Stringent Selection of Knobby Plasmodium falciparum-Infected Erythrocytes during Cytoadhesion at Febrile Temperature
Abstract
1. Introduction
2. Materials and Methods
2.1. Parasite and Eukaryotic Cell Culture
2.2. Enrichment of HBEC-5i, CD36, and ICAM-1 Binding Parasites
2.3. Static Binding Assay and CSA Inhibition Assay
2.4. DNA and RNA Purification, Library Preparation, and Transcriptome Analysis
2.5. Trypsin Assay and Western Blot
2.6. Electron Microscopy
2.7. Quantitative Real-Time PCR
3. Results
3.1. Cytoadhesion of Infected Erythrocytes to HBEC-5i Cells Was Mediated by VAR2CSA
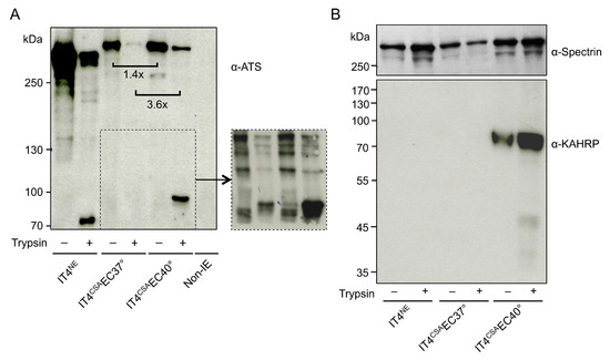
3.2. IE Enrichment to HBEC-5i Cells at Elevated Temperature Led to Strong Selection of Knobby Infected Erythrocytes
3.3. Enrichment of IEs on CHOICAM-1 but not CHOCD36Cells at Febrile Temperature Led to Selection of Knobby Infected Erythrocytes
4. Discussion
5. Conclusions
Supplementary Materials
Author Contributions
Funding
Acknowledgments
Conflicts of Interest
References
- Tangpukdee, N.; Duangdee, C.; Wilairatana, P.; Krudsood, S. Malaria diagnosis: A brief review. Korean J. Parasitol. 2009, 47, 93–102. [Google Scholar] [CrossRef]
- Miller, L.H.; Baruch, D.I.; Marsh, K.; Doumbo, O.K. The pathogenic basis of malaria. Nature 2002, 415, 673–679. [Google Scholar] [CrossRef]
- Rowe, J.A.; Claessens, A.; Corrigan, R.A.; Arman, M. Adhesion of Plasmodium falciparum-infected erythrocytes to human cells: Molecular mechanisms and therapeutic implications. Expert Rev. Mol. Med. 2009, 11, e16. [Google Scholar] [CrossRef]
- Baruch, D.I.; Pasloske, B.L.; Singh, H.B.; Bi, X.; Ma, X.C.; Feldman, M.; Taraschi, T.F.; Howard, R.J. Cloning the P. falciparum gene encoding PfEMP1, a malarial variant antigen and adherence receptor on the surface of parasitized human erythrocytes. Cell 1995, 82, 77–87. [Google Scholar] [CrossRef]
- Janes, J.H.; Wang, C.P.; Levin-Edens, E.; Vigan-Womas, I.; Guillotte, M.; Melcher, M.; Mercereau-Puijalon, O.; Smith, J.D. Investigating the host binding signature on the Plasmodium falciparum PfEMP1 protein family. PLoS Pathog. 2011, 7, e1002032. [Google Scholar] [CrossRef] [PubMed]
- Voss, T.S.; Healer, J.; Marty, A.J.; Duffy, M.F.; Thompson, J.K.; Beeson, J.G.; Reeder, J.C.; Crabb, B.S.; Cowman, A.F. A var gene promoter controls allelic exclusion of virulence genes in Plasmodium falciparum malaria. Nature 2006, 439, 1004–1008. [Google Scholar] [CrossRef] [PubMed]
- Rogerson, S.J.; Chaiyaroj, S.C.; Ng, K.; Reeder, J.C.; Brown, G.V. Chondroitin sulfate A is a cell surface receptor for Plasmodium falciparum-infected erythrocytes. J. Exp. Med. 1995, 182, 15–20. [Google Scholar] [CrossRef]
- Berendt, A.R.; Simmons, D.L.; Tansey, J.; Newbold, C.I.; Marsh, K. Intercellular adhesion molecule-1 is an endothelial cell adhesion receptor for Plasmodium falciparum. Nature 1989, 341, 57–59. [Google Scholar] [CrossRef] [PubMed]
