Venereal Transmission of Vesicular Stomatitis Virus by Culicoides sonorensis Midges
Abstract
1. Introduction
2. Results
2.1. Venereal Transmission from Orally Infected C. sonorensis Females to Naïve Males
2.2. Venereal Transmission of VSV from Intrathoracically Injected C. sonorensis Males to Naïve Females
2.3. Venereal Transmission of VSV from Venereally Infected C. sonorensis Males to Naïve Females
2.4. VSV Infection in Reproductive Tracts
2.5. Behavioral Observations of C. sonorensis Copulation
2.6. Anatomical Descriptions of C. sonorensis Male Reproductive Tract
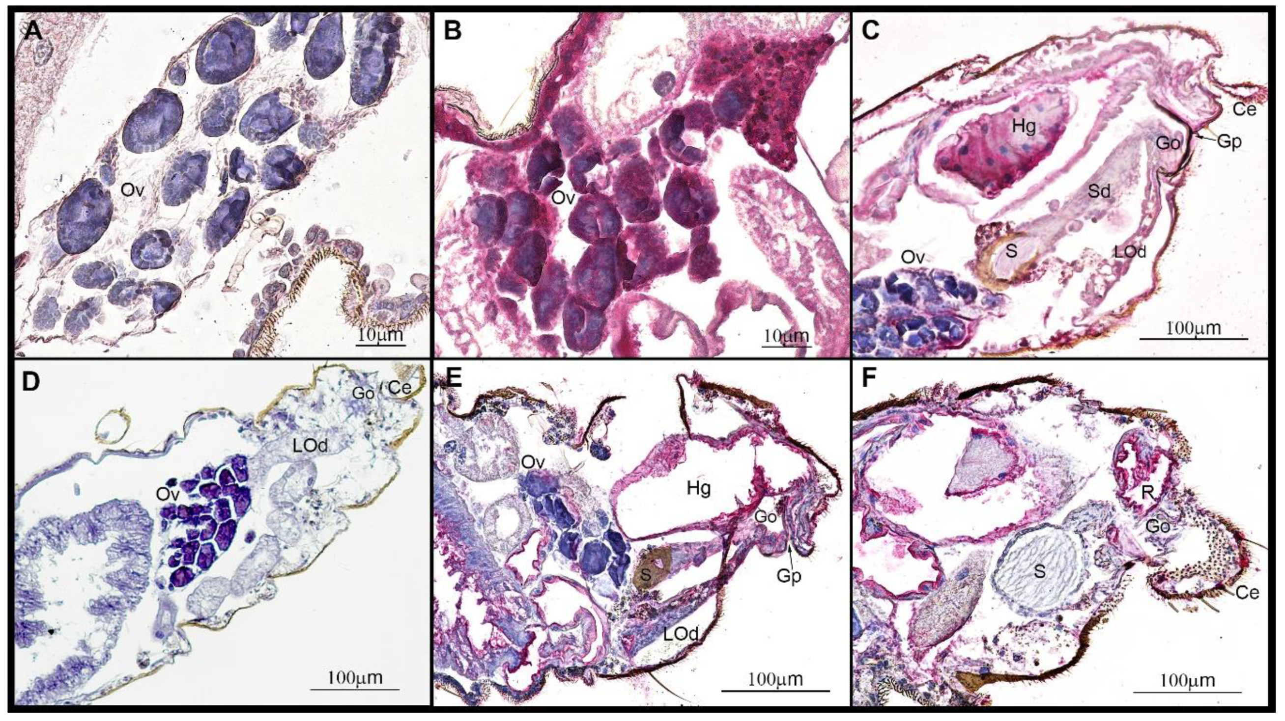
2.7. Anatomical Descriptions of C. sonorensis Female Reproductive Tract
3. Discussion
4. Materials and Methods
4.1. Virus and Cells
4.2. VSV Infection of Culicoides sonorensis Midges
4.3. Venereal Transmission Assays
4.4. RNA Extraction and RT-qPCR for VSV Detection
4.5. Cytopathic Effect and Plaque Assays
4.6. Statistical Analysis
4.7. Fluorescent Immune Assay and Immunohistochemistry
4.8. Behavioral Observations of C. sonorensis Copulation
Author Contributions
Funding
Acknowledgments
Conflicts of Interest
References
- Letchworth, G.J.; Rodriguez, L.L.; Del cbarrera, J. Vesicular stomatitis. Vet. J. 1999, 157, 239–260. [Google Scholar] [CrossRef]
- Hanson, R.P.; Estupinan, J.; Castaneda, J. Vesicular stomatitis in the Americas. Bull. Off. Int. Epizoot. 1968, 70, 37–47. [Google Scholar]
- Rodriguez, L.L. Emergence and re-emergence of vesicular stomatitis in the United States. Virus Res. 2002, 85, 211–219. [Google Scholar] [CrossRef]
- USDA-APHIS. Vesicular Stomatitis 2014–2015. FINAL Situation Report—March 13. 2015. Available online: https://www.aphis.usda.gov/animal_health/downloads/animal_diseases/vsv/Sitrep_031315.pdf (accessed on 21 October 2018).
