Intraoperative PRO Score Assessment of Actinic Keratosis with FCF Fast Green-Enhanced Ex Vivo Confocal Microscopy
Abstract
1. Introduction
2. Materials and Methods
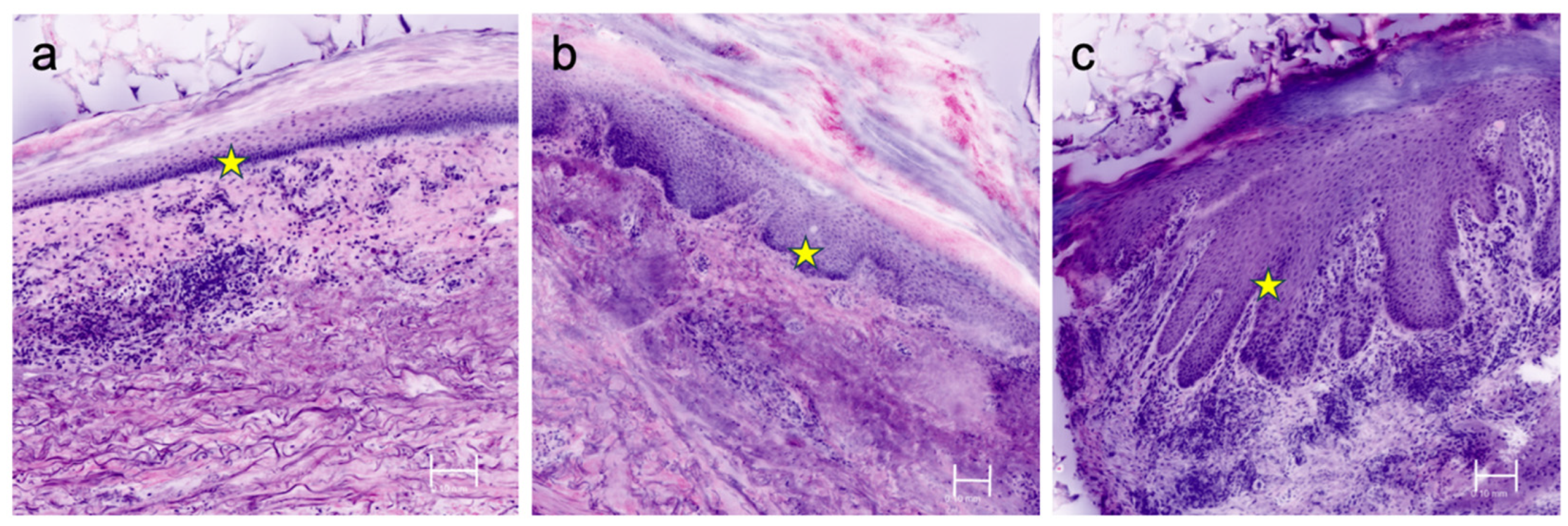
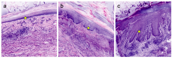
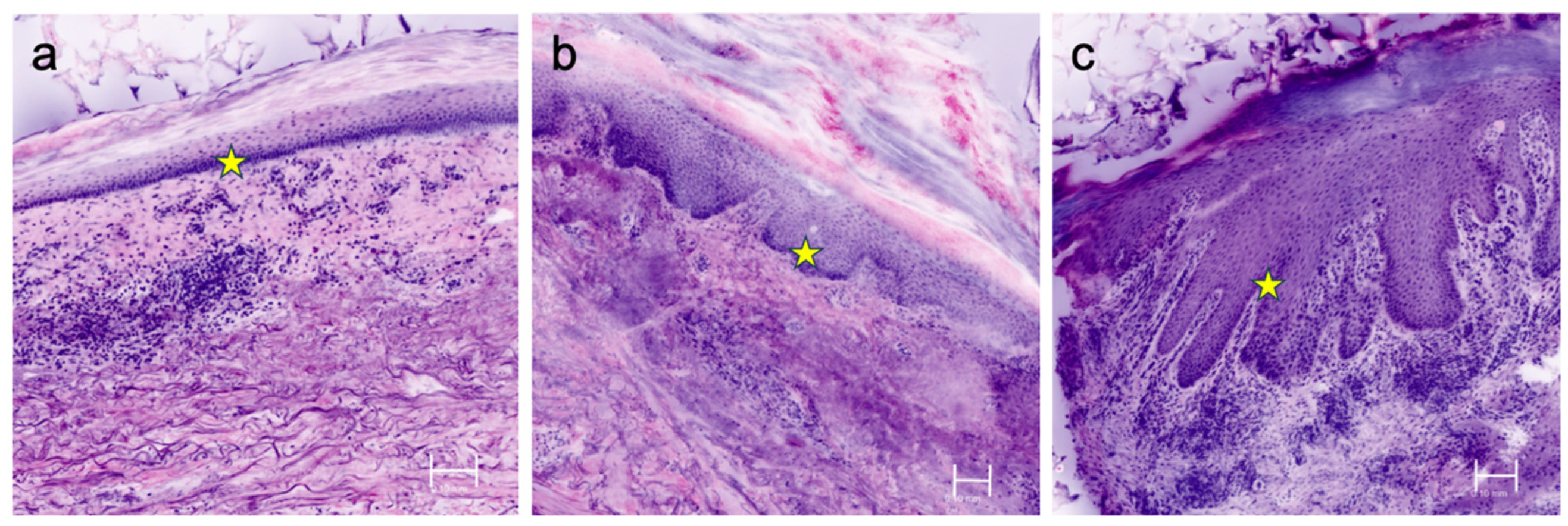
- Actinic keratosis assessment: Referring to Schmitz et al. [12], we calculated the PRO score to grade the severity of AKs in the EVCM images. The PRO score is a semi-quantitative scoring system that assigns a numerical value to the basal proliferation and protrusions of the AK lesion at the level of the DEJ. PRO I is accompanied by a close crowding of atypical keratinocytes, while PRO II shows small buds and prominent round nests of atypical keratinocytes starting to protrude into the upper papillary dermis. PRO III is characterized by the spiky or filiform papillary elongation, the so-called papillary sprouting, of atypical keratinocytes protruding into upper dermal structures—still without signs of invasion.
