Beneficial Propionibacteria within a Probiotic Emmental Cheese: Impact on Dextran Sodium Sulphate-Induced Colitis in Mice
Abstract
1. Introduction
2. Materials and Methods
2.1. Bacterial Strains
2.2. Cheeses Manufacturing for Animal Studies
2.3. Animals, Feeding Procedure and Dextran Sulfate Sodium Induced Colitis
2.4. Assessment of DSS-Induced Colitis
2.5. Histology
2.6. Quantification of Secretory IgA in the Small Bowel Content
2.7. Gene Expression Analysis in the Distal Colon
2.8. Tissues Preparation and Cytokines Quantification by ELISA
2.9. Statistical Analysis
3. Results
3.1. Both Experimental and Industrial Emmental Cheeses Contain P. freudenreichii CIRM-BIA 129
3.2. Emmental Cheese Mitigates DSS-Induced Colitis in Mice
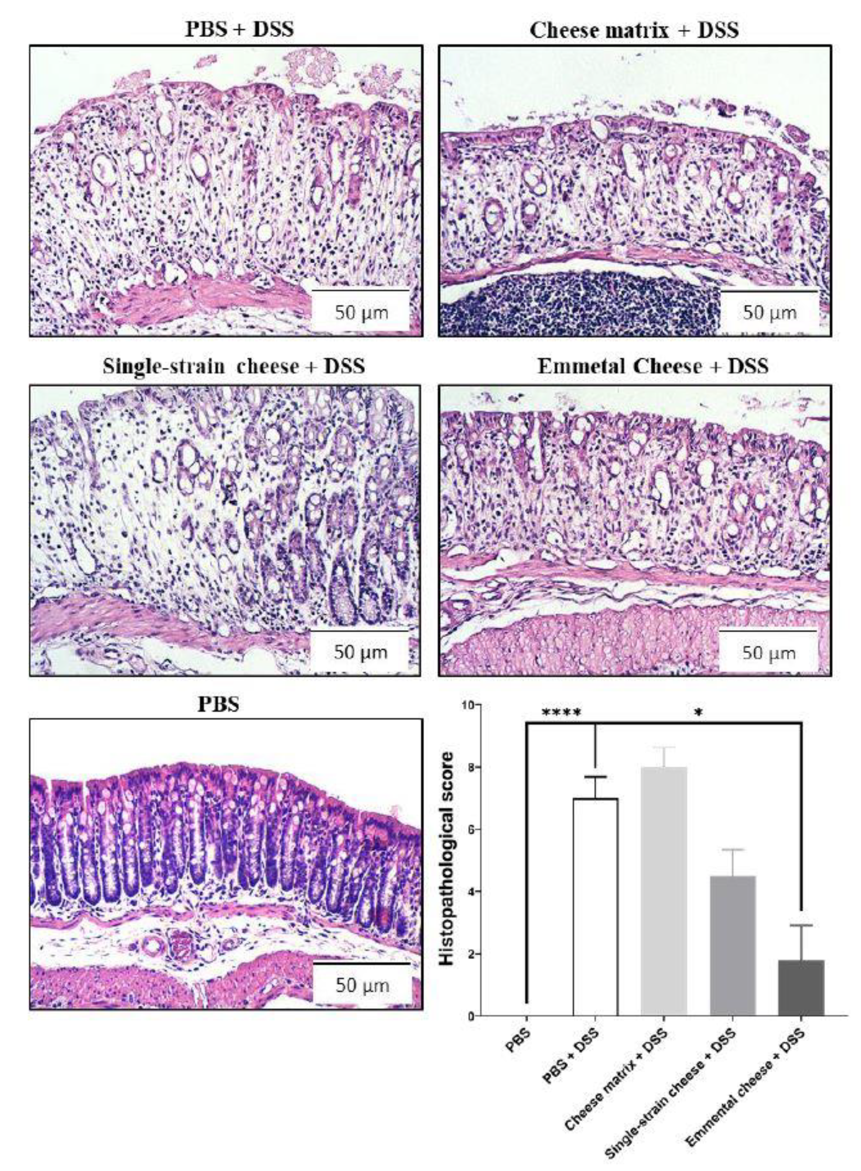
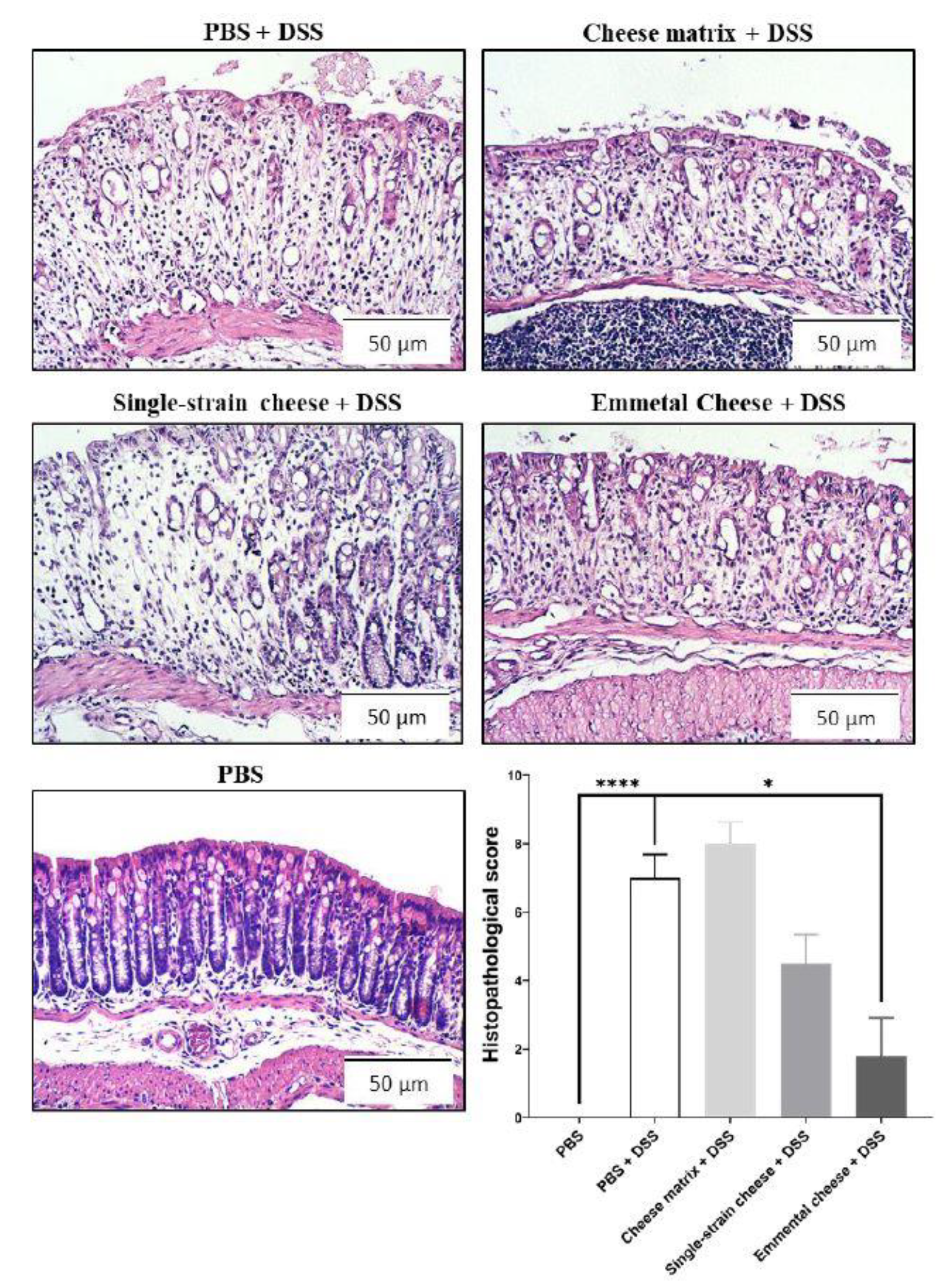
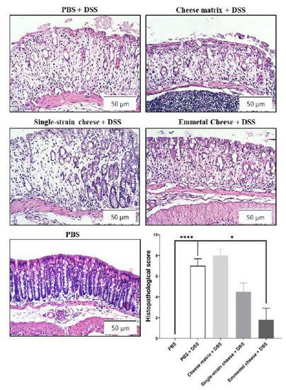
3.3. Disease Activity Index, Body Weight Loss, Colon Length and Histological Score in DSS-Colitis Mice
3.4. Mice Intestinal IgA Secretory Production
3.5. Mice Colonic Oxidative Stress and Epithelial Barrier
3.6. Pro-Inflammatory and Anti-Inflammatory Gene Expression in Mice Colon
3.7. Pro-Inflammatory and Anti-Inflammatory Cytokines Concentration in Mice Colon
4. Discussion
Supplementary Materials
Author Contributions
Funding
Acknowledgments
Conflicts of Interest
Abbreviations
| Cox | Cyclooxygenase |
| DAI | Desease Activity Index |
| DSS | Dextran Sodium Sulphate |
| Hmox | Heme oxigenase |
| IFN | Interferon |
| Ig | Immunoglobulin |
| IBD | Inflammatory Bowel Disease |
| Th | T helper |
| TNF | Tumor Necrosis Factor |
| UC | Ulcerative Colitis |
| Zo1 | Zonula occludens 1 |
| Pparg | Peroxisome proliferator-activated receptor gamma |
References
- Diplock, A.T.; Aggett, P.; Ashwell, M.; Bornet, F.R.J.B.; Fern, E.B.; Roberfroid, M. Scientific concepts of functional foods in europe: Consensus document. Br. J. Nutr. 1999, 81, S1–S27. [Google Scholar]
- Saris, W.H.; Asp, N.G.; Björck, I.; Blaak, E.; Bornet, F.; Brouns, F.; Frayn, K.N.; Fürst, P.; Riccardi, G.; Roberfroid, M.; et al. Functional food science and substrate metabolism. Br. J. Nutr. 1998, 80, S47–S75. [Google Scholar] [CrossRef] [PubMed]
- Rabah, H.; Do Carmo, F.L.R.; Jan, G. Dairy propionibacteria: Versatile probiotics. Microorganisms 2017, 5, 24. [Google Scholar] [CrossRef]