- Patterson, W.C.; Jenney, E.W.; Holbrook, A.A. Experimental Infections with vesicular stomatitis in swine I. Transmission by direct contact and feeding infected meat scraps. U. S. Livest. Sanit. Assoc. Proc. 1955, 59, 368–378. [Google Scholar]
- Rozo-Lopez, P.; Drolet, B.S.; Londono-Renteria, B. Vesicular Stomatitis Virus Transmission: A Comparison of Incriminated Vectors. Insects 2018, 9, 190. [Google Scholar] [CrossRef] [PubMed]
- Brandly, C.A.; Hanson, R.P. Epizootiology of vesicular stomatitis. Am. J. Public Health Nations Health 1957, 47, 205–209. [Google Scholar] [CrossRef] [PubMed]
- Holbrook, F.R.; Tabachnick, W.J.; Schmidtmann, E.T.; McKinnon, C.N.; Bobian, R.J.; Grogan, W.L. Sympatry in the Culicoides variipennis complex (Diptera: Ceratopogonidae): A taxonomic reassessment. J. Med. Entomol. 2000, 37, 65–76. [Google Scholar] [CrossRef] [PubMed]
- McGregor, B.L.; Stenn, T.; Sayler, K.A.; Blosser, E.M.; Blackburn, J.K.; Wisely, S.M.; Burkett-Cadena, N.D. Host use patterns of Culicoides spp. biting midges at a big game preserve in Florida, U.S.A., and implications for the transmission of orbiviruses. Med. Vet. Entomol. 2018. [Google Scholar] [CrossRef]
- Drolet, B.S.; Campbell, C.L.; Stuart, M.A.; Wilson, W.C. Vector competence of Culicoides sonorensis (Diptera: Ceratopogonidae) for vesicular stomatitis virus. J. Med. Entomol. 2005, 42, 409–418. [Google Scholar] [CrossRef]
- Nunamaker, R.A.; Perez de Leon, A.A.; Campbell, C.C.; Lonning, S.M. Oral infection of Culicoides sonorensis (Diptera: Ceratopogonidae) by vesicular stomatitis virus. J. Med. Entomol. 2000, 37, 784–786. [Google Scholar] [CrossRef]
- Perez De Leon, A.A.; O’Toole, D.; Tabachnick, W.J. Infection of guinea pigs with vesicular stomatitis New Jersey virus Transmitted by Culicoides sonorensis (Diptera: Ceratopogonidae). J. Med. Entomol. 2006, 43, 568–573. [Google Scholar] [CrossRef]
- Perez de Leon, A.A.; Tabachnick, W.J. Transmission of vesicular stomatitis New Jersey virus to cattle by the biting midge Culicoides sonorensis (Diptera: Ceratopogonidae). J. Med. Entomol. 2006, 43, 323–329. [Google Scholar] [CrossRef]
