Ultrasound Description of Follicular Development in the Louisiana Pinesnake (Pituophis ruthveni, Stull 1929)
Abstract
Simple Summary
Abstract
1. Introduction
2. Material and Methods
2.1. Animals and Husbandry
2.2. Ultrasonography
2.3. Palpation
2.4. Gross Reproductive Anatomy
2.5. Statistical Analysis
3. Results
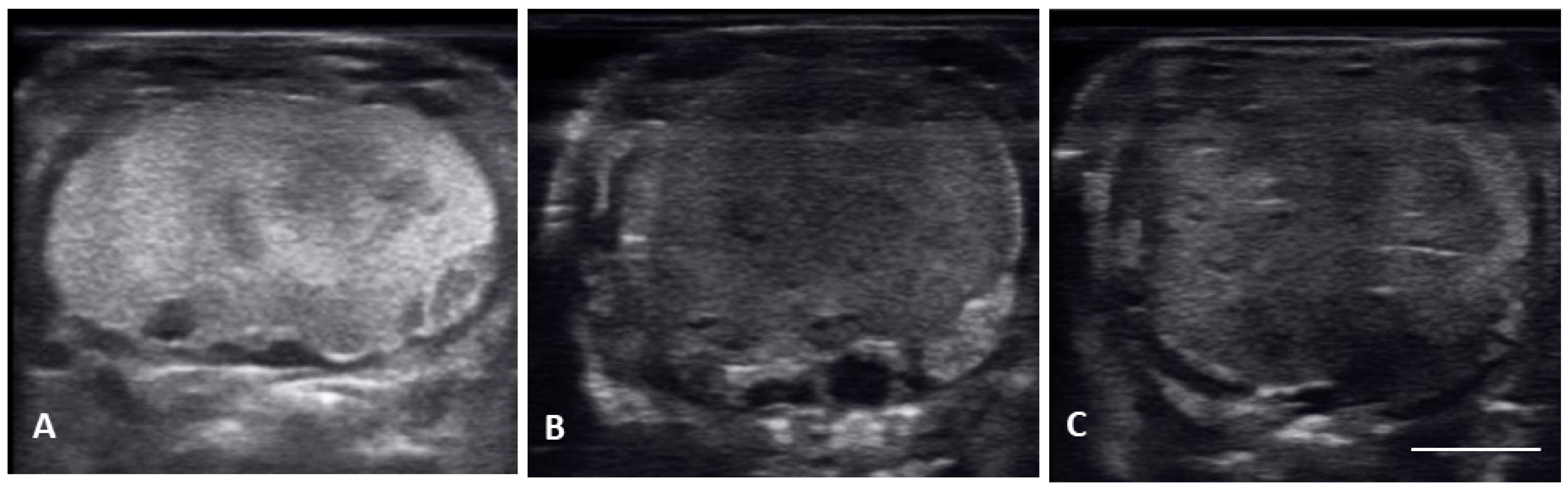
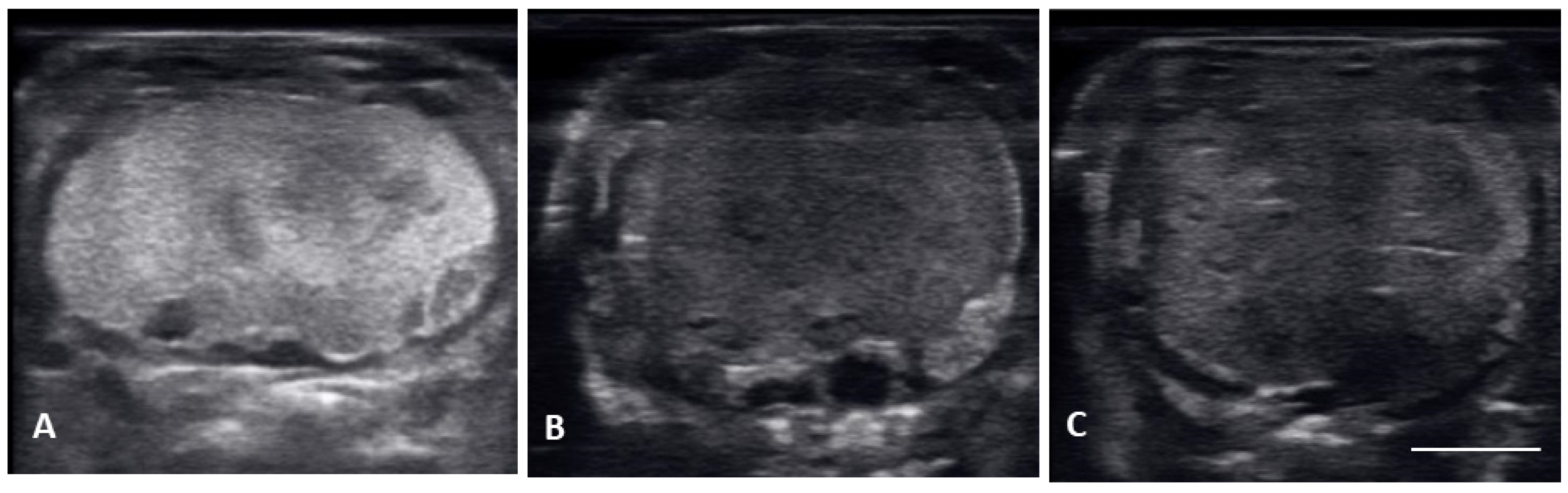
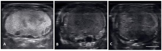
3.1. Ultrasonography
3.2. Abdominal Palpation
3.3. Gross Anatomy
4. Discussion
5. Conclusions
Author Contributions
Funding
Institutional Review Board Statement
Data Availability Statement
Acknowledgments
Conflicts of Interest
References
- IUCN. Guidelines on the Use of Ex Situ Management for Species Conservation, Version 2.0, IUCN Species Survival Commission: Gland, Switzerland, 2014.
- Olive, A.K. Jansen. The role of accredited zoos in the recovery process for species at risk in Canada. Can. Geogr. 2017, 61, 319–333. [Google Scholar] [CrossRef]