- Santaolalla, R.; Abreu, M.T. Innate immunity in the small intestine. Curr. Opin. Gastroenterol. 2012, 28, 124–129. [Google Scholar] [CrossRef] [PubMed]
- Ko, J.K.; Auyeung, K.K. Inflammatory bowel disease: Etiology, pathogenesis and current therapy. Curr. Pharm. Des. 2014, 20, 1082–1096. [Google Scholar] [CrossRef] [PubMed]
- Vindigni, S.M.; Zisman, T.L.; Suskind, D.L.; Damman, C.J. The intestinal microbiome, barrier function, and immune system in inflammatory bowel disease: A tripartite pathophysiological circuit with implications for new therapeutic directions. Therap. Adv. Gastroenterol. 2016, 9, 606–625. [Google Scholar] [CrossRef]
- Zhang, Y.-Z.; Li, Y.-Y. Inflammatory bowel disease: Pathogenesis. World J. Gastroenterol. 2014, 20, 91–99. [Google Scholar] [CrossRef]
- Derwa, Y.; Gracie, D.J.; Hamlin, P.J.; Ford, A.C. Systematic review with meta-analysis: The efficacy of probiotics in inflammatory bowel disease. Aliment. Pharmacol. Ther. 2017, 46, 389–400. [Google Scholar] [CrossRef]
- Ghouri, Y.A.; Richards, D.M.; Rahimi, E.F.; Krill, J.T.; Jelinek, K.A.; DuPont, A.W. Systematic review of randomized controlled trials of probiotics, prebiotics, and synbiotics in inflammatory bowel disease. Clin. Exp. Gastroenterol. 2014, 7, 473. [Google Scholar] [PubMed]
- Sniffen, J.C.; McFarland, L.V.; Evans, C.T.; Goldstein, E.J.C. Choosing an appropriate probiotic product for your patient: An evidence-based practical guide. PLoS ONE 2018, 13, e0209205. [Google Scholar] [CrossRef]
- Colliou, N.; Ge, Y.; Sahay, B.; Gong, M.; Zadeh, M.; Owen, J.L.; Neu, J.; Farmerie, W.G.; Alonzo, F.; Liu, K.; et al. Commensal Propionibacterium strain UF1 mitigates intestinal inflammation via Th17 cell regulation. J. Clin. Investig. 2017, 127, 3970–3986. [Google Scholar] [CrossRef]
- Foligné, B.; Breton, J.; Mater, D.; Jan, G. Tracking the microbiome functionality: Focus on Propionibacterium species. Gut 2013, 62, 1227–1228. [Google Scholar] [CrossRef] [PubMed]
- Thierry, A.; Falentin, H.; Deutsch, S.M.; Jan, G. Propionibacterium spp. In Encyclopedia of Dairy Sciences; Fuquay, J.W., Fox, P.F., Mc Sweeney, P.L.H., Eds.; Academic Press: Cambridge, MA, USA, 2011; pp. 403–411. [Google Scholar]
- Foligné, B.; Deutsch, S.-M.; Breton, J.; Cousin, F.J.; Dewulf, J.; Samson, M.; Pot, B.; Jan, G. Promising immunomodulatory effects of selected strains of dairy propionibacteria as evidenced in vitro and in vivo. Appl. Environ. Microbiol. 2010, 76, 8259–8264. [Google Scholar] [CrossRef] [PubMed]
