Abstract
Background: Alveolar bone augmentation is a complex process influenced by a multitude of factors. The materials applied in augmentation procedures must be confirmed as non-toxic, and their physicochemical properties should allow proper bone reconstruction. The specifics of oral surgical procedures require the use of regenerative biomaterials with antimicrobial properties. This study focuses on the physicochemical characteristics of chosen nanosized biomaterials, as well as their cytotoxicity and antimicrobial properties. Methods: nanosized hydroxyapatite and fluorapatite (abbreviated as nHAp and nFAp) pellets were manufactured using a microwave hydrothermal synthesis method. The impact on Candida albicans, Streptococcus mutans, and Lactobacillus rhamnosus strains activity and adherence to apatites was tested. Cytotoxic evaluation was performed based on the differentiation process of MC3T3 cells. The effectiveness of MC3T3 differentiation was confirmed by Alizarin Red staining. Results: Contact with both biomaterials caused a reduction in the mean microbial count of S. mutans and C. albicans strains, as observed. Studied biomaterials demonstrated enhanced proliferation of MC3T3 cells, with the exception of the 1:1 nFAp concentration. Conclusions: Both biomaterials enhance the proliferation of fibroblasts and limit the activity of specific oral pathogens in vitro. The research clearly demonstrates the advantage of nFAp over nHAp, with a notable reduction in microbial count of Candida albicans and Streptococcus mutans over time. The lowest microbial count reduction was observed in the case of L. rhamnosus. Further research is required in order to fully understand the specifics of nHAp and nFAp antimicrobial action. However, the results were found to be more favourable for nFAp biomaterial.
1. Introduction
The field of biomaterials and nanotechnology has experienced a notable expansion in recent years, with notable advances in the efficacy and possibilities of dental procedures [1,2,3]. The nanoscale of materials allows them to exhibit properties not present in their larger counterparts [4,5,6,7]. The term “nanotechnology” is defined as the utilisation of a multitude of natural or synthetic materials that has at least one dimension (height, width, or length) that is smaller than 100 nanometres [8,9]. The practical application of nanomaterials is evident in numerous scientific and clinical disciplines and is highly demanded in medicine [10,11,12]. Moraes et al. [13] and Tanaka et al. [14] studies confirm the increasing role of nanoparticles in medicine, mainly due to their, e.g., unique size, solubility, chemical reactivity increasing role of nanoparticles in medicine, mainly due to their unique size, solubility, chemical reactivity, and high surface area. One of the many principal challenges currently facing researchers in modern dental treatment is the development of materials that are able to withstand the harsh conditions of the oral cavity environment while being able to sustain their function and remain biocompatible [15,16]. The capacity to effectively replace, repair, and enhance bone tissue with a synthetic form of nanosized hydroxyapatite or fluorapatite is currently under intense investigation in the context of tissue engineering due to their high biocompatibility [17,18,19].
The introduction of a nanoparticle-based biomaterial for clinical use in the augmentation of defects in the alveolar bone necessitates comprehensive research and interdisciplinary scientific work [13,20]. Several scientific works confirm the numerous benefits of the clinical deployment of nanomaterials when their dimensions are aligned with the precise range of 10 to 100 nm. Materials with diameters exceeding 100 nm have been observed to induce embolism and undergo phagocytosis when introduced within the body [21]. Conversely, materials with diameters below 10 nm have been shown to elicit lethal reactions in the body due to their elevated surface reactivity and enhanced surface density beyond the limits of the human body’s capacity to withstand [22]. Furthermore, materials of a size below 10 nm can be more readily excreted by the kidneys [23]. Features like high surface-to-volume ratio [24], the similarity of nanobiomaterials to body ligands and proteins [25] or enhanced osteoblast adhesion [26] should allow nanosized apatites to be effective materials for enhancing bone regeneration. Bone regeneration is a complex process, comprising a specific and orchestrated sequence of biological events [22]. At the particle level, nHAp exerts a significant influence on bioactivity, thereby increasing the surface area of the material through enhanced ion exchange [27,28]. nFAp, on the other hand, has better crystalline properties and is less acid-soluble [29]. In nFAp, the F− ion replaces the OH− ion, thus forming a solid bond with the NH group [30,31,32]. In enamel, the presence of nFAp inhibits demineralisation by lowering the critical pH for enamel solubility [33,34]. The particle size of nHAp and the presence of fluorine affect their ability to bond with the cell membrane and penetrate into the cell [35].
The objective of this research is to conduct a series of in vitro studies to evaluate the microbiological properties of the nanosized version of apatite materials, including hydroxyapatite (HAp) consisting of the chemical formula Ca10(PO4)6(OH)2 and fluorapatite (FAp) with the chemical formula Ca10(PO4)6F2. Common oral microorganisms were selected, including Candida albicans, Lactobacillus rhamnosus, and Streptococcus mutans. The antimicrobial influence of nanosized biomaterials, including nHAp and nFAp, has been corroborated in previous studies [36,37,38,39]. However, the present study also sought to compare the antimicrobial effect of both materials when in contact with different common oral pathogens. One of the many molecular mechanisms that prevent microbial expansion when in contact with nanosized biomaterials is microbial cell membrane disruption [40], metal ion release [41] that binds to microbial proteins and nucleic acids, interfering with their function, or the production of reactive oxygen species that can affect microbial cellular components [42]. This scientific work investigated the differences resulting from the structural variety of the materials. The research investigated the level of adherence of microorganisms’ strains to selected apatite materials and determined the potential clinical effect of the aforementioned studies. Tests were conducted to ascertain the impact of the materials under investigation on fibroblast cell lines, which play a role in the reconstruction of bone material [43]. It is also noteworthy that recent studies have confirmed the antagonistic effect of L. rhamnosus and C. albicans [44], or S. mutans and C. albicans species [45] at molecular level, even in the absence of any biomaterial addition.
The objective of the studies presented in this scientific work is to confirm the utility of selected nano-sized apatite materials for future in vivo alveolar ridge surgical augmentation and its structure regeneration. Given their structural similarity to natural bone minerals [46], nHAp and nFAp biomaterials exhibit promising characteristics as candidates for effective bone regeneration. While nHAp has a history of extensive use in the treatment of bone defects, its fluoridated counterpart has been rarely tested in the in vivo application [47]. Both of these apatites can promote cell proliferation and provide support for newly structured bone tissue [48]. Their nanosized structure allows for enhanced interaction and support for bone stem cells due to an increased surface area [49]. Furthermore, the enhanced chemical stability and augmented resistance to acidic degradation of nFAp [50] may confer additional benefits for its prospective in vivo utilisation in surgical augmentation procedures.
Finally, the objective of this thesis is to provide a comprehensive overview of the effects of selected apatites on microbial strains, a summary of their physico-chemical properties and cytotoxicity evaluation. The intention is to provide a holistic summary of nHAp and nFAp materials for their use in future in vivo surgical augmentation procedures.
2. Materials and Methods
2.1. Chemicals
Ca(NO3)2·4H2O (99+%, Acros Organics, Geel, Belgium), (NH4)2HPO4 (99+%, Acros Organics, Geel, Belgium), NH4F (98%, Alfa Aesar, Haverhill, MA, USA), and NH3·H2O (99% Avantor, Gliwice, Poland) were used as starting substrates for the preparation of nHAp and nFAp.
2.2. Synthesis of Ca10(PO4)6(OH)2 and Ca10(PO4)6F2 Nanopowders
The Ca10(PO4)6(OH)2 and Ca10(PO4)6F2 crystalline nanopowders were obtained using a microwave hydrothermal synthesis method. To prepare the hydroxyapatite nanopowders, calcium nitrate and diammonium hydrogen phosphate were dissolved separately in water and then mixed together. The pH of the mixture was subsequently adjusted to 10 using ammonia. For the fluorapatite nanosized powders, diammonium hydrogen phosphate and ammonium fluoride were dissolved together in water. This mixture was then added to the dissolved calcium nitrate, and the pH of the solution was adjusted to 9 with ammonia. The resulting suspension was transferred to a Teflon vessel and placed in a microwave reactor (ERTEC MV 02-02, Wrocław, Poland). The reaction system was heat-treated at 250 °C for 90 min under an autogenous pressure of 50 bar. The obtained products were centrifuged, rinsed several times with deionised water, and dried at 70 °C.
2.3. Synthesis of Ca10(PO4)6(OH)2 and Ca10(PO4)6F2 Nanopellets
Synthesised nanosized powders of nHAp and nFAp were directly used for the preparation of pellets without any additional treatment. Pellets were formed from the nHAp and nFAp powders without the addition of surfactants. Each pellet weighed 0.1 g and had a diameter of 6 mm and a height of 2 mm. They were produced using a Trystom H-62 hand press (Olomouc, Czech Republic) with a pressing force of 5 kN. No additional sintering was performed during pellet fabrication. The nHAp and nFAp pellets are shown in Figure 1.
Figure 1.
Photographic images of the tested biomaterials in the form of pellets obtained prior to the sterilisation process. The synthesis of the materials did not include any surfactants. The weight of each was 0.1 g, with 6 mm in diameter and 2 mm in height. The Trystom H-62 hand press (Olomouc, Czech Republic) was used to prepare the materials in the form of pellets. (A)—nHAp; (B)—nFAp.
