Next Article in Journal
PRC-Light YOLO: An Efficient Lightweight Model for Fabric Defect Detection
Next Article in Special Issue
Surface Roughness of Polyetheretherketone Printed by Fused Deposition Modeling: A Pilot Study Investigating the Impact of Print Layer Thickness and Polishing Method
Previous Article in Journal
ForecastNet Wind Power Prediction Based on Spatio-Temporal Distribution
Previous Article in Special Issue
A Different Approach to Analyzing the Surface Roughness of Prosthetic Dental Acrylic Resins
 
 
Font Type:
Arial Georgia Verdana
Font Size:
Aa Aa Aa
Line Spacing:
Column Width:
Background:
Article

The Effects of Systemic Vitamin D Level on the Healing of Different Graft Materials: An Experimental Histological Study

by
Mehmet Sefa Hacibektasoglu
1,
Huseyin Avni Balcioglu
2,
Yigit Uyanikgil
3 and
Nilufer Bolukbasi Balcioglu
1,*
1
Department of Oral Implantology, Faculty of Dentistry, Istanbul University, Istanbul 34093, Turkey
2
Department of Anatomy, Faculty of Medicine, Health Sciences University, Istanbul 34716, Turkey
3
Department of Histology and Embryology, Faculty of Medicine, Ege University, Izmir 35030, Turkey
*
Author to whom correspondence should be addressed.
Appl. Sci. 2024, 14(2), 939; https://doi.org/10.3390/app14020939
Submission received: 25 December 2023 / Revised: 17 January 2024 / Accepted: 20 January 2024 / Published: 22 January 2024

Abstract

The aim of this study is to investigate the effects of serum vitamin D levels on the healing of different bone graft materials. Thirty-six male rats were divided into three groups and fed special feeds containing different amounts of vitamin D for 6 weeks before the surgical phase: the high serum vitamin D level group (group H) 10,000 iu/kg vitamin D3; the standard serum vitamin D level group (group C) 1000 iu/kg D3; and the low-level vitamin D group (group L) 100 iu/kg vitamin D3. Under general anesthesia, four defects with a diameter of 5 mm were created in the calvaria of the rats. The defects were augmented with autogenous grafts, allografts, xenografts, or left empty. The serum vitamin D level was measured before the surgery and before sacrifice. At the end of the 6th week, the subjects were sacrificed, and histological and histomorphometric analyses were performed. Study results show that in all graft types, as vitamin D levels increase, the number of new bone formations increases. There was no significant difference between the graft materials in terms of new bone formation criteria in group L. In group H and group C, the highest new bone formation was seen in the allograft group (1.48 ± 0.07, 0.66 ± 0.19, respectively). Prospective randomized clinical studies are required to evaluate the effect of vitamin D dose on the success of augmentation procedures in the clinic.

1. Introduction

Augmentation procedures are frequently used in the treatment of mandibular defects. There are many factors that affect the success of these procedures such as the type of graft (autogenous, allograft, xenograft), systemic diseases of the host (diabetes mellitus, osteoporosis, etc.), smoking, hormones, and vitamins that affect the bone metabolism (parathyroid hormone, vitamin K, sex hormones, etc.) [1].
Vitamin D is a fat-soluble vitamin that is responsible for the regulation of calcium and phosphorus metabolism in tissues and is also defined as a hormone due to it being synthesized in the body, and it has an effect on areas other than where it was synthesized. Vitamins D2 and D3 are two precursor forms of vitamin D. Vitamin D2 is found in foods and is a 28-carbon molecule derived from ergosterol (pre-vitamin D2) while vitamin D3, a 27-carbon molecule derived from cholesterol, is essentially synthesized on the skin as a result of a complex chain reaction but can also be obtained through diet. 7-dehydrocholesterol (pro-vitamin D3), a natural compound of the skin, turns into pre-vitamin D3 (cholecalciferol) when exposed to UV-B rays. Following their obtainment through diet or reactions on the skin, both pre-vitamin D2 and pre-vitamin D3 undergo two successive hydroxylation reactions and are transformed first into 25-hydroxy vitamin D (calcifediol) (25[OH]D) in the liver and then into its biologically active form, 1.25-dihydroxyvitamin D (calcitriol) (1.25[OH]2D), in the kidneys. The 1.25[OH]2D ligand binds to vitamin D receptors (VDRs) with high affinity and later increases the intestinal absorption of both calcium and phosphor. Also, vitamin D actively participates in bone formation, resorption and mineralization, and protection of neuromuscular function. “25-hydroxy vitamin D (25[OH]D)”, the form of vitamin D found in serum, is used to measure vitamin D levels. The values of serum vitamin D (25OHD) between 0 and 30 ng/mL, between 40 and 80 ng/mL, and >150 ng/mL are, respectively, regarded as insufficient, sufficient, and toxic [2,3].
In clinical practice, vitamin D deficiency is usually treated with pre-vitamin D2 and pre-vitamin D3 supplements in order to increase the serum 25(OH)D level, but due to their longer half-life, pre-vitamin D3 supplements are preferred in the treatment of vitamin D deficiency [4].
Vitamin D is known to have an effect on the health of many tissues and systems such as the veins, the brain, the skeletal system, the cardiovascular system, the immune system, the endocrine system, and the neuromuscular system [5].
There are recent studies on the effects of serum vitamin D levels on bone healing. In clinical studies, vitamin D deficiency was found to be associated with delayed union [6].
Experimental studies found that vitamin D supplements accelerated the process of callus formation and the healing of fractures. Many scientific studies have reported that vitamin D is effective in osseointegration and bone metabolism in dentistry [7]. But, there are not sufficient studies on the effect of vitamin D levels on augmentation procedures [8]. This study was conducted with the aim of determining the effects of low, normal, and high levels of serum vitamin D on the bone formation capacity of different graft materials used in the augmentation of intraosseous defects.

2. Materials and Methods

2.1. Study Design

A total of 36 4–5-month-old male Sprague Dawley rats weighing 300–350 g were used in this experimental study.
The study protocol was approved by the Animal Experimentation Ethics Committee of Istanbul University (approval date 27 December 2019; No. 2019/15).
All procedures were conducted in accordance with the international ethical guidelines for the treatment and welfare of experimental animals, and this study was prepared in conformity with the ARRIVE guidelines by Kilkenny et al. [9].
Our study was based on six main stages, namely the preoperational stage, presurgical analysis of serum vitamin D, the surgical stage, analysis of serum vitamin D before sacrifice, sacrifice, and the histological evaluation stage (Figure 1).