- Le Marechal, C.; Peton, V.; Ple, C.; Vroland, C.; Jardin, J.; Briard-Bion, V.; Durant, G.; Chuat, V.; Loux, V.; Foligne, B.; et al. Surface proteins of Propionibacterium freudenreichii are involved in its anti-inflammatory properties. J. Proteom. 2015, 113C, 447–461. [Google Scholar] [CrossRef] [PubMed]
- Deutsch, S.-M.; Mariadassou, M.; Nicolas, P.; Parayre, S.; Le Guellec, R.; Chuat, V.; Peton, V.; Le Maréchal, C.; Burati, J.; Loux, V.; et al. Identification of proteins involved in the anti-inflammatory properties of Propionibacterium freudenreichii by means of a multi-strain study. Sci. Rep. 2017, 7, 46409. [Google Scholar] [CrossRef] [PubMed]
- Rabah, H.; Ménard, O.; Gaucher, F.; do Carmo, F.L.R.; Dupont, D.; Jan, G. Cheese matrix protects the immunomodulatory surface protein SlpB of Propionibacterium freudenreichii during in vitro digestion. Food Res. Int. 2018, 106, 712–721. [Google Scholar] [CrossRef] [PubMed]
- Rabah, H.; Ferret-Bernard, S.; Huang, S.; Le Normand, L.; Cousin, F.J.; Gaucher, F.; Jeantet, R.; Boudry, G.; Jan, G. The Cheese Matrix Modulates the Immunomodulatory Properties of Propionibacterium freudenreichii CIRM-BIA 129 in Healthy Piglets. Front. Microbiol. 2018, 9, 2584. [Google Scholar] [CrossRef]
- Plé, C.; Breton, J.; Richoux, R.; Nurdin, M.; Deutsch, S.-M.; Falentin, H.; Hervé, C.; Chuat, V.; Lemée, R.; Maguin, E.; et al. Combining selected immunomodulatory Propionibacterium freudenreichii and Lactobacillus delbrueckii strains: Reverse engineering development of an anti-inflammatory cheese. Mol. Nutr. Food Res. 2016, 60, 935–948. [Google Scholar] [CrossRef]
- Plé, C.; Richoux, R.; Jardin, J.; Nurdin, M.; Briard-Bion, V.; Parayre, S.; Ferreira, S.; Pot, B.; Bouguen, G.; Deutsch, S.-M.; et al. Single-strain starter experimental cheese reveals anti-inflammatory effect of Propionibacterium freudenreichii CIRM BIA 129 in TNBS-colitis model. J. Funct. Foods 2015, 18, 575–585. [Google Scholar] [CrossRef]
- Ge, Y.; Gong, M.; Colliou, N.; Zadeh, M.; Li, J.; Jones, D.P.; Li, S.; Mohamadzadeh, M. Neonatal intestinal immune regulation by the commensal bacterium, P. UF1. Mucosal Immunol. 2019, 12, 434. [Google Scholar] [CrossRef]
- George, F.; Daniel, C.; Thomas, M.; Singer, E.; Guilbaud, A.; Tessier, F.J.; Revol-Junelles, A.-M.; Borges, F.; Foligné, B. Occurrence and Dynamism of Lactic Acid Bacteria in Distinct Ecological Niches: A Multifaceted Functional Health Perspective. Front. Microbiol. 2018, 9, 2899. [Google Scholar] [CrossRef] [PubMed]
