Abstract
Background: Dental extraction can initiate a sequence of biological events that may lead to an insufficient bone volume, which can compromise implant placement. To minimize bone loss, alveolar ridge preservation procedures were developed. However, smoking has been shown to adversely affect the outcomes of the procedures. Hence, this clinical study aimed to assess the ability of platelet-rich fibrin to maintain ridge volume and its ability to generate vital bone in smokers. Methods: Eighteen current heavy smokers with a total of forty upper molars indicated for extraction and implant placement were randomly allocated to four different groups: an advanced platelet-rich fibrin group (A-PRF) (n = 10), a factor-enriched bone graft matrix covered by A-PRF group (A/S-PRF) (n = 10); a freeze-dried bone allograft covered by a crosslinked collagen membrane group (FDBA/CM) (n = 10), which served as a positive control; and a negative-control resorbable collagen plug group (RCP) (n = 10). Two consecutive high-resolution CBCT images were taken for each augmented socket to evaluate the bone volume, one at baseline and the other after six months, and four different measurements (vertical height, horizontal 1 mm H1, horizontal 3 mm, and horizontal 5 mm) were taken for each image. To evaluate the bone vitality, three bone samples were harvested for each group and were analyzed histologically using H and E staining. The results were analyzed using SPSS version 26.0 through the Wilcoxon sign rank test and Kruskal–Wallis test. Results: In terms of preserving bone volume, A/S-PRF showed no significant reduction in bone after six months, while A-PRF showed a significant loss according to two measurements (vertical and horizontal 5 mm), and the last two groups showed a significant loss in all four measurements. For vital bone formation, three groups (A-PRF, A/S-PRF, and RCP) showed the generation of only vital bone, while the fourth group (FDBA/CM) showed the generation of a mixture of vital and non-vital bone. Conclusions: Based on the outcomes of this study, PRF was able to minimize bone loss following dental extraction and generate vital bone in smokers.
1. Introduction
Implant dentistry has evolved over the past five decades, becoming a highly predictable treatment modality for partial and completely edentulous patients [1]. It yields excellent long-term results and a survival rate of 93.2% after a ten-year follow-up period [2]. The first requirement for a successful implant is having an adequate volume of bone vertically and horizontally surrounding the implant; long-term prognosis and implant survival may be poor otherwise [3].
Multiple factors can make it difficult to maintain the bone volume necessary for placing implant fixtures, including periodontal inflammation [4], peri-apical pathology [5], and dental extraction [6]. Tooth extractions take place for many reasons, including caries, tooth fractures, periodontal disease, and severe infections that could adversely affect the patient’s dietary habits and general health [7].
Following a dental extraction, the bundle bone surrounding the tooth socket is lost, and gradual resorption of alveolar bone then occurs throughout the patient’s life [8]. This process occurs in two stages; in the first stage, which spans the first eight weeks, the bundle bone is quickly replaced by woven bone due to osteoclastic activity, causing a significant reduction in the socket height because the socket is made of bundle bone alone [9]. In the late stage, the outer surface of the alveolar bone begins to be remodeled, causing it to atrophy in both the vertical and horizontal dimensions. This has been attributed to the absence of dentition [9].
This resorption causes the ridge morphological structure to change substantially, which affects the vertical dimension more than the horizontal, with a reported vertical dimensional change of 11–22% and horizontal dimensional change of 29–63% six months following dental extraction [8]. This could jeopardize implant placement, resulting in compromised function and aesthetics [10]. To minimize bone remodeling, various ridge preservation techniques have been proposed [11].
Alveolar ridge preservation (ARP) is defined by the American Academy of Periodontology (AAP) as a surgical procedure aimed at preventing ridge collapse and preserving the ridge dimensions after tooth extraction [11]. Numerous systematic reviews have shown that it can significantly minimize resorption in the alveolar ridge, both vertically and horizontally [12,13]. The gold standard for augmenting the socket is autogenous bone obtained either intra-orally from the maxillary tuberosity or mandibular ramus and symphysis or extra-orally [14]. However, this type of graft comes with several disadvantages, such as the fact that it requires a second round of surgery, the fact that only a limited quantity of bone can be collected at once, the potential for morbidity at the donor site, the unpredictability of the bone quality, and postoperative discomfort [14]. Therefore, other forms of bone substitutes from other origins, such as allografts, xenografts, and alloplastic materials, have been introduced in clinical practice [15], showing comparable results regarding gains in bone volume as autogenous bone [16,17]. Besides bone substitutes, multiple materials have been used to regenerate bony defects, such as recombinant human bone morphogenetic protein 2 (BMP2), enamel matrix derivatives (EMD), and stem cells [18]. They are commonly used adjunctively with bone grafts to treat bony defects; however, these treatment modalities are often expensive and painful [19].
To further improve the osteogenic potential of bone substitutes, autologous platelet concentrates such as platelet-rich fibrin have been utilized [11]. Platelet-rich fibrin (PRF), a second-generation platelet concentrate, was recently utilized as a grafting material due to its ability to lessen the inflammation of the periodontal tissues, prevent microbial infection, and improve the repair of alveolar bone defects, thereby enhancing bone regeneration [20]. It has shown great potential clinically as a grafting material by limiting bone resorption and accelerating soft tissue closure [21,22]. This is due to its pro-angiogenic effect, mediated by its enhancement of the release of vascular endothelial factor (VEGF), transforming growth factor β1 (TGF-β1) and platelet-derived growth factor (PDGF), thus improving wound healing [23,24], and also due to the enhancement of osteogenesis, by promoting cell proliferation, cell migration, and the osteogenic differentiation of human bone marrow mesenchymal stem cells (hBMSCs) [25] and improving bone formation around dental implants and their stability [26,27].