- Walton, T.E.; Webb, P.A.; Kramer, W.L.; Smith, G.C.; Davis, T.; Holbrook, F.R.; Moore, C.G.; Schiefer, T.J.; Jones, R.H.; Janney, G.C. Epizootic vesicular stomatitis in Colorado, 1982: Epidemiologic and entomologic studies. Am. J. Trop. Med. Hyg. 1987, 36, 166–176. [Google Scholar] [CrossRef] [PubMed]
- Kramer, W.L.; Jones, R.H.; Holbrook, F.R.; Walton, T.E.; Calisher, C.H. Isolation of arboviruses from Culicoides midges (Diptera: Ceratopogonidae) in Colorado during an epizootic of vesicular stomatitis New Jersey. J. Med. Entomol. 1990, 27, 487–493. [Google Scholar] [CrossRef]
- Thurmond, M.C.; Ardans, A.A.; Picanso, J.P.; McDowell, T.; Reynolds, B.; Saito, J. Vesicular stomatitis virus (New Jersey strain) infection in two California dairy herds: An epidemiologic study. J. Am. Vet. Med. Assoc. 1987, 191, 965–970. [Google Scholar]
- Reis, J.L., Jr.; Rodriguez, L.L.; Mead, D.G.; Smoliga, G.; Brown, C.C. Lesion development and replication kinetics during early infection in cattle inoculated with Vesicular stomatitis New Jersey virus via scarification and black fly (Simulium vittatum) bite. Vet. Pathol. 2011, 48, 547–557. [Google Scholar] [CrossRef]
- Redelman, D.; Nichol, S.; Klieforth, R.; Van Der Maaten, M.; Whetstone, C. Experimental vesicular stomatitis virus infection of swine: Extent of infection and immunological response. Vet. Immunol. Immunopathol. 1989, 20, 345–361. [Google Scholar] [CrossRef]
- Perez de Leon, A.A.; Lloyd, J.E.; Tabachnick, W.J. Sexual dimorphism and developmental change of the salivary glands in adult Culicoides variipennis (Diptera: Ceratopogonidae). J. Med. Entomol. 1994, 31, 898–902. [Google Scholar] [CrossRef]
- Dahalan, F.A.; Churcher, T.S.; Windbichler, N.; Lawniczak, M.K.N. The male mosquito contribution towards malaria transmission: Mating influences the Anopheles female midgut transcriptome and increases female susceptibility to human malaria parasites. PLoS Pathog 2019, 15, e1008063. [Google Scholar] [CrossRef]
- Mitchell, S.N.; Kakani, E.G.; South, A.; Howell, P.I.; Waterhouse, R.M.; Catteruccia, F. Mosquito biology. Evolution of sexual traits influencing vectorial capacity in anopheline mosquitoes. Science 2015, 347, 985–988. [Google Scholar] [CrossRef]
- Wirth, W.W.; Blanton, F.S. The West Indian Sandflies of the Gunus Culicoides (Diptera: Ceratopogonidae); U.S. Government Printing Office: Washington, DC, USA, 1974.
