Unveiling Guyon’s Canal: Insights into Clinical Anatomy, Pathology, and Imaging
Abstract
1. Introduction
2. Clinical Anatomy
3. Radiological Techniques and Anatomy
3.1. Ultrasound Technique and Anatomy
3.2. MRI Technique and Anatomy
4. Pathological Conditions
4.1. Accessory Abductor Digiti Minimi
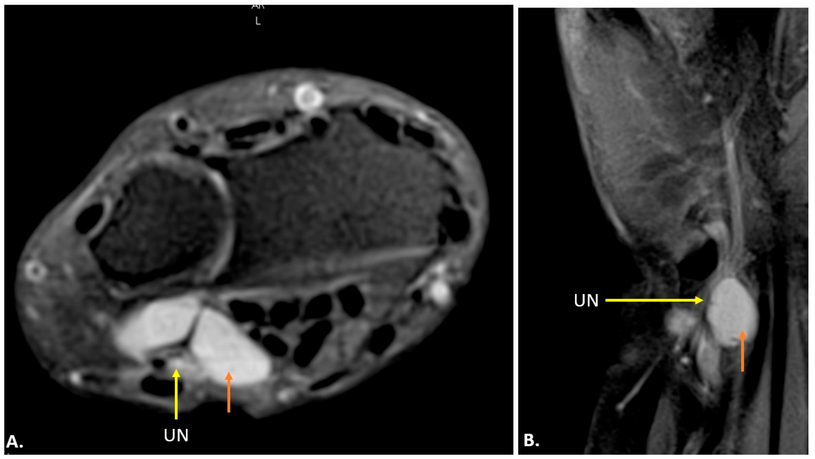
4.2. Hypothenar Hammer Syndrome (HHS)
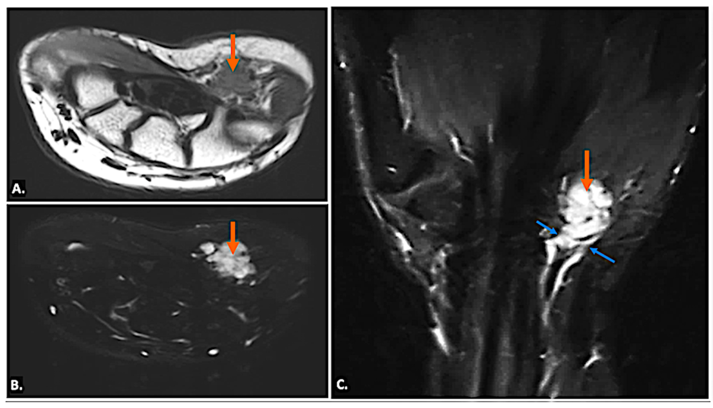
4.3. Ganglion Cysts
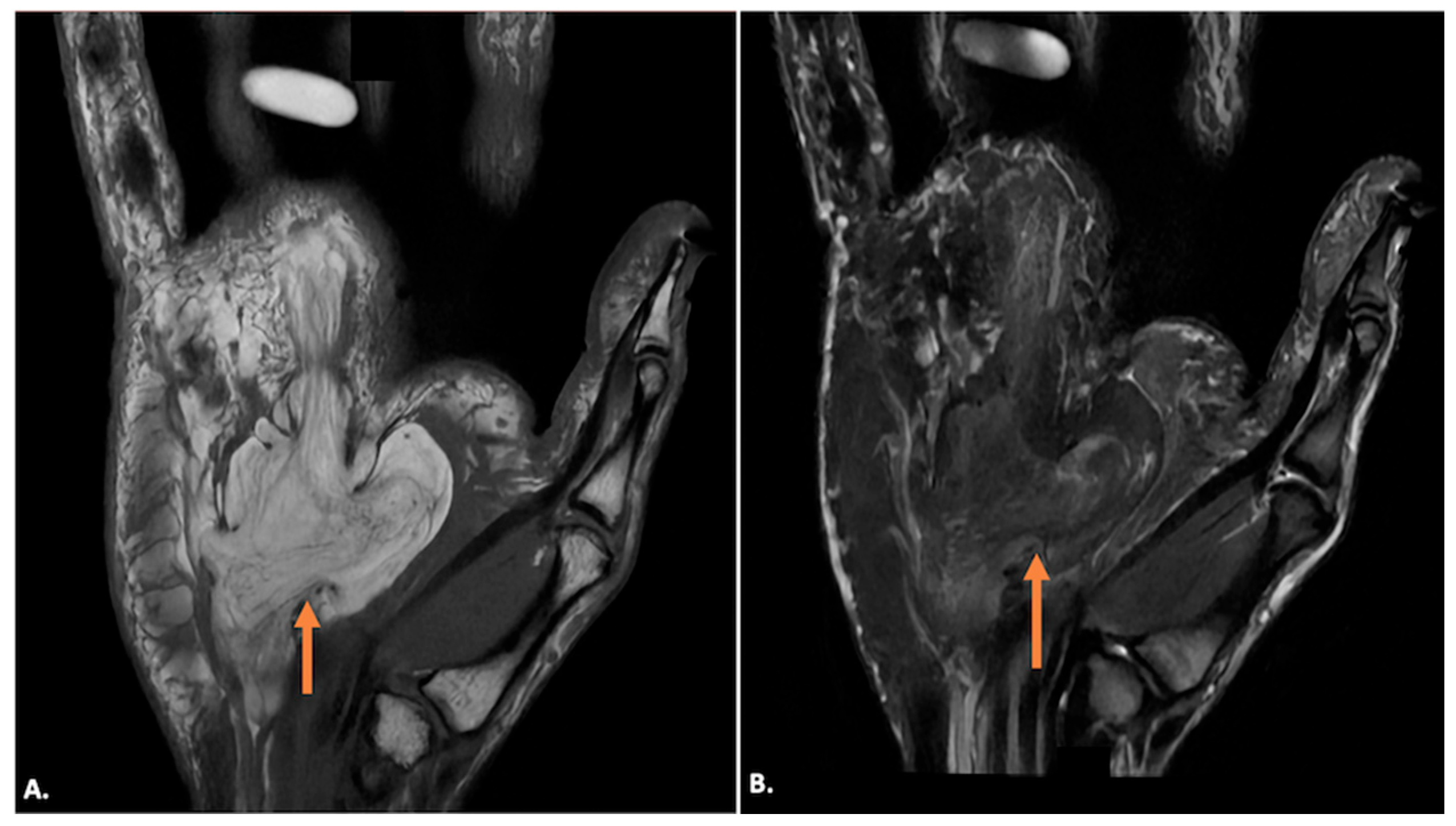
4.4. Neoplastic Conditions
4.5. Flexor Carpi Ulnaris Calcific Tendinopathy
4.6. Idiopathic Ulnar Neuropathy
4.7. Vascular Conditions
4.8. Traumatic Conditions and Miscellaneous Conditions
5. Conclusions
Supplementary Materials
Author Contributions
Funding
Institutional Review Board Statement
Data Availability Statement
Conflicts of Interest
Abbreviations
| MRI | Magnetic resonance imaging |
| CT | Computed tomography |
| STIR | Short Tau Inversion Recovery |
| PD | Proton density |
| HHS | Hypothenar hammer syndrome |
References
- Guyon, F.C. Note on a special canal in the anterior annular ligament of the carpus for the passage of the ulnar artery. Comptes Rendus Soc. Biol. 1861, 12, 92–94. [Google Scholar]
- Ramage, J.L.; Varacallo, M. Anatomy, shoulder and upper limb, hand Guyon canal. In StatPearls; StatPearls Publishing: Treasure Island, FL, USA, 2020. [Google Scholar]
- Coraci, D.; Loreti, C.; Piccinini, G.; Doneddu, P.E.; Biscotti, S.; Padua, L. Ulnar neuropathy at wrist: Entrapment at a very “congested” site. Neurol. Sci. 2018, 39, 1325–1331. [Google Scholar] [CrossRef]
- Aleksenko, D.; Varacallo, M. Guyon Canal Syndrome. In StatPearls [Internet]; StatPearls Publishing: Treasure Island, FL, USA, 2023. [Google Scholar]
- Becker, R.E.; Manna, B. Anatomy, Shoulder and Upper Limb, Ulnar Nerve. In StatPearls [Internet]; StatPearls Publishing: Treasure Island, FL, USA, 2023. [Google Scholar]
- Dodds, G.A.; Hale, D.; Jackson, W.T. Incidence of anatomic variants in Guyon’s canal. J. Hand Surg. 1990, 15, 352–355. [Google Scholar] [CrossRef]
- Shim, M.R. Unusual Etiology of Acute Wrist Pain: Acute Calcific Tendonitis of the Flexor Carpi Ulnaris Mimicking an Infection. Case Rep. Orthop. 2018, 2018, 2520548. [Google Scholar] [CrossRef]
