Artificial Intelligence-Supported Ultrasonography in Anesthesiology: Evaluation of a Patient in the Operating Theatre
Abstract
1. Introduction
1.1. The Emergence of Artificial Intelligence in Medicine
1.2. AI in Anesthesiology—Objectives and Challenges
1.3. The Role of Ultrasound and AI in Anesthesia as an Assistive Tool in Clinical Practice
2. Artificial Intelligence in Ultrasonography and Its Use in Regional
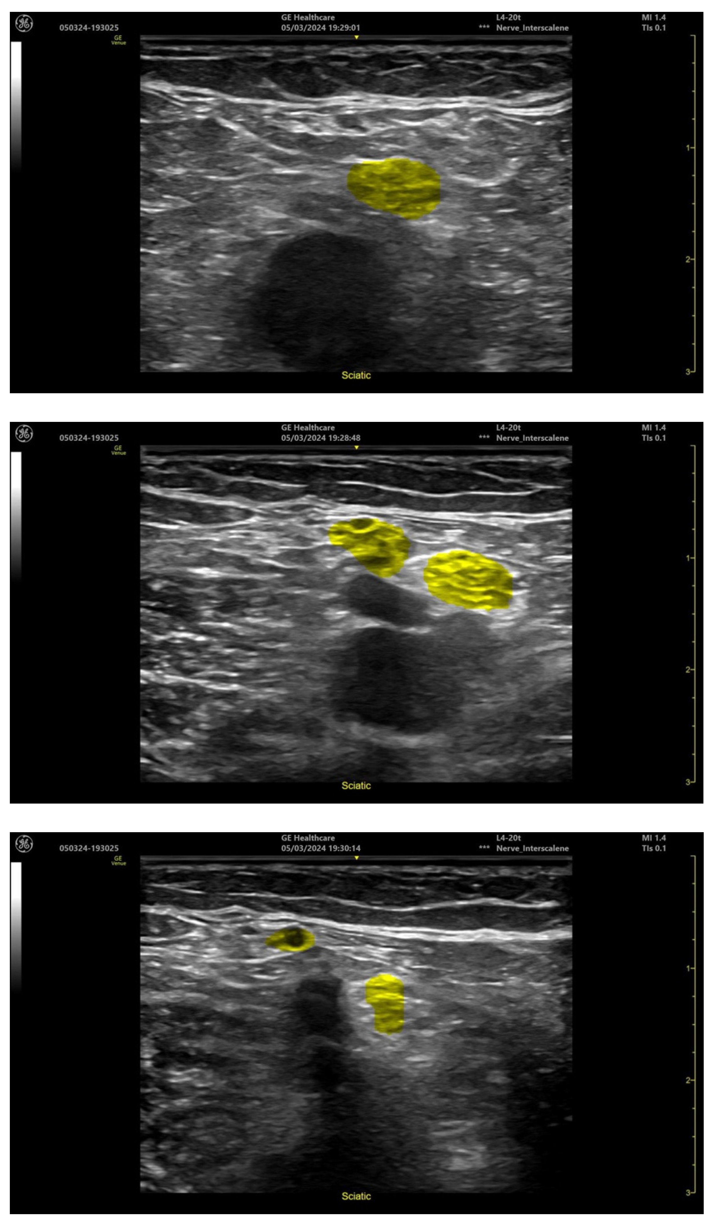
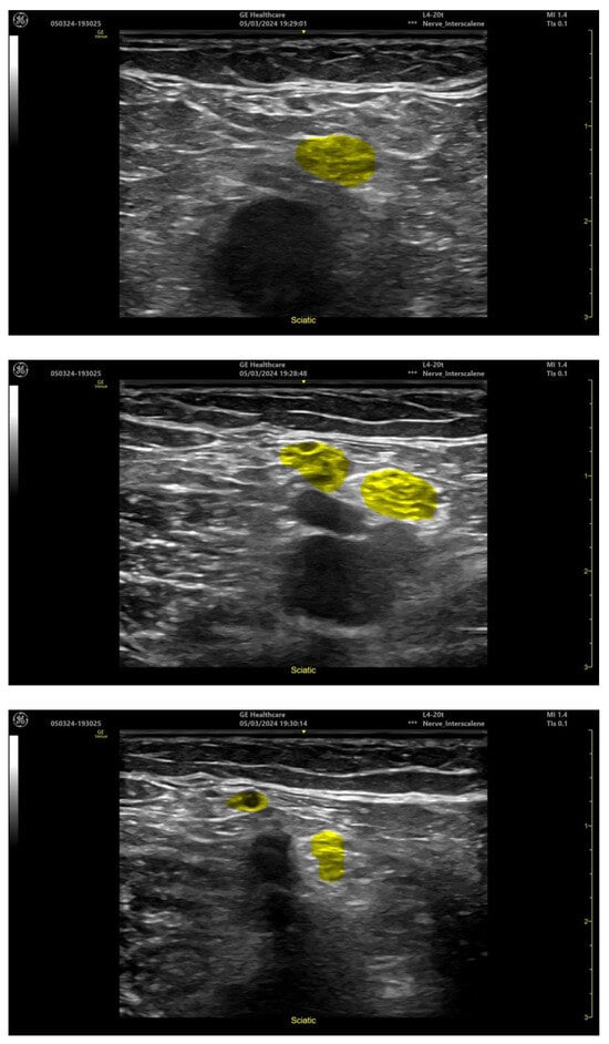
2.1. U-Net Architecture and BPSegData
- Axillary-level brachial plexus;
- Erector spinae plane;
- Interscalene-level brachial plexus;
- Popliteal-level sciatic nerve;
- Rectus sheath plane;
- Sub-sartorial femoral triangle/adductor canal;
- Superior trunk of brachial plexus;
- Supraclavicular-level brachial plexus;
- Longitudinal suprainguinal fascia iliaca plane.

2.2. Artificial Intelligence Used Directly in the Ultrasound Systems
3. Challenges, Limitations and Evaluation of Effectivity of AI Applications in Ultrasonography and Anesthesiology
- Does the video contain clinically relevant images for this block area? [Y/N].
| NeckBP | AxBP | ESP | RS | FI | AC | PopSN | |
|---|---|---|---|---|---|---|---|
| Min | 5.33 | 5.33 | 6.33 | 5.67 | 6.33 | 5.67 | 5.67 |
| Max | 9.33 | 10.00 | 9.67 | 9.00 | 10.00 | 9.67 | 9.33 |
| St Dev | 1.017 | 0.981 | 0.666 | 0.816 | 0.812 | 0.698 | 0.867 |
| Mean | 7.89 | 8.43 | 8.10 | 7.87 | 8.42 | 8.69 | 8.09 |
- 2.
- Rate the overall highlighting performance on a scale of 0–10. [0—very poor, 10—excellent].
| Structure | Yes | No |
|---|---|---|
| Interscalene- Supraclaviular Level Brachial Plexus | ||
| Subclavian artery | 40/40 (100%) | 0/40 (0%) |