- Santos Rocha, C.; Gomes-Santos, A.C.; Garcias Moreira, T.; de Azevedo, M.; Diniz Luerce, T.; Mariadassou, M.; Longaray Delamare, A.P.; Langella, P.; Maguin, E.; Azevedo, V.; et al. Local and systemic immune mechanisms underlying the anti-colitis effects of the dairy bacterium Lactobacillus delbrueckii. PLoS ONE 2014, 9, e85923. [Google Scholar] [CrossRef] [PubMed]
- Santos Rocha, C.; Lakhdari, O.; Blottière, H.M.; Blugeon, S.; Sokol, H.; Bermúdez-Humarán, L.G.; Azevedo, V.; Miyoshi, A.; Doré, J.; Langella, P.; et al. Anti-inflammatory properties of dairy lactobacilli. Inflamm. Bowel. Dis. 2012, 18, 657–666. [Google Scholar] [CrossRef] [PubMed]
- Junjua, M.; Kechaou, N.; Chain, F.; Awussi, A.A.; Roussel, Y.; Perrin, C.; Roux, E.; Langella, P.; Bermúdez-Humarán, L.G.; Le Roux, Y.; et al. A large scale in vitro screening of Streptococcus thermophilus strains revealed strains with a high anti-inflammatory potential. LWT—Food Sci. Technol. 2016, 70, 78–87. [Google Scholar] [CrossRef]
- De Man, J.D.; Rogosa, M.; Sharpe, M.E. A medium for the cultivation of lactobacilli. J. Appl. Bacteriol. 1960, 23, 130–135. [Google Scholar] [CrossRef]
- Terzaghi, B.E.; Sandine, W.E. Improved medium for lactic streptococci and their bacteriophages. Appl. Microbiol. 1975, 29, 807–813. [Google Scholar] [CrossRef] [PubMed]
- Malik, A.C.; Reinbold, G.W.; Vedamuthu, E.R. An evaluation of the taxonomy of Propionibacterium. Can. J. Microbiol. 1968, 14, 1185–1191. [Google Scholar] [CrossRef]
- Richoux, R.; Aubert, L.; Roset, G.; Kerjean, J.R. Impact of the proteolysis due to lactobacilli on the stretchability of Swiss-type cheese. Dairy Sci. Technol. 2009, 89, 31–41. [Google Scholar] [CrossRef][Green Version]
- Li, N.; Richoux, R.; Leconte, N.; Bevilacqua, C.; Maillard, M.-B.; Parayre, S.; Aubert-Frogerais, L.; Warlouzel, J.; Moya-Leclair, E.; Denis, C.; et al. Somatic cell recovery by microfiltration technologies: A novel strategy to study the actual impact of somatic cells on cheese matrix. Int. Dairy J. 2017, 65, 5–13. [Google Scholar] [CrossRef]
- De Freitas, R.; Chuat, V.; Madec, M.-N.; Nero, L.A.; Thierry, A.; Valence, F.; de Carvalho, A.F. Biodiversity of dairy Propionibacterium isolated from dairy farms in Minas Gerais, Brazil. Int. J. Food Microbiol. 2015, 203, 70–77. [Google Scholar] [CrossRef]