Before microbiological examination, the samples were sterilised by autoclaving according to the following procedure: the temperature was maintained at 134 °C with a gauge pressure of 2.25 bar for at least three minutes.
2.4. Structural and Morphology Characterization
The X-ray powder diffraction (XRPD) patterns were measured by a PANalytical X’Pert Pro X-ray diffractometer (Ni-filtered Cu Kα1 = 1.54060 Å, V = 40 kV, I = 30 mA). The recorded XRPD patterns were compared with the reference standard from the Inorganic Crystal Structure Database (ICSD—26204 and ICSD—9444, respectively) to check if the pure hexagonal nHAp and nFAp were formed.
The morphology and chemical composition of obtained materials were measured using a field emission scanning electron microscope (FE-SEM, FEI Nova NanoSEM 230) equipped with an energy-dispersive X-ray spectrometer (EDX, EDAX Apollo X Silicon Drift Detector) compatible with Genesis EDAX Microanalysis Software v. 6.41. The specimen preparation technique recommended for nanomaterials was used. Each sample was dispersed in alcohol, and then a droplet of the suspension was placed on the carbon stub. This stub was then heated in a vacuum oven for 30 min at 100 °C and subsequently cooled to room temperature. The SEM images were recorded at 5.0 kV in a beam deceleration mode, improving imaging parameters such as resolution and contrast. The samples for EDS measurement were prepared by embedding them in carbon resin (PolyFast Struers) and pressing them with an automatic mounting press (CitoPress-1 Struers) to obtain a large and flat area. The EDS analyses were performed at 30.0 kV over a large area (250 × 200 μm) of the measured materials. Signals from three randomly selected areas were collected to ensure satisfactory statistical averaging. The IR spectra were performed using a Nicolet iS50 FT-IR (Thermo Scientific, Waltham, MA, USA) spectrometer supplied with an Automated Beamsplitter exchange system (iS50 ABX containing DLaTGS KBr detector), a built-in all-reflective diamond ATR module (iS50 ATR, Thermo Scientific Polaris™) and a HeNe laser as an IR radiation source. Polycrystalline mid-IR spectra were collected in the 4000–400 cm−1 range with spectral resolution of 0.5 cm−1.
2.5. Antimicrobial Studies
2.5.1. Microbial Strains
Tests were conducted on reference strains Candida albicans (ATCC 90031), Streptococcus mutans (ATCC 25175) and Lactobacillus rhamnosus (ATCC 9595).
2.5.2. Nanopowder Antimicrobial Properties
A suspension of microorganisms was prepared from fresh cultures of the investigated strains, corresponding to a density of 0.5 on the McFarland scale (1.5 × 108 CFU/mL) and (1.5 × 106 CFU/mL) in the case of bacteria and fungi, respectively. The strains were suspended in Brain Heart Infusion Broth (BHI) (Biomaxima, Lublin, Poland) broth with 5% sucrose (Biomaxima, Poland). Subsequently, 100 µL of C. albicans, 100 µL of S. mutans and 50 µL of L. rhamnosus were collected and transferred to 750 µL of liquid BHI (Biomaxima, Poland) medium with 5% sucrose. The material was then introduced into 1 mL of microbial suspension, which was subsequently incubated at 37 °C with elevated CO2 for 2, 4, 8, and 24 h. Following the specified incubation period, 100 µL of the suspension was taken to 900 µL NaCl, diluted in a geometric progression, and inoculated 50 µL onto BHI agar (Biomaxima, Lublin, Poland). Following a further incubation period of 24 h, the number of colonies that had grown was counted. The colony-forming unit per millilitre (CFU/mL) value was calculated according to the formula: CFU/mL = average colony count × reciprocal of dilution × 10. The control was a suspension/culture of microorganisms devoid of the test material. The tests were performed three times.
2.5.3. Microbial Adhesion and Mixed Biofilm Formation on Nanopowder
The tooth surface is susceptible to bacterial adhesion, colonisation, and biofilm maturation. A biofilm is defined as an organised cluster of bacteria and fungi. It is a system of numerous synergistic and antagonistic interactions that generate microbial interdependencies and provide it with resistance to external agents. The objective of this study was to investigate the in vitro adhesion capacities of S. mutans, C. albicans and L. rhamnosus. S. mutans was selected for investigation in this study due to its well-established association with dental caries and periodontitis [51]. C. albicans is frequently isolated alongside S. mutans from carious lesions in children with severe ECC (early childhood caries) infections. L. rhamnosus plays a role in the formation of deep enamel caries and in the development of dental materials. In the present study, a three-species Streptococcus-Candida-Lactobacillus biofilm was created on HAp and FAp discs in order to reproduce conditions more similar to those found in the oral cavity. The susceptibility of biomaterial surfaces to adhesion in a multispecies environment differs significantly from that observed in a single-species setting [52]. The combination of S. oralis and C. albicans results in the formation of more robust biofilms than would be observed with either microorganism alone. An increase in the invasiveness of C. albicans and the promotion of bacterial biomass proliferation in the presence of S. mutans were observed [53,54].
In this scientific work, a suspension of 0.5 McFarland (1.5 × 108 CFU/mL for bacteria) and (1.5 × 106 CFU/mL for fungi) density was prepared from fresh cultures of the analysed strains in BHI Broth liquid medium with 5% sucrose (Biomaxima, Lublin, Poland). Subsequently, 100 µL of C. albicans, 100 µL of S. mutans and 50 µL of S. mutans were transferred to 750 µL of liquid BHI medium (Biomaxima, Lublin, Poland) with 5% sucrose. A 1-mL aliquot of the microbial suspension was introduced into the biomaterial, which was then incubated at 37 °C with elevated CO2 for 2, 4, 8, and 24 h. Subsequently, the biomaterial was washed three times in NaCl and shaken for one minute in 1 mL of 0.5% saponin solution (Sigma-Aldrich, Saint Louis, MI, USA). A 100 µL aliquot of the suspension was diluted to 900 µL NaCl in geometric progression and seeded 50 µL onto BHI agar (Biomaxima, Lublin, Poland). The incubation was performed at 37 °C for 24 h under elevated CO2. The colony-forming units per millilitre (CFU/mL) value was calculated according to the formula: CFU/mL = average colony count × reciprocal of dilution × 10. The study was performed in triplicate.
The effect of time and material on strain abundance and susceptibility of biomaterials to bacterial adhesion was assessed using the Relative Treatment Effect (RTE) with the aid of the R-package “nparLD.” RTE is a measure of effect size based on the probability of the observation from a given subgroup to be larger than a random observation from other subgroups [55]. This method was chosen due to the very small sample size and, therefore, the inability to reliably check the normality of the distribution of variables, sphericity, and homogeneity of variance, necessary in the analysis of variance for repeated measurements.
2.6. Confocal Microscopy Evaluation
For microscopic analysis, biofilms were stained with fluorescent dyes: SYTO 9 and propidium iodide (PI). SYTO 9 labels DNA in the bacteria and eukaryotic cells, both with intact and damaged membranes. PI only penetrates the cells with damaged membranes, resulting in a reduction in the fluorescence of SYTO 9 when both dyes are present. After the staining procedure, the slides were fixed in 4% formaldehyde for 15 min, after which the formaldehyde was replaced with buffered saline.
For imaging, the biofilm material was removed from the saline, transferred onto a microscope slide and covered on the biofilm side with a #1.5 coverslip. Imaging was performed using a Leica TCS SP8 confocal microscope (Leica Microsystems, Wetzlar, Germany) with a 20×/0.75NA dry objective and three lasers: 488 nm (SYTO 9 excitation), 552 nm (PI excitation) and 638 nm (reflected light recording to visualise the material surface). Fluorescence emission and reflected light from the 638 nm laser were recorded sequentially on three spectral detectors with set ranges: 498–536 nm (SYTO 9), 557–611 nm (PI) and 626–650 nm (reflected light). Individual optical planes were collected at 3 µm intervals and the imaging volume was 50–160 µm, depending on the curvature of the material. There were at least 3 representative fields of view for the experimental condition.
The microscope images were processed using ImageJ software (National Institutes of Health, Bethesda, MD, USA; version 1.54f). The three-dimensional volume was initially filtered with a median filter (radius r = 2) to reduce background noise. A two-dimensional image was then created for a given field of view in Imaris 9.5.1 (Oxford Instruments, Abingdon, Great Britain) using a maximum intensity projection (MIP) algorithm. The pixel in the final MIP image is assigned the highest intensity value found along the corresponding projection path. This process is repeated for all pixels, resulting in a two-dimensional image that emphasises the brightest structures within the volume.
