Next Article in Journal
Anthrax in Humans, Animals, and the Environment and the One Health Strategies for Anthrax Control
Next Article in Special Issue
Salmonella Infantis Adhesion to Various Surfaces and In Vitro Antimicrobial Efficacy of Commercial Disinfectants
Previous Article in Journal
Diagnostic and Therapeutic Challenge Caused by Candida albicans and Aspergillus spp. Infections in a Pediatric Patient as a Complication of Acute Lymphoblastic Leukemia Treatment: A Case Report and Literature Review
Previous Article in Special Issue
Use of Matrix-Assisted and Laser Desorption/Ionization Time-of-Flight Technology in the Identification of Aeromonas Strains Isolated from Retail Sushi and Sashimi
 
 
Font Type:
Arial Georgia Verdana
Font Size:
Aa Aa Aa
Line Spacing:
Column Width:
Background:
Article

Innovative Multiplex PCR Assay for Detection of tlh, trh, and tdh Genes in Vibrio parahaemolyticus with Reference to the U.S. FDA’s Bacteriological Analytical Manual (BAM)

Experimental Seafood Processing Laboratory, Coastal Research & Extension Center, Mississippi State University, Pascagoula, MS 39567, USA
*
Authors to whom correspondence should be addressed.
Pathogens 2024, 13(9), 774; https://doi.org/10.3390/pathogens13090774
Submission received: 3 July 2024 / Revised: 31 August 2024 / Accepted: 4 September 2024 / Published: 7 September 2024

Abstract

Vibrio parahaemolyticus is an important foodborne bacterium that causes severe gastroenteritis following the consumption of contaminated seafood. To identify V. parahaemolyticus and determine its pathogenicity, the U.S. Food and Drug Administration (FDA)’s Bacteriological Analytical Manual (BAM) recommends a multiplex polymerase chain reaction (PCR) protocol to simultaneously detect the species-specific thermolabile hemolysin (tlh) gene and the pathogenic thermostable-related hemolysin (trh) and thermostable-direct hemolysin (tdh) genes. However, this assay has shown two limitations: difficulty in separating the amplicons of the trh (486 bp) and tlh (450 bp) genes due to their highly similar sizes, and the weaker band exhibited by the tdh gene amplicon (270 bp). The present study aimed to improve the BAM’s multiplex PCR assay by separating the three amplicons with similar intensity. A new primer set was applied for the tlh gene (369 bp) alongside the existing primers for the trh and tdh genes. The amplicons for the three genes were effectively separated by electrophoresis on a 2% tris-borate-EDTA (TBE) agarose gel within 45 min. Primer concentrations of 0.25 µM for three genes produced a significant amount of amplicons among various combinations of primer concentrations with 35 PCR cycles. This assay exhibited a detection limit of 10 pg of bacterial DNA, demonstrating its high sensitivity. It did not display amplicons from nine Vibrio species known to be human pathogens or from 18 well-documented foodborne pathogens. Therefore, the present multiplex PCR protocol could help overcome the limitations of existing assays and provide a more reliable method for detecting the three genes of V. parahaemolyticus.

