Luteolin Attenuates APEC-Induced Oxidative Stress and Inflammation via Inhibiting the HMGB1/TLR4/NF-κB Signal Axis in the Ileum of Chicks
Abstract
Simple Summary
Abstract
1. Introduction
2. Materials and Methods
2.1. Experimental Animal and Treatments
2.2. Body Weight and the Mortality of Chicks
2.3. Hematoxylin-Eosin (H&E) Staining
2.4. Immunofluorescence (IF) Staining
2.5. Determination of Antioxidant Activities
2.6. Real-Time PCR (RT-PCR)
2.7. Western Blotting
2.8. Statistical Analysis
3. Results
3.1. Effects of Luteolin on Body Weight, Mortality Rates and Diarrhea Rate of Chicks
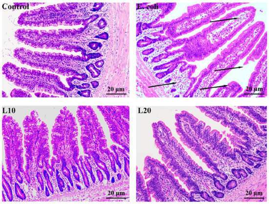
3.2. Histopathological Analysis of Ileum Tissues
3.3. Immunofluorescence (IF) Staining
3.4. Luteolin Attenuates the Level of Oxidative Stress in Chick Ileum
3.5. Effect of Luteolin on the mRNA Expression Levels of Cytokine
3.6. Effects of Luteolin on HMGB1/TLR4/NF-κB Signaling Pathway
4. Discussion
5. Conclusions
Author Contributions
Funding
Institutional Review Board Statement
Informed Consent Statement
Data Availability Statement
Acknowledgments
Conflicts of Interest
References
- He, C.-L.; Fu, B.-D.; Shen, H.-Q.; Jiang, X.-L.; Zhang, C.-S.; Wu, S.-C.; Zhu, W.; Wei, X.-B. Xiang-Qi-Tang Increases Avian Pathogenic Escherichia coli-Induced Survival Rate and Regulates Serum Levels of Tumor Necrosis Factor Alpha, Interleukin-1 and Soluble Endothelial Protein C Receptor in Chicken. Biol. Pharm. Bull. 2011, 34, 379–382. [Google Scholar] [CrossRef] [PubMed]
- Wang, W.; Li, Z.; Han, Q.; Guo, Y.; Zhang, B.; D’Inca, R. Dietary live yeast and mannan-oligosaccharide supplementation attenuate intestinal inflammation and barrier dysfunction induced by Escherichia coli in broilers. Br. J. Nutr. 2016, 116, 1878–1888. [Google Scholar] [CrossRef] [PubMed]
- Kim, E.; Akhtar, N.; Li, J.; Hui, Q.; Dong, B.; Yang, C.; Kiarie, E.G. In ovo feeding of epidermal growth factor: Embryonic expression of intestinal epidermal growth factor receptor and posthatch growth performance and intestinal development in broiler chickens. Poult. Sci. 2020, 99, 5736–5743. [Google Scholar] [CrossRef] [PubMed]
- Sadikot, R.T.; Bedi, B.; Li, J.; Yeligar, S.M. Alcohol-induced mitochondrial DNA damage promotes injurious crosstalk between alveolar epithelial cells and alveolar macrophages. Alcohol 2019, 80, 65–72. [Google Scholar] [CrossRef] [PubMed]
- van Beijnum, J.R.; Buurman, W.A.; Griffioen, A.W. Convergence and amplification of toll-like receptor (TLR) and receptor for advanced glycation end products (RAGE) signaling pathways via high mobility group B1 (HMGB1). Angiogenesis 2008, 11, 91–99. [Google Scholar] [CrossRef]
- Scaffidi, P.; Misteli, T.; Bianchi, M.E. Release of chromatin protein HMGB1 by necrotic cells triggers inflammation. Nature 2002, 418, 191–195. [Google Scholar] [CrossRef]