2.7. Cell Studies
2.7.1. Cell Line and Maintenance
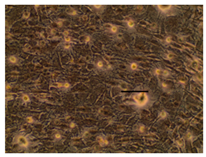
The MC3T3 line [56], consisting of fibroblasts able to differentiate into osteoblasts, was employed in this manuscript in order to investigate the adhesion, proliferation, and differentiation processes of MC3T3 cells on the material surface. This entails the use of resazurin, live/dead, haematoxylin, and eosin (H/E) staining, as well as Alizarin Red. An evaluation of the MC3T3 cell behaviour on the surface of materials facilitates the prediction of the bone formation process in vivo. The results were summarised and interpreted using a statistical analysis. The preparation of extracts of materials was carried out in accordance with the ISO-10993 standard [57], with 1 g of sample being combined with 8.9 mL of medium MEM (Gibco, Hampton, NY, USA) and incubated for 24 h at 37 °C. Subsequently, the medium was sterilised with a syringe filter and supplements were added. This comprised 1 mL of FBS and 0.1 mL of P/S (Sigma Aldrich, Burlington, MA, USA) for every 8.9 mL of medium. The final ratio of material to medium with supplements was thus equal to 1 g/10 mL. Thereafter, extracts from both HAp and FAp were divided into two falcons. One sample was maintained in its original state (N) and the second (D) was supplemented with 50 μM of ascorbic acid (Sigma Aldrich, Burlington, MA, USA) and 10 μM of β-glycerophosphate (Sigma Aldrich). Additionally, two falcons of MEM with no contact with the material were prepared (N and D).
MC3T3 cells were seeded in a 96-well Tissue Culture Polystyrene (TCPS) plate at a density of 3000 cells per well and incubated for 24 h at 37 °C in 200 μL of basic medium. Subsequently, on day 0, the MEM medium was replaced with the appropriate medium (HAp + N, HAp + D, FAp + N, and FAp + D) in five different concentrations (1:1, 1:8 and 1:32), along with TCPS as a reference (TCPS + N and TCPS + D). The medium was exchanged on experimental days 3, 7, and 10.
2.7.2. Cell Viability (MTT)
To assess cell viability, an MTT test was performed. The solution was prepared according to the ISO-10993 standard, and 100 μL were added to each well, which was then incubated for 2 h. After this, the MTT solution was removed, and 100 μL of isopropyl alcohol was added. The wells were shaken at 200 rpm for 30 min. Subsequently, the solution was transferred to a new plate and analysed with spectrophotometer.
2.7.3. Morphological Inevestigations (Confocal and Haematoxylin/Eosin Staining)
To analyse the morphology of the cells, haematoxylin and eosin staining were performed. The medium was removed from the wells and the wells were gently washed multiple times. The solution was then removed and the wells were gently washed twice. The eosin solution was added for the time of two minutes, after which the solution was removed and the wells were washed again. Finally, the samples were observed under a microscope for analysis.
2.7.4. Cell Differentiation Study (Alizarin Red)
For Alizarin Red staining, the medium was removed, and wells were washed with PBS. Ice-cold 70% ethanol was added, and plates with cells were kept for 1 h at −20 °C. After that, alcohol was removed, samples were dried, and 100 μL of Alizarin Red solution (Sigma Aldrich, Burlington, MA, USA) was added and kept for 15 min. Subsequently, it was removed, wells were washed multiple times with deionised water, and the results were observed under the microscope.
3. Results
3.1. Structural and Morphological Analysis
The nHAp and nFAp crystalize in the hexagonal crystal lattice in the space group P63/m. The existence of two types of tunnels in an apatite-type structure enables the presence of two non-equivalent cationic sites labelled Ca(1) and Ca(2). The crystallographic site Ca(1) with C3 symmetry is coordinated by nine oxygen atoms that come from the PO43− groups. The second Ca(2) site with Cs symmetry is seven coordinated by six oxygen atoms from the PO43− groups and one hydroxide ion in the case of nHAp or one fluoride ion in the case of nFAp.
The X-ray diffraction measurements were performed to check the phase purity of the obtained materials (see Figure 2). The XRD patterns of nHAp and nFAp nanosized materials exhibit characteristic patterns of hexagonal structure (P63/m space group) that are compatible with the apatites (ICSD—26204 and ICSD—9444, respectively). The obtained materials are characterised by crystal phase purity. The main diffraction peaks are located at 31.9 of 2θ values corresponding to the (211) and 33.1 and corresponding to the (300) Miller indexes.
Figure 2.
The XPRD patterns of the Ca10(PO4)6(OH)2 and Ca10(PO4)6F2 nanopowders compared to the theoretical patterns of HAp and FAp.
The morphology of the apatites, determined by the SEM technique, is shown in Figure 3. The grains possess an elongated shape with well-defined edges and grain boundaries. The morphology of the materials obtained by the hydrothermal method is rod-like, and the size is in the nanoscale range. The particle size distributions of the studied systems were measured based on SEM images and are presented as histograms (Figure 3e,f). The average grain size of the Ca10(PO4)6(OH)2 powder is 56 nm in width and 107 nm in length, while the Ca10(PO4)6F2 powder is 37 nm in width and 92 nm in length.
Figure 3.
SEM images of the Ca10(PO4)6(OH)2 (a,c) and Ca10(PO4)6F2 (bottom, (b,d) nanopowders as well as the particle size distribution ((e)—HAp, (f)—FAp) based on SEM images.
The appropriate content of elements in the obtained nHAp and nFAp nanosized powders was checked by using the EDS method. The ratio of nCa to nP and the molar content of fluorine were calculated. The results are shown in Table 1. The amount of fluorine ions built into apatite is dependent on the pH value [58]. Therefore, the authors concluded that if the pH value is lower than this used for us (pH = 9), a higher amount of fluorine ions will be built up into the nFAp structure. This is connected with competition between F− and OH− ions. The higher the OH ion concentration (higher pH value) and the lower the F ion concentration, the higher the probability of HAp creation.
Table 1.
The element content in the Ca10(PO4)6(OH)2 and Ca10(PO4)6F2 nanosized powders was calculated using the EDS technique.
The FT-IR spectroscopy was employed to identify the existence of functional groups in the obtained materials (see Figure 4). We identify typical vibrational bands of the phosphate groups in FT-IR spectra of the nHAp nanosized powder: the doubly degenerated v2 bending at 472 cm−1, the triply degenerated ν4 vibration at 564 cm−1 and 600 cm−1; the non-degenerate ν1 symmetric stretching at 962 cm−1; and the triply degenerate ν3 antisymmetric stretching at 1025 cm−1 and 1088 cm−1. Moreover, the stretching and librating modes of hydroxyl groups at 630 cm−1 and 3572 cm−1 are present in the IR spectra, indicating that HAp was formed. In the case of FAp, typical vibrational bands of phosphate groups were also identified: the doubly degenerated v2 bending at 472 cm−1, the triply degenerated ν4 vibration at 564 cm−1 and 598 cm−1; the non-degenerate ν1 symmetric stretching at 963 cm−1; and the triply degenerate ν3 antisymmetric stretching at 1017 cm−1, 1046 cm−1 and 1092 cm−1. No vibrations were found at about 3560 and 630 cm−1 (see arrows in Figure 4), characteristic of the hydroxyl groups, confirming the formation of a pure nFAp structure.
Figure 4.
IR spectra of the Ca10(PO4)6(OH)2 and Ca10(PO4)6F2 nanosized powders.
3.2. Microbiological Evaluation
3.2.1. Antimicrobial Properties of the Biomaterial
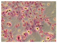
As seen in Table 2, in the control group, CFU/mL values of microbial strains visible in Figure 5 were counted. The lowest CFU/mL value was shown for the C. albicans (2.44 × 106) in the 2 h of cultivation, while the highest count was CFU/mL value was shown for the S. mutans (1.93 × 1010) in 8 h of cultivation.
Table 2.
Effects of nHAp and nFAp on C. albicans, S. mutans and L. rhamnosus strains.
Figure 5.
Culture of microbial colonies.
The results regarding the nHAp specimen showed similar values when compared to the control group. The lowest CFU/mL value was shown for the C. albicans (3.683 × 106) in 2 h of cultivation, while the highest count was CFU/mL value was shown for the S. mutans (3.77 × 1010) in 8 h of cultivation.
When concerning the nFAp samples, the lowest CFU/mL value was shown for the C. albicans (2.31 × 106) in 2 h of cultivation, while the highest count was CFU/mL value was shown for the S. mutans (1.32 × 1010) in the 8th hour of cultivation.
The study confirmed that the highest CFU/mL value when examining the aforementioned microorganisms in a neutral environment during their first 2 h of culture belongs to S. mutans, with its mean value reaching 5.4 × 107 after 2 h of culture. Further study confirmed that the highest CFU/mL values of S. mutans in the control group are also the highest at the same time of cultivation (8 h) even in the presence of nHAp (3.77 × 1010) or nFAp (1.32 × 1010). The lowest CFU/mL values, on the other hand, belonged to C. albicans both in nHAp (3.683 × 106) and nFAp (2.31 × 106) presence or control group (2.44 × 106) in the first 2 h of cultivation.
Table 1 and the mean values of microbial strains show that the nHAp material’s influence on C. albicans is varied, yet at the end of the examination, after 24 h of contact, both nHAp and nFAp clearly reduced the expansion rate of C. albicans, while the nFAp achieved a lower microbial count when compared to nHAp after 2, 8, and 24 h of cultivation.
Results concerning S. mutans show a different outcome than C. albicans. Mean values compared at 2, 4, 8, and 24 h after contact show a steady increase in the amount of S. mutans in samples containing nHAp and reaching a higher microbial count than the control group at every hour of cultivation, while the nFAp samples clearly show a decline of S. mutans mean numbers with time, starting from 8 h after contact with the biomaterial. Overall microbial count is also lower in nFAp samples when compared to nHAp material after 4, 8, and 24 h of cultivation.