1. Introduction

Vibrio parahaemolyticus poses a significant threat to public health through the consumption of contaminated seafood [1]. According to the U.S. Centers for Disease Control and Prevention (CDC), approximately 84,000 people suffer from Vibrio-related illnesses annually [2,3]. This Gram-negative halophilic bacterium inhabits estuarine and marine environments and can naturally infiltrate oysters [2,3,4]. However, the number of bacteria significantly increases in oysters during the warm-water season, and improper distribution or handling can further accelerate bacterial contamination, leading to public health concerns [5,6]. For instance, the Pacific V. parahaemolyticus strain (O4 serotype/sequence type 36) severely impacted Oyster Bay, NY, causing a significant increase in reported illnesses and extended closures in Long Island Sound, including major areas in Connecticut [7]. This outbreak was linked to the consumption of shellfish harvested from Oyster Bay Harbor, New York, between April and August 2012. By 2013, the outbreak with the same indistinguishable strain had spread from Virginia to Massachusetts, causing over 100 reported illnesses in 13 states and resulting in unprecedented closures and recalls [8]. This crisis made the industry view the situation as an existential threat and become more open to implementing controls to restore their critical summer operations [9].
A multiplex polymerase chain reaction (PCR) protocol is listed as one of the standard methods in the U.S. Food and Drug Administration (FDA)’s Bacteriological Analytical Manual (BAM) for identifying V. parahaemolyticus and determining its pathogenicity simultaneously, while information for the real-time PCR assay is still not available [10]. This assay is designed to yield three bands showing the thermolabile hemolysin (tlh) gene as a unique identification marker and the thermostable-related hemolysin (trh) and thermostable-direct hemolysin (tdh) genes as pathogenic markers of V. parahaemolyticus. Studies have demonstrated that all examined V. parahaemolyticus showed the amplification of tlh gene, with no positive results in closely related Vibrio spp. and other foodborne pathogens [11,12,13]. Moreover, clinical investigations have indicated that V. parahaemolyticus isolated from human patients carry the trh and tdh genes, which are potentially responsible for seafood-related illnesses and deaths [14,15,16]. Therefore, identifying V. parahaemolyticus and determining its pathogenicity in oysters are crucial steps to prevent foodborne illnesses and protect the domestic seafood industry.
Recently, we conducted the multiplex PCR recommended by BAM to identify V. parahaemolyticus and assessed its pathogenicity in oysters from the U.S. Gulf Coast. After 25 PCR cycles using a positive control strain (F11-3A), the amplicons were loaded onto a 1.5% tris-borate-EDTA (TBE) agarose gel [2,11]. However, the three bands did not appear even after 90 min of electrophoresis. The bands for trh (486 bp) and tlh (450 bp) were not separated well, and the tdh band (270 bp) was weaker compared to others. This method was originally developed by Bej et al., and the major difference between the multiplex PCR method of BAM and Bej et al. was the number of PCR cycles (25 cycles of BAM and 30 cycles of Bej et al.) [11]. We found that the original method produced a thicker tdh band than BAM, but the bands for trh and tlh were not well separated even after 90 min of electrophoresis.
In the present study, we aimed to improve the multiplex PCR method recommended by BAM by modifying the primers to achieve efficient separation of the three target genes and enhance the amplification of the tdh gene. Additionally, we examined the relative concentrations of primers, PCR cycling conditions, amounts of template DNA, the percentage of agarose, and electrophoresis time to produce three even amplicons, thereby confirming the specificity of the three sets of primers. The detection limit of the assay was evaluated using various concentrations of V. parahaemolyticus DNA, and the specificity of the assay was tested using nine Vibrio strains known to be human pathogens and 18 well-documented foodborne pathogens.

2. Materials and Methods

2.1. Bacteria, Genomic DNA, and Primers

Vibrio parahaemolyticus F11-3A was used as the reference strain to amplify tlh, trh, and tdh genes [2,11]. Other Vibrio and foodborne bacteria were used to determine the specificity of the multiplex PCR, including V. parahaemolyticus ATCC 17802, V. parahaemolyticus ATCC 35118, V. vulnificus ATCC 33147, V. vulnificus ATCC 27562, V. vulnificus ATCC 33815, V. metschnikovii, V. fluvialis ATCC 33809, V. mimicus ATCC 33655, V. furnissii ATCC 35627, V. cholerae ATCC 39315, V. alginolyticus ATCC 33840, Escherichia coli ATCC 51739, E. coli K-12, E. coli O157:H7 ATCC 43895, Listeria monocytogenes F5069, Lactobacillus buchneri ATCC 12936, Listeria innocua ATCC 33090, Salmonella enterica Serovar Typhimurium 14028, S. enterica Serovar Gaminara F2712, S. enterica Serovar Montevideo ATCC BAA-1735, S. enterica Serovar Senftenburg ATCC 43845, S. enterica Serovar Enteritidis E190-88, S. enterica Serovar Choleraesuis ATCC 10708, Bacillus subtilis ATCC 9372, Clostridium perfringens ATCC 13124, Enterococcus faecalis ATCC 344, Lactobacillus acidophilus NRRL B1910, and Staphylococcus aureus ATCC 25923, Shigella flexineri ATCC 12022. All bacteria were cultured on tryptic soy agar (TSA, Remel, San Diego, CA, USA) or in tryptic soy broth (TSB, Remel) at 37 °C. Bacterial DNA samples were extracted using the Quick-DNA Fungal/Bacterial Miniprep Kit (Zymo Research, Irvine, CA, USA) according to the manufacturer’s instructions and stored at −80 °C until use. The concentration of bacterial DNA was measured using the NanoDrop spectrophotometer (Thermo Fisher Scientific, Waltham, MA, USA) by measuring the absorbance at 260 nm. Primers listed in Table 1 were used for multiplex PCR. The tlh gene primers were designed using SnapGene software (version 5.2, San Diego, CA, USA) targeting a specific region within the gene (gene ID: GU971655.1, MH047289.1, OP270227.1, accessed on 15 January 2024). Primers for the amplification of trh and tdh genes were adopted from protocols described by both Bej et al. and BAM [2,11] (Table 1).