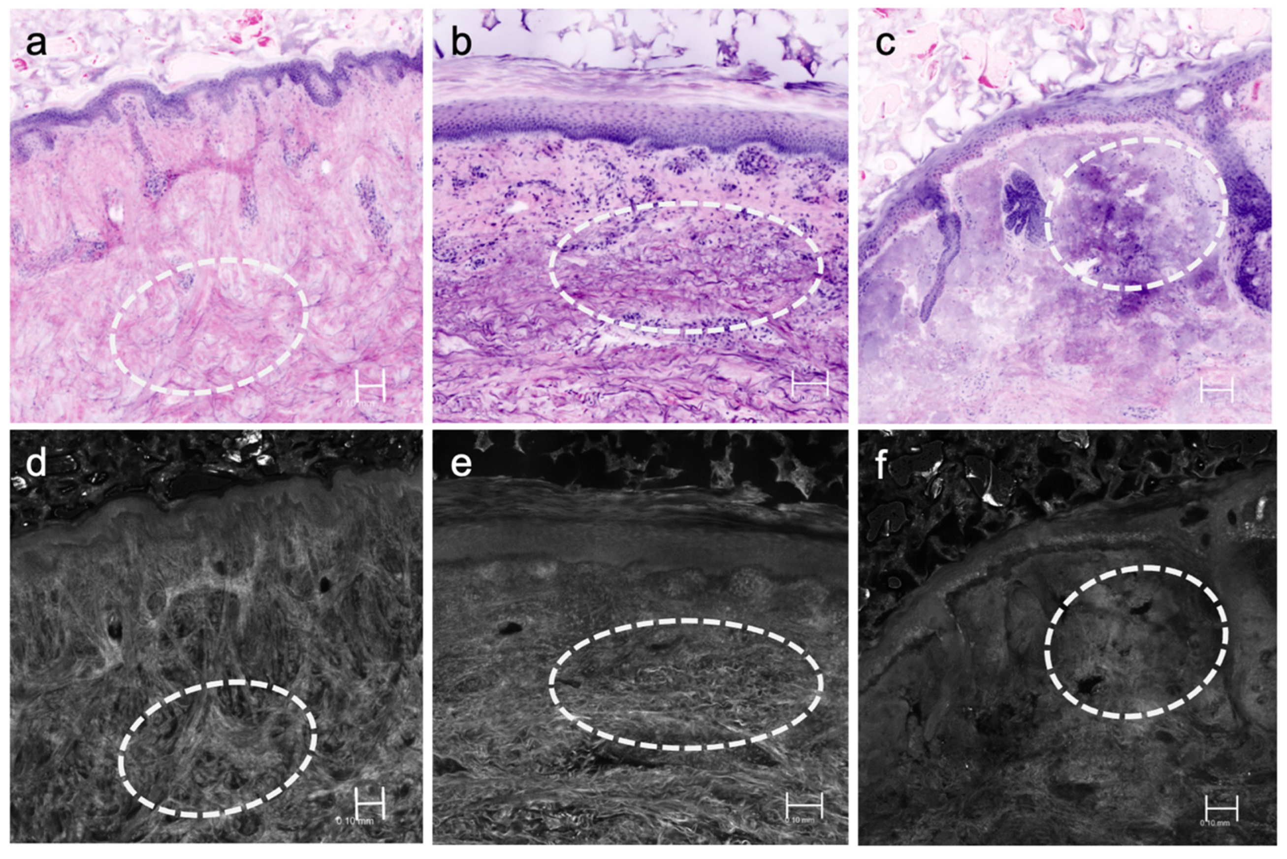
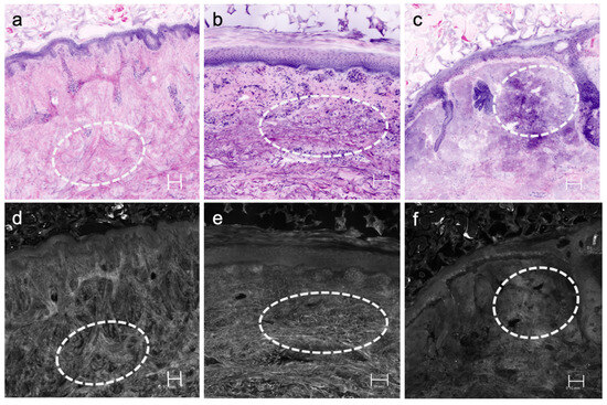
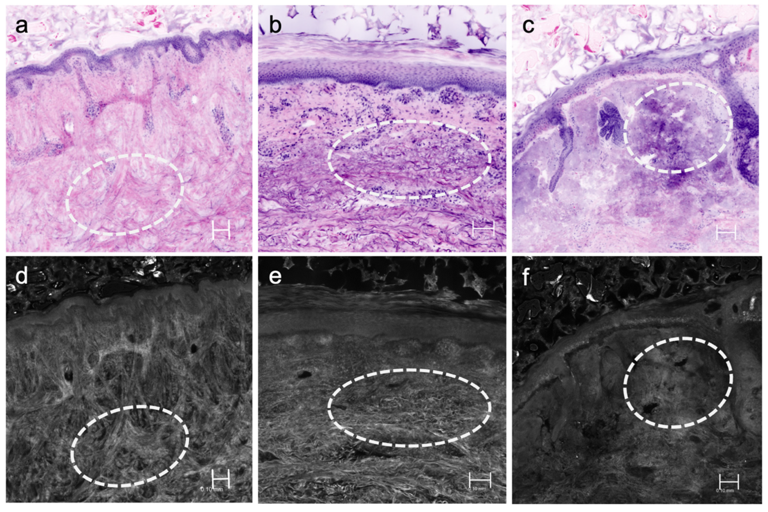
- Morphological features of solar elastosis: The FCF fluorescence images obtained from the new staining protocol were compared with the reflectance images gained from the standard protocol. The examiners were asked to visually grade collagen fiber alterations as predefined patterns called “regular fibers” or “blurred lines”, or as “degeneration” [33]. Descriptive statistics were calculated to summarize the key morphological features. For statistical analysis, continuous variables were described by mean, standard deviation, and 95% confidence interval. A p-value less than 0.05 was considered statistically significant.
- For the quantification of collagen fiber imaging, we evaluated the brightness intensity using the ImageJ software (Wayne Rasband and contributors, National Institutes of Health, USA, Version 1.53t). Therefore, for each individual image we measured the mean pixel intensity of collagen fibers at three representative locations. To adjust for differences in laser energy or dye concentration, we then calculated the mean pixel intensity of three representative keratinocyte nuclei, which showed no binding affinity to FCF as a reference point, and divided both values to obtain a fiber brightness index (=FBI). If, due to the progression of elastosis, there were no fibers clearly identifiable, the brightness of the degeneration pattern was assessed (exemplary see Figure 2). To reduce any overlap with background signals, a 6 × 6-pixel region of interest was applied, respectively. When keratinocyte nuclei were selected as reference points, they mostly exhibited the same brightness throughout the image, so there was not a large selection to be made.