- Picasso, R.; Zaottini, F.; Pistoia, F.; Macciò, M.; Rossi, G.; Cabona, C.; Benedetti, L.; Martinoli, C. High-resolution ultrasound and magnetic resonance imaging of ulnar nerve neuropathy in the distal Guyon tunnel. Insights Imaging 2023, 14, 210. [Google Scholar] [CrossRef]
- Davis, D.L. Hook of the Hamate: The Spectrum of Often Missed Pathologic Findings. Am. J. Roentgenol. 2017, 209, 1110–1118. [Google Scholar] [CrossRef]
- Fodor, D.; Rodriguez-Garcia, S.C.; Cantisani, V.; Hammer, H.B.; Hartung, W.; Klauser, A.; Martinoli, C.; Terslev, L.; Alfageme, F.; Bong, D.; et al. The EFSUMB Guidelines and Recommendations for Musculoskeletal Ultrasound—Part I: Extraarticular Pathologies. Eur. J. Ultrasound 2022, 43, 34–57. [Google Scholar] [CrossRef]
- Grant, G.A.; Britz, G.W.; Goodkin, R.; Jarvik, J.G.; Maravilla, K.; Kliot, M. The utility of magnetic resonance imaging in evaluating peripheral nerve disorders. Muscle Nerve 2002, 25, 314–331. [Google Scholar] [CrossRef]
- Mezian, K.; Ricci, V.; Güvener, O.; Jačisko, J.; Novotny, T.; Kara, M.; Ata, A.M.; Wu, W.T.; Chang, K.V.; Stecco, C.; et al. EURO-MUSCULUS/USPRM Dynamic Ultrasound Protocols for Wrist and Hand. Am. J. Phys. Med. Rehabil. 2022, 101, e132–e138. [Google Scholar] [CrossRef]
- Saracco, M.; Panzera, R.M.; Merico, B.; Madia, F.; Pagliei, A.; Rocchi, L. Isolated compression of the ulnar motor branch due to carpal joint ganglia: Clinical series, surgical technique and postoperative outcomes. Eur. J. Orthop. Surg. Traumatol. 2021, 31, 579–585. [Google Scholar] [CrossRef]
- Kwak, K.W.; Kim, M.S.; Chang, C.H.; Kim, S.H. Ulnar nerve compression in Guyon’s canal by ganglion cyst. J. Korean Neurosurg. Soc. 2011, 49, 139–141. [Google Scholar] [CrossRef]
- Neto, N.; Nunnes, P. Spectrum of MRI features of ganglion and synovial cysts. Insights Imaging 2016, 7, 179–186. [Google Scholar] [CrossRef]
- Ahmad Shah, A.; Raina, A.H.; Ganie, M.A.; Kumar, I.A. Comparison of Aspiration Followed by Intra-Lesional Steroid Injection and Surgical Excision in Management of Dorsal Wrist Ganglion. World J. Plast. Surg. 2019, 8, 181–184. [Google Scholar] [CrossRef]
- Sinha, M.K.; Mishra, P.; Mishra, T.S.; Barman, A. Aspiration and steroid injection in ganglion cysts: An ultrasound guided evaluation of the response. J. Clin. Orthop. Trauma 2019, 10, S252–S257. [Google Scholar] [CrossRef]