2.2. Multiplex PCR Condition

Three multiplex PCR methods were employed. The PCR mixture (50 µL) of both BAM and Bej et al. [11] consisted of the bacterial DNA (10 ng to 10 pg) from V. parahaemolyticus F11-3A, 1 µM of each of the primers (5 µL of each primer from 10 µM stock), 5 µL of a 10 X PCR buffer, 320 µM of each of the dNTPs (8 µL of a 8 mM stock dNTPs), 2.5 units of Dream Taq Green DNA polymerase (0.5 µL of 5 units/µL, Thermo Scientific, Vilnius, Lithuania), and 5.5 µL of water. The amplification condition of BAM was 1 cycle at 94 °C for 3 min, followed by 25 cycles of 94 °C for 1 min, 60 °C for 1 min, and 72 °C for 2 min, with a final extension at 72 °C for 3 min, while the amplification condition of Bej et al. [11] was 1 cycle at 94 °C for 3 min, followed by 30 cycles of 94 °C for 1 min, 58 °C for 1 min, and 72 °C for 1 min, with a final extension at 72 °C for 5 min.
Our PCR mixture was composed of the bacterial DNA (1 ng to 1 pg), 0.25 µM of each of the primers (1.25 µL of each primer from 10 µM stock), 5 µL of a 10 X PCR buffer, 320 µM of each of the dNTPs (8 µL of a 8 mM stock dNTPs), 1.5 units of Dream Taq Green DNA polymerase (0.3 µL of 5 units/µL, Thermo Scientific, Vilnius, Lithuania), and 28.2 µL of water. The amplification condition for this study was 1 cycle at 94 °C for 3 min, followed by 35 cycles of 94 °C for 1 min, 58 °C for 1 min, and 72 °C for 1 min, with a final extension at 72 °C for 5 min.
Electrophoresis was conducted using 1.5% TBE (TBE, Alfa Aesar, Ward Hill, MA, USA) agarose gels containing the SYBR Safe DNA gel stain (Invitrogen, Waltham, MA, USA) for 90 min to optimize band separation. Similarly, electrophoresis through 2% TBE gel was run for 45 min. The gel was visualized using the Gel Doc XR+ system (Bio-Rad, Hercules, CA, USA).

2.3. Optimization, Sensitivity, and Specificity of Multiplex PCR Assay

To determine the optimal PCR cycles for our multiplex PCR, the amplification condition was examined for 1 cycle at 94 °C for 3 min, followed by 30 or 35 cycles of 94 °C for 1 min, 58 °C for 1 min, and 72 °C for 1 min, with a final extension at 72 °C for 5 min. Various concentrations (1 ng, 100 pg, 10 pg, 1 pg, and 100 fg) of V. parahaemolyticus F11-3A DNA were used to determine the sensitivity of the multiplex PCR. After genomic DNA was extracted from other Vibrio strains and foodborne pathogenic bacteria, 1 ng of each of the bacterial DNA samples was employed to determine the specificity of the multiplex PCR.