The L. rhamnosus samples present in both nHAp and nFAp samples generally slightly increased numbers when it comes to mean values. Only after 4 h of cultivation on nFAp material resulted in a lowered count of L. rhamnosus strain. Additionally, nFAp material eventually after 24 h of cultivation presents a lower microbial count when compared to nHAp.
3.2.2. Susceptibility of Biomaterials to Microbial Adhesion and Mixed Biofilm Formation
Table 3 shows differences between examined microbial strains and their ability to adhere to surfaces of nanosized apatite materials. The three strains of microorganisms exhibited comparable, increasing mean levels of the attached apatite cell material, with minimal distinction between nHAp and nFAp material. In the case of C. albicans, over the course of 24 h, adherence eventually reaches lower levels of CFU/mL in the presence of nFAp (3.4 × 106) than in the presence of nHAp (1.62 × 107). In contrast, the L. rhamnosus demonstrates slightly elevated values of CFU/mL over the course of 24 h when exposed to nFAp (5.61 × 108) in comparison to nHAp material (4.28 × 108). The most significant noticeable difference in the number of attached cells is S. mutans at 24 h after contact with the biomaterials, where it is exceedingly higher in the case of contact with nHAp (1.31 × 1010) than in contact with nFAp (4.19 × 107).
Table 3.
Susceptibility of the biomaterial to microbial adhesion.
3.2.3. Statistical Analysis of Susceptibility of Biomaterials to Bacterial Adhesion and Effect of nHAp and nFAp on Selected Microbial Strains
In this scientific work’s statistical analysis, the pivotal element of the script executing the specified test is as follows:
nparLD(Abundance~Time*Material, data = data, subject = “Sample”, time1.order = c(2, 4, 8, 24), group1.order = c(“K”, “nHAp”, “nFAp”)). The analysis can be found in Table 4 and Table 5. Additional information regarding statistical analysis of the effect of the materials and time on selected microorganisms can be seen in Figure S1 and S2 in the Supplementary.
Table 4.
Statistical analysis of the effect of nHAp and nFAp on S. mutans, L. rhamnosus, and C. albicans strains during the first 24 h presented in the table form. Statistics performed using the Relative Treatment Effect with the aid of the R-package “nparLD”.
Table 5.
Statistical analysis of the effect of the material (nHAp and nFAp) and time on S. mutans, L. rhamnosus, and C. albicans adhesion during the first 24 h. “Time × material” means an interaction between these variables, which shows whether the pattern of differences between the materials is consistent in time or not (then p < 0.05).
3.3. Confocal Microscopy Evaluation Results
Fluorescence evaluation was performed two times, separately for nHAp and nFAp materials, in order to visualise live and dead microorganisms, which can be seen in Figure 6 and Figure 7.
Figure 6.
Fluorescence evaluation of nHAp materials with biofilms using confocal microscopy. The biofilm was a mixture of C. albicans, S. mutants, and L. rhamnosus strains cultured together on the material. The green colour indicates a live mixture of microorganisms. The blue colour represents the material surface. The top panel (A–C) is ethanol-treated mixed biofilm (control, mixture of live and dead microorganisms, visualized in yellow), and the bottom panel (D–F) is untreated mixed biofilm on the nHAp material. Three representative fields of view per condition are shown. Scale bar = 50 µm.
Figure 7.
Fluorescence evaluation of nFAp materials with biofilms using confocal microscopy. The biofilm was a mixture of C. albicans, S. mutants, and L. rhamnosus strains cultured together on the material. The green colour indicates a live mixture of microorganisms, while red shows dead microorganisms. The blue colour represents the material surface. The top panel (A–C) is ethanol-treated mixed biofilm (control, mixture of live and dead microorganisms, visualized in yellow), and the bottom panel (D–F) is untreated mixed biofilm on the nFAp material. Three representative fields of view per condition are shown. Scale bar = 50 µm.
3.4. Cells Differentiation Results
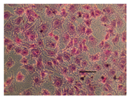
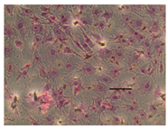
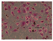
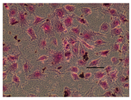
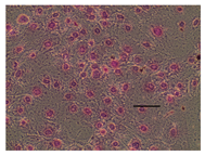
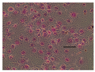
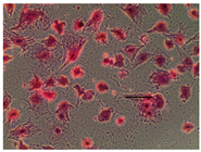
The impact of nHAp and nFAp materials on MC3T3 cells is evident in Figure 8, which presents a graph, and in Table 6, Table 7, Table 8, Table 9, Table 10, Table 11, Table 12 and Table 13, which display microscopic images of the cells under examination at various concentrations of the biomaterial samples. Assessment was performed using an MTT essay. According to the acquired results, MC3T3 cells grow in the samples containing all concentrations of nHAp and nFAp biomaterial, except for 1:1 nFAp, where the level of fluoride is too high for the tested cells to grow, as evidenced by the tables in Figure 8 and the microscopic images in Table 6, Table 7, Table 8, Table 9, Table 10, Table 11, Table 12 and Table 13. To facilitate the visualisation of differences between samples, a range of colours was selected for specific biomaterial types, with or without the use of a differentiation medium. Additionally, the use of different hues within the same group of tests allowed for more effective visualization of the varying results observed depending on the concentration of biomaterial used.
Figure 8.
Proliferation of fibroblast cells in different dilutions of HAp, Fap, and TCPS on the 1st (A), 7th (B), and 14th (C) days of the measurement. Cells’ viability was examined with an MTT assay. A reference for nHAp N and nFAp N TCPS with basal (TCPS N) was used. Similarly, for nHAp D and nFAp D, differentiating medium without extracts (TCPS D) was used. The vertical axis represents the absorbance units, whereas the horizontal axis is intended for the comparison of different concentrations of the tested materials’ samples.
Table 6.
Explanatory table for the determination of the test samples collected in Figure 8.
Table 7.
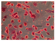
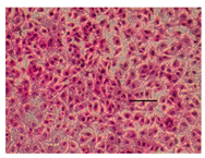
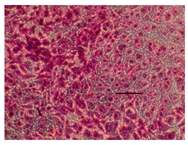
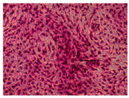
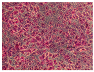
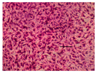
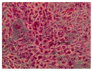
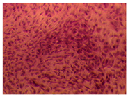
First day (D1) nHAp N (without differentiation medium), nHAp R (with differentiation medium), nFAp N (without differentiation medium), and nFAp R (with differentiation medium) samples compared in different dilutions (1:1, 1:8 and 1:32) after contact with MC3T3 preosteoblastic cells, scale representing 50 μm.
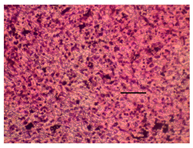
Table 8.
Seventh day (D7) nHAp N (without differentiation medium), nHAp R (with differentiation medium), nFAp N (without differentiation medium) and nFAp R (with differentiation medium) samples compared in different dilutions (1:1, 1:8 and 1:32) after contact with MC3T3 preosteoblastic cells, scale representing 50 μm.
Table 9.
Fourteenth day (D14) nHAp N (without differentiation medium), nHAp R (with differentiation medium), nFAp N (without differentiation medium) and nFAp R (with differentiation medium) samples compared in different dilutions (1–32) after contact with MC3T3 preosteoblastic cell, scale representing 50 μm.
Table 10.
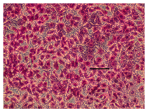
Microscopic pictures of the TCPS control group without (N) and with (R) the differentiation medium after contact with MC3T3 preosteoblastic cells on the first (D1), 7th (D7), and 14th (D14) days of the experiment, scale representing 50 μm.
Table 11.
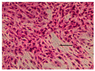
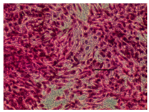
Alizarin Red staining together with nHAp and nFAp materials without the differentiating factor (N), 14 days of cultivation.
Table 12.
Alizarin Red staining together with nHAp and nFAp materials with the differentiating factor (R). 14 days of cultivation.
Table 13.
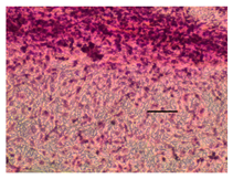
Microscopic pictures of the TCPS control group on the Alizarin Red staining group without (N) and with (R) the differentiation medium after contact with M3T3 preosteoblastic cells after 14 days of cultivation, scale representing 50 μm.
The efficacy of Alizarin Red staining was evaluated to facilitate the detection and identification of calcium [59] present in cultured in vitro cells. This approach enabled the successful detection of the differentiation of fibroblast MC3T3 cells into their successors, namely osteoblast cells. The Alizarin Red staining method represents a significant study that enables the differentiation process to be revealed. The reaction is not exclusively specific to calcium, as other elements, such as manganese, magnesium, barium, strontium, and iron, may also interfere. However, these elements are typically present in insufficient concentrations to affect the staining process.