2.2. Sample Size Calculation

In order to determine the number of samples, power analysis was performed using G*Power (v3.1.9.2) software. According to three different vitamin D levels (low, standard, and high) and partial eta estimated in the calculation of the difference in the new bone formation amounts in three different graft types applied to four defects produced in rats assumed as 0.5, it was calculated that at least nine rats per group were required in order to achieve 95% power with a level of α = 0.01, with a calculated effect size of d = 1.000. Twelve rats were included per group in the study, considering possible losses during the study process.

2.3. Preoperative Procedures

The animals in our study were kept in cages in an automated room with a 55% relative humidity rate at 21 °C with lights on and off for 12 h periods. They were subject to silence, ventilation, and heating, and they were fed ad libitum with water and feed.
A total of 36 rats were included in the study and were divided into 3 groups of 12 rats per group and were fed with special feeds with different vitamin D levels for 6 weeks.
An excess vitamin D diet was applied to the first group, with feed containing 10,000 iu/kg vitamin D3 (Altromin, Lage, Germany, product code C1017 Mod.) in order to create a high serum vitamin D level group (group H).
The second group (group C) was fed with feed containing 1000 iu/kg D3 (Altromin, Lage, Germany, product code C1000) in order to create the control group with standard serum vitamin D levels.
The third group (group L) was fed with feed containing 100 iu/kg vitamin D3 (Altromin, Lage, Germany, product code C1017) for a diet deficient in vitamin D in order to create a low-level vitamin D group.

2.4. Preoperative Biochemical Analysis

The serum vitamin D levels of the experimental animals were measured after being fed with a special diet for 6 weeks (42 days). The rats were anesthetized with 50 mg/kg ketamine HCl (Ketalar® Flakon, Pfizer, Istanbul, Turkey) and 5 mg/kg xylazine (Rompun® Flakon, Bayer Türk Kimya Sanayi Ltd., Şti, Istanbul, Turkey). Four mL blood samples were collected with a 25–30 g needle via the tails of each rat and put into EDTA containing tubes. The wound location on the tail was primarily sutured with material containing absorbable polyglycolic acid (Vicryl, Ethicon, Johnson & Johnson, New Brunswick, NJ, USA). The serum vitamin D levels of blood samples were biochemically analyzed with the HPLC (high-pressure liquid chromatography) method.
The reference range obtained by biochemical analysis was found to be 13.25 ± 0.95 ng/mL (control group), and it was 4.90 ± 0.46 ng/mL in the low-level vitamin D group and 22.86 ± 2.94 ng/mL in high-level vitamin D group on average.
The results were consistent with the aims of the specific diet applied in the preoperative care stage.

2.5. Surgical Procedures

A total of 50 mg/kg Ketamin HCl (Ketalar® Flakon, Pfizer, Istanbul, Turkey) and 10 mg/kg Xylazine (Rompun® Flakon, Bayer Türk Kimya Sanayi Ltd., Şti, Istanbul, Turkey) were intraperitoneally administered to the rats to achieve anesthesia. A total of 2 mg/kg lidocaine (Jetokain ampule (Adeka İlaç Sanayi ve Ticaret A.Ş., Samsun, Turkey) was subcutaneously administered to each experimental animal’s calvarium area in order to achieve local anesthesia. The hairs on the surface of the calvarium area were shaved and wiped with polyvinylpyrrolidone solution (Poviseptin, Mertsel Tic. A.Ş., Izmir, Turkey) to achieve asepsis. The surgical procedure was begun by performing a sagittal incision through the central line of the cranium, and the full-thickness flap was elevated. In the surgical area, the calvarial bone tissue was kept open with a clamp. Four bone defects per animal were produced, two on the left- and two on the right-hand side of the mid-sagittal suture, and 1–1.5 mm thick bone blocks with a 5 mm radius were produced via a trephine bur with a 5 mm inner radius (Ocean Trephine Bur, Bursa, Istanbul) under constant saline irrigation to prevent possible damage to the durometer. The first critical defect area was left empty (empty defect/ED group) in order to examine its recovery pattern and compare it with the other three. Autogenous bone grafts obtained from bone block produced with trephine bur were ground and then applied to the defect area next to the one left empty (Autogenous graft/AuG group). Bovine grafts (Bio-Oss, Geistlich Pharma, Wolhusen, Switzerland) were applied to the defect area below the empty defect area (Xenograft/XG group), and allografts were applied to the defect area in the cross-direction of the empty one (Maxxeus, Community Tissue Services, Kettering, OH, USA) (Allograft/AlG group).
The surgical operation area was sutured with resorbable material containing 3.0 polyglycolic acid (Vicryl, Ethicon, Johnson & Johnson, New Brunswick, NJ, USA) following the creation of critical defect areas and the application of graft material (Figure 2).
To prevent pain and infection in the postoperative period, Tramadol HCl (Tramadolor 100 mg ampoule, Sandoz İlaç San. Ve Tic. Aş. İstanbul, Turkey) and Gentamicin (Gentamed 20 mg ampoule, Koçak Farma İlaç ve Kimya San. Aş. İstanbul, Turkey) were given intraperitoneally twice a day for 3 days. Wound surfaces were wiped and dressed in a polyvinylprolidone antiseptic solution (PVP K-30, Ataman Chemicals, Istanbul, Turkey) to protect against infection.

2.6. Sacrification

Six weeks after the surgical operation, the animals were intraperitoneally administered 50 mg/kg Ketamine HCl (Ketalar® Flakon, Pfizer, Turkey) and10 mg/kg Xylazine (Rompun® Flakon, Bayer Türk Kimya Sanayi Ltd., Şti, Turkey). Following the preoperative procedures, blood samples were collected to measure the serum vitamin D levels, and then sacrification was performed by administering the animals with 120 mg/kg sodium pentotalin (Pental Sodyum, İ.E. Ulagay İlaç Sanayi Türk A.Ş, İstanbul, Turkey).
Right after the sacrification, the full-thickness flap covering the calvaria was elevated following a mid-crestal incision, and the bone blocks obtained by dissecting the produced defect areas from other tissues were transferred into a 10% buffered formalin solution (Birpa Formaldehit, Birpa Kimyevi Maddeler Paz. Ve Tic. Ltd., Şti, Yenimahalle, Ankara, Turkey).