3. Results and Discussion

3.1. Multiplex PCR Assay of BAM and Bej et al. [11]

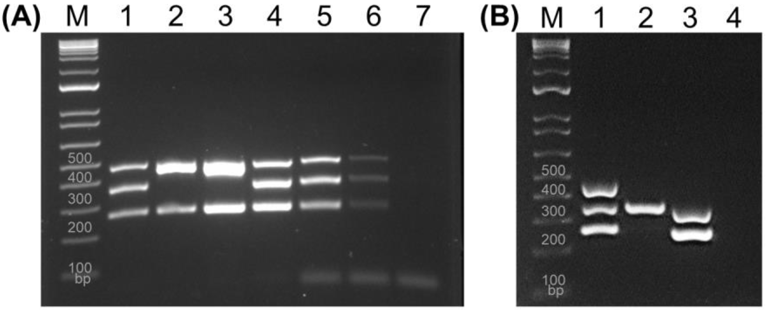
Multiplex PCR assays were conducted based on the method described by Bej et al. and BAM to evaluate the simultaneous detection of tlh, trh, and tdh genes of V. parahaemolyticus [10,11]. Since the BAM protocol originated from Bej et al. [11], both protocols shared identical reaction components, including the PCR mixture and primer sequences, except for modifications to the cycling conditions in the BAM protocol. The sensitivity of the assay was assessed using different concentrations of F11-3A DNA with all three primer sets (Figure 1A).
The multiplex PCR assay of BAM and Bej et al. [11] exhibited insufficient separation of trh and tlh gene amplicons at 30 and 60 min of electrophoresis. While separation of both genes was achieved at 90 min, the bands remained unresolved with 10 ng of bacterial DNA (Figure 1A). Three genes displayed faint bands in the sample containing 100 pg of bacterial DNA and became visible at 1 ng of DNA at 90 min of electrophoresis. Therefore, the limit of detection (LOD) of the BAM multiplex PCR was determined to be 1 ng of genomic DNA. The multiplex PCR assay of Bej et al. [11] showed stronger band intensity for all three genes compared to BAM (Figure 1A). This difference was probably due to the increased number of PCR cycles employed by Bej et al. (30 cycles) compared to BAM (25 cycles). The LOD of this method was determined to be 100 pg of bacterial DNA.
Both multiplex PCR assays exhibited limitations in separating the amplicons of the trh (486 bp) and tlh (450 bp) genes due to their highly similar sizes. This small size difference makes it difficult to distinguish the two amplicons on a gel. Additionally, the tdh gene amplicon (270 bp) often displays weaker band intensity compared to trh and tlh, potentially hindering its detection. To address these limitations, our multiplex PCR was designed to effectively separate the amplicons of trh and tlh genes, allowing for clear identification of both targets. Furthermore, the assay would be optimized to generate amplicons for all three genes (trh, tlh, and tdh) with similar band intensities, facilitating easier detection and analysis. This improved design aimed to overcome the limitations of the existing assays and provide a more reliable method for detecting these genes.

3.2. Optimization of the Current Multiplex PCR

To optimize a multiplex PCR assay for efficient separation and detection of three genes (tlh, trh, and tdh) in V. parahaemolyticus, three primer sets for tlh gene were examined for our enhanced multiplex PCR (Table 1). The primers for amplification of trh (486 bp) and tdh (270 bp) were adopted from BAM and Bej et al. [10,11]. The middle bands (tlh) of lane 1, 2, and 3 in Figure 1B were amplified using the combination of VP_TLH_L and VP_TLH_R2 (403 bp), VP_TLH_F2 and VP_TLH_R (359 bp), and VP_TLH_F2 and VP_TLH_R2 (369 bp), respectively. All three candidates for tlh gene displayed specific amplicons along with the expected amplicons for trh (486 bp) and tdh (252 bp) genes on the gel, with no non-specific products observed. Notably, lane 3 using the VP_TLH_F2/VP_TLH_R2 primers displayed the most consistent separation between all three target bands. Therefore, this primer set was selected for the optimized multiplex PCR.
Our results, similar to those of previously reported methods (BAM and Bej et al.), showed a weaker band intensity for the tdh gene (Figure 1B) compared to the trh and tlh genes at longer electrophoresis times (90 min). When uneven amplification occurs, it is important to adjust the proportions of the primers in the reaction mixture and optimize the cycling conditions [17]. To enhance band intensity for the tdh gene, five different primer concentrations were tested. A concentration of 0.25 µM for three primers yielded three amplicons with significant and uniform band intensity at shorter electrophoresis times—45 min on a 2% gel (Lane 1 in Figure 2A). In contrast, the Bej et al. multiplex PCR (Lane 2 and 3 in Figure 2A) failed to separate trh and tlh genes. Additionally, 35 cycles of PCR (Lane 4 in Figure 2A) produced stronger band intensities in three genes compared to 30 cycles of PCR (Lane 1 in Figure 2A). Therefore, our multiplex PCR significantly improved the amplicon intensity using 0.25 µM of primers, 35 cycles of PCR, and electrophoresis on 2% TBE gel for 45 min.