- Linley, J.R. Ejaculation and spermatophore formation in Culicoides melleus (Coq.) (Diptera: Ceratopogonidae). Can. J. Zool. 1981, 59, 332–346. [Google Scholar] [CrossRef]
- Linley, J.R. Emptying of the spermatophore and spermathecal filling in Culicoides melleus (Coq.) (Diptera: Ceratopogonidae). Can. J. Zool. 1981, 59, 347–356. [Google Scholar] [CrossRef]
- Meuti, M.E.; Short, S.M. Physiological and Environmental Factors Affecting the Composition of the Ejaculate in Mosquitoes and Other Insects. Insects 2019, 10, 74. [Google Scholar] [CrossRef]
- Knell, R.J.; Webberley, K.M. Sexually transmitted diseases of insects: Distribution, evolution, ecology and host behaviour. Biol. Rev. Camb. Philos. Soc. 2004, 79, 557–581. [Google Scholar] [CrossRef]
- Perez, A.M.; Pauszek, S.J.; Jimenez, D.; Kelley, W.N.; Whedbee, Z.; Rodriguez, L.L. Spatial and phylogenetic analysis of vesicular stomatitis virus over-wintering in the United States. Prev. Vet. Med. 2010, 93, 258–264. [Google Scholar] [CrossRef] [PubMed]
- Mesquita, L.P.; Diaz, M.H.; Howerth, E.W.; Stallknecht, D.E.; Noblet, R.; Gray, E.W.; Mead, D.G. Pathogenesis of Vesicular Stomatitis New Jersey Virus Infection in Deer Mice (Peromyscus maniculatus) Transmitted by Black Flies (Simulium vittatum). Vet. Pathol. 2017, 54, 74–81. [Google Scholar] [CrossRef] [PubMed]
- Cornish, T.E.; Stallknecht, D.E.; Brown, C.C.; Seal, B.S.; Howerth, E.W. Pathogenesis of experimental vesicular stomatitis virus (New Jersey serotype) infection in the deer mouse (Peromyscus maniculatus). Vet. Pathol. 2001, 38, 396–406. [Google Scholar] [CrossRef] [PubMed]
- Agarwal, A.; Parida, M.; Dash, P.K. Impact of transmission cycles and vector competence on global expansion and emergence of arboviruses. Rev. Med. Virol. 2017. [Google Scholar] [CrossRef]
- Thompson, W.H.; Beaty, B.J. Venereal transmission of La Crosse (California encephalitis) arbovirus in Aedes triseriatus mosquitoes. Science 1977, 196, 530–531. [Google Scholar] [CrossRef]
- Thompson, W.H.; Beaty, B.J. Venereal transmission of La Crosse virus from male to female Aedes triseriatus. Am. J. Trop. Med. Hyg. 1978, 27, 187–196. [Google Scholar] [CrossRef]
- Thompson, W.H. Higher venereal infection and transmission rates with La Crosse virus in Aedes triseriatus engorged before mating. Am. J. Trop. Med. Hyg. 1979, 28, 890–896. [Google Scholar] [CrossRef] [PubMed]
- Mourya, D.T.; Soman, R.S. Venereal transmission of Japanese encephalitis virus in Culex bitaeniorhynchus mosquitoes. Indian J. Med. Res. 1999, 109, 202–203. [Google Scholar] [PubMed]
- Rosen, L.; Shroyer, D.A.; Tesh, R.B.; Freier, J.E.; Lien, J.C. Transovarial transmission of dengue viruses by mosquitoes: Aedes albopictus and Aedes aegypti. Am. J. Trop. Med. Hyg. 1983, 32, 1108–1119. [Google Scholar] [CrossRef] [PubMed]
- Sanchez-Vargas, I.; Harrington, L.C.; Doty, J.B.; Black, W.C.t.; Olson, K.E. Demonstration of efficient vertical and venereal transmission of dengue virus type-2 in a genetically diverse laboratory strain of Aedes aegypti. PLoS Negl. Trop. Dis. 2018, 12, e0006754. [Google Scholar] [CrossRef]
- Rosen, L. Sexual transmission of dengue viruses by Aedes albopictus. Am. J. Trop. Med. Hyg. 1987, 37, 398–402. [Google Scholar]