4. Discussion
The aim of this study was to elucidate the distinctions in interactions between strains of microorganisms that are prevalent in the oral cavity and materials that are intended for utilisation in in vivo dental surgical augmentation procedures [52,60]. Moreover, the authors have investigated the influence of nHAp and nFAp materials on fibroblast cell activity. In order to assess the utility of such biomaterials, it is essential to conduct research on the potential outcomes of bacterial reactions to the biomaterial in question [61,62]. The research demonstrated that the three commonly occurring strains of microorganisms in the oral cavity, namely S. mutans, L. rhamnosus and C. albicans, exhibited distinct responses to the nHAp and nFAp materials during the course of the investigation.
As seen in Table 2, during the initial 24-h period, the only microbial strains that exhibited the lowest CFU/mL values in the samples containing apatite materials were S. mutans and C. albicans. In the case of C. albicans and S. mutans strains, the presence of nFAp samples over time generally acted as a more potent inhibitor than in the samples of nHAp, thus confirming the inhibitory function that F− ions have on specific strains of microorganisms [63,64]. Nevertheless, even in S. mutans strains, the initial four hours of contact with both apatite materials resulted in the increase in CFU aggregation when compared to the control group.
When assessing the mean value of CFU/mL of the strains within the first 24 h, significantly higher results were shown for L. rhamnosus interacting with nFAp than in samples containing nHAp. It is important to underline that both nFAp and nHAp samples showed greater activity of L. rhamnosus when compared to the control group. The difference in adherence of the bacterial cells to apatite materials is negligible apart from S. mutans strains, which accumulate on the surface of nHAp in more significant quantities than on nFAp material over time. A study of the CFU/mL values when compared between nHAp and nFAp materials and microbial strains revealed that the lowest values were observed in the case of the C. albicans strains in the first 2 h of cultivation.
The initial hours following the surgical procedure represent a critical period, as they are the most likely to result in the emergence of idiopathic complications. A surgical procedure is deemed a success if the initial hours following the procedure facilitate the proper healing of tissue [65], thereby preventing the occurrence of any complications, including a microbial infection.
The results of the study indicated that microbial adhesion to the materials differed depending on the microbial strain [35,66]. The adhesion was measured within the first 24 h of contact, and both nHAp and nFAp materials were tested accordingly and compared. When it comes to adhesion comparison between the assessed biomaterials, the biggest noticeable difference was observed in the S. mutans strains at 24 h after contact with the biomaterials, where it was higher in the case of contact with nHAp (1.31 × 1010) than in contact with nFAp (4.19 × 107).
Initially, as seen in Table 2, the nFAp material exhibited higher adhesion than the nHAp material, but after 24 h, the nHAp material demonstrated significantly lower adhesion. The assessment of C. albicans and L. rhamnosus adhesion to the tested materials yielded comparable results, with C. albicans initially exhibiting a slightly higher adhesion when compared to the nFAp material, eventually reaching lower values in time when compared to nHAp, indicating general superiority of nFAp over nHAp. In the case of L. rhamnosus, its adhesion was slightly higher to nFAp material than to the nHAp counterpart.
In the context of antimicrobial abilities and cytotoxic evaluation, it is also beneficial to consider the potential applications of selected biomaterials in the medical field, including the use of silver nanoparticles or bioactive glass as a substitute. In comparing the antimicrobial abilities of biomaterials, it is essential to highlight that while silver nanoparticles exhibit greater antimicrobial activity than nHAp and nFAp, they present a greater risk of cytotoxicity and apoptosis in mammalian cells when used in vivo [67]. The bioactive glass displays comparable cytotoxicity and antimicrobial effect to nHAp and nFAp biomaterials, and this material could be successfully employed as a substitute in in vivo augmentation procedures [68].
The experiment employed the MC3T3 cell line in order to assess the effectiveness of bone regeneration [69,70]. The fibroblast cell lines exhibited disparate responses to varying concentrations of both nHAp and nFAp materials.
The initial phase of the experiment yielded no significant differences between the various nHAp and nFAp concentrations. However, on the seventh day of the experiment, several notable discrepancies emerged. The 1:1 nHAp concentration, both with and without differentiation medium, exhibited markedly higher proliferation rates than both nFAp samples at the same 1:1 proportion, with or without a differentiation medium. Furthermore, samples containing differentiation medium exhibited a higher proliferation rate of the examined cells, as anticipated. Conversely, samples devoid of differentiation medium exhibited a comparable inhibition of cell proliferation. The TCPS samples were employed as a control group.
Subsequently, an additional analysis was performed to evaluate the proliferation of the most crucial cells involved in bone regeneration, namely the preosteoblastic lines of MC3T3 fibroblast cells. It is of paramount importance to avoid limitations on preosteoblastic cell proliferation in order to achieve successful bone regeneration and rebuilding following augmentation procedures. A limitation in their lifespan would result in an undesirable limitation of the bone-rebuilding process, which would prolong or even halt the proper process of alveolar ridge remodelling [71].
In comparison to the TCPS control samples, visible in tables, the nHAp and nFAp samples demonstrated an enhanced proliferation rate of pre-osteoblastic cells at specific concentrations of the evaluated biomaterials. The study demonstrates that the concentration of biomaterials exerts a significant influence on pre-osteoblastic cells, which is of paramount importance for the stability of bone regeneration and remodelling [72] following dental surgery. The samples of the TCPS control group with differentiation medium exhibited differences from the samples containing nHAp and nFAp, particularly on the 7th and 14th days of the experiment. The most significant differences between the TCPS samples and 1:8 nHAp and 1:32 nFAp with differentiation medium were observed on the 7th day, with the nHAp and nFAp samples demonstrating superior performance. On the 14th day of the experiment, only the samples containing all the different concentrations of nFAp material with differentiation medium demonstrated an increased proliferation rate of MC3T3 cells in comparison to both TCPS samples with and without differentiation medium. It is noteworthy that following the 14th day of the experiment, the TCPS control samples that did not contain differentiation medium exhibited a higher proliferation rate than their counterparts without any differentiation medium.
The confirmation of an Alizarin Red staining serves to corroborate the deposition of calcium in the experimental groups [73]. In this research, as visible in Table 12 and Table 13, the detection of calcium deposition serves to confirm the successful differentiation of fibroblast cells into osteoblasts, which undergo mineralisation with the use of calcium. A number of scientific studies have demonstrated that fluoride ions can affect the differentiation of preosteogenic cells [74,75,76]. The results of this study confirm that cell differentiation was induced in samples containing nFAp material in contact with MC3T3 cells.
5. Conclusions
The findings of this scientific study provide valuable insights that are essential for future in vivo assessment of biomaterials in the context of dental surgery and probable augmentation procedures. The results of the microbiological examination of selected common oral pathogens, including S. mutans, C. albicans, and L. rhamnosus, indicated various effects on their inhibition.
The values of the C. albicans strains exhibited variation over the initial 24-h period of contact with each of the materials. However, the reduction in microbial count was ultimately observed to be lower in the case of the nFAp samples when compared to both the nHAp samples and the control. Conversely, there was no reduction in the proliferation of S. mutans in the nHAp samples. However, the nFAp material did demonstrate a decline in the microbial count of S. mutans. The greatest variation was observed in the L. rhamnosus CFU/mL values, which also demonstrated the least reduction in numbers. However, when compared between the materials used in the study, the nFAp material exhibited lower values than the nHAp material. The presence of biomaterials generally caused reduced CFU/mL microbial values.
The impact of nFAp and nHAp materials’ surfaces on microbial adhesion was observed and assessed. The behaviour of each microbial strain was found to vary depending on the surface with which it interacted. This is a crucial point to highlight, as it demonstrates the intricate nature of biomaterials research, which must withstand a multitude of factors, including the interactions of a vast array of microorganisms.
In the end of the carried out scientific study, C. albicans adhered to nFAp at a lower level of CFU/mL than to the nHAp material’s surface. On the other hand, L. rhamnosus adhered slightly more efficiently to nFAp samples when compared to nHAp ones. The greatest disparity in microbial count was observed in relation to S. mutans strains, whereby its adhesion was markedly reduced in nFAp when compared to the higher count observed in nHAp. The reduced adhesion of microbial strains dependent on the applied biomaterial indicates a potential for the future surgical in vitro use of apatites and their modified forms.
The results obtained by the authors indicate that the biomaterials are functioning as intended. It is evident that further research is necessary in order to determine the optimal inhibitory effect of L. rhamnosus on these strains. Nevertheless, the outcomes regarding the other two microbial strains, namely C. albicans and S. mutans, remain crucial for limiting the potential adverse effects and infections in the surgical area subsequent to the dental procedure. Only the highest concentrations of nFAp lowered the differentiation rate of assessed preosteoblastic cells. Alizarin Red staining confirmed fluorine ion induction of MC3T3 cell differentiation.
The utilisation of nanomaterials in the form of nHAp and nFAp to facilitate bone regeneration and modelling in the context of dental surgery is a highly intricate matter. The in vitro studies conducted in this scientific work illustrate the multifactorial nature of this issue and confirm that multiple conditions must be met to enhance bone regeneration while avoiding adverse effects on host cells. The presence of different strains of microorganisms in the oral cavity in varying proportions, coupled with the necessity for these biomaterials to be non-cytotoxic to the host cells, presents a significant challenge from a medical perspective. It is important to underline that the fluorine ions induce differentiation of MC3T3 cells without any supplements. Nevertheless, the in vitro research conducted in this study, encompassing microbiological and cytotoxic evaluations, demonstrates that nHAp and nFAp materials, due to their distinctive properties and optimal proportions, are capable of facilitating bone regeneration and remodelling, which is the most crucial aspect of dental surgery.
