access article distributed under the terms and conditions of the Creative Commons Attribution (CC BY) license (http://creativecommons.org/licenses/by/4.0/).
Share and Cite
Grüter, B.E.; Wanderer, S.; Strange, F.; Sivanrupan, S.; von Gunten, M.; Widmer, H.R.; Coluccia, D.; Andereggen, L.; Fandino, J.; Marbacher, S. Comparison of Aneurysm Patency and Mural Inflammation in an Arterial Rabbit Sidewall and Bifurcation Aneurysm Model under Consideration of Different Wall Conditions. Brain Sci. 2020, 10, 197. https://doi.org/10.3390/brainsci10040197
Grüter BE, Wanderer S, Strange F, Sivanrupan S, von Gunten M, Widmer HR, Coluccia D, Andereggen L, Fandino J, Marbacher S. Comparison of Aneurysm Patency and Mural Inflammation in an Arterial Rabbit Sidewall and Bifurcation Aneurysm Model under Consideration of Different Wall Conditions. Brain Sciences. 2020; 10(4):197. https://doi.org/10.3390/brainsci10040197
Chicago/Turabian StyleGrüter, Basil Erwin, Stefan Wanderer, Fabio Strange, Sivani Sivanrupan, Michael von Gunten, Hans Rudolf Widmer, Daniel Coluccia, Lukas Andereggen, Javier Fandino, and Serge Marbacher. 2020. "Comparison of Aneurysm Patency and Mural Inflammation in an Arterial Rabbit Sidewall and Bifurcation Aneurysm Model under Consideration of Different Wall Conditions" Brain Sciences 10, no. 4: 197. https://doi.org/10.3390/brainsci10040197
APA StyleGrüter, B. E., Wanderer, S., Strange, F., Sivanrupan, S., von Gunten, M., Widmer, H. R., Coluccia, D., Andereggen, L., Fandino, J., & Marbacher, S. (2020). Comparison of Aneurysm Patency and Mural Inflammation in an Arterial Rabbit Sidewall and Bifurcation Aneurysm Model under Consideration of Different Wall Conditions. Brain Sciences, 10(4), 197. https://doi.org/10.3390/brainsci10040197

