The New Era of Three-Dimensional Histoarchitecture of the Human Endometrium
Abstract
1. Introduction
2. 3D Structure of the Endometrium
2.1. Mice
2.2. Humans
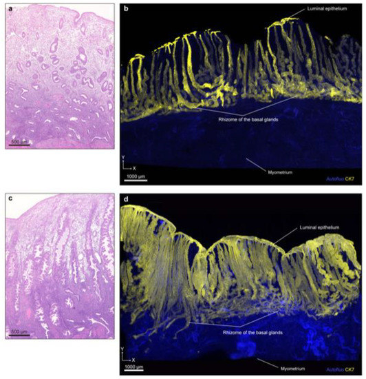
3. Significance of the Rhizome Structure in Human Basal Glands
4. Application of 3D Histoarchitecture to Systems Biology and Future Prospects
5. Conclusions
Supplementary Materials
Author Contributions
Funding
Institutional Review Board Statement
Informed Consent Statement
Data Availability Statement
Conflicts of Interest
References
- Falk, M.; Ynnerman, A.; Treanor, D.; Lundstrom, C. Interactive Visualization of 3D Histopathology in Native Resolution. IEEE Trans. Vis. Comput. Graph. 2018. [Google Scholar] [CrossRef]
 - Kiemen, A.; Braxton, A.M.; Grahn, M.P.; Han, K.S.; Babu, J.M.; Reichel, R.; Amoa, F.; Hong, S.-M.; Cornish, T.C.; Thompson, E.D.; et al. In situ characterization of the 3D microanatomy of the pancreas and pancreatic cancer at single cell resolution. bioRxiv 2020. [Google Scholar] [CrossRef]
 - Tian, J.; Qian, B.; Zhang, S.; Guo, R.; Zhang, H.; Jeannon, J.P.; Jin, R.; Feng, X.; Zhan, Y.; Liu, J.; et al. Three-dimensional reconstruction of laryngeal cancer with whole organ serial immunohistochemical sections. Sci. Rep. 2020, 10, 18962. [Google Scholar] [CrossRef] [PubMed]
 - Lotz, J.M.; Hoffmann, F.; Lotz, J.; Heldmann, S.; Trede, D.; Oetjen, J.; Becker, M.; Ernst, G.; Maas, P.; Alexandrov, T.; et al. Integration of 3D multimodal imaging data of a head and neck cancer and advanced feature recognition. Biochim. Biophys. Acta Proteins Proteom. 2017, 1865, 946–956. [Google Scholar] [CrossRef]
 - Onozato, M.L.; Klepeis, V.E.; Yagi, Y.; Mino-Kenudson, M. A role of three-dimensional (3D)-reconstruction in the classification of lung adenocarcinoma. Anal. Cell. Pathol. 2012, 35, 79–84. [Google Scholar] [CrossRef]
 - Hama, H.; Kurokawa, H.; Kawano, H.; Ando, R.; Shimogori, T.; Noda, H.; Fukami, K.; Sakaue-Sawano, A.; Miyawaki, A. Scale: A chemical approach for fluorescence imaging and reconstruction of transparent mouse brain. Nat. Neurosci. 2011, 14, 1481–1488. [Google Scholar] [CrossRef] [PubMed]
 - Tainaka, K.; Kubota, S.I.; Suyama, T.Q.; Susaki, E.A.; Perrin, D.; Ukai-Tadenuma, M.; Ukai, H.; Ueda, H.R. Whole-body imaging with single-cell resolution by tissue decolorization. Cell 2014, 159, 911–924. [Google Scholar] [CrossRef] [PubMed]
 - Nojima, S.; Susaki, E.A.; Yoshida, K.; Takemoto, H.; Tsujimura, N.; Iijima, S.; Takachi, K.; Nakahara, Y.; Tahara, S.; Ohshima, K.; et al. CUBIC pathology: Three-dimensional imaging for pathological diagnosis. Sci. Rep. 2017, 7, 9269. [Google Scholar] [CrossRef]
 - Tainaka, K.; Murakami, T.C.; Susaki, E.A.; Shimizu, C.; Saito, R.; Takahashi, K.; Hayashi-Takagi, A.; Sekiya, H.; Arima, Y.; Nojima, S.; et al. Chemical Landscape for Tissue Clearing Based on Hydrophilic Reagents. Cell Rep. 2018, 24, 2196–2210.e9. [Google Scholar] [CrossRef]
