Spatiotemporal Ultrastructural, Histological, and Morphometric Changes in the Buccal Cavity of Grass Carp (Ctenopharyngodon idella) During Fingerling, Yearling, and Adult Stages
Simple Summary
Abstract
1. Introduction
2. Materials and Methods
2.1. Fish Sampling
2.2. Gross Morphology and Stereomicroscopy
2.3. Histological and Histochemical Analysis
2.4. Scanning Electron Microscopy Analysis
2.5. Morphometric Analysis
2.6. Statistical Analysis
3. Results
3.1. Gross Appearance of the Mouth in Fingerling, Yearling, and Adult C. idella
3.2. Surface Ultrastructure of the Buccal Cavity in Fingerling, Yearling, and Adult C. idella
3.2.1. C. idella Fingerlings
Roof of the Buccal Cavity
Floor of the Buccal Cavity
3.2.2. C. idella Yearlings
Roof of the Buccal Cavity
Floor of the Buccal Cavity
3.2.3. Adult C. idella
Roof of the Buccal Cavity
Floor of the Buccal Cavity
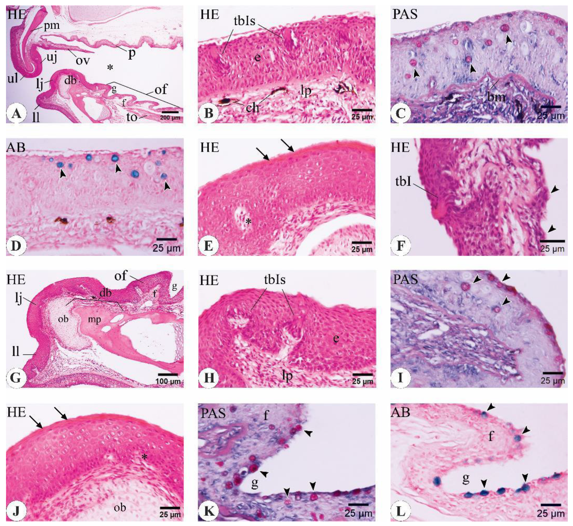
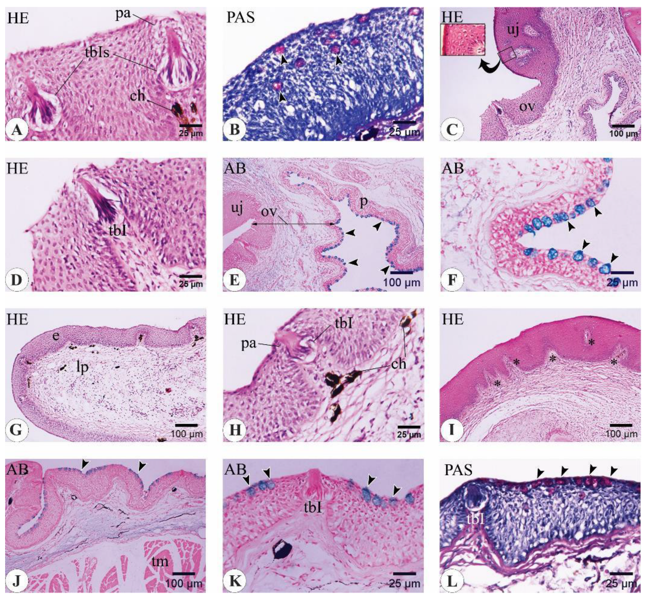
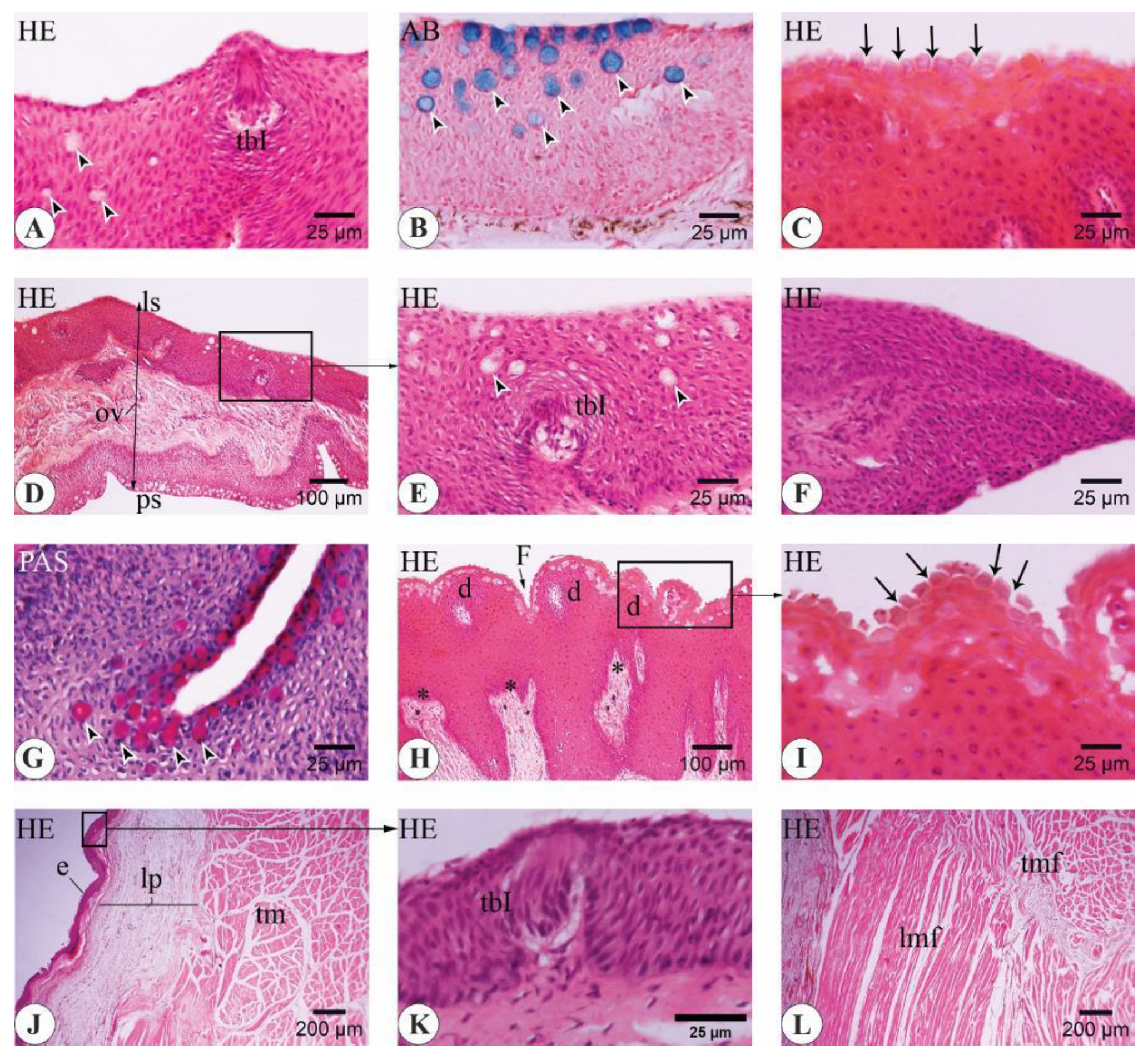
3.3. Histological Features of the Buccal Cavity in Fingerling, Yearling, and Adult C. idella
3.3.1. C. idella Fingerlings
3.3.2. C. idella Yearlings
3.3.3. Adult C. idella
3.4. Morphometry of the Buccal Mucosa in Fingerling, Yearling, and Adult C. idella
4. Discussion
5. Conclusions
Author Contributions
Funding
Institutional Review Board Statement
Informed Consent Statement
Data Availability Statement
Acknowledgments
Conflicts of Interest
References
- Teresa, O.; Maciej, K. Digestive System. In The Histology of Fishes; CRC Press: Boca Raton, FL, USA, 2019; pp. 88–106. [Google Scholar]
- Pan, Y.K.; Perry, S.F. The control of breathing in fishes–historical perspectives and the path ahead. J. Exp. Biol. 2023, 226, jeb245529. [Google Scholar] [CrossRef] [PubMed]
- Sado, R.Y.; de Souza, F.C.; Behr, E.R.; Mocha, P.R.E.; Baldisserotto, B. Anatomy of Teleosts and elasmobranchs. In Biology and Physiology of Freshwater Neotropical Fish; Academic Press: Cambridge, MA, USA, 2020; pp. 21–47. [Google Scholar]
- Abdellatif, A.M.; Lashen, S.; Kandyel, R.M.; Shoeib, M.B.; Madkour, F.A. Age-related morphological and ultrastructural changes in the palate and pharyngeal masticatory apparatus of grass carp (Ctenopharyngodon idella) juveniles. Tissue Cell 2024, 86, 102264. [Google Scholar] [CrossRef] [PubMed]
- Gamal, A.M.; Elsheikh, E.H.; Nasr, E.S. Morphological adaptation of the buccal cavity in relation to feeding habits of the omnivorous fish Clarias gariepinus: A scanning electron microscopic study. J. Basic Appl. Zool. 2012, 65, 191–198. [Google Scholar] [CrossRef]
- Ueda, H. Chemoreception in Fishes. In Oxford Research Encyclopedia of Neuroscience; Oxford University Press: Oxford, UK, 2021. [Google Scholar]