Supplementary Materials
The following supporting information can be downloaded at: https://www.mdpi.com/article/10.3390/app14177845/s1 Figure S1: Statistical analysis of the effect of the material (nHAp, nFAp) and time on S. mutans, L. rhamnosus, and C. albicans strains during the first 24 h. “Time x material” means an interaction between these variables, which shows whether the pattern of differences between the materials is consistent in time or not (then p < 0.05). Figure S2: The effect of the material (nHAp and nFAp) and time on adhesion of S. mutans, L. rhamnosus, and C. albicans strains during the first 24 h. RTE—Relative Treatment Effect.
Author Contributions
Conceptualisation, W.Z., M.D., Z.R. and R.J.W.; methodology, M.P., W.Z., A.R., G.C., M.D., B.M., J.N., K.S., J.C. and R.J.W.; software, M.S. and G.C.; validation, J.N., M.P., G.C., B.M. and A.R.; formal analysis, K.K.; investigation, W.Z., M.P., J.N. and A.R.; resources, M.S. and R.J.W.; data curation, W.Z., A.R., M.P., J.N., R.J.W., B.M. and K.S.; writing—original draft preparation, W.Z.; writing—review and editing, W.Z. and M.D.; visualisation, W.Z., B.M., M.P., J.N., A.R. and K.S.; supervision, M.D., R.J.W. and Z.R.; project administration, W.Z. and M.D.; funding acquisition, M.D., W.Z. and R.J.W. All authors have read and agreed to the published version of the manuscript.
Funding
This article was also co-financed by a subsidy from Wroclaw Medical University, number SUBK.Z516.22.053 and SUBZ.B180.24.058. The authors would like to acknowledge the National Science Centre Poland (NCN) for financial support within the Project ‘Biocompatible materials with theranostics’ properties for precision medical application’ (No. UMO-2021/43/B/ST5/02960).
Institutional Review Board Statement
Not applicable.
Informed Consent Statement
Not applicable.
Data Availability Statement
Data are contained within the article and Supplementary Materials.
Conflicts of Interest
The authors declare no conflicts of interest.
References
- Wrzyszcz-Kowalczyk, A.; Dobrzynski, M.; Grzesiak-Gasek, I.; Zakrzewski, W.; Mysiak-Debska, M.; Nowak, P.; Zimolag, M.; Wiglusz, R.J. Application of Selected Biomaterials and Stem Cells in the Regeneration of Hard Dental Tissue in Paediatric Dentistry—Based on the Current Literature. Nanomaterials 2021, 11, 3374. [Google Scholar] [CrossRef] [PubMed]
- Lubojanski, A.; Dobrzynski, M.; Nowak, N.; Rewak-Soroczynska, J.; Sztyler, K.; Zakrzewski, W.; Dobrzynski, W.; Szymonowicz, M.; Rybak, Z.; Wiglusz, K.; et al. Application of selected nanomaterials and ozone in modern clinical dentistry. Nanomaterials 2021, 11, 259. [Google Scholar] [CrossRef] [PubMed]
- Targońska, S.; Dobrzyńska-Mizera, M.; Di Lorenzo, M.L.; Knitter, M.; Longo, A.; Dobrzyński, M.; Rutkowska, M.; Barnaś, S.; Czapiga, B.; Stagraczyński, M.; et al. Design, clinical applications and post-surgical assessment of bioresorbable 3D-printed craniofacial composite implants. Biomater. Sci. 2024, 12, 3374–3388. [Google Scholar] [CrossRef] [PubMed]
- Fayaz, A.M.; Balaji, K.; Girilal, M.; Yadav, R.; Kalaichelvan, P.T.; Venketesan, R. Biogenic synthesis of silver nanoparticles and their synergistic effect with antibiotics: A study against gram-positive and gram-negative bacteria. Nanomed. Nanotechnol. Biol. Med. 2010, 6, 103–109. [Google Scholar] [CrossRef]
- Khodashenas, B.; Ghorbani, H.R. Synthesis of silver nanoparticles with different shapes. Arab. J. Chem. 2019, 12, 1823–1838. [Google Scholar] [CrossRef]
- Khan, I.; Saeed, K.; Khan, I. Nanoparticles: Properties, applications and toxicities. Arab. J. Chem. 2019, 12, 908–931. [Google Scholar] [CrossRef]
- Zakrzewski, W.; Dobrzynski, M.; Nowicka, J.; Pajaczkowska, M.; Szymonowicz, M.; Targonska, S.; Sobierajska, P.; Wiglusz, K.; Dobrzynski, W.; Lubojanski, A.; et al. The Influence of Ozonated Olive Oil-Loaded and Copper-Doped Nanohydroxyapatites on Planktonic Forms of Microorganisms. Nanomaterials 2020, 10, 1997. [Google Scholar] [CrossRef]
- Malik, S.; Waheed, Y. Emerging Applications of Nanotechnology in Dentistry. Dent. J. 2023, 11, 266. [Google Scholar] [CrossRef]
- Zakrzewski, W.; Dobrzynski, M.; Dobrzynski, W.; Zawadzka-Knefel, A.; Janecki, M.; Kurek, K.; Lubojanski, A.; Szymonowicz, M.; Rybak, Z.; Wiglusz, R.J. Nanomaterials Application in Orthodontics. Nanomater 2021, 11, 337. [Google Scholar] [CrossRef]
- Abiodun Solanke, I.; Ajayi, D.; Arigbede, A. Nanotechnology and its application in dentistry. Ann. Med. Health Sci. Res. 2014, 4, 171. [Google Scholar] [CrossRef]
- Lowe, B.; Hardy, J.G.; Walsh, L.J. Optimizing Nanohydroxyapatite Nanocomposites for Bone Tissue Engineering. ACS Omega 2019, 5, 1–9. [Google Scholar] [CrossRef] [PubMed]
- Zakrzewski, W.; Dobrzyński, M.; Zawadzka-Knefel, A.; Lubojański, A.; Dobrzyński, W.; Janecki, M.; Kurek, K.; Szymonowicz, M.; Wiglusz, R.J.; Rybak, Z. Nanomaterials Application in Endodontics. Materials 2021, 14, 5296. [Google Scholar] [CrossRef] [PubMed]
- Moraes, G.; Zambom, C.; Siqueira, W.L. Nanoparticles in Dentistry: A Comprehensive Review. Pharmaceuticals 2021, 14, 752. [Google Scholar] [CrossRef]
- Tanaka, M.; Okinaga, T.; Iwanaga, K.; Matsuo, K.; Toyono, T.; Sasaguri, M.; Ariyoshi, W.; Tominaga, K.; Enomoto, Y.; Matsumura, Y.; et al. Anticancer effect of novel platinum nanocomposite beads on oral squamous cell carcinoma cells. J. Biomed. Mater. Res. Part B Appl. Biomater. 2019, 107, 2281–2287. [Google Scholar] [CrossRef]
- Zabrovsky, A.; Beyth, N.; Pietrokovski, Y.; Ben-Gal, G.; Houri-Haddad, Y. Biocompatibility and functionality of dental restorative materials. In Biocompatibility of Dental Biomaterials; Woodhead Publishing: Sawston, UK, 2016; pp. 63–75. [Google Scholar] [CrossRef]
- Meena, A.; Mali, H.S.; Patnaik, A.; Kumar, S.R. Comparative investigation of physical, mechanical and thermomechanical characterization of dental composite filled with nanohydroxyapatite and mineral trioxide aggregate. e-Polymers 2017, 17, 311–319. [Google Scholar] [CrossRef]
- Kyriakides, T.R.; Raj, A.; Tseng, T.H.; Xiao, H.; Nguyen, R.; Mohammed, F.S.; Halder, S.; Xu, M.; Wu, M.J.; Bao, S.; et al. Biocompatibility of nanomaterials and their immunological properties. Biomed. Mater. 2021, 16, 042005. [Google Scholar] [CrossRef]
- Pushpalatha, C.; Gayathri, V.S.; Sowmya, S.V.; Augustine, D.; Alamoudi, A.; Zidane, B.; Hassan Mohammad Albar, N.; Bhandi, S. Nanohydroxyapatite in dentistry: A comprehensive review. Saudi Dent. J. 2023, 35, 741–752. [Google Scholar] [CrossRef]
- Zakrzewski, W.; Dobrzynski, M.; Wiglusz, R.J.; Rybak, Z.; Szymonowicz, M. Selected nanomaterials’ application enhanced with the use of stem cells in acceleration of alveolar bone regeneration during augmentation process. Nanomaterials 2020, 10, 1216. [Google Scholar] [CrossRef]
- Tarafdar, J.C.; Sharma, S.; Raliya, R. Nanotechnology: Interdisciplinary science of applications. Afr. J. Biotechnol. 2013, 12, 219–226. [Google Scholar] [CrossRef]
- Aljabali, A.A.; Obeid, M.A.; Bashatwah, R.M.; Serrano-Aroca, Á.; Mishra, V.; Mishra, Y.; El-Tanani, M.; Hromić-Jahjefendić, A.; Kapoor, D.N.; Goyal, R.; et al. Nanomaterials and Their Impact on the Immune System. Int. J. Mol. Sci. 2023, 24, 2008. [Google Scholar] [CrossRef]
- Rajula, M.; Narayanan, V.; Venkatasubbu, G.; Mani, R.; Sujana, A. Nano-hydroxyapatite: A Driving Force for Bone Tissue Engineering. J. Pharm. Bioallied Sci. 2021, 13, S11. [Google Scholar] [CrossRef]
- Barua, S.; Mitragotri, S. Challenges associated with Penetration of Nanoparticles across Cell and Tissue Barriers: A Review of Current Status and Future Prospects. Nano Today 2014, 9, 223. [Google Scholar] [CrossRef] [PubMed]
- Diez-Escudero, A.; Espanol, M.; Ginebra, M.-P. High-aspect-ratio nanostructured hydroxyapatite: Towards new functionalities for a classical material. Chem. Sci. 2024, 15, 55–76. [Google Scholar] [CrossRef] [PubMed]