2.7. Histological Evaluations

Histologic and histomorphometric evaluations were conducted by a single-blinded histologist. The tissues were fixed in a 4% buffered formalin solution for 48 h and then in an osteosoft (Merck, Darmstadt, Germany) solution for decalcification. The solution was changed once a week. A pin was jabbed on the surface of the bone far from the experiment area to determine whether proper decalcification was achieved. After decalcification was achieved, the tissues were cleansed with PBS (phosphate-buffered saline) and put under routine histological supervision. The tissue blocks under histological supervision were kept at +4 °C before dissection. Five μm sections were cut with a Leica RM 2145 microtome on polysine slides following a 37 °C water bath. Sections were kept in an oven at 57 °C for an hour before staining and were kept in xylol overnight after they became cold. The prepared sections were subjected to several staining protocols after deparaffinization to obtain histological findings. First, hematoxylin and eosin staining protocols and then Masson’s trichrome staining protocol were applied. The images from stained sections were captured via a color digital camera (Olympus C-5050; Olympus Corporation, Tokyo, Japan) integrated into a light microscope (BX-51; Olympus, Tokyo, Japan). Histological evaluations were performed by a single-blind histologist. Necrosis and foreign body reaction were scored as 0: absent and +: present in histopathological evaluations, while inflammation and fibrosis were scored as 0: absent, +: mild, ++: moderate, and +++: severe. New bone formation, residual graft, and mean defect distance were assessed histomorphometrically. The digital images of each section covering the whole defect area were captured at ×100, and the new bone formation and residual graft areas were measured in square micrometers with the image analysis program “Olympus analysis 5” (Olympus Corp.) for the assessment of new bone formations and residual grafts. The average defect distance was measured in micrometers by calculating the median distance of different random areas of sections obtained from each animal in the experimental groups.

2.8. Statistical Analysis

The NCSS (Number Cruncher Statistical System) 2020 Statistical Software (NCSS LLC, Kaysville, UT, USA) was used for statistical analyses. Methods of descriptive statistics (average, standard deviation, median, first quarter, third quarter) were used to evaluate the results obtained from this study. A Mann–Whitney U test was used for the comparison between two groups of variables with abnormal distribution, a Kruskal–Wallis test was used for comparisons between three or more groups and a Dunn test was used to determine the group that was responsible for the difference. A Wilcoxon signed-rank test was used for in-group evaluations. For the comparison of qualitative data, chi-squared and Fisher–Freeman–Halton tests were used. The results were found to have a confidence interval of 95%, and statistical significance was evaluated to be p < 0.05.
Shapiro–Wilk tests and box plot graphics were used to evaluate the suitability of the data for normal distribution. Since the variables did not show a normal distribution, the homogeneity of the variances was not examined.

3. Results

3.1. General Findings

No complications, such as infection, fracture, etc., were observed in any of the experimental animals prior to sacrification in our study. A total of 144 defects in 36 experimental animals were evaluated.

3.2. Findings Related to Serum Vitamin D

A high vitamin D diet during the preoperative and presacrifice periods was observed to cause a significant amount of increase in serum vitamin D levels. Similarly, serum vitamin D levels were observed to be significantly lower in the low serum vitamin D group compared to the normal serum vitamin D group. Additionally, it was observed that the preoperative and presacrifice values were stable in all three groups.
Table 1 shows the serum vitamin D levels in the groups and the difference between them.

3.3. Histopathological Findings

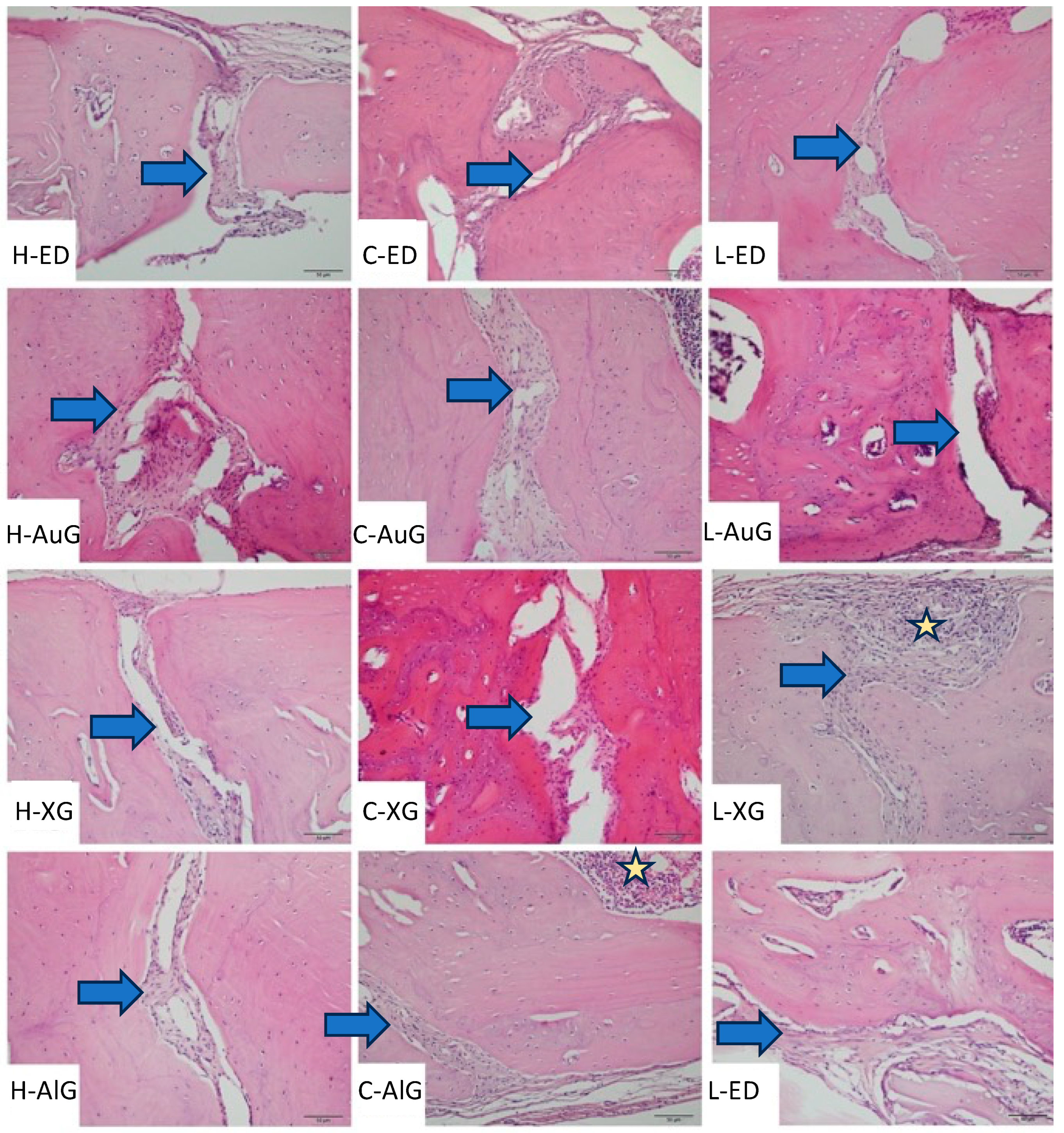
In the histopathological evaluation, areas of defect formation were found in compact bone tissue in normal histology in all experimental groups. Findings of bone tissue recovery were observed in these areas. In these areas, the presence of potential mesenchymal cells in a loose collagen tissue-like formation was observed, and in the area where precursor osteoblast cells localized, the presence of an amorphous ground substance and vascularization were observed. The defect area was found to be narrower in the high vitamin D group compared to the other groups, and it was larger in width and volume in the low vitamin D group. None of the groups were observed to have a necrotic focus and foreign body reaction. Moderate inflammation, including PMNL (polymorphonuclear leukocytes) infiltration, was observed in the xenograft applications in group L (Figure 3).