- Komada, N. Distribution of taste buds in the oropharyngeal cavity of fry and fingerling amago salmon, Oncorhynchus rhodurus. Jpn. J. Ichthyol. 1993, 40, 110–116. [Google Scholar]
- Zhao, Y.; Zhang, L.; Wang, C.; Xie, C. Biology and ecology of grass carp in China: A review and synthesis. N. Am. J. Fish. Manag. 2020, 40, 1379–1399. [Google Scholar] [CrossRef]
- Zonneveld, N.; Van Zon, H. The biology and culture of grass carp (Ctenopharyngodon idella), with special reference to their utilisation for weed control. In Recent Advances in Aquaculture; Muir, J.F., Roberts, R.J., Eds.; Routledge: London, UK, 2019; pp. 119–191. [Google Scholar]
- Guo, D.; Xie, M.; Xiao, H.; Xu, L.; Zhang, S.; Chen, X.; Wu, Z. Bacillus subtilis supplementation in a high-fat diet modulates the gut microbiota and ameliorates hepatic lipid accumulation in grass carp (Ctenopharyngodon idella). Fishes 2022, 7, 94. [Google Scholar] [CrossRef]
- Shen, Z.; Zhang, Q.; Li, L.; Li, D.; Takagi, Y.; Zhang, X. Properties of Grass Carp (Ctenopharyngodon idella) Collagen and Gel for Application in Biomaterials. Gels 2022, 8, 699. [Google Scholar] [CrossRef]
- Kamilov, B.G.; Komrakova, M.Y. Growth and maturation of the grass carp, Ctenopharyngodon idella, in Uzbekistan. Pak. J. Zool. 2003, 35, 115–118. [Google Scholar]
- Taher, M.M.; Al-Noor, S.S.; Mojer, A.M.; Dubakel, A.Y.A.; Muhammed, S.J.; Sabti, Z.A. Growth comparison of common and grass carp cultivated in earthen ponds. Int. J. Aquat. Sci. 2021, 12, 5190–5202. [Google Scholar]
- Cudmore, B.; Mandrak, N.E. Biological synopsis of grass carp (Ctenopharyngodon idella). Can. Manuscr. Rep. Fish. Aquat. Sci. 2004, 2705, 1–44. [Google Scholar]
- Bozkurt, Y.; Yavas, İ.; Gül, A.; Balcı, B.A.; Çetin, N.C. Importance of Grass Carp (Ctenopharyngodon idella) for Controlling of Aquatic Vegetation. In Grasses—Benefits, Diversities and Functional Roles; Amjad, A., Sammera Mohamed Salih, A.-S., Eds.; IntechOpen: Rijeka, Croatia, 2017; pp. 29–39. [Google Scholar]
- Opuszynski, K.; Shireman, J.V. Herbivorous Fishes: Culture and Use for Weed Management; CRC Press: Boca Raton, FL, USA, 2019. [Google Scholar]
- Wilson, J.M.; Bunte, R.M.; Carty, A.J. Evaluation of rapid cooling and tricaine methanesulfonate (MS222) as methods of euthanasia in zebrafish (Danio rerio). J. Am. Assoc. Lab. Anim. Sci. 2009, 48, 785–789. [Google Scholar] [PubMed]
- NRC. Guide for the Care and Use of Laboratory Animals, 8th ed.; National Research Council, Ed.; The National Academies Press: Washington, DC, USA, 2011. [Google Scholar]