3.3. Sensitivity and Specificity of Our Multiplex PCR

A previous study reported a multiplex PCR for detection of groEL, trh, and tdh genes with a limit of detection (LOD) of 200 pg of V. parahaemolyticus DNA using 30 PCR cycles [18]. Another study demonstrated that the LOD of foodborne bacterial DNA in their multiplex PCR assay was 6.4 pg for Staphylococcus aureus, 32 pg for Escherichia coli O157:H7, 800 pg for Listeria monocytogenes, 160 pg for Shigella flexneri, and 32 pg for Salmonella enterica serovar Enteritidis using 35 cycles [19]. In this study, the sensitivity of our multiplex PCR assay was determined using various concentrations of F11-3A DNA (Lane 4, 5, 6, and 7 in Figure 2A). The overall LOD for all three genes was 10 pg of bacterial DNA. This sensitivity was 100 times higher than the results obtained using the BAM method (Figure 1A).
The specificity of the multiplex PCR assay was evaluated using three V. parahaemolyticus (lanes 1–3 in Figure 2B), nine Vibrio species known to be human pathogens, and 18 well-documented foodborne pathogens [10,20,21,22]. All three target genes were successfully amplified using F11-3A (Lane 1). In contrast, V. parahaemolyticus ATCC 17802 (Lane 2) showed only tlh-positive results, while V. parahaemolyticus ATCC 35118 (Lane 3) displayed both tlh- and tdh-positive results, consistent with previous studies [11,13]. Notably, the template DNA of all the other bacteria yielded the same identical product (none), as shown in lane 4, demonstrating high specificity. Therefore, this assay can be considered a viable alternative multiplex PCR with reference to the BAM protocol.

4. Conclusions

This study presents an efficient multiplex PCR assay for the detection of tlh, trh, and tdh genes of V. parahaemolyticus. To enhance the multiplex PCR recommended by BAM, we redesigned the primer set, optimized the concentration of primers, and adjusted the conditions of PCR cycles and gel electrophoresis. Our assay effectively separated the amplicons of three genes with similarly clear band intensities, facilitating their detection. Given its high sensitivity and specificity, we believe this method could be highly beneficial for researchers eager to detect the three genes simultaneously using the BAM method with slight modifications.

Author Contributions

Conceptualization, S.B.P. and Y.Z.; methodology, S.B.P.; software, S.B.P.; formal analysis, S.B.P.; investigation, S.B.P.; resources, Y.Z.; data curation, S.B.P.; writing—original draft preparation, S.B.P.; writing—review and editing, Y.Z.; visualization, S.B.P.; supervision, Y.Z.; project administration, Y.Z.; funding acquisition, Y.Z. All authors have read and agreed to the published version of the manuscript.

Funding

This research was funded by USDA-ARS-SCA agreement number 58-6066-7081 and state CRIS project number MIS 081710 for MS Center for Food Safety and Postharvest Technology.

Institutional Review Board Statement

Not applicable.

Informed Consent Statement

Not applicable.

Data Availability Statement

Data are contained within the article.

Conflicts of Interest

The authors declare no conflicts of interest.