- Curry, B.E.; Ralls, K.; Brownell, R. Prospects for captive breeding of poorly known small cetacean species. Endanger. Species Res. 2013, 19, 223–243. [Google Scholar] [CrossRef][Green Version]
- Snyder, N.F.R.; Derrickson, S.R.; Beissinger, S.R.; Wiley, J.W.; Smith, T.B.; Toone, W.D.; Miller, B. Limitations of captive breeding in endangered species recovery. Conserv. Biol. 1996, 10, 338–348. [Google Scholar] [CrossRef]
- Frankham, R. Genetic adaptation to captivity. Mol. Ecol. 2008, 17, 325–333. [Google Scholar] [CrossRef] [PubMed]
- Jewgenow, K.B.; Braun, C.; Dehnhard, M.; Zahmel, J.; Goeritz, F. Research on reproduction is essential for captive breeding of endangered carnivore species. Reprod. Domest. Anim. 2017, 52, 18–23. [Google Scholar] [CrossRef] [PubMed]
- Comizzoli, P.W.; Holt, V. Breakthroughs and new horizons in reproductive biology of rare and endangered species. Biol. Reprod. 2019, 101, 514–525. [Google Scholar] [CrossRef]
- Hammerson, G.A. Pituophis ruthveni. The IUCN Red List of Threatened Species 2007: e.T63874A12723685. 2007. Available online: https://www.iucnredlist.org/species/63874/12723685 (accessed on 26 March 2013).
