Effects of Astaxanthin on Growth Performance, Gut Structure, and Intestinal Microorganisms of Penaeus vannamei under Microcystin-LR Stress
Abstract
:Simple Summary
Abstract
1. Introduction
2. Materials and Methods
2.1. Preparation of AX and MC-LR
2.2. Shrimp and Rearing Conditions
2.3. Experimental Design
2.4. Sample Collection and Growth Performance
2.5. Histopathological Analysis of the Intestine
2.6. DNA Extraction and Amplification
2.7. Library Construction and Sequencing
2.8. Bioinformatic Analysis
2.9. Statistical Analysis
3. Results
3.1. Growth Performance
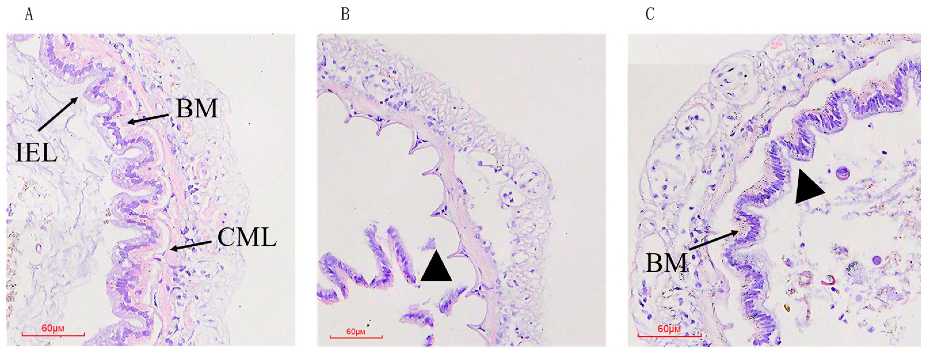
3.2. Intestinal Histological Alterations
3.3. Intestinal Microbiota Changes
3.3.1. Richness and Diversity
3.3.2. Intestinal Microbial Composition
3.3.3. Changes in the Intestinal Bacterial Phylotypes
4. Discussion
5. Conclusions
Author Contributions
Funding
Institutional Review Board Statement
Informed Consent Statement
Data Availability Statement
Acknowledgments
Conflicts of Interest
References
- Filho, M.E.S.M.; Owatari, M.S.; Mourio, J.L.P.; Carciofi, B.A.M.; Soares, H.M. Empirical modeling of feed conversion in Pacific white shrimp (Litopenaeus vannamei) growth. Ecol. Model. 2020, 437, 109291. [Google Scholar] [CrossRef]
- Francisco, J.; Martínez, C. Foreword. Aquacult. Econ. Manag. 2004, 8, 115. [Google Scholar] [CrossRef]
- Carla, K.; Ana, M.; Gabriela, M.E.; Romina, T.; Gastón, M.; Segura, A.M.; Claudia, P.; Beatriz, B.; Beatriz, Y.; Graciela, F.; et al. Rapid freshwater discharge on the coastal ocean as a mean of long distance spreading of an unprecedented toxic cyanobacteria bloom. Sci. Total Environ. 2021, 754, 142362. [Google Scholar] [CrossRef]
- He, Q.Q.; Wang, W.J.; Xu, Q.Q.; Liu, Z.M.; Teng, J.H.; Yan, H.; Liu, X.L. Microcystins in Water: Detection, Microbial Degradation Strategies, and Mechanisms. Int. J. Environ. Res. Public Health 2022, 19, 13175. [Google Scholar] [CrossRef] [PubMed]
- Campos, A.; Vasconcelos, V. Molecular mechanisms of microcystin toxicity in animal cells. Int. J. Mol. Sci. 2010, 11, 268–287. [Google Scholar] [CrossRef] [PubMed]
- Chen, L.; Xie, P. Mechanisms of Microcystin-induced Cytotoxicity and Apoptosis. Mini Rev. Med. Chem. 2016, 16, 1018–1031. [Google Scholar] [CrossRef] [PubMed]
- Chen, J.; Xie, P.; Zhang, D.W.; Lei, H.H. In situ studies on the distribution patterns and dynamics of microcystins in a biomanipulation fish-bighead carp (Aristichthys nobilis). Environ. Pollut. 2007, 147, 150–157. [Google Scholar] [CrossRef]
- Xie, L.Q.; Xie, P.; Guo, L.G.; Li, L.; Miyabara, Y.; Park, H.D. Organ distribution and bioaccumulation of microcystins in freshwater fish at different trophic levels from the eutrophic Lake Chaohu, China. Environ. Toxicol. 2005, 20, 293–300. [Google Scholar] [CrossRef]
- Mohamed, Z.A.; Carmichael, W.W.; Hussein, A.A. Estimation of microcystins in the freshwater fish Oreochromis niloticus in an Egyptian fish farm containing a Microcystis bloom. Environ. Toxicol. 2003, 18, 137–141. [Google Scholar] [CrossRef]
- Chen, L.; Giesy, J.P.; Adamovsky, O.; Svirčev, Z.; Meriluoto, J.; Codd, G.A.; Mijovic, B.; Shi, T.; Tuo, X.; Li, S.C.; et al. Challenges of using blooms of Microcystis spp. in animal feeds: A comprehensive review of nutritional, toxicological and microbial health evaluation. Sci. Total Environ. 2021, 764, 142319. [Google Scholar] [CrossRef]
