One-Step Enhancer: Deblurring and Denoising of OCT Images
Abstract
1. Introduction
2. Related Work
2.1. GAN-Based Speckle Removal
2.2. GAN-Based Deblurring
3. Proposed Method
3.1. Problem Formulation
3.2. Loss Function
3.3. Implementation and Data
3.4. Experimental Method and Performance Metrics
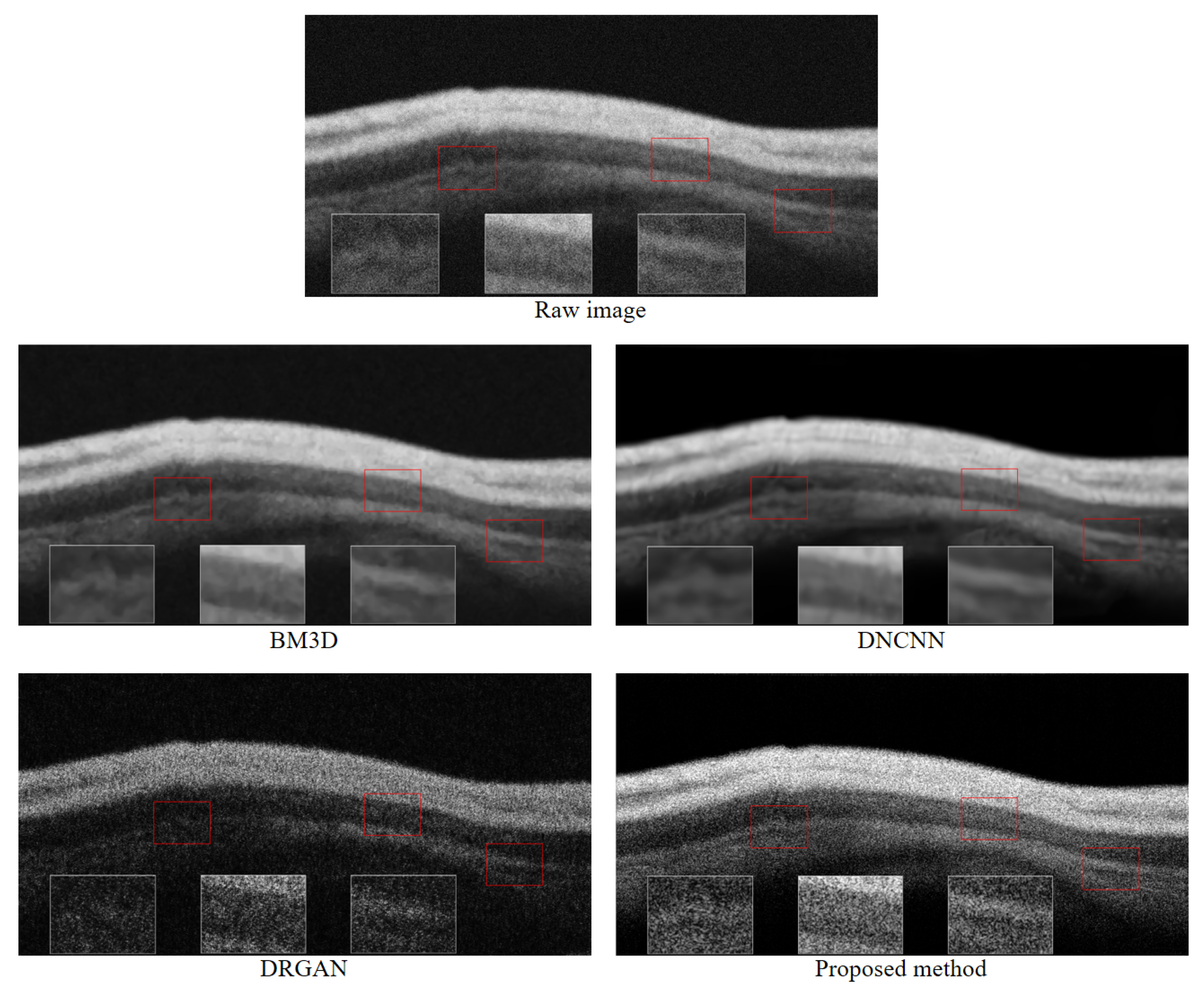
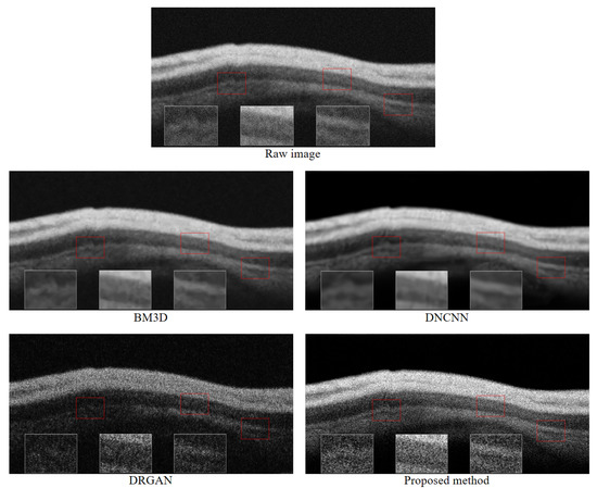
4. Experimental Results
4.1. Ablation Study Results
4.2. Performance Comparison Results
5. Conclusions
Author Contributions
Funding
Institutional Review Board Statement
Informed Consent Statement
Data Availability Statement
Conflicts of Interest
References
- Podoleanu, A.G. Optical coherence tomography. J. Microsc. 2012, 247, 209–219. [Google Scholar] [CrossRef] [PubMed]
- Drexler, W.; Morgner, U.; Ghanta, R.K.; Kärtner, F.X.; Schuman, J.S.; Fujimoto, J.G. Ultrahigh-resolution ophthalmic optical coherence tomography. Nat. Med. 2001, 7, 502–507. [Google Scholar] [CrossRef] [PubMed]
- Larin, K.V.; Ghosn, M.G.; Bashkatov, A.N.; Genina, E.A.; Trunina, N.A.; Tuchin, V.V. Optical clearing for OCT image enhancement and in-depth monitoring of molecular diffusion. IEEE J. Sel. Top. Quantum Electron. 2011, 18, 1244–1259. [Google Scholar] [CrossRef]
- Chong, B.; Zhu, Y.K. Speckle reduction in optical coherence tomography images of human finger skin by wavelet modified BM3D filter. Opt. Commun. 2013, 291, 461–469. [Google Scholar] [CrossRef]
- Maggioni, M.; Katkovnik, V.; Egiazarian, K.; Foi, A. Nonlocal transform-domain filter for volumetric data denoising and reconstruction. IEEE Trans. Image Process. 2012, 22, 119–133. [Google Scholar] [CrossRef]
- Adabi, S.; Turani, Z.; Fatemizadeh, E.; Clayton, A.; Nasiriavanaki, M. Optical coherence tomography technology and quality improvement methods for optical coherence tomography images of skin: A short review. Biomed. Eng. Comput. Biol. 2017, 8, 1179597217713475. [Google Scholar] [CrossRef] [PubMed]
- Li, M.; Idoughi, R.; Choudhury, B.; Heidrich, W. Statistical model for OCT image denoising. Biomed. Opt. Express 2017, 8, 3903–3917. [Google Scholar] [CrossRef] [PubMed]