 - Ueda, H.R.; Ertürk, A.; Chung, K.; Gradinaru, V.; Chédotal, A.; Tomancak, P.; Keller, P.J. Tissue clearing and its applications in neuroscience. Nat. Rev. Neurosci. 2020, 21, 61–79. [Google Scholar] [CrossRef]
 - Zhao, S.; Todorov, M.I.; Cai, R.; Maskari, R.A.; Steinke, H.; Kemter, E.; Mai, H.; Rong, Z.; Warmer, M.; Stanic, K.; et al. Cellular and Molecular Probing of Intact Human Organs. Cell 2020, 180, 796–812.e19. [Google Scholar] [CrossRef] [PubMed]
 - Murakami, T.C.; Mano, T.; Saikawa, S.; Horiguchi, S.A.; Shigeta, D.; Baba, K.; Sekiya, H.; Shimizu, Y.; Tanaka, K.F.; Kiyonari, H.; et al. A three-dimensional single-cell-resolution whole-brain atlas using CUBIC-X expansion microscopy and tissue clearing. Nat. Neurosci. 2018, 21, 625–637. [Google Scholar] [CrossRef] [PubMed]
 - Becker, K.; Jährling, N.; Saghafi, S.; Weiler, R.; Dodt, H.U. Chemical clearing and dehydration of GFP expressing mouse brains. PLoS ONE 2012, 7, e33916. [Google Scholar] [CrossRef]
 - Hong, S.M.; Jung, D.; Kiemen, A.; Gaida, M.M.; Yoshizawa, T.; Braxton, A.M.; Noë, M.; Lionheart, G.; Oshima, K.; Thompson, E.D.; et al. Three-dimensional visualization of cleared human pancreas cancer reveals that sustained epithelial-to-mesenchymal transition is not required for venous invasion. Mod. Pathol. 2020, 33, 639–647. [Google Scholar] [CrossRef]
 - Segovia-Miranda, F.; Morales-Navarrete, H.; Kücken, M.; Moser, V.; Seifert, S.; Repnik, U.; Rost, F.; Brosch, M.; Hendricks, A.; Hinz, S.; et al. Three-dimensional spatially resolved geometrical and functional models of human liver tissue reveal new aspects of NAFLD progression. Nat. Med. 2019, 25, 1885–1893. [Google Scholar] [CrossRef]
 - Azaripour, A.; Lagerweij, T.; Scharfbillig, C.; Jadczak, A.E.; Swaan, B.V.; Molenaar, M.; Waal, R.V.; Kielbassa, K.; Tigchelaar, W.; Picavet, D.I.; et al. Three-dimensional histochemistry and imaging of human gingiva. Sci. Rep. 2018, 8, 1647. [Google Scholar] [CrossRef]
 - Cooke, P.S.; Spencer, T.E.; Bartol, F.F.; Hayashi, K. Uterine glands: Development, function and experimental model systems. Mol. Hum. Reprod. 2013, 19, 547–558. [Google Scholar] [CrossRef]
 - Gray, C.A.; Bartol, F.F.; Tarleton, B.J.; Wiley, A.A.; Johnson, G.A.; Bazer, F.W.; Spencer, T.E. Developmental biology of uterine glands. Biol. Reprod. 2001, 65, 1311–1323. [Google Scholar] [CrossRef]
 - Kyo, S.; Maida, Y.; Inoue, M. Stem cells in endometrium and endometrial cancer: Accumulating evidence and unresolved questions. Cancer Lett. 2011, 308, 123–133. [Google Scholar] [CrossRef] [PubMed]
 - Chan, R.W.; Schwab, K.E.; Gargett, C.E. Clonogenicity of human endometrial epithelial and stromal cells. Biol. Reprod. 2004, 70, 1738–1750. [Google Scholar] [CrossRef]
 - Gargett, C.E.; Schwab, K.E.; Deane, J.A. Endometrial stem/progenitor cells: The first 10 years. Hum. Reprod. Update 2016, 22, 137–163. [Google Scholar] [CrossRef]
 - Available online: https://biologyeducare.com/epithelium/ (accessed on 1 June 2021).
 - Available online: https://digitalhistology.org/organs-systems/reproductive/female/uterus/ (accessed on 1 June 2021).