References

  1. Su, Y.-C.; Liu, C. Vibrio parahaemolyticus: A concern of seafood safety. Food Microbiol. 2007, 24, 549–558. [Google Scholar] [CrossRef] [PubMed]
  2. DePaola, A.; Nordstrom, J.L.; Bowers, J.C.; Wells, J.G.; Cook, D.W. Seasonal abundance of total and pathogenic Vibrio parahaemolyticus in Alabama oysters. Appl. Environ. Microbiol. 2003, 69, 1521–1526. [Google Scholar] [CrossRef]
  3. Froelich, B.A.; Noble, R.T. Vibrio bacteria in raw oysters: Managing risks to human health. Philos. Trans. R. Soc. B Biol. Sci. 2016, 371, 20150209. [Google Scholar] [CrossRef] [PubMed]
  4. Broberg, C.A.; Calder, T.J.; Orth, K. Vibrio parahaemolyticus cell biology and pathogenicity determinants. Microbes Infect. 2011, 13, 992–1001. [Google Scholar] [CrossRef] [PubMed]
  5. Andrews, L. Strategies to control Vibrios in molluscan shellfish. Food Prot. Trends 2004, 24, 70–76. [Google Scholar]
  6. Nordstrom, J.; Kaysner, C.; Blackstone, G.; Vickery, M.; Bowers, J.; DePaola, A. Effect of intertidal exposure on Vibrio parahaemolyticus levels in Pacific Northwest oysters. J. Food Prot. 2004, 67, 2178–2182. [Google Scholar] [CrossRef]
  7. Martinez-Urtaza, J.; Baker-Austin, C.; Jones, J.L.; Newton, A.E.; Gonzalez-Aviles, G.D.; DePaola, A. Spread of Pacific northwest Vibrio parahaemolyticus strain. N. Engl. J. Med. 2013, 369, 1573–1574. [Google Scholar] [CrossRef]
  8. Newton, A.E.; Garrett, N.; Stroika, S.G.; Halpin, J.L.; Turnsek, M.; Mody, R.K. Notes from the field: Increase in Vibrio parahaemolyticus infections associated with consumption of atlantic coast shellfish-2013. MMWR Morb. Mortal. Wkly. Rep. 2014, 63, 335–336. [Google Scholar]
  9. DePaola, A. Managing Vibrio Risk in Oysters. Food Prot. Trends 2019, 39, 338–347. [Google Scholar]
  10. Kaysner, C.A.; DePaola, A.; Jones, J. Bacteriological Analytical Manual Chapter 9: Vibrio. Food and Drug Administration, Silver Spring, Maryland. 2019. Available online: https://www.fda.gov/food/laboratory-methods-food/bam-chapter-9-vibrio (accessed on 6 May 2024).
  11. Bej, A.K.; Patterson, D.P.; Brasher, C.W.; Vickery, M.C.; Jones, D.D.; Kaysner, C.A. Detection of total and hemolysin-producing Vibrio parahaemolyticus in shellfish using multiplex PCR amplification of tlh, tdh and trh. J. Microbiol. Methods 1999, 36, 215–225. [Google Scholar] [CrossRef]
  12. Nordstrom, J.L.; Vickery, M.C.; Blackstone, G.M.; Murray, S.L.; DePaola, A. Development of a multiplex real-time PCR assay with an internal amplification control for the detection of total and pathogenic Vibrio parahaemolyticus bacteria in oysters. Appl. Environ. Microbiol. 2007, 73, 5840–5847. [Google Scholar] [CrossRef]
  13. Park, S.B.; Zhang, Y. Development of Multienzyme Isothermal Rapid Amplification (MIRA) Combined with Lateral-Flow Dipstick (LFD) Assay to Detect Species-Specific tlh and Pathogenic trh and tdh Genes of Vibrio parahaemolyticus. Pathogens 2024, 13, 57. [Google Scholar] [CrossRef]
  14. Wang, H.; Zhang, J.; Jiang, T.; Bao, Y.; Zhou, X. Insufficiency of the Kanagawa hemolytic test for detecting pathogenic Vibrio parahaemolyticus in Shanghai, China. Diagn. Microbiol. Infect. Dis. 2011, 69, 7–11. [Google Scholar]
  15. Shirai, H.; Ito, H.; Hirayama, T.; Nakamoto, Y.; Nakabayashi, N.; Kumagai, K.; Takeda, Y.; Nishibuchi, M. Molecular epidemiologic evidence for association of thermostable direct hemolysin (TDH) and TDH-related hemolysin of Vibrio parahaemolyticus with gastroenteritis. Infect. Immun. 1990, 58, 3568–3573. [Google Scholar] [CrossRef]
  16. Sun, J.; Li, X.; Hu, Z.; Xue, X.; Zhang, M.; Wu, Q.; Zhang, W.; Zhang, Y.; Lu, R. Characterization of Vibrio parahaemolyticus isolated from stool specimens of diarrhea patients in Nantong, Jiangsu, China during 2018–2020. PLoS ONE 2022, 17, e0273700. [Google Scholar] [CrossRef] [PubMed]
  17. Markoulatos, P.; Siafakas, N.; Moncany, M. Multiplex polymerase chain reaction: A practical approach. J. Clin. Lab. Anal. 2002, 16, 47–51. [Google Scholar] [CrossRef] [PubMed]
  18. Hossain, M.T.; Kim, Y.-O.; Kong, I.-S. Multiplex PCR for the detection and differentiation of Vibrio parahaemolyticus strains using the groEL, tdh and trh genes. Mol. Cell. Probes 2013, 27, 171–175. [Google Scholar] [CrossRef] [PubMed]
  19. Chen, J.; Tang, J.; Liu, J.; Cai, Z.; Bai, X. Development and evaluation of a multiplex PCR for simultaneous detection of five foodborne pathogens. J. Appl. Microbiol. 2012, 112, 823–830. [Google Scholar] [CrossRef]