- Gautier, M.; de Carvalho, A.F.; Rouault, A. DNA fingerprinting of dairy propionibacteria strains by pulsed-field gel electrophoresis. Curr. Microbiol. 1996, 32, 17–24. [Google Scholar] [CrossRef]
- Jan, G.; Rouault, A.; Maubois, J.L. Acid stress susceptibility and acid adaptation of Propionibacterium freudenreichii subsp. shermanii. Lait 2000, 80, 325–336. [Google Scholar] [CrossRef]
- Rossi, F.; Amadoro, C.; Colavita, G. Members of the Lactobacillus Genus Complex (LGC) as Opportunistic Pathogens: A Review. Microorganisms 2019, 7, 126. [Google Scholar] [CrossRef] [PubMed]
- Jenkins, J.K.; Harper, W.J.; Courtney, P.D. Genetic diversity in Swiss cheese starter cultures assessed by pulsed field gel electrophoresis and arbitrarily primed PCR. Lett. Appl. Microbiol. 2002, 35, 423–427. [Google Scholar] [CrossRef] [PubMed]
- Diehl, K.H.; Hull, R.; Morton, D.; Pfister, R.; Rabemampianina, Y.; Smith, D.; Vidal, J.M.; van de Vorstenbosch, C. European Federation of Pharmaceutical Industries Association and European Centre for the Validation of Alternative Methods A good practice guide to the administration of substances and removal of blood, including routes and volumes. J. Appl. Toxicol. 2001, 21, 15–23. [Google Scholar] [CrossRef] [PubMed]
- Cooper, H.S.; Murthy, S.N.; Shah, R.S.; Sedergran, D.J. Clinicopathologic study of dextran sulfate sodium experimental murine colitis. Lab. Investig. 1993, 69, 238–249. [Google Scholar]
- McCafferty, D.M.; Sihota, E.; Muscara, M.; Wallace, J.L.; Sharkey, K.A.; Kubes, P. Spontaneously developing chronic colitis in IL-10/iNOS double-deficient mice. Am. J. Physiol. Gastrointest. Liver Physiol. 2000, 279, G90–G99. [Google Scholar] [CrossRef]
- Carvalho, R.D.; Breyner, N.; Menezes-Garcia, Z.; Rodrigues, N.M.; Lemos, L.; Maioli, T.U.; da Gloria Souza, D.; Carmona, D.; de Faria, A.M.C.; Langella, P.; et al. Secretion of biologically active pancreatitis-associated protein I (PAP) by genetically modified dairy Lactococcus lactis NZ9000 in the prevention of intestinal mucositis. Microb. Cell Fact. 2017, 16, 27. [Google Scholar] [CrossRef]
- Oliveira, J.S.; Costa, K.; Acurcio, L.B.; Sandes, S.H.C.; Cassali, G.D.; Uetanabaro, A.P.T.; Costa, A.M.; Nicoli, J.R.; Neumann, E.; Porto, A.L.F. In vitro and in vivo evaluation of two potential probiotic lactobacilli isolated from cocoa fermentation (Theobroma cacao L.). J. Funct. Foods 2018, 47, 184–191. [Google Scholar] [CrossRef]