| Brachial plexus nerves | 40/40 (100%) | 0/40 (0%) |
| Sternocleidomastoid muscle | 40/40 (100%) | 0/40 (0%) |
| Scalenus anterior muscle | 40/40 (100%) | 0/40 (0%) |
| First rib | 40/40 (100%) | 0/40 (0%) |
| Pleura | 40/40 (100%) | 0/40 (0%) |
| Total (for block) | 240/240 (100%) | 0/240 (0%) |
| Axillary Level Brachial Plexus | ||
| Axillary artery | 40/40 (100%) | 0/40 (0%) |
| Radial nerve | 40/40 (100%) | 0/40 (0%) |
| Median nerve | 40/40 (100%) | 0/40 (0%) |
| Ulnar nerve | 40/40 (100%) | 0/40 (0%) |
| Musculocutaneous nerve | 38/40 (95%) | 2/40 (5%) |
| Fascia (conjoint tendon) | 40/40 (100%) | 0/40 (0%) |
| Humerus | 40/40 (100%) | 0/40 (0%) |
| Total (for block) | 278/280 (99.3%) | 2/280 (0.7%) |
| Erector Spinae Plane | ||
| Muscle layer (Trapezius, rhomboid, erector spinae) | 35/35(100%) | 0/35 (0%) |
| Ribs | 35/35(100%) | 0/35 (0%) |
| Transverse process | 35/35(100%) | 0/35 (0%) |
| Pleura | 35/35(100%) | 0/35 (0%) |
| Total (for block) | 140/140(100%) | 0/140(0%) |
| Rectus Sheath | ||
| Restus abdominis muscle | 40/40 (100%) | 0/40 (0%) |
| Transversus abdominis muscle | 40/40 (100%) | 0/40 (0%) |
| Rectus sheath | 40/40 (100%) | 0/40 (0%) |
| Peritoneum/peritoneal contents | 40/40 (100%) | 0/40 (0%) |
| Total (for block) | 160/160 (100%) | 0/160 (0%) |
| Suprainguinal Fascia Iliaca | ||
| Deep circumflex iliac artery | 37/38 (97.4%) | 1/38 (2.6%) |
| Iliacus muscle | 40/40 (100%) | 0/40 (0%) |
| Fascia iliaca | 40/40 (100%) | 0/40 (0%) |
| Hip bone | 40/40 (100%) | 0/40 (0%) |
| Total (for block) | 157/158 (99.4%) | 1/158 (0.6%) |
| Adductor Canal | ||
| Femoral artery | 40/40 (100%) | 0/40 (0%) |
| Saphenous nerve | 40/40 (100%) | 0/40 (0%) |