Smoking is considered a significant risk factor in any surgery conducted in the oral cavity, and it has been proven to increase vertical bone loss and compromise bone density following dental extraction [28,29]. It was also shown that smoking could reduce the blood supply to the area and disturb bone remodeling, which can hinder the preservation of the bone volume for future implant placement [30]. It has also been associated with marginal bone loss surrounding dental implants and a higher incidence of failure [30]. These complications can be explained by the heat and toxic products generated by smoking, such as nicotine, carbon monoxide, and hydrogen cyanide, which cause arteriolar vasoconstriction and decreased blood flow, and disrupt the normal differentiation and migration of gingival fibroblasts [31].
The present clinical trial aimed to analyze the effect of PRF in ARP procedures in terms of minimizing alveolar bone resorption through radiographic interpretation and histological analysis, comparing PRF with commonly used grafting materials for current smokers. The null hypothesis of the study is the absence of any statistically significant effect of using PRF in terms of preserving bone volume after ARP procedures and in generating vital bone in current smokers.
2. Materials and Methods
2.1. Ethical Statement
The institutional review boards of King Saud University Medical City (No. E-21-5999) and the College of Dentistry Research Centre (No. PR 0122) granted the study’s ethical approval. All the participants gave written consent before participating in the study and were free to withdraw at any time. The study followed the requirements of the Helsinki Declaration of 1975 (revised in October 2013) and was registered at clinicaltrials.gov with ID NCT05161455.
2.2. Participants’ Recruitment and Inclusion and Exclusion Criteria
The participants recruited in the study were part of a previous clinical trial conducted by the same authors [32]. Each patient to be included in the original trial had to be a current heavy smoker (defined as smoking 10 or more cigarettes/day) [33] and indicated for extraction and ARP for an upper molar for a future dental implant. To be enrolled, they also had to be free of any active periodontal disease, any endodontic peri-apical lesions, and any active infection in the bone, and the tooth indicated for extraction had to not be ankylosed. They also had to be free of any systemic condition that may have compromised healing, such as uncontrolled diabetes; free of any medical conditions affecting the normal bone formation, such as osteoporosis; and have good oral hygiene.
2.3. Sample Size Calculation
Eighteen participants with forty teeth indicated for extraction and ARP were enrolled in the clinical trial. The number was calculated utilizing G Power, where the confidence level was set at 95% and the power level at 0.5, with a moderate effect size, while accommodating an attrition rate of 10% [32].
2.4. Participant Allocation, Randomization, and Blinding
After an atraumatic extraction, every socket site was randomly allocated using a simple method of randomization to one of the following four groups: Group I (A-PRF) was grafted with advanced platelet-rich fibrin (A-PRF), Group II (A/S-PRF) was grafted with a mixture of freeze-dried bone allograft (FDBA) (Raptos Allograft, Citagenix, Montreal, QC, Canada) and liquid PRF to form a factor-enriched bone graft matrix (commonly known as sticky bone) and covered by A-PRF; Group III (FDBA/CM), serving as a positive-control group, was grafted with FDBA (Raptos Allograft, Citagenix, Montreal, QC, Canada), covered by a crosslinked collagen membrane (Neomem, Citagenix, Montreal, QC, Canada); and Group IV (RCP), serving as a negative-control group, was grafted utilizing a resorbable collagen plug (NeoPlug, Citagenix, Montreal, QC, Canada). The subjects were all entirely blinded to the grafting procedure employed.
2.5. PRF Preparation
Both A-PRF and sticky bone were created using an established protocol [34]. A certified and calibrated dental nurse (L.C.) was hired to collect a 10 mL blood sample per tube (A-PRF tube; Avtec medical, Mt Pleasant, SC, USA) for A-PRF processing. The collected blood was centrifuged for 14 min at 13 × 100 rpm. The fibrin clot, indicating PRF, was retrieved after centrifugation by removing the matrix from the vial with tweezers and removing the associated red clot. It was also flattened using an L-PRF Wound Box (PRF box-mk2; Avtec medical, Mt Pleasant, SC, USA) to generate a membrane by gradually applying moderate, homogeneous pressure. To prepare the sticky bone, blood was collected in one tube (S-PRF tube; Avtec medical, Mt Pleasant, SC, USA) and centrifuged similarly to the prior method. The liquid PRF was then carefully aspirated from the tube with a 2 mL syringe and then mixed with FDBA particles in a 1:1 ratio.
2.6. Radiographic Analysis
For the present study, two consecutive high-resolution CBCT (ProMax® 3D Max, Planmeca, Helsinki, Finland) images with a limited field of view to the quadrant of surgery performed were taken, one at the baseline and the second at six months post-surgery. The voltage, current, exposure time, and detection field were kept constant for each patient at both exposure times. The images were captured at high resolution, with a 0.4 mm voxel size, an exposure time of 20 s scanning (110 kVp, 2.6 mAs) in the sagittal and coronal sections, and a constant slice thickness of 1 mm. A single expert technician was trained to take all the CBCT scans before the surgery and six months after it. A calibration was performed to ensure high intra-examiner reliability in the CBCT measurements; the second investigator (R.A.) presented five different cases to the principal investigator (Y.A.), and he examined them all twice with 2-week intervals until he achieved a high intra-reliability score (kappa score > 0.9). The voltage, current, exposure time and detection field were kept constant for each patient at both exposure times.
The two images were superimposed manually using specialized software (OnDemand3D, Cybermed Inc., Daejeon, Republic of Korea) [35] while using two adjacent anatomical structures as fixed landmarks. Using linear measurement tools, the width of the socket was measured at three different distances of 1, 3, and 5 mm from the most coronal point of the bone crest, and the length of the socket was measured from the bone crest to the sinus floor (Figure 1). The analysis was conducted in central and proximal sites following a 45°-degree orientation at the axis of the tooth as a reference.
Figure 1.
Method for measurement from the CBCT.