3. Results
3.1. EVCM PRO Score Assessment of AK Lesions
3.2. PRO Score Histological Correlation
3.3. EVCM Imaging of Collagen Fibers
3.4. Quantitative Assessment
4. Discussion
5. Conclusions
Author Contributions
Funding
Institutional Review Board Statement
Informed Consent Statement
Data Availability Statement
Conflicts of Interest
References
- Hashim, P.W.; Chen, T.; Rigel, D.; Bhatia, N.; Kircik, L.H. Actinic Keratosis: Current Therapies and Insights into New Treatments. J. Drugs Dermatol. 2019, 18, s161–s166. [Google Scholar] [PubMed]
- Eisen, D.B.; Asgari, M.M.; Bennett, D.D.; Connolly, S.M.; Dellavalle, R.P.; Freeman, E.E.; Goldenberg, G.; Leffell, D.J.; Peschin, S.; Sligh, J.E.; et al. Guidelines of care for the management of actinic keratosis. J. Am. Acad. Dermatol. 2021, 85, e209–e233. [Google Scholar] [CrossRef] [PubMed]
- Reinehr, C.P.H.; Bakos, R.M. Actinic keratoses: Review of clinical, dermoscopic, and therapeutic aspects. An. Bras. Dermatol. 2019, 94, 637–657. [Google Scholar] [CrossRef] [PubMed]
- Sterry, W.; Stockfleth, E. Maligne epitheliale Tumoren. In Braun-Falco’s Dermatologie, Venerologie und Allergologie; Plewig, G., Ruzicka, T., Kaufmann, R., Hertl, M., Eds.; Springer: Berlin/Heidelberg, Germany, 2018; pp. 1801–1827. [Google Scholar] [CrossRef]
- Christensen, R.E.; Elston, D.M.; Worley, B.; Dirr, M.A.; Anvery, N.; Kang, B.Y.; Bahrami, S.; Brodell, R.T.; Cerroni, L.; Elston, C.; et al. Dermatopathologic features of cutaneous squamous cell carcinoma and actinic keratosis: Consensus criteria and proposed reporting guidelines. J. Am. Acad. Dermatol. 2023, 88, 1317–1325. [Google Scholar] [CrossRef]
- Cockerell, C.J. Histopathology of incipient intraepidermal squamous cell carcinoma (“actinic keratosis”). J. Am. Acad. Dermatol. 2000, 42, 11–17. [Google Scholar] [CrossRef]
- Kesic, V.; Carcopino, X.; Preti, M.; Vieira-Baptista, P.; Bevilacqua, F.; Bornstein, J.; Chargari, C.; Cruickshank, M.; Erzeneoglu, E.; Gallio, N.; et al. The European Society of Gynaecological Oncology (ESGO), the International Society for the Study of Vulvovaginal Disease (ISSVD), the European College for the Study of Vulval Disease (ECSVD), and the European Federation for Colposcopy (EFC) consensus statement on the management of vaginal intraepithelial neoplasia. Int. J. Gynecol. Cancer 2023, 33, 446–461. [Google Scholar] [CrossRef]
- Siddharthan, R.V.; Lanciault, C.; Tsikitis, V.L. Anal intraepithelial neoplasia: Diagnosis, screening, and treatment. Ann. Gastroenterol. 2019, 32, 257–263. [Google Scholar] [CrossRef]
- Röwert-Huber, J.; Patel, M.J.; Forschner, T.; Ulrich, C.; Eberle, J.; Kerl, H.; Sterry, W.; Stockfleth, E. Actinic keratosis is an early in situ squamous cell carcinoma: A proposal for reclassification. Br. J. Dermatol. 2007, 156 (Suppl. S3), 8–12. [Google Scholar] [CrossRef]
- Fernandez-Figueras, M.T.; Carrato, C.; Saenz, X.; Puig, L.; Musulen, E.; Ferrandiz, C.; Ariza, A. Actinic keratosis with atypical basal cells (AK I) is the most common lesion associated with invasive squamous cell carcinoma of the skin. J. Eur. Acad. Dermatol. Venereol. 2015, 29, 991–997. [Google Scholar] [CrossRef]
- Schmitz, L.; Gambichler, T.; Kost, C.; Gupta, G.; Stücker, M.; Stockfleth, E.; Dirschka, T. Cutaneous squamous cell carcinomas are associated with basal proliferating actinic keratoses. Br. J. Dermatol. 2019, 180, 916–921. [Google Scholar] [CrossRef]
