LPS-Induced Liver Injury of Magang Geese through Toll-like Receptor and MAPK Signaling Pathway
Abstract
Simple Summary
Abstract
1. Introduction
2. Materials and Methods
2.1. Ethics Statement
2.2. Animals and Sample Preparation
2.3. Histopathological Examination of the Liver
2.4. Liver Biochemical Index Detection
2.5. RNA Extraction, Library Construction, and Sequencing
2.6. Sequencing Analysis
2.7. Analysis of SNP/InDel and the Prediction of Alternative Splices (AS)
2.8. Analysis of Differentially Expressed Genes
2.9. GO Enrichment and KEGG Pathway Enrichment Analysis
2.10. Construction of a Gene Network
2.11. RNA-seq Validation via qRT-PCR
3. Results
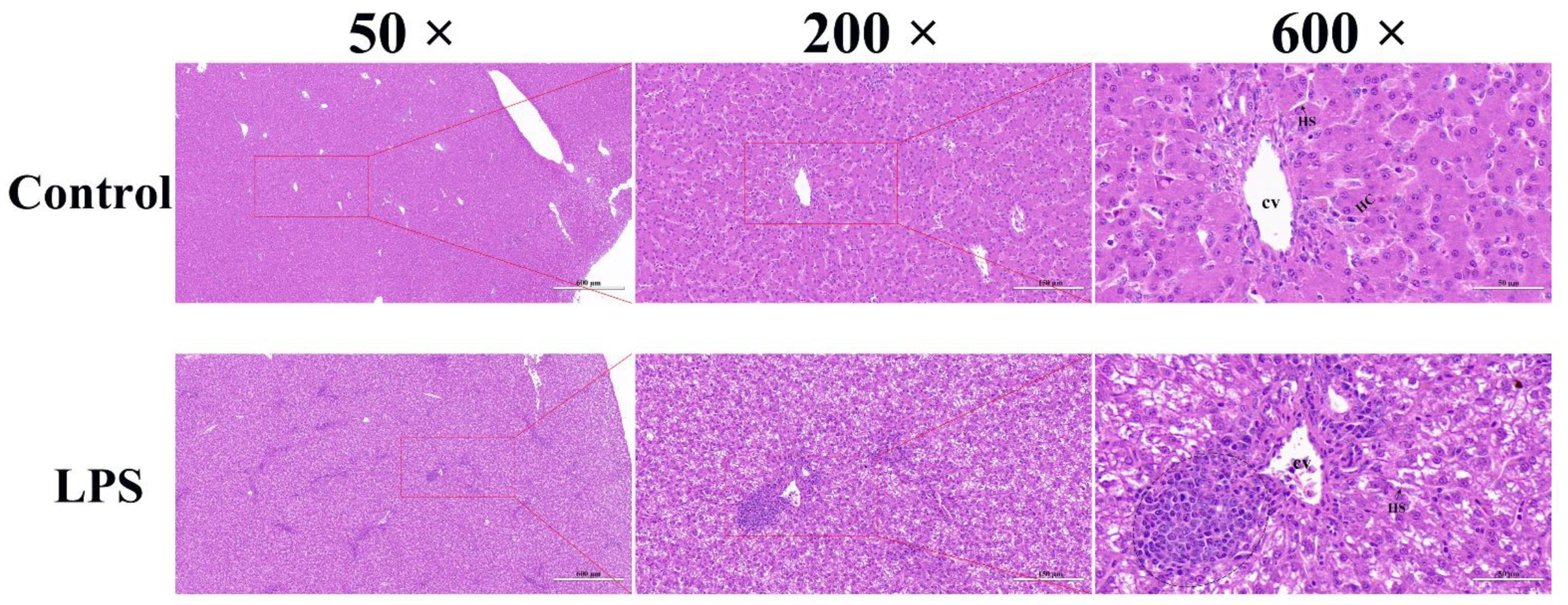
3.1. Effect of LPS on the Liver Histopathology of Magang Geese
3.2. Effects of LPS on the Liver Biochemical Indices of Goose
3.3. Overview of RNA Sequencing in Magang Goose Livers
3.4. Annotation and Classification of SNV/InDel and the Prediction of Alternative Splicing
3.5. Identification of Differentially Expressed Genes
3.6. Analysis of GO Annotation and KEGG Pathway
3.7. Analysis of Interaction Network Analysis
3.8. Validation of DEGs Using qRT-PCR
4. Discussion
Supplementary Materials
Author Contributions
Funding
Institutional Review Board Statement
Informed Consent Statement
Data Availability Statement
Conflicts of Interest
References
- Liu, S.H.L. The current situation, future development trend and suggestions of the waterfowl industry in 2021. Chin. J. Anim. Husb. 2022, 58, 227–231. [Google Scholar] [CrossRef]
- Qin, Q.; Sun, A.; Guo, R.; Lei, M.; Ying, S.; Shi, Z. The characteristics of oviposition and hormonal and gene regulation of ovarian follicle development in Magang geese. Reprod. Biol. Endocrinol. 2013, 11, 65. [Google Scholar] [CrossRef] [PubMed]
- Jiang, D.-L.; Liu, L.; Wang, C.-L.; Chen, F.; Sun, A.-D.; Shi, Z.-D. Raising on Water Stocking Density Reduces Geese Reproductive Performances via Water Bacteria and Lipopolysaccharide Contaminations in “Geese-Fish” Production System. Agric. Sci. China 2011, 10, 1459–1466. [Google Scholar] [CrossRef]
- Smith, R.T.; Thomas, L. The lethal effect of endotoxins on the chick embryo. J. Exp. Med. 1956, 104, 217–231. [Google Scholar] [CrossRef] [PubMed]
- Galanos, C.; Freudenberg, M.A.; Reutter, W. Galactosamine-induced sensitization to the lethal effects of endotoxin. Proc. Natl. Acad. Sci. USA 1979, 76, 5939–5943. [Google Scholar] [CrossRef] [PubMed]
- Star, L.; Kemp, B.; van den Anker, I.; Parmentier, H.K. Effect of single or combined climatic and hygienic stress in four layer lines: 1. Performance. Poult. Sci. 2008, 87, 1022–1030. [Google Scholar] [CrossRef]
- Kolomaznik, M.; Nova, Z.; Calkovska, A. Pulmonary surfactant and bacterial lipopolysaccharide: The interaction and its functional consequences. Physiol. Res. 2017, 66, S147–S157. [Google Scholar] [CrossRef]