2.7. Bone Harvesting
Six months after the ARP procedure and at the time of implant placement, three different bone samples were harvested from each group. The samples were collected as follows: The area indicated for implant placement was anesthetized locally using Lidocaine HCI and a 1:100,000 epinephrine injection (2%Xylocaine, DENTSPLY Pharmaceutical, York, PA, USA), administered buccally and palatally. The surgical stent was used to locate the initially grafted area; then, a full-thickness flap was elevated to expose the underlying bone, and before initiating the implant drilling protocol, a 3 mm in diameter trephine bur (Knochenfrasen-Trephine Bur, Bremen, Germany) was used to harvest a 6 mm long bone sample (Figure 2). Extreme care was taken during harvesting to avoid compromising the implant bed preparation and to avoid jeopardizing implant placement. Afterward, the bone samples were preserved in 10% neutral formalin (Sigma-Aldrich, St. Louis, MO, USA).
Figure 2.
A trephine bur used to harvest a bone sample.
2.8. Hard Tissue Histology Sample Preparation
All samples were fixed in 10% formalin and sent for histopathological analysis. The samples were prepared in the histopathology lab at the dental university hospital, King Saud University. Each specimen was transferred to 10% formic acid for the purpose of decalcification (Sigma-Aldrich, MO, USA). After 48 h, the samples were washed under running water for three hours. Immediately after the washing, dehydration, using a tissue processor (HistoCore PEGASUS, Leica Biosystems, Deer Park, IL, USA), was initiated by placing all the specimens into a series of different concentrations of ethanol for 18 h. Following the dehydration, the specimens were embedded in paraffin wax using a tissue embedder machine (HistoCore Arcadia, Leica Biosystems, Deer Park, IL, USA). The blocks were then sectioned into three longitudinal 4.5 μm segments through microtome sectioning, fitted onto glass slides, and stained with Mayer’s hematoxylin and eosin stain (Sigma-Aldrich, MO, USA) using an autostainer (Leica ST5010, Leica Biosystems, Deer Park, IL, USA). All the stained-glass slides were examined under a light microscope by a blind examiner (R.A.) who was not aware of the treatment assignment.
2.9. Statistical Analysis
All the analyses were conducted using version 26.0 of IBM SPSS Statistical software for Windows (SPSS version 26.0, IBM Corp., Armonk, NY, USA). All the quantitative outcome variables (vertical height, horizontal 1 mm H1, horizontal 3 mm, and horizontal 5 mm) are represented using descriptive statistics (mean, median, standard deviation, and interquartile range). Normality tests were performed to assess the skewness of the outcome variables, and the outcomes were analyzed using non-parametric tests. Using the Wilcoxon sign rank test, the mean positive and negative rankings for the differences between the baseline and post-6-month values of the outcome variables were compared in each of the research groups. Additionally, to analyze the means of the differences in the post-6-month and baseline values of the end variables, the Kruskal–Wallis test and the Conover post hoc test were utilized across the four research groups. The results’ statistical significance is highlighted if the p-value was less than 0.05.
3. Results
Eighteen male patients with a total of forty extracted teeth had undergone ARP procedures [32]. Each socket was randomly allocated to four distinct groups, two containing PRF (A-PRF and A/S-PRF) and compared to those in two control groups (FDBA/CM and RCP). The participants were all male and had a mean age of 38 years, and only upper molars (#17, #16, #26, and #27) were included in the study. Regarding the participants’ medical conditions, they were all systemically healthy and current heavy smokers (detailed information about the age range and cigarette consumption are presented in Supplementary Table S1). The outcome variables are relevant for assessing the impact of PRF in ARP—vertical height, horizontal 1 mm, horizontal 3 mm, and horizontal 5 mm—were measured at baseline and after 6 months, using radiographic evaluation. The descriptive statistics for each of the four study groups are presented in Table 1 and Figure 3.
Table 1.
Descriptive statistics of outcome variables related to assessing the impact of PRF in ARP using radiographic evaluation across the four study groups.

Figure 3.
Display of changes in mean vertical (A) and horizontal 1 mm, (B) horizontal 3 mm (C), and horizontal 5 mm (D) measurements between baseline and six months post-surgery among study groups.
3.1. CBCT Radiographic Assessment
The comparison of the mean ranks of the differences between baseline and post-6 months for each of the four outcome variables (vertical height, horizontal 1 mm, horizontal 3 mm, and horizontal 5 mm) among the four study groups showed no statistically significant differences for any of the four outcome variables. That is, the differences between baseline and post-6 months for vertical height, horizontal 1 mm, horizontal 3 mm, and horizontal 5 mm across the four study groups were not statistically significant. A post hoc test showed that, for the outcome variable (horizontal 5 mm), the differences between baseline and post-6 months for A/S-PRF bone were significantly lower than the differences for the FDBA/CM and RCP groups (p < 0.05) (Table 2) (Figure 3).
Table 2.
Comparison of the mean ranks of the differences between baseline and post-6 months for each of the outcome variables related to assessing the impact of PRF in ARP, using radiographic evaluation, among the four study groups.
The comparison of the mean ranks between baseline and post-6 months for the outcome variables in each of the four study groups showed statistically significant differences for all four outcome variables for two groups (FDBA/CM and RCP). That is, the mean positive and negative ranks for the differences in all these four outcome variables in these two groups were statistically significantly different. These data indicate that the vertical height, horizontal 1 mm, horizontal 3 mm, and horizontal 5 mm values had significantly decreased at 6 months when compared with the values at baseline in these two groups. The corresponding p-values were <0.05. For the PRF group, statistically significant differences were observed for two outcome variables (vertical height and horizontal 5 mm); the values of these two outcome variables in these two groups had decreased at six months when compared with the values at baseline (p = 0.041 and p = 0.007). For the other two outcome variables (horizontal 1 mm and horizontal 3 mm), there were no statistically significant differences between baseline and post-6 months. For another study group (A/S-PRF), the values of all four outcome variables (vertical height, horizontal 1 mm, horizontal 3 mm, and horizontal 5 mm) were not statistically significantly different between baseline and post-6 months (Table 3).
Table 3.
Comparison of mean ranks between baseline and post-6 months for outcome variables related to assessing the impact of PRF in ARP, using radiographic evaluation, in each of the four study groups.