3.3.1. Inflammation Scores

The vitamin D level was observed to have no effect on the inflammation score in any defect type.
Table 2 shows the inflammation scores of the groups.

3.3.2. Fibrosis

No statistically significant difference was observed in terms of fibrosis in empty defect, autogenous graft, and allograft groups in any of the three vitamin D levels. But, the fibrosis incidence rate in xenograft-applied group L was found to be significantly lower than the xenograft-applied rates in the normal vitamin D group (group C). (p = 0.049).
Table 3 shows the fibrosis scores of the groups.

3.4. Histomorphometric Findings

3.4.1. New Bone Formation

Regarding the effect of the vitamin D level on the ossification of graft material, an increase in the vitamin D level was observed to cause an increase in the number of new bone formations in all groups. The number of new bone formations in all four defect types was found to be statistically significantly higher in group H compared to group C and group L. The highest new bone formation ratio was observed in the AlG group (1.48 ± 0.07) in group H. The XG group was found to have a ratio close to the AlG group (1.46 ± 0.08 p = 0.527), followed by the AuG and ED groups, respectively. The new bone formation area in the AlG group in group H was observed to be statistically significantly higher compared to the AuG group (p = 0.014).
The highest number of new bone formations in group C was observed in the AIG group, while the XG and AuG groups were noted to have statistically significantly lower levels of new bone formations compared to the AlG group (XG-AlG, p = 0.040; AuG-AlG p = 0.009), and the empty defect group was found to have the lowest mumber of new bone formations, with a ratio of 0.49 ± 0.07.
Unlike the other two groups, the highest new bone formation amount in group L was observed in the autogenous graft group (AuG) (0.42 ± 0.09), followed by the AlG (0.40 ± 0.06) and XG (0.39 ± 0.08) groups, but the difference between the three groups was found to be statistically insignificant (AuG-AlG, p = 0.635; AuG-XG, p = 0.114; AlG-XG, p = 0.268).
Table 4 shows the data related to new bone formations among and between the groups.

3.4.2. Residual Graft

The highest number of residual grafts in all defect types in comparison of groups was observed in group L, followed by group C and group H groups, respectively. The assessment of graft applications indicated a fairly close number of residual grafts in all three vitamin D levels, as shown in Table 5. Regarding the differences, only group H in the AuG group was observed to have a statistically significantly low number of residual grafts compared to the XG group (AuG 0.39 ± 0.04, XG 0.42 ± 0.04; p = 0.044).

3.4.3. Average Defect Distance

The average defect distance was measured by taking the average of random different areas in sections obtained from each animal in groups. The comparison of average defect distance between the groups revealed that a decrease in vitamin D levels caused an increase in defect distance in all defect types. The highest defect distance in group H was observed in the empty defect group (64.28 ± 1.26) and the lowest was in the XG group (54.07 ± 2.38). Statistically, a significantly higher defect distance was measured in the AlG and AuG groups compared to the XG group (XG-AlG; p = 0.004, AuG-XG p = 0.001). In group C, the highest defect distance was observed in the ED group (68.67 ± 1.24), while there was no statistically significant difference in the other groups.
The highest defect distance in the group was observed in the ED group (72.09 ± 3.16), and the lowest was in the AlG group (69.18 ± 1.54). The AlG group was observed to have a significantly lower defect distance compared to the AuG group (p = 0.018).
Table 6 shows the average defect distance among and between the groups.