- Ding, Y.; Liu, P.; Chen, Z.-L.; Zhang, S.-J.; Wang, Y.-Q.; Cai, X.; Luo, L.; Zhou, X.; Zhao, L. Emodin Attenuates Lipopolysaccharide-Induced Acute Liver Injury via Inhibiting the TLR4 Signaling Pathway and. Front. Pharmacol. 2018, 9, 962. [Google Scholar] [CrossRef]
- Jirillo, E.; Caccavo, D.; Magrone, T.; Piccigallo, E.; Amati, L.; Lembo, A.; Kalis, C.; Gumenscheimer, M. The role of the liver in the response to LPS: Experimental and clinical findings. J. Endotoxin Res. 2002, 8, 319–327. [Google Scholar] [CrossRef]
- Yang, Y.-S.; Ahn, T.-H.; Lee, J.-C.; Moon, C.-J.; Kim, S.-H.; Jun, W.; Park, S.-C.; Kim, H.-C.; Kim, J.-C. Protective effects of Pycnogenol on carbon tetrachloride-induced hepatotoxicity in Sprague-Dawley rats. Food Chem. Toxicol. 2008, 46, 380–387. [Google Scholar] [CrossRef]
- Liu, Y.; Shao, M.; Wu, Y.; Yan, C.; Jiang, S.; Liu, J.; Dai, J.; Yang, L.; Li, J.; Jia, W.; et al. Role for the endoplasmic reticulum stress sensor IRE1α in liver regenerative responses. J. Hepatol. 2015, 62, 590–598. [Google Scholar] [CrossRef]
- Racanelli, V.; Rehermann, B. The liver as an immunological organ. Hepatology 2006, 43, S54–S62. [Google Scholar] [CrossRef]
- Kubes, P.; Jenne, C. Immune Responses in the Liver. Annu. Rev. Immunol. 2018, 36, 247–277. [Google Scholar] [CrossRef]
- Seo, H.-Y.; Kim, M.-K.; Lee, S.-H.; Hwang, J.S.; Park, K.-G.; Jang, B.K. Kahweol Ameliorates the Liver Inflammation through the Inhibition of NF-κB and STAT3 Activation in Primary Kupffer Cells and Primary Hepatocytes. Nutrients 2018, 10, 863. [Google Scholar] [CrossRef]
- Keshavarzian, A.; Farhadi, A.; Forsyth, C.B.; Rangan, J.; Jakate, S.; Shaikh, M.; Banan, A.; Fields, J.Z. Evidence that chronic alcohol exposure promotes intestinal oxidative stress, intestinal hyperpermeability and endotoxemia prior to development of alcoholic steatohepatitis in rats. J. Hepatol. 2009, 50, 538–547. [Google Scholar] [CrossRef]
- Chastre, A.; Bélanger, M.; Nguyen, B.N.; Butterworth, R.F. Lipopolysaccharide precipitates hepatic encephalopathy and increases blood-brain barrier permeability in mice with acute liver failure. Liver. Int. 2014, 34, 353–361. [Google Scholar] [CrossRef]
- Lindros, K.O.; Järveläinen, H.A. Chronic systemic endotoxin exposure: An animal model in experimental hepatic encephalopathy. Metab. Brain Dis. 2005, 20, 393–398. [Google Scholar] [CrossRef]
- Teratani, T.; Mikami, Y.; Nakamoto, N.; Suzuki, T.; Harada, Y.; Okabayashi, K.; Hagihara, Y.; Taniki, N.; Kohno, K.; Shibata, S.; et al. The liver-brain-gut neural arc maintains the T cell niche in the gut. Nature 2020, 585, 591–596. [Google Scholar] [CrossRef]