| Sartorius muscle | 40/40 (100%) | 0/40 (0%) |
| Adductor longus muscle | 40/40 (100%) | 0/40 (0%) |
| Femur | 38/38 (100%) | 0/38 (0%) |
| Total (for block) | 198/198 (100%) | 0/198(0%) |
| Popliteal Level Sciatic Nerve | ||
| Popliteal artery | 39/40 (97.5%) | 1/40 (2.5%) |
| Sciatic nerve | 40/40 (100%) | 0/40 (0%) |
| Tibial nerve | 39/39 (100%) | 0/39(0%) |
- 3.
- Did the highlighting help identify the [insert structure name]? [Y/N].
| NeckBP | AxBP | ESP | RS | FI | AC | PopSN | |
|---|---|---|---|---|---|---|---|
| Y (%) | 39/40 (97.5%) | 39/40 (97.5%) | 35/35 (100%) | 40/40 (100%) | 40/40 (100%) | 40/40 (100%) | 40/40 (100%) |
| N (%) | 1/40 (2.5%) | 1/40 (2.5%) | 0/35 (0%) | 0/40 (0%) | 0/40 (0%) | 0/40 (0%) | 0/40 (0%) |
- Security and the role of data:
- Further training programs and new procedures are required for data security, collection and processing.
- Respective provisions of the law regarding data processing should be prepared.
- Accuracy and comprehension of AI systems:
- Further studies on the accuracy and comprehension of artificial intelligence systems should be carried out.
- Clarity and precision of the AI algorithms need to be improved.
- Influence of artificial intelligence on teaching and training in anesthesiology:
- Investigations should be continued to recognize the influence of artificial intelligence on teaching and training in anesthesiology.
- AI-based simulation programs should be designed.
- A non-standard feedback system based on artificial intelligence should be developed.
- It should be investigated how simulation programs and feedback systems based on artificial intelligence improve the learning outcome [33].