- Zhang, D.W.; Xie, P.; Chen, J.; Dai, M.; Qiu, T.; Liu, Y.Q.; Liang, G.D. Determination of microcystin-LR and its metabolites in snail (Bellamya aeruginosa), shrimp (Macrobrachium nipponensis) and silver carp (Hypophthalmichthys molitrix) from Lake Taihu, China. Chemosphere 2009, 76, 974–981. [Google Scholar] [CrossRef] [PubMed]
- Duan, Y.F.; Xiong, D.L.; Wang, Y.; Dong, H.B.; Huang, J.H.; Zhang, J.S. Effects of Microcystis aeruginosa and microcystin-LR on intestinal histology, immune response, and microbial community in Litopenaeus vannamei. Environ. Pollut. 2020, 265, 114774. [Google Scholar] [CrossRef] [PubMed]
- Lee, J.H.; Kim, Y.T. Cloning and characterization of the astaxanthin biosynthesis gene cluster from the marine bacterium Paracoccus haeundaensis. Gene 2006, 370, 86–95. [Google Scholar] [CrossRef] [PubMed]
- Galasso, C.; Orefice, I.; Pellone, P.; Cirino, P.; Miele, R.; Ianora, A.; Brunet, C.; Sansone, C. On the Neuroprotective Role of Astaxanthin: New Perspectives? Mar. Drugs. 2018, 16, 247. [Google Scholar] [CrossRef] [PubMed]
- Stachowiak, B.; Szulc, P. Astaxanthin for the Food Industry. Molecules 2021, 26, 2666. [Google Scholar] [CrossRef] [PubMed]
- Keng, C.L.; Yusoff, F.M.; Shariff, M.; Kamarudin, M.S. Astaxanthin as feed supplement in aquatic animals. Rev. Aquac. 2018, 10, 738–773. [Google Scholar] [CrossRef]
- Mansour, A.T.; Ashour, M.; Abbas, E.M.; Alsaqufi, A.S.; Kelany, M.S.; El-Sawy, M.A.; Sharawy, Z.Z. Growth Performance, Immune-Related and Antioxidant Genes Expression, and Gut Bacterial Abundance of Pacific White Leg Shrimp, Litopenaeus vannamei, Dietary Supplemented With Natural Astaxanthin. Front. Physiol. 2022, 13, 874172. [Google Scholar] [CrossRef]
- Liu, L.; Li, J.; Cai, X.N.; Ai, Y.; Long, H.; Ren, W.; Huang, A.Y.; Zhang, X.; Xie, Z.Y. Dietary supplementation of astaxanthin is superior to its combination with Lactococcus lactis in improving the growth performance, antioxidant capacity, immunity and disease resistance of white shrimp (Litopenaeus vannamei). Aquacult. Rep. 2022, 24, 101124. [Google Scholar] [CrossRef]
- Huang, S.T.; Chen, Q.; Zhang, M.M.; Chen, S.M.; Dai, J.Y.; Qian, Y.X.; Gong, Y.Y.; Han, T. Synthetic astaxanthin has better effects than natural astaxanthins on growth performance, body color and n-3 PUFA deposition in black tiger prawn (Penaeus monodon). Aquacult. Rep. 2023, 33, 101816. [Google Scholar] [CrossRef]
- Wang, W.L.; Ishikawa, M.; Koshio, S.; Yokoyama, S.; Dawood, M.A.O.; Zhang, Y.K. Effects of dietary astaxanthin supplementation on survival, growth and stress resistance in larval and post-larval kuruma shrimp, Marsupenaeus japonicus. Aquac. Res. 2018, 49, 2225–2232. [Google Scholar] [CrossRef]
- Nossa, C.W.; Oberdorf, W.E.; Aas, J.A.; Paster, B.J.; Desantis, T.Z.; Brodie, E.L.; Malamud, D.; Poles, M.A. Design of 16S rRNA gene primers for 454 pyrosequencing of the human foregut microbiome. World J. Gastroenterol. 2010, 16, 4135–4144. [Google Scholar] [CrossRef]
- Callahan, B.J.; McMurdie, P.J.; Rosen, M.J.; Han, A.W.; Johnson, A.J.; Holmes, S.P. DADA2: High-resolution sample inference from Illumina amplicon data. Nat. Methods. 2016, 13, 581–583. [Google Scholar] [CrossRef]