- Doz, E.; Noulin, N.; Boichot, E.; Guénon, I.; Fick, L.; Le Bert, M.; Lagente, V.; Ryffel, B.; Schnyder, B.; Quesniaux, V.F.; et al. Cigarette smoke-induced pulmonary inflammation is TLR4/MyD88 and IL-1R1/MyD88 signaling dependent. J. Immunol. 2008, 180, 1169–1178. [Google Scholar] [CrossRef]
- Palumbo, R.; Galvez, B.G.; Pusterla, T.; De Marchis, F.; Cossu, G.; Marcu, K.B.; Bianchi, M.E. Cells migrating to sites of tissue damage in response to the danger signal HMGB1 require NF-kappaB activation. J. Cell Biol. 2007, 179, 33–40. [Google Scholar] [CrossRef]
- Das, A.; Dhar, P.K.; Dutta, A.; Jalal, M.S.; Ghosh, P.; Das, T.; Barua, H.; Biswas, P.K. Circulation of oxytetracycline- and ciprofloxacin-resistant commensal Escherichia coli strains in broiler chickens and farm environments, Bangladesh. Vet. World 2020, 13, 2395–2400. [Google Scholar] [CrossRef]
- Garcia-Migura, L.; Hendriksen, R.S.; Fraile, L.; Aarestrup, F.M. Antimicrobial resistance of zoonotic and commensal bacteria in Europe: The missing link between consumption and resistance in veterinary medicine. Vet. Microbiol. 2014, 170, 1–9. [Google Scholar] [CrossRef]
- Roth, N.; Käsbohrer, A.; Mayrhofer, S.; Zitz, U.; Hofacre, C.; Domig, K.J. The application of antibiotics in broiler production and the resulting antibiotic resistance in Escherichia coli: A global overview. Poult. Sci. 2019, 98, 1791–1804. [Google Scholar] [CrossRef]
- Szmolka, A.; Nagy, B. Multidrug resistant commensal Escherichia coli in animals and its impact for public health. Front. Microbiol. 2013, 4, 258. [Google Scholar] [CrossRef]
- Dong, Y.; Li, R.; Liu, Y.; Ma, L.; Zha, J.; Qiao, X.; Chai, T.; Wu, B. Benefit of Dietary Supplementation with Bacillus subtilis BYS2 on Growth Performance, Immune Response, and Disease Resistance of Broilers. Probiotics Antimicrob. Proteins 2020, 12, 1385–1397. [Google Scholar] [CrossRef]
- Makled, M.N.; Abouelezz, K.F.M.; Gad-Elkareem, A.E.G.; Sayed, A.M. Comparative influence of dietary probiotic, yoghurt, and sodium butyrate on growth performance, intestinal microbiota, blood hematology, and immune response of meat-type chickens. Trop. Anim. Health Prod. 2019, 51, 2333–2342. [Google Scholar] [CrossRef]
- Luo, J.; Dong, B.; Wang, K.; Cai, S.; Liu, T.; Cheng, X.; Lei, D.; Chen, Y.; Li, Y.; Kong, J.; et al. Baicalin inhibits biofilm formation, attenuates the quorum sensing-controlled virulence and enhances Pseudomonas aeruginosa clearance in a mouse peritoneal implant infection model. PLoS ONE 2017, 12, e0176883. [Google Scholar] [CrossRef]
- Yuan, W.; Yuk, H.-G. Antimicrobial efficacy of Syzygium antisepticum plant extract against Staphylococcus aureus and methicillin-resistant S. aureus and its application potential with cooked chicken. Food Microbiol. 2018, 72, 176–184. [Google Scholar] [CrossRef]
- Nunes, C.; Almeida, L.; Barbosa, R.M.; Laranjinha, J. Luteolin suppresses the JAK/STAT pathway in a cellular model of intestinal inflammation. Food Funct. 2017, 8, 387–396. [Google Scholar] [CrossRef]