- Bancroft, J.D.; Layton, C. The hematoxylins and eosin. In Bancroft’s Theory and Practice of Histological Techniques; Elsevier: Amsterdam, The Netherlands, 2012; Volume 7, pp. 173–186. [Google Scholar]
- McManus, J. Histological demonstration of mucin after periodic acid. Nature 1946, 158, 202. [Google Scholar] [CrossRef]
- Mowry, R.W. Alcian blue technics for the histochemical suudy of acidic carbohydrates. J. Histochem. Cytochem. 1956, 4, 407. [Google Scholar]
- Abdellatif, A.M.; Farag, A.; Metwally, E. Anatomical, histochemical, and immunohistochemical observations on the gastrointestinal tract of Gallinula chloropus (Aves: Rallidae). BMC Zoology 2022, 7, 61. [Google Scholar] [CrossRef] [PubMed]
- Madkour, F.A.; Abdellatif, A.M.; Osman, Y.A.; Kandyel, R.M. Histological and ultrastructural characterization of the dorso-ventral skin of the juvenile and the adult starry puffer fish (Arothron stellatus, Anonymous 1798). BMC Vet. Res. 2023, 19, 221. [Google Scholar] [CrossRef]
- Abdellatif, A.M. Structure of the Eurasian moorhen spleen: A comprehensive study using gross anatomy, light, and transmission electron microscopy. Microsc. Res. Tech. 2021, 84, 1696–1709. [Google Scholar] [CrossRef]
- Rueden, C.T.; Schindelin, J.; Hiner, M.C.; DeZonia, B.E.; Walter, A.E.; Arena, E.T.; Eliceiri, K.W. ImageJ2: ImageJ for the next generation of scientific image data. BMC Bioinform. 2017, 18, 529. [Google Scholar] [CrossRef]
- Abdellatif, A.M.; Oishi, H.; Itagaki, T.; Jung, Y.; Shawki, H.H.; Okita, Y.; Hasegawa, Y.; Suzuki, H.; El-Morsy, S.E.; El-Sayed, M.A.; et al. β-Cell-Specific Mafk Overexpression Impairs Pancreatic Endocrine Cell Development. PLoS ONE 2016, 11, e0150010. [Google Scholar] [CrossRef]
- Motta, P.J. Mechanics and functions of jaw protrusion in teleost fishes: A review. Copeia 1984, 1984, 1–18. [Google Scholar] [CrossRef]
- Alsafy, M.; Madkour, N.F.; El-Bakary, R.; Karkoura, A.; El-Gendy, S.; Abumandour, M.M.A. Ultrastructural comparison between the oral cavity floor of the juvenile and adult Epinephelus aeneus: New vision of aging development and its carnivorous adaptation. Microsc. Res. Tech. 2022, 85, 767–780. [Google Scholar] [CrossRef]
- Madkour, N.F.; Abumandour, M.M.A.; El-Bakary, R.; Karkoura, A.; El-Gendy, S.; Alsafy, M. Ultrastructural focus on the oral cavity roof of the juvenile and adult white grouper (Epinephelus aeneus): Novel view of its development with carnivorous adaptation. Microsc. Res. Tech. 2022, 85, 3804–3816. [Google Scholar] [CrossRef] [PubMed]
- El Bakary, N. Comparative scanning electron microscope study of the buccal cavity in juvenile and adult sea bass (Dicentrachus labrax). World Appl. Sci. J. 2011, 12, 1133–1138. [Google Scholar]