- Bolyen, E.; Rideout, J.R.; Dillon, M.R.; Bokulich, N.A.; Abnet, C.C.; Al-Ghalith, G.A.; Alexander, H.; Alm, E.J.; Arumugam, M.; Asnicar, F.; et al. Reproducible, interactive, scalable and extensible microbiome data science using QIIME 2. Nat. Biotechnol. 2019, 37, 852–857. [Google Scholar] [CrossRef]
- Chao, A.; Bunge, J. Estimating the number of species in a stochastic abundance model. Biometrics 2002, 58, 531–539. [Google Scholar] [CrossRef]
- Hill, T.C.J.; Walsh, K.A.; Harris, J.A.; Moffett, B.F. Using ecological diversity measures with bacterial communities. FEMS Microbiol. Ecol. 2003, 43, 1–11. [Google Scholar] [CrossRef]
- Paerl, H.W.; Hall, N.S.; Calandrino, E.S. Controlling harmful cyanobacterial blooms in a world experiencing anthropogenic and climatic-induced change. Sci. Total Environ. 2011, 409, 1739–1745. [Google Scholar] [CrossRef]
- Xu, W.J.; Xu, Y.; Huang, X.S.; Hu, X.J.; Xu, Y.N.; Su, H.C.; Li, Z.J.; Yang, K.; Wen, G.L.; Cao, Y.C. Addition of algicidal bacterium CZBC1 and molasses to inhibit cyanobacteria and improve microbial communities, water quality and shrimp performance in culture systems. Aquaculture 2019, 502, 303–311. [Google Scholar] [CrossRef]
- Eldessouki, E.A.A.; Diab, A.M.; Selema, T.A.M.A.; Sabry, N.M.; Abotaleb, M.M.; Khalil, R.H.; El-Sabbagh, N.; Younis, N.A.; Abdel-Tawwab, M. Dietary astaxanthin modulated the performance, gastrointestinal histology, and antioxidant and immune responses and enhanced the resistance of Litopenaeus vannamei against Vibrio harveyi infection. Aquacult. Int. 2022, 30, 1869–1887. [Google Scholar] [CrossRef]
- An, Z.H.; Zhang, Y.Y.; Sun, L.S. Effects of Dietary Astaxanthin Supplementation on Energy Budget and Bioaccumulation in Procambarus clarkii (Girard, 1852) Crayfish under Microcystin-LR Stress. Toxins 2018, 10, 277. [Google Scholar] [CrossRef]
- An, Z.H.; Yang, H.; Liu, X.D.; Zhang, Y.Y. Effects of astaxanthin on the immune response and reproduction of Procambarus clarkii stressed with microcystin-leucine-arginine. Fish. Sci. 2020, 86, 759–766. [Google Scholar] [CrossRef]
- Zhang, D.J.; Huang, L.Y.; Jia, Y.X.; Zhang, S.L.; Bi, X.D.; Dai, W. Integrated analysis of mRNA and microRNA expression profiles in hepatopancreas of Litopenaeus vannamei under acute exposure to MC-LR. Front. Genet. 2023, 14, 1088191. [Google Scholar] [CrossRef]
- Dong, G.F.; Zhu, X.M.; Han, D.; Yang, Y.X.; Song, L.R.; Xie, S.Q. Response and recovery of hybrid sturgeon from subchronic oral administration of cyanobacteria. Environ. Toxicol. 2011, 26, 161–170. [Google Scholar] [CrossRef]
- Sun, H.J.; Lü, K.; Minter, E.J.A.; Chen, Y.F.; Yang, Z.; Montagnes, D.J.S. Combined effects of ammonia and microcystin on survival, growth, antioxidant responses, and lipid peroxidation of big head carp Hypophthalmythys nobilis larvae. J. Hazard. Mater. 2012, 221–222, 213–219. [Google Scholar] [CrossRef]
- Xu, W.L.; Hu, X.M.; Li, H.; Tian, X.R.; Ouyang, Z.H.; Du, Y.; Chen, J. Effects of Lactobacillus plantarum Ep-M17 on growth, immunity and intestinal microbiota of Penaeus vannamei under Microcystin-LR stress. Aquat. Toxicol. 2023, 265, 106763. [Google Scholar] [CrossRef]