- Schmitz, L.; Gambichler, T.; Gupta, G.; Stücker, M.; Stockfleth, E.; Szeimies, R.M.; Dirschka, T. Actinic keratoses show variable histological basal growth patterns—A proposed classification adjustment. J. Eur. Acad. Dermatol. Venereol. 2018, 32, 745–751. [Google Scholar] [CrossRef] [PubMed]
- Schmitz, L.; Kahl, P.; Majores, M.; Bierhoff, E.; Stockfleth, E.; Dirschka, T. Actinic keratosis: Correlation between clinical and histological classification systems. J. Eur. Acad. Dermatol. Venereol. 2016, 30, 1303–1307. [Google Scholar] [CrossRef] [PubMed]
- Zalaudek, I.; Giacomel, J.; Argenziano, G.; Hofmann-Wellenhof, R.; Micantonio, T.; Di Stefani, A.; Oliviero, M.; Rabinovitz, H.; Soyer, H.P.; Peris, K. Dermoscopy of facial nonpigmented actinic keratosis. Br. J. Dermatol. 2006, 155, 951–956. [Google Scholar] [CrossRef] [PubMed]
- Stadler, R.; Arheilger, B. Epidermale Tumoren. In Histopathologie der Haut; Cerroni, L., Garbe, C., Metze, D., Kutzner, H., Kerl, H., Eds.; Springer: Berlin/Heidelberg, Germany, 2016; pp. 557–597. [Google Scholar] [CrossRef]
- Vladimirova, G.; Ruini, C.; Kapp, F.; Kendziora, B.; Ergün, E.Z.; Bağcı, I.S.; Krammer, S.; Jastaneyah, J.; Sattler, E.C.; Flaig, M.J.; et al. Ex vivo confocal laser scanning microscopy: A diagnostic technique for easy real-time evaluation of benign and malignant skin tumours. J. Biophotonics 2022, 15, e202100372. [Google Scholar] [CrossRef] [PubMed]
- Longo, C.; Ragazzi, M.; Castagnetti, F.; Gardini, S.; Palmieri, T.; Lallas, A.; Moscarella, E.; Piana, S.; Pellacani, G.; Zalaudek, I.; et al. Inserting ex vivo fluorescence confocal microscopy perioperatively in Mohs micrographic surgery expedites bedside assessment of excision margins in recurrent basal cell carcinoma. Dermatology 2013, 227, 89–92. [Google Scholar] [CrossRef]
- Longo, C.; Ragazzi, M.; Rajadhyaksha, M.; Nehal, K.; Bennassar, A.; Pellacani, G.; Malvehy Guilera, J. In Vivo and Ex Vivo Confocal Microscopy for Dermatologic and Mohs Surgeons. Dermatol. Clin. 2016, 34, 497–504. [Google Scholar] [CrossRef]
- Hartmann, D. Ex vivo confocal laser scanning microscopy for melanocytic lesions and autoimmune diseases. Hautarzt 2021, 72, 1058–1065. [Google Scholar] [CrossRef]
- Hartmann, D.; Ruini, C.; Mathemeier, L.; Bachmann, M.R.; Dietrich, A.; Ruzicka, T.; von Braunmuhl, T. Identification of ex-vivo confocal laser scanning microscopic features of melanocytic lesions and their histological correlates. J. Biophotonics 2017, 10, 128–142. [Google Scholar] [CrossRef]
- Mentzel, J.; Stecher, M.M.; Paasch, U.; Simon, J.C.; Grunewald, S. Ex vivo confocal laser scanning microscopy with digital staining is able to map characteristic histopathological features and tissue reaction patterns of inflammatory skin diseases. J. Eur. Acad. Dermatol. Venereol. 2021, 35, e263–e265. [Google Scholar] [CrossRef] [PubMed]
- Pérez-Anker, J.; Ribero, S.; Yélamos, O.; García-Herrera, A.; Alos, L.; Alejo, B.; Combalia, M.; Moreno-Ramírez, D.; Malvehy, J.; Puig, S. Basal cell carcinoma characterization using fusion ex vivo confocal microscopy: A promising change in conventional skin histopathology. Br. J. Dermatol. 2020, 182, 468–476. [Google Scholar] [CrossRef] [PubMed]