- Seelinger, G.; Merfort, I.; Schempp, C.M. Anti-Oxidant, Anti-Inflammatory and Anti-Allergic Activities of Luteolin. Planta Medica 2008, 74, 1667–1677. [Google Scholar] [CrossRef]
- Wu, Z.; Fan, Q.; Miao, Y.; Tian, E.; Ishfaq, M.; Li, J. Baicalin inhibits inflammation caused by coinfection of Mycoplasma gallisepticum and Escherichia coli involving IL-17 signaling pathway. Poult. Sci. 2020, 99, 5472–5480. [Google Scholar] [CrossRef]
- Liu, Y.; Song, M.; Che, T.M.; Almeida, J.A.S.; Lee, J.J.; Bravo, D.; Maddox, C.W.; Pettigrew, J.E. Dietary plant extracts alleviate diarrhea and alter immune responses of weaned pigs experimentally infected with a pathogenic Escherichia coli1. J. Anim. Sci. 2013, 91, 5294–5306. [Google Scholar] [CrossRef]
- Li, L.; Luo, W.; Qian, Y.; Zhu, W.; Qian, J.; Li, J.; Jin, Y.; Xu, X.; Liang, G. Luteolin protects against diabetic cardiomyopathy by inhibiting NF-κB-mediated inflammation and activating the Nrf2-mediated antioxidant responses. Phytomedicine 2019, 59, 152774. [Google Scholar] [CrossRef] [PubMed]
- Wang, S.; Cao, M.; Xu, S.; Shi, J.; Mao, X.; Yao, X.; Liu, C. Luteolin Alters Macrophage Polarization to Inhibit Inflammation. Inflammation 2020, 43, 95–108. [Google Scholar] [CrossRef] [PubMed]
- Peng, L.-Y.; Yuan, M.; Wu, Z.-M.; Song, K.; Zhang, C.-L.; An, Q.; Xia, F.; Yu, J.-L.; Yi, P.-F.; Fu, B.-D.; et al. Anti-bacterial activity of baicalin against APEC through inhibition of quorum sensing and inflammatory responses. Sci. Rep. 2019, 9, 4063. [Google Scholar] [CrossRef] [PubMed]
- Vikram, A.; Jayaprakasha, G.; Jesudhasan, P.; Pillai, S.; Patil, B. Suppression of bacterial cell–cell signalling, biofilm formation and type III secretion system by citrus flavonoids. J. Appl. Microbiol. 2010, 109, 515–527. [Google Scholar] [CrossRef] [PubMed]
- Manner, S.; Fallarero, A. Screening of Natural Product Derivatives Identifies Two Structurally Related Flavonoids as Potent Quorum Sensing Inhibitors against Gram-Negative Bacteria. Int. J. Mol. Sci. 2018, 19, 1346. [Google Scholar] [CrossRef]
- Zuo, T.; Yue, Y.; Wang, X.; Li, H.; Yan, S. Luteolin Relieved DSS-Induced Colitis in Mice via HMGB1-TLR-NF-κB Signaling Pathway. Inflammation 2020, 44, 570–579. [Google Scholar] [CrossRef]
- Wang, G.; Song, Q.; Huang, S.; Wang, Y.; Cai, S.; Yu, H.; Ding, X.; Zeng, X.; Zhang, J. Effect of Antimicrobial Peptide Microcin J25 on Growth Performance, Immune Regulation, and Intestinal Microbiota in Broiler Chickens Challenged with Escherichia coli and Salmonella. Animals 2020, 10, 345. [Google Scholar] [CrossRef]
- Xing, S.; Chen, S.; Zhao, Y.; Luo, Y.; Yu, B.; He, J.; Huang, Z.; Zheng, P.; Mao, X.; Luo, J.; et al. Effects of High Ambient Temperature on Small Intestinal Morphology and Colonic Microbiota in Weaned Piglets. Animals 2022, 12, 1743. [Google Scholar] [CrossRef]