- Zhang, K.; Zuo, W.; Chen, Y.; Meng, D.; Zhang, L. Beyond a Gaussian denoiser: Residual learning of deep CNN for image denoising. IEEE Trans. Image Process. 2017, 26, 3142–3155. [Google Scholar] [CrossRef] [PubMed]
- Rico-Jimenez, J.J.; Hu, D.; Tang, E.M.; Oguz, I.; Tao, Y.K. Real-time OCT image denoising using a self-fusion neural network. Biomed. Opt. Express 2022, 13, 1398–1409. [Google Scholar] [CrossRef] [PubMed]
- Guo, Y.; Wang, K.; Yang, S.; Wang, Y.; Gao, P.; Xie, G.; Lv, C.; Lv, B. Structure-aware noise reduction generative adversarial network for optical coherence tomography image. In Proceedings of the International Workshop on Ophthalmic Medical Image Analysis, Shenzhen, China, 17 October 2019; pp. 9–17. [Google Scholar]
- Tian, C.; Yang, J.; Li, P.; Zhang, S.; Mi, S. Retinal fundus image superresolution generated by optical coherence tomography based on a realistic mixed attention GAN. Med. Phys. 2022, 49, 3185–3198. [Google Scholar] [CrossRef] [PubMed]
- Manakov, I.; Rohm, M.; Kern, C.; Schworm, B.; Kortuem, K.; Tresp, V. Noise as domain shift: Denoising medical images by unpaired image translation. In Proceedings of the Domain Adaptation and Representation Transfer and Medical Image Learning with Less Labels and Imperfect Data, International Workshop on Medical Image Learning with Less Labels and Imperfect Data, Shenzhen, China, 17 October 2019; pp. 3–10. [Google Scholar]
- Kande, N.A.; Dakhane, R.; Dukkipati, A.; Yalavarthy, P.K. SiameseGAN: A generative model for denoising of spectral domain optical coherence tomography images. IEEE Trans. Med. Imaging 2020, 40, 180–192. [Google Scholar] [CrossRef]
- Zhu, J.Y.; Zhang, R.; Pathak, D.; Darrell, T.; Efros, A.A.; Wang, O.; Shechtman, E. Toward multimodal image-to-image translation. In Proceedings of the Advances in Neural Information Processing Systems, Long Beach, CA, USA, 4–9 December 2017; Volume 30. [Google Scholar]
- Lee, H.Y.; Tseng, H.Y.; Huang, J.B.; Singh, M.; Yang, M.H. Diverse image-to-image translation via disentangled representations. In Proceedings of the European Conference on Computer Vision (ECCV), Munich, Germany, 8–14 September 2018; pp. 35–51. [Google Scholar]