3.2. Histological Analysis
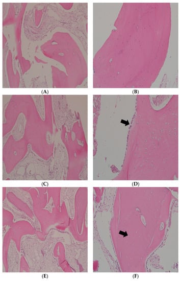
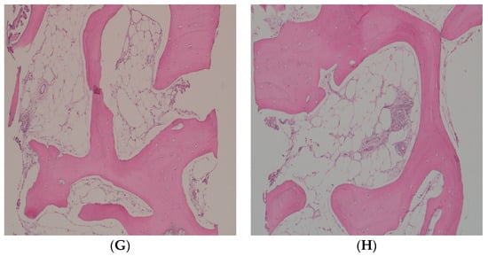
Overall, the A-PRF group showed signs of mature vital bone. However, a small fragment of immature and vital bone was focally observed in one sample. The bone marrow contained fibrofatty tissue with scattered lymphocytes and mast cells (Figure 4A,B). In the A/S-PRF group, complete mature and vital bone formation was detected, with no residual bone graft material. Few neutrophils and lymphocytes were observed within the fibrofatty marrow. In addition, some of the bony trabeculae were rimmed by a layer of osteoblasts (Figure 4C,D). In the FDBA/CM group, two specimens exhibited areas of both mature vital and immature non-vital bone embedded in a fibrofatty marrow and contained scattered inflammatory cells. Interestingly, the non-vital bone was surrounded by a rim of mature bone. These fragments of non-vital bone most likely represented graft material. The third specimen was mainly composed of mature vital bone in a non-inflamed fibrous stroma (Figure 4E,F). Finally, in the RCP group, two specimens showed mature vital bone formation with a considerable amount of fibrofatty bone marrow. In one specimen, the bony trabeculae were surrounded by fibrous tissue (Figure 4G,H).

Figure 4.
A-PRF group (A,B): Mature lamellar bone can be observed, with many osteocytes residing in the lacunae, while fibrovascular bone marrow is observed at the periphery (hematoxylin–eosin; original magnification; (A) ×10; (B) ×20). A/S PRF group (C,D): Mature lamellar bone can be observed, with many osteocytes residing in the lacunae. The fibrofatty marrow contains scattered inflammatory cells (C). Osteoblastic rimming (arrow) (D) (hematoxylin–eosin; original magnification; (C) ×10; (D) ×20). FDBA/CM group (E,F): A mixture of mature vital and non-vital bone tissue. The non-vital bone grafted bone is present in the center and surrounded by vital bone (arrow) (F) (hematoxylin–eosin; original magnification; (E) ×10; (F) ×20). RCP group (G,H). Mature/vital bone embedded in a fibrofatty marrow (G). Higher magnification to show the fatty bone marrow (H) (hematoxylin–eosin; original magnification; (G) ×10; (H) ×20).
4. Discussion
This clinical study was designed with two control groups (FDBA/CM and RCP) to verify whether A-PRF or a combination of liquid PRF and FDBA covered by A-PRF would have an additive benefit in maintaining bone in ALP procedures in current heavy smokers. The bone volumes were measured vertically and horizontally at three different levels (horizontal 1 mm, horizontal 3 mm, and horizontal 5 mm) using two CBCT images before extraction and at six months after grafting, and the bone vitality and quality were assessed through histological analysis. Regarding the bone volume, the A/S-PRF group showed no statistically significant reduction in any of the four outcome variables (vertical height, horizontal 1 mm, horizontal 3 mm, and horizontal 5 mm) from baseline to six months, while the A-PRF group showed statistically significant reductions for two outcomes (vertical height and horizontal 5 mm). Both the FDBA/CM and RCP groups showed statistically significant reductions in all four outcomes, showing the lowest ability among the study groups in the maintenance of bone volume compared to baseline. Histological analysis revealed similar bone quality for both PRF groups (A-PRF and A/S-PRF) and the negative-control (RCP) group after six months, with completely vital bone; however, in the RCP group, a considerable amount of fibrofatty bone marrow was observed, while the positive control (FDBA/CM) resulted in a mixture of both vital and non-vital bone. This can be explained by a reduction in blood supply during the bone formation process, which is exacerbated in cases of smoking.
There is still a debate about whether the use of PRF provides an advantage compared to the use of bone grafting alone for bone regeneration [36,37]. However, the present findings suggest that it is justifiable to use it in alveolar ridge preservation, as it was able to maintain the alveolar ridge dimensions and generate vital bone. There are no previous studies that have evaluated the efficacy of PRF in alveolar ridge preservation among smokers; however, multiple studies have investigated the use of PRF in non-smokers, the outcomes of which agree with those of the current study regarding bone regeneration. In one clinical trial where the authors compared PRF with FDBA, they reported that both groups showed significant maintenance of the ridge volume after twelve weeks compared to the baseline; however, there were no statistically significant differences between the two study groups [38]. Another clinical trial examined four unique treatment options—A-PRF, A-PRF + FDBA, and FDBA—and a normal blood clot and found that A-PRF + FDBA resulted in the lowest loss in alveolar ridge volume, while A-PRF performed similarly to FDBA, and the blood clot resulted in the worst outcome. In terms of vital bone formation, both PRF groups showed superior results when compared to FDBA and the blood clot group [39]. In addition, some systematic reviews have reported promising findings regarding the ability of PRF alone or mixed with other grafting materials to preserve bone volume in ARP procedures [11,22].
Cigarette smoking is a significant factor that inhibits bone healing, as it can generate heat and contains multiple toxic chemical products such as nicotine, a potent vasoconstrictor; carbon monoxide, which can decrease oxygen levels; and hydrogen cyanide, which can cause tissue hypoxia [40], thus reducing the blood supply to the graft area, affecting bone remodeling, and jeopardizing the maintenance of bone volume for future implant placement [30,41]. Smoking can also decrease the levels of active vitamin D and calcium, thereby impairing normal hard tissue healing [42]. It has also been shown to negatively affect the mRNA expression of bone sialoprotein (BSP) and osteocalcin (OCN) and increase the expression of type I collagen (COL-I) [43]. Smoking has also been shown to mutate fibroblasts, altering their differentiation and migration [31], and might have a deleterious effect on wound healing after surgery and decrease regeneration, hence increasing implant failure rates and negatively affecting periodontal regenerative surgeries [30,44].