4. Conclusions
Author Contributions
Funding
Institutional Review Board Statement
Informed Consent Statement
Data Availability Statement
Conflicts of Interest
References
- McKendrick, M.; Yang, S.; McLeod, G.A. The use of artificial intelligence and robotics in regional anesthesia. Anaesthesia 2021, 76, 171–181. [Google Scholar] [CrossRef] [PubMed]
- Hamet, P.; Tremblay, J. Artifical intelligence in medicine. Metabolism 2017, 69, S36–S40. [Google Scholar] [CrossRef] [PubMed]
- Viderman, D.; Dossov, M.; Seitenov, S.; Lee, M.-H. Artificial intelligence in ultrasound-guided regional anesthesia: A scoping review. Front. Med. 2022, 9, 994805. [Google Scholar] [CrossRef]
- Bignami, E.; Lanza, R.; Cussigh, G.; Bellini, V. New technologies in anesthesia and intensive care: Take your ticket for the future. J. Anesth. Analg. Crit. Care 2023, 3, 16. [Google Scholar] [CrossRef] [PubMed]
- Pham, F.M.P. Artificial Intelligence-Supported Systems in Anesthesiology and Its Standpoint to Date—A Review. Open J. Anesthesiol. 2023, 13, 140–168. [Google Scholar] [CrossRef]
- Gungor, I.; Gunaydin, B.; Oktar, S.O.; Buyukgebiz, B.M.; Bagcaz, S.; Ozdemir, M.G.; Inan, G. A real-time anatomy identification via tool based on artifcial intelligence for ultrasound-guided peripheral nerve block procedures: An accuracy study. J. Anesth. 2021, 35, 591–594. [Google Scholar] [CrossRef]
- Lloyd, J.; Morse, R.; Taylor, A.; Phillips, D.; Higham, H.; Burckett-St Laurent, D.; Bowness, J. Artificial Intelligence: Innovation to Assist in the Identification of Sono-anatomy for Ultrasound-Guided Regional Anaesthesia. Adv. Exp. Med. Biol. 2022, 1356, 117–140. [Google Scholar] [CrossRef]
- Jeon, Y.H. Easier and Safer Regional Anesthesia and Peripheral Nerve Block under Ultrasound Guidance. Korean J. Pain. 2016, 29, 1–2. [Google Scholar] [CrossRef]
- Hopkins, P.M. Ultrasound guidance as a gold standard in regional anesthesia. Br. J. Anaesth. 2007, 98, 299–301. [Google Scholar] [CrossRef]
- Berggreen, J.; Johansson, A.; Jahr, J.; Möller, S.; Jansson, T. Deep Learning on Ultrasound Images Visualizes the Femoral Nerve with Good Precision. Healthcare 2023, 11, 184. [Google Scholar] [CrossRef]
- Suissa, N.; Jeffries, S.D.; Song, K.; Botros, S.; Hemmerling, T.M. Utilizing Deep Learning to Identify an Ultrasound-guided Nerve Block Target Zone. Available online: https://arinex.com.au/EMBC/pdf/full-paper_26.pdf (accessed on 1 January 2024).
- Bottomley, T.; Gadsden, J.; West, S. The failed peripheral nerve block. BJA Educ. 2023, 23, 92–100. [Google Scholar] [CrossRef] [PubMed]
- Bowness, J.; El-Boghdadly, K.; Burckett-St Laurent, D. Artificial intelligence for image interpretation in ultrasound-guided regional anesthesia. Anaesthesia 2021, 76, 602–607. [Google Scholar] [CrossRef]
- Quesada, A. U-Net: A Versatile Deep Learning Architecture for Image Segmentation. Available online: https://medium.com/@alexquesada22/u-net-a-versatile-deep-learning-architecture-for-image-segmentation-2a85b52d71f6 (accessed on 1 January 2024).
- Bowness, J.S.; El-Boghdadly, K.; Woodworth, G.; Noble, J.A.; Higham, H.; Burkett-St Laurent, D. Exploring the utility of assistive artificial intelligence for ultrasound scanning in regional anesthesia. Reg. Anesth. Pain. Med. 2022, 47, 375–379. [Google Scholar] [CrossRef] [PubMed]
- Wang, Y.; Zhu, B.; Kong, J.; Wang, J.; Gao, B.; Wang, J.; Tian, D.; Yao, Y. Brachial Plexus Nerve Trunk Segmentation Using Deep Lerning: A Comparative Study with Doctors’ Manual Segmentation. arXiv 2022, arXiv:2205.08143. [Google Scholar]
- Erdem, G.; Ermiş, Y.; Özkan, D. Artificial intelligence-powered ultrasound guided regional nerve block in three patients: Case report. J. Turk. Soc. Algol. 2023, 35, 167–171. [Google Scholar] [CrossRef]
- Konwolucyjne Sieci Neuronowe. Available online: https://bfirst.tech/konwolucyjne-sieci-neuronowe/ (accessed on 1 January 2024).
- Available online: https://smartalpha.ai/anesthesia-pain-medicine/ (accessed on 1 January 2024).
- Bowness, J.; Varsou, O.; Turbitt, L.; Burkett-St Laurent, D. Identifying anatomical structures on ultrasound: Assistive artificial intelligence in ultrasound-guided regional anesthesia. Clin. Anat. 2021, 34, 802–809. [Google Scholar] [CrossRef] [PubMed]
- Bowness, J.; Macfarlane, A.; Burckett-St Laurent, D.; Harris, C.; Margetts, S.; Morecroft, M.; Phillips, D.; Rees, T.; Sleep, N.; Vasalauskaite, A.; et al. Evaluation of the impact of assistive artificial intelligence on ultrasound scanning for regional anesthesia. Br. J. Anaesth. 2023, 130, 226–233. [Google Scholar] [CrossRef]
- Available online: https://www.medicaldevice-network.com/comment/scannav-anatomy-pnb/?cf-view (accessed on 1 January 2024).