- Zhang, J.; Liu, Y.J.; Tian, L.X.; Yang, H.J.; Liang, G.Y.; Yue, Y.R.; Xu, D.H. Effects of dietary astaxanthin on growth, antioxidant capacity and gene expression in Pacific white shrimp Litopenaeus vannamei. Aquacult. Nutr. 2013, 19, 917–927. [Google Scholar] [CrossRef]
- Xu, J.J.; Tian, L.L.; Shen, Y.; Dong, X.J.; Xia, J.; Wang, J.W.; Miao, S.Y.; Sun, L.S. Dietary protein and astaxanthin levels on growth performance, hepatopancreas antioxidant capacity and immunity of giant freshwater prawn (Macrobrachium rosenbergii). Aquac. Res. 2022, 53, 5753–5760. [Google Scholar] [CrossRef]
- Petit, H.; Negre-Sadargues, G.; Castillo, R.; Trilles, J.P. The Effects of Dietary Astaxanthin on Growth and Moulting Cycle of Postlarval Stages of the Prawn, Penaeus japonicus (Crustacea, Decapoda). Comp. Biochem. Phys. P 1997, 117, 539–544. [Google Scholar] [CrossRef]
- Zhang, Y.; Li, Z.Y.; Kholodkevich, S.; Sharov, A.; Feng, Y.J.; Ren, N.Q.; Sun, K. Microcystin-LR-induced changes of hepatopancreatic transcriptome, intestinal microbiota, and histopathology of freshwater crayfish (Procambarus clarkii). Sci. Total Environ. 2020, 711, 134549. [Google Scholar] [CrossRef]
- Chen, C.Y.; Liu, W.J.; Wang, L.; Li, J.; Chen, Y.Y.; Jin, J.N.; Kawan, A.; Zhang, X.Z. Pathological damage and immunomodulatory effects of zebrafish exposed to microcystin-LR. Toxicon 2016, 118, 13–20. [Google Scholar] [CrossRef]
- Dong, J.; Li, C.L.; Dai, D.J.; Zhang, M.; Gao, Y.N.; Li, X.J.; Li, M.; Zhang, J.X.; Wang, X.F.; Zhou, C.J. Protective effects of astaxanthin from Haematococcus pluvialis on the survival and oxidative stress of zebrafish embryos induced by microcystin-LR. J. Appl. Phycol. 2021, 33, 2261–2271. [Google Scholar] [CrossRef]
- Gou, H.Z.; Zhang, Y.L.; Ren, L.F.; Li, Z.J.; Zhang, L. How do intestinal probiotics restore the intestinal barrier? Front. Microbiol. 2022, 13, 929346. [Google Scholar] [CrossRef]
- Sivieri, K.; Bassan, J.; Peixoto, G.; Monti, R. Gut microbiota and antimicrobial peptides. Curr. Opin. Food Sci. 2017, 13, 56–62. [Google Scholar] [CrossRef]
- Kumari, S.; Tyor, A.K.; Bhatnagar, A. Evaluation of the antibacterial activity of skin mucus of three carp species. Int. Aquat. Res. 2019, 11, 225–239. [Google Scholar] [CrossRef]
- Sekirov, I.; Russell, S.L.; Antunes, L.C.M.; Finlay, B.B. Gut Microbiota in Health and Disease. Physiol. Rev. 2010, 90, 859–904. [Google Scholar] [CrossRef]
- Pham, T.L.; Utsumi, M. An overview of the accumulation of microcystins in aquatic ecosystems. J. Environ. Manag. 2018, 213, 520–529. [Google Scholar] [CrossRef]
- Pavagadhi, S.; Balasubramanian, R. Toxicological evaluation of microcystins in aquatic fish species: Current knowledge and future directions. Aquat. Toxicol. 2013, 142–143, 1–16. [Google Scholar] [CrossRef]
- Duan, Y.F.; Xiong, D.L.; Li, Y.; Dong, H.B.; Wang, W.H.; Zhang, J.S. Changes in the gastrointestinal microbial community of Lateolabrax maculatus in a naturally occurring Microcystis aeruginosa bloom environment. Aquaculture 2020, 528, 735444. [Google Scholar] [CrossRef]
- Wang, Y.L.; Wang, B.J.; Liu, M.; Jiang, K.Y.; Wang, M.Q.; Wang, L. Aflatoxin B1 (AFB1) induced dysregulation of intestinal microbiota and damage of antioxidant system in pacific white shrimp (Litopenaeus vannamei). Aquaculture 2018, 495, 940–947. [Google Scholar] [CrossRef]