- Esser, C.; Bachmann, A.; Kuhn, D.; Schuldt, K.; Forster, B.; Thiel, M.; May, J.; Koch-Nolte, F.; Yanez-Mo, M.; Sanchez-Madrid, F.; et al. Evidence of promiscuous endothelial binding by Plasmodium falciparum-infected erythrocytes. Cell Microbiol. 2014, 16, 701–708. [Google Scholar] [CrossRef] [PubMed]
- Turner, L.; Lavstsen, T.; Berger, S.S.; Wang, C.W.; Petersen, J.E.; Avril, M.; Brazier, A.J.; Freeth, J.; Jespersen, J.S.; Nielsen, M.A.; et al. Severe malaria is associated with parasite binding to endothelial protein C receptor. Nature 2013, 498, 502–505. [Google Scholar] [CrossRef]
- Serghides, L.; Smith, T.G.; Patel, S.N.; Kain, K.C. CD36 and malaria: Friends or foes? Trends Parasitol. 2003, 19, 461–469. [Google Scholar] [CrossRef]
- Berger, S.S.; Turner, L.; Wang, C.W.; Petersen, J.E.; Kraft, M.; Lusingu, J.P.; Mmbando, B.; Marquard, A.M.; Bengtsson, D.B.; Hviid, L.; et al. Plasmodium falciparum expressing domain cassette 5 type PfEMP1 (DC5-PfEMP1) bind PECAM1. PLoS ONE 2013, 8, e69117. [Google Scholar] [CrossRef]
- Fried, M.; Duffy, P.E. Adherence of Plasmodium falciparum to chondroitin sulfate A in the human placenta. Science 1996, 272, 1502–1504. [Google Scholar] [CrossRef]
- Storm, J.; Jespersen, J.S.; Seydel, K.B.; Szestak, T.; Mbewe, M.; Chisala, N.V.; Phula, P.; Wang, C.W.; Taylor, T.E.; Moxon, C.A.; et al. Cerebral malaria is associated with differential cytoadherence to brain endothelial cells. EMBO Mol. Med. 2019, 11. [Google Scholar] [CrossRef]
- Idro, R.; Marsh, K.; John, C.C.; Newton, C.R. Cerebral malaria: Mechanisms of brain injury and strategies for improved neurocognitive outcome. Pediatr. Res. 2010, 68, 267–274. [Google Scholar] [CrossRef]
- Dahlback, M.; Jorgensen, L.M.; Nielsen, M.A.; Clausen, T.M.; Ditlev, S.B.; Resende, M.; Pinto, V.V.; Arnot, D.E.; Theander, T.G.; Salanti, A. The chondroitin sulfate A-binding site of the VAR2CSA protein involves multiple N-terminal domains. J. Biol. Chem. 2011, 286, 15908–15917. [Google Scholar] [CrossRef]
- Srivastava, A.; Gangnard, S.; Dechavanne, S.; Amirat, F.; Lewit Bentley, A.; Bentley, G.A.; Gamain, B. Var2CSA minimal CSA binding region is located within the N-terminal region. PLoS ONE 2011, 6, e20270. [Google Scholar] [CrossRef]
- Gnidehou, S.; Doritchamou, J.; Arango, E.M.; Cabrera, A.; Arroyo, M.I.; Kain, K.C.; Ndam, N.T.; Maestre, A.; Yanow, S.K. Functional antibodies against VAR2CSA in nonpregnant populations from colombia exposed to Plasmodium falciparum and Plasmodium vivax. Infect. Immun. 2014, 82, 2565–2573. [Google Scholar] [CrossRef]
- Fodjo, B.A.; Atemnkeng, N.; Esemu, L.; Yuosembom, E.K.; Quakyi, I.A.; Tchinda, V.H.; Smith, J.; Salanti, A.; Bigoga, J.; Taylor, D.W.; et al. Antibody responses to the full-length VAR2CSA and its DBL domains in Cameroonian children and teenagers. Malar J. 2016, 15, 532. [Google Scholar] [CrossRef]