  20. Baker-Austin, C.; Oliver, J.D.; Alam, M.; Ali, A.; Waldor, M.K.; Qadri, F.; Martinez-Urtaza, J. Vibrio spp. infections. Nat. Rev. Dis. Primers 2018, 4, 1–19. [Google Scholar] [CrossRef]
  21. Bintsis, T. Foodborne pathogens. AIMS Microbiol. 2017, 3, 529. [Google Scholar] [CrossRef]
  22. Priyanka, B.; Patil, R.K.; Dwarakanath, S. A review on detection methods used for foodborne pathogens. Indian J. Med. Res. 2016, 144, 327–338. [Google Scholar] [CrossRef] [PubMed]
Figure 1. Multiplex PCR analysis of Vibrio parahaemolyticus tlh, trh, and tdh genes. The protocols were based on the Bacteriological Analytical Manual (BAM) [10] of the U.S. FDA and a study by Bej et al. [11] (Panel A). (Panel B) showed the current multiplex PCR with various combinations of primers to amplify the middle band of tlh gene (1: 403 bp, 2: 359 bp, and 3: 369 bp). M: Molecular weight marker. The electrophoreses were run for 90 min to separate three bands through a 1.5% TBE agarose gel.
Figure 1. Multiplex PCR analysis of Vibrio parahaemolyticus tlh, trh, and tdh genes. The protocols were based on the Bacteriological Analytical Manual (BAM) [10] of the U.S. FDA and a study by Bej et al. [11] (Panel A). (Panel B) showed the current multiplex PCR with various combinations of primers to amplify the middle band of tlh gene (1: 403 bp, 2: 359 bp, and 3: 369 bp). M: Molecular weight marker. The electrophoreses were run for 90 min to separate three bands through a 1.5% TBE agarose gel.
Pathogens 13 00774 g001
Figure 2. Validation of PCR cycle number, sensitivity, and specificity of the current multiplex PCR. (Panel A) The multiplex PCRs were conducted with 30 cycles (Lane 1 and 2) and 35 cycles (Lane 3 to 7) using the protocol of Bej et al. [11] (Lane 2 and 3) and the current multiplex PCR (Lane 1, 4, 5, 6, and 7). The sensitivity of the current multiplex PCR was determined using various DNA concentrations (lane 4: 1ng, lane 5: 100 pg, lane 6: 10 pg, and lane 7: 1 pg). (Panel B) Specificity of the current multiplex PCR. Vibrio parahaemolyticus F11-3A exhibited positive results for the trh, tlh, and tdh genes (lane 1). V. parahaemolyticus ATCC 17802 was positive only for the tlh gene (lane 2). V. parahaemolyticus ATCC 35118 showed positivity for the tlh and tdh genes (lane 3). None of the other tested Vibrio strains and foodborne pathogenic bacteria displayed amplification of three genes (lane 4).
Figure 2. Validation of PCR cycle number, sensitivity, and specificity of the current multiplex PCR. (Panel A) The multiplex PCRs were conducted with 30 cycles (Lane 1 and 2) and 35 cycles (Lane 3 to 7) using the protocol of Bej et al. [11] (Lane 2 and 3) and the current multiplex PCR (Lane 1, 4, 5, 6, and 7). The sensitivity of the current multiplex PCR was determined using various DNA concentrations (lane 4: 1ng, lane 5: 100 pg, lane 6: 10 pg, and lane 7: 1 pg). (Panel B) Specificity of the current multiplex PCR. Vibrio parahaemolyticus F11-3A exhibited positive results for the trh, tlh, and tdh genes (lane 1). V. parahaemolyticus ATCC 17802 was positive only for the tlh gene (lane 2). V. parahaemolyticus ATCC 35118 showed positivity for the tlh and tdh genes (lane 3). None of the other tested Vibrio strains and foodborne pathogenic bacteria displayed amplification of three genes (lane 4).
Pathogens 13 00774 g002
Table 1. Primers for the amplification of tlh, trh, and tdh genes using the multiplex PCR.
Table 1. Primers for the amplification of tlh, trh, and tdh genes using the multiplex PCR.
NamesGenesSequences (5′-3′)Size (bp)References
VP_TLH_LtlhAAAGCGGATTATGCAGAAGCACTG450[11]
VP_TLH_RGCTACTTTCTAGCATTTTCTCTGC
VP_TRH_LtrhTTGGCTTCGATATTTTCAGTATCT486
VP_TRH_RCATAACAAACATATGCCCATTTCCG
VP_TDH_LtdhGTAAAGGTCTCTGACTTTTGGAC270
VP_TDH_RTGGAATAGAACCTTCATCTTCACC
VP_TLH_F2tlhCTCAGTTTAAGTACTCAACACAAGAAGAGAT369This study and [11]
VP_TLH_R2CTAAGTTGTTGCTACTTTCTAGCATTTTCT
VP_TLH_F2tlhCTCAGTTTAAGTACTCAACACAAGAAGAGAT359
VP_TLH_RGCTACTTTCTAGCATTTTCTCTGC
VP_TLH_LtlhAAAGCGGATTATGCAGAAGCACTG403
VP_TLH_R2CTAAGTTGTTGCTACTTTCTAGCATTTTCT
Disclaimer/Publisher’s Note: The statements, opinions and data contained in all publications are solely those of the individual author(s) and contributor(s) and not of MDPI and/or the editor(s). MDPI and/or the editor(s) disclaim responsibility for any injury to people or property resulting from any ideas, methods, instructions or products referred to in the content.