- Riccardi, L.; Gabrielli, L.; Sun, X.; De Biasi, F.; Rastrelli, F.; Mancin, F.; De Vivo, M. Nanoparticle-Based Receptors Mimic Protein-Ligand Recognition. Chem 2017, 3, 92. [Google Scholar] [CrossRef]
- Huo, W.T.; Zhao, L.Z.; Yu, S.; Yu, Z.T.; Zhang, P.X.; Zhang, Y.S. Significantly enhanced osteoblast response to nano-grained pure tantalum. Sci. Rep. 2017, 7, 40868. [Google Scholar] [CrossRef]
- Najafi-Hajivar, S.; Zakeri-Milani, P.; Mohammadi, H.; Niazi, M.; Soleymani-Goloujeh, M.; Baradaran, B.; Valizadeh, H. Overview on experimental models of interactions between nanoparticles and the immune system. Biomed. Pharmacother. 2016, 83, 1365–1378. [Google Scholar] [CrossRef]
- Banik, B.L.; Fattahi, P.; Brown, J.L. Polymeric nanoparticles: The future of nanomedicine. Wiley Interdiscip. Rev. Nanomed. Nanobiotechnol. 2016, 8, 271–299. [Google Scholar] [CrossRef]
- Saint-Jean, S.J. Dental Glasses and Glass-ceramics. In Advanced Ceramics for Dentistry; Butterworth-Heinemann: Oxford, UK, 2014; pp. 255–277. [Google Scholar] [CrossRef]
- Leroy, N.; Bres, E.; Jones, D.B.; Downes, S. Structure and substitutions in fluorapatite. Eur. Cells Mater. 2001, 2, 36–48. [Google Scholar] [CrossRef]
- Abdollahi, M.; Momen-Heravi, F. Fluoride. In Encyclopedia of Toxicology, 3rd ed.; Elsevier: Amsterdam, The Netherlands, 2014; pp. 606–610. [Google Scholar] [CrossRef]
- Lubojanski, A.; Piesiak-Panczyszyn, D.; Zakrzewski, W.; Dobrzynski, W.; Szymonowicz, M.; Rybak, Z.; Mielan, B.; Wiglusz, R.J.; Watras, A.; Dobrzynski, M. The Safety of Fluoride Compounds and Their Effect on the Human Body—A Narrative Review. Materials 2023, 16, 1242. [Google Scholar] [CrossRef]
- Simmer, J.P.; Hardy, N.C.; Chinoy, A.F.; Bartlett, J.D.; Hu, J.C.C. How Fluoride Protects Dental Enamel from Demineralization. J. Int. Soc. Prev. Community Dent. 2020, 10, 134. [Google Scholar] [CrossRef]
- Epple, M.; Enax, J.; Meyer, F. Prevention of Caries and Dental Erosion by Fluorides—A Critical Discussion Based on Physico-Chemical Data and Principles. Dent. J. 2022, 10, 6. [Google Scholar] [CrossRef] [PubMed]
- Kreve, S.; Reis, A.C.D. Bacterial adhesion to biomaterials: What regulates this attachment? A review. Jpn. Dent. Sci. Rev. 2021, 57, 85. [Google Scholar] [CrossRef]
- Dobrzyński, W.; Nikodem, A.; Diakowska, D.; Wiglusz, R.J.; Watras, A.; Dobrzyński, M.; Mikulewicz, M. Comparison of the Fluoride Ion Release from nanofluoroapatite-modified orthodontic cement under different pH Conditions—An in vitro Study. Acta Bioeng. Biomech. 2024, 25, 160–176. [Google Scholar] [CrossRef]
- Lamkhao, S.; Phaya, M.; Jansakun, C.; Chandet, N.; Thongkorn, K.; Rujijanagul, G.; Bangrak, P.; Randorn, C. Synthesis of Hydroxyapatite with Antibacterial Properties Using a Microwave-Assisted Combustion Method. Sci. Rep. 2019, 9, 4015. [Google Scholar] [CrossRef]
- Liang, C.; Jie, W. Bioactive nano fluorapatite/polyetheretherketone composite for orthopedic Implants. Front. Bioeng. Biotechnol. 2016, 4, 371. [Google Scholar] [CrossRef]
- Kosior, P.; Klimas, S.; Nikodem, A.; Wolicka, J.; Diakowska, D.; Watras, A.; Wiglusz, R.J.; Dobrzyński, M. An in vitro examination of fluoride ions release from selected materials—Resin-modified glass-ionomer cement (Vitremer) and nanohybrid composite material (Tetric EvoCeram). Acta Bioeng. Biomech. 2023, 25, 101–115. [Google Scholar] [CrossRef]
- Habib, M.L.; Disha, S.A.; Sahadat Hossain, M.; Uddin, M.N.; Ahmed, S. Enhancement of antimicrobial properties by metals doping in nano-crystalline hydroxyapatite for efficient biomedical applications. Heliyon 2024, 10, e23845. [Google Scholar] [CrossRef] [PubMed]
- El Hotaby, W.; Bakr, A.M.; Sherif, H.H.A.; Soliman, A.A.; Hemdan, B. Exploring the antimicrobial and anticancer activities of zinc doped nanohydroxyapatite prepared via ultrasonic-assisted method for bone tissue engineering. J. Mater. Res. 2024, 39, 1911–1925. [Google Scholar] [CrossRef]
- Baskar, K.; Anusuya, T.; Devanand Venkatasubbu, G. Mechanistic investigation on microbial toxicity of nano hydroxyapatite on implant associated pathogens. Mater. Sci. Eng. C 2017, 73, 8–14. [Google Scholar] [CrossRef]
- Mohamed, A.M.F.S. An Overview of Bone Cells and their Regulating Factors of Differentiation. Malays. J. Med. Sci. 2008, 15, 4. [Google Scholar]
- Alonso-Roman, R.; Last, A.; Mirhakkak, M.H.; Sprague, J.L.; Möller, L.; Großmann, P.; Graf, K.; Gratz, R.; Mogavero, S.; Vylkova, S.; et al. Lactobacillus rhamnosus colonisation antagonizes Candida albicans by forcing metabolic adaptations that compromise pathogenicity. Nat. Commun. 2022, 13, 3192. [Google Scholar] [CrossRef] [PubMed]
- Atanasov, N.; Evstatieva, Y.; Nikolova, D. Antagonistic Interactions of Lactic Acid Bacteria from Human Oral Microbiome against Streptococcus mutans and Candida albicans. Microorganisms 2023, 11, 1604. [Google Scholar] [CrossRef] [PubMed]
- Hoveidaei, A.H.; Sadat-Shojai, M.; Mosalamiaghili, S.; Salarikia, S.R.; Roghani-shahraki, H.; Ghaderpanah, R.; Ersi, M.H.; Conway, J.D. Nano-hydroxyapatite structures for bone regenerative medicine: Cell-material interaction. Bone 2024, 179, 116956. [Google Scholar] [CrossRef]
- Borkowski, L.; Jojczuk, M.; Belcarz, A.; Pawlowska-Olszewska, M.; Kruk-Bachonko, J.; Radzki, R.; Bienko, M.; Slowik, T.; Lübek, T.; Nogalski, A.; et al. Comparing the Healing Abilities of Fluorapatite and Hydroxyapatite Ceramics in Regenerating Bone Tissue: An In Vivo Study. Materials 2023, 16, 5992. [Google Scholar] [CrossRef] [PubMed]
- Ziadlou, R.; Rotman, S.; Teuschl, A.; Salzer, E.; Barbero, A.; Martin, I.; Alini, M.; Eglin, D.; Grad, S. Optimization of hyaluronic acid-tyramine/silk-fibroin composite hydrogels for cartilage tissue engineering and delivery of anti-inflammatory and anabolic drugs. Mater. Sci. Eng. C 2021, 120, 111701. [Google Scholar] [CrossRef]
- Mo, X.; Zhang, D.; Liu, K.; Zhao, X.; Li, X.; Wang, W.; Mo, X.; Zhang, D.; Liu, K.; Zhao, X.; et al. Nano-Hydroxyapatite Composite Scaffolds Loaded with Bioactive Factors and Drugs for Bone Tissue Engineering. Int. J. Mol. Sci. 2023, 24, 1291. [Google Scholar] [CrossRef]
- Herman, K.; Wujczyk, M.; Dobrzynski, M.; Diakowska, D.; Wiglusz, K.; Wiglusz, R.J. In Vitro Assessment of Long-Term Fluoride Ion Release from Nanofluorapatite. Materials 2021, 14, 3747. [Google Scholar] [CrossRef]
- Dobrzynski, M.; Pajaczkowska, M.; Nowicka, J.; Jaworski, A.; Kosior, P.; Szymonowicz, M.; Kuropka, P.; Rybak, Z.; Bogucki, Z.A.; Filipiak, J.; et al. Study of Surface Structure Changes for Selected Ceramics Used in the CAD/CAM System on the Degree of Microbial Colonization, in Vitro Tests. BioMed Res. Int. 2019, 2019, 9130806. [Google Scholar] [CrossRef] [PubMed]
- Kreth, J.; Merritt, J.; Pfeifer, C.S.; Khajotia, S.; Ferracane, J.L. Interaction between the Oral Microbiome and Dental Composite Biomaterials: Where We Are and Where We Should Go. J. Dent. Res. 2020, 99, 1140. [Google Scholar] [CrossRef]
- Cavalcanti, I.M.G.; Del Bel Cury, A.A.; Jenkinson, H.F.; Nobbs, A.H. Interactions between Streptococcus oralis, Actinomyces oris, and Candida albicans in the development of multispecies oral microbial biofilms on salivary pellicle. Mol. Oral Microbiol. 2017, 32, 60–73. [Google Scholar] [CrossRef]
- Diaz, P.I.; Strausbaugh, L.D.; Dongari-Bagtzoglou, A. Fungal-bacterial interactions and their relevance to oral health: Linking the clinic and the bench. Front. Cell. Infect. Microbiol. 2014, 4, 101. [Google Scholar] [CrossRef]
- Noguchi, K.; Gel, Y.R.; Brunner, E.; Konietschke, F. nparLD: An R Software Package for the Nonparametric Analysis of Longitudinal Data in Factorial Experiments. J. Stat. Softw. 2012, 50, 1–23. [Google Scholar] [CrossRef]
- MC3T3-E1 Subclone 4—CRL-2593|ATCC. Available online: https://www.atcc.org/products/crl-2593 (accessed on 4 July 2024).