- Martin, M. Cutadapt removes adapter sequences from high-throughput sequencing reads. EMBnet. J. 2011, 17, 10–12. [Google Scholar] [CrossRef]
- Thompson, O.; von Meyenn, F.; Hewitt, Z.; Alexander, J.; Wood, A.; Weightman, R.; Gregory, S.; Krueger, F.; Andrews, S.; Barbaric, I.; et al. Low rates of mutation in clinical grade human pluripotent stem cells under different culture conditions. Nat. Commun. 2020, 11, 1528. [Google Scholar] [CrossRef]
- Pertea, M.; Kim, D.; Pertea, G.M.; Leek, J.T.; Salzberg, S.L. Transcript-level expression analysis of RNA-seq experiments with HISAT, StringTie and Ballgown. Nat. Protoc. 2016, 11, 1650–1667. [Google Scholar] [CrossRef]
- Danecek, P.; Bonfield, J.K.; Liddle, J.; Marshall, J.; Ohan, V.; Pollard, M.O.; Whitwham, A.; Keane, T.; McCarthy, S.A.; Davies, R.M.; et al. Twelve years of SAMtools and BCFtools. Gigascience 2021, 10, giab008. [Google Scholar] [CrossRef] [PubMed]
- Wang, K.; Li, M.; Hakonarson, H. ANNOVAR: Functional annotation of genetic variants from high-throughput sequencing data. Nucleic Acids Res. 2010, 38, e164. [Google Scholar] [CrossRef] [PubMed]
- Kovaka, S.; Zimin, A.V.; Pertea, G.M.; Razaghi, R.; Salzberg, S.L.; Pertea, M. Transcriptome assembly from long-read RNA-seq alignments with StringTie2. Genome Biol. 2019, 20, 278. [Google Scholar] [CrossRef] [PubMed]
- Love, M.I.; Huber, W.; Anders, S. Moderated estimation of fold change and dispersion for RNA-seq data with DESeq2. Genome Biol. 2014, 15, 550. [Google Scholar] [CrossRef]
- Szklarczyk, D.; Franceschini, A.; Wyder, S.; Forslund, K.; Heller, D.; Huerta-Cepas, J.; Simonovic, M.; Roth, A.; Santos, A.; Tsafou, K.P.; et al. STRING v10: Protein-protein interaction networks, integrated over the tree of life. Nucleic Acids Res. 2015, 43, D447–D452. [Google Scholar] [CrossRef]
- Shannon, P.; Markiel, A.; Ozier, O.; Baliga, N.S.; Wang, J.T.; Ramage, D.; Amin, N.; Schwikowski, B.; Ideker, T. Cytoscape: A software environment for integrated models of biomolecular interaction networks. Genome Res. 2003, 13, 2498–2504. [Google Scholar] [CrossRef]
- Li, Q.; Liu, Y.; Che, Z.; Zhu, H.; Meng, G.; Hou, Y.; Ding, B.; Yin, Y.; Chen, F. Dietary L-arginine supplementation alleviates liver injury caused by Escherichia coli LPS in weaned pigs. Innate Immun. 2012, 18, 804–814. [Google Scholar] [CrossRef]
- Yang, X.-W.; Liu, L.; Jiang, D.-L.; Wang, C.-L.; Sun, A.-D.; Shi, Z.-D. Improving Geese Production Performance in “Goose-Fish” Production System by Competitive Reduction of Pathogenic Bacteria in Pond Water. J. Integr. Agric. 2012, 11, 993–1001. [Google Scholar] [CrossRef]
- Grube, B.J.; Cochane, C.G.; Ye, R.D.; Green, C.E.; McPhail, M.E.; Ulevitch, R.J.; Tobias, P.S. Lipopolysaccharide binding protein expression in primary human hepatocytes and HepG2 hepatoma cells. J. Biol. Chem. 1994, 269, 8477–8482. [Google Scholar] [CrossRef]