- Yashpal, M.; Kumari, U.; Mittal, S.; Mittal, A.K. Morphological specializations of the buccal cavity in relation to the food and feeding habit of a carp Cirrhinus mrigala: A scanning electron microscopic investigation. J. Morphol. 2009, 270, 714–728. [Google Scholar] [CrossRef] [PubMed]
- Elsheikh, E.H.; Nasr, E.S.; Gamal, A.M. Ultrastructure and distribution of the taste buds in the buccal cavity in relation to the food and feeding habit of a herbivorous fish: Oreochromis niloticus. Tissue Cell 2012, 44, 164–169. [Google Scholar] [CrossRef] [PubMed]
- Sayed, A.E.H.; Mahmoud, U.M.; Essa, F. The microstructure of buccal cavity and alimentary canal of Siganus rivulatus: Scanning electron microscope study. Microsc. Res. Tech. 2019, 82, 443–451. [Google Scholar] [CrossRef]
- Tripathi, P.; Mittal, A.K. Diversity of lips and associated structures in fishes by SEM. In Scanning Electron Microscopy; InTechOpen: London, UK, 2012. [Google Scholar]
- Yashpal, M.; Kumari, U.; Mittal, S.; Kumar Mittal, A. Surface architecture of the mouth cavity of a carnivorous fish Rita rita (Hamilton, 1822) (Siluriformes, Bagridae). Belg. J. Zool. 2006, 136, 155. [Google Scholar]
- Alsafy, M.; Madkour, N.F.; El-Bakary, R.; Karkoura, A.; El-Gendy, S.; Zaki, M.A.; Tanekhy, M.; Abumandour, M.M.A. Age-related ultrastructural characterizations of the teeth of the white grouper (Epinephelus aeneus) in the different three age-stages. Microsc. Res. Tech. 2021, 84, 1115–1134. [Google Scholar] [CrossRef]
- Abumandour, M.M.A.; Massoud, E.; El-Kott, A.; Morsy, K.; El-Bakary, N.E.R.; Kandyle, R. An ultrastructural focus on the buccal cavity of the grey gurnard Eutrigla gurnardus (Linnaeus, 1758): Adaptative dietary implications. Microsc. Res. Tech. 2021, 84, 2130–2139. [Google Scholar] [CrossRef]
- Timár, F.; Soós, G.; Szende, B.; Horváth, A. Interdigitation index—A parameter for differentiating between young and older skin specimens. Ski. Res. Technol. 2000, 6, 17–20. [Google Scholar] [CrossRef]
- Alsafy, M.; Bassuoni, N.F.; Hanafy, B.G. Gross morphology and scanning electron microscopy of the Bagrus bayad (Forskal, 1775) oropharyngeal cavity with emphasis to teeth-food adaptation. Microsc. Res. Tech. 2018, 81, 878–886. [Google Scholar] [CrossRef]
- Nandi, S.; Saikia, S.K. Scanning electron microscopic and histological studies of the buccal cavity of a phytoplanktivorous small freshwater fish, Amblypharyngodon mola. Microsc. Res. Tech. 2021, 84, 119–124. [Google Scholar] [CrossRef] [PubMed]
- El-Bakary, N.E.R.; Alsafy, M.A.M.; Rutland, C.S.; El-Gendy, S.A.A.; Kamal, B.M. Anatomical oropharyngeal cavity specialisations in the cutlassfish (Trichiurus lepturus, Linnaeus, 1758). Anat. Histol. Embryol. 2023, 52, 862–873. [Google Scholar] [CrossRef] [PubMed]