- Thierry, A.; Salvat-Brunaud, D.; Madec, M.N.; Michel, F.; Maubois, J.L. Swiss cheese ripening: Dynamics of bacterial populations and evolution of the aqueous phase composition for three industrial cheeses. Lait 1998, 78, 521–542. [Google Scholar] [CrossRef]
- Langsrud, T.; Reinbold, G.W. Flavor development and microbiology of Swiss cheese. A. Review. II Starters, manufacturing process and procedures. J. Milk Food Technol. 1973, 36, 531–542. [Google Scholar] [CrossRef]
- Gagnaire, V.; Molle, D.; Herrouin, M.; Leonil, J. Peptides identified during Emmental cheese ripening: Origin and proteolytic systems involved. J. Agric. Food Chem. 2001, 49, 4402–4413. [Google Scholar] [CrossRef]
- Foligné, B.; Parayre, S.; Cheddani, R.; Famelart, M.-H.; Madec, M.-N.; Plé, C.; Breton, J.; Dewulf, J.; Jan, G.; Deutsch, S.-M. Immunomodulation properties of multi-species fermented milks. Food Microbiol. 2016, 53, 60–69. [Google Scholar] [CrossRef] [PubMed]
- Ohtsuka, Y.; Sanderson, I.R. Dextran sulfate sodium-induced inflammation is enhanced by intestinal epithelial cell chemokine expression in mice. Pediatr. Res. 2003, 53, 143–147. [Google Scholar] [PubMed]
- Perše, M.; Cerar, A. Dextran sodium sulphate colitis mouse model: Traps and tricks. J. Biomed. Biotechnol. 2012, 2012, 718617. [Google Scholar] [CrossRef]
- Do Carmo, F.L.R.; Rabah, H.; Cordeiro, B.F.; da Silva, S.H.; Pessoa, R.M.; Fernandes, S.O.A.; Cardoso, V.N.; Gagnaire, V.; Deplanche, M.; Savassi, B.; et al. Probiotic Propionibacterium freudenreichii requires SlpB protein to mitigate mucositis induced by chemotherapy. Oncotarget 2019, 10, 7198–7219. [Google Scholar] [CrossRef]
- Vancamelbeke, M.; Vermeire, S. The intestinal barrier: A fundamental role in health and disease. Expert Rev. Gastroenterol. Hepatol. 2017, 11, 821–834. [Google Scholar] [CrossRef]
- Landy, J.; Ronde, E.; English, N.; Clark, S.K.; Hart, A.L.; Knight, S.C.; Ciclitira, P.J.; Al-Hassi, H.O. Tight junctions in inflammatory bowel diseases and inflammatory bowel disease associated colorectal cancer. World J. Gastroenterol. 2016, 22, 3117–3126. [Google Scholar] [CrossRef]
- Roda, G.; Marocchi, M.; Sartini, A.; Roda, E. Cytokine Networks in Ulcerative Colitis. Available online: https://www.hindawi.com/journals/ulcers/2011/391787/ (accessed on 1 January 2019).