- Eğin, S.; Ilhan, M.; Bademler, S.; Gökçek, B.; Hot, S.; Ekmekçi, H.; Ekmekçi, B.; Tanrıverdi, G.; Dağıstanlı, F.K.; Kamalı, G.; et al. Protective effects of pentoxifylline in small intestine after ischemia–reperfusion. J. Int. Med. Res. 2018, 46, 4140–4156. [Google Scholar] [CrossRef]
- Xu, Y.Y.; Zhang, Y.Y.; He, A.Q.; Li, K.Y.; Gao, S.Y.; Liu, G. Lactobacillus acidophilus alleviates pouchitis after ileal pouch-anal anastomosis in rats. World J. Gastroenterol. 2017, 23, 4735–4743. [Google Scholar] [CrossRef]
- Silwal, P.; Kim, J.K.; Kim, Y.J.; Jo, E.-K. Mitochondrial Reactive Oxygen Species: Double-Edged Weapon in Host Defense and Pathological Inflammation During Infection. Front. Immunol. 2020, 11, 1649. [Google Scholar] [CrossRef]
- Baranauskaite, J.; Sadauskiene, I.; Liekis, A.; Kasauskas, A.; Lazauskas, R.; Zlabiene, U.; Masteikova, R.; Kopustinskiene, D.M.; Bernatoniene, J. Natural Compounds Rosmarinic Acid and Carvacrol Counteract Aluminium-Induced Oxidative Stress. Molecules 2020, 25, 1807. [Google Scholar] [CrossRef]
- Đurić, M.; Subotić, A.; Prokić, L.; Trifunović-Momčilov, M.; Cingel, A.; Vujičić, M.; Milošević, S. Morpho-Physiological and Molecular Evaluation of Drought and Recovery in Impatiens walleriana Grown Ex Vitro. Plants 2020, 9, 1559. [Google Scholar] [CrossRef]
- Albarakati, A.J.A.; Baty, R.S.; Aljoudi, A.M.; Habotta, O.A.; Elmahallawy, E.K.; Kassab, R.B.; Moneim, A.E.A. Luteolin protects against lead acetate-induced nephrotoxicity through antioxidant, anti-inflammatory, anti-apoptotic, and Nrf2/HO-1 signaling pathways. Mol. Biol. Rep. 2020, 47, 2591–2603. [Google Scholar] [CrossRef]
- Chen, F.-Q.; Xu, W.-Z.; Gao, H.-Y.; Wu, L.-J.; Zhang, H.; Cheng, L.; Mei, J.-Q. Clinical effect of Changweishu on gastrointestinal dysfunction in patients with sepsis. J. Int. Med. Res. 2020, 48, 300060520919579. [Google Scholar] [CrossRef]
- Tao, Z.; Helms, M.N.; Leach, B.C.B.; Wu, X. Molecular insights into the multifaceted functions and therapeutic targeting of high mobility group box 1 in metabolic diseases. J. Cell. Mol. Med. 2022, 26, 3809–3815. [Google Scholar] [CrossRef]
- Liu, X.; Lu, B.; Fu, J.; Zhu, X.; Song, E.; Song, Y. Amorphous silica nanoparticles induce inflammation via activation of NLRP3 inflammasome and HMGB1/TLR4/MYD88/NF-kb signaling pathway in HUVEC cells. J. Hazard. Mater. 2021, 404 Pt B, 124050. [Google Scholar] [CrossRef]
- Wu, C.; Ding, X.; Zhou, C.; Ye, P.; Sun, Y.; Wu, J.; Zhang, A.; Huang, X.; Ren, L.; Wang, K.; et al. Inhibition of intimal hyperplasia in murine aortic allografts by administration of a small-molecule TLR4 inhibitor TAK-242. Sci. Rep. 2017, 7, 15799. [Google Scholar] [CrossRef]
- Hashad, D.I.; Elsayed, E.T.; Helmy, T.A.; Elawady, S.M. Study of the role of tumor necrosis factor-α (–308 G/A) and interleukin-10 (–1082 G/A) polymorphisms as potential risk factors to acute kidney injury in patients with severe sepsis using high-resolution melting curve analysis. Ren. Fail. 2017, 39, 77–82. [Google Scholar] [CrossRef]