Platelet-rich fibrin has shown great promise as a grafting material, as it has a positive effect on vital bone regeneration. It enhances osteoblast proliferation and cell migration as well as increases the expression of multiple genes related to bone formation, including runt-related transcription factor 2 (Runx2), alkaline phosphatase (ALP), and osteocalcin (OCN) [45]. PRF has also shown, in multiple clinical studies, the ability to improve alveolar bone healing, resulting in better preservation of the alveolar ridge volume when compared to an empty socket [46,47]. Besides its benefits in ARP procedures, PRF has been shown to improve bone formation in maxillary sinus augmentation and make extensive bone regeneration more predictable [48,49]. Given PRF’s numerous benefits in bone healing, it may help to mitigate the adverse effects of toxins generated from cigarette smoking since it has already been shown to improve the healing of soft tissue [32]. This can be confirmed by the present study’s findings, as the A/S-PRF group showed the complete formation of vital bone, while FDBA/CM showed areas of non-vital bone.
Some limitations of the present study should be emphasized. First, a stent was not used while taking CBCT images for standardization, as radiopaque objects may have hindered radiographic interpretation. To reduce this limitation, all the images were taken by the same experienced technician using one device; the voltage, current, exposure time and detection field were kept constant for every image taken, and all the measurements were made after superimposing the before and after images using fixed anatomical landmarks [50]. Second, this study did not follow a split-mouth design, and the participant’s healing capabilities may influence the outcome; to minimize this limitation, the study was conducted in a randomized fashion. Third, the sample size, although larger than that found in similar studies, is still considered small. Fourth, bone harvesting was postponed after six months from grafting due to the expected impaired healing of smokers, but this may have influenced the histological findings presented in the study, as a longer healing time could result in more vital bone [51]. Fifth, due to the nature of the study, it was not possible for the surgeon to be blinded during the grating; however, blinding was established during the radiographic interpretation and histological analysis to eliminate any bias. Lastly, although RCP was used as a negative control, it cannot be considered a true negative control (i.e., unaided socket healing). Whilst this could be considered a limitation, this study was designed to compare the performance of PRF alone or mixed with allograft bone particles in ARP procedures and compare it with other commonly applied methods in augmenting the sockets of smokers; as there was no real justification for leaving the socket empty and risking postoperative complications commonly associated with smoking, such as alveolar osteitis [52], RCP was used as a negative control.
Additionally, some recently introduced compounds have been demonstrated to have a significant influence on the oral environment, such as probiotics and other natural compounds, such as chitosan [53,54], that can modify clinical and microbiological parameters in periodontal patients; these products should be considered in future clinical trials, as adjuvants, also in socket preservation together with PRF.
5. Conclusions
Based on the results of our study and considering its limitations, the use of A/S-PRF in ARP procedures led to better outcomes in maintaining bone volume after six months in current smokers compared to the other treatments used. In addition, it was able to generate vital bone in the area, a further advantage. However, as there are no other studies in the literature that have evaluated the use of PRF in ARP procedures for smokers, further investigations are needed to confirm our results.
Supplementary Materials
The following supporting information can be downloaded at: https://www.mdpi.com/article/10.3390/app13127076/s1, Table S1: Patient demographic data.
Author Contributions
Conceptualization, R.A. (Reham Aljasser) and Y.A.; methodology, R.A. (Reham Aljasser) and Y.A.; software, Y.A.; validation, R.A. (Reham Aljasser), Y.A. and R.A. (Rana Alshagroud); formal analysis, Y.A.; investigation, Y.A.; resources, R.A. (Reham Aljasser) and Y.A.; data curation, Y.A.; writing—original draft preparation, Y.A. and R.A. (Reham Aljasser); writing—review and editing, all authors; visualization, R.A. (Reham Aljasser) and S.A.; supervision, R.A. (Reham Aljasser) and S.A.; project administration, R.A. (Reham Aljasser); funding acquisition, R.A. (Reham Aljasser). All authors have read and agreed to the published version of the manuscript.
Funding
This research received no external funding.
Institutional Review Board Statement
The institutional review boards of King Saud University Medical City (No. E-21-5999) and the College of Dentistry Research Centre (No. PR 0122) granted the study’s ethical approval. The study followed the requirements of the Helsinki Declaration of 1975 (revised in October 2013) and was registered at clinicaltrials.gov with ID NCT05161455.
Informed Consent Statement
Informed consent was obtained from all subjects involved in the study.
Data Availability Statement
Data are available on reasonable request from the first author.
Acknowledgments
The authors would like to thank the College of Dentistry Research Center at King Saud University, Riyadh, Saudi Arabia, for all the support provided for this study, and would like to extend their gratitude to Asma’a Al-Ekrish from the Department of Oral Medicine and Diagnostic Sciences, College of Dentistry, King Saud University, Riyadh, Saudi Arabia, for her valuable guide to using CBCT software for image analysis and measurements. The authors would also like to extend their appreciation to Shaik Shaffi Ahamed from the Department of Family and Community Medicine, College of Medicine, King Khalid University Hospital, King Saud University Riyadh, Saudi Arabia, for his assistance in the statistical analysis and interpretation of the results. Finally, we would like to thank Jeannette Gonzales Quinsay from the Oral Histopathology lab, at King Saud University Riyadh, for her assistance in preparing the histological sections.
Conflicts of Interest
The authors declare no conflict of interest.