- Guo, S.; Li, W.; Chen, F.; Yang, S.; Huang, Y.; Tian, Y.; Xu, D.; Cao, N. Polysaccharide of Atractylodes macrocephala Koidz regulates LPS-mediated mouse hepatitis through the TLR4-MyD88-NFκB signaling pathway. Int. Immunopharmacol. 2021, 98, 107692. [Google Scholar] [CrossRef]
- Ozer, J.; Ratner, M.; Shaw, M.; Bailey, W.; Schomaker, S. The current state of serum biomarkers of hepatotoxicity. Toxicology 2008, 245, 194–205. [Google Scholar] [CrossRef]
- Roberts, N.D.; Kortschak, R.D.; Parker, W.T.; Schreiber, A.W.; Branford, S.; Scott, H.S.; Glonek, G.; Adelson, D.L. A comparative analysis of algorithms for somatic SNV detection in cancer. Bioinformatics 2013, 29, 2223–2230. [Google Scholar] [CrossRef]
- Jin, H.-J.; Jung, S.; DebRoy, A.R.; Davuluri, R.V. Identification and validation of regulatory SNPs that modulate transcription factor chromatin binding and gene expression in prostate cancer. Oncotarget 2016, 7, 54616–54626. [Google Scholar] [CrossRef]
- Sun, Z.; Bhagwate, A.; Prodduturi, N.; Yang, P.; Kocher, J.-P.A. Indel detection from RNA-seq data: Tool evaluation and strategies for accurate detection of actionable mutations. Brief. Bioinform. 2017, 18, 973–983. [Google Scholar] [CrossRef]
- Yang, R.; Van Etten, J.L.; Dehm, S.M. Indel detection from DNA and RNA sequencing data with transIndel. BMC Genom. 2018, 19, 270. [Google Scholar] [CrossRef]
- Howell, J.; Gow, P.; Angus, P.; Visvanathan, K. Role of toll-like receptors in liver transplantation. Liver Transpl. 2014, 20, 270–280. [Google Scholar] [CrossRef]
- Kesar, V.; Odin, J.A. Toll-like receptors and liver disease. Liver. Int. 2014, 34, 184–196. [Google Scholar] [CrossRef]
- Peroval, M.Y.; Boyd, A.C.; Young, J.R.; Smith, A.L. A critical role for MAPK signalling pathways in the transcriptional regulation of toll like receptors. PLoS ONE 2013, 8, e51243. [Google Scholar] [CrossRef]
- Liu, P.; Lu, Z.; Liu, L.; Li, R.; Liang, Z.; Shen, M.; Xu, H.; Ren, D.; Ji, M.; Yuan, S.; et al. NOD-like receptor signaling in inflammation-associated cancers: From functions to targeted therapies. Phytomedicine 2019, 64, 152925. [Google Scholar] [CrossRef]
- Pan, M.; Liu, J.; Huang, D.; Guo, Y.; Luo, K.; Yang, M.; Gao, W.; Xu, Q.; Zhang, W.; Mai, K. FoxO3 Modulates LPS-Activated Hepatic Inflammation in Turbot (Scophthalmus maximus L.). Front. Immunol. 2021, 12, 679704. [Google Scholar] [CrossRef]
- Tian, Y.; Li, Y.; Li, F.; Zhi, Q.; Li, F.; Tang, Y.; Yang, Y.; Yin, R.; Ming, J. Protective effects of Coreopsis tinctoria flowers phenolic extract against D-galactosamine/lipopolysaccharide -induced acute liver injury by up-regulation of Nrf2, PPARα, and PPARγ. Food Chem. Toxicol. 2018, 121, 404–412. [Google Scholar] [CrossRef] [PubMed]