- Cardoso, A.; Gil Castro, A.; Martins, A.C.; Carriche, G.M.; Murigneux, V.; Castro, I.; Cumano, A.; Vieira, P.; Saraiva, M. The Dynamics of Interleukin-10-Afforded Protection during Dextran Sulfate Sodium-Induced Colitis. Front. Immunol. 2018, 9, 400. [Google Scholar] [CrossRef]
- Letterio, J.J.; Roberts, A.B. Regulation of immune responses by TGF-beta. Annu. Rev. Immunol. 1998, 16, 137–161. [Google Scholar] [CrossRef]
- Wen, J.; Yang, P.; Chen, X.; Fang, Y.; Chang, Q.; Li, C.; Zhang, C. The role of Th17/Treg balance and Th22 cell in the pathogenesis of DSS-induced colitis in mice. Eur. J. Inflamm. 2015, 13, 101–108. [Google Scholar] [CrossRef]
- Lazzi, C.; Povolo, M.; Locci, F.; Bernini, V.; Neviani, E.; Gatti, M. Can the development and autolysis of lactic acid bacteria influence the cheese volatile fraction? The case of Grana Padano. Int. J. Food Microbiol. 2016, 233, 20–28. [Google Scholar] [CrossRef] [PubMed]
- Pang, X.; Zhang, S.; Lu, J.; Liu, L.; Ma, C.; Yang, Y.; Ti, P.; Gao, W.; Lv, J. Identification and Functional Validation of Autolysis-Associated Genes in Lactobacillus bulgaricus ATCC BAA-365. Front. Microbiol. 2017, 8, 1367. [Google Scholar] [CrossRef] [PubMed]
- Valence, F.; Deutsch, S.M.; Richoux, R.; Gagnaire, V.; Lortal, S. Autolysis and related proteolysis in Swiss cheese for two Lactobacillus helveticus strains. J. Dairy Res. 2000, 67, 261–271. [Google Scholar] [CrossRef] [PubMed]
- Foligné, B.; Nutten, S.; Steidler, L.; Dennin, V.; Goudercourt, D.; Mercenier, A.; Pot, B. Recommendations for improved use of the murine TNBS-induced colitis model in evaluating anti-inflammatory properties of lactic acid bacteria: Technical and microbiological aspects. Dig. Dis. Sci. 2006, 51, 390–400. [Google Scholar] [CrossRef] [PubMed]
- Sang, L.-X.; Chang, B.; Wang, B.-Y.; Liu, W.-X.; Jiang, M. Live and heat-killed probiotic: Effects on chronic experimental colitis induced by dextran sulfate sodium (DSS) in rats. Int. J. Clin. Exp. Med. 2015, 8, 20072–20078. [Google Scholar] [PubMed]
- Thakur, B.K.; Saha, P.; Banik, G.; Saha, D.R.; Grover, S.; Batish, V.K.; Das, S. Live and heat-killed probiotic Lactobacillus casei Lbs2 protects from experimental colitis through Toll-like receptor 2-dependent induction of T-regulatory response. Int. Immunopharmacol. 2016, 36, 39–50. [Google Scholar] [CrossRef]
- Ueno, N.; Fujiya, M.; Segawa, S.; Nata, T.; Moriichi, K.; Tanabe, H.; Mizukami, Y.; Kobayashi, N.; Ito, K.; Kohgo, Y. Heat-killed body of lactobacillus brevis SBC8803 ameliorates intestinal injury in a murine model of colitis by enhancing the intestinal barrier function. Inflamm. Bowel Dis. 2011, 17, 2235–2250. [Google Scholar] [CrossRef]
- Baer, A. Influence of casein proteolysis by starter bacteria, rennet and plasmin on the growth of propionibacteria in Swiss-type cheese. Lait 1995, 75, 391–400. [Google Scholar] [CrossRef]
- Brown, L.; Pingitore, E.V.; Mozzi, F.; Saavedra, L.; Villegas, J.M.; Hebert, E.M. Lactic Acid Bacteria as Cell Factories for the Generation of Bioactive Peptides. Protein Pept. Lett. 2017, 24, 146–155. [Google Scholar] [CrossRef]
- Politis, I.; Chronopoulou, R. Milk Peptides and Immune Response in the Neonate. In Bioactive Components of Milk; Bösze, Z., Ed.; Advances in Experimental Medicine and Biology; Springer New York: New York, NY, USA, 2008; pp. 253–269. ISBN 978-0-387-74087-4. [Google Scholar]
- Kaneko, T. A novel bifidogenic growth stimulator produced by Propionibacterium freudenreichii. Biosci. Microfl. 1999, 18, 73–80. [Google Scholar] [CrossRef]