4. Discussion

To the best of our knowledge, this is the first study that histologically and histomorphometrically evaluates the effects of the serum vitamin D level on autogenous grafts, allografts, and xenografts used in the treatment of bone defects. The results of this study demonstrate that higher vitamin D levels lead to an increase in the number of new bone formations in all defect types.
Fu et al. evaluated the effect of vitamin D on fracture healing in osteoporotic rats. A fracture line was created by osteotomy in the femurs of all rats in the experimental and control groups. The experimental group was administered 1.25(OH)2D3, 0.1 μg/kg/day via oral gavage. All the animals were sacrificed in the sixth and sixteenth weekend, and the fracture lines were examined histomorphometrically. The histomorphometric data obtained 6 weeks after the fracture demonstrated that the 1.25(OH)2D3-administered group had a 23% higher total callus volume compared to the control group. New bone volume and trabecular number displayed the same tendency. No histological differences were observed in the groups in week 16 [10]. This might be due to a period of 4–8 weeks being considered sufficient for long-term bone healing for rat metabolism. For this reason, the period between the surgical operation and the sacrifice was determined to be 6 weeks, which is the period that is usually preferred in experimental studies in the literature.
In an in vivo study on rats conducted in 2017 by Williamson et al., the experimental animals were separated into three different groups, and feed containing 20,000 iu/kg and 8000 iu/kg vitamin D was used as high vitamin D dosage, while 1000 iu/kg vitamin D containing feed was used in the control group. The tibias of sacrificed animals were dissected following a special 4-week feed. The mechanical endurance and cortical and trabecular morphologies of the bones were examined. The findings demonstrated that the animals in the highest vitamin D group had higher volumes of trabecular and cortical bones and also had higher mechanical endurance and fracture resistance in their tibias, while there was no statistically significant difference regarding the volume and hardness of the bones between the normal vitamin D and low vitamin D groups. The research argued that the results of the study indicated that vitamin D supplements in diet increase bone health in general, and it is helpful to have a higher bone volume to prevent osteoporosis in adulthood [11]. The vitamin D levels were not measured in this study, so it cannot be concluded whether the vitamin D level in the control group was, in fact, insufficient, or if 20,000 iu in the high vitamin D group could, in fact, be considered high enough. Similar to the studies conducted by Fu et al. and Williamson et al., our study also measured the highest number of new bone formations and the lowest defect distance in the high vitamin D group in the empty defect group after 6 weeks, and autogenous grafts, xenografts, and allografts were used for the treatment of intraosseous defects in our study. The findings indicated that high vitamin D levels had significantly higher numbers of new bone formations compared to the control and low vitamin D groups. Compared to grafts, the highest number of new bone formations in the high vitamin D and control groups was observed in allograft-applied cases, while in the low vitamin D group, the autogenous graft-applied cases had the highest number. In their in vivo study, Hong et al. evaluated the effect of vitamin D supplements on bone regeneration in alloplastic bone graft-applied defects. The premolars of dogs were extracted and 3 months later, standard defects with a 4 mm diameter and a 6 mm depth were prepared and then applied to alloplastic grafts. The experimental group was orally administered 37.5 iu vitamin D tablets each day for 4 weeks. The control group was fed a standard diet. The pre- and post-implant surgery vitamin D levels in the experimental animals were not measured. The supplemental diet group was observed to have statistically lower vertical crest resorption and higher bone density [12]. The findings of this study, considered along with those of ours, demonstrate that the vitamin D level affects the ossification of all types of graft materials used in the treatment of defects.
A total of 95% of all experimental animals in medical research are rats and mice that are specifically bred for experiments. Their tiny size, ease of transportation and care, fast breeding, and short life span, allowing the observation of several generations in short periods of time, are some of the reasons why they are widely preferred for experiments. Also, rats have about a 95% similar DNA structure to human beings; thus, they are somewhat susceptible to diseases that are found in human beings and their treatments. Many rat inbreds and outbreds are used in experiments [13]. An albino rat species, Sprague Dawley, was used for this study, which is a widely accepted strain used in many studies [14].
Delwatta et al. reported that animal experiments in many medical fields are very important for researchers, and the hematological data required in research is insufficient, emphasizing the importance of determining the reference range of blood value of the experimental animal that will be used in research by creating control and experimental groups [15]. There is no reference range data for serum vitamin D levels in rats in the literature. In our study, the vitamin D level of the twelve animals in the standard diet (1000 iu/kg vit D3) control group was measured and found to be 13.25 ± 0.95 ng/mL in young adult male rats. The serum vitamin D level in the high vitamin D3 diet group (10,000 iu/kg vit D3) was found to be 22.86 ± 2.94 ng/mL, whereas the low vitamin D3 diet group (100 iu/kg vit D3) was 4.90 ± 0.46 ng/mL. These results demonstrate that the special diet we implemented was successful in creating different serum vitamin D levels. The diets were implemented for 6 weeks in accordance with the instructions of the producing company in order to have a stabilized vitamin D level during the experiment. Pre-sacrification serum vitamin D levels were measured, the results were compared with initial values, and no statistically significant difference was found between the first and last measured vitamin D levels in all three groups, demonstrating that the experiment was successfully conducted. All the experimental animals completed the experiment without any issues, and this may be interpreted as the determined vitamin D levels were not beyond the toxic level. In the clinic, the reference vitamin D levels for human beings are regarded as insufficient if they are between 0 and 30 ng/mL, sufficient if they are between 40 and 80 ng/mL, and toxici if they are higher than 150 ng/mL [3]. Further clinical studies may evaluate the effect of vitamin D supplement dosages within the safe range on the recovery of bone defects. In our study, 3 mL venous blood samples from each experimental’s tail were collected and biochemically analyzed to evaluate the vitamin D level. High-Performance Liquid Chromatography (HPLC) was used to measure the vitamin D level due to it being a routine method for evaluating the vitamin D level in laboratories today [16].
Bone defects that cannot heal spontaneously without intervention are called critical bone defects. In the literature, 5 mm bone defects in rats are regarded as a “critical defect” [17]. Calvaria in rats is an area where their paws and legs cannot reach the surgical area and thus cannot be irritated. It is also an anatomical structure where the materials placed in the defect area are in direct contact with bone tissues, making it a very useful experimental model to apply biocompatible materials to critical defects created in the calvaria area in order to see the effects of the material. A total of four 5 mm bone defects in the calvaria were created in our study, and lower bone regeneration was observed in empty defects compared to graft-applied defects; this demonstrated that 5 mm was the proper size for bone defects and allowed the evaluation of four different defect types on the same experimental animal.
This study has some limitations. Since a limited amount of blood can be taken from rats, the levels of bone turnover markers, calcium, and phosphorus in blood serum were not measured, and the activity of bone cells was not examined. Bone healing in rats takes 4–8 weeks, according to the literature. Sacrifices were performed at an average time of 6 weeks to use fewer subjects for ethical reasons. Different sacrifice times (e.g., 2nd, 4th, 6th, and 8th weeks) may be used in future studies to evaluate bone healing at different time points. Histomorphometry and micro-computed tomography (μCT) can be used to evaluate new bone formations [18]. Using μCT, 3D, and 2D reconstructions, volumetric measurements can be obtained. Since there are a limited number of studies evaluating vitamin D and graft healing in the literature, a histological evaluation was made in these studies, and decalcified sections were taken instead of μCT in order to compare the results of this study with other studies. In future studies, μCT can also be used to evaluate bone formation at different intervals.