Share and Cite

MDPI and ACS Style

Park, S.B.; Zhang, Y. Innovative Multiplex PCR Assay for Detection of tlh, trh, and tdh Genes in Vibrio parahaemolyticus with Reference to the U.S. FDA’s Bacteriological Analytical Manual (BAM). Pathogens 2024, 13, 774. https://doi.org/10.3390/pathogens13090774

AMA Style

Park SB, Zhang Y. Innovative Multiplex PCR Assay for Detection of tlh, trh, and tdh Genes in Vibrio parahaemolyticus with Reference to the U.S. FDA’s Bacteriological Analytical Manual (BAM). Pathogens. 2024; 13(9):774. https://doi.org/10.3390/pathogens13090774

Chicago/Turabian Style

Park, Seong Bin, and Yan Zhang. 2024. "Innovative Multiplex PCR Assay for Detection of tlh, trh, and tdh Genes in Vibrio parahaemolyticus with Reference to the U.S. FDA’s Bacteriological Analytical Manual (BAM)" Pathogens 13, no. 9: 774. https://doi.org/10.3390/pathogens13090774

APA Style

Park, S. B., & Zhang, Y. (2024). Innovative Multiplex PCR Assay for Detection of tlh, trh, and tdh Genes in Vibrio parahaemolyticus with Reference to the U.S. FDA’s Bacteriological Analytical Manual (BAM). Pathogens, 13(9), 774. https://doi.org/10.3390/pathogens13090774

Note that from the first issue of 2016, this journal uses article numbers instead of page numbers. See further details here.

Article Metrics

Back to TopTop