- Sung, B.; Park, S.; Yu, B.P.; Chung, H.Y. Modulation of PPAR in aging, inflammation, and calorie restriction. J. Gerontol. A Biol. Sci. Med. Sci. 2004, 59, B997–B1006. [Google Scholar] [CrossRef] [PubMed]
- Koyama, Y.; Brenner, D.A. Liver inflammation and fibrosis. J. Clin. Investig. 2017, 127, 55–64. [Google Scholar] [CrossRef] [PubMed]
- Schwabe, R.F.; Seki, E.; Brenner, D.A. Toll-like receptor signaling in the liver. Gastroenterology 2006, 130, 1886–1900. [Google Scholar] [CrossRef] [PubMed]
- Liu, S.; Gallo, D.J.; Green, A.M.; Williams, D.L.; Gong, X.; Shapiro, R.A.; Gambotto, A.A.; Humphris, E.L.; Vodovotz, Y.; Billiar, T.R. Role of toll-like receptors in changes in gene expression and NF-kappa B activation in mouse hepatocytes stimulated with lipopolysaccharide. Infect. Immun. 2002, 70, 3433–3442. [Google Scholar] [CrossRef] [PubMed]
- Scott, M.J.; Billiar, T.R. Beta2-integrin-induced p38 MAPK activation is a key mediator in the CD14/TLR4/MD2-dependent uptake of lipopolysaccharide by hepatocytes. J. Biol. Chem. 2008, 283, 29433–29446. [Google Scholar] [CrossRef]
- Kawai, T.; Akira, S. Antiviral signaling through pattern recognition receptors. J. Biochem. 2007, 141, 137–145. [Google Scholar] [CrossRef]
- Lombardi, V.; Van Overtvelt, L.; Horiot, S.; Moingeon, P. Human dendritic cells stimulated via TLR7 and/or TLR8 induce the sequential production of Il-10, IFN-gamma, and IL-17A by naive CD4+ T cells. J. Immunol. 2009, 182, 3372–3379. [Google Scholar] [CrossRef]
- Lee, J.; Hayashi, M.; Lo, J.-F.; Fearns, C.; Chu, W.-M.; Luo, Y.; Xiang, R.; Chuang, T.-H. Nuclear factor kappaB (NF-kappaB) activation primes cells to a pro-inflammatory polarized response to a Toll-like receptor 7 (TLR7) agonist. Biochem. J. 2009, 421, 301–310. [Google Scholar] [CrossRef]
- Lee, J.; Wu, C.C.N.; Lee, K.J.; Chuang, T.-H.; Katakura, K.; Liu, Y.-T.; Chan, M.; Tawatao, R.; Chung, M.; Shen, C.; et al. Activation of anti-hepatitis C virus responses via Toll-like receptor 7. Proc. Natl. Acad. Sci. USA 2006, 103, 1828–1833. [Google Scholar] [CrossRef]
- Lester, R.T.; Yao, X.-D.; Ball, T.B.; McKinnon, L.R.; Kaul, R.; Wachihi, C.; Jaoko, W.; Plummer, F.A.; Rosenthal, K.L. Toll-like receptor expression and responsiveness are increased in viraemic HIV-1 infection. AIDS 2008, 22, 685–694. [Google Scholar] [CrossRef]
- Lee, M.S.; Kim, Y.-J. Signaling pathways downstream of pattern-recognition receptors and their cross talk. Annu. Rev. Biochem. 2007, 76, 447–480. [Google Scholar] [CrossRef]
- West, A.P.; Koblansky, A.A.; Ghosh, S. Recognition and signaling by toll-like receptors. Annu. Rev. Cell Dev. Biol. 2006, 22, 409–437. [Google Scholar] [CrossRef]