- Available online: https://www.accessdata.fda.gov/cdrh_docs/pdf22/DEN220024.pdf (accessed on 1 January 2024).
- Available online: https://www.intelligentultrasound.com/needletrainer/#634555be3d472 (accessed on 1 January 2024).
- Shevlin, S.P.; Turbitt, L.; Burckett-St Laurent, D.; Macfarlane, A.J.; West, S.; Bowness, J.S. Augmented Reality in Ultrasound-Guided Regional Anaesthesia: An Exploratory Study on Models With Potential Implications for Training. Cureus 2023, 15, e42346. [Google Scholar] [CrossRef]
- Bowness, J.; Burckett-St Laurent, D.; Hernandez, N.; Keane, P.A.; Lobo, C.; Margetts, S.; Moka, E.; Pawa, A.; Rosenblatt, M.; Sleep, N.; et al. Assistive artificial intelligence for ultrasound image interpretation in regional anesthesia: An external validation study. Br. J. Anaesth. 2023, 130, 217–225. [Google Scholar] [CrossRef]
- Shen, Y.-T.; Chen, L.; Yue, W.-W.; Xu, H.-X. Artificial intelligence in ultrasound. Eur. J. Radiol. 2021, 139, 109717. [Google Scholar] [CrossRef]
- Available online: https://www.itnonline.com/article/5-key-trends-ultrasound-systems (accessed on 1 January 2024).
- Delvaux, B. cNerve, AI to Assist in Ultrasound-Guided Nerve Blocks. Available online: https://www.gehealthcare.com/-/jssmedia/gehc/us/files/products/ultrasound/venue-family/whitepaper-cnerve-pocus-venue-family-jb20312xx.pdf (accessed on 1 January 2024).
- Available online: https://www.mindray.com/en/solutions/medical-imaging/point-of-care/anesthesia (accessed on 1 January 2024).
- Kim, B.S.; Yu, M.; Kim, S.; Yoon, J.S.; Baek, S. Scale-attentional U-Net for the segmentation of the median nerve in ultrasound images. Ultrasonography 2022, 41, 706–717. [Google Scholar] [CrossRef] [PubMed]
- The August 2012 Digital Edition of Anesthesiology News. Available online: https://issuu.com/mcmahongroup/docs/mman0008_2012_web (accessed on 1 January 2024).
- Singhal, M.; Gupta, L.; Hirani, K. A Comprehensive Analysis and Review of Artificial Intelligence in Anaesthesia. Cureus 2023, 15, e45038. [Google Scholar] [CrossRef] [PubMed]















| Anatomical Location | Plan A (Basic Blocks) | Plan B/C/D (Advanced Blocks) |
|---|---|---|
| Upper limb | ||
| Shoulder | Interscalene brachial plexus block [14] | Superior trunk block, combined axillary and suprascapular nerve blocks |
| Below shoulder | Axillary brachial plexus block [15] | Infraclavicular block, supraclavicular block |
| Lower limb | ||
| Hip | Femoral nerve block [16] | Fascia iliaca block, lumbar plexus block |
| Knee | Adductor canal block [17] | Femoral nerve block ± IPACK block |
| Foot and ankle | Popliteal sciatic block [18] | Ankle blocks, proximal sciatic nerve block |
| Trunk | ||
| Chest wall | Erector spinae plane block [19] | Paravertebral block, serratus plane block, PECS blocks |
| Abdominal midline | Rectus sheath block [20] | Quadratus lumborum blocks |
| Block Type | Predefined Anatomaical Landmarks | V1 | V2 | p |
|---|---|---|---|---|
| Interscalene | Brachial plexus (BP) | 4.84 ± 0.47 | 4.92 ± 0.41 | 0.96 |
| Anterior scalene muscle (ASM) | 4.89 ± 0.31 | 4.87 ± 0.33 | 0.98 | |