- Conant, R. A review of two rare pine snakes from the Gulf Coastal Plain. Am. Mus. Novit. 1956, 1781, 1–31. [Google Scholar]
- Reichling, S.B. The taxonomic status of the Louisiana Pine Snake (Pituophis melanoleucus ruthveni) and its relevance to the evolutionary species concept. J. Herpetol. 1995, 29, 186–198. [Google Scholar] [CrossRef]
- Thomas, R.A.; Davis, B.J.; Culbertson, M.R. Notes on variation and range of the Louisiana Pine Snake, Pituophis melanoleucus ruthveni Stull (Reptilia, Serpentes, Colubridae). J. Herpetol. 1976, 10, 252–254. [Google Scholar] [CrossRef]
- Pierce, J.B.; Rudolph, C.; Melder, C.A.; Gregory, B.B. Pituophis ruthveni (Louisiana pinesnake) Reproduction/breeding phenology. Herpetol. Rev. 2016, 47, 315. [Google Scholar]
- Stahl, S.J.; De Nardo, D.F. Theriogenology. In Mader’s Reptile Medicine and Surgery, 3rd ed.; Divers, S.J., Stahl, S.J., Eds.; WB Saunders Co.: St. Louis, MO, USA, 2019; Chapter 80; pp. 849–893. [Google Scholar]
- Taylor, E.N.; Nardo, D.F. Reproductive ecology of Western diamond-backed rattlesnakes (Crotalus atrox) in the Sonoran Desert. Copeia. 2005, 1, 152–158. [Google Scholar] [CrossRef]
- Sparkman, A.M.; Chism, K.R.; Bronikowski, A.M.; Brummett, L.J.; Combrink, L.L.; Davis, C.L.; Holden, K.G.; Kabey, N.M.; Miller, D.A. Use of field-portable ultrasonography reveals differences in developmental phenology and maternal egg provisioning in two sympatric viviparous snakes. Ecol. Evol. 2018, 8, 3330–3340. [Google Scholar] [CrossRef] [PubMed]
- Nielsen, E.L.; Hespel, A.M.; Kottwitz, J.J.; Cole, R. Evaluation of the follicular cycle in ball pythons (Python regius). J. Herpetol. Med. Surg. 2016, 26, 108–116. [Google Scholar] [CrossRef]
- Silverman, S. Diagnostic imaging. In Reptile Medicine and Surgery, 2nd ed.; Mader, D., Ed.; WB Saunders Co.: St. Louis, MO, USA, 2006; Chapter 29; pp. 471–489. [Google Scholar]
- Schneider, C.A.; Rasband, W.S.; Eliceiri, K.W. NIH Image to ImageJ: 25 years of image analysis. Nat. Methods. 2012, 9, 671–675. [Google Scholar] [CrossRef]
- Stahlschmidt, Z.; Brashears, J.; Denardo, D. The use of ultrasonography to assess reproductive investment and output in pythons. Biol. J. Linn. Soc. 2011, 103, 772–778. [Google Scholar] [CrossRef]
- Bertocchi, M.; Bigliardi, E.; Pelizzone, I.; Vetere, A.; Manfredi, S.; Cattarossi, D.; Rizzi, M.; Di Ianni, F. Monitoring of the reproductive cycle in captive-bred female Boa constrictor: Preliminary Ultrasound Observations. Animals 2021, 11, 3069. [Google Scholar] [CrossRef] [PubMed]
- Bertocchi, M.; Pelizzone, I.; Parmigiani, E.; Ponzio, P.; Macchi, E.; Righi, F.; Di Girolamo, N.; Bigliardi, E.; Denti, L.; Bresciani, C.; et al. Monitoring the reproductive activity in captive bred female ball pythons (P. regius) by ultrasound evaluation and noninvasive analysis of faecal reproductive hormone (progesterone and 17β-estradiol) metabolites trends. PLoS ONE 2018, 13, e0199377. [Google Scholar] [CrossRef]
- Oliveri, M.; Bartoskova, A.; Spadola, F.; Morici, M.; Di Giuseppe, M.; Knotek, Z. Method of semen collection and artificial insemination in snakes. J. Exot. Pet Med. 2018, 27, 75–80. [Google Scholar] [CrossRef]