- Takaoka, A.; Yanai, H.; Kondo, S.; Duncan, G.; Negishi, H.; Mizutani, T.; Kano, S.-I.; Honda, K.; Ohba, Y.; Mak, T.W.; et al. Integral role of IRF-5 in the gene induction programme activated by Toll-like receptors. Nature 2005, 434, 243–249. [Google Scholar] [CrossRef]
- Sato, S.; Sanjo, H.; Takeda, K.; Ninomiya-Tsuji, J.; Yamamoto, M.; Kawai, T.; Matsumoto, K.; Takeuchi, O.; Akira, S. Essential function for the kinase TAK1 in innate and adaptive immune responses. Nat. Immunol. 2005, 6, 1087–1095. [Google Scholar] [CrossRef]
- Vyrla, D.; Nikolaidis, G.; Oakley, F.; Perugorria, M.J.; Tsichlis, P.N.; Mann, D.A.; Eliopoulos, A.G. TPL2 Kinase Is a Crucial Signaling Factor and Mediator of NKT Effector Cytokine Expression in Immune-Mediated Liver Injury. J. Immunol. 2016, 196, 4298–4310. [Google Scholar] [CrossRef]
- Martel, G.; Rousseau, S. TPL2 signalling: From Toll-like receptors-mediated ERK1/ERK2 activation to Cystic Fibrosis lung disease. Int. J. Biochem. Cell Biol. 2014, 52, 146–151. [Google Scholar] [CrossRef]
- Njunge, L.W.; Estania, A.P.; Guo, Y.; Liu, W.; Yang, L. Tumor progression locus 2 (TPL2) in tumor-promoting Inflammation, Tumorigenesis and Tumor Immunity. Theranostics 2020, 10, 8343–8364. [Google Scholar] [CrossRef]
- Veres, B.; Radnai, B.; Gallyas, F.; Varbiro, G.; Berente, Z.; Osz, E.; Sumegi, B. Regulation of kinase cascades and transcription factors by a poly(ADP-ribose) polymerase-1 inhibitor, 4-hydroxyquinazoline, in lipopolysaccharide-induced inflammation in mice. J. Pharmacol. Exp. Ther. 2004, 310, 247–255. [Google Scholar] [CrossRef]
- Shaywitz, A.J.; Greenberg, M.E. CREB: A stimulus-induced transcription factor activated by a diverse array of extracellular signals. Annu. Rev. Biochem. 1999, 68, 821–861. [Google Scholar] [CrossRef] [PubMed]
- Kawai, T.; Akira, S. Signaling to NF-kappaB by Toll-like receptors. Trends Mol. Med. 2007, 13, 460–469. [Google Scholar] [CrossRef] [PubMed]
- Hossen, M.J.; Kim, S.C.; Son, Y.-J.; Baek, K.-S.; Kim, E.; Yang, W.S.; Jeong, D.; Park, J.G.; Kim, H.G.; Chung, W.-J.; et al. AP-1-Targeting Anti-Inflammatory Activity of the Methanolic Extract of Persicaria chinensis. Evid. Based Complement. Altern. Med. 2015, 2015, 608126. [Google Scholar] [CrossRef] [PubMed]
- He, Y.; Hwang, S.; Ahmed, Y.A.; Feng, D.; Li, N.; Ribeiro, M.; Lafdil, F.; Kisseleva, T.; Szabo, G.; Gao, B. Immunopathobiology and therapeutic targets related to cytokines in liver diseases. Cell Mol. Immunol. 2021, 18, 18–37. [Google Scholar] [CrossRef] [PubMed]
- Gao, B.; Jeong, W.-I.; Tian, Z. Liver: An organ with predominant innate immunity. Hepatology 2008, 47, 729–736. [Google Scholar] [CrossRef]
- Tanaka, T.; Narazaki, M.; Kishimoto, T. Immunotherapeutic implications of IL-6 blockade for cytokine storm. Immunotherapy 2016, 8, 959–970. [Google Scholar] [CrossRef]