- Beeson, J.G.; Ndungu, F.; Persson, K.E.; Chesson, J.M.; Kelly, G.L.; Uyoga, S.; Hallamore, S.L.; Williams, T.N.; Reeder, J.C.; Brown, G.V.; et al. Antibodies among men and children to placental-binding Plasmodium falciparum-infected erythrocytes that express var2csa. Am. J. Trop Med. Hyg. 2007, 77, 22–28. [Google Scholar] [CrossRef]
- Agerbaek, M.O.; Bang-Christensen, S.R.; Yang, M.H.; Clausen, T.M.; Pereira, M.A.; Sharma, S.; Ditlev, S.B.; Nielsen, M.A.; Choudhary, S.; Gustavsson, T.; et al. The VAR2CSA malaria protein efficiently retrieves circulating tumor cells in an EpCAM-independent manner. Nat. Commun. 2018, 9, 3279. [Google Scholar] [CrossRef]
- Salanti, A.; Clausen, T.M.; Agerbaek, M.O.; Al Nakouzi, N.; Dahlback, M.; Oo, H.Z.; Lee, S.; Gustavsson, T.; Rich, J.R.; Hedberg, B.J.; et al. Targeting Human Cancer by a Glycosaminoglycan Binding Malaria Protein. Cancer Cell 2015, 28, 500–514. [Google Scholar] [CrossRef]
- Maier, A.G.; Cooke, B.M.; Cowman, A.F.; Tilley, L. Malaria parasite proteins that remodel the host erythrocyte. Nat. Rev. Microbiol. 2009, 7, 341–354. [Google Scholar] [CrossRef]
- Oberli, A.; Slater, L.M.; Cutts, E.; Brand, F.; Mundwiler-Pachlatko, E.; Rusch, S.; Masik, M.F.; Erat, M.C.; Beck, H.P.; Vakonakis, I. A Plasmodium falciparum PHIST protein binds the virulence factor PfEMP1 and comigrates to knobs on the host cell surface. FASEB J. 2014, 28, 4420–4433. [Google Scholar] [CrossRef]
- Horrocks, P.; Pinches, R.A.; Chakravorty, S.J.; Papakrivos, J.; Christodoulou, Z.; Kyes, S.A.; Urban, B.C.; Ferguson, D.J.; Newbold, C.I. PfEMP1 expression is reduced on the surface of knobless Plasmodium falciparum infected erythrocytes. J. Cell. Sci. 2005, 118, 2507–2518. [Google Scholar] [CrossRef]
- Biggs, B.A.; Kemp, D.J.; Brown, G.V. Subtelomeric chromosome deletions in field isolates of Plasmodium falciparum and their relationship to loss of cytoadherence in vitro. Proc. Natl. Acad. Sci. USA 1989, 86, 2428–2432. [Google Scholar] [CrossRef]
- Oakley, M.S.; Kumar, S.; Anantharaman, V.; Zheng, H.; Mahajan, B.; Haynes, J.D.; Moch, J.K.; Fairhurst, R.; McCutchan, T.F.; Aravind, L. Molecular factors and biochemical pathways induced by febrile temperature in intraerythrocytic Plasmodium falciparum parasites. Infect. Immun. 2007, 75, 2012–2025. [Google Scholar] [CrossRef]
- Udomsangpetch, R.; Pipitaporn, B.; Silamut, K.; Pinches, R.; Kyes, S.; Looareesuwan, S.; Newbold, C.; White, N.J. Febrile temperatures induce cytoadherence of ring-stage Plasmodium falciparum-infected erythrocytes. Proc. Natl. Acad. Sci. USA 2002, 99, 11825–11829. [Google Scholar] [CrossRef]
- Long, H.Y.; Lell, B.; Dietz, K.; Kremsner, P.G. Plasmodium falciparum: In vitro growth inhibition by febrile temperatures. Parasitol. Res. 2001, 87, 553–555. [Google Scholar]