References
- Buser, D.; Sennerby, L.; de Bruyn, H. Modern Implant Dentistry Based on Osseointegration: 50 Years of Progress, Current Trends and Open Questions. Periodontol. 2000 2017, 73, 7–21. [Google Scholar] [CrossRef] [PubMed]
- Howe, M.-S.; Keys, W.; Richards, D. Long-Term (10-Year) Dental Implant Survival: A Systematic Review and Sensitivity Meta-Analysis. J. Dent. 2019, 84, 9–21. [Google Scholar] [CrossRef]
- Sheikh, Z.; Sima, C.; Glogauer, M. Bone Replacement Materials and Techniques Used for Achieving Vertical Alveolar Bone Augmentation. Materials 2015, 8, 2953–2993. [Google Scholar] [CrossRef]
- Slots, J. Periodontitis: Facts, Fallacies and the Future. Periodontol. 2000 2017, 75, 7–23. [Google Scholar] [CrossRef] [PubMed]
- Jalali, P.; Tahmasbi, M.; Augsburger, R.A.; Khalilkhani, N.K.; Daghighi, K. Dynamics of Bone Loss in Cases with Acute or Chronic Apical Abscess. J. Endod. 2019, 45, 1114–1118. [Google Scholar] [CrossRef] [PubMed]
- Barone, A.; Ricci, M.; Tonelli, P.; Santini, S.; Covani, U. Tissue Changes of Extraction Sockets in Humans: A Comparison of Spontaneous Healing vs. Ridge Preservation with Secondary Soft Tissue Healing. Clin. Oral Implant. Res. 2012, 24, 1231–1237. [Google Scholar] [CrossRef]
- Broers, D.L.M.; Dubois, L.; de Lange, J.; Su, N.; de Jongh, A. Reasons for Tooth Removal in Adults: A Systematic Review. Int. Dent. J. 2022, 72, 52–57. [Google Scholar] [CrossRef]
- Tan, W.L.; Wong, T.L.T.; Wong, M.C.M.; Lang, N.P. A Systematic Review of Post-Extractional Alveolar Hard and Soft Tissue Dimensional Changes in Humans. Clin. Oral Implant. Res. 2012, 23, 1–21. [Google Scholar] [CrossRef]
- Araújo, M.G.; Silva, C.O.; Misawa, M.; Sukekava, F. Alveolar Socket Healing: What Can We Learn? Periodontol. 2000 2015, 68, 122–134. [Google Scholar] [CrossRef]
- Shapira, L.; Levin, B.P.; Stabholz, A. Long-Term Esthetic Complications Associated with Anterior Implant-Supported Restorations. Compend. Contin. Educ. Dent. 2021, 42, 358–363; quiz 364. [Google Scholar]
- Annunziata, M.; Guida, L.; Nastri, L.; Piccirillo, A.; Sommese, L.; Napoli, C. The Role of Autologous Platelet Concentrates in Alveolar Socket Preservation: A Systematic Review. Transfus. Med. Hemother. 2018, 45, 195–203. [Google Scholar] [CrossRef] [PubMed]
- MacBeth, N.; Trullenque-Eriksson, A.; Donos, N.; Mardas, N. Hard and Soft Tissue Changes Following Alveolar Ridge Preservation: A Systematic Review. Clin. Oral Implant. Res. 2017, 28, 982–1004. [Google Scholar] [CrossRef] [PubMed]
- Avila-Ortiz, G.; Chambrone, L.; Vignoletti, F. Effect of Alveolar Ridge Preservation Interventions Following Tooth Extraction: A Systematic Review and Meta-Analysis. J. Clin. Periodontol. 2019, 46, 195–223. [Google Scholar] [CrossRef] [PubMed]
- Janjua, O.S.; Qureshi, S.M.; Shaikh, M.S.; Alnazzawi, A.; Rodriguez-Lozano, F.J.; Pecci-Lloret, M.P.; Zafar, M.S. Autogenous Tooth Bone Grafts for Repair and Regeneration of Maxillofacial Defects: A Narrative Review. Int. J. Environ. Res. Public Health 2022, 19, 3690. [Google Scholar] [CrossRef]
- Jensen, A.T.; Jensen, S.S.; Worsaae, N. Complications Related to Bone Augmentation Procedures of Localized Defects in the Alveolar Ridge. A Retrospective Clinical Study. Oral Maxillofac. Surg. 2016, 20, 115–122. [Google Scholar] [CrossRef]
- Troeltzsch, M.; Troeltzsch, M.; Kauffmann, P.; Gruber, R.; Brockmeyer, P.; Moser, N.; Rau, A.; Schliephake, H. Clinical Efficacy of Grafting Materials in Alveolar Ridge Augmentation: A Systematic Review. J. Cranio-Maxillofac. Surg. 2016, 44, 1618–1629. [Google Scholar] [CrossRef]
- De Azambuja Carvalho, P.H.; dos Santos Trento, G.; Moura, L.B.; Cunha, G.; Gabrielli, M.A.C.; Pereira-Filho, V.A. Horizontal Ridge Augmentation Using Xenogenous Bone Graft—Systematic Review. Oral Maxillofac. Surg. 2019, 23, 271–279. [Google Scholar] [CrossRef]
- Gallo, S.; Pascadopoli, M.; Pellegrini, M.; Pulicari, F.; Manfredini, M.; Zampetti, P.; Spadari, F.; Maiorana, C.; Scribante, A. Latest Findings of the Regenerative Materials Application in Periodontal and Peri-Implant Surgery: A Scoping Review. Bioengineering 2022, 9, 594. [Google Scholar] [CrossRef]
- Graziani, F.; Karapetsa, D.; Mardas, N.; Leow, N.; Donos, N. Surgical Treatment of the Residual Periodontal Pocket. Periodontol. 2000 2018, 76, 150–163. [Google Scholar] [CrossRef]
- Del Corso, M.; Vervelle, A.; Simonpieri, A.; Jimbo, R.; Inchingolo, F.; Sammartino, G.; Dohan Ehrenfest, D.M. Current Knowledge and Perspectives for the Use of Platelet-Rich Plasma (PRP) and Platelet-Rich Fibrin (PRF) in Oral and Maxillofacial Surgery Part 1: Periodontal and Dentoalveolar Surgery. Curr. Pharm. Biotechnol. 2012, 13, 1207–1230. [Google Scholar] [CrossRef]