- Khajeh, R.; Farzan, M.; Moazen Jamshidi, S.M.M.; Moharrami, A. Guyon Canal Syndrome Due to Schwannomas of Zone 3 Ulnar Nerve without Neurologic Symptoms: A Case Report. Arch. Bone Jt. Surg. 2021, 9, 598–600. [Google Scholar]
- Quang, V.P.; Quoc, H.H.; Nguyen, B.; Quang, C.N.; Chi, H.N.; Nguyen, N. Guyon’s canal resulting from lipoma: A case report and review of the literature. Int. J. Surg. Case Rep. 2022, 95, 107182. [Google Scholar] [CrossRef]
- Becciolini, M.; Pivec, C.; Raspanti, A.; Riegler, G. Ultrasound of the Ulnar Nerve: A Pictorial Review: Part 2: Pathological Ultrasound Findings. J. Ultrasound Med. 2024, 43, 1153–1173. [Google Scholar] [CrossRef]
- Parsaoran Butarbutar, J.C.; Suginawan, E.T. Calcified Tendinitis of the Flexor Carpi Ulnaris Tendon: A Case Report. J. Orthop. Case Rep. 2022, 12, 10–13. [Google Scholar] [CrossRef]
- Ahuja, A.; Lawande, M.; Daftary, A.R. Role of Radiographs and Ultrasound in Diagnosing Calcific Tendinitis and Periarthritis in the Wrist and Hand with Ultrasound-Guided Barbotage as Management Tool. Indian J. Radiol. Imaging 2021, 31, 605–610. [Google Scholar] [CrossRef]
- Zied, M.; Farouk, C.; Mohsen, C.; Wajdi, C.; Ali, H.; Wael, G. Guyon’s canal syndrome resulting from an ulnar artery aneurysm: A case report. Int. J. Surg. Case Rep. 2024, 121, 109978. [Google Scholar] [CrossRef]
- Pfaeffle, H.J.; Waitayawinyu, T.; Trumble, T.E. Ulnar nerve laceration and repair. Hand Clin. 2007, 23, 291–299. [Google Scholar] [CrossRef] [PubMed]
- Carr, M.P.; Becker, G.W.; Taljanovic, M.S.; McCurdy, W.E. Hypothenar hammer syndrome: Case report and literature review. Radiol. Case Rep. 2019, 14, 868–871. [Google Scholar] [CrossRef] [PubMed]
- Wu, W.T.; Chang, K.V.; Hsu, Y.C.; Tsai, Y.Y.; Mezian, K.; Ricci, V.; Özçakar, L. Ultrasound Imaging and Guidance for Distal Peripheral Nerve Pathologies at the Wrist/Hand. Diagnostics 2023, 13, 1928. [Google Scholar] [CrossRef] [PubMed]


















| Pathological Condition | Ultrasound Findings | MRI Findings |
|---|---|---|
| Ganglion Cysts | A well-circumscribed anechoic or hypoechoic lesion with posterior acoustic enhancement. May show communication with joints or tendon sheaths. No internal vascularity on Doppler. | Well-defined, hypointense on T1 and hyperintense on T2-weighted images. Thin peripheral enhancement post-contrast. Possible nerve displacement/compression with T2 hyperintensity indicating oedema. |