- Zhang, R.; Chandramohanadas, R.; Lim, C.T.; Dao, M. Febrile Temperature Elevates the Expression of Phosphatidylserine on Plasmodium falciparum (FCR3CSA) Infected Red Blood Cell Surface Leading to Increased Cytoadhesion. Sci. Rep. 2018, 8, 15022. [Google Scholar] [CrossRef]
- Trager, W.; Jensen, J.B. Human malaria parasites in continuous culture. Science 1976, 193, 673–675. [Google Scholar] [CrossRef]
- Lambros, C.; Vanderberg, J.P. Synchronization of Plasmodium falciparum erythrocytic stages in culture. J. Parasitol. 1979, 65, 418–420. [Google Scholar] [CrossRef]
- Metwally, N.G.; Tilly, A.K.; Lubiana, P.; Roth, L.K.; Dorpinghaus, M.; Lorenzen, S.; Schuldt, K.; Witt, S.; Bachmann, A.; Tidow, H.; et al. Characterisation of Plasmodium falciparum populations selected on the human endothelial receptors P-selectin, E-selectin, CD9 and CD151. Sci. Rep. 2017, 7, 4069. [Google Scholar] [CrossRef]
- Bolger, A.M.; Lohse, M.; Usadel, B. Trimmomatic: A flexible trimmer for Illumina sequence data. Bioinformatics 2014, 30, 2114–2120. [Google Scholar] [CrossRef]
- Aurrecoechea, C.; Brestelli, J.; Brunk, B.P.; Dommer, J.; Fischer, S.; Gajria, B.; Gao, X.; Gingle, A.; Grant, G.; Harb, O.S.; et al. PlasmoDB: A functional genomic database for malaria parasites. Nucleic Acids Res. 2009, 37, D539–D543. [Google Scholar] [CrossRef]
- Li, B.; Dewey, C.N. RSEM: Accurate transcript quantification from RNA-Seq data with or without a reference genome. BMC Bioinform. 2011, 12, 323. [Google Scholar] [CrossRef]
- Langmead, B.; Salzberg, S.L. Fast gapped-read alignment with Bowtie 2. Nat. Methods 2012, 9, 357–359. [Google Scholar] [CrossRef]
- Anders, S.; Huber, W. Differential expression analysis for sequence count data. Genome Biol. 2010, 11, R106. [Google Scholar] [CrossRef]
- Livak, K.J.; Schmittgen, T.D. Analysis of relative gene expression data using real-time quantitative PCR and the 2(-Delta Delta C(T)) Method. Methods 2001, 25, 402–408. [Google Scholar] [CrossRef]
- Vandesompele, J.; De Preter, K.; Pattyn, F.; Poppe, B.; Van Roy, N.; De Paepe, A.; Speleman, F. Accurate normalization of real-time quantitative RT-PCR data by geometric averaging of multiple internal control genes. Genome Biol. 2002, 3, RESEARCH0034. [Google Scholar] [CrossRef]
- Rug, M.; Prescott, S.W.; Fernandez, K.M.; Cooke, B.M.; Cowman, A.F. The role of KAHRP domains in knob formation and cytoadeherence of P. falciparum- infected human erythrocyztes. Blood 2006, 108, 370–378. [Google Scholar] [CrossRef]
- Paloske, B.L.; Baruch, D.I.; Ma, C.; Taraschi, T.F.; Gormley, J.A.; Howard, R.J. PfEMP3 and HRP1: Co-expressed genes localized to chromosome 2 of Plasmodium falciparum. Gene 1994, 144, 131–136. [Google Scholar] [CrossRef]
- Acharya, P.; Chaubey, S.; Grover, M.; Tatu, U. An exported heat shock protein 40 associates with pathogenesis-related knobs in Plasmodium falciparum infected erythrocytes. PLoS ONE 2012, 7, e44605. [Google Scholar] [CrossRef]