- Oliveri, M.; Morici, M.; Novotny, R.; Bartoskova, A.; Knotek, Z. Cloacoscopy in Horned Viper (Vipera ammodytes). Acta Vet. Brno 2016, 85, 251–253. [Google Scholar] [CrossRef]
- Thissen, D.; Steinberg, L.; Kuang, D. Quick and easy implementation of the Benjamini-Hochberg procedure for controlling the false positive rate in multiple comparisons. J. Educational Behav. Statistics 2002, 27, 77–83. [Google Scholar] [CrossRef]
- Siegel, D.S.; Miralles, A.; Chabarria, R.E.; Aldridge, R.D. Female reproductive anatomy: Cloaca, oviduct, and sperm storage. In Reproductive Biology and Phylogeny of Snakes; Sever, D., Aldridge, R., Eds.; CRC Press: Enfield, NH, USA, 2011; pp. 347–409. [Google Scholar]
- White, M.E. Oogenesis and early embryogenesis. In Reproductive Biology and Phylogeny of Snakes; Sever, D., Aldridge, R., Eds.; CRC Press: Enfield, NH, USA, 2011; pp. 97–118. [Google Scholar]
- Reichling, S.B. Reproductive traits of the Louisiana Pine Snake Pituophis melanoleucus ruthveni (Serpentes: Colubridae). Southwest. Nat. 1990, 35, 221–222. [Google Scholar] [CrossRef]
- Rudolph, D.C.; Burgdorf, S.J.; Schaefer, R.R.; Conner, R.N.; Maxey, R.W. Status of Pituophis ruthveni (Louisiana Pine Snake). Southwest. Nat. 2006, 5, 463–472. [Google Scholar] [CrossRef]
- Himes, J. Burrowing ecology of the rare and elusive Louisiana pine snake, Pituophis ruthveni (Serpentes: Colubridae). Amphibia-Reptilia 2001, 22, 91–101. [Google Scholar] [CrossRef]
- Rudolph, D.R.; Burgdorf, S.J.; Conner, R.N.; Collins, C.S.; Saenz, D.; Schaefer, R.R.; Trees, T. Prey handling and diet of Louisiana pine snakes (Pituophis ruthveni) and black pine snakes (P.Melanoleucus lodingi), with comparisons to other selected colubrid snakes. Herpetol. Natur. Hist. 2002, 9, 57–62. [Google Scholar]
- Broussard, A.A.; Hoffman, J.D.; Lyons, E.K.; LeMieux, F. Comparison of the Relative Abundance of Potential Prey to the Diet of the Louisiana Pine Snake (Pituophis ruthveni). Southeast. Nat. 2022, 21, 93–106. [Google Scholar] [CrossRef]
- Di Girolamo, N.; Selleri, P. Reproductive disorders in snakes. Vet. Clin. Exot. Anim. 2017, 20, 391–409. [Google Scholar] [CrossRef]







| Previtellogenic Follicles (PVF) | Anechoic Follicles, Small and Rounded, String-Aligned |
|---|---|
| Early vitellogenic follicles (EVF) | Small, round follicles showing hyperechoic outline around an anechoic middle and hyperechoic center. |
| Vitellogenic follicles (VF) | Oval shaped follicles showing a thickening hyperechoic outline as granulosa cell layer increase, hyperechoic ooplasm, and an anechoic core centrally located. |
| Preovulatory follicles (PrOV) | Elongating and increasing hyperechoic ooplasm as follicles are filled with yolk, with an elongated anechoic area located in the periphery of the ooplasm. |
| Peri-ovulatory follicles (PERI) | Elongated follicles, mostly homogenous hyperechoic structure with thick hypoechoic outline. Before female is overtly swollen. |
| Post ovulatory follicles (POV) | Ovulated follicles, passed into the oviduct showing an hypoechoic surrounding, but no visible calcified layer. |