- Shroyer, D.A. Venereal transmission of St. Louis encephalitis virus by Culex quinquefasciatus males (Diptera: Culicidae). J. Med. Entomol. 1990, 27, 334–337. [Google Scholar] [CrossRef]
- Pereira-Silva, J.W.; Nascimento, V.A.D.; Belchior, H.C.M.; Almeida, J.F.; Pessoa, F.A.C.; Naveca, F.G.; Rios-Velasquez, C.M. First evidence of Zika virus venereal transmission in Aedes aegypti mosquitoes. Mem. Inst. Oswaldo Cruz. 2018, 113, 56–61. [Google Scholar] [CrossRef]
- Kerr, J.A.; Hayne, T.B. On the Transfer of Yellow Fever Virus from Female to Male Aedes aegypti 1. Am. J. Trop. Med. Hyg. 1932, s1-12, 255–261. [Google Scholar] [CrossRef]
- Campos, S.S.; Fernandes, R.S.; Dos Santos, A.A.C.; de Miranda, R.M.; Telleria, E.L.; Ferreira-de-Brito, A.; de Castro, M.G.; Failloux, A.B.; Bonaldo, M.C.; Lourenco-de-Oliveira, R. Zika virus can be venereally transmitted between Aedes aegypti mosquitoes. Parasit. Vectors 2017, 10, 605. [Google Scholar] [CrossRef]
- Mavale, M.S.; Fulmali, P.V.; Geevarghese, G.; Arankalle, V.A.; Ghodke, Y.S.; Kanojia, P.C.; Mishra, A.C. Venereal transmission of Chandipura virus by Phlebotomus papatasi (Scopoli). Am. J. Trop. Med. Hyg. 2006, 75, 1151–1152. [Google Scholar] [CrossRef]
- Mavale, M.S.; Geevarghese, G.; Ghodke, Y.S.; Fulmali, P.V.; Singh, A.; Mishra, A.C. Vertical and venereal transmission of Chandipura virus (Rhabdoviridae) by Aedes aegypti (Diptera: Culicidae). J. Med. Entomol. 2005, 42, 909–911. [Google Scholar] [CrossRef] [PubMed]
- Ovenden, J.R.; Mahon, R.J. Venereal transmission of Sindbis virus between individuals of Aedes australis (Diptera: Culicidae). J. Med. Entomol. 1984, 21, 292–295. [Google Scholar] [CrossRef] [PubMed]
- Mavale, M.; Parashar, D.; Sudeep, A.; Gokhale, M.; Ghodke, Y.; Geevarghese, G.; Arankalle, V.; Mishra, A.C. Venereal transmission of chikungunya virus by Aedes aegypti mosquitoes (Diptera: Culicidae). Am. J. Trop. Med. Hyg. 2010, 83, 1242–1244. [Google Scholar] [CrossRef] [PubMed]
- Armstrong, P.M.; Ehrlich, H.Y.; Magalhaes, T.; Miller, M.R.; Conway, P.J.; Bransfield, A.; Misencik, M.J.; Gloria-Soria, A.; Warren, J.L.; Andreadis, T.G.; et al. Successive blood meals enhance virus dissemination within mosquitoes and increase transmission potential. Nat. Microbiol. 2020, 5, 239–247. [Google Scholar] [CrossRef] [PubMed]
- Agarwal, A.; Dash, P.K.; Singh, A.K.; Sharma, S.; Gopalan, N.; Rao, P.V.; Parida, M.M.; Reiter, P. Evidence of experimental vertical transmission of emerging novel ECSA genotype of Chikungunya Virus in Aedes aegypti. PLoS Negl. Trop. Dis. 2014, 8, e2990. [Google Scholar] [CrossRef] [PubMed]
- Goodger, W.J.; Thurmond, M.; Nehay, J.; Mitchell, J.; Smith, P. Economic impact of an epizootic of bovine vesicular stomatitis in California. J. Am. Vet. Med. Assoc. 1985, 186, 370–373. [Google Scholar]
- Baker, R.H.; French, W.L.; Kitzmiller, J.B. Induced copulation in Anopheles mosquitoes. Mosq. News 1962, 22, 16–17. [Google Scholar]
- Linley, J.R.; Adams, G.M. A study of the mating behaviour of Culicoides melleus (Coquillett) (Diptera: Ceratopogonidae). Trans. R. Entomol. Soc. Lond. 1972, 124, 81–121. [Google Scholar] [CrossRef]