5. Conclusions

The findings of this study reveal that the serum vitamin D level influences the ossification of various graft materials. An elevation in vitamin D levels correlates with increased ossification of allograft, autogenous graft, and xenograft materials. The vitamin D levels assessed in the rats in the present study could serve as a reference for subsequent investigations, although broader and more extensive studies are essential before considering their application in clinical settings.

Author Contributions

Conceptualization, M.S.H., N.B.B. and H.A.B.; methodology, M.S.H. and N.B.B.; software, M.S.H. and Y.U.; validation, M.S.H., N.B.B. and H.A.B.; formal analysis, M.S.H. and Y.U.; investigation, M.S.H. and Y.U.; resources, M.S.H.; data curation, M.S.H. and Y.U.; writing—original draft preparation, M.S.H., N.B.B. and H.A.B.; writing—review and editing, M.S.H., N.B.B. and H.A.B.; visualization, M.S.H.; supervision, N.B.B.; project administration, N.B.B.; funding acquisition, N.B.B. All authors have read and agreed to the published version of the manuscript.

Funding

This study was supported by the Scientific Research Projects Coordination Unit of Istanbul University (Project number 38225).

Institutional Review Board Statement

The study protocol was approved by the Animal Experimentation Ethics Committee of Istanbul University (approval No. 2019/15). All procedures were conducted in accordance with international ethical guidelines for the treatment and welfare of experimental animals.

Informed Consent Statement

Not applicable.

Data Availability Statement

The original contributions presented in the study are included in the article, further inquiries can be directed to the corresponding author.

Conflicts of Interest

The authors declare no conflicts of interest related to this study.