- Miron, R.J.; Fujioka-Kobayashi, M.; Bishara, M.; Zhang, Y.; Hernandez, M.; Choukroun, J. Platelet-Rich Fibrin and Soft Tissue Wound Healing: A Systematic Review. Tissue Eng. Part B Rev. 2017, 23, 83–99. [Google Scholar] [CrossRef] [PubMed]
- Alrayyes, Y.; Al-Jasser, R. Regenerative Potential of Platelet Rich Fibrin (PRF) in Socket Preservation in Comparison with Conventional Treatment Modalities: A Systematic Review and Meta-Analysis. Tissue Eng. Regen. Med. 2022, 19, 463–475. [Google Scholar] [CrossRef] [PubMed]
- Herrera-Vizcaíno, C.; Dohle, E.; Al-Maawi, S.; Booms, P.; Sader, R.; Kirkpatrick, C.; Choukroun, J.; Ghanaati, S. Platelet-Rich Fibrin Secretome Induces Three Dimensional Angiogenic Activation in Vitro. Eur. Cell Mater. 2019, 37, 250–264. [Google Scholar] [CrossRef] [PubMed]
- Mudalal, M.; Sun, X.; Li, X.; Zhou, Y. The Evaluation of Leukocyte-Platelet Rich Fibrin as an Anti-Inflammatory Autologous Biological Additive. Saudi Med. J. 2019, 40, 657–668. [Google Scholar] [CrossRef]
- Wang, J.; Li, W.; He, X.; Li, S.; Pan, H.; Yin, L. Injectable Platelet-Rich Fibrin Positively Regulates Osteogenic Differentiation of Stem Cells from Implant Hole via the ERK1/2 Pathway. Platelets 2023, 34, 2159020. [Google Scholar] [CrossRef]
- Neiva, R.F.; Gil, L.F.; Tovar, N.; Janal, M.N.; Marao, H.F.; Bonfante, E.A.; Pinto, N.; Coelho, P.G. The Synergistic Effect of Leukocyte Platelet-Rich Fibrin and Micrometer/Nanometer Surface Texturing on Bone Healing around Immediately Placed Implants: An Experimental Study in Dogs. Biomed. Res. Int. 2016, 2016, 1–9. [Google Scholar] [CrossRef]
- Öncü, E.; Alaaddinoğlu, E. The Effect of Platelet-Rich Fibrin on Implant Stability. Int. J. Oral Maxillofac. Implant. 2015, 30, 578–582. [Google Scholar] [CrossRef]
- Moy, P.K.; Aghaloo, T. Risk Factors in Bone Augmentation Procedures. Periodontol. 2000 2019, 81, 76–90. [Google Scholar] [CrossRef]
- Tarantino, U.; Cariati, I.; Greggi, C.; Gasbarra, E.; Belluati, A.; Ciolli, L.; Maccauro, G.; Momoli, A.; Ripanti, S.; Falez, F.; et al. Skeletal System Biology and Smoke Damage: From Basic Science to Medical Clinic. Int. J. Mol. Sci. 2021, 22, 6629. [Google Scholar] [CrossRef]
- Naseri, R.; Yaghini, J.; Feizi, A. Levels of Smoking and Dental Implants Failure: A Systematic Review and Meta-analysis. J. Clin. Periodontol. 2020, 47, 518–528. [Google Scholar] [CrossRef]
- McDaniel, J.C.; Browning, K.K. Smoking, Chronic Wound Healing, and Implications for Evidence-Based Practice. J. Wound Ostomy Cont. Nurs. 2014, 41, 415–423. [Google Scholar] [CrossRef] [PubMed]
- Alrayyes, Y.; Aloraini, S.; Alkhalaf, A.; Aljasser, R. Soft-Tissue Healing Assessment after Extraction and Socket Preservation Using Platelet-Rich Fibrin (PRF) in Smokers: A Single-Blinded, Randomized, Controlled Clinical Trial. Diagnostics 2022, 12, 2403. [Google Scholar] [CrossRef] [PubMed]
- Agnihotri, R.; Pandurang, P.; Kamath, S.U.; Goyal, R.; Ballal, S.; Shanbhogue, A.Y.; Kamath, U.; Bhat, G.S.; Bhat, K.M. Association of Cigarette Smoking with Superoxide Dismutase Enzyme Levels in Subjects with Chronic Periodontitis. J. Periodontol. 2009, 80, 657–662. [Google Scholar] [CrossRef]
- Fujioka-Kobayashi, M.; Miron, R.J.; Hernandez, M.; Kandalam, U.; Zhang, Y.; Choukroun, J. Optimized Platelet-Rich Fibrin with the Low-Speed Concept: Growth Factor Release, Biocompatibility, and Cellular Response. J. Periodontol. 2017, 88, 112–121. [Google Scholar] [CrossRef]
- Kim, M.; Huh, K.-H.; YI, W.-J.; Heo, M.-S.; Lee, S.-S.; Choi, S.-C. Evaluation of Accuracy of 3D Reconstruction Images Using Multi-Detector CT and Cone-Beam CT. Imaging Sci. Dent. 2012, 42, 25. [Google Scholar] [CrossRef] [PubMed]
- Tarallo, F.; Mancini, L.; Pitzurra, L.; Bizzarro, S.; Tepedino, M.; Marchetti, E. Use of Platelet-Rich Fibrin in the Treatment of Grade 2 Furcation Defects: Systematic Review and Meta-Analysis. J. Clin. Med. 2020, 9, 2104. [Google Scholar] [CrossRef]
- Moraschini, V.; Barboza, E.S.P. Effect of Autologous Platelet Concentrates for Alveolar Socket Preservation: A Systematic Review. Int. J. Oral Maxillofac. Surg. 2015, 44, 632–641. [Google Scholar] [CrossRef]
- Azangookhiavi, H.; Ghodsi, S.; Jalil, F.; Dadpour, Y. Comparison of the Efficacy of Platelet-Rich Fibrin and Bone Allograft for Alveolar Ridge Preservation after Tooth Extraction: A Clinical Trial. Front. Dent. 2020, 17, 1–6. [Google Scholar] [CrossRef]