| Lipoma | Well-defined, iso-to-hypoechoic mass, possibly with echogenic striations. No internal vascularity on Doppler. | Hyperintense on T1- and T2-weighted images. Homogeneous fat suppression. No post-contrast enhancement. Septa or nodules may indicate atypical lipomatous lesion. |
| Hemangioma | Hypoechoic or heterogeneous mass with anechoic areas (vascular channels). Doppler shows significant internal vascularity with low-resistance arterial and venous flow. | Hyperintense on T2, low signal on T1. Heterogeneous intense enhancement post-contrast. |
| Tenosynovial Giant-Cell Tumour | Solid, hypoechoic mass with increased vascularity on Doppler. May have well- or ill-defined margins. | Low-to-intermediate signal on T1/T2 due to hemosiderin. Blooming on gradient-echo sequences. Variable post-contrast enhancement. |
| Neurogenic Tumours (Schwannoma/Neurofibroma) | Well-defined, hypoechoic mass, sometimes with a “target” appearance (hypoechoic centre, hyperechoic rim). Minimal vascularity on Doppler. Follows ulnar nerve course. | Iso- to hypointense on T1, hyperintense on T2. May show “target” appearance. Heterogeneous enhancement. Follows ulnar nerve course. |
| Malignant Tumours (e.g., Synovial Sarcoma) | Heterogeneous, hypoechoic mass with irregular margins. Internal vascularity on Doppler with high-flow signals. | Heterogeneous signal on T1/T2 with necrotic or haemorrhagic areas. Irregular, heterogeneous enhancement post-contrast. Local invasion possible. |
| Flexor Carpi Ulnaris Calcific Tendinopathy | Hyperechoic foci with posterior acoustic shadowing. Chronic cases: well-delineated deposits. Acute cases: surrounding soft-tissue oedema and increased vascularity on Doppler. | Low signal calcifications on T1/T2. High signal in inflamed soft tissues on T2. Soft-tissue enhancement in acute cases. |
| Idiopathic Ulnar Neuropathy | Ulnar nerve swelling/thickening with loss of normal fascicular pattern. No compressive lesion. | Increased T2 signal in the affected nerve segment, indicating oedema or inflammation. |
| Vascular Abnormalities (Aneurysms, Thrombosis, AVM) | Hypoechoic/anechoic mass with vascular flow (aneurysms) or absent flow (thrombosis) on Doppler. | Thrombosis: Low or high signal in vessel lumen on T1/T2 (depending on stage). Aneurysms: Well-circumscribed lesion with potential signal voids from high flow. |