References

  1. McAllister, B.S.; Haghighat, K. Bone augmentation techniques. J. Periodontol. 2007, 78, 377–396. [Google Scholar] [CrossRef] [PubMed]
  2. Holick, M.F.; Pang, P.; Schreibman, M. Phylogenetic and evolutionary aspects of vitamin D from phytoplankton to humans. Vertebr. Endocrinol. Fundam. Biomed. Implic. 1989, 3, 7–43. [Google Scholar]
  3. Holick, M. A millenium perspective Vitamin D. J. Cell. Biochem. 2003, 88, 296–307. [Google Scholar] [CrossRef] [PubMed]
  4. Holick, M.F. High prevalence of vitamin D inadequacy and implications for health. In Mayo Clinic Proceedings; Elsevier: Amsterdam, The Netherlands, 2006; Volume 81, pp. 353–373. [Google Scholar]
  5. Holick, M.F. Sunlight and vitamin D for bone health and prevention of autoimmune diseases, cancers, and cardiovascular disease. Am. J. Clin. Nutr. 2004, 80, 1678S–1688S. [Google Scholar] [CrossRef] [PubMed]
  6. Arrighi, I.; Mark, S.; Alvisi, M.; von Rechenberg, B.; Hubbell, J.A.; Schense, J.C. Bone healing induced by local delivery of an engineered parathyroid hormone prodrug. Biomaterials 2009, 30, 1763–1771. [Google Scholar] [CrossRef] [PubMed]
  7. Dam, V.V.; Trinh, H.A.; Rokaya, D.; Trinh, D.H. Bone augmentation for implant placement: Recent advances. Int. J. Dent. 2022, 2022, 8900940. [Google Scholar] [CrossRef] [PubMed]
  8. Markopoulos, G.; Lepetsos, P.; Perrea, D.N.; Iliopoulos, D.C.; Nikolaou, V.S.; Perrea, D.N. Possible Roles of Vitamin D in Bone Grafting. Cureus J. Med. Sci. 2021, 13, e14688. [Google Scholar] [CrossRef] [PubMed]
  9. Kilkenny, C.; Browne, W.; Cuthill, I.C.; Emerson, M.; Altman, D.G. Animal research: Reporting in vivo experiments: The ARRIVE guidelines. Br. J. Pharmacol. 2010, 160, 1577–1579. [Google Scholar] [CrossRef] [PubMed]
  10. Fu, L.; Tang, T.; Miao, Y.; Hao, Y.; Dai, K. Effect of 1,25-dihydroxy vitamin D3 on fracture healing and bone remodeling in ovariectomized rat femora. Bone 2009, 44, 893–898. [Google Scholar] [CrossRef] [PubMed]
  11. Williamson, L.; Hayes, A.; Hanson, E.D.; Pivonka, P.; Sims, N.A.; Gooi, J.H. High dose dietary vitamin D3 increases bone mass and strength in mice. Bone Rep. 2017, 6, 44–50. [Google Scholar] [CrossRef] [PubMed]
  12. Hong, H.H.; Chou, T.A.; Yang, J.C.; Chang, C.J. The potential effects of cholecalciferol on bone regeneration in dogs. Clin. Oral Implant. Res. 2012, 23, 1187–1192. [Google Scholar] [CrossRef] [PubMed]
  13. van Zutphen, L.F.; Baumans, V.; Beynen, A.C.; Restani, P. Principles of Laboratory Animal Science; Elsevier: Amsterdam, The Netherlands, 1996. [Google Scholar]
  14. Prejean, J.; Peckham, J.; Casey, A.; Griswold, D.; Weisburger, E.; Weisburger, J. Spontaneous tumors in Sprague-Dawley rats and Swiss mice. Cancer Res. 1973, 33, 2768–2773. [Google Scholar] [PubMed]
  15. Delwatta, S.L.; Gunatilake, M.; Baumans, V.; Seneviratne, M.D.; Dissanayaka, M.L.B.; Batagoda, S.S.; Udagedara, A.H.; Walpola, P.B. Reference values for selected hematological, biochemical and physiological parameters of Sprague-Dawley rats at the Animal House, Faculty of Medicine, University of Colombo, Sri Lanka. Anim. Model Exp. Med. 2018, 1, 250–254. [Google Scholar] [CrossRef] [PubMed]
  16. Lensmeyer, G.L.; Wiebe, D.A.; Binkley, N.; Drezner, M.K. HPLC method for 25-hydroxyvitamin D measurement: Comparison with contemporary assays. Clin. Chem. 2006, 52, 1120–1126. [Google Scholar] [CrossRef] [PubMed]
  17. McGovern, J.A.; Griffin, M.; Hutmacher, D.W. Animal models for bone tissue engineering and modelling disease. Dis. Model Mech. 2018, 11, dmm033084. [Google Scholar] [CrossRef] [PubMed]
  18. Gielkens, P.F.M.; Schortinghuis, J.; de Jong, J.R.; Huysmans, M.C.D.N.J.M.; van Leeuwen, M.B.M.; Raghoebar, G.M.; Bos, R.R.M.; Stegenga, B. A Comparison of Micro-CT, Microradiography and Histomorphometry in Bone Research. Arch. Oral Biol. 2008, 53, 558–566. [Google Scholar] [CrossRef] [PubMed]
Figure 1. Flowchart of this study.
Figure 1. Flowchart of this study.
Applsci 14 00939 g001
Figure 2. Views of surgically created defects. (a) View of before grafting; (b) view of after grafting. The first defect was left empty (ED group). The second defects were filled with autogenous bone particles (AuG group). The third defects were filled with xenograft particles (XG group). Fourth defects were filled with allograft particles (AlG group).
Figure 2. Views of surgically created defects. (a) View of before grafting; (b) view of after grafting. The first defect was left empty (ED group). The second defects were filled with autogenous bone particles (AuG group). The third defects were filled with xenograft particles (XG group). Fourth defects were filled with allograft particles (AlG group).
Applsci 14 00939 g002
Figure 3. Histopathological views of the groups (H&E staining X20). The blue arrow shows the defect area and the yellow star shows PMNL infiltration.
Figure 3. Histopathological views of the groups (H&E staining X20). The blue arrow shows the defect area and the yellow star shows PMNL infiltration.
Applsci 14 00939 g003
Table 1. Serum vitamin D levels.
Table 1. Serum vitamin D levels.
Serum Vitamin D (ng/mL)High vit D
(H) (n = 12)
Normal vit D
(C) (n = 12)
Low vit D
(L) (n = 12)
p
PreoperativeAvg ± Sd22.86 ± 2.9413.25 ± 0.954.90 ± 0.46χ2: 31.139
Median (Q1–Q3)22.1 (20.5–24.2)13.1 (12.5–13.9)5 (4.7–5.1)a 0.001 **
PresacrificeAvg ± Sd23.18 ± 3.6212.73 ± 1.035.06 ± 0.39χ2: 31.139
Median (Q1–Q3)22.1 (20.5–26.6)12.9 (11.8–13.7)5.1 (4.8–5.2)a 0.001 **
DifferenceAvg ± Sd0.33 ± 2.90−0.51 ± 1.120.16 ± 0.76χ2: 2.608
Median (Q1–Q3)0.5 (−1.1–2.1)−0.46 (1.4–0.07)0.1 (−0.3–0.8)a 0.271
Test ValueZ: −0.471Z: 1.726Z: −0.667
pb 0.638b 0.084b 0.505
a Mann–Whitney U test; b Wilcoxon signed-rank test; ** p < 0.01.
Table 2. Inflammation scores. Negative: no inflammation, + = mild inflammation, ++ = moderate inflammation.
Table 2. Inflammation scores. Negative: no inflammation, + = mild inflammation, ++ = moderate inflammation.
Inflammation ScoreHigh Vit D
(H) (n = 12)
Normal Vit D (C) (n = 12)Low Vit D
(L) (n = 12)
Test Value
n (%)n (%)n (+)p
1 Empty Defect (ED)Negative8 (66.7)10 (83.3)9 (75.0)χ2: 3.810
+4 (33.0)1 (8.3)3 (25.0)c 0.469
++0 (0.0)1 (8.3)0 (0.0)
2 Autogenous Graft (AuG)Negative9 (75.0)9 (75.0)10 (83.3)χ2: 0.461
+3 (25.0)3 (25.0)2 (16.7)c 1.000
++0 (0.0)0 (0.0)0 (0.0)
3 Xenograft (XG)Negative9 (75.0)7 (58.3)7 (58.3)χ2: 5.677
+3 (25.0)5 (41.7)2 (16.7)c 0.184
++0 (0.0)0 (0.0)3 (25.0)
4 Allograft (AlG)Negative11 (92.0)8 (66.7)7 (58.3)χ2: 3.645
+1 (8.0)4 (33.3)5 (41.7)c 0.256
++0 (0.0)0 (0.0)0 (0.0)
c Fisher–Freeman–Halton test.
Table 3. Fibrosis scores. + = mild fibrosis, ++ = moderate fibrosis, +++ = severe fibrosis.
Table 3. Fibrosis scores. + = mild fibrosis, ++ = moderate fibrosis, +++ = severe fibrosis.
Fibrosis ScoreHigh Vit D (H)
(n = 12)
Normal Vit D (C)
(n = 12)
Low Vit D (L)
(n = 12)
Test Value
n (%)n (%)n (+)p
1 Empty Defect (ED)+9 (75.0)6 (50.0)10 (83.3)χ2: 3.157
++3 (25.0)6 (50.0)2 (16.7)c 0.290
+++0 (0.0)0 (0.0)0 (0.0)
2 Autogenous Graft (AuG)+5 (41.7)5 (41.7)8 (66.7)χ2: 2.000
++7 (58.3)7 (58.3)4 (33.3)d 0.368
+++0 (0.0)0 (0.0)0 (0.0)
3 Xenograft (XG)+6 (50.0)3 (25.0)9 (75.0)χ2:6.000
++6 (50.0)9 (75.0)3 (25.0)c 0.049 *
+++0 (0.0)0 (0.0)0 (0.0)
4 Allograft (AlG)+4 (33.3)4 (33.3)8 (66.7)χ2: 8.088
++8 (66.7)5 (41.7)2 (16.7)c 0.066
+++0 (0.0)3 (25.0)2 (16.7)
c Fisher–Freeman–Halton test; d Pearson’s chi-square test; * p < 0.05.
Table 4. Number of new bone formations in the groups.
Table 4. Number of new bone formations in the groups.
New Bone Formation (mm2)High Vit D (H)
(n = 12)
Normal Vit D (C) (n = 12)Low Vit D (L)
(n = 12)
p
1 Empty Defect (ED)Avg ± Sd0.96 ± 0.080.49 ± 0.070.33 ± 0.09a 0.001 **
Median (Q1–Q3)1 (0.9–1.0)0.5 (0.4–0.5)0.3 (0.3–0.3)H > C.L
2 Autegonous Graft (AuG)Avg ± Sd1.33 ± 0.080.53 ± 0.140.42 ± 0.09a 0.001 **
Median (Q1–Q3)1.3 (1.3–1.4)0.5 (0.5–0.5)0.4 (0.3–0.5)H > C.L
3 Xenogreft (XG)Avg ± Sd1.46 ± 0.080.61 ± 0.190.39 ± 0.08a 0.001 **
Median (Q1–Q3)1.5 (1.4–1.5)0.5 (0.5–0.6)0.4 (0.3–0.5)H > C.L
4 Allograft (AlG)Avg ± Sd1.48 ± 0.070.66 ± 0.190.40 ± 0.06a 0.001 **
Median (Q1–Q3)1.5 (1.4–1.5)0.6 (0.6–0.7)0.4 (0.4–0.4)H > C.L
C > L
b p0.001 **0.001 **0.022 *
bb Post Hoc Test
ED-AuG0.018 *0.4290.007 **
ED-XG0.002 **0.013 *0.268
ED-AlG0.001 **0.003 **0.027 *
AuG-XG0.0690.2680.114
AuG-AlG0.014 *0.009 **0.635
XG-AlG0.5270.040 *0.268
a Mann–Whitney U test; b Friedman test and bb post hoc comparison Dunn test; * p < 0.05, ** p < 0.01.
Table 5. Number of residual grafts in the groups.
Table 5. Number of residual grafts in the groups.
Residual Graft (mm2)High Vit D (H)
(n = 12)
Normal Vit D (C)
(n = 12)
Low Vit D (L) (n = 12)
2 Autogenous Graft (AuG)Avg ± Sd0.39 ± 0.040.50 ± 0.060.53 ± 0.06
Median (Q1–Q3)0.4 (0.4–0.4)0.5 (0.4–0.5)0.5 (0.5–0.6)
3 Xenograft (XG)Avg ± Sd0.42 ± 0.040.51 ± 0.060.54 ± 0.04
Median (Q1–Q3)0.4 (0.4–0.5)0.5 (0.5–0.6)0.5 (0.5–0.6)
4 Allograft (AlG)Avg ± Sd0.42 ± 0.030.50 ± 0.080.54 ± 0.04
Median (Q1–Q3)0.4 (0.4–0.5)0.5 (0.4–0.5)0.5 (0.5–0.6)
b p0.001 **0.001 **0.001 **
bb Post Hoc Test
AuG-XG0.044 *0.3850.527
AuG-AlG0.2680.7520.937
XG-AlG0.8740.5800.580
a Mann–Whitney U test; b Friedman test and bb post hoc comparison Dunn test; * p < 0.05; ** p < 0.01.
Table 6. Average defect distance in the groups.
Table 6. Average defect distance in the groups.
Defect Distance (µm)High Vit D (H) (n = 12)Normal Vit D (C) (n = 12)Low Vit D (L) (n = 12)
1 Empty Defect (ED)Avg ± Sd64.28 ± 1.2668.67 ± 1.2472.09 ± 3.16
Median (Q1–Q3)64.2 (63.4–65.2)68.6 (67.7–69.6)72.9 (69.8–74.4)
2 Autogenous Graft (AuG)Avg ± Sd61.44 ± 2.1065.52 ± 1.9271.38 ± 1.29
Median (Q1–Q3)61.3 (59.9–62.7)65.6 (64.4–66.9)71.1 (70.3–72.4)
3 Xenogreft (XG)Avg ± Sd54.07 ± 2.3865.91 ± 1.9370.60 ± 2.12
Median (Q1–Q3)54.7 (52.7–56.1)66.1 (65.0–67.4)70.9 (69.2–72.2)
4 Allograft (AlG)Avg ± Sd60.07 ± 5.0964.61 ± 1.7069.18 ± 1.54
Median (Q1–Q3)58.2 (56.6–63.5)64.6 (63.3–65.4)69.3 (68.1–70.1)
b p0.001 **0.001 **0.008 **
bb Post Hoc Test
ED-AuG0.3430.005 **0.343
ED-XG0.001 **0.001 **0.155
ED-AlG0.3430.001 **0.005 **
AuG-XG0.001 **0.6350.635
AuG-AlG0.2680.3430.018 *
XG-AlG0.004 **0.6350.058
a Mann–Whitney U test; b Friedman test and bb post hoc comparisons Dunn test; * p < 0.05; ** p < 0.01.
Disclaimer/Publisher’s Note: The statements, opinions and data contained in all publications are solely those of the individual author(s) and contributor(s) and not of MDPI and/or the editor(s). MDPI and/or the editor(s) disclaim responsibility for any injury to people or property resulting from any ideas, methods, instructions or products referred to in the content.