- Clark, D.; Rajendran, Y.; Paydar, S.; Ho, S.; Cox, D.; Ryder, M.; Dollard, J.; Kao, R.T. Advanced Platelet-Rich Fibrin and Freeze-Dried Bone Allograft for Ridge Preservation: A Randomized Controlled Clinical Trial. J. Periodontol. 2018, 89, 379–387. [Google Scholar] [CrossRef]
- Lambert, P.M.; Morris, H.F.; Ochi, S. The Influence of Smoking on 3-Year Clinical Success of Osseointegrated Dental Implants. Ann. Periodontol. 2000, 5, 79–89. [Google Scholar] [CrossRef]
- Giorgetti, A.P.O.; César Neto, J.B.; Casati, M.Z.; Sallum, E.A.; Nociti Júnior, F.H. Cigarette Smoke Inhalation Influences Bone Healing of Post-Extraction Tooth Socket: A Histometric Study in Rats. Braz. Dent. J. 2012, 23, 228–234. [Google Scholar] [CrossRef]
- Gianluca, G. Role of Obesity Alcohol and Smoking on Bone Health. Front. Biosci. 2012, E4, 575. [Google Scholar] [CrossRef]
- De Campos, J.M.; Prati, A.J.; Cirano, F.R.; Pimentel, S.P.; Pastore, G.P.; Pecorari, V.G.; Ribeiro, F.V.; Casati, M.Z.; Casarin, R.C.V. Smoking Modulates Gene Expression of Type I Collagen, Bone Sialoprotein, and Osteocalcin in Human Alveolar Bone. J. Oral Maxillofac. Surg. 2015, 73, 2123–2131. [Google Scholar] [CrossRef]
- Stavropoulos, A.; Mardas, N.; Herrero, F.; Karring, T. Smoking Affects the Outcome of Guided Tissue Regeneration with Bioresorbable Membranes: A Retrospective Analysis of Intrabony Defects. J. Clin. Periodontol. 2004, 31, 945–950. [Google Scholar] [CrossRef] [PubMed]
- Wang, X.; Zhang, Y.; Choukroun, J.; Ghanaati, S.; Miron, R.J. Effects of an Injectable Platelet-Rich Fibrin on Osteoblast Behavior and Bone Tissue Formation in Comparison to Platelet-Rich Plasma. Platelets 2018, 29, 48–55. [Google Scholar] [CrossRef]
- Hauser, F.; Gaydarov, N.; Badoud, I.; Vazquez, L.; Bernard, J.-P.; Ammann, P. Clinical and Histological Evaluation of Postextraction Platelet-Rich Fibrin Socket Filling. Implant. Dent. 2013, 22, 295–303. [Google Scholar] [CrossRef] [PubMed]
- Temmerman, A.; Vandessel, J.; Castro, A.; Jacobs, R.; Teughels, W.; Pinto, N.; Quirynen, M. The Use of Leucocyte and Platelet-Rich Fibrin in Socket Management and Ridge Preservation: A Split-Mouth, Randomized, Controlled Clinical Trial. J. Clin. Periodontol. 2016, 43, 990–999. [Google Scholar] [CrossRef]
- Shiezadeh, F.; Taher, M.; Shooshtari, Z.; Arab, H.; Shafieian, R. Using Platelet-Rich Fibrin in Combination with Allograft Bone Particles Can Induce Bone Formation in Maxillary Sinus Augmentation. J. Oral Maxillofac. Surg. 2023. [Google Scholar] [CrossRef] [PubMed]
- Todaro, C.; Cerri, M.; Rodriguez y Baena, R.; Lupi, S.M. Full-Arch Guided Restoration and Bone Regeneration: A Complete Digital Workflow Case Report. Healthcare 2023, 11, 1301. [Google Scholar] [CrossRef] [PubMed]
- Xia, Y.; Xie, L.; Zhou, Y.; Song, T.; Zhang, F.; Gu, N. A New Method to Standardize CBCT for Quantitative Evaluation of Alveolar Ridge Preservation in the Mandible: A Case Report and Review of the Literature. Regen. Biomater. 2015, 2, 251–260. [Google Scholar] [CrossRef]
- Whetman, J.; Mealey, B.L. Effect of Healing Time on New Bone Formation after Tooth Extraction and Ridge Preservation with Demineralized Freeze-Dried Bone Allograft: A Randomized Controlled Clinical Trial. J. Periodontol. 2016, 87, 1022–1029. [Google Scholar] [CrossRef] [PubMed]
- Kuśnierek, W.; Brzezińska, K.; Nijakowski, K.; Surdacka, A. Smoking as a Risk Factor for Dry Socket: A Systematic Review. Dent. J. 2022, 10, 121. [Google Scholar] [CrossRef] [PubMed]
- Costa-Pinto, A.R.; Lemos, A.L.; Tavaria, F.K.; Pintado, M. Chitosan and Hydroxyapatite Based Biomaterials to Circumvent Periprosthetic Joint Infections. Materials 2021, 14, 804. [Google Scholar] [CrossRef] [PubMed]
- Butera, A.; Pascadopoli, M.; Pellegrini, M.; Gallo, S.; Zampetti, P.; Cuggia, G.; Scribante, A. Domiciliary Use of Chlorhexidine vs. Postbiotic Gels in Patients with Peri-Implant Mucositis: A Split-Mouth Randomized Clinical Trial. Appl. Sci. 2022, 12, 2800. [Google Scholar] [CrossRef]
Disclaimer/Publisher’s Note: The statements, opinions and data contained in all publications are solely those of the individual author(s) and contributor(s) and not of MDPI and/or the editor(s). MDPI and/or the editor(s) disclaim responsibility for any injury to people or property resulting from any ideas, methods, instructions or products referred to in the content. |
© 2023 by the authors. Licensee MDPI, Basel, Switzerland. This article is an open access article distributed under the terms and conditions of the Creative Commons Attribution (CC BY) license (https://creativecommons.org/licenses/by/4.0/).