 - Gray, H. Anatomy of the Human Body; Lee & Febiger: Philadelphia, PA, USA, 1918. [Google Scholar]
 - Ross, M.H.; Reith, E.J. Histology: A Text and Atlas; Harper & Row: New York, NY, USA, 1985. [Google Scholar]
 - Manconi, F.; Kable, E.; Cox, G.; Markham, R.; Fraser, I.S. Whole-mount sections displaying microvascular and glandular structures in human uterus using multiphoton excitation microscopy. Micron 2003, 34, 351–358. [Google Scholar] [CrossRef] [PubMed]
 - Lessey, B.A.; Young, S.L. Chapter 9—Structure, Function, and Evaluation of the Female Reproductive Tract. In Yen & Jaffe’s Reproductive Endocrinology, 8th ed.; Elsevier: Philadelphia, PA, USA, 2019; pp. 206–247. [Google Scholar]
 - Tempest, N.; Jansen, M.; Baker, A.M.; Hill, C.J.; Hale, M.; Magee, D.; Treanor, D.; Wright, N.A.; Hapangama, D.K. Histological 3D reconstruction and in vivo lineage tracing of the human endometrium. J. Pathol. 2020, 251, 440–451. [Google Scholar] [CrossRef]
 - Yamaguchi, M.; Yoshihara, K.; Suda, K.; Nakaoka, H.; Yachida, N.; Ueda, H.; Sugino, K.; Mori, Y.; Yamawaki, K.; Tamura, R.; et al. Three-dimensional understanding of the morphological complexity of the human uterine endometrium. iScience 2021, 24, 102258. [Google Scholar] [CrossRef]
 - Goad, J.; Ko, Y.A.; Kumar, M.; Syed, S.M.; Tanwar, P.S. Differential Wnt signaling activity limits epithelial gland development to the anti-mesometrial side of the mouse uterus. Dev. Biol. 2017, 423, 138–151. [Google Scholar] [CrossRef] [PubMed]
 - Vue, Z.; Gonzalez, G.; Stewart, C.A.; Mehra, S.; Behringer, R.R. Volumetric imaging of the developing prepubertal mouse uterine epithelium using light sheet microscopy. Mol. Reprod. Dev. 2018, 85, 397–405. [Google Scholar] [CrossRef] [PubMed]
 - Arora, R.; Fries, A.; Oelerich, K.; Marchuk, K.; Sabeur, K.; Giudice, L.C.; Laird, D.J. Insights from imaging the implanting embryo and the uterine environment in three dimensions. Development 2016, 143, 4749–4754. [Google Scholar] [CrossRef]
 - Branham, W.S.; Sheehan, D.M.; Zehr, D.R.; Ridlon, E.; Nelson, C.J. The postnatal ontogeny of rat uterine glands and age-related effects of 17 beta-estradiol. Endocrinology 1985, 117, 2229–2237. [Google Scholar] [CrossRef]
 - Bellofiore, N.; Rana, S.; Dickinson, H.; Temple-Smith, P.; Evans, J. Characterization of human-like menstruation in the spiny mouse: Comparative studies with the human and induced mouse model. Hum. Reprod. 2018, 33, 1715–1726. [Google Scholar] [CrossRef]
 - Emera, D.; Romero, R.; Wagner, G. The evolution of menstruation: A new model for genetic assimilation: Explaining molecular origins of maternal responses to fetal invasiveness. Bioessays 2012, 34, 26–35. [Google Scholar] [CrossRef]
 - Short, R.V. The evolution of human reproduction. Proc. R. Soc. Lond. B. Biol. Sci. 1976, 195, 3–24. [Google Scholar] [CrossRef]
 - Critchley, H.O.D.; Babayev, E.; Bulun, S.E.; Clark, S.; Garcia-Grau, I.; Gregersen, P.K.; Kilcoyne, A.; Kim, J.J.; Lavender, M.; Marsh, E.E.; et al. Menstruation: Science and society. Am. J. Obstet. Gynecol. 2020, 223, 624–664. [Google Scholar] [CrossRef] [PubMed]
 - Schmidt, W.A.; Karon, M. Three-dimensional subgross morphology of the human endometrium. Diagn. Gynecol. Obstet. 1981, 3, 193–203. [Google Scholar]
 - Casanas-Roux, F.; Nisolle, M.; Marbaix, E.; Smets, M.; Bassil, S.; Donnez, J. Morphometric, immunohistological and three-dimensional evaluation of the endometrium of menopausal women treated by oestrogen and Crinone, a new slow-release vaginal progesterone. Hum. Reprod. 1996, 11, 357–363. [Google Scholar] [CrossRef][Green Version]