- Goel, S.; Muthusamy, A.; Miao, J.; Cui, L.; Salanti, A.; Winzeler, E.A.; Gowda, D.C. Targeted disruption of a ring-infected erythrocyte surface antigen (RESA)-like export protein gene in Plasmodium falciparum confers stable chondroitin 4-sulfate cytoadherence capacity. J. Biol. Chem. 2014, 289, 34408–34421. [Google Scholar] [CrossRef]
- Sargeant, T.J.; Marti, M.; Caler, E.; Carlton, J.M.; Simpson, K.; Speed, T.P.; Cowman, A.F. Lineage-specific expansion of proteins exported to erythrocytes in malaria parasites. Genome Biol. 2006, 7, R12. [Google Scholar] [CrossRef]
- Alampalli, S.V.; Grover, M.; Chandran, S.; Tatu, U.; Acharya, P. Proteome and Structural Organization of the Knob Complex on the Surface of the Plasmodium Infected Red Blood Cell. Proteom. Clin. Appl. 2018, 12, e1600177. [Google Scholar] [CrossRef]
- Udomsangpetch, R.; Reinhardt, P.H.; Schollaardt, T.; Elliott, J.F.; Kubes, P.; Ho, M. Promiscuity of clinical Plasmodium falciparum isolates for multiple adhesion molecules under flow conditions. J. Immunol. 1997, 158, 4358–4364. [Google Scholar]
- Pouvelle, B.; Traore, B.; Nogueira, P.A.; Pradines, B.; LePolard, C.; Gysin, J. Modeling of Plasmodium falciparum-infected erythrocyte cytoadhesion in microvascular conditions: Chondroitin-4-sulfate binding, A competitive phenotype. J. Infect. Dis. 2003, 187, 292–302. [Google Scholar] [CrossRef]
- Fusai, T.; Parzy, D.; Spillmann, D.; Eustacchio, F.; Pouvelle, B.; Lepolard, C.; Scherf, A.; Gysin, J. Characterisation of the chondroitin sulphate of Saimiri brain microvascular endothelial cells involved in Plasmodium falciparum cytoadhesion. Mol. Biochem. Parasitol. 2000, 108, 25–37. [Google Scholar] [CrossRef]
- Claessens, A.; Adams, Y.; Ghumra, A.; Lindergard, G.; Buchan, C.C.; Andisi, C.; Bull, P.C.; Mok, S.; Gupta, A.P.; Wang, C.W.; et al. A subset of group A-like var genes encodes the malaria parasite ligands for binding to human brain endothelial cells. Proc. Natl. Acad. Sci. USA 2012, 109, E1772–E1781. [Google Scholar] [CrossRef]
- Sharma, Y.D. Knobs, knob proteins and cytoadherence in falciparum malaria. Int. J. Biochem. 1991, 23, 775–789. [Google Scholar] [CrossRef]
- Hinterberg, K.; Scherf, A.; Gysin, J.; Toyoshima, T.; Aikawa, M.; Mazie, J.C.; da Silva, L.P.; Mattei, D. Plasmodium falciparum: The Pf332 antigen is secreted from the parasite by a brefeldin A-dependent pathway and is translocated to the erythrocyte membrane via the Maurer’s clefts. Exp. Parasitol. 1994, 79, 279–291. [Google Scholar] [CrossRef]
- Pei, X.; Guo, X.; Coppel, R.; Mohandas, N.; An, X. Plasmodium falciparum erythrocyte membrane protein 3 (PfEMP3) destabilizes erythrocyte membrane skeleton. J. Biol. Chem. 2007, 282, 26754–26758. [Google Scholar] [CrossRef]