- Groux, H.; Powrie, F. Regulatory T cells and inflammatory bowel disease. Immunol. Today 1999, 20, 442–445. [Google Scholar] [CrossRef]
- Kanai, K.; Hatta, T.; Nagata, S.; Sugiura, Y.; Sato, K.; Yamashita, Y.; Kimura, Y.; Itoh, N. Luteolin attenuates endotoxin-induced uveitis in Lewis rats. J. Vet. Med. Sci. 2016, 78, 1229–1235. [Google Scholar] [CrossRef] [PubMed]
- Meng, N.; Chen, K.; Wang, Y.; Hou, J.; Chu, W.; Xie, S.; Yang, F.; Sun, C. Dihydrohomoplantagin and Homoplantaginin, Major Flavonoid Glycosides from Salvia plebeia R. Br. Inhibit oxLDL-Induced Endothelial Cell Injury and Restrict Atherosclerosis via Activating Nrf2 Anti-Oxidation Signal Pathway. Molecules 2022, 27, 1990. [Google Scholar] [CrossRef] [PubMed]
- Ahmed, H.M. Ethnomedicinal, Phytochemical and Pharmacological Investigations of Perilla frutescens (L.) Britt. Molecules 2018, 24, 102. [Google Scholar] [CrossRef] [PubMed]
- Yang, S.-C.; Chen, P.-J.; Chang, S.-H.; Weng, Y.-T.; Chang, F.-R.; Chang, K.-Y.; Chen, C.-Y.; Kao, T.-I.; Hwang, T.-L. Luteolin attenuates neutrophilic oxidative stress and inflammatory arthritis by inhibiting Raf1 activity. Biochem. Pharmacol. 2018, 154, 384–396. [Google Scholar] [CrossRef]
- Liu, C.W.; Lin, H.W.; Yang, D.J.; Chen, S.Y.; Tseng, J.K.; Chang, T.J.; Chang, Y.Y. Luteolin inhibits viral-induced inflammatory response in RAW264.7 cells via suppression of STAT1/3 dependent NF-κB and activation of HO-1. Free Radic. Biol. Med. 2016, 95, 180–189. [Google Scholar] [CrossRef]
- Liu, Y.; Espinosa, C.D.; Abelilla, J.J.; Casas, G.A.; Lagos, L.V.; Lee, S.A.; Kwon, W.B.; Mathai, J.K.; Navarro, D.M.D.L.; Jaworski, N.W.; et al. Non-antibiotic feed additives in diets for pigs: A review. Anim. Nutr. 2018, 4, 113–125. [Google Scholar] [CrossRef]






| Ingredient | Content (%) |
|---|---|
| Corn | 66.00 |
| Soybean meal | 29.00 |
| Premix a | 5.00 |
| Total | 100.00 |
| DL-Methionine % | 0.26 |
| Metabolic Energy (MJ/kg) | 11.92 |
| Lysine % | 0.88 |
| Crude protein % | 17.61 |
| Gene Name | Accession Number | Primer Sequences (5′ to 3′) |
|---|---|---|
| GAPDH | NM_204305.1 | Forward: AGTCGGAGTCAACGGATTTGG Reverse: GGTCAACATCGCCACCTACA |
| HMGB1 | NM_204902 | Forward: CGACTCTGACGCGGAAAATC Reverse: CGGCAGGTTTGCACAAAGAA |
| MYD88 | NM_001030962.4 | Forward: TTGACTTCTGCATGGGTCCT Reverse: TTGCTCCACAGTCACCAGAT |
| TLR4 | NM_001030693.1 | Forward: CATACAAGCCACTCCAAGCC Reverse: AGGATTTCCAGGGCTGAGTC |
| NF-κ B | NM_205129.1 | Forward: GTGTGAAGAAACGGGAACTG Reverse: GGCACGGTTGTCATAGATGG |
| IL-1β | NM_204524.1 | Forward: GGTCAACATCGCCACCTACA Reverse: CATACGAGATGGAAACCAGCAA |
| IL-6 | NM_205498.1 | Forward: AAATCCCTCCTCGCCAATCT Reverse: CCCTCACGGTCTTCTCCATAAA |
| IL-8 | NM_205498.1 | Forward: GCAAGGTAGGACGCTGGTAA Reverse: GCGTCAGCTTCACATCTTGA |
| IL-4 | NM_001007079.1 | Forward: AATTGTTTGGGAGAGCCAGCA Reverse: ATTCAGGAGCTGACGCATGTT |
| IL-10 | NM_205129.1 | Forward: GGGAGCTGAGGGTGAAGTTT Reverse: TCTGTGTAGAAGCGCAGCAT |