- Mair, J.; Blackwell, A. Mating behavior of Culicoides nubeculosus (Diptera:Ceratopogonidae). J. Med. Entomol. 1996, 33, 856–858. [Google Scholar] [CrossRef] [PubMed]
- Jones, R.H.; Foster, N.M. Oral infection of Culicoides variipennis with bluetongue virus: Development of susceptible and resistant lines from a colony population. J. Med. Entomol. 1974, 11, 316–323. [Google Scholar] [CrossRef] [PubMed]
- Hole, K.; Velazquez-Salinas, L.; Clavijo, A. Improvement and optimization of a multiplex real-time reverse transcription polymerase chain reaction assay for the detection and typing of Vesicular stomatitis virus. J. Vet. Diagn. Investig. 2010, 22, 428–433. [Google Scholar] [CrossRef] [PubMed]
- Ball, L.A.; White, C.N. Order of transcription of genes of vesicular stomatitis virus. Proc. Natl. Acad. Sci. USA 1976, 73, 442–446. [Google Scholar] [CrossRef] [PubMed]








| GC | Initial Number of Midges | Surviving ♂ (%) 1 | VSV RT-qPCR+ ♂ (%) 2 | VSV CPE+ ♂ (%) 3 |
|---|---|---|---|---|
| 1 | 240 ♀ and 120 ♂ | 88/120 (73.3%) | 0 | ND |
| 2 | 199 ♀ and 100 ♂ | 59/100 (59%) | 9/59 (15.2%) | ND |
| 2 | 104 ♀ and 52 ♂ | 30/52 (57.7%) | ND | 6/30 (20%) |
| 3 | 131 ♀ and 65 ♂ | 38/65 (58.5%) | 29/38 (76.3%) | ND |
| 3 | 64 ♀ and 32 ♂ | 19/32 (59.4%) | ND | 6/19 (31.6%) |
| Initial Number of Midges | Surviving ♀ (%) 1 | VSV RT-qPCR+ ♀ Bodies (%) | VSV RT-qPCR+ ♀ Heads (%) | VSV CPE+ Whole ♀ (%) |
|---|---|---|---|---|
| 58 ♂ and 116 ♀ | 77/116 (66.4%) | 59/77 (76.6%) | 6/59 (10.2%) | ND |
| 39 ♂ and 78 ♀ | 61/78 (78.2%) | ND | ND | 30/61 (49.2%) |
| Initial Number of Midges | Surviving ♀ (%) 1 | VSV RT-qPCR+ Whole ♀ (%) |
|---|---|---|
| 100 ♂ and 200 ♀ | 84/200 (42%) | 8/84 (9.5%) |
| Males | Females | ||
|---|---|---|---|
| Testes | Accessory Glands | Ovaries | Spermatheca |
| 15/17 (88.2%) | 7/17 (41.2%) | 11/12 (91.7%) | 0/12 (0%) |
| Ovaries | Oviduct | Spermathecal Duct | Gonotreme | Gonopore |
|---|---|---|---|---|
| 7/19 (36.8%) | 3/19 (16.8%) | 5/19 (26.3%) | 6/19 (31.6%) | 11/19 (57.8%) |
© 2020 by the authors. Licensee MDPI, Basel, Switzerland. This article is an open access article distributed under the terms and conditions of the Creative Commons Attribution (CC BY) license (http://creativecommons.org/licenses/by/4.0/).
Share and Cite
Rozo-Lopez, P.; Londono-Renteria, B.; Drolet, B.S. Venereal Transmission of Vesicular Stomatitis Virus by Culicoides sonorensis Midges. Pathogens 2020, 9, 316. https://doi.org/10.3390/pathogens9040316
Rozo-Lopez P, Londono-Renteria B, Drolet BS. Venereal Transmission of Vesicular Stomatitis Virus by Culicoides sonorensis Midges. Pathogens. 2020; 9(4):316. https://doi.org/10.3390/pathogens9040316
Chicago/Turabian StyleRozo-Lopez, Paula, Berlin Londono-Renteria, and Barbara S. Drolet. 2020. "Venereal Transmission of Vesicular Stomatitis Virus by Culicoides sonorensis Midges" Pathogens 9, no. 4: 316. https://doi.org/10.3390/pathogens9040316
APA StyleRozo-Lopez, P., Londono-Renteria, B., & Drolet, B. S. (2020). Venereal Transmission of Vesicular Stomatitis Virus by Culicoides sonorensis Midges. Pathogens, 9(4), 316. https://doi.org/10.3390/pathogens9040316