- Crabb, B.S.; Cooke, B.M.; Reeder, J.C.; Waller, R.F.; Caruana, S.R.; Davern, K.M.; Wickham, M.E.; Brown, G.V.; Coppel, R.L.; Cowman, A.F. Targeted gene disruption shows that knobs enable malaria-infected red cells to cytoadhere under physiological shear stress. Cell 1997, 89, 287–296. [Google Scholar] [CrossRef]
- Ruanggjirachuporn, W.; Afzelius, B.B.; Helmby, H.; Hill, A.V.M.; Greenwood, B.M.; Carlsson, L.; Berzins, K.; Permann, P.; Wahlgren, M. Ultrastructural analysis of fresh Plasmodium falciparum-infected erythrocytes and their cytoadherence to human leukocytes. Am. J. Trop Med. Hyg. 1992, 46, 511–519. [Google Scholar] [CrossRef]
- Ramos, T.N.; Bullard, D.C.; Barnum, S.R. ICAM-1: Isoforms and phenotypes. J. Immunol. 2014, 192, 4469–4474. [Google Scholar] [CrossRef]
- Chakravorty, S.J.; Craig, A. The role of ICAM-1 in Plasmodium falciparum cytoadherence. Eur. J. Cell Biol. 2005, 84, 15–27. [Google Scholar] [CrossRef]
- Oleinikov, A.V.; Amos, E.; Frye, I.T.; Rossnagle, E.; Mutabingwa, T.K.; Fried, M.; Duffy, P.E. High throughput functional assays of the variant antigen PfEMP1 reveal a single domain in the 3D7 Plasmodium falciparum genome that binds ICAM1 with high affinity and is targeted by naturally acquired neutralizing antibodies. PLoS Pathog. 2009, 5, e1000386. [Google Scholar] [CrossRef]
- Howell, D.P.; Levin, E.A.; Springer, A.L.; Kraemer, S.M.; Phippard, D.J.; Schief, W.R.; Smith, J.D. Mapping a common interaction site used by Plasmodium falciparum Duffy binding-like domains to bind diverse host receptors. Mol. Microbiol. 2008, 67, 78–87. [Google Scholar] [CrossRef]
- Bengtsson, A.; Joergensen, L.; Rask, T.S.; Olsen, R.W.; Andersen, M.A.; Turner, L.; Theander, T.G.; Hviid, L.; Higgins, M.K.; Craig, A.; et al. A novel domain cassette identifies Plasmodium falciparum PfEMP1 proteins binding ICAM-1 and is a target of cross-reactive, adhesion-inhibitory antibodies. J. Immunol. 2013, 190, 240–249. [Google Scholar] [CrossRef]
- Smith, J.D.; Craig, A.G.; Kriek, N.; Hudson-Taylor, D.; Kyes, S.; Fagan, T.; Pinches, R.; Baruch, D.I.; Newbold, C.I.; Miller, L.H. Identification of a Plasmodium falciparum intercellular adhesion molecule-1 binding domain: A parasite adhesion trait implicated in cerebral malaria. Proc. Natl. Acad. Sci. USA 2000, 97, 1766–1771. [Google Scholar] [CrossRef]
- Robinson, B.A.; Welch, T.L.; Smith, J.D. Widespread functional specialization of Plasmodium falciparum erythrocyte membrane protein 1 family members to bind CD36 analysed across a parasite genome. Mol. Microbiol. 2003, 47, 1265–1278. [Google Scholar] [CrossRef]
- Tilly, A.K.; Thiede, J.; Metwally, N.; Lubiana, P.; Bachmann, A.; Roeder, T.; Rockliffe, N.; Lorenzen, S.; Tannich, E.; Gutsmann, T.; et al. Type of in vitro cultivation influences cytoadhesion, knob structure, protein localization and transcriptome profile of Plasmodium falciparum. Sci. Rep. 2015, 5, 16766. [Google Scholar] [CrossRef]