- Huang, Y.; Xia, W.; Lu, Z.; Liu, Y.; Chen, H.; Zhou, J.; Fang, L.; Zhang, Y. Noise-powered disentangled representation for unsupervised speckle reduction of optical coherence tomography images. IEEE Trans. Med. Imaging 2020, 40, 2600–2614. [Google Scholar] [CrossRef] [PubMed]
- Hershey, J.R.; Olsen, P.A. Approximating the Kullback Leibler Divergence Between Gaussian Mixture Models. In Proceedings of the 2007 IEEE International Conference on Acoustics, Speech and Signal Processing—ICASSP’07, Honolulu, HI, USA, 15–20 April 2007; Volume 4, pp. IV-317–IV-320. [Google Scholar] [CrossRef]
- Das, V.; Dandapat, S.; Bora, P.K. Unsupervised super-resolution of OCT images using generative adversarial network for improved age-related macular degeneration diagnosis. IEEE Sens. J. 2020, 20, 8746–8756. [Google Scholar] [CrossRef]
- Guo, A.; Fang, L.; Qi, M.; Li, S. Unsupervised denoising of optical coherence tomography images with nonlocal-generative adversarial network. IEEE Trans. Instrum. Meas. 2020, 70, 1–12. [Google Scholar] [CrossRef]
- Zhu, J.Y.; Park, T.; Isola, P.; Efros, A.A. Unpaired image-to-image translation using cycle-consistent adversarial networks. In Proceedings of the IEEE International Conference on Computer Vision, Venice, Italy, 22–29 October 2017; pp. 2223–2232. [Google Scholar]
- Lu, B.; Chen, J.C.; Chellappa, R. Unsupervised domain-specific deblurring via disentangled representations. In Proceedings of the IEEE/CVF Conference on Computer Vision and Pattern Recognition, Long Beach, CA, USA, 15–20 June 2019; pp. 10225–10234. [Google Scholar]
- Kingma, D.P.; Welling, M. Auto-encoding variational bayes. arXiv 2013, arXiv:1312.6114. [Google Scholar]
- Park, T.; Liu, M.Y.; Wang, T.C.; Zhu, J.Y. Semantic image synthesis with spatially-adaptive normalization. In Proceedings of the IEEE/CVF Conference on Computer Vision and Pattern Recognition, Long Beach, CA, USA, 15–20 June 2019; pp. 2337–2346. [Google Scholar]
- Karras, T.; Laine, S.; Aila, T. A style-based generator architecture for generative adversarial networks. In Proceedings of the IEEE/CVF Conference on Computer Vision and Pattern Recognition, Long Beach, CA, USA, 15–20 June 2019; pp. 4401–4410. [Google Scholar]