 - Manconi, F.; Markham, R.; Cox, G.; Kable, E.; Fraser, I.S. Computer-generated, three-dimensional reconstruction of histological parallel serial sections displaying microvascular and glandular structures in human endometrium. Micron 2001, 32, 449–453. [Google Scholar] [CrossRef]
 - Simbar, M.; Manconi, F.; Markham, R.; Hickey, M.; Fraser, I.S. A three-dimensional study of endometrial microvessels in women using the contraceptive subdermal levonorgestrel implant system, norplant. Micron 2004, 35, 589–595. [Google Scholar] [CrossRef]
 - Cousins, F.L.; Pandoy, R.; Jin, S.; Gargett, C.E. The Elusive Endometrial Epithelial Stem/Progenitor Cells. Front. Cell Dev. Biol. 2021, 9, 640319. [Google Scholar] [CrossRef] [PubMed]
 - Sásik, R.; Elias, P. Rhizome regeneration of Fallopia japonica (Japanese knotweed) (Houtt.) Ronse Decr. I. Regeneration rate and size of regenerated plants. Folia Oecolog. 2006, 33, 57–63. [Google Scholar]
 - Yu, F.H.; Wang, N.; He, W.M.; Chu, Y.; Dong, M. Adaptation of rhizome connections in drylands: Increasing tolerance of clones to wind erosion. Ann. Bot. 2008, 102, 571–577. [Google Scholar] [CrossRef]
 - Tanaka, M.; Kyo, S.; Kanaya, T.; Yatabe, N.; Nakamura, M.; Maida, Y.; Okabe, M.; Inoue, M. Evidence of the monoclonal composition of human endometrial epithelial glands and mosaic pattern of clonal distribution in luminal epithelium. Am. J. Pathol. 2003, 163, 295–301. [Google Scholar] [CrossRef]
 - Lac, V.; Nazeran, T.M.; Tessier-Cloutier, B.; Aguirre-Hernandez, R.; Albert, A.; Lum, A.; Khattra, J.; Praetorius, T.; Mason, M.; Chiu, D.; et al. Oncogenic mutations in histologically normal endometrium: The new normal? J. Pathol. 2019, 249, 173–181. [Google Scholar] [CrossRef]
 - Suda, K.; Nakaoka, H.; Yoshihara, K.; Ishiguro, T.; Tamura, R.; Mori, Y.; Yamawaki, K.; Adachi, S.; Takahashi, T.; Kase, H.; et al. Clonal Expansion and Diversification of Cancer-Associated Mutations in Endometriosis and Normal Endometrium. Cell Rep. 2018, 24, 1777–1789. [Google Scholar] [CrossRef]
 - Mutter, G.L. Endometrial intraepithelial neoplasia (EIN): Will it bring order to chaos? The Endometrial Collaborative Group. Gynecol. Oncol. 2000, 76, 287–290. [Google Scholar] [CrossRef] [PubMed]
 - Anglesio, M.S.; Papadopoulos, N.; Ayhan, A.; Nazeran, T.M.; Noe, M.; Horlings, H.M.; Lum, A.; Jones, S.; Senz, J.; Seckin, T.; et al. Cancer-Associated Mutations in Endometriosis without Cancer. N. Engl. J. Med. 2017, 376, 1835–1848. [Google Scholar] [CrossRef]
 - Yachida, N.; Yoshihara, K.; Suda, K.; Nakaoka, H.; Ueda, H.; Sugino, K.; Yamaguchi, M.; Mori, Y.; Yamawaki, K.; Tamura, R.; et al. Biological significance of KRAS mutant allele expression in ovarian endometriosis. Cancer Sci. 2021, 112, 2020–2032. [Google Scholar] [CrossRef] [PubMed]
 - Inoue, S.; Hirota, Y.; Ueno, T.; Fukui, Y.; Yoshida, E.; Hayashi, T.; Kojima, S.; Takeyama, R.; Hashimoto, T.; Kiyono, T.; et al. Uterine adenomyosis is an oligoclonal disorder associated with KRAS mutations. Nat. Commun. 2019, 10, 5785. [Google Scholar] [CrossRef] [PubMed]
 - Susaki, E.A.; Ueda, H.R. Whole-body and Whole-Organ Clearing and Imaging Techniques with Single-Cell Resolution: Toward Organism-Level Systems Biology in Mammals. Cell Chem. Biol. 2016, 23, 137–157. [Google Scholar] [CrossRef] [PubMed]
 - Stirland, D.L.; Nichols, J.W.; Jarboe, E.; Adelman, M.; Dassel, M.; Janat-Amsbury, M.M.; Bae, Y.H. Uterine perfusion model for analyzing barriers to transport in fibroids. J. Control. Release 2015, 214, 85–93. [Google Scholar] [CrossRef]
 