- Kluger, M.J. Drugs for childhood fever. Lancet 1992, 339, 70. [Google Scholar]
- Waruiru, C.M.; Newton, C.R.; Forster, D.; New, L.; Winstanley, P.; Mwangi, I.; Marsh, V.; Winstanley, M.; Snow, R.W.; Marsh, K. Epileptic seizures and malaria in Kenyan children. Trans. R. Soc. Trop Med. Hyg. 1996, 90, 152–155. [Google Scholar] [CrossRef]
- Brandts, C.H.; Ndjave, M.; Graninger, W.; Kremsner, P.G. Effect of paracetamol on parasite clearance time in Plasmodium falciparum malaria. Lancet 1997, 350, 704–709. [Google Scholar] [CrossRef]
- Storm, J.; Craig, A.G. Pathogenesis of cerebral malaria--inflammation and cytoadherence. Front. Cell Infect. Microbiol. 2014, 4, 100. [Google Scholar] [CrossRef]
- Maguire, G.P.; Handojo, T.; Pain, M.C.; Kenangalem, E.; Price, R.N.; Tjitra, E.; Anstey, N.M. Lung injury in uncomplicated and severe falciparum malaria: A longitudinal study in papua, Indonesia. J. Infect. Dis. 2005, 192, 1966–1974. [Google Scholar] [CrossRef]
- Barsoum, R.S. Malarial acute renal failure. J. Am. Soc. Nephrol. 2000, 11, 2147–2154. [Google Scholar]
- Kwiatkowski, D. Febrile temperatures can synchronize the growth of Plasmodium falciparum in vitro. J. Exp. Med. 1989, 169, 357–361. [Google Scholar] [CrossRef]




| Gene Name | Gene ID | Read Counts (RNAseq) 1 | Normalized Expression Level (qPCR) | Normalized Copy Number (gDNA, qPCR) | ||||||
|---|---|---|---|---|---|---|---|---|---|---|
| IT4NE | IT4CSA EC37° | IT4CSA EC40° | IT4CSA EC37° | IT4CSA EC40° | IT4NE +38.5 °C | IT4NE +40 °C | IT4CSA EC37° | IT4CSA EC40° | ||
| var2csa | PFIT_1200200 | 79 | 49285 | 94134 | 34 | 63 | 1.46 | 0.96 | 3.9 | 330 |
| IT4_var13 | PFIT_0411400 | 51 | 45 | 22 | 0.36 | 0.82 | 1.51 | 0.88 | 3.3 | 99 |
| IT4_var41 | PFIT_0900100 | 13 | 11 | 14 | 0.24 | 0.44 | 0.65 | 0.68 | ||
| IT4_var02 | PFIT_bin08900 | 8 | 2 | 3 | 0.24 | 0.58 | 1.49 | 0.69 | ||
| IT4_var28 | PFIT_0711000 | 100 | 57 | 74 | 0.15 | 0.38 | 1.32 | 0.35 | ||
| kahrp | PFIT_0201300 | 56 | 0 | 148657 | 10.23 | 3593.9 | nd | nd | ||
| pfemp3 | PFIT_0201200 | 6 | 0 | 21077 | 3.14 | 453.9 | nd | nd | ||
| Gene Name | Gene ID | Read Counts (RNAseq) | |||
|---|---|---|---|---|---|
| IT4CSAEC37° | IT4CSA-EC40° | Fold Change | Reference | ||
| knob-associated histidine-rich protein (kahrp)* K | PFIT_0201300 | 0 | 148657 | N/A | [41] |
| erythrocyte membrane protein 3 (pfemp3)* K | PFIT_0201200 | 0 | 21077 | N/A | [42] |
| knob associated heat shock protein 40 (kahsp40)*K | PFIT_0201100 | 0 | 14136 | N/A | [43] |
| DnaJ protein* | PFIT_0201000 | 0 | 4965 | N/A | [44] |
| PHISTb domain-containing RESA-like protein 1* K | PFIT_0200900 | 0 | 3861 | N/A | [44] |
| rifin | PFIT_0424300 | 0 | 2377 | N/A | |
| Plasmodium exported protein (hyp9)* | PFIT_0200800 | 0 | 388 | N/A | [45] |
| rifin | PFIT_bin10000 | 9 | 302 | 34 | |
| Plasmodium exported protein (phista) | PFIT_0423600 | 7 | 108 | 16 | |