- Shavlokhova, V.; Flechtenmacher, C.; Sandhu, S.; Pilz, M.; Vollmer, M.; Hoffmann, J.; Engel, M.; Freudlsperger, C. Detection of oral squamous cell carcinoma with ex vivo fluorescence confocal microscopy: Sensitivity and specificity compared to histopathology. J. Biophotonics 2020, 13, e202000100. [Google Scholar] [CrossRef] [PubMed]
- Grupp, M.; Illes, M.; Mentzel, J.; Simon, J.C.; Paasch, U.; Grunewald, S. Routine application of ex vivo confocal laser scanning microscopy with digital staining for examination of surgical margins in basal cell carcinomas. J. Dtsch. Dermatol. Ges. 2021, 19, 685–692. [Google Scholar] [CrossRef] [PubMed]
- Ulrich, M.; Lange-Asschenfeldt, S.; Gonzalez, S. Clinical applicability of in vivo reflectance confocal microscopy in dermatology. G. Ital. Dermatol. Venereol. 2012, 147, 171–178. [Google Scholar] [PubMed]
- Al-Arashi, M.Y.; Salomatina, E.; Yaroslavsky, A.N. Multimodal confocal microscopy for diagnosing nonmelanoma skin cancers. Lasers Surg. Med. 2007, 39, 696–705. [Google Scholar] [CrossRef]
- Cinotti, E.; Perrot, J.L.; Labeille, B.; Cambazard, F.; Rubegni, P. Ex vivo confocal microscopy: An emerging technique in dermatology. Dermatol. Pract. Concept. 2018, 8, 109–119. [Google Scholar] [CrossRef]
- Segnani, C.; Ippolito, C.; Antonioli, L.; Pellegrini, C.; Blandizzi, C.; Dolfi, A.; Bernardini, N. Histochemical Detection of Collagen Fibers by Sirius Red/Fast Green Is More Sensitive than van Gieson or Sirius Red Alone in Normal and Inflamed Rat Colon. PLoS ONE 2015, 10, e0144630. [Google Scholar] [CrossRef] [PubMed]
- López-De León, A.; Rojkind, M. A simple micromethod for collagen and total protein determination in formalin-fixed paraffin-embedded sections. J. Histochem. Cytochem. 1985, 33, 737–743. [Google Scholar] [CrossRef]
- Timin, G.; Milinkovitch, M.C. High-resolution confocal and light-sheet imaging of collagen 3D network architecture in very large samples. iScience 2023, 26, 106452. [Google Scholar] [CrossRef]
- Pérez-Anker, J.; Toll, A.; Puig, S.; Malvehy, J. Six steps to reach optimal scanning in ex vivo confocal microscopy. J. Am. Acad. Dermatol. 2022, 86, 188–189. [Google Scholar] [CrossRef]
- Pérez-Anker, J.; Puig, S.; Malvehy, J. A fast and effective option for tissue flattening: Optimizing time and efficacy in ex vivo confocal microscopy. J. Am. Acad. Dermatol. 2020, 82, e157–e158. [Google Scholar] [CrossRef]
- Schmitz, L.; Gupta, G.; Stücker, M.; Doerler, M.; Gambichler, T.; Welzel, J.; Szeimies, R.M.; Bierhoff, E.; Stockfleth, E.; Dirschka, T. Evaluation of two histological classifications for actinic keratoses—PRO classification scored highest inter-rater reliability. J. Eur. Acad. Dermatol. Venereol. 2019, 33, 1092–1097. [Google Scholar] [CrossRef]
- Werner, R.N.; Stockfleth, E.; Connolly, S.M.; Correia, O.; Erdmann, R.; Foley, P.; Gupta, A.K.; Jacobs, A.; Kerl, H.; Lim, H.W.; et al. Evidence- and consensus-based (S3) Guidelines for the Treatment of Actinic Keratosis—International League of Dermatological Societies in cooperation with the European Dermatology Forum—Short version. J. Eur. Acad. Dermatol. Venereol. 2015, 29, 2069–2079. [Google Scholar] [CrossRef]
- Rittié, L.; Fisher, G.J. Natural and sun-induced aging of human skin. Cold Spring Harb. Perspect. Med. 2015, 5, a015370. [Google Scholar] [CrossRef]