| TNF-α | NM_204608.1 | Forward: CAGATGGGAAGGGAATGAAC Reverse: CACACGACAGCCAAGTCAAC |
| IL-13 | NM_001007085.2 | Forward: TCAAGGATCGGAAGCTGTCA Reverse: GTCCTTCTTGCAGTCGGTCA |
| HO-1 | NM_205344.1 | Forward: ACAACGCTGAAAGCATGTCC Reverse: GGATGCTTCTTGCCAACGAC |
| SOD1 | NM_205064.1 | Forward: CCAAAAGATGCAGATAGGCACG Reverse: GCAGTGTGGTCCGGTAAGAG |
| SOD2 | NM_204211.1 | Forward: TGGGGGTGGCTTGGGTATAA Reverse: CAGCAATGGAATGAGACCTGTT |
| CAT | NM_001031215.2 | Forward: AGCTTGCAAAATGGCTGACG Reverse: ATAGCCAAAGGCACCTGCTC |
| NQO1 | NM_001277620.1 | Forward: CGCACCCTGAGAAAACCTCT Reverse: ACTGCAGTGGGAACTGGAAG |
| GCLM | NM_001007953.1 | Forward: CGTGTGCTGAGTCACGGTGT Reverse: TCCAACAATGAAAAGTTTTGCCGA |
| GPX1 | NM_001277853.2 | Forward: CCAATTCGGGCACCAGGAGAA Reverse: GGTGCGGGCTTTCCTTTACT |
| Trait Studied | Groups | ||
|---|---|---|---|
| Control | L10 | L20 | |
| IBW (g) | 38.37 ± 2.05 | 38.41 ± 2.34 | 38.48 ± 2.40 |
| FBW (g) | 105.13 ± 11.86 a | 125.87 ± 9.67 b | 134.53 ± 9.05 b |
| BWG (g) | 67.66 ±12.31 a | 87.56 ± 9.95 b | 96.05 ± 9.55 b |
| ADG (g) | 5.20 ± 0.94 a | 6.73± 0.76 b | 7.38± 0.73 b |
Disclaimer/Publisher’s Note: The statements, opinions and data contained in all publications are solely those of the individual author(s) and contributor(s) and not of MDPI and/or the editor(s). MDPI and/or the editor(s) disclaim responsibility for any injury to people or property resulting from any ideas, methods, instructions or products referred to in the content. |
© 2022 by the authors. Licensee MDPI, Basel, Switzerland. This article is an open access article distributed under the terms and conditions of the Creative Commons Attribution (CC BY) license (https://creativecommons.org/licenses/by/4.0/).
Share and Cite
Cao, Z.; Xing, C.; Cheng, X.; Luo, J.; Hu, R.; Cao, H.; Guo, X.; Yang, F.; Zhuang, Y.; Hu, G. Luteolin Attenuates APEC-Induced Oxidative Stress and Inflammation via Inhibiting the HMGB1/TLR4/NF-κB Signal Axis in the Ileum of Chicks. Animals 2023, 13, 83. https://doi.org/10.3390/ani13010083
Cao Z, Xing C, Cheng X, Luo J, Hu R, Cao H, Guo X, Yang F, Zhuang Y, Hu G. Luteolin Attenuates APEC-Induced Oxidative Stress and Inflammation via Inhibiting the HMGB1/TLR4/NF-κB Signal Axis in the Ileum of Chicks. Animals. 2023; 13(1):83. https://doi.org/10.3390/ani13010083
Chicago/Turabian StyleCao, Zhanyou, Chenghong Xing, Xinyi Cheng, Junrong Luo, Ruiming Hu, Huabin Cao, Xiaoquan Guo, Fan Yang, Yu Zhuang, and Guoliang Hu. 2023. "Luteolin Attenuates APEC-Induced Oxidative Stress and Inflammation via Inhibiting the HMGB1/TLR4/NF-κB Signal Axis in the Ileum of Chicks" Animals 13, no. 1: 83. https://doi.org/10.3390/ani13010083
APA StyleCao, Z., Xing, C., Cheng, X., Luo, J., Hu, R., Cao, H., Guo, X., Yang, F., Zhuang, Y., & Hu, G. (2023). Luteolin Attenuates APEC-Induced Oxidative Stress and Inflammation via Inhibiting the HMGB1/TLR4/NF-κB Signal Axis in the Ileum of Chicks. Animals, 13(1), 83. https://doi.org/10.3390/ani13010083