- Zhang, X.D.; Zhao, X.; Tie, S.S.; Li, J.X.; Su, W.T.; Tan, M.Q. A smart cauliflower-like carrier for astaxanthin delivery to relieve colon inflammation. J. Control Release. 2022, 342, 372–387. [Google Scholar] [CrossRef]
- Wechprasit, P.; Panphloi, M.; Thitamadee, S.; Sritunyalucksana, K.; Prachumwat, A. Complete Genome Sequence of Shewanella sp. Strain TH2012, Isolated from Shrimp in a Cultivation Pond Exhibiting Early Mortality Syndrome. Microbiol. Resour. Announc. 2019, 8, e01703-18. [Google Scholar] [CrossRef]
- Prachumwat, A.; Wechprasit, P.; Srisala, J.; Kriangsaksri, R.; Flegel, T.W.; Thitamadee, S.; Sritunyalucksana, K. Shewanella khirikhana sp. nov.—A shrimp pathogen isolated from a cultivation pond exhibiting early mortality syndrome. Microb. Biotechnol. 2020, 13, 781–795. [Google Scholar] [CrossRef] [PubMed]







| Items | Transient Periods (7 d) | Experimental Periods | |
|---|---|---|---|
| Pre-Toxin Attack (30 d) | Toxin Attack (15 d) | ||
| CK | Base feed | Base feed | Base feed |
| MC | Base feed | Base feed | Base feed + MC-LR (100 μg/kg) |
| MCAX | Base feed | Base feed + AX (100 mg/kg) | Base feed + AX (100 mg/kg) + MC-LR (100 μg/kg) |
| Items | CK | MC | MCAX |
|---|---|---|---|
| Initial weight (g) | 7.80 ± 0.01 | 7.78 ± 0.01 | 7.79 ± 0.01 |
| Final weight (g) | 9.36 ± 0.23 a | 8.96 ± 1.21 b | 9.12 ± 0.33 a |
| PWG (%) | 16.64 ± 0.34 a | 13.44 ± 0.25 b | 14.61 ± 0.22 c |
| SGR (%) | 2.24 ± 0.12 a | 0.77 ± 0.10 b | 2.21 ± 0.16 a |
| Survival rate (%) | 96.78 ± 4.45 | 92.50 ± 3.56 | 95.34 ± 2.78 |
Disclaimer/Publisher’s Note: The statements, opinions and data contained in all publications are solely those of the individual author(s) and contributor(s) and not of MDPI and/or the editor(s). MDPI and/or the editor(s) disclaim responsibility for any injury to people or property resulting from any ideas, methods, instructions or products referred to in the content. |
© 2023 by the authors. Licensee MDPI, Basel, Switzerland. This article is an open access article distributed under the terms and conditions of the Creative Commons Attribution (CC BY) license (https://creativecommons.org/licenses/by/4.0/).
Share and Cite
Song, G.; Zhao, Y.; Lu, J.; Liu, Z.; Quan, J.; Zhu, L. Effects of Astaxanthin on Growth Performance, Gut Structure, and Intestinal Microorganisms of Penaeus vannamei under Microcystin-LR Stress. Animals 2024, 14, 58. https://doi.org/10.3390/ani14010058
Song G, Zhao Y, Lu J, Liu Z, Quan J, Zhu L. Effects of Astaxanthin on Growth Performance, Gut Structure, and Intestinal Microorganisms of Penaeus vannamei under Microcystin-LR Stress. Animals. 2024; 14(1):58. https://doi.org/10.3390/ani14010058
Chicago/Turabian StyleSong, Guolin, Yingcan Zhao, Junhao Lu, Zhe Liu, Jinqiang Quan, and Lirui Zhu. 2024. "Effects of Astaxanthin on Growth Performance, Gut Structure, and Intestinal Microorganisms of Penaeus vannamei under Microcystin-LR Stress" Animals 14, no. 1: 58. https://doi.org/10.3390/ani14010058
APA StyleSong, G., Zhao, Y., Lu, J., Liu, Z., Quan, J., & Zhu, L. (2024). Effects of Astaxanthin on Growth Performance, Gut Structure, and Intestinal Microorganisms of Penaeus vannamei under Microcystin-LR Stress. Animals, 14(1), 58. https://doi.org/10.3390/ani14010058