| Middle scalene muscle (MSM) | 4.88 ± 0.37 | 4.86 ± 0.35 | 0.95 | |
| Sternoleidomastoid muscle (SCM) | 4.96 ± 0.2 | 4.94 ± 0.22 | 0.96 | |
| Supraclavicular | First rib (FR) | 5 ± 0.01 | 4.98 ± 0.12 | 0.96 |
| Pleura (PL) | 5 ± 0.01 | 4.98 ± 0.12 | 0.96 | |
| Subclavian artery (SA) | 5 ± 0.01 | 4.98 ± 0.05 | 0.97 | |
| Brachial plexus (BP) | 4.9 ± 0.01 | 4.98 ± 0.04 | 0.99 | |
| Infraclavicular | Pectoralis major muscle (PMJ) | 5 ± 0.01 | 4.97 ± 0.08 | 0.95 |
| Pectoralis minor muscle (PMN) | 5 ± 0.01 | 4.98 ± 0.07 | 0.96 | |
| Axillary artery (AA) | 5 ± 0.01 | 4.99 ± 0.05 | 0.99 | |
| Axillary vein (AV) | 4.39 ± 0.26 | 4.95 ± 0.12 | 0.94 | |
| TAP | Transverse abdominis muscle (TAM) | 5 ± 0.01 | 4.98 ± 0.1 | 0.98 |
| Internal oblique muscle (IOM) | 4.98 ± 0.16 | 4.97 ± 0.12 | 0.96 | |
| External oblique muscle (EOM) | 4.98 ± 0.16 | 4.96 ± 0.15 | 0.92 | |
| Peritoneal cavity (PC) | 4.95 ± 0.22 | 4.93 ± 0.2 | 0.95 |
| Scanning with AL Assistive Device | Scanning without AL Assistive Device | Alpha (p-Value) | |
|---|---|---|---|
| Correct block view, n (%) | 56/62 (90.3) | 47/62 (75.1) | 0.031 |
| Correct structure identification, n (%) | 188/212 (88.8) | 161/208 (77.4) | 0.002 |
| Median confidence (IQR) | 8 (6–10) | 7 (6–10) | 0.155 |
| Median global rating score (IQR) | 7 (6–9) | 7 (4–9) | 0.225 |
| Mean scan time (SD), s | 75.9 (69.6) | 74.5 (65.6) | 0.881 |
Disclaimer/Publisher’s Note: The statements, opinions and data contained in all publications are solely those of the individual author(s) and contributor(s) and not of MDPI and/or the editor(s). MDPI and/or the editor(s) disclaim responsibility for any injury to people or property resulting from any ideas, methods, instructions or products referred to in the content. |
© 2024 by the authors. Licensee MDPI, Basel, Switzerland. This article is an open access article distributed under the terms and conditions of the Creative Commons Attribution (CC BY) license (https://creativecommons.org/licenses/by/4.0/).
Share and Cite
Mika, S.; Gola, W.; Gil-Mika, M.; Wilk, M.; Misiołek, H. Artificial Intelligence-Supported Ultrasonography in Anesthesiology: Evaluation of a Patient in the Operating Theatre. J. Pers. Med. 2024, 14, 310. https://doi.org/10.3390/jpm14030310
Mika S, Gola W, Gil-Mika M, Wilk M, Misiołek H. Artificial Intelligence-Supported Ultrasonography in Anesthesiology: Evaluation of a Patient in the Operating Theatre. Journal of Personalized Medicine. 2024; 14(3):310. https://doi.org/10.3390/jpm14030310
Chicago/Turabian StyleMika, Sławomir, Wojciech Gola, Monika Gil-Mika, Mateusz Wilk, and Hanna Misiołek. 2024. "Artificial Intelligence-Supported Ultrasonography in Anesthesiology: Evaluation of a Patient in the Operating Theatre" Journal of Personalized Medicine 14, no. 3: 310. https://doi.org/10.3390/jpm14030310
APA StyleMika, S., Gola, W., Gil-Mika, M., Wilk, M., & Misiołek, H. (2024). Artificial Intelligence-Supported Ultrasonography in Anesthesiology: Evaluation of a Patient in the Operating Theatre. Journal of Personalized Medicine, 14(3), 310. https://doi.org/10.3390/jpm14030310