- Onuk, B.; Yardımcı, B.; Selviler-Sizer, S.; Kabak, M. Morphology of the tongue dorsal surface of turbot (Scophthalmus maximus). Microsc. Res. Tech. 2022, 85, 2795–2800. [Google Scholar] [CrossRef] [PubMed]
- Abbate, F.; Guerrera, M.C.; Montalbano, G.; De Carlos, F.; Suárez, A.Á.; Ciriaco, E.; Germanà, A. Morphology of the European sea bass (Dicentrarchus labrax) tongue. Microsc. Res. Tech. 2012, 75, 643–649. [Google Scholar] [CrossRef]
- Yashpal, M.; Mittal, A.K. Serous goblet cells: The protein secreting cells in the oral cavity of a catfish, Rita rita (Hamilton, 1822) (Bagridae, Siluriformes). Tissue Cell 2014, 46, 9–14. [Google Scholar] [CrossRef]
- Scocco, P.; Accili, D.; Menghi, G.; Ceccarelli, P. Unusual glycoconjugates in the oesophagus of a tilapine polyhybrid. J. Fish Biol. 1998, 53, 39–48. [Google Scholar] [CrossRef]
- Pedersen, A.; Bardow, A.; Jensen, S.B.; Nauntofte, B. Saliva and gastrointestinal functions of taste, mastication, swallowing and digestion. Oral Dis. 2002, 8, 117–129. [Google Scholar] [CrossRef]
- Yashpal, M.; Kumari, U.; Mittal, S.; Mittal, A.K. Glycoproteins in the Buccal Epithelium of a Carp, Cirrhinus mrigala (Pisces, Cyprinidae): A Histochemical Profile. Anat. Histol. Embryol. 2014, 43, 116–132. [Google Scholar] [CrossRef]
- Díaz, A.O.; García, A.M.; Escalante, A.H.; Goldemberg, A.L. Glycoproteins histochemistry of the gills of Odontesthes bonariensis (Teleostei, Atherinopsidae). J. Fish Biol. 2010, 77, 1665–1673. [Google Scholar] [CrossRef]
- Chen, G.; Xiong, L.; Wang, Y.; He, L.; Huang, R.; Liao, L.; Zhu, Z.; Wang, Y. Different responses in one-year-old and three-year-old grass carp reveal the mechanism of age restriction of GCRV infection. Fish Shellfish Immunol. 2019, 86, 702–712. [Google Scholar] [CrossRef]
- Whitear, M. The skin of fishes including cyclostomes. In Biology of the Integument: Vol. 2 Vertebrates; Bereiter-Hahn, J., Matoltsy, A.G., Richards, K.S., Eds.; Springer: Berlin, Germany, 1986. [Google Scholar]
- Elliott, D.G. THE SKIN | Functional morphology of the integumentary system in fishes. In Encyclopedia of Fish Physiology; Farrell, A.P., Ed.; Academic Press: San Diego, CA, USA, 2011. [Google Scholar]
- Døving, K.B.; Kasumyan, A.O. Chemoreception. In Fish Larval Physiology; CRC Press: Boca Raton, FL, USA, 2020; pp. 331–394. [Google Scholar]












| Part | Fingerling | Yearling | Adult |
|---|---|---|---|
| UL |
|
|
|
| UJ |
|
|
|
| V |
|
|
|
| P |
|
|
|
| LL |
|
|
|
| LJ |
|
|
|
| OF |
|
|
|
| Part | Type of GC | Fingerling | Yearling | Adult |
|---|---|---|---|---|