| Shelled eggs (Shell) | Ovulated follicles, passed into the oviduct and surrounded by a calcified layer. |
| End CP to PrOV | End CP to PERI | End CP to Lay | PreOv to Lay | PERI to Lay | Lay Shed to Lay | |
|---|---|---|---|---|---|---|
| Days | 45.5 | 53.6 | 95.1 | 48.9 | 40.4 | 7.6 |
| s.d. | 13.8 | 13.1 | 10.8 | 7.9 | 8.1 | 2.3 |
| PVF | EVF | VF | PrOV | PERI | POV | SHELL | |
|---|---|---|---|---|---|---|---|
| Date(s) | 30 March to 7 May 2020 | 30 March to 7 May 2020 | 7 April to 12 May 2020 | 13 April to 19 May 2020 | 20 April to 26 May 2020 | 11 May to 15 June 2020 | 11 May to 22 June 2020 |
| Longitudinal Plane (cm) (±s.d.) | |||||||
| Mean Length | 0.76 ± 0.42 | 1.33 ± 0.73 | 2.58 ± 0.90 | 3.71 ± 1.2 | 6.29 ± 0.89 | 7.46 ± 1.94 | 8.76 ± 1.94 |
| Min | 0.39 | 0.47 | 0.74 | 1.62 | 3.92 | 3.8 | 6.5 |
| Max | 2.34 | 3.51 | 4.85 | 4.85 | 8.27 | 11.57 | 11 |
| Mean Width | 0.52 ± 0.13 | 0.84 ± 0.43 | 0.89 ± 0.17 | 1.20 ± 0.21 | 1.83 ± 0.36 | 1.89 ± 0.38 | 2.14 ± 0.42 |
| Min | 0.32 | 0.425 | 0.517 | 0.79 | 1.34 | 0.932 | 1.63 |
| Max | 0.83 | 2.46 | 1.31 | 1.7 | 2.388 | 2.83 | 2.64 |
| Transverse Plane (cm) (±s.d.) | |||||||
| Mean Length | 0.71 ± 0.42 | 0.87 ± 0.27 | 1.0 ± 0.23 | 1.38 ± 0.27 | 2.06 ± 0.43 | 2.54 ± 0.45 | 2.77 ± 0.38 |
| Min | 0.21 | 0.57 | 0.39 | 0.96 | 1.17 | 1.26 | 1.63 |
| Max | 2.07 | 1.67 | 1.43 | 1.88 | 3.438 | 3.49 | 3.54 |
| Mean Width | 0.53 ± 0.30 | 0.69 ± 0.13 | 0.86 ± 0.19 | 1.16 ± 0.23 | 1.57 ± 0.33 | 1.79 ± 0.35 | 2.13 ± 0.47 |
| Min | 0.17 | 0.49 | 0.26 | 0.56 | 0.98 | 0.93 | 1.16 |
| Max | 1.5 | 1.09 | 1.4 | 1.71 | 2.47 | 2.53 | 3.33 |
Publisher’s Note: MDPI stays neutral with regard to jurisdictional claims in published maps and institutional affiliations. |
© 2022 by the authors. Licensee MDPI, Basel, Switzerland. This article is an open access article distributed under the terms and conditions of the Creative Commons Attribution (CC BY) license (https://creativecommons.org/licenses/by/4.0/).
Share and Cite
Oliveri, M.; Sandfoss, M.R.; Reichling, S.B.; Richter, M.M.; Cantrell, J.R.; Knotek, Z.; Roberts, B.M. Ultrasound Description of Follicular Development in the Louisiana Pinesnake (Pituophis ruthveni, Stull 1929). Animals 2022, 12, 2983. https://doi.org/10.3390/ani12212983
Oliveri M, Sandfoss MR, Reichling SB, Richter MM, Cantrell JR, Knotek Z, Roberts BM. Ultrasound Description of Follicular Development in the Louisiana Pinesnake (Pituophis ruthveni, Stull 1929). Animals. 2022; 12(21):2983. https://doi.org/10.3390/ani12212983
Chicago/Turabian StyleOliveri, Matteo, Mark R. Sandfoss, Steven B. Reichling, Melanie M. Richter, Jessica R. Cantrell, Zdenek Knotek, and Beth M. Roberts. 2022. "Ultrasound Description of Follicular Development in the Louisiana Pinesnake (Pituophis ruthveni, Stull 1929)" Animals 12, no. 21: 2983. https://doi.org/10.3390/ani12212983
APA StyleOliveri, M., Sandfoss, M. R., Reichling, S. B., Richter, M. M., Cantrell, J. R., Knotek, Z., & Roberts, B. M. (2022). Ultrasound Description of Follicular Development in the Louisiana Pinesnake (Pituophis ruthveni, Stull 1929). Animals, 12(21), 2983. https://doi.org/10.3390/ani12212983