| Traumatic Injuries (Hook of Hamate Fracture, HHS, Nerve Laceration, Stump Neuroma) | Nerve laceration: Hypoechoic discontinuity with possible neuroma formation (bulbous enlargement). Fractures: May be occult on standard radiograph and on ultrasound. HHS: Vascular abnormalities on Doppler. | Fractures: Best seen on CT/MRI if radiographs are inconclusive. Neuroma: T2 hyperintensity with possible nerve thickening and discontinuity. HHS: Aneurysm/thrombosis findings. |
Disclaimer/Publisher’s Note: The statements, opinions and data contained in all publications are solely those of the individual author(s) and contributor(s) and not of MDPI and/or the editor(s). MDPI and/or the editor(s) disclaim responsibility for any injury to people or property resulting from any ideas, methods, instructions or products referred to in the content. |
© 2025 by the authors. Licensee MDPI, Basel, Switzerland. This article is an open access article distributed under the terms and conditions of the Creative Commons Attribution (CC BY) license (https://creativecommons.org/licenses/by/4.0/).
Share and Cite
Saran, S.; Pellakuru, S.R.; Shirodkar, K.; Shah, A.B.; Agarwal, A.; Shah, A.; Iyengar, K.P.; Botchu, R. Unveiling Guyon’s Canal: Insights into Clinical Anatomy, Pathology, and Imaging. Diagnostics 2025, 15, 592. https://doi.org/10.3390/diagnostics15050592
Saran S, Pellakuru SR, Shirodkar K, Shah AB, Agarwal A, Shah A, Iyengar KP, Botchu R. Unveiling Guyon’s Canal: Insights into Clinical Anatomy, Pathology, and Imaging. Diagnostics. 2025; 15(5):592. https://doi.org/10.3390/diagnostics15050592
Chicago/Turabian StyleSaran, Sonal, Saavi Reddy Pellakuru, Kapil Shirodkar, Ankit B. Shah, Aakanksha Agarwal, Ankur Shah, Karthikeyan P. Iyengar, and Rajesh Botchu. 2025. "Unveiling Guyon’s Canal: Insights into Clinical Anatomy, Pathology, and Imaging" Diagnostics 15, no. 5: 592. https://doi.org/10.3390/diagnostics15050592
APA StyleSaran, S., Pellakuru, S. R., Shirodkar, K., Shah, A. B., Agarwal, A., Shah, A., Iyengar, K. P., & Botchu, R. (2025). Unveiling Guyon’s Canal: Insights into Clinical Anatomy, Pathology, and Imaging. Diagnostics, 15(5), 592. https://doi.org/10.3390/diagnostics15050592