- Fisher, G.J. The pathophysiology of photoaging of the skin. Cutis 2005, 75, 5–8; discussion 8–9. [Google Scholar] [PubMed]
- Smith, J.G., Jr.; Davidson, E.A.; Sams, W.M., Jr.; Clark, R.D. Alterations in human dermal connective tissue with age and chronic sun damage. J. Investig. Dermatol. 1962, 39, 347–350. [Google Scholar] [CrossRef] [PubMed]
- Schmitt, J.; Seidler, A.; Diepgen, T.L.; Bauer, A. Occupational ultraviolet light exposure increases the risk for the development of cutaneous squamous cell carcinoma: A systematic review and meta-analysis. Br. J. Dermatol. 2011, 164, 291–307. [Google Scholar] [CrossRef] [PubMed]
- Karen, J.K.; Gareau, D.S.; Dusza, S.W.; Tudisco, M.; Rajadhyaksha, M.; Nehal, K.S. Detection of basal cell carcinomas in Mohs excisions with fluorescence confocal mosaicing microscopy. Br. J. Dermatol. 2009, 160, 1242–1250. [Google Scholar] [CrossRef] [PubMed]
- Benson, D.M.; Bryan, J.; Plant, A.L.; Gotto, A.M., Jr.; Smith, L.C. Digital imaging fluorescence microscopy: Spatial heterogeneity of photobleaching rate constants in individual cells. J. Cell Biol. 1985, 100, 1309–1323. [Google Scholar] [CrossRef] [PubMed]





| EVCM FCF Fast Green | ||||
|---|---|---|---|---|
| PRO I | PRO II | PRO III | ||
| histology | PRO I | 6 | 0 | 0 |
| PRO II | 0 | 11 | 1 | |
| PRO III | 0 | 0 | 7 | |
| EVCM Acridine Orange | ||||
| PRO I | PRO II | PRO III | ||
| histology | PRO I | 6 | 0 | 0 |
| PRO II | 0 | 8 | 1 | |
| PRO III | 0 | 0 | 8 | |
Disclaimer/Publisher’s Note: The statements, opinions and data contained in all publications are solely those of the individual author(s) and contributor(s) and not of MDPI and/or the editor(s). MDPI and/or the editor(s) disclaim responsibility for any injury to people or property resulting from any ideas, methods, instructions or products referred to in the content. |
© 2024 by the authors. Licensee MDPI, Basel, Switzerland. This article is an open access article distributed under the terms and conditions of the Creative Commons Attribution (CC BY) license (https://creativecommons.org/licenses/by/4.0/).
Share and Cite
Hartmann, D.; Buttgereit, L.; Stärr, L.; Sattler, E.C.; French, L.E.; Deußing, M. Intraoperative PRO Score Assessment of Actinic Keratosis with FCF Fast Green-Enhanced Ex Vivo Confocal Microscopy. Appl. Sci. 2024, 14, 1150. https://doi.org/10.3390/app14031150
Hartmann D, Buttgereit L, Stärr L, Sattler EC, French LE, Deußing M. Intraoperative PRO Score Assessment of Actinic Keratosis with FCF Fast Green-Enhanced Ex Vivo Confocal Microscopy. Applied Sciences. 2024; 14(3):1150. https://doi.org/10.3390/app14031150
Chicago/Turabian StyleHartmann, Daniela, Lisa Buttgereit, Lara Stärr, Elke Christina Sattler, Lars Einar French, and Maximilian Deußing. 2024. "Intraoperative PRO Score Assessment of Actinic Keratosis with FCF Fast Green-Enhanced Ex Vivo Confocal Microscopy" Applied Sciences 14, no. 3: 1150. https://doi.org/10.3390/app14031150
APA StyleHartmann, D., Buttgereit, L., Stärr, L., Sattler, E. C., French, L. E., & Deußing, M. (2024). Intraoperative PRO Score Assessment of Actinic Keratosis with FCF Fast Green-Enhanced Ex Vivo Confocal Microscopy. Applied Sciences, 14(3), 1150. https://doi.org/10.3390/app14031150