- Brunello, A.G.; Weissenberger, J.; Kappeler, A.; Vallan, C.; Peters, M.; Rose-John, S.; Weis, J. Astrocytic alterations in interleukin-6/Soluble interleukin-6 receptor alpha double-transgenic mice. Am. J. Pathol. 2000, 157, 1485–1493. [Google Scholar] [CrossRef]
- Panesar, N.; Tolman, K.; Mazuski, J.E. Endotoxin stimulates hepatocyte interleukin-6 production. J. Surg. Res. 1999, 85, 251–258. [Google Scholar] [CrossRef]
- Gabay, C. Interleukin-6 and chronic inflammation. Arthritis Res. Ther. 2006, 8, 251–258. [Google Scholar] [CrossRef]
- Atsumi, T.; Singh, R.; Sabharwal, L.; Bando, H.; Meng, J.; Arima, Y.; Yamada, M.; Harada, M.; Jiang, J.-J.; Kamimura, D.; et al. Inflammation amplifier, a new paradigm in cancer biology. Cancer Res. 2014, 74, 8–14. [Google Scholar] [CrossRef]
- Hirano, T. IL-6 in inflammation, autoimmunity and cancer. Int. Immunol. 2021, 33, 127–148. [Google Scholar] [CrossRef]







| Samples | Raw Data | Clean Data | Valid Ratio | GC Content | Q30 Value |
|---|---|---|---|---|---|
| C1 | 50,056,712 | 47,880,158 | 95.65% | 48.00% | 96.98% |
| C2 | 50,257,844 | 48,360,268 | 96.22% | 47.50% | 97.27% |
| C3 | 44,899,474 | 43,177,160 | 96.16% | 48.50% | 97.49% |
| L1 | 45,825,564 | 43,990,084 | 95.99% | 48.50% | 97.33% |
| L2 | 49,605,102 | 47,688,432 | 96.14% | 48.50% | 97.41% |
| L3 | 51,768,960 | 49,660,302 | 95.93% | 48.50% | 97.39% |
| Samples | A-G | C-T | A-C | A-T | C-G | G-T | Total | Transition | Transversion |
|---|---|---|---|---|---|---|---|---|---|
| C1 | 177,194 | 177,322 | 34,263 | 27,889 | 37,250 | 33,663 | 487,581 | 72.71% | 27.29% |
| C2 | 176,721 | 176,522 | 34,305 | 28,051 | 37,260 | 34,097 | 486,956 | 72.54% | 27.46% |
| C3 | 155,964 | 156,455 | 29,645 | 24,394 | 32,850 | 29,603 | 428,911 | 72.84% | 27.16% |
| L1 | 167,120 | 167,508 | 32,409 | 26,307 | 35,285 | 32,242 | 460,871 | 72.61% | 27.39% |
| L2 | 166,199 | 166,149 | 31,905 | 25,918 | 35,061 | 31,666 | 456,898 | 72.74% | 27.26% |
| L3 | 165,059 | 166,306 | 32,207 | 26,134 | 35,100 | 32,109 | 456,915 | 72.52% | 27.48% |
| GO ID | GO Term | GO ID | GO Term |
|---|---|---|---|
| GO:0006954 | Inflammatory response | GO:0006955 | Immune response |
| GO:0034134 | Toll-like receptor 2 signaling pathway | GO:0005615 | Extracellular space |
| GO:0042742 | Defense response to bacterium | GO:0050786 | RAGE receptor binding |
| GO:0035879 | Plasma membrane lactate transport | GO:0009897 | External side of plasma membrane |
| GO:0042981 | Regulation of apoptotic process | GO:0072562 | Blood microparticle |
| GO:0052697 | Xenobiotic glucuronidation | GO:0005576 | Extracellular region |
| GO:0035095 | Behavioral response to nicotine | GO:0031092 | Platelet alpha granule membrane |