| Study (Year of Publication) | Subjects | Methods | 3D Observation Range | Findings | 
|---|---|---|---|---|
| Goad et al. [30] (2017) | Prepubertal mouse | Tissue clearing (ScaleA2), stereoscope | Whole uterus | Mouse uterine glands are simple tubes with branches directly connected to the luminal epithelium and are only present towards the antimesometrial side of the uterus. | 
| Vue et al. [31] (2018) | Prepubertal mouse | Tissue clearing (ScaleA2), light-sheet microscopy | Whole uterus | 3D models of uterine glands within the developing postnatal mouse uterus | 
| Arora et al. [32] (2016) | Adult mouse, Human | Tissue clearing (BABB), confocal microscope | Mouse: whole uterusHuman: full-thickness of the endometrium | Mouse: Visualization and characterization of changes in the mouse endometrium from fertilization through implantation. Human: Glandular complexity of the human uterus was increased compared with the mouse.  | 
| Manconi et al. [26] (2003) | Human | Human endometrial sections of 100 µm thickness, multiphoton excitation microscopy | Part of the endometrium | The surface epithelium consists of a monolayer of cuboidal cells that lines the uterine lumen and is in continuity with the glandular epithelial cells. The endometrial glands appear to have both simple and branched tubular shapes.  | 
| Tempest et al. [28] (2020) | Human | Digital reconstruction of serial pathological section images (4 µm × 100 slices) | 3D visualization of part of the glands(Pathological sections included full-thickness of the endometrium) | The deeper basalis glands demonstrated a complex, often branched organization, enveloping one another horizontally in a mycelium/root-like configuration on the underlying myometrium. | 
| Yamaguchi et al. [29] (2021) | Human | Tissue clearing (updated CUBIC protocol IV) of normal human uterine tissues (about 5–15 mm square), light-sheet microscopy | Full-thickness of the endometrium | The basal glands formed the rhizome structure, that is, a horizontally expanding plexus morphology. Some glands shared the rhizome with other glands. | 
Publisher’s Note: MDPI stays neutral with regard to jurisdictional claims in published maps and institutional affiliations.  | 
© 2021 by the authors. Licensee MDPI, Basel, Switzerland. This article is an open access article distributed under the terms and conditions of the Creative Commons Attribution (CC BY) license (https://creativecommons.org/licenses/by/4.0/).
Share and Cite
Yamaguchi, M.; Yoshihara, K.; Yachida, N.; Suda, K.; Tamura, R.; Ishiguro, T.; Enomoto, T. The New Era of Three-Dimensional Histoarchitecture of the Human Endometrium. J. Pers. Med. 2021, 11, 713. https://doi.org/10.3390/jpm11080713
Yamaguchi M, Yoshihara K, Yachida N, Suda K, Tamura R, Ishiguro T, Enomoto T. The New Era of Three-Dimensional Histoarchitecture of the Human Endometrium. Journal of Personalized Medicine. 2021; 11(8):713. https://doi.org/10.3390/jpm11080713
Chicago/Turabian StyleYamaguchi, Manako, Kosuke Yoshihara, Nozomi Yachida, Kazuaki Suda, Ryo Tamura, Tatsuya Ishiguro, and Takayuki Enomoto. 2021. "The New Era of Three-Dimensional Histoarchitecture of the Human Endometrium" Journal of Personalized Medicine 11, no. 8: 713. https://doi.org/10.3390/jpm11080713
APA StyleYamaguchi, M., Yoshihara, K., Yachida, N., Suda, K., Tamura, R., Ishiguro, T., & Enomoto, T. (2021). The New Era of Three-Dimensional Histoarchitecture of the Human Endometrium. Journal of Personalized Medicine, 11(8), 713. https://doi.org/10.3390/jpm11080713
        
                                                