- ISO 10993-5:2009—Biological Evaluation of Medical Devices—Part 5: Tests for In Vitro Cytotoxicity. Available online: https://www.iso.org/standard/36406.html (accessed on 29 August 2024).
- Chen, H.; Sun, K.; Tang, Z.; Law, R.V.; Mansfield, J.F.; Czajka-Jakubowska, A.; Clarkson, B.H. Synthesis of fluorapatite nanorods and nanowires by direct precipitation from solution. Cryst. Growth Des. 2006, 6, 1504–1508. [Google Scholar] [CrossRef] [PubMed]
- Alizarin-Red Staining Solution|TMS-008-C. Available online: https://www.merckmillipore.com/PL/pl/product/Alizarin-Red-Staining-Solution,MM_NF-TMS-008-C (accessed on 21 June 2024).
- Tu, Y.; Ren, H.; He, Y.; Ying, J.; Chen, Y. Interaction between microorganisms and dental material surfaces: General concepts and research progress. J. Oral Microbiol. 2023, 15, 2196897. [Google Scholar] [CrossRef] [PubMed]
- Xu, L.-C.; Siedlecki, C.A. Chapter 13. Bacterial Adhesion and Interaction with Biomaterial Surfaces. In Biointerfaces: Where Material Meets Biology; The Royal Society of Chemistry: London, UK, 2014; pp. 363–398. [Google Scholar] [CrossRef]
- Moriarty, T.F.; Poulsson, A.H.C.; Rochford, E.T.J.; Richards, R.G. Bacterial adhesion and biomaterial surfaces. Compr. Biomater. 2011, 4, 75–100. [Google Scholar] [CrossRef]
- McIlwain, B.C.; Ruprecht, M.T.; Stockbridge, R.B. Membrane exporters of fluoride ion. Annu. Rev. Biochem. 2021, 90, 559. [Google Scholar] [CrossRef]
- Zhang, X.; Gao, X.; Li, C.; Luo, X.; Wang, Y. Fluoride contributes to the shaping of microbial community in high fluoride groundwater in Qiji County, Yuncheng City, China. Sci. Rep. 2019, 9, 14488. [Google Scholar] [CrossRef]
- Schultz, G.S.; Chin, G.A.; Moldawer, L.; Diegelmann, R.F. Principles of Wound Healing. In Diabetic Foot Problems; World Scientific: Singapore, 2011; pp. 395–402. [Google Scholar] [CrossRef]
- Berne, C.; Ellison, C.K.; Ducret, A.; Brun, Y.V. Bacterial adhesion at the single-cell level. Nat. Rev. Microbiol. 2018, 16, 616–627. [Google Scholar] [CrossRef]
- Liao, C.; Li, Y.; Tjong, S.C. Bactericidal and Cytotoxic Properties of Silver Nanoparticles. Int. J. Mol. Sci. 2019, 20, 449. [Google Scholar] [CrossRef]
- Taye, M.B.; Ningsih, H.S.; Shih, S.J. Exploring the advancements in surface-modified bioactive glass: Enhancing antibacterial activity, promoting angiogenesis, and modulating bioactivity. J. Nanopart. Res. 2024, 26, 28. [Google Scholar] [CrossRef]
- Izumiya, M.; Haniu, M.; Ueda, K.; Ishida, H.; Ma, C.; Ideta, H.; Sobajima, A.; Ueshiba, K.; Uemura, T.; Saito, N.; et al. Evaluation of mc3t3-e1 cell osteogenesis in different cell culture media. Int. J. Mol. Sci. 2021, 22, 7752. [Google Scholar] [CrossRef]
- Zhu, Z.; Xie, Q.; Huang, Y.; Zhang, S.; Chen, Y. Aucubin suppresses titanium particles-mediated apoptosis of MC3T3-E1 cells and facilitates osteogenesis by affecting the BMP2/Smads/RunX2 signaling pathway. Mol. Med. Rep. 2018, 18, 2561–2570. [Google Scholar] [CrossRef] [PubMed]
- Vance, J.; Galley, S.; Liu, D.F.; Donahue, S.W. Mechanical stimulation of MC3T3 osteoblastic cells in a bone tissue-engineering bioreactor enhances prostaglandin E2 release. Tissue Eng. 2005, 11, 1832–1839. [Google Scholar] [CrossRef]
- Battafarano, G.; Rossi, M.; De Martino, V.; Marampon, F.; Borro, L.; Secinaro, A.; Fattore, A. Del Strategies for Bone Regeneration: From Graft to Tissue Engineering. Int. J. Mol. Sci. 2021, 22, 1128. [Google Scholar] [CrossRef] [PubMed]
- Khazaei, S.; Khademi, A.; Esfahani, M.H.N.; Khazaei, M.; Nekoofar, M.H.; Dummer, P.M.H. Isolation and differentiation of adipose-derived stem cells into odontoblast-like cells: A preliminary in vitro study. Cell J. 2021, 23, 288–293. [Google Scholar] [CrossRef] [PubMed]
- He, F.; Zhang, F.; Yang, G.; Wang, X.; Zhao, S. Enhanced initial proliferation and differentiation of MC3T3-E1 cells on HF/HNO3 solution treated nanostructural titanium surface. Oral Surg. Oral Med. Oral Pathol. Oral Radiol. Endodontol. 2010, 110, e13–e22. [Google Scholar] [CrossRef]
- Tsuchiyama, N.; Tamura, Y.; Gondo, T.; Ikeda, M.; Shimada, Y. The effect of ions used in bioactive dental materials on proliferation and differentiation of MC3T3-E1 cells. Asian Pac. J. Dent. 2023, 23, 15–19. [Google Scholar] [CrossRef]
- Li, Q.L.; Wu, Y.X.; Zhang, Y.X.; Mao, J.; Zhang, Z.X. Enhancing osteogenic differentiation of MC3T3-E1 cells during inflammation using UPPE/β-TCP/TTC composites via the Wnt/β-catenin pathway. RSC Adv. 2024, 14, 1527–1537. [Google Scholar] [CrossRef] [PubMed]
Disclaimer/Publisher’s Note: The statements, opinions and data contained in all publications are solely those of the individual author(s) and contributor(s) and not of MDPI and/or the editor(s). MDPI and/or the editor(s) disclaim responsibility for any injury to people or property resulting from any ideas, methods, instructions or products referred to in the content. |
© 2024 by the authors. Licensee MDPI, Basel, Switzerland. This article is an open access article distributed under the terms and conditions of the Creative Commons Attribution (CC BY) license (https://creativecommons.org/licenses/by/4.0/).























