| ring-infected erythrocyte surface antigen 2 | PFIT_1149700 | 102 | 1405 | 14 | |
| Plasmodium exported protein (phistb) K | PFIT_0423000 | 242 | 2535 | 10 | [46] |
| glycophorin binding proteinK | PFIT_1300400 | 272 | 2076 | 8 | [43] |
| Plasmodium exported protein (phista) | PFIT_0423100 | 852 | 5709 | 7 | |
| asparagine-rich antigen, putative | PFIT_0931800 | 25 | 158 | 6 | |
| Plasmodium exported protein | PFIT_0725000 | 789 | 4099 | 5 | |
| acyl-CoA synthetaseK | PFIT_0801900 | 141 | 695 | 5 | [46] |
| virulence-associated protein 1 | PFIT_0937100 | 67 | 307 | 5 | |
| Gene Name | Gene ID | Normalized Expression Level (mRNA) | Normalized Expression Level (RNAseq) * | |||
|---|---|---|---|---|---|---|
| IT4ICAM-1 CHOICAM-140° | IT4CD36 CHOCD3640° | IT4NE | IT4ICAM-1 CHOICAM-137° | IT4CD36 CHOCD3637° | ||
| kahrp | PFIT_0201300 | 241 | 2 | 0 | 0.3 | 44 |
| pfemp3 | PFIT_0201200 | 56 | 1.3 | 0 | 0 | 2 |
| var01 | PFIT_0616500 | 107 | 1.6 | 68 | 55911 | 170 |
| var2csa | PFIT_1200200 | 0.5 | 2.6 | 42 | 53 | 15 |
| var16 | PFIT_bin09100 | 15 | 1.7 | 22 | 3790 | 3 |
© 2020 by the authors. Licensee MDPI, Basel, Switzerland. This article is an open access article distributed under the terms and conditions of the Creative Commons Attribution (CC BY) license (http://creativecommons.org/licenses/by/4.0/).
Share and Cite
Dörpinghaus, M.; Fürstenwerth, F.; Roth, L.K.; Bouws, P.; Rakotonirinalalao, M.; Jordan, V.; Sauer, M.; Rehn, T.; Pansegrau, E.; Höhn, K.; et al. Stringent Selection of Knobby Plasmodium falciparum-Infected Erythrocytes during Cytoadhesion at Febrile Temperature. Microorganisms 2020, 8, 174. https://doi.org/10.3390/microorganisms8020174
Dörpinghaus M, Fürstenwerth F, Roth LK, Bouws P, Rakotonirinalalao M, Jordan V, Sauer M, Rehn T, Pansegrau E, Höhn K, et al. Stringent Selection of Knobby Plasmodium falciparum-Infected Erythrocytes during Cytoadhesion at Febrile Temperature. Microorganisms. 2020; 8(2):174. https://doi.org/10.3390/microorganisms8020174
Chicago/Turabian StyleDörpinghaus, Michael, Finn Fürstenwerth, Lisa K. Roth, Philip Bouws, Maximilian Rakotonirinalalao, Vincent Jordan, Michaela Sauer, Torben Rehn, Eva Pansegrau, Katharina Höhn, and et al. 2020. "Stringent Selection of Knobby Plasmodium falciparum-Infected Erythrocytes during Cytoadhesion at Febrile Temperature" Microorganisms 8, no. 2: 174. https://doi.org/10.3390/microorganisms8020174
APA StyleDörpinghaus, M., Fürstenwerth, F., Roth, L. K., Bouws, P., Rakotonirinalalao, M., Jordan, V., Sauer, M., Rehn, T., Pansegrau, E., Höhn, K., Mesén-Ramírez, P., Bachmann, A., Lorenzen, S., Roeder, T., Metwally, N. G., & Bruchhaus, I. (2020). Stringent Selection of Knobby Plasmodium falciparum-Infected Erythrocytes during Cytoadhesion at Febrile Temperature. Microorganisms, 8(2), 174. https://doi.org/10.3390/microorganisms8020174