- Mäkinen, Y.; Azzari, L.; Foi, A. Collaborative filtering of correlated noise: Exact transform-domain variance for improved shrinkage and patch matching. IEEE Trans. Image Process. 2020, 29, 8339–8354. [Google Scholar] [CrossRef] [PubMed]
- Wang, Z.; Bovik, A.; Sheikh, H.; Simoncelli, E. Image quality assessment: From error visibility to structural similarity. IEEE Trans. Image Process. 2004, 13, 600–612. [Google Scholar] [CrossRef] [PubMed]





| Metrics (Mean ± std) | ||
|---|---|---|
| Method | PSNR | SSIM |
| Original images | 8.94 ± 2.01 | 0.34 ± 0.14 |
| Denoise module | 19.53 ± 1.87 | 0.58 ± 0.20 |
| Deblur module | 17.55 ± 1.52 | 0.47 ± 0.12 |
| OSE | 26.71 ± 2.21 | 0.81 ± 0.16 |
| Metrics (Mean ± std) | ||
|---|---|---|
| Method | PSNR | SSIM |
| Original images | 8.94 ± 2.01 | 0.34 ± 0.14 |
| BM3D | 24.11 ± 1.04 | 0.71 ± 0.08 |
| DnCNN | 23.99 ± 2.70 | 0.78 ± 0.24 |
| DRGAN | 16.77 ± 1.04 | 0.61 ± 0.10 |
| OSE | 26.71 ± 2.21 | 0.81 ± 0.16 |
| Mean Processing Time (s) | ||
|---|---|---|
| Method | CPU | GPU |
| BM3D | 45.69 | - |
| DnCNN | 11.14 | 0.17 |
| DRGAN | 3.77 | 0.14 |
| OSE | 3.86 | 0.12 |
Publisher’s Note: MDPI stays neutral with regard to jurisdictional claims in published maps and institutional affiliations. |
© 2022 by the authors. Licensee MDPI, Basel, Switzerland. This article is an open access article distributed under the terms and conditions of the Creative Commons Attribution (CC BY) license (https://creativecommons.org/licenses/by/4.0/).
Share and Cite
Li, S.; Azam, M.A.; Gunalan, A.; Mattos, L.S. One-Step Enhancer: Deblurring and Denoising of OCT Images. Appl. Sci. 2022, 12, 10092. https://doi.org/10.3390/app121910092
Li S, Azam MA, Gunalan A, Mattos LS. One-Step Enhancer: Deblurring and Denoising of OCT Images. Applied Sciences. 2022; 12(19):10092. https://doi.org/10.3390/app121910092
Chicago/Turabian StyleLi, Shunlei, Muhammad Adeel Azam, Ajay Gunalan, and Leonardo S. Mattos. 2022. "One-Step Enhancer: Deblurring and Denoising of OCT Images" Applied Sciences 12, no. 19: 10092. https://doi.org/10.3390/app121910092
APA StyleLi, S., Azam, M. A., Gunalan, A., & Mattos, L. S. (2022). One-Step Enhancer: Deblurring and Denoising of OCT Images. Applied Sciences, 12(19), 10092. https://doi.org/10.3390/app121910092