- Seki, K.; Nakao, H.; Umino, H.; Isshiki, H.; Yoda, N.; Tachihara, R.; Ohuchi, T.; Saruta, H.; Suzuki, K.; Mitsuoka, T. Effects of fermented milk whey containing novel bifidogenic growth stimulator produced by Propionibacterium on fecal bacteria, putrefactive metabolite, defecation frequency and fecal properties in senile volunteers needed serious nursing-care taking enteral nutrition by tube feeding. J. Intest. Microbiol. 2004, 18, 107–115. [Google Scholar]
- Figliuolo, V.R.; Dos Santos, L.M.; Abalo, A.; Nanini, H.; Santos, A.; Brittes, N.M.; Bernardazzi, C.; de Souza, H.S.P.; Vieira, L.Q.; Coutinho-Silva, R.; et al. Sulfate-reducing bacteria stimulate gut immune responses and contribute to inflammation in experimental colitis. Life Sci. 2017, 189, 29–38. [Google Scholar] [CrossRef] [PubMed]
- Figliuolo, V.R.; Coutinho-Silva, R.; Coutinho, C.M.L.M. Contribution of sulfate-reducing bacteria to homeostasis disruption during intestinal inflammation. Life Sci. 2018, 215, 145–151. [Google Scholar] [CrossRef] [PubMed]
- Kushkevych, I.; Leščanová, O.; Dordević, D.; Jančíková, S.; Hošek, J.; Vítězová, M.; Buňková, L.; Drago, L. The Sulfate-Reducing Microbial Communities and Meta-Analysis of Their Occurrence during Diseases of Small-Large Intestine Axis. J. Clin. Med. 2019, 8, 1656. [Google Scholar] [CrossRef] [PubMed]
- Wallace, J.L.; Motta, J.-P.; Buret, A.G. Hydrogen sulfide: An agent of stability at the microbiome-mucosa interface. Am. J. Physiol. Gastrointest. Liver Physiol. 2018, 314, G143–G149. [Google Scholar] [CrossRef]
- Kushkevych, I.; Kotrsová, V.; Dordević, D.; Buňková, L.; Vítězová, M.; Amedei, A. Hydrogen Sulfide Effects on the Survival of Lactobacilli with Emphasis on the Development of Inflammatory Bowel Diseases. Biomolecules 2019, 9, 752. [Google Scholar] [CrossRef]
- Kushkevych, I.; Dordević, D.; Kollar, P.; Vítězová, M.; Drago, L. Hydrogen Sulfide as a Toxic Product in the Small-Large Intestine Axis and its Role in IBD Development. J. Clin. Med. 2019, 8, 1054. [Google Scholar] [CrossRef]








© 2020 by the authors. Licensee MDPI, Basel, Switzerland. This article is an open access article distributed under the terms and conditions of the Creative Commons Attribution (CC BY) license (http://creativecommons.org/licenses/by/4.0/).
Share and Cite
Rabah, H.; do Carmo, F.L.R.; Carvalho, R.D.d.O.; Cordeiro, B.F.; da Silva, S.H.; Oliveira, E.R.; Lemos, L.; Cara, D.C.; Faria, A.M.C.; Garric, G.; et al. Beneficial Propionibacteria within a Probiotic Emmental Cheese: Impact on Dextran Sodium Sulphate-Induced Colitis in Mice. Microorganisms 2020, 8, 380. https://doi.org/10.3390/microorganisms8030380
Rabah H, do Carmo FLR, Carvalho RDdO, Cordeiro BF, da Silva SH, Oliveira ER, Lemos L, Cara DC, Faria AMC, Garric G, et al. Beneficial Propionibacteria within a Probiotic Emmental Cheese: Impact on Dextran Sodium Sulphate-Induced Colitis in Mice. Microorganisms. 2020; 8(3):380. https://doi.org/10.3390/microorganisms8030380
Chicago/Turabian StyleRabah, Houem, Fillipe Luiz Rosa do Carmo, Rodrigo Dias de Oliveira Carvalho, Barbara Fernandes Cordeiro, Sara Heloisa da Silva, Emiliano Rosa Oliveira, Luisa Lemos, Denise Carmona Cara, Ana Maria Caetano Faria, Gilles Garric, and et al. 2020. "Beneficial Propionibacteria within a Probiotic Emmental Cheese: Impact on Dextran Sodium Sulphate-Induced Colitis in Mice" Microorganisms 8, no. 3: 380. https://doi.org/10.3390/microorganisms8030380
APA StyleRabah, H., do Carmo, F. L. R., Carvalho, R. D. d. O., Cordeiro, B. F., da Silva, S. H., Oliveira, E. R., Lemos, L., Cara, D. C., Faria, A. M. C., Garric, G., Harel-Oger, M., Le Loir, Y., Azevedo, V., Bouguen, G., & Jan, G. (2020). Beneficial Propionibacteria within a Probiotic Emmental Cheese: Impact on Dextran Sodium Sulphate-Induced Colitis in Mice. Microorganisms, 8(3), 380. https://doi.org/10.3390/microorganisms8030380