| GO:0006953 | Acute-phase response | GO:0070538 | Oleic acid binding |
| GO:0019221 | Cytokine-mediated signaling pathway | GO:0008009 | Chemokine activity |
| GO:0006526 | Arginine biosynthetic process | GO:0050544 | Arachidonic acid binding |
| GO:0001706 | Endoderm formation | GO:0015129 | Lactate transmembrane transporter activity |
| GO:0050679 | Positive regulation of epithelial cell proliferation | GO:0005887 | Integral component of plasma membrane |
| Gene Symbol | Degree | Up/Down-Regulation |
|---|---|---|
| IL6 | 59 | up |
| JUN | 31 | up |
| EGF | 30 | up |
| NFKBIA | 30 | up |
| CCND1 | 25 | up |
| TNFAIP3 | 25 | up |
| HSPA8 | 24 | up |
| FOS | 23 | up |
| NFKB2 | 21 | up |
| NOS2 | 21 | up |
| TLR7 | 20 | up |
| IL18 | 17 | up |
| CD80 | 17 | down |
| BIRC2 | 17 | up |
| IRF7 | 17 | up |
| TRAF3 | 15 | up |
| HSP90AA1 | 15 | up |
| FABP1 | 15 | up |
| GADD45B | 14 | up |
| DUSP1 | 13 | up |
| CDKN1A | 13 | down |
| FGF10 | 11 | up |
| IKBKE | 11 | up |
| CSF3R | 10 | up |
| LPL | 10 | up |
| MAP3K8 | 9 | up |
| HSPA2 | 9 | up |
| TRAF1 | 9 | up |
Disclaimer/Publisher’s Note: The statements, opinions and data contained in all publications are solely those of the individual author(s) and contributor(s) and not of MDPI and/or the editor(s). MDPI and/or the editor(s) disclaim responsibility for any injury to people or property resulting from any ideas, methods, instructions or products referred to in the content. |
© 2022 by the authors. Licensee MDPI, Basel, Switzerland. This article is an open access article distributed under the terms and conditions of the Creative Commons Attribution (CC BY) license (https://creativecommons.org/licenses/by/4.0/).
Share and Cite
Li, B.; Hong, L.; Luo, Y.; Zhang, B.; Yu, Z.; Li, W.; Cao, N.; Huang, Y.; Xu, D.; Li, Y.; et al. LPS-Induced Liver Injury of Magang Geese through Toll-like Receptor and MAPK Signaling Pathway. Animals 2023, 13, 127. https://doi.org/10.3390/ani13010127
Li B, Hong L, Luo Y, Zhang B, Yu Z, Li W, Cao N, Huang Y, Xu D, Li Y, et al. LPS-Induced Liver Injury of Magang Geese through Toll-like Receptor and MAPK Signaling Pathway. Animals. 2023; 13(1):127. https://doi.org/10.3390/ani13010127
Chicago/Turabian StyleLi, Bingxin, Longsheng Hong, Yindan Luo, Bingqi Zhang, Ziyu Yu, Wanyan Li, Nan Cao, Yunmao Huang, Danning Xu, Yugu Li, and et al. 2023. "LPS-Induced Liver Injury of Magang Geese through Toll-like Receptor and MAPK Signaling Pathway" Animals 13, no. 1: 127. https://doi.org/10.3390/ani13010127
APA StyleLi, B., Hong, L., Luo, Y., Zhang, B., Yu, Z., Li, W., Cao, N., Huang, Y., Xu, D., Li, Y., & Tian, Y. (2023). LPS-Induced Liver Injury of Magang Geese through Toll-like Receptor and MAPK Signaling Pathway. Animals, 13(1), 127. https://doi.org/10.3390/ani13010127