Share and Cite

MDPI and ACS Style

Hacibektasoglu, M.S.; Balcioglu, H.A.; Uyanikgil, Y.; Balcioglu, N.B. The Effects of Systemic Vitamin D Level on the Healing of Different Graft Materials: An Experimental Histological Study. Appl. Sci. 2024, 14, 939. https://doi.org/10.3390/app14020939

AMA Style

Hacibektasoglu MS, Balcioglu HA, Uyanikgil Y, Balcioglu NB. The Effects of Systemic Vitamin D Level on the Healing of Different Graft Materials: An Experimental Histological Study. Applied Sciences. 2024; 14(2):939. https://doi.org/10.3390/app14020939

Chicago/Turabian Style

Hacibektasoglu, Mehmet Sefa, Huseyin Avni Balcioglu, Yigit Uyanikgil, and Nilufer Bolukbasi Balcioglu. 2024. "The Effects of Systemic Vitamin D Level on the Healing of Different Graft Materials: An Experimental Histological Study" Applied Sciences 14, no. 2: 939. https://doi.org/10.3390/app14020939

APA Style

Hacibektasoglu, M. S., Balcioglu, H. A., Uyanikgil, Y., & Balcioglu, N. B. (2024). The Effects of Systemic Vitamin D Level on the Healing of Different Graft Materials: An Experimental Histological Study. Applied Sciences, 14(2), 939. https://doi.org/10.3390/app14020939

Note that from the first issue of 2016, this journal uses article numbers instead of page numbers. See further details here.

Article Metrics

Back to TopTop