| UL | AGC | 526 ± 58 a | 583 ± 54 a | 913 ± 107 b |
| NGC | 519 ± 62 a | 576 ± 61 a | 945 ± 66 b | |
| UJ | AGC | nd | nd | nd |
| NGC | nd | nd | nd | |
| OV-ls | AGC | 204 ± 26 a | 413 ± 95 b | 891 ± 61 c |
| NGC | 201 ± 27 a | 399 ± 73 b | 884 ± 59 c | |
| OV-ps | AGC | 402 ± 44 a | 599 ± 61 b | 1233 ± 106 c |
| NGC | 393 ± 58 a | 594 ± 47 b | 1242 ± 65 c | |
| P | AGC | 792 ± 103 a | 863 ± 79 a | 1624 ± 96 b |
| NGC | 789 ± 76 a | 871 ± 65 a | 1631 ± 78 b | |
| LL | AGC | 425 ± 101 a | 438 ± 66 a | 864 ± 65 b |
| NGC | 417 ± 88 a | 451 ± 56 a | 858 ± 51 b | |
| LJ | AGC | nd | nd | nd |
| NGC | nd | nd | nd | |
| OF | AGC | 786 ± 39 a | 834 ± 92 a | 1318 ± 70 b |
| NGC | 797 ± 46 a | 819 ± 108 a | 1323 ± 73 b |
Disclaimer/Publisher’s Note: The statements, opinions and data contained in all publications are solely those of the individual author(s) and contributor(s) and not of MDPI and/or the editor(s). MDPI and/or the editor(s) disclaim responsibility for any injury to people or property resulting from any ideas, methods, instructions or products referred to in the content. |
© 2024 by the authors. Licensee MDPI, Basel, Switzerland. This article is an open access article distributed under the terms and conditions of the Creative Commons Attribution (CC BY) license (https://creativecommons.org/licenses/by/4.0/).
Share and Cite
Abdellatif, A.M.; Ateya, A.I.; Hasan, K.A.; Alghamdi, M.A.; Madkour, F.A. Spatiotemporal Ultrastructural, Histological, and Morphometric Changes in the Buccal Cavity of Grass Carp (Ctenopharyngodon idella) During Fingerling, Yearling, and Adult Stages. Animals 2024, 14, 3162. https://doi.org/10.3390/ani14213162
Abdellatif AM, Ateya AI, Hasan KA, Alghamdi MA, Madkour FA. Spatiotemporal Ultrastructural, Histological, and Morphometric Changes in the Buccal Cavity of Grass Carp (Ctenopharyngodon idella) During Fingerling, Yearling, and Adult Stages. Animals. 2024; 14(21):3162. https://doi.org/10.3390/ani14213162
Chicago/Turabian StyleAbdellatif, Ahmed M., Ahmed I. Ateya, Khadiga A. Hasan, Mansour A. Alghamdi, and Fatma A. Madkour. 2024. "Spatiotemporal Ultrastructural, Histological, and Morphometric Changes in the Buccal Cavity of Grass Carp (Ctenopharyngodon idella) During Fingerling, Yearling, and Adult Stages" Animals 14, no. 21: 3162. https://doi.org/10.3390/ani14213162
APA StyleAbdellatif, A. M., Ateya, A. I., Hasan, K. A., Alghamdi, M. A., & Madkour, F. A. (2024). Spatiotemporal Ultrastructural, Histological, and Morphometric Changes in the Buccal Cavity of Grass Carp (Ctenopharyngodon idella) During Fingerling, Yearling, and Adult Stages. Animals, 14(21), 3162. https://doi.org/10.3390/ani14213